The Prognostic Value of Histopathological Features in Early-Stage Mycosis Fungoides: Insights from a Retrospective–Prospective Cohort Study
Abstract
1. Introduction
2. Objectives
3. Materials and Methods
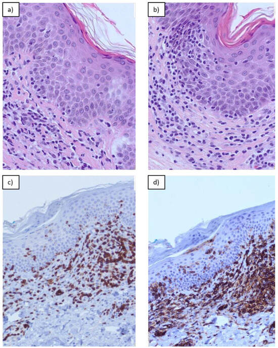
4. Results
5. Survival
6. Progression
7. Discussion
8. Conclusions
Author Contributions
Funding
Institutional Review Board Statement
Informed Consent Statement
Data Availability Statement
Conflicts of Interest
References
- Willemze, R.; Jaffe, E.S.; Burg, G.; Cerroni, L.; Berti, E.; Swerdlow, S.H.; Ralfkiaer, E.; Chimenti, S.; Diaz-Perez, J.L.; Duncan, L.M.; et al. WHO-EORTC classification for cutaneous lymphomas. Blood 2005, 105, 3768–3785. [Google Scholar] [CrossRef] [PubMed]
- Latzka, J.; Assaf, C.; Bagot, M.; Cozzio, A.; Dummer, R.; Guenova, E.; Gniadecki, R.; Hodak, E.; Jonak, C.; Klemke, C.-D.; et al. EORTC consensus recommendations for the treatment of mycosis fungoides/Sézary syndrome—Update 2023. Eur. J. Cancer 2023, 195, 113343. [Google Scholar] [CrossRef] [PubMed]
- Willemze, R.; Cerroni, L.; Kempf, W.; Berti, E.; Facchetti, F.; Swerdlow, S.H.; Jaffe, E.S. Special Report The 2018 Update of the WHO-EORTC Classification for Primary Cutaneous Lymphomas. Available online: http://ashpublications.org/blood/article-pdf/133/16/1703/1726414/blood881268.pdf (accessed on 25 March 2024).
- Kim, Y.H.; Liu, H.L.; Mraz-Gernhard, S.; Varghese, A.; Hoppe, R.T. Long-term outcome of 525 patients with mycosis fungoides and Sezary syndrome: Clinical prognostic factors and risk for disease progression. Arch. Dermatol. 2003, 139, 857–866. [Google Scholar] [CrossRef] [PubMed]
- Korgavkar, K.; Xiong, M.; Weinstock, M. Changing incidence trends of cutaneous T-cell lymphoma. JAMA Dermatol. 2013, 149, 1295–1299. [Google Scholar] [CrossRef] [PubMed]
- Kaufman, A.E.; Patel, K.; Goyal, K.; O‘Leary, D.; Rubin, N.; Pearson, D.; Bohjanen, K.; Goyal, A. Mycosis fungoides: Developments in incidence, treatment and survival. J. Eur. Acad. Dermatol. Venereol. 2020, 34, 2288–2294. [Google Scholar] [CrossRef] [PubMed]
- Ghazawi, F.M.; Netchiporouk, E.; Rahme, E.; Tsang, M.; Moreau, L.; Glassman, S.; Provost, N.; Gilbert, M.; Jean, S.-E.; Pehr, K.; et al. Comprehensive analysis of cutaneous T-cell lymphoma (CTCL) incidence and mortality in Canada reveals changing trends and geographic clustering for this malignancy. Cancer 2017, 123, 3550–3567. [Google Scholar] [CrossRef] [PubMed]
- Joshi, T.P.; Black, T.A.; Fernandez, B.; Friske, S.; Stafford, H.; Strouphauer, E.; Duvic, M. Comorbidities associated with mycosis fungoides: A case-control study in the All of Us database. J. Am. Acad. Dermatol. 2023, 88, 686–688. [Google Scholar] [CrossRef] [PubMed]
- Ai, W.Z.; Keegan, T.H.; Press, D.J.; Yang, J.; Pincus, L.B.; Kim, Y.H.; Chang, E.T. Outcomes after diagnosis of mycosis fungoides and Sézary syndrome before 30 years of age: A population-based study. JAMA Dermatol. 2014, 150, 709–715. [Google Scholar] [CrossRef] [PubMed]
- Davis, T.H.; Morton, C.C.; Miller-Cassman, R.; Balk, S.P.; Kadin, M.E. Hodgkin’s disease, lymphomatoid papulosis, and cutaneous T-cell lymphoma derived from a common T-cell clone. N. Engl. J. Med. 1992, 326, 1115–1122. [Google Scholar] [CrossRef]
- Burg, G.; Kempf, W.; Cozzio, A.; Feit, J.; Willemze, R.; Jaffe, E.S.; Dummer, R.; Berti, E.; Cerroni, L.; Chimenti, S.; et al. WHO/EORTC classification of cutaneous lymphomas 2005: Histological and molecular aspects. J. Cutan. Pathol. 2005, 32, 647–674. [Google Scholar] [CrossRef]
- Pimpinelli, N.; Olsen, E.A.; Santucci, M.; Vonderheid, E.; Haeffner, A.C.; Stevens, S.; Burg, G.; Cerroni, L.; Dreno, B.; Glusac, E.; et al. Defining early mycosis fungoides. J. Am. Acad. Dermatol. 2005, 53, 1053–1063. [Google Scholar] [CrossRef]
- Massone, C.; Kodama, K.; Kerl, H.; Cerroni, L. Histopathologic features of early (patch) lesions of mycosis fungoides: A morphologic study on 745 biopsy specimens from 427 patients. Am. J. Surg. Pathol. 2005, 29, 550–560. [Google Scholar] [CrossRef]
- Massone, C.; Crisman, G.; Kerl, H.; Cerroni, L. The prognosis of early mycosis fungoides is not influenced by phenotype and T-cell clonality. Br. J. Dermatol. 2008, 159, 881–886. [Google Scholar] [CrossRef]
- Cribier, B.J. The myth of Pautrier’s microabscesses. J. Am. Acad. Dermatol. 2003, 48, 796–797. [Google Scholar] [CrossRef]
- Wiley: Skin Lymphoma: The Illustrated Guide, 4th Edition—Lorenzo Cerroni. Available online: https://www.wiley.com/en-us/Skin+Lymphoma%3A+The+Illustrated+Guide%2C+4th+Edition-p-9781118492536 (accessed on 11 February 2016).
- Vonderheid, E.C.; Pavlov, I.; Delgado, J.C.; Martins, T.B.; Telang, G.H.; Hess, A.D.; Kadin, M.E. Prognostic factors and risk stratification in early mycosis fungoides. Leuk. Lymphoma 2014, 55, 44–50. [Google Scholar] [CrossRef]
- Cerroni, L.; Rieger, E.; Hödl, S.; Kerl, H. Clinicopathologic and immunologic features associated with transformation of mycosis fungoides to large-cell lymphoma. Am. J. Surg. Pathol. 1992, 16, 543–552. Available online: http://www.ncbi.nlm.nih.gov/pubmed/1599034 (accessed on 30 August 2016). [CrossRef]
- Diamandidou, E.; Colome-Grimmer, M.; Fayad, L.; Duvic, M.; Kurzrock, R. Transformation of mycosis fungoides/Sezary syndrome: Clinical characteristics and prognosis. Blood 1998, 92, 1150–1159. [Google Scholar]
- van Doorn, R.; Van Haselen, C.W.; van Voorst Vader, P.C.; Geerts, M.-L.; Heule, F.; de Rie, M.; Steijlen, P.M.; Dekker, S.K.; van Vloten, W.A.; Willemze, R. Mycosis fungoides: Disease evolution and prognosis of 309 Dutch patients. Arch. Dermatol. 2000, 136, 504–510. [Google Scholar] [CrossRef]
- Zackheim, H.S.; Amin, S.; Kashani-Sabet, M.; McMillan, A. Prognosis in cutaneous T-cell lymphoma by skin stage: Long-term survival in 489 patients. J. Am. Acad. Dermatol. 1999, 40, 418–425. Available online: http://www.ncbi.nlm.nih.gov/pubmed/10071312 (accessed on 28 August 2016). [CrossRef] [PubMed]
- Santucci, M.; Biggeri, A.; Feller, A.C.; Massi, D.; Burg, G. Efficacy of histologic criteria for diagnosing early mycosis fungoides: An EORTC cutaneous lymphoma study group investigation. European Organization for Research and Treatment of Cancer. Am. J. Surg. Pathol. 2000, 24, 40–50. Available online: http://www.ncbi.nlm.nih.gov/pubmed/10632486 (accessed on 28 August 2016). [CrossRef] [PubMed]
- Vergier, B.; de Muret, A.; Beylot-Barry, M.; Vaillant, L.; Ekouevi, D.; Chene, G.; Carlotti, A.; Franck, N.; Dechelotte, P.; Souteyrand, P.; et al. Transformation of mycosis fungoides: Clinicopathological and prognostic features of 45 cases. French Study Group of Cutaneious Lymphomas. Blood 2000, 95, 2212–2218. Available online: http://www.ncbi.nlm.nih.gov/pubmed/10733487 (accessed on 30 August 2016).
- Kim, Y.H.; Willemze, R.; Pimpinelli, N.; Whittaker, S.; Olsen, E.A.; Ranki, A.; Dummer, R.; Hoppe, R.T. TNM classification system for primary cutaneous lymphomas other than mycosis fungoides and Sezary syndrome: A proposal of the International Society for Cutaneous Lymphomas (ISCL) and the Cutaneous Lymphoma Task Force of the European Organization of Resear. Blood 2007, 110, 479–484. [Google Scholar] [CrossRef] [PubMed]
- Quaglino, P.; Pimpinelli, N.; Berti, E.; Calzavara-Pinton, P.; Lombardo, G.A.; Rupoli, S.; Alaibac, M.; Bottoni, U.; Carbone, A.; Fava, P.; et al. Time course, clinical pathways, and long-term hazards risk trends of disease progression in patients with classic mycosis fungoides: A multicenter, retrospective follow-up study from the Italian Group of Cutaneous Lymphomas. Cancer 2012, 118, 5830–5839. [Google Scholar] [CrossRef] [PubMed]
- Benner, M.F.; Jansen, P.M.; Vermeer, M.H.; Willemze, R. Prognostic factors in transformed mycosis fungoides: A retrospective analysis of 100 cases. Blood 2012, 119, 1643–1649. [Google Scholar] [CrossRef] [PubMed]
- Howard, M.S.; Smoller, B.R. Mycosis fungoides: Classic disease and variant presentations. Semin. Cutan. Med. Surg. 2000, 19, 91–99. Available online: http://www.ncbi.nlm.nih.gov/pubmed/10892710 (accessed on 28 August 2016). [CrossRef] [PubMed]
- Wada, D.A.; Wilcox, R.A.; Weenig, R.H.; Gibson, L.E. Paucity of intraepidermal FoxP3-positive T cells in cutaneous T-cell lymphoma in contrast with spongiotic and lichenoid dermatitis. J. Cutan. Pathol. 2010, 37, 535–541. [Google Scholar] [CrossRef]
- Kempf, W.; Kazakov, D.V.; Cipolat, C.; Kutzner, H.; Roncador, G.; Tomasini, D. CD4/CD8 double negative mycosis fungoides with PD-1 (CD279) expression--a disease of follicular helper T-cells? Am. J. Dermatopathol. 2012, 34, 757–761. [Google Scholar] [CrossRef] [PubMed]
- Pham-Ledard, A.; Prochazkova-Carlotti, M.; Laharanne, E.; Vergier, B.; Jouary, T.; Beylot-Barry, M.; Merlio, J.-P. IRF4 gene rearrangements define a subgroup of CD30-positive cutaneous T-cell lymphoma: A study of 54 cases. J. Investig. Dermatol. 2010, 130, 816–825. [Google Scholar] [CrossRef] [PubMed]
- Gjerdrum, L.M.; Woetmann, A.; Odum, N.; Burton, C.M.; Rossen, K.; Skovgaard, G.L.; Ryder, L.P.; Ralfkiaer, E. FOXP3+ regulatory T cells in cutaneous T-cell lymphomas: Association with disease stage and survival. Leukemia 2007, 21, 2512–2518. [Google Scholar] [CrossRef]
- Tobisawa, S.I.; Honma, M.; Ishida-Yamamoto, A.; Saijo, Y.; Iizuka, H. Prognostic factors in 105 Japanese cases of mycosis fungoides and Sézary syndrome: Clusterin expression as a novel prognostic factor. J. Dermatol. Sci. 2013, 71, 160–166. [Google Scholar] [CrossRef]
- Ishida, M.; Okabe, H. Reactive lymphoid follicles with germinal centers in granulomatous mycosis fungoides: A case report with review of the literature. J. Cutan. Pathol. 2013, 40, 284–285. [Google Scholar] [CrossRef] [PubMed]
- Schlapbach, C.; Ochsenbein, A.; Kaelin, U.; Hassan, A.S.; Hunger, R.E.; Yawalkar, N. High numbers of DC-SIGN+ dendritic cells in lesional skin of cutaneous T-cell lymphoma. J. Am. Acad. Dermatol. 2010, 62, 995–1004. [Google Scholar] [CrossRef] [PubMed]
- Ralfkiaer, E.; Lange Wantzin, G.; Mason, D.Y.; Stein, H.; Thomsen, K. Characterization of benign cutaneous lymphocytic infiltrates by monoclonal antibodies. Br. J. Dermatol. 1984, 111, 635–645. Available online: http://www.ncbi.nlm.nih.gov/pubmed/6391533 (accessed on 30 August 2016). [CrossRef] [PubMed]
- Ormsby, A.; Bergfeld, W.F.; Tubbs, R.R.; Hsi, E.D. Evaluation of a new paraffin-reactive CD7 T-cell deletion marker and a polymerase chain reaction-based T-cell receptor gene rearrangement assay: Implications for diagnosis of mycosis fungoides in community clinical practice. J. Am. Acad. Dermatol. 2001, 45, 405–413. [Google Scholar] [CrossRef] [PubMed]
- Wood, G.S.; Abel, E.A.; Hoppe, R.T.; Warnke, R.A. Leu-8 and Leu-9 antigen phenotypes: Immunologic criteria for the distinction of mycosis fungoides from cutaneous inflammation. J. Am. Acad. Dermatol. 1986, 14, 1006–1013. Available online: http://www.ncbi.nlm.nih.gov/pubmed/3088069 (accessed on 30 August 2016). [CrossRef]
- Wood, G.S.; Volterra, A.S.; Abel, E.A.; Nickoloff, B.J.; Adams, R.M. Allergic contact dermatitis: Novel immunohistologic features. J. Investig. Dermatol. 1986, 87, 688–693. Available online: http://www.ncbi.nlm.nih.gov/pubmed/2431068 (accessed on 30 August 2016). [CrossRef] [PubMed]
- Payne, C.M.; Grogan, T.M.; Spier, C.M.; Bjore, C.G.; Richter, L.C.; Cromey, D.W.; Rangel, C.S. A multidisciplinary approach to the diagnosis of cutaneous T-cell lymphomas. Ultrastruct Pathol. 1992, 16, 99–125. Available online: http://www.ncbi.nlm.nih.gov/pubmed/1557836 (accessed on 30 August 2016). [CrossRef] [PubMed]
- Delfau-Larue, M.H.; Laroche, L.; Wechsler, J.; Lepage, E.; Lahet, C.; Asso-Bonnet, M.; Bagot, M.; Farcet, J.P. Diagnostic value of dominant T-cell clones in peripheral blood in 363 patients presenting consecutively with a clinical suspicion of cutaneous lymphoma. Blood 2000, 96, 2987–2992. Available online: http://www.ncbi.nlm.nih.gov/pubmed/11049975 (accessed on 30 August 2016). [CrossRef]
- Kuo, P.H.; McClennan, B.L.; Carlson, K.; Wilson, L.D.; Edelson, R.L.; Heald, P.W.; Girardi, M. FDG-PET/CT in the evaluation of cutaneous T-cell lymphoma. Mol. Imaging Biol. MIB 2008, 10, 74–81. [Google Scholar] [CrossRef]
- Scarisbrick, J.J.; Kim, Y.H.; Whittaker, S.J.; Wood, G.; Vermeer, M.; Prince, H.; Quaglino, P. Prognostic factors, prognostic indices and staging in mycosis fungoides and Sézary syndrome: Where are we now? Br. J. Dermatol. 2014, 170, 1226–1236. [Google Scholar] [CrossRef]
- de Coninck, E.C.; Kim, Y.H.; Varghese, A.; Hoppe, R.T. Clinical characteristics and outcome of patients with extracutaneous mycosis fungoides. J. Clin. Oncol. 2001, 19, 779–784. Available online: http://www.ncbi.nlm.nih.gov/pubmed/11157031 (accessed on 30 August 2016). [CrossRef] [PubMed]
- Benton, E.C.; Crichton, S.; Talpur, R.; Agar, N.; Fields, P.; Wedgeworth, E.; Mitchell, T.; Cox, M.; Ferreira, S.; Liu, P.; et al. A cutaneous lymphoma international prognostic index (CLIPi) for mycosis fungoides and Sezary syndrome. Eur. J. Cancer 2013, 49, 2859–2868. [Google Scholar] [CrossRef]
- Sanz-Bueno, J.; Lora, D.; Monsálvez, V.; Maroñas-Jiménez, L.; Postigo, C.; Peralto, J.R.; Ortiz-Romero, P. The new Cutaneous Lymphoma International Prognostic index (CLIPi) for early mycosis fungoides failed to identify prognostic groups in a cohort of Spanish patients. Br. J. Dermatol. 2016, 175, 794–796. [Google Scholar] [CrossRef] [PubMed]
- Muniesa, C.; Estrach, T.; Pujol, R.M.; Gallardo, F.; Garcia-Muret, P.; Climent, J.; Servitje, O. Folliculotropic mycosis fungoides: Clinicopathological features and outcome in a series of 20 cases. J. Am. Acad. Dermatol. 2010, 62, 418–426. [Google Scholar] [CrossRef] [PubMed]
- Agar, N.S.; Wedgeworth, E.; Crichton, S.; Mitchell, T.J.; Cox, M.; Ferreira, S.; Robson, A.; Calonje, E.; Stefanato, C.M.; Wain, E.M.; et al. Survival outcomes and prognostic factors in mycosis fungoides/Sézary syndrome: Validation of the revised International Society for Cutaneous Lymphomas/European Organisation for Research and Treatment of Cancer staging proposal. J. Clin. Oncol. 2010, 28, 4730–4739. [Google Scholar] [CrossRef]
- Burg, G.; Dummer, R.; Haeffner, A.; Kempf, W.; Kadin, M. From inflammation to neoplasia: Mycosis fungoides evolves from reactive inflammatory conditions (lymphoid infiltrates) transforming into neoplastic plaques and tumors. Arch. Dermatol. 2001, 137, 949–952. Available online: http://www.ncbi.nlm.nih.gov/pubmed/11453817 (accessed on 9 October 2016).
- Grange, F.; Bagot, M. Prognosis of primary cutaneous lymphomas. Ann. Dermatol. Venereol. 2002, 129, 30–40. Available online: http://www.ncbi.nlm.nih.gov/pubmed/11937927 (accessed on 11 October 2016).









| Variable | Patients (N = 83) |
|---|---|
| Age (years) | 60 (7–85) |
| Gender | |
| Male | 49 (59%) |
| Female | 34 (41%) |
| Disease Stage | |
| Ia | 27 (33%) |
| Ib | 35 (42%) |
| IIa | 21 (25%) |
| Clinical Presentation | |
| Patch | 27 (33%) |
| Plaque | 56 (67%) |
| Tumor | 0 |
| Duration of Premycotic Stage (Prediagnostic Stage) (months) | 48 (0–240) |
| Extent of Lesions | |
| ≤10% of skin surface | 26 (31%) |
| >10% of skin surface | 57 (69%) |
| Enlarged Lymph Nodes | 21 (25%) |
| Disease Progression | 36 (43%) |
| Fatal Outcome | 10 (12%) |
| Therapeutic Response | |
| No response | 9 (11%) |
| Partial response | 37 (45%) |
| Complete response | 37 (45%) |
| Lychenoid Dermal Infiltrate | |
| Sparse | 22 (26%) |
| Moderately dense | 37 (45%) |
| Dense | 24 (29%) |
| Pautrier Microabscesses | |
| None | 33 (40%) |
| Small | 38 (46%) |
| Large | 12 (14%) |
| Lymphocyte “Keepers” (Present) | |
| ≤30/100 keratinocytes | 49 (59%) |
| >30/100 keratinocytes | 34 (41%) |
| Lymphocyte Atypia | |
| None | 3 (4%) |
| ≤10% | 44 (53%) |
| 10–50% | 23 (28%) |
| >50% | 13 (16%) |
| Survived n = 73 | Died n = 10 | Log-Rank Test (p-Value) | ||
|---|---|---|---|---|
| Lichenoid Dermal Infiltrate | ||||
| Sparse | 22 | 0 | p = 0.0484 | |
| Moderate | 35 | 2 | ||
| Dense | 16 | 8 | p = 0.0002 | |
| Pautrier Microabscesses | ||||
| None | 28 | 5 | p = 0.3182 | |
| Small | 33 | 5 | ||
| Large | 12 | 0 | 0.2344 | |
| Lymphocyte “Keepers” (present) | 55 | 8 | p = 0.8491 | |
| ≤30/100 keratinocytes | 47 | 2 | p = 0.0090 | |
| >30/100 keratinocytes | 26 | 8 | ||
| Lymphocyte Atypia | ||||
| None | 3 | 0 | ||
| ≤10% | 40 | 4 | Chi-square: p = 0.1469 | |
| 10–50% | 20 | 3 | ||
| >50% | 10 | 3 | p = 0.1524 | |
| Variable | RR | 95% CI Lower | 95% CI Upper | p-Value |
|---|---|---|---|---|
| Lichenoid dermal infiltrate—dense | 11.77 | 2.05 | 67.61 | 0.0065 |
| Lymphocyte “keepers” >30/100 keratinocytes | 14.59 | 1.60 | 132.99 | 0.0184 |
| Progression n = 36 | No Progression n = 47 | Log-Rank Test p-Value | ||
|---|---|---|---|---|
| Lichenoid Dermal Infiltrate | ||||
| Sparse | 5 | 17 | Chi-square p = 0.0881 | p = 0.1146 |
| Moderate | 17 | 20 | ||
| Dense | 14 | 10 | ||
| Pautrier Microabscesses | ||||
| None | 14 | 19 | Chi-square p = 0.4708 | |
| Small | 19 | 19 | ||
| Large | 3 | 9 | p = 0.2664 | |
| Lymphocyte “Keepers“ (present) | 30 | 33 | p = 0.1438 | |
| ≤30/100 keratinocytes | 17 | 32 | p = 0.0722 | |
| >30/100 keratinocytes | 19 | 15 | ||
| Lymphocyte atypia | ||||
| Absent | 0 | 3 | ||
| ≤10% | 17 | 27 | Chi-square p = 0.0513 | |
| 10–50% | 10 | 13 | ||
| >50% | 9 | 4 | p = 0.0196 | |
| Relative Risk (RR) | 95% Confidence Interval | p-Value | |
|---|---|---|---|
| Pautrier microabscesses—large | 0.222 | 0.040–1.228 | 0.0834 |
| Lymphocyte “keepers”—present | 4.105 | 0.947–17.794 | 0.0588 |
| Lymphocyte “keepers” >30/100 keratinocytes | 2.598 | 0.862–7.833 | 0.0885 |
| Lymphocyte atypia >50% | 3.750 | 0.866–16.230 | 0.0761 |
Disclaimer/Publisher’s Note: The statements, opinions and data contained in all publications are solely those of the individual author(s) and contributor(s) and not of MDPI and/or the editor(s). MDPI and/or the editor(s) disclaim responsibility for any injury to people or property resulting from any ideas, methods, instructions or products referred to in the content. |
© 2024 by the authors. Licensee MDPI, Basel, Switzerland. This article is an open access article distributed under the terms and conditions of the Creative Commons Attribution (CC BY) license (https://creativecommons.org/licenses/by/4.0/).
Share and Cite
Jerkovic Gulin, S.; Ilic, I.; Ceovic, R. The Prognostic Value of Histopathological Features in Early-Stage Mycosis Fungoides: Insights from a Retrospective–Prospective Cohort Study. Dermatopathology 2024, 11, 161-176. https://doi.org/10.3390/dermatopathology11020017
Jerkovic Gulin S, Ilic I, Ceovic R. The Prognostic Value of Histopathological Features in Early-Stage Mycosis Fungoides: Insights from a Retrospective–Prospective Cohort Study. Dermatopathology. 2024; 11(2):161-176. https://doi.org/10.3390/dermatopathology11020017
Chicago/Turabian StyleJerkovic Gulin, Sandra, Ivana Ilic, and Romana Ceovic. 2024. "The Prognostic Value of Histopathological Features in Early-Stage Mycosis Fungoides: Insights from a Retrospective–Prospective Cohort Study" Dermatopathology 11, no. 2: 161-176. https://doi.org/10.3390/dermatopathology11020017
APA StyleJerkovic Gulin, S., Ilic, I., & Ceovic, R. (2024). The Prognostic Value of Histopathological Features in Early-Stage Mycosis Fungoides: Insights from a Retrospective–Prospective Cohort Study. Dermatopathology, 11(2), 161-176. https://doi.org/10.3390/dermatopathology11020017

