Is Obesity a Risk Factor for Loss of Reduction in Children with Distal Radius Fractures Treated Conservatively?
Abstract
1. Introduction
2. Materials and Methods
2.1. Sample Selection
2.2. Treatment Protocol
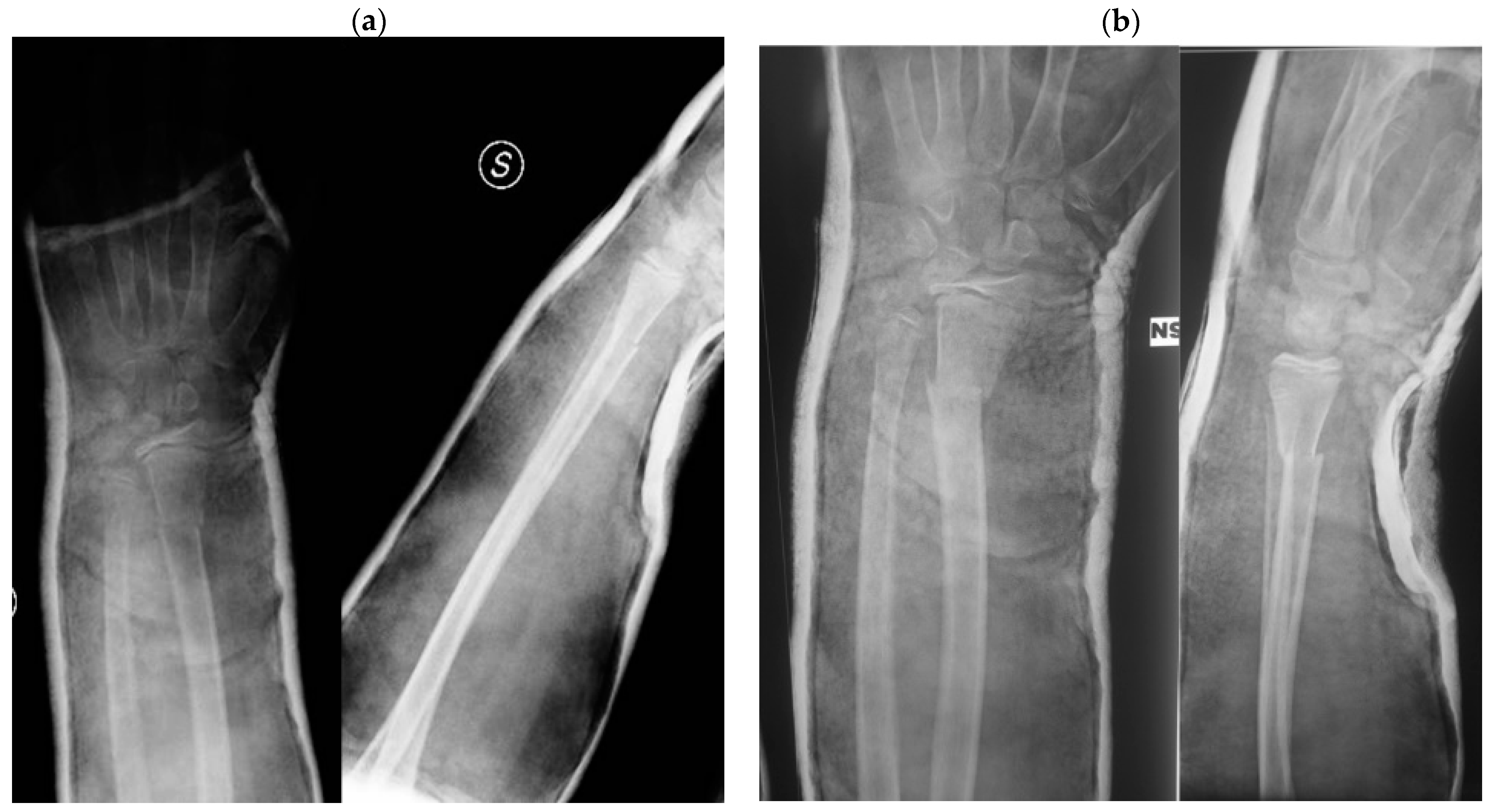
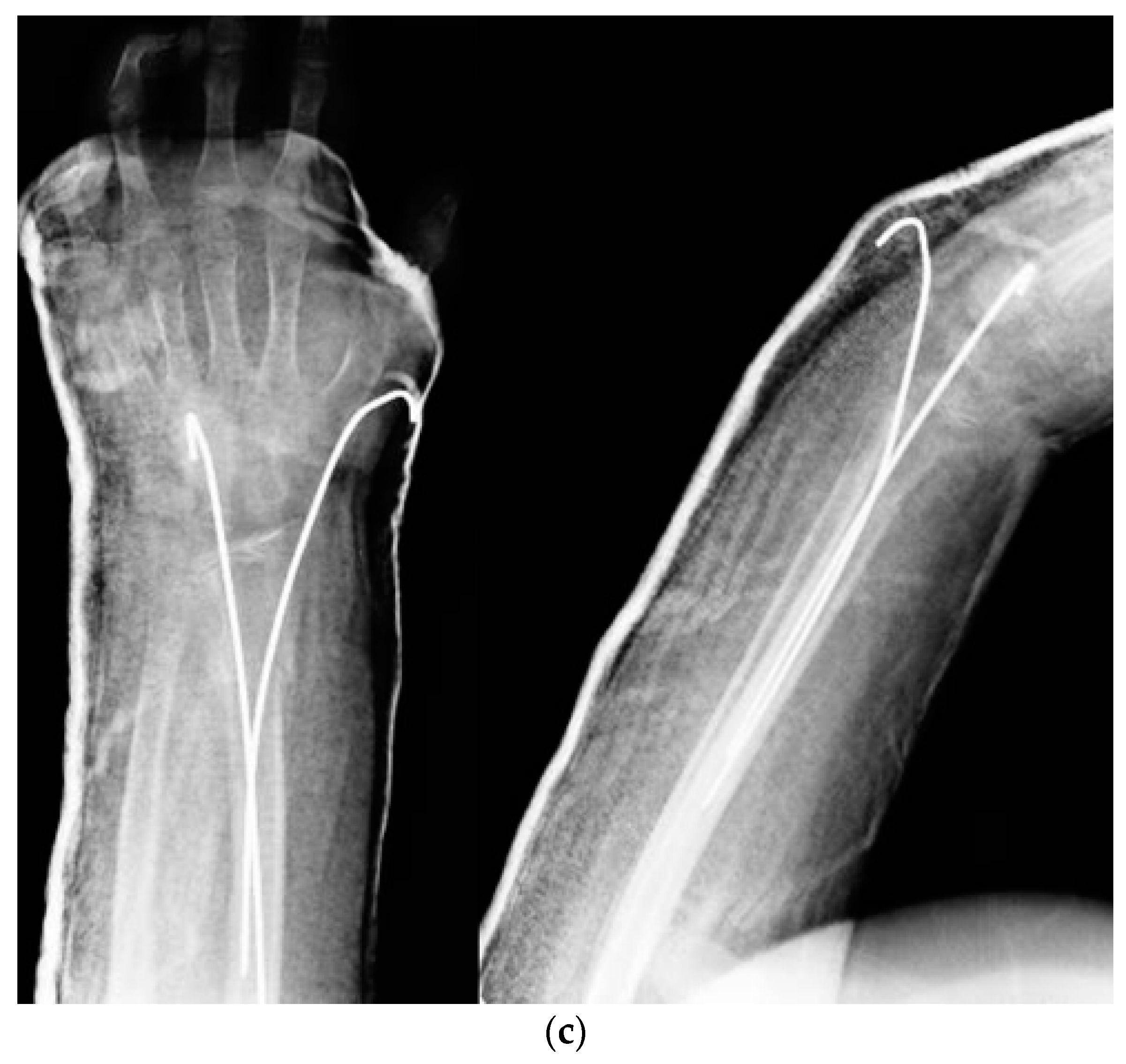
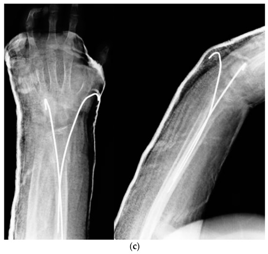
2.3. Radiographic Evaluation
2.4. Statistical Analysis
3. Results
3.1. Sample
3.2. Radiographic Evaluation
4. Discussion
5. Conclusions
Author Contributions
Funding
Institutional Review Board Statement
Informed Consent Statement
Data Availability Statement
Conflicts of Interest
References
- Kumar, S.; Kelly, A.S. Review of Childhood Obesity: From Epidemiology, Etiology, and Comorbidities to Clinical Assessment and Treatment. Mayo Clin. Proc. 2017, 92, 251–265. [Google Scholar] [CrossRef] [PubMed]
- Dietz, W.H.; Robinson, T.N. Overweight Children and Adolescents. N. Engl. J. Med. 2005, 352, 2100–2109. [Google Scholar] [CrossRef]
- Pavone, V.; Vescio, A.; Canavese, F.; Costa, D.; Sessa, G.; Testa, G. Effects of Body Weight on the Clinical and Radiological Outcomes of Children with Flexible Flatfeet Managed with the ‘Calcaneo-Stop’Procedure. J. Pediatr. Orthop. B 2019, 28, 228–234. [Google Scholar] [CrossRef]
- Kindler, J.M.; Pollock, N.K.; Ross, H.L.; Modlesky, C.M.; Singh, H.; Laing, E.M.; Lewis, R.D. Obese Versus Normal-Weight Late-Adolescent Females Have Inferior Trabecular Bone Microarchitecture: A Pilot Case-Control Study. Calcif. Tissue Int. 2017, 101, 479–488. [Google Scholar] [CrossRef] [PubMed]
- Dimitri, P.; Jacques, R.M.; Paggiosi, M.; King, D.; Walsh, J.; Taylor, Z.A.; Frangi, A.F.; Bishop, N.; Eastell, R. Leptin May Play a Role in Bone Microstructural Alterations in Obese Children. J. Clin. Endocrinol. Metab. 2015, 100, 594–602. [Google Scholar] [CrossRef] [PubMed]
- Naranje, S.M.; Erali, R.A.; Warner, W.C.; Sawyer, J.R.; Kelly, D.M. Epidemiology of Pediatric Fractures Presenting to Emergency Departments in the United States. J. Pediatr. Orthop. 2016, 36, e45–e48. [Google Scholar] [CrossRef]
- Joeris, A.; Lutz, N.; Blumenthal, A.; Slongo, T.; Audigé, L. The AO Pediatric Comprehensive Classification of Long Bone Fractures (PCCF). Acta Orthop. 2017, 88, 123–128. [Google Scholar] [CrossRef]
- Dua, K.; Abzug, J.M.; Sesko Bauer, A.; Cornwall, R.; Wyrick, T.O. Pediatric Distal Radius Fractures. Instr. Course Lect. 2017, 66, 447–460. [Google Scholar]
- Rana, A.R.; Michalsky, M.P.; Teich, S.; Groner, J.I.; Caniano, D.A.; Schuster, D.P. Childhood Obesity: A Risk Factor for Injuries Observed at a Level-1 Trauma Center. J. Pediatr. Surg. 2009, 44, 1601–1605. [Google Scholar] [CrossRef]
- Grenier, G.; Samora, J.B. What Is New in Pediatric Wrist Fractures? Oper. Tech. Orthop. 2019, 29, 55–66. [Google Scholar] [CrossRef]
- Crawford, S.N.; Lee, L.S.K.; Izuka, B.H. Closed Treatment of Overriding Distal Radial Fractures without Reduction in Children. JBJS J. Bone Jt. Surg. 2012, 94, 246–252. [Google Scholar] [CrossRef] [PubMed]
- Asadollahi, S.; Ooi, K.S.; Hau, R.C. Distal Radial Fractures in Children: Risk Factors for Redisplacement Following Closed Reduction. J. Pediatr. Orthop. 2015, 35, 224–228. [Google Scholar] [CrossRef] [PubMed]
- McQuinn, A.G.; Jaarsma, R.L. Risk Factors for Redisplacement of Pediatric Distal Forearm and Distal Radius Fractures. J. Pediatr. Orthop. 2012, 32, 687–692. [Google Scholar] [CrossRef] [PubMed]
- Arora, R.; Mishra, P.; Aggarwal, A.N.; Anshuman, R.; Sreenivasan, R. Factors Responsible for Redisplacement of Pediatric Forearm Fractures Treated by Closed Reduction and Cast. Indian J. Orthop. 2018, 52, 536–547. [Google Scholar] [CrossRef]
- Pavone, V.; Vescio, A.; Lucenti, L.; Chisari, E.; Canavese, F.; Testa, G. Analysis of Loss of Reduction as Risk Factor for Additional Secondary Displacement in Children with Displaced Distal Radius Fractures Treated Conservatively. Orthop. Traumatol. Surg. Res. 2020, 106, 193–198. [Google Scholar] [CrossRef]
- Pretell Mazzini, J.; Rodriguez Martin, J. Paediatric Forearm and Distal Radius Fractures: Risk Factors and Re-Displacement—Role of Casting Indices. Int. Orthop. 2010, 34, 407–412. [Google Scholar] [CrossRef]
- Proctor, M.T.; Moore, D.J.; Paterson, J.M. Redisplacement after Manipulation of Distal Radial Fractures in Children. J. Bone Jt. Surg. Br. 1993, 75, 453–454. [Google Scholar] [CrossRef]
- Gibbons, C.L.; Woods, D.A.; Pailthorpe, C.; Carr, A.J.; Worlock, P. The Management of Isolated Distal Radius Fractures in Children. J. Pediatr. Orthop. 1994, 14, 207–210. [Google Scholar] [CrossRef]
- McLauchlan, G.J.; Cowan, B.; Annan, I.H.; Robb, J.E. Management of Completely Displaced Metaphyseal Fractures of the Distal Radius in Children. J. Bone Jt. Surg. Br. 2002, 84-B, 413–417. [Google Scholar] [CrossRef]
- Marcheix, P.-S.; Peyrou, P.; Longis, B.; Moulies, D.; Fourcade, L. Dorsal Distal Radius Fractures in Children: Role of Plaster in Redisplacement of These Fractures. J. Pediatr. Orthop. B 2011, 20, 372–375. [Google Scholar] [CrossRef]
- Ghimire, N.; Uprety, S.; Lamichhane, A. Risk Factors for Redisplacement in Pediatric Distal Radius Fractures after Closed Reduction and Cast Immobilisation. J. Inst. Med. 2016, 40, 81–84. [Google Scholar]
- Auer, R.T.; Mazzone, P.; Robinson, L.; Nyland, J.; Chan, G. Childhood Obesity Increases the Risk of Failure in the Treatment of Distal Forearm Fractures. J. Pediatr. Orthop. 2016, 36, e86–e88. [Google Scholar] [CrossRef] [PubMed]
- Okoroafor, U.C.; Cannada, L.K.; McGinty, J.L. Obesity and Failure of Nonsurgical Management of Pediatric Both-Bone Forearm Fractures. J. Hand Surg. 2017, 42, 711–716. [Google Scholar] [CrossRef] [PubMed]
- DeFrancesco, C.J.; Rogers, B.H.; Shah, A.S. Obesity Increases Risk of Loss of Reduction after Casting for Diaphyseal Fractures of the Radius and Ulna in Children: An Observational Cohort Study. J. Orthop. Trauma 2018, 32, e46–e51. [Google Scholar] [CrossRef]
- De Onis, M.; Lobstein, T. Defining Obesity Risk Status in the General Childhood Population: Which Cut-Offs Should We Use? Int. J. Pediatr. Obes. 2010, 5, 458–460. [Google Scholar] [CrossRef]
- Group, W.M.G.R.S.; de Onis, M. Assessment of Differences in Linear Growth among Populations in the WHO Multicentre Growth Reference Study. Acta Paediatr. 2006, 95, 56–65. [Google Scholar]
- Mani, G.V.; Hui, P.W.; Cheng, J.C. Translation of the Radius as a Predictor of Outcome in Distal Radial Fractures of Children. J. Bone Jt. Surg. Br. 1993, 75, 808–811. [Google Scholar] [CrossRef]
- Alemdaroglu, K.B.; Iltar, S.; Çimen, O.; Uysal, M.; Alagöz, E.; Atlihan, D. Risk Factors in Redisplacement of Distal Radial Fractures in Children. JBJS J. Bone Jt. Surg. 2008, 90, 1224–1230. [Google Scholar] [CrossRef]
- Chess, D.G.; Hyndman, J.C.; Leahey, J.L.; Brown, D.C.S.; Sinclair, A.M. Short Arm Plaster Cast for Distal Pediatric Forearm Fractures. J. Pediatr. Orthop. 1994, 14, 211–213. [Google Scholar] [CrossRef]
- Bhatia, M.; Housden, P.H. Redisplacement of Paediatric Forearm Fractures: Role of Plaster Moulding and Padding. Injury 2006, 37, 259–268. [Google Scholar] [CrossRef]
- Malviya, A.; Tsintzas, D.; Mahawar, K.; Bache, C.E.; Glithero, P.R. Gap Index: A Good Predictor of Failure of Plaster Cast in Distal Third Radius Fractures. J. Pediatr. Orthop. B 2007, 16, 48–52. [Google Scholar] [CrossRef] [PubMed][Green Version]
- Gettys, F.K.; Jackson, J.B.; Frick, S.L. Obesity in Pediatric Orthopaedics. Orthop. Clin. 2011, 42, 95–105. [Google Scholar] [CrossRef] [PubMed]
- Donati, F.; Costici, P.F.; De Salvatore, S.; Burrofato, A.; Micciulli, E.; Maiese, A.; Santoro, P.; La Russa, R. A Perspective on Management of Limb Fractures in Obese Children: Is It Time for Dedicated Guidelines? Front. Pediatr. 2020, 8, 207. [Google Scholar] [CrossRef] [PubMed]
- Li, N.Y.; Cruz, A., Jr.; Kalagara, S.; Hersey, A.; Daniels, A. The Influence of Obesity on the Operative and Non-Operative Management of Pediatric Extremity Fractures. Pediatrics 2019, 144, 805. [Google Scholar] [CrossRef]
- Vescio, A.; Testa, G.; Montemagno, M.; Sapienza, M.; Pavone, V. Secondary Displacement Risk after Reduction and Cast Immobilization of Displaced Distal Radius Fractures in Overweight and Obese Children: A Systematic Review and Meta-Analysis. Minerva 2021, 72, 71–76. [Google Scholar] [CrossRef]
- Liu, Y.; Liu, C.; Guo, D.; Wang, N.; Zhao, Y.; Li, D. Effect of Childhood Overweight on Distal Metaphyseal Radius Fractures Treated by Closed Reduction. J. Orthop. Surg. 2021, 16, 182. [Google Scholar] [CrossRef] [PubMed]
- Testa, G.; Vescio, A.; Di Masi, P.; Bruno, G.; Sessa, G.; Pavone, V. Comparison between Surgical and Conservative Treatment for Distal Radius Fractures in Patients over 65 Years. J. Funct. Morphol. Kinesiol. 2019, 4, 26. [Google Scholar] [CrossRef] [PubMed]
- Dimitri, P. Fat and Bone in Children–Where Are We Now? Ann. Pediatr. Endocrinol. Metab. 2018, 23, 62. [Google Scholar] [CrossRef]
- Hanstein, R.; Otsuka, N.Y.; Marano, G.; Burton, D.A.; Qiu, X.; Schulz, J.F.; Gomez, J.A. Body Mass Index Does Not Affect Cast Index but Increases Risk of Complication Associated with Treatment of Distal Forearm Fractures. Pediatrics 2019, 144, 815. [Google Scholar] [CrossRef]



| Group | Patients | M | F | WHO BMI-for-Age | Mean Age | Side | |
|---|---|---|---|---|---|---|---|
| Right | Left | ||||||
| Sample | 189 | 109 | 80 | 1.4 ± 0.4 | 11.8 ± 1.8 | 128 | 61 |
| NW | 67 | 38 | 29 | 0.8 ± 0.4 | 11.6 ± 1.4 | 45 | 22 |
| OW | 84 | 46 | 38 | 1.6 ± 0.5 | 12.1 ± 2.3 | 59 | 25 |
| OB | 38 | 25 | 15 | 2.2 ± 0.2 | 11.3 ± 1.6 | 24 | 14 |
| Group | LOR | Grade of Initial Translation | Quality of Initial Reduction | ||||||
|---|---|---|---|---|---|---|---|---|---|
| No | Yes | 1 | 2 | 3 | 4 | Anatomic | Good | Fair | |
| Sample | 148(78.3) | 41(21.7) | 44(23.3) | 55(29.1) | 57(30.1) | 33(17.5) | 57(78.3) | 80(78.3) | 52(78.3) |
| NW | 58(78.3) | 9(78.3) | 23(78.3) | 21(78.3) | 16(78.3) | 7(78.3) | 26(78.3) | 30(78.3) | 11(78.3) |
| OW | 67(78.3) | 17(78.3) | 16(78.3) | 26(78.3) | 28(78.3) | 14(78.3) | 22(78.3) | 37(78.3) | 25(78.3) |
| OB | 23(78.3) | 15(78.3) | 5(78.3) | 8(78.3) | 13(78.3) | 12(78.3) | 9(78.3) | 13(78.3) | 16(78.3) |
| Cast Index | Padding Index | Canterbury Index | Gap Index | Three-Point Index | |
|---|---|---|---|---|---|
| (Cutoff/Tot) | (Cutoff/Tot) | (Cutoff/Tot) | (Cutoff/Tot) | (Cutoff/Tot) | |
| NW Group | 45/67 (67.2%) | 52/67 (77.6%) | 48/67 (71.6%) | 38/67 (56.7%) | 43/67 (64.2%) |
| p NW vs. OW | 0.06 | 0.48 | 0.51 | 0.81 | 0.87 |
| OW Group | 54/84 (64.3%) | 61/84 (72.6%) | 56/84 (66.7%) | 46/84 (54.8%) | 55/84 (65.5%) |
| p OW vs. OB | 0.001 | 0.44 | 0.04 | 0.87 | 0.80 |
| OB Group | 12/38 (31.6%) | 25/38 (65.8%) | 18/38 (47.4%) | 20/38 (52.6%) | 24/38 (63.2%) |
| p NW vs. OB | <0.00001 | 0.19 | 0.01 | 0.69 | 0.92 |
Publisher’s Note: MDPI stays neutral with regard to jurisdictional claims in published maps and institutional affiliations. |
© 2022 by the authors. Licensee MDPI, Basel, Switzerland. This article is an open access article distributed under the terms and conditions of the Creative Commons Attribution (CC BY) license (https://creativecommons.org/licenses/by/4.0/).
Share and Cite
Vescio, A.; Testa, G.; Sapienza, M.; Caldaci, A.; Montemagno, M.; Andreacchio, A.; Canavese, F.; Pavone, V. Is Obesity a Risk Factor for Loss of Reduction in Children with Distal Radius Fractures Treated Conservatively? Children 2022, 9, 425. https://doi.org/10.3390/children9030425
Vescio A, Testa G, Sapienza M, Caldaci A, Montemagno M, Andreacchio A, Canavese F, Pavone V. Is Obesity a Risk Factor for Loss of Reduction in Children with Distal Radius Fractures Treated Conservatively? Children. 2022; 9(3):425. https://doi.org/10.3390/children9030425
Chicago/Turabian StyleVescio, Andrea, Gianluca Testa, Marco Sapienza, Alessia Caldaci, Marco Montemagno, Antonio Andreacchio, Federico Canavese, and Vito Pavone. 2022. "Is Obesity a Risk Factor for Loss of Reduction in Children with Distal Radius Fractures Treated Conservatively?" Children 9, no. 3: 425. https://doi.org/10.3390/children9030425
APA StyleVescio, A., Testa, G., Sapienza, M., Caldaci, A., Montemagno, M., Andreacchio, A., Canavese, F., & Pavone, V. (2022). Is Obesity a Risk Factor for Loss of Reduction in Children with Distal Radius Fractures Treated Conservatively? Children, 9(3), 425. https://doi.org/10.3390/children9030425

