A Case Series of Gastric Metastatic Growths
Abstract
:1. Introduction
2. Methods
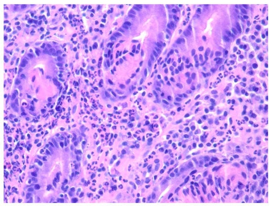
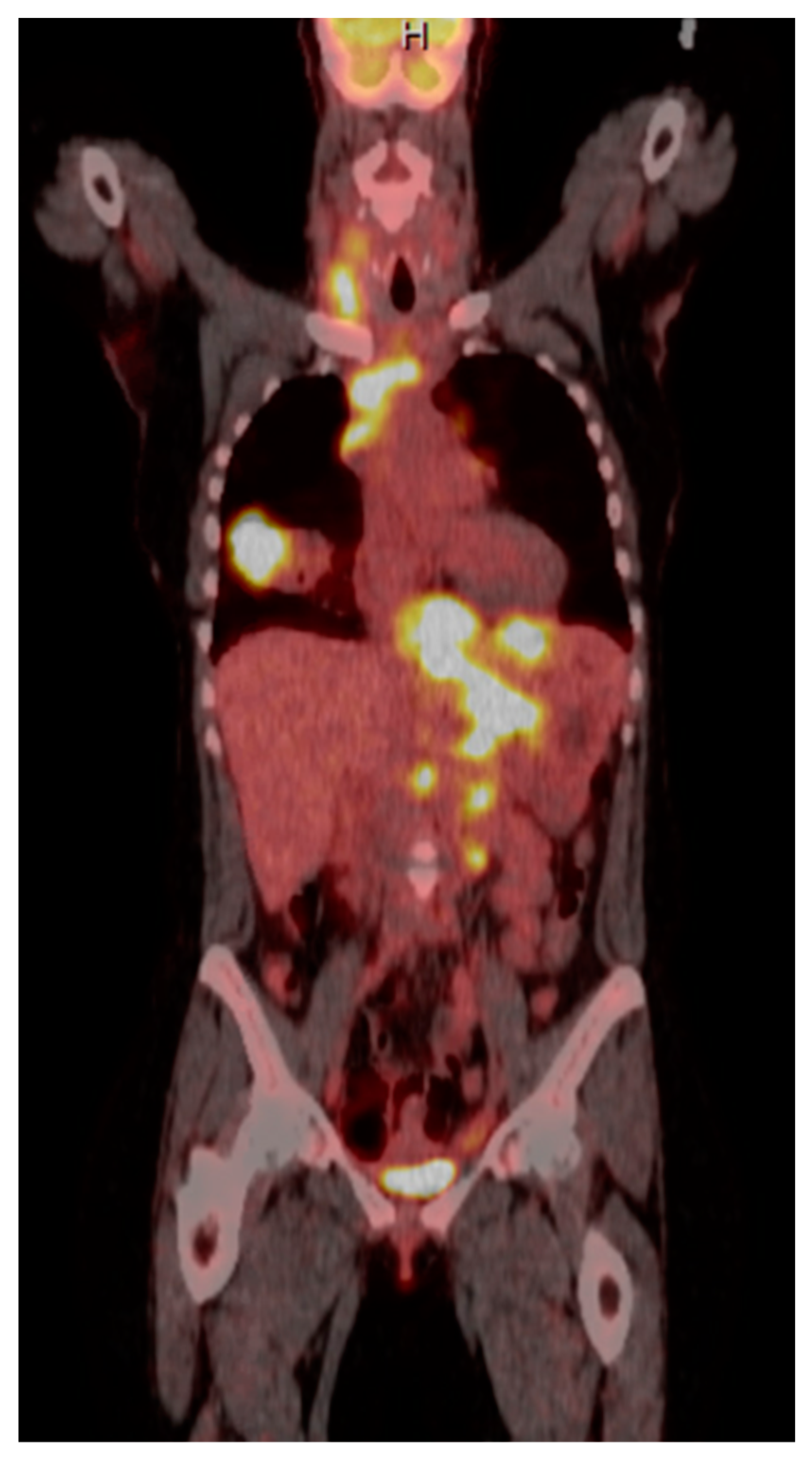
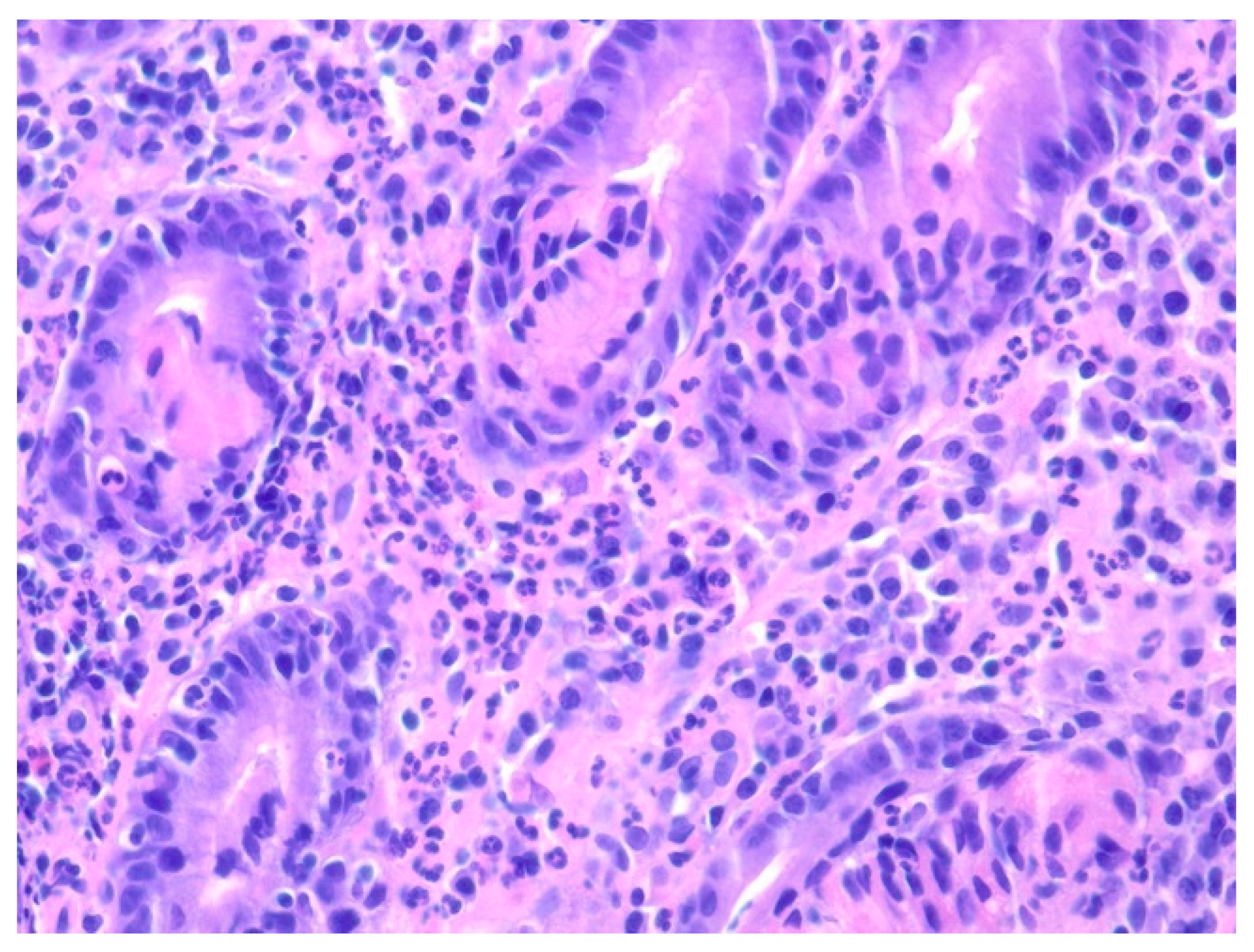
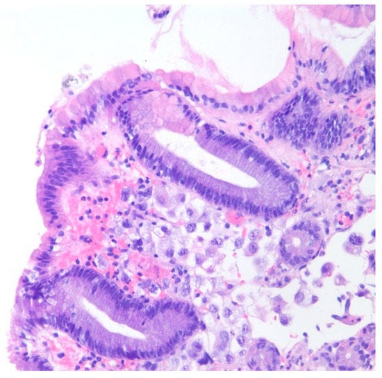
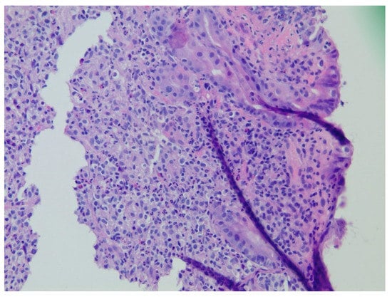
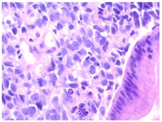
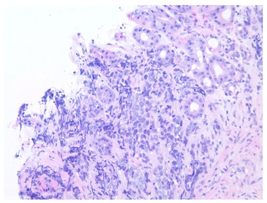
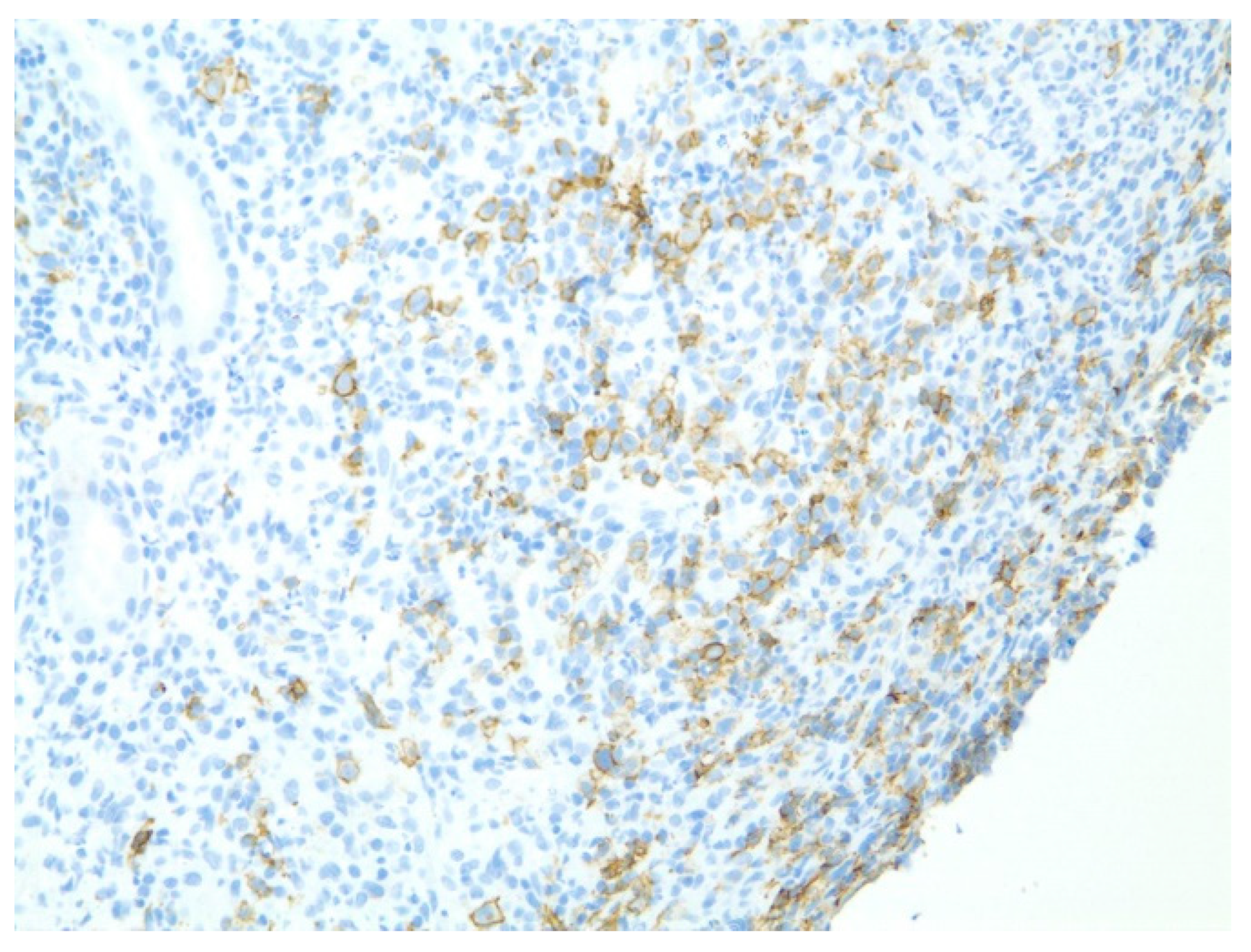
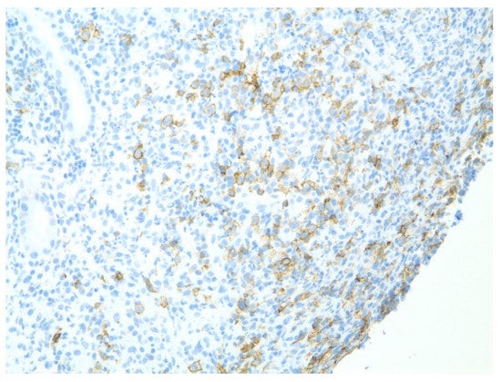
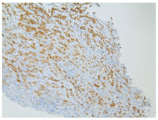
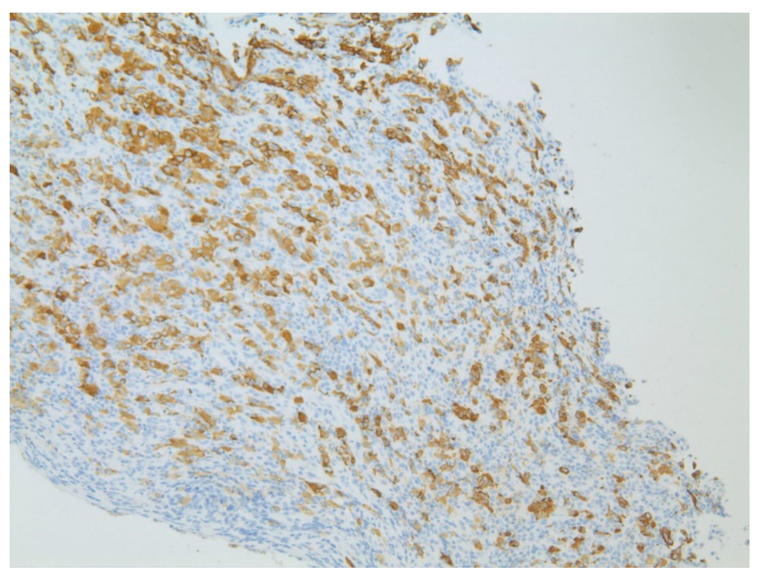
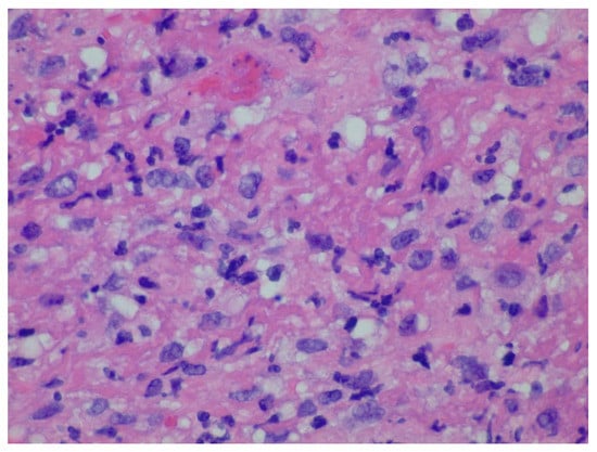
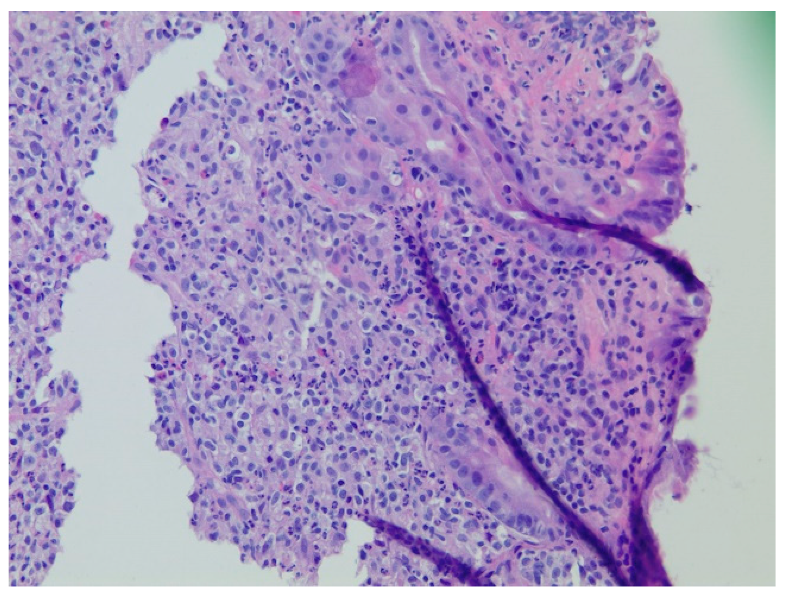
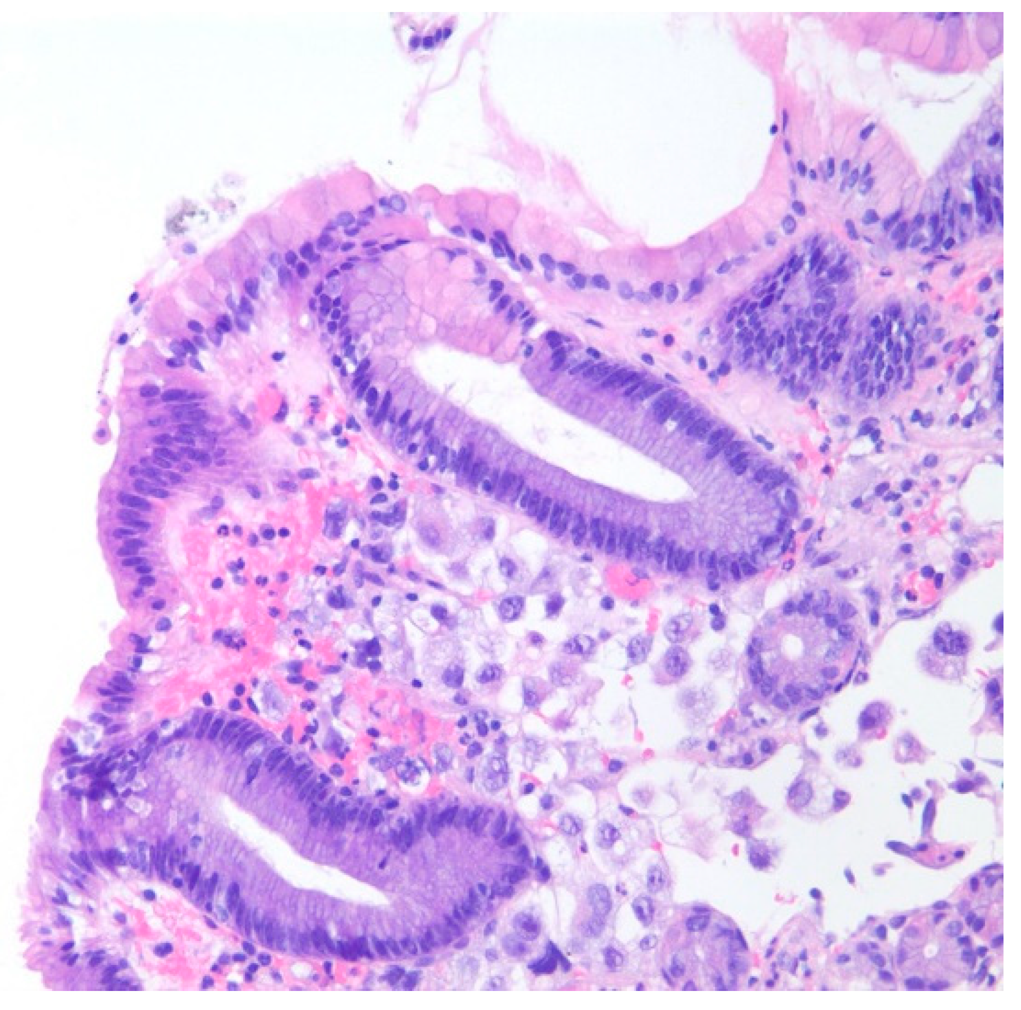
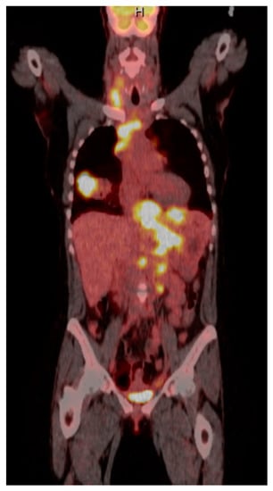
3. Results
3.1. Patient Characteristics
3.2. Treatment of Gastric Metastases
4. Discussion
5. Conclusions
Author Contributions
Funding
Institutional Review Board Statement
Informed Consent Statement
Data Availability Statement
Acknowledgments
Conflicts of Interest
Abbreviations
References
- Oda, I.; Kondo, H.; Yamao, T.; Saito, D.; Ono, H.; Gotoda, T.; Yamaguchi, H.; Yoshida, S.; Shimoda, T. Metastatic Tumors to the Stomach: Analysis of 54 Patients Diagnosed at Endoscopy and 347 Autopsy Cases. Endoscopy 2001, 33, 507–510. [Google Scholar] [CrossRef] [PubMed]
- Sung, H.; Ferlay, J.; Siegel, R.L.; Laversanne, M.; Soerjomataram, I.; Jemal, A.; Bray, F. Global Cancer Statistics 2020: GLOBOCAN Estimates of Incidence and Mortality Worldwide for 36 Cancers in 185 Countries. CA Cancer J. Clin. 2021, 71, 209–249. [Google Scholar] [CrossRef] [PubMed]
- Namikawa, T.; Munekage, E.; Ogawa, M.; Oki, T.; Munekage, M.; Maeda, H.; Kitagawa, H.; Sugimoto, T.; Kobayashi, M.; Hanazaki, K. Clinical presentation and treatment of gastric metastasis from other malignancies of solid organs. Biomed. Rep. 2017, 7, 159–162. [Google Scholar] [CrossRef] [PubMed]
- Namikawa, T.; Hanazaki, K. Clinicopathological features and treatment outcomes of metastatic tumors in the stomach. Surg. Today 2014, 44, 1392–1399. [Google Scholar] [CrossRef] [PubMed]
- Kobayashi, O.; Murakami, H.; Yoshida, T.; Cho, H.; Yoshikawa, T.; Tsuburaya, A.; Sairenji, M.; Motohashi, H.; Sugiyama, Y.; Kameda, Y. Clinical diagnosis of metastatic gastric tumors: Clinicopathologic findings and prognosis of nine patients in a single cancer center. World J. Surg. 2004, 28, 548–551. [Google Scholar] [CrossRef] [PubMed]
- Patel, K.; Ward, S.; Packer, T.; Brown, S.; Marsden, J.; Thomson, M.; Ismail, T. Malignant melanoma of the gastro-intestinal tract: A case series. Int. J. Surg. 2014, 12, 523–527. [Google Scholar] [CrossRef] [PubMed]
- Wong, K.; Serafi, S.W.; Bhatia, A.S.; Ibarra, I.; Allen, E.A. Melanoma with gastric metastases. J. Community Hosp. Intern. Med. Perspect. 2016, 6, 31972. [Google Scholar] [CrossRef] [PubMed]
- Goral, V.; Ucmak, F.; Yildirim, S.; Barutcu, S.; Ileri, S.; Aslan, I.; Buyukbayram, H. Malignant melanoma of the stomach presenting in a woman: A case report. J. Med. Case Rep. 2011, 5, 94. [Google Scholar] [CrossRef] [PubMed]
- Ollila, D.W.; Essner, R.; Wanek, L.A.; Morton, D.L. Surgical Resection for Melanoma Metastatic to the Gastrointestinal Tract. Arch. Surg. 1996, 131, 975–980. [Google Scholar] [CrossRef]
- Ghimire, P.; Wu, G.-Y.; Zhu, L. Primary gastrointestinal lymphoma. World J. Gastroenterol. 2011, 17, 697–707. [Google Scholar] [CrossRef]
- Garwood, R.A.; Sawyer, M.D.; Ledesma, E.; Foley, E.; Claridge, J.A. A Case and Review of Bowel Perforation Secondary to Metastatic Lung Cancer. Am. Surg. 2005, 71, 110–116. [Google Scholar] [CrossRef] [PubMed]
- Antler, A.S.; Ough, Y.; Pitchumoni, C.S.; Davidian, M.; Thelmo, W. Gastrointestinal metastases from malignant tumors of the lung. Cancer 1982, 49, 170–172. [Google Scholar] [CrossRef]
- He, Y.; Cui, Y.; Duan, X.; Liu, C.; Cai, X. Primary lung squamous cell carcinoma with gastric metastasis: A case report. Thorac. Cancer 2019, 10, 373–377. [Google Scholar] [CrossRef] [PubMed]
- Kim, M.S.; Kook, E.H.; Ahn, S.H.; Jeon, S.Y.; Yoon, J.H.; Han, M.S.; Kim, C.H.; Lee, J.C. Gastrointestinal metastasis of lung cancer with special emphasis on a long-term survivor after operation. J. Cancer Res. Clin. Oncol. 2009, 135, 297–301. [Google Scholar] [CrossRef]


















| Sex | Age | Primary Cancer | Tumor Location | Gross Appearance | Additional Metastases | Pathology | Treatment | Outcome | |
|---|---|---|---|---|---|---|---|---|---|
| 1 | F | 66 | Skin | Fundus, cardia, and body | Polypoid lesions with superficial ulcers | Esophagus, duodenum, mediastinum, cervical soft tissue, pancreas | Metastatic malignant melanoma | Radiotherapy and immunotherapy | Comfort care and death 5 days after EGD diagnosis of metastasis |
| 2 | M | 84 | Lymphoid | Fundus and cardia | Ulcerated and necrotic mass | Liver, urinary bladder | Diffuse large B-cell lymphoma | None | Death in 2 months after EGD diagnosis of metastasis |
| 3 | F | 35 | Lung | Fundus | Fungating mass | Esophagus, mediastinum | Large-cell neuroendocrine carcinoma | Chemotherapy-carboplatin/ etoposide | Death 1 month after EGD diagnosis of metastasis |
| 4 | F | 73 | Kidney | Fundus and body | Multiple large friable masses | Liver and lungs | Clear cell renal carcinoma | Nephrectomy, chemotherapy, immunotherapy (Axitinib) | Death 10 days after EGD diagnosis of metastasis |
| 5 | M | 76 | Lung | Body | Cratered ulcers | Liver, bone and adrenals | Small cell carcinoma (poorly differentiated neuroendocrine Ca) | None | Death 7 days after EGD diagnosis of metastasis |
| 6 | M | 61 | Lymphoid | Unknown | Clean based ulcer | None | Marginal zone lymphoma | Rituximab, Zanubrutinib, umbrasilib. OCHOP regimen currently | Progressive disease per latest scans despite therapy |
Publisher’s Note: MDPI stays neutral with regard to jurisdictional claims in published maps and institutional affiliations. |
© 2022 by the authors. Licensee MDPI, Basel, Switzerland. This article is an open access article distributed under the terms and conditions of the Creative Commons Attribution (CC BY) license (https://creativecommons.org/licenses/by/4.0/).
Share and Cite
Gandhi, M.; Chela, H.K.; Ertugrul, H.; Al Juboori, A.; Gangu, K.; Rao, D.; Daglilar, E. A Case Series of Gastric Metastatic Growths. Diseases 2022, 10, 61. https://doi.org/10.3390/diseases10030061
Gandhi M, Chela HK, Ertugrul H, Al Juboori A, Gangu K, Rao D, Daglilar E. A Case Series of Gastric Metastatic Growths. Diseases. 2022; 10(3):61. https://doi.org/10.3390/diseases10030061
Chicago/Turabian StyleGandhi, Mustafa, Harleen Kaur Chela, Hamza Ertugrul, Alhareth Al Juboori, Karthik Gangu, Deepthi Rao, and Ebubekir Daglilar. 2022. "A Case Series of Gastric Metastatic Growths" Diseases 10, no. 3: 61. https://doi.org/10.3390/diseases10030061
APA StyleGandhi, M., Chela, H. K., Ertugrul, H., Al Juboori, A., Gangu, K., Rao, D., & Daglilar, E. (2022). A Case Series of Gastric Metastatic Growths. Diseases, 10(3), 61. https://doi.org/10.3390/diseases10030061

