Dual-Channel Colloidal Gold-Based Immunochromatographic Test Strip for Rapidly Differentiating Between Two Major Groups of Paracidovorax citrulli
Abstract
1. Introduction
2. Materials and Methods
2.1. Experimental Materials
2.2. Antibody Screening
2.2.1. Strain Identification and Selection of Strains for Immunizations
2.2.2. Generation of Antibodies
2.3. Preparation of Colloidal Gold-Labeled Monoclonal Antibodies
2.4. Assembly of Colloidal Gold Immunochromatographic Single Test Strips
2.5. Optimization of Working Conditions for Colloidal Gold Immunochromatographic Single Test Strips
2.6. Preparation of Samples
3. Results
3.1. Establishment of A.C1 and A.C2 Immunochromatographic Single Test Strips
3.1.1. Optimization of the A.C1 and A.C2 Immunochromatographic Single Test Strips
Optimization of Chromatographic Solution pH
Optimization of the T-Line
Optimization of Surfactants
3.1.2. Analytical Evaluation of the A.C1 and A.C2 Immunochromatographic Single Test Strips
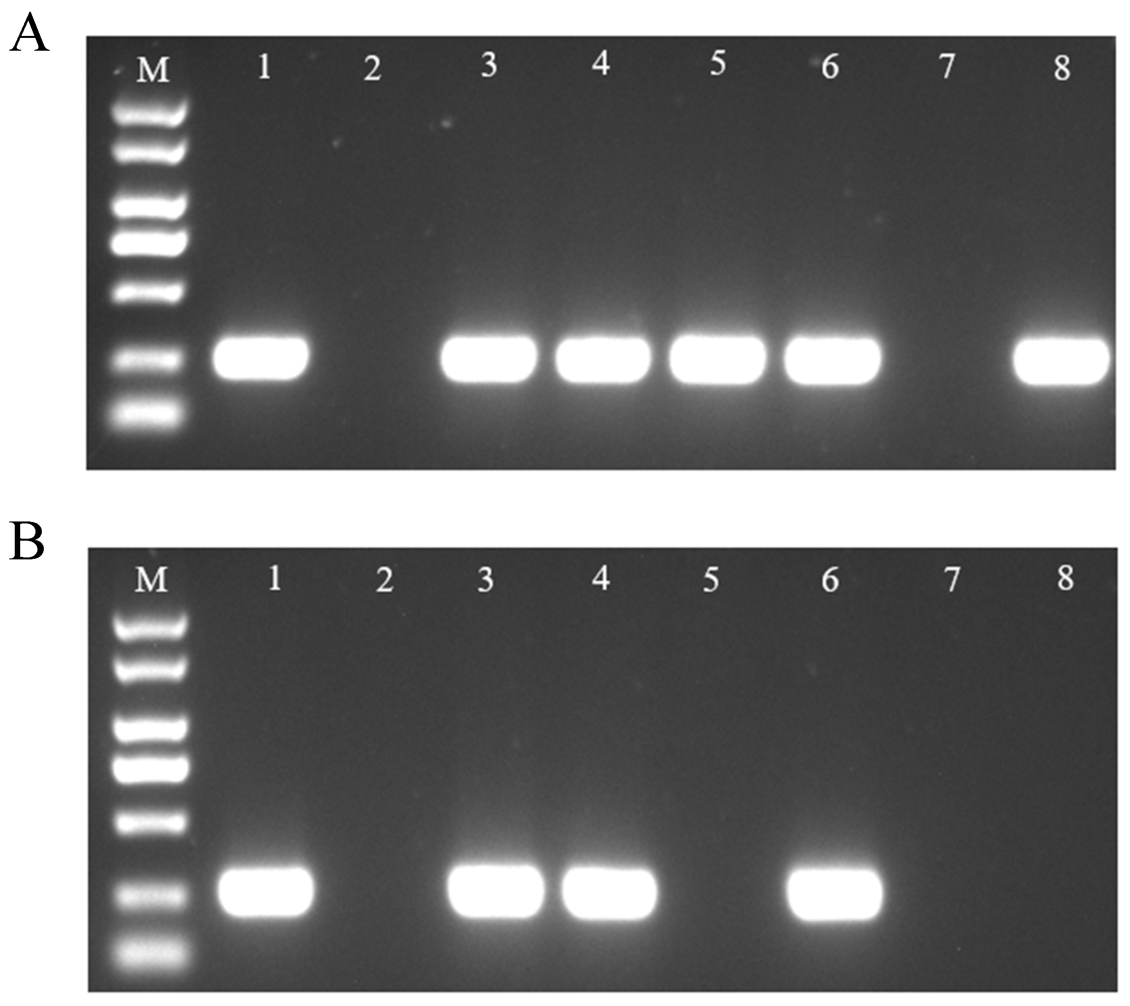
Sensitivity of the A.C1 and A.C2 Single Test Strips
Stability of the A.C1 and A.C2 Single Test Strips
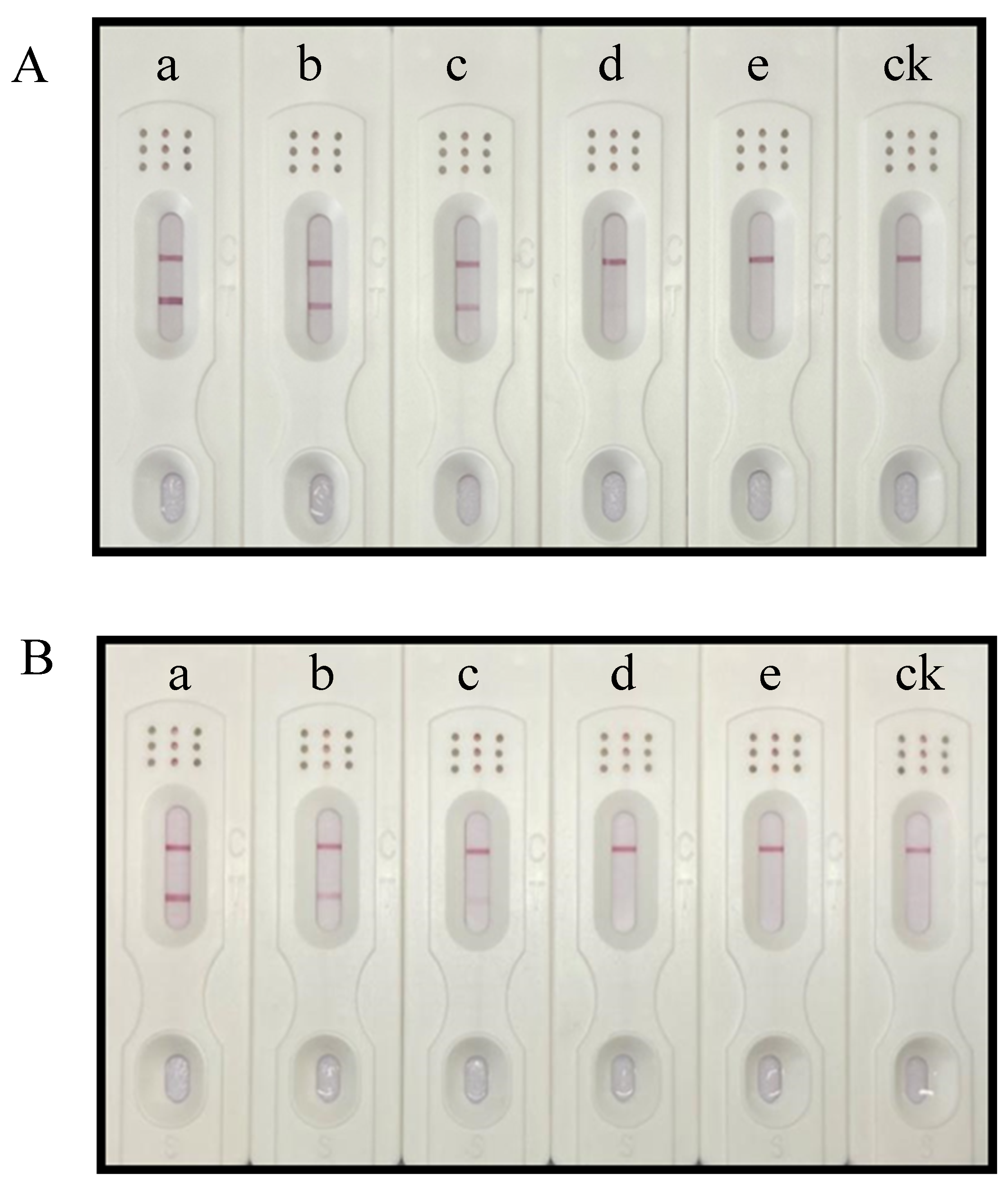
Specificity of the A.C1 and A.C2 Single Test Strips
3.2. Development of a Dual-Channel Immunochromatographic Test Strip
3.2.1. Characterization of a Dual-Channel Immunochromatographic Test Strip
3.2.2. Detection of Randomly Mixed Bacterial Solutions
3.2.3. Evaluation of Leaf Effects on Test Strips
4. Conclusions
Supplementary Materials
Author Contributions
Funding
Institutional Review Board Statement
Informed Consent Statement
Data Availability Statement
Conflicts of Interest
References
- Schaad, N.W.; Postnikova, E.; Sechler, A.; Claflin, L.E.; Vidaver, A.K.; Jones, J.B.; Agarkova, I.; Ignatov, A.; Dickstein, E.; Ramundo, B.A. Reclassification of Subspecies of Acidovorax avenae as A. avenae (Manns 1905) Emend., A. cattleyae (Pavarino, 1911) Comb. Nov., P. citrulli Schaad et al., 1978) Comb. Nov., and Proposal of A. oryzae sp. Nov. Syst. Appl. Microbiol. 2008, 31, 434–446. [Google Scholar] [CrossRef] [PubMed]
- Willems, A.; Goor, M.; Thielemans, S.; Gillis, M.; Kersters, K.; De Ley, J. Transfer of Several Phytopathogenic Pseudomonas Species to Acidovorax as Acidovorax avenae subsp. Avenae subsp. Nov., Comb. Nov., Acidovorax avenae subsp. citrulli, Acidovorax avenae subsp. cattleyae, and Acidovorax konjaci. Int. J. Syst. Bacteriol. 1992, 42, 107–119. [Google Scholar] [CrossRef]
- Walcott, R.R.; Gitaitis, R.D. Detection of Acidovorax avenae subsp. citrulli in Watermelon Seed Using Immunomagnetic Separation and the Polymerase Chain Reaction. Plant Dis. 2000, 84, 470–474. [Google Scholar] [CrossRef] [PubMed]
- Yang, R.; Santos Garcia, D.; Pérez Montaño, F.; Da Silva, G.M.; Zhao, M.; Jiménez Guerrero, I.; Rosenberg, T.; Chen, G.; Plaschkes, I.; Morin, S.; et al. Complete Assembly of the Genome of an Acidovorax citrulli Strain Reveals a Naturally Occurring Plasmid in This Species. Front. Microbiol. 2019, 10, 1400. [Google Scholar] [CrossRef] [PubMed]
- Burdman, S.; Walcott, R. Acidovorax citrulli: Generating Basic and Applied Knowledge to Tackle a Global Threat to the Cucurbit Industry. Mol. Plant Pathol. 2012, 13, 805–815. [Google Scholar] [CrossRef] [PubMed]
- Somodi, G.C.; Jones, J.B.; Hopkins, D.L.; Stall, R.E.; Kucharek, T.A.; Hodge, N.C.; Watterson, J.C. Occurrence of a bacterial watermelon fruit blotch in Florida. Plant Dis. 1991, 75, 1053–1056. [Google Scholar] [CrossRef]
- Chalupowicz, L.; Reuven, M.; Dror, O.; Sela, N.; Burdman, S.; Manulis-Sasson, S. Characterization of Acidovorax citrulli Strains Isolated from Solanaceous Plants. Plant Pathol. 2020, 69, 1787–1797. [Google Scholar] [CrossRef]
- Schaad, N.W.; Sowell, G.; Goth, R.W.; Colwell, R.R.; Webb, R.E. Pseudomonas pseudoalcaligenes subsp. citrulli subsp. Nov. Int. J. Syst. Evolut. Microbiol. 1978, 28, 117–125. [Google Scholar]
- Bahar, O.; Efrat, M.; Hadar, E.; Dutta, B.; Walcott, R.R.; Burdman, S. New Subspecies-specific Polymerase Chain Reaction-based Assay for the Detection of Acidovorax avenae subsp. citrulli. Plant Pathol. 2008, 57, 754–763. [Google Scholar] [CrossRef]
- Schaad, N.W.; Postnikova, E.; Randhawa, P. Emergence of Acidovorax avenae subsp. citrulli as a Crop Threatening Disease of Watermelon and Melon. In Pseudomonas syringae and Related Pathogens; Springer: Dordrecht, The Netherlands, 2003; pp. 573–581. [Google Scholar] [CrossRef]
- Chalupowicz, L.; Dror, O.; Reuven, M.; Burdman, S.; Manulis-Sasson, S. Cotyledons Are the Main Source of Secondary Spread of Acidovorax citrulli in Melon Nurseries. Plant Pathol. 2015, 64, 528–536. [Google Scholar] [CrossRef]
- Dutta, B.; Sanders, H.; Langston, D.B.; Booth, C.; Smith, S.; Gitaitis, R.D. Long-term Survival of Acidovorax citrulli in Citron Melon (Citrullus lanatus Var. citroides) Seeds. Plant Pathol. 2014, 63, 1130–1137. [Google Scholar] [CrossRef]
- Gong, W.; Hu, J.; Hu, X.; Wang, H.; Hu, B. Risk Analysis and Control Countermeasures of Bacterial Fruit Blotch in Jiangsu. Anhui Agric Sci. 2018, 46, 155–157. [Google Scholar]
- Jiao, J.; Yang, M.; Zhang, T.; Zhang, Y.; Yang, M.; Li, M.; Liu, C.; Song, S.; Bai, T.; Song, C.; et al. A sensitive visual method for onsite detection of quarantine pathogenic bacteria from horticultural crops using an LbCas12a variant system. J. Hazard. Mater. 2021, 426, 128038. [Google Scholar] [CrossRef] [PubMed]
- Walcott, R.R.; Langston, D.B.; Sanders, F.H.; Gitaitis, R.D. Investigating Intraspecific Variation of Acidovorax avenae subsp. citrulli Using DNA Fingerprinting and Whole Cell Fatty Acid Analysis. Phytopathology 2000, 90, 191–196. [Google Scholar] [CrossRef] [PubMed]
- Walcott, R.R.; Fessehaie, A.; Castro, A.C. Differences in Pathogenicity between Two Genetically Distinct Groups of Acidovorax avenae subsp. citrulli on Cucurbit Hosts. J. Phytopathol. 2004, 152, 277–285. [Google Scholar] [CrossRef]
- Yan, S.; Yang, Y.; Wang, T.; Zhao, T.; Schaad, N.W. Genetic diversity analysis of Acidovorax citrulli in China. Eur. J. Plant Pathol. 2013, 136, 171–181. [Google Scholar] [CrossRef]
- Zhao, W.; Yang, Y.; Wang, T.; Jiang, J.; Liu, H.; Zhao, T. Sensitivity test and analysis of Acidovorax citrulli to copper sulfate. Plant Prot. 2013, 39, 100–105. [Google Scholar]
- Li, L.; Ge, Y.; Tian, Y.; Hu, B. Development of biological seed coating formulation for control of bacterial fruit blotch (BFB). J. Agric. Biotechnol 2015, 23, 1649–1659. [Google Scholar]
- Zhao, T.; Feng, J.; Sechler, A.; Randhawa, P.; Li, J.; Schaad, N.W. An improved assay for detection of Acidovorax citrulli in watermelon and melon seed. Seed Sci. Technol. 2009, 37, 337–349. [Google Scholar] [CrossRef]
- Feng, J.; Li, J.; Walcott, R.R.; Zhang, G.; Luo, L.; Kang, L.; Zheng, Y.; Schaad, N.W. Advances in detection of Acidovorax citrulli, the causal agent of bacterial fruit blotch of cucurbits. Seed Sci. Technol. 2013, 41, 1–15. [Google Scholar] [CrossRef]
- Hui, W.; Zhao, T.; Schaaad, N.W.; Sun, F.; Wang, J. Establishment of rapid detection method for thepathogen of hamimelon fruit blotch. Sci. Agric. Sin. 2007, 40, 2495–2501. [Google Scholar]
- Thaitrong, N.; Charlermroj, R.; Himananto, O.; Seepiban, C.; Karoonuthaisiri, N. Implementation of Microfluidic Sandwich ELISA for Superior Detection of Plant Pathogens. PLoS ONE 2013, 8, e83231. [Google Scholar] [CrossRef]
- Himananto, O.; Yoohat, K.; Danwisetkanjana, K.; Kumpoosiri, M.; Rukpratanporn, S.; Theppawong, Y.; Phuengwas, S.; Makornwattana, M.; Charlermroj, R.; Karoonuthaisiri, N.; et al. Double Antibody Pairs Sandwich-ELISA (DAPS-ELISA) Detects Acidovorax citrulli Serotypes with Broad Coverage. PLoS ONE 2020, 15, e0237940. [Google Scholar] [CrossRef]
- Zeng, H.; Zhai, X.; Xie, M.; Liu, Q. Fluorescein Isothiocyanate Labeling Antigen-Based Immunoassay Strip for Rapid Detection of Acidovorax citrulli. Plant Dis. 2018, 102, 527–532. [Google Scholar] [CrossRef] [PubMed]
- Charlermroj, R.; Makornwattana, M.; Himananto, O.; Seepiban, C.; Phuengwas, S.; Warin, N.; Gajanandana, O.; Karoonuthaisiri, N. An Accurate, Specific, Sensitive, High-Throughput Method Based on a Microsphere Immunoassay for Multiplex Detection of Three Viruses and Bacterial Fruit Blotch Bacterium in Cucurbits. J. Virol. Methods 2017, 247, 6–14. [Google Scholar] [CrossRef] [PubMed]
- Yang, Y.; Zhao, M.; Zhang, L.; Qiao, P.; Bai, X.; Zhang, X.; Walcott, R.R.; Guan, W.; Zhao, T. Development of a multiplex PCR assay based on the pilA gene sequences to detect different types of Acidovorax citrulli. J. Microbiol. Methods 2019, 158, 93–98. [Google Scholar] [CrossRef]
- Pyo, D.; Yoo, J. New trends in fluorescence immunochromatography. J. Immunoass. Immunochem. 2012, 33, 203–222. [Google Scholar] [CrossRef] [PubMed]
- Wu, Y.; Wu, M.; Liu, C.; Tian, Y.; Fang, S.; Yang, H.; Li, B.; Liu, Q. Colloidal Gold Immunochromatographic Test Strips for Broad-Spectrum Detection of Salmonella. Food Control 2021, 126, 108052. [Google Scholar] [CrossRef]
- Zhao, Z.; Tian, Y.; Xu, C.; Xing, Y.; Yang, L.; Qian, G.; Hua, X.; Gong, W.; Hu, B.; Wang, L. A Monoclonal Antibody-Based Immunochromatographic Test Strip and Its Application in the Rapid Detection of Cucumber Green Mottle Mosaic Virus. Biosensors 2023, 13, 199. [Google Scholar] [CrossRef] [PubMed]
- Zivanovic, M.; Walcott, R.R. Further Characterization of Genetically Distinct Groups of Acidovorax citrulli Strains. Phytopathology 2017, 107, 29–35. [Google Scholar] [CrossRef] [PubMed]
- Frens, G. Controlled Nucleation for the Regulation of the Particle Size in Monodisperse Gold Suspensions. Nature 1973, 241, 20–22. [Google Scholar] [CrossRef]
- Sun, Y.; Wang, Y.; Li, Y.; Wang, J.; Cheng, L.; Deng, L. Effects of pH on the properties of colloidal gold labeling monoclonal antibody. Chin. J. Cell. Mol. Immunol. 2014, 30, 1170–1173. [Google Scholar]
- Chen, Y.; Shen, Y.; Wang, H.; Zhang, J.; Zhu, J. A Novel Dual-Channel Immunochromatographic Strip Using up-Conversion Nanoparticles for Simultaneous Detection of AFB1 and ZEN in Maize. Anal. Bioanal. Chem. 2023, 415, 4935–4947. [Google Scholar] [CrossRef] [PubMed]
- Habibzadeh, F. On Determining the Sensitivity and Specificity of a New Diagnostic Test through Comparing Its Results against a Non-Gold-Standard Test. Biochem. Med. 2023, 33, 5–9. [Google Scholar] [CrossRef] [PubMed]
- Gao, J.; Zhang, T.; Fang, Y.; Zhao, Y.; Yang, M.; Zhao, L.; Li, Y.; Huang, J.; Zhu, G.; Guo, Y. On-Site Rapid Detection of Multiple Pesticide Residues in Tea Leaves by Lateral Flow Immunoassay. J. Pharm. Anal. 2024, 14, 276–283. [Google Scholar] [CrossRef]





| Method | LOD a (CFU/mL) | Detection Time | Identifying Objects | Stability | Reference |
|---|---|---|---|---|---|
| IFS | 1 × 106 | 10 min | 8 strains of P. citrulli (unclassified subtypes) | 4 months | [25] |
| MIA | 1 × 108 | 2.5 h | 8 strains of P. citrulli (unclassified subtypes) | - | [26] |
| DAPS-ELISA | 5 × 105–1 × 106 | 2–5 h | 16 strains of P. citrulli (unclassified subtypes) | - | [24] |
| Multiplex PCR assay | 1 × 105 | 5 h | Type 1: 82 strains of P. citrulli Type 2: 47 strains of P. citrulli | - | [27] |
| ITS | 1 × 106 | 10 min | Group I: 15 strains of P. citrulli Group II: 20 strains of P. citrulli | 4 months | This study |
| Factor | Dual-Channel Test Strips | ||||
|---|---|---|---|---|---|
| A.C1 | A.C2 | ||||
| Test Results b | Background of Chromatography c | Test Results b | Background of Chromatography c | ||
| Healthy leaf (g) | 0.05 | − | / | − | / |
| 0.1 | − | / | − | / | |
| 0.15 | − | * | − | * | |
| 0.2 | − | ** | − | ** | |
| CBS | 0.05 M, pH 9.0 | − | / | − | / |
| Positive control a | BTL28 + 0.1 g healthy leaf | + | / | − | / |
| XJL12 + 0.1 g healthy leaf | − | / | + | / | |
Disclaimer/Publisher’s Note: The statements, opinions and data contained in all publications are solely those of the individual author(s) and contributor(s) and not of MDPI and/or the editor(s). MDPI and/or the editor(s) disclaim responsibility for any injury to people or property resulting from any ideas, methods, instructions or products referred to in the content. |
© 2025 by the authors. Licensee MDPI, Basel, Switzerland. This article is an open access article distributed under the terms and conditions of the Creative Commons Attribution (CC BY) license (https://creativecommons.org/licenses/by/4.0/).
Share and Cite
Sun, L.; Xing, Y.; Yang, X.; Tian, Y.; Zhang, W.; Zhang, C.; Fan, R.; Gong, W.; Hu, J.; Shao, X.; et al. Dual-Channel Colloidal Gold-Based Immunochromatographic Test Strip for Rapidly Differentiating Between Two Major Groups of Paracidovorax citrulli. Biosensors 2025, 15, 133. https://doi.org/10.3390/bios15030133
Sun L, Xing Y, Yang X, Tian Y, Zhang W, Zhang C, Fan R, Gong W, Hu J, Shao X, et al. Dual-Channel Colloidal Gold-Based Immunochromatographic Test Strip for Rapidly Differentiating Between Two Major Groups of Paracidovorax citrulli. Biosensors. 2025; 15(3):133. https://doi.org/10.3390/bios15030133
Chicago/Turabian StyleSun, Ling, Yuanfei Xing, Xin Yang, Yanli Tian, Wenyao Zhang, Chen Zhang, Rui Fan, Weirong Gong, Jie Hu, Xiaolong Shao, and et al. 2025. "Dual-Channel Colloidal Gold-Based Immunochromatographic Test Strip for Rapidly Differentiating Between Two Major Groups of Paracidovorax citrulli" Biosensors 15, no. 3: 133. https://doi.org/10.3390/bios15030133
APA StyleSun, L., Xing, Y., Yang, X., Tian, Y., Zhang, W., Zhang, C., Fan, R., Gong, W., Hu, J., Shao, X., Qian, G., Hu, B., & Wang, L. (2025). Dual-Channel Colloidal Gold-Based Immunochromatographic Test Strip for Rapidly Differentiating Between Two Major Groups of Paracidovorax citrulli. Biosensors, 15(3), 133. https://doi.org/10.3390/bios15030133

