Transdermal Immunization of Elastic Liposome-Laden Recombinant Chimeric Fusion Protein of P. falciparum (PfMSP-Fu24) Mounts Protective Immune Response
Abstract
1. Introduction
2. Materials and Methods
2.1. Materials
2.2. Preparation and Physicochemical Characterization of Elastic Liposomes
2.3. Characterization of Merozoite Surface Chimeric Fusion Protein (PfMSP-Fu24)
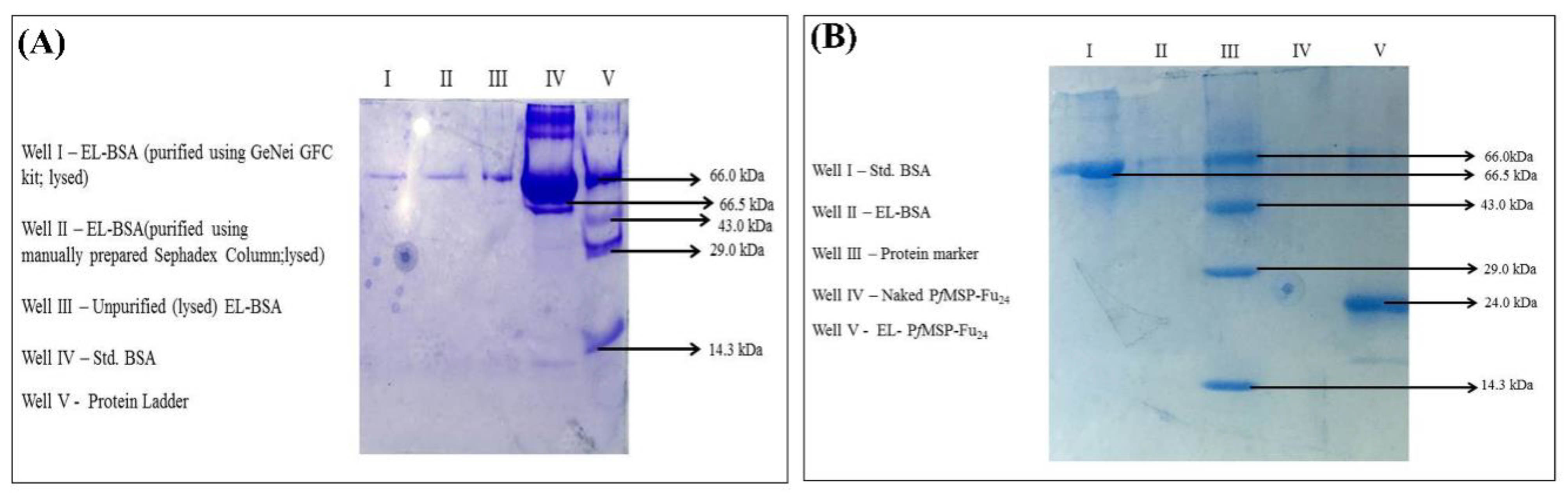
2.4. Separation and Purification of PfMSP-Fu24
2.5. Estimation of Entrapment Efficiency
2.5.1. Standard Calibration Curve of PfMSP-Fu24
2.5.2. Determination of Entrapment Efficiency
2.6. Immunogenicity Immunizations and Sample Collection
2.7. Tissue Processing, Isolation of RNA for Gene Expression, and cDNA Synthesis
2.8. RNA Quantification for Gene Expression Study
2.8.1. Reverse-Transcription Polymerase Chain Reaction (RT-PCR) Assay
2.8.2. Quantitative PCR (qPCR)
2.9. Serum Estimation of Specific PfMSP-Fu24 Antibody Levels
2.10. Cytokine-ELISA Analysis of Serum Samples
2.11. Statistical Analyses
3. Results
3.1. Formulation and Characterization of Nanoscale Lipid Vesicular System (Elastic Liposomes)
3.2. Surface Morphology Analysis by SEM
3.3. Entrapment Efficiency (EE)
3.4. Gene Expression Analysis by RT-PCR
3.4.1. Transcript-Level Expression of IL-4, IL-10, and IFN-γ in the Lymph Nodes and Spleen by RT-PCR
3.4.2. Assessment of Transcript-Level Fold Regulation of IL-12β, IFN-γ, TNF-α, and TGF-β in Lymph Nodes by qPCR
3.5. Assessment of In-Process Stability of Chimeric Fusion Protein, PfMSP-Fu24
3.6. Role of Antibody Isotypes in Malaria Protection
3.7. Cell-Mediated Immune Response Elicited against Asexual Blood-Stage Infection of P. falciparum
4. Discussion
5. Conclusions
Supplementary Materials
Author Contributions
Funding
Data Availability Statement
Acknowledgments
Conflicts of Interest
References
- Ssemaganda, A.; Giddam, A.K.; Zaman, M.; Skwarczynski, M.; Toth, I.; Stanisic, D.I.; Good, M.F. Induction of Plasmodium-specific immune responses using liposome-based vaccines. Front. Immunol. 2019, 10, 135. [Google Scholar] [CrossRef] [PubMed]
- Ols, S.; Yang, L.; Thompson, E.A.; Pushparaj, P.; Tran, K.; Liang, F.; Lin, A.; Eriksson, B.; Hedestam, G.B.K.; Wyatt, R.T. Route of Vaccine Administration Alters Antigen Trafficking but Not Innate or Adaptive Immunity. Cell Rep. 2020, 30, 3964–3971.e3967. [Google Scholar] [CrossRef] [PubMed]
- Tyagi, R.K.; Garg, N.K.; Jadon, R.; Sahu, T.; Katare, O.P.; Dalai, S.K.; Awasthi, A.; Marepally, S.K. Elastic liposome-mediated transdermal immunization enhanced the immunogenicity of P. falciparum surface antigen, MSP-119. Vaccine 2015, 33, 4630–4638. [Google Scholar] [CrossRef] [PubMed]
- Roukens, A.; Gelinck, L.; Visser, L. Intradermal vaccination to protect against yellow fever and influenza. In Intradermal Immunization; Springer: Berlin/Heidelberg, Germany, 2011; pp. 159–179. [Google Scholar]
- Mishra, D.; Dubey, V.; Asthana, A.; Saraf, D.; Jain, N. Elastic liposomes mediated transcutaneous immunization against Hepatitis B. Vaccine 2006, 24, 4847–4855. [Google Scholar] [CrossRef] [PubMed]
- Liang, F.; Lindgren, G.; Sandgren, K.J.; Thompson, E.A.; Francica, J.R.; Seubert, A.; De Gregorio, E.; Barnett, S.; O’Hagan, D.T.; Sullivan, N.J. Vaccine priming is restricted to draining lymph nodes and controlled by adjuvant-mediated antigen uptake. Sci. Transl. Med. 2017, 9. [Google Scholar] [CrossRef] [PubMed]
- Lindgren, G.; Ols, S.; Liang, F.; Thompson, E.A.; Lin, A.; Hellgren, F.; Bahl, K.; John, S.; Yuzhakov, O.; Hassett, K.J. Induction of robust B cell responses after influenza mRNA vaccination is accompanied by circulating hemagglutinin-specific ICOS+ PD-1+ CXCR3+ T follicular helper cells. Front. Immunol. 2017, 8, 1539. [Google Scholar] [CrossRef]
- Shretta, R.; Liu, J.; Cotter, C.; Cohen, J.; Dolenz, C.; Makomva, K.; Newby, G.; Ménard, D.; Phillips, A.; Tatarsky, A. Malaria Elimination and Eradication; World Bank Group: Washington, DC, USA, 2017. [Google Scholar]
- WHO. World Malaria Report 2018; Licence: CC BY-NC-SA; World Health Organization: Geneva, Switzerland, 2018; Volume 3. [Google Scholar]
- Gupta, A.; Chaphalkar, S.R. Current approaches and problems in malaria vaccine development. Eur. J. Biol. Res. 2016, 6, 14–20. [Google Scholar]
- Arama, C.; Troye-Blomberg, M. The path of malaria vaccine development: Challenges and perspectives. J. Intern. Med. 2014, 275, 456–466. [Google Scholar] [CrossRef]
- Sardá, V.; Kaslow, D.C.; Williamson, K.C. Approaches to malaria vaccine development using the retrospectroscope. Infect. Immun. 2009, 77, 3130–3140. [Google Scholar] [CrossRef][Green Version]
- Malaria Vaccine Funders Group. Malaria Vaccine Technology Roadmap. Malaria Vaccine Funders Group, 2013. Available online: https://www.malariavaccine.org/sites/mvi/files/content/page/files/TRM_update_nov13.pdf (accessed on 21 November 2020).
- Moorthy, V.S.; Newman, R.D.; Okwo-Bele, J.-M. Malaria vaccine technology roadmap. Lancet 2013, 382, 1700–1701. [Google Scholar] [CrossRef]
- WHO. World Malaria Report 2015; World Health Organization: Geneva, Switzerland, 2016. [Google Scholar]
- Berzins, K. Merozoite antigens involved in invasion. Chem. Immunol. 2002, 80, 125–143. [Google Scholar] [PubMed]
- Miller, L.H.; Hoffman, S.L. Research toward vaccines against malaria. Nat. Med. 1998, 4, 520–524. [Google Scholar] [CrossRef] [PubMed]
- Child, M.A.; Epp, C.; Bujard, H.; Blackman, M.J. Regulated maturation of malaria merozoite surface protein-1 is essential for parasite growth. Mol. Microbiol. 2010, 78, 187–202. [Google Scholar] [CrossRef] [PubMed]
- Ahlborg, N.; Ling, I.T.; Holder, A.A.; Riley, E.M. Linkage of exogenous T-cell epitopes to the 19-kilodalton region of Plasmodium yoelii merozoite surface protein 1 (MSP119) can enhance protective immunity against malaria and modulate the immunoglobulin subclass response to MSP119. Infect. Immun. 2000, 68, 2102–2109. [Google Scholar] [CrossRef]
- Tian, J.-H.; Kumar, S.; Kaslow, D.C.; Miller, L.H. Comparison of protection induced by immunization with recombinant proteins from different regions of merozoite surface protein 1 of Plasmodium yoelii. Infect. Immun. 1997, 65, 3032–3036. [Google Scholar] [CrossRef]
- Sachdeva, S.; Ahmad, G.; Malhotra, P.; Mukherjee, P.; Chauhan, V. Comparison of immunogenicities of recombinant Plasmodium vivax merozoite surface protein 1 19-and 42-kiloDalton fragments expressed in Escherichia coli. Infect. Immun. 2004, 72, 5775–5782. [Google Scholar] [CrossRef]
- Pan, W.; Huang, D.; Zhang, Q.; Qu, L.; Zhang, D.; Zhang, X.; Xue, X.; Qian, F. Fusion of two malaria vaccine candidate antigens enhances product yield, immunogenicity, and antibody-mediated inhibition of parasite growth in vitro. J. Immunol. 2004, 172, 6167–6174. [Google Scholar] [CrossRef]
- Theisen, M.; Soe, S.; Brunstedt, K.; Follmann, F.; Bredmose, L.; Israelsen, H.; Madsen, S.M.; Druilhe, P. A Plasmodium falciparum GLURP–MSP3 chimeric protein; expression in Lactococcus lactis, immunogenicity and induction of biologically active antibodies. Vaccine 2004, 22, 1188–1198. [Google Scholar] [CrossRef]
- Uthaipibull, C.; Aufiero, B.; Syed, S.E.; Hansen, B.; Patiño, J.A.G.; Angov, E.; Ling, I.T.; Fegeding, K.; Morgan, W.D.; Ockenhouse, C. Inhibitory and blocking monoclonal antibody epitopes on merozoite surface protein 1 of the malaria parasite Plasmodium falciparum. J. Mol. Biol. 2001, 307, 1381–1394. [Google Scholar] [CrossRef]
- Mazumdar, S.; Mukherjee, P.; Yazdani, S.S.; Jain, S.; Mohmmed, A.; Chauhan, V.S. Plasmodium falciparum merozoite surface protein 1 (MSP-1)-MSP-3 chimeric protein: Immunogenicity determined with human-compatible adjuvants and induction of protective immune response. Infect. Immun. 2010, 78, 872–883. [Google Scholar] [CrossRef]
- Garg, N.K.; Tyagi, R.K.; Singh, B.; Sharma, G.; Nirbhavane, P.; Kushwah, V.; Jain, S.; Katare, O.P. Nanostructured lipid carrier mediates effective delivery of methotrexate to induce apoptosis of rheumatoid arthritis via NF-κB and FOXO1. Int. J. Pharm. 2016, 499, 301–320. [Google Scholar] [CrossRef] [PubMed]
- Tyagi, R.K.; Garg, N.K.; Sahu, T. Vaccination Strategies against Malaria: Novel carrier (s) more than a tour de force. J. Control. Release 2012, 162, 242–254. [Google Scholar] [CrossRef] [PubMed]
- Freiberg, S.; Zhu, X. Polymer microspheres for controlled drug release. Int. J. Pharm. 2004, 282, 1–18. [Google Scholar] [CrossRef]
- Kawaguchi, H. Functional polymer microspheres. Prog. Polym. Sci. 2000, 25, 1171–1210. [Google Scholar] [CrossRef]
- Santos-Magalhães, N.S.; Mosqueira, V.C.F. Nanotechnology applied to the treatment of malaria. Adv. Drug Deliv. Rev. 2010, 62, 560–575. [Google Scholar] [CrossRef]
- Kluczyk, D.; Matwijczuk, A.; Górecki, A.; Karpińska, M.M.; Szymanek, M.; Niewiadomy, A.; Gagoś, M. Molecular organization of dipalmitoylphosphatidylcholine bilayers containing bioactive compounds 4-(5-heptyl-1,3,4-thiadiazol-2-yl) benzene-1, 3-diol and 4-(5-methyl-1, 3, 4-thiadiazol-2-yl) benzene-1, 3-diols. J. Phys. Chem. B 2016, 120, 12047–12063. [Google Scholar] [CrossRef]
- Jain, S.; Jain, P.; Umamaheshwari, R.; Jain, N. Transfersomes—A novel vesicular carrier for enhanced transdermal delivery: Development, characterization, and performance evaluation. Drug Dev. Ind. Pharm. 2003, 29, 1013–1026. [Google Scholar] [CrossRef]
- Paul, A.; Cevc, G.; Bachhawat, B. Transdermal immunisation with an integral membrane component, gap junction protein, by means of ultradeformable drug carriers, transfersomes. Vaccine 1998, 16, 188–195. [Google Scholar] [CrossRef]
- Cevc, G. Material transport across permeability barriers by means of lipid vesicles. In Handbook of Biological Physics; Elsevier: Amsterdam, The Netherlands, 1995; Volume 1, pp. 465–490. [Google Scholar]
- Zhang, H. Thin-film hydration followed by extrusion method for liposome preparation. In Liposomes; Springer: Berlin/Heidelberg, Germany, 2017; pp. 17–22. [Google Scholar] [CrossRef]
- Fry, D.W.; White, J.C.; Goldman, I.D. Rapid separation of low molecular weight solutes from liposomes without dilution. Anal. Biochem. 1978, 90, 809–815. [Google Scholar] [CrossRef]
- Loizaga, B.; Gurtubay, I.G.; Macarulla, J.M.; Goni, F.M.; Gomez, J.C. Membrane Solubilization by Detergents, and Detergent/Protein Ratios; Portland Press Limited: London, UK, 1979. [Google Scholar]
- Dulley, J.; Grieve, P. A simple technique for eliminating interference by detergents in the Lowry method of protein determination. Anal. Biochem. 1975, 64, 136–141. [Google Scholar] [CrossRef]
- Li, W.; Dong, L.; Ma, M.; Hu, B.; Lu, Z.; Liu, X.; Liu, J.; Li, X. Preliminary in vitro and in vivo assessment of a new targeted inhibitor for choroidal neovascularization in age-related macular degeneration. Drug Des. Dev. Ther. 2016, 10, 3415. [Google Scholar] [CrossRef] [PubMed][Green Version]
- Cevc, G.; Blume, G.; Schätzlein, A. Transfersomes-mediated transepidermal delivery improves the regio-specificity and biological activity of corticosteroids in vivo1. J. Control. Release 1997, 45, 211–226. [Google Scholar] [CrossRef]
- Surianarayanan, R.; Shivakumar, H.G.; Vegesna, N.S.K.V.; Srivastava, A. Effect of sample Concentration on the Characterization of Liposomes using Dynamic light Scattering Technique. Pharm Methods 2016, 7, 70–74. [Google Scholar] [CrossRef]
- Wipasa, J.; Elliott, S.; Xu, H.; Good, M.F. Immunity to asexual blood stage malaria and vaccine approaches. Immunol. Cell Biol. 2002, 80, 401–414. [Google Scholar] [CrossRef]
- Seder, R.A.; Gazzinelli, R.; Sher, A.; Paul, W.E. Interleukin 12 acts directly on CD4+ T cells to enhance priming for interferon gamma production and diminishes interleukin 4 inhibition of such priming. Proc. Natl. Acad. Sci. USA 1993, 90, 10188–10192. [Google Scholar] [CrossRef]
- Paul, W.E.; Seder, R.A. Lymphocyte responses and cytokines. Cell 1994, 76, 241–251. [Google Scholar] [CrossRef]
- Magombedze, G.; Eda, S.; Stabel, J. Predicting the role of IL-10 in the regulation of the adaptive immune responses in Mycobacterium avium subsp. paratuberculosis infections using mathematical models. PLoS ONE 2015, 10, e0141539. [Google Scholar] [CrossRef]
- do Rosario, A.P.F.; Langhorne, J. T cell-derived IL-10 and its impact on the regulation of host responses during malaria. Int. J. Parasitol. 2012, 42, 549–555. [Google Scholar] [CrossRef]
- Kobayashi, F.; Morii, T.; Matsui, T.; Fujino, T.; Tsuji, M.; Watanabe, Y.; Weidanz, W.P. Production of interleukin 10 during malaria caused by lethal and nonlethal variants of Plasmodium yoelii yoelii. Parasitol. Res. 1996, 82, 385–391. [Google Scholar] [CrossRef]
- Yoshida, A.; Maruyama, H.; Kumagai, T.; Amano, T.; Kobayashi, F.; Zhang, M.; Himeno, K.; Ohta, N. Schistosoma mansoni infection cancels the susceptibility to Plasmodium chabaudi through induction of type 1 immune responses in A/J mice. Int. Immunol. 2000, 12, 1117–1125. [Google Scholar] [CrossRef]
- Paul, A.; Cevc, G.; Bachhawat, B.K. Transdermal immunization with large proteins by means of ultradeformable drug carriers. Eur. J. Immunol. 1995, 25, 3521–3524. [Google Scholar] [CrossRef] [PubMed]
- Hussain, A.; Singh, S.; Sharma, D.; Webster, T.J.; Shafaat, K.; Faruk, A. Elastic liposomes as novel carriers: Recent advances in drug delivery. Int. J. Nanomed. 2017, 12, 5087–5108. [Google Scholar] [CrossRef] [PubMed]
- Zhang, L.; Wang, W.; Wang, S. Effect of vaccine administration modality on immunogenicity and efficacy. Expert Rev. Vaccines 2015, 14, 1509–1523. [Google Scholar] [CrossRef] [PubMed]
- Ita, K. Elastic liposomes and other vesicles. In Transdermal Drug Delivery Concepts and Application; Elsevier: Amsterdam, The Netherlands, 10 July 2020; p. 28. [Google Scholar] [CrossRef]
- Touitou, E.; Junginger, H.; Weiner, N.; Nagai, T.; Mezei, M. Liposomes as carriers for topical and transdermal delivery. J. Pharm. Sci. 1994, 83, 1189–1203. [Google Scholar] [CrossRef]
- Gupta, P.K.; Mukherjee, P.; Dhawan, S.; Pandey, A.K.; Mazumdar, S.; Gaur, D.; Jain, S.; Chauhan, V.S. Production and preclinical evaluation of Plasmodium falciparum MSP-119 and MSP-311 chimeric protein, PfMSP-Fu24. Clin. Vaccine Immunol. 2014, 21, 886–897. [Google Scholar] [CrossRef][Green Version]
- Le Gros, G.; Ben-Sasson, S.Z.; Seder, R.; Finkelman, F.D.; Paul, W.E. Generation of interleukin 4 (IL-4)-producing cells in vivo and in vitro: IL-2 and IL-4 are required for in vitro generation of IL-4-producing cells. J. Exp. Med. 1990, 172, 921–929. [Google Scholar] [CrossRef]
- Zhu, J.; Paul, W.E. CD4 T cells: Fates, functions, and faults. BloodJ. Am. Soc. Hematol. 2008, 112, 1557–1569. [Google Scholar] [CrossRef]
- Angulo, I.; Fresno, M. Cytokines in the pathogenesis of and protection against malaria. Clin. Diagn. Lab. Immunol. 2002, 9, 1145–1152. [Google Scholar] [CrossRef][Green Version]
- Kumar, R.; Ng, S.; Engwerda, C. The role of IL-10 in malaria: A double edged sword. Front. Immunol. 2019, 10, 229. [Google Scholar] [CrossRef]
- Chawla, B.; Mahajan, B.; Oakley, M.; Majam, V.F.; Belmonte, A.; Sedegah, M.; Shimp, R.L.; Kaslow, D.C.; Kumar, S. Antibody-dependent, gamma interferon-independent sterilizing immunity induced by a subunit malaria vaccine. Infect. Immun. 2019, 87, e00236-19. [Google Scholar] [CrossRef]
- Perlaza, B.-L.; Sauzet, J.-P.; Brahimi, K.; BenMohamed, L.; Druilhe, P. Interferon-γ, a valuable surrogate marker of Plasmodium falciparum pre-erythrocytic stages protective immunity. Malar. J. 2011, 10, 27. [Google Scholar] [CrossRef] [PubMed]
- Gregoriadis, G. Liposomes as immunoadjuvants and vaccine carriers: Antigen entrapment. Immunomethods 1994, 4, 210–216. [Google Scholar] [CrossRef] [PubMed]
- Anchang-Kimbi, J.K.; Achidi, E.A.; Nkegoum, B.; Mendimi, J.-M.N.; Sverremark-Ekström, E.; Troye-Blomberg, M. IgG isotypic antibodies to crude Plasmodium falciparum blood-stage antigen associated with placental malaria infection in parturient Cameroonian women. Afr. Health Sci. 2016, 16, 1007–1017. [Google Scholar] [CrossRef] [PubMed]
- Ismail, H.A.; Tijani, M.K.; Langer, C.; Reiling, L.; White, M.T.; Beeson, J.G.; Wahlgren, M.; Nwuba, R.; Persson, K.E. Subclass responses and their half-lives for antibodies against EBA175 and PfRh2 in naturally acquired immunity against Plasmodium falciparum malaria. Malar. J. 2014, 13, 425. [Google Scholar] [CrossRef]
- Duah, N.; Miles, D.; Whittle, H.; Conway, D. Acquisition of antibody isotypes against Plasmodium falciparum blood stage antigens in a birth cohort. Parasite Immunol. 2010, 32, 125–134. [Google Scholar] [CrossRef]
- Palacpac, N.M.Q.; Tougan, T.; Horii, T. Preclinical studies on a new vaccine formulation of BK-SE36, a malaria vaccine candidate. Juntendo Med. J. 2015, 61, 360–369. [Google Scholar] [CrossRef][Green Version]
- Bouharoun-Tayoun, H.; Oeuvray, C.; Lunel, F.; Druilhe, P. Mechanisms underlying the monocyte-mediated antibody-dependent killing of Plasmodium falciparum asexual blood stages. J. Exp. Med. 1995, 182, 409–418. [Google Scholar] [CrossRef]
- Nkuo-Akenji, T.; Deas, J.; Leke, R.; Ngu, J. Patterns of antibody levels to the 96 tR recombinant protein of Plasmodium falciparum in children over a six-month period. J. Parasitol. 1995, 195–199. [Google Scholar] [CrossRef]
- Mewono, L.; Maya, D.W.M.; Matsiegui, P.-B.; Agnandji, S.T.; Kendjo, E.; Barondi, F.; Issifou, S.; Kremsner, P.G.; Mavoungou, E. Interleukin-21 is associated with IgG1 and IgG3 antibodies to erythrocyte-binding antigen-175 peptide 4 of Plasmodium falciparum in Gabonese children with acute falciparum malaria. Eur. Cytokine Netw. 2008, 19, 30–36. [Google Scholar]
- Banchereau, J.; Briere, F.; Caux, C.; Davoust, J.; Lebecque, S.; Liu, Y.-J.; Pulendran, B.; Palucka, K. Immunobiology of dendritic cells. Annu. Rev. Immunol. 2000, 18, 767–811. [Google Scholar] [CrossRef]
- Su, Z.; Stevenson, M.M. Central role of endogenous gamma interferon in protective immunity against blood-stage Plasmodium chabaudi AS infection. Infect. Immun. 2000, 68, 4399–4406. [Google Scholar] [CrossRef] [PubMed]
- van der Heyde, H.C.; Pepper, B.; Batchelder, J.; Cigel, F.; Weidanz, W.P. The time course of selected malarial infections in cytokine-deficient mice. Exp. Parasitol. 1997, 85, 206–213. [Google Scholar] [CrossRef] [PubMed]
- FAVRE, N.; RYFFEL, B.; BORDMANN, G.; RUDIN, W. The course of Plasmodium chabaudi chabaudi infections in interferon-gamma receptor deficient mice. Parasite Immunol. 1997, 19, 375–383. [Google Scholar] [CrossRef] [PubMed]
- Plebanski, M.; Hill, A.V. The immunology of malaria infection. Curr. Opin. Immunol. 2000, 12, 437–441. [Google Scholar] [CrossRef]
- Yoneto, T.; Yoshimoto, T.; Wang, C.-R.; Takahama, Y.; Tsuji, M.; Waki, S.; Nariuchi, H. Gamma interferon production is critical for protective immunity to infection with blood-stage Plasmodium berghei XAT but neither NO production nor NK cell activation is critical. Infect. Immun. 1999, 67, 2349–2356. [Google Scholar] [CrossRef]
- Ayieko, C.; Ogola, B.S.; Ochola, L.; Ngwena, G.A.; Ayodo, G.; Hodges, J.S.; Noland, G.S.; John, C.C. Interferon-γ responses to Plasmodium falciparum vaccine candidate antigens decrease in the absence of malaria transmission. PeerJ 2017, 5, e2855. [Google Scholar] [CrossRef]
- Couper, K.N.; Blount, D.G.; Riley, E.M. IL-10: The master regulator of immunity to infection. J. Immunol. 2008, 180, 5771–5777. [Google Scholar] [CrossRef]










Group ![]() | Vehicle Control | Protein Control | Experimental Control | Immunization | Serum Collection (Day) | |
|---|---|---|---|---|---|---|
Route ![]() | Priming (Day) | Boosting (Day) | ||||
| Intramuscular (IM) | 4 | 3 | 5 | 1 | 14 | 0, 14,21,28,42,56, and 70 |
| Transdermal (TD) | 4 | 3 | 5 | 1 | 14 | 0, 14, 21, 28, 42, 56, and 70 |
| Sr. No. | Formulation | Spleen | Lymph Node | ||
|---|---|---|---|---|---|
| Concentration (ng/µL) | Λmax 260/280 nm | Concentration (ng/µL) | Λmax 260/280 nm | ||
| 1 | EL-TD | 72.485 | 2.00 | 318.640 | 2.00 |
| 2 | EL-IM | 117.790 | 2.00 | 281.410 | 2.00 |
| 3 | PfMSP-Fu24-TD | 155.740 | 2.09 | 236.980 | 2.00 |
| 4 | PfMSP-Fu24-IM | 94.822 | 1.40 | 209.810 | 2.00 |
| 5 | EL-PfMSP-Fu24-TD | 74.063 | 1.85 | 283.870 | 2.00 |
| 6 | EL-PfMSP-Fu24-IM | 231.190 | 2.00 | 69.576 | 1.90 |
| PCR Steps | Temperature (°C) | Time (s) |
|---|---|---|
| 1. Initial denaturation | 95 | 180 |
| 2. Denaturation | 95 | 30 |
| 3. Annealing * | 53–59 | 35 |
| 4. Extension | 72 | 45 |
| 5. Final extension | 72 | 600 |
| Cytokine Gene | Primer Sequences |
|---|---|
| β-actin | F: 5-GGAATCCTGTGGCATCCATGAAAC-3 R: 5-TAAAACGCAGCTCAGTAACAGTCCG-3 |
| IL-4 | F: 5-CGAATGTACCAGGAGCCATATC-3 R: 5-CCAGGAAGTCTTTCAGTGATGT-3 |
| IL-10 | F: 5-CTATGCTGCCTGCTCTTACTG-3 R: 5-CTCCACTGCCTTGCTCTTATT-3 |
| IFN-γ | F: 5-CACACTGCATCTTGGCTTTG-3 R: 5-GCTGTTGCTGAAGAAGGTAGTA-3 |
| No. | Formulation | Size (d.nm) | PDI |
|---|---|---|---|
| 1 | EL-PBS | 137.1± 39.80 | 0.074 |
| 2 | EL-BSA | 174.6± 58.45 | 0.102 |
| 3 | EL-PfMSP-Fu24 | 123.8± 51.31 | 0.188 |
| Formulation Code | Quantity of Content after Rupturing of Elastic Liposomes (µL) A | Total Quantity of Entrapped in Elastic Liposomes (µL) B | % Entrapment Efficiency (EE) A/B∗100 |
|---|---|---|---|
| EL-BSA | 8.6 | 15 | 57.33% |
| EL-PfMSP-Fu24 | 11 | 15 | 73.33% |
Publisher’s Note: MDPI stays neutral with regard to jurisdictional claims in published maps and institutional affiliations. |
© 2021 by the authors. Licensee MDPI, Basel, Switzerland. This article is an open access article distributed under the terms and conditions of the Creative Commons Attribution (CC BY) license (http://creativecommons.org/licenses/by/4.0/).
Share and Cite
Chaudhari, R.; Tandel, N.; Sahu, K.; Negi, S.; Bashir, H.; Rupareliya, A.; Mishra, R.P.; Dalai, S.K.; Tyagi, R.K. Transdermal Immunization of Elastic Liposome-Laden Recombinant Chimeric Fusion Protein of P. falciparum (PfMSP-Fu24) Mounts Protective Immune Response. Nanomaterials 2021, 11, 406. https://doi.org/10.3390/nano11020406
Chaudhari R, Tandel N, Sahu K, Negi S, Bashir H, Rupareliya A, Mishra RP, Dalai SK, Tyagi RK. Transdermal Immunization of Elastic Liposome-Laden Recombinant Chimeric Fusion Protein of P. falciparum (PfMSP-Fu24) Mounts Protective Immune Response. Nanomaterials. 2021; 11(2):406. https://doi.org/10.3390/nano11020406
Chicago/Turabian StyleChaudhari, Ramesh, Nikunj Tandel, Kiran Sahu, Sushmita Negi, Hilal Bashir, Arzu Rupareliya, Ravi PN Mishra, Sarat K. Dalai, and Rajeev K. Tyagi. 2021. "Transdermal Immunization of Elastic Liposome-Laden Recombinant Chimeric Fusion Protein of P. falciparum (PfMSP-Fu24) Mounts Protective Immune Response" Nanomaterials 11, no. 2: 406. https://doi.org/10.3390/nano11020406
APA StyleChaudhari, R., Tandel, N., Sahu, K., Negi, S., Bashir, H., Rupareliya, A., Mishra, R. P., Dalai, S. K., & Tyagi, R. K. (2021). Transdermal Immunization of Elastic Liposome-Laden Recombinant Chimeric Fusion Protein of P. falciparum (PfMSP-Fu24) Mounts Protective Immune Response. Nanomaterials, 11(2), 406. https://doi.org/10.3390/nano11020406



