Mimickers of Systemic Lupus Erythematosus: Case Series and Literature Overview
Abstract
1. Introduction
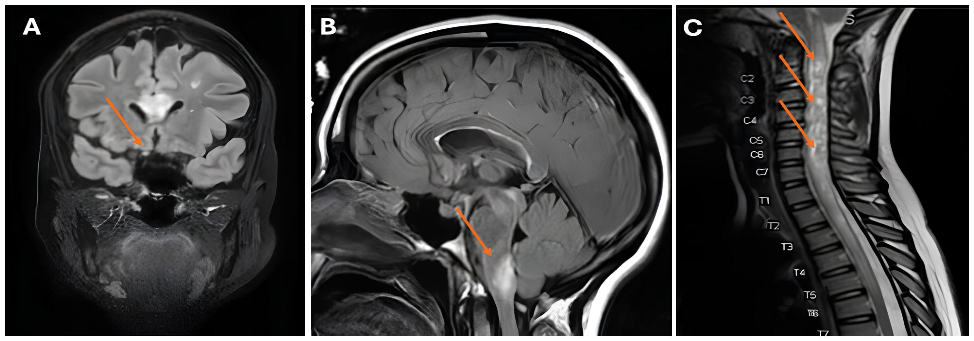
2. Case Series
3. Discussion
Author Contributions
Funding
Institutional Review Board Statement
Informed Consent Statement
Data Availability Statement
Acknowledgments
Conflicts of Interest
References
- Aringer, M.; Costenbader, K.; Daikh, D.; Brinks, R.; Mosca, M.; Ramsey-Goldman, R.; Smolen, J.S.; Wofsy, D.; Boumpas, D.T.; Kamen, D.L.; et al. 2019 European League Against Rheumatism/American College of Rheumatology Classification Criteria for Systemic Lupus Erythematosus. Arthritis Rheumatol. 2019, 71, 1400–1412. [Google Scholar] [CrossRef]
- Otani, I.M.; Lehman, H.K.; Jongco, A.M.; Tsao, L.R.; Azar, A.E.; Tarrant, T.K.; Engel, E.; Walter, J.E.; Truong, T.Q.; Khan, D.A.; et al. Practical guidance for the diagnosis and management of secondary hypogammaglobulinemia: A Work Group Report of the AAAAI Primary Immunodeficiency and Altered Immune Response Committees. J. Allergy Clin. Immunol. 2022, 149, 1525–1560. [Google Scholar] [CrossRef]
- aan de Kerk, D.J.; Jansen, M.H.; ten Berge, I.J.; van Leeuwen, E.M.; Kuijpers, T.W. Identification of B cell defects using age-defined reference ranges for in vivo and in vitro B cell differentiation. J. Immunol. 2013, 190, 5012–5019. [Google Scholar] [CrossRef]
- Gamez-Diaz, L.; Seidel, M.G. Different Apples, Same Tree: Visualizing Current Biological and Clinical Insights into CTLA-4 Insufficiency and LRBA and DEF6 Deficiencies. Front. Pediatr. 2021, 9, 662645. [Google Scholar] [CrossRef]
- Tangye, S.G.; Al-Herz, W.; Bousfiha, A.; Cunningham-Rundles, C.; Franco, J.L.; Holland, S.M.; Klein, C.; Morio, T.; Oksenhendler, E.; Picard, C.; et al. Human Inborn Errors of Immunity: 2022 Update on the Classification from the International Union of Immunological Societies Expert Committee. J. Clin. Immunol. 2022, 42, 1473–1507. [Google Scholar] [CrossRef] [PubMed]
- Egg, D.; Rump, I.C.; Mitsuiki, N.; Rojas-Restrepo, J.; Maccari, M.E.; Schwab, C.; Gabrysch, A.; Warnatz, K.; Goldacker, S.; Patino, V.; et al. Therapeutic options for CTLA-4 insufficiency. J. Allergy Clin. Immunol. 2022, 149, 736–746. [Google Scholar] [CrossRef]
- Austin, H.A., III; Klippel, J.H.; Balow, J.E.; le Riche, N.G.; Steinberg, A.D.; Plotz, P.H.; Decker, J.L. Therapy of lupus nephritis. Controlled trial of prednisone and cytotoxic drugs. N. Engl. J. Med. 1986, 314, 614–619. [Google Scholar] [CrossRef]
- Houssiau, F.A.; Vasconcelos, C.; D’Cruz, D.; Sebastiani, G.D.; Garrido Ed Ede, R.; Danieli, M.G.; Abramovicz, D.; Blockmans, D.; Mathieu, A.; Direskeneli, H.; et al. Immunosuppressive therapy in lupus nephritis: The Euro-Lupus Nephritis Trial, a randomized trial of low-dose versus high-dose intravenous cyclophosphamide. Arthritis Rheum. 2002, 46, 2121–2131. [Google Scholar] [CrossRef]
- Coral Enríquez, J.A.; Cajas Bravo, V.E. Autoimmune haemolytic anaemia due to cold agglutinins associated with systemic lupus erythematosus. Case presentation and literature review. Rev. Colomb. Reumatol. 2025, 32, 173–179. [Google Scholar] [CrossRef]
- Kojima, M.; Motoori, T.; Asano, S.; Nakamura, S. Histological diversity of reactive and atypical proliferative lymph node lesions in systemic lupus erythematosus patients. Pathol. Res. Pract. 2007, 203, 423–431. [Google Scholar] [CrossRef]
- Tromp, S.A.M.; van Leeuwen, E.M.M.; Jansen, M.H.; Kwakernaak, A.J.; Bomers, M.K.; Jonkers, R.E.; van Spaendonk, R.M.L.; Kuijpers, T.W.; de Bree, G.J. Novel mutations in CTLA-4 and LRBA immune dysregulation: Reduced CTLA-4 expression with normal expression of co-stimulatory surface molecules. Clin. Immunol. 2025, 280, 110565. [Google Scholar] [CrossRef] [PubMed]
- Stewart, O.; Gruber, C.; Randolph, H.E.; Patel, R.; Ramba, M.; Calzoni, E.; Huang, L.H.; Levy, J.; Buta, S.; Lee, A.; et al. Monoallelic expression can govern penetrance of inborn errors of immunity. Nature 2025, 637, 1186–1197. [Google Scholar] [CrossRef] [PubMed]
- Sacco, K.A.; Gazzin, A.; Notarangelo, L.D.; Delmonte, O.M. Granulomatous inflammation in inborn errors of immunity. Front. Pediatr. 2023, 11, 1110115. [Google Scholar] [CrossRef]
- Gray, P.E.; David, C. Inborn Errors of Immunity and Autoimmune Disease. J. Allergy Clin. Immunol. Pract. 2023, 11, 1602–1622. [Google Scholar] [CrossRef]
- Sharma, S.; Pilania, R.K.; Anjani, G.; Sudhakar, M.; Arora, K.; Tyagi, R.; Dhaliwal, M.; Vignesh, P.; Rawat, A.; Singh, S. Lymphoproliferation in Inborn Errors of Immunity: The Eye Does Not See What the Mind Does Not Know. Front. Immunol. 2022, 13, 856601. [Google Scholar] [CrossRef]
- El-Sayed, Z.A.; El-Ghoneimy, D.H.; Ortega-Martell, J.A.; Radwan, N.; Aldave, J.C.; Al-Herz, W.; Al-Nesf, M.A.; Condino-Neto, A.; Cole, T.; Eley, B.; et al. Allergic manifestations of inborn errors of immunity and their impact on the diagnosis: A worldwide study. World Allergy Organ. J. 2022, 15, 100657. [Google Scholar] [CrossRef]
- Shillitoe, B.; Bangs, C.; Guzman, D.; Gennery, A.R.; Longhurst, H.J.; Slatter, M.; Edgar, D.M.; Thomas, M.; Worth, A.; Huissoon, A.; et al. The United Kingdom Primary Immune Deficiency (UKPID) registry 2012 to 2017. Clin. Exp. Immunol. 2018, 192, 284–291. [Google Scholar] [CrossRef]
- Liphaus, B.L.; Caramalho, I.; Rangel-Santos, A.; Silva, C.A.; Demengeot, J.; Carneiro-Sampaio, M.M.S. LRBA deficiency: A new genetic cause of monogenic lupus. Ann. Rheum. Dis. 2020, 79, 427–428. [Google Scholar] [CrossRef]
- Aringer, M. Inflammatory markers in systemic lupus erythematosus. J. Autoimmun. 2020, 110, 102374. [Google Scholar] [CrossRef]
- Al-Mughales, J.A. Anti-Nuclear Antibodies Patterns in Patients with Systemic Lupus Erythematosus and Their Correlation With Other Diagnostic Immunological Parameters. Front. Immunol. 2022, 13, 850759. [Google Scholar] [CrossRef]
- Davis, M.D.; Brewer, J.D. Urticarial vasculitis and hypocomplementemic urticarial vasculitis syndrome. Immunol. Allergy Clin. N. Am. 2004, 24, 183–213. [Google Scholar] [CrossRef]
- Jiang, J.; Zhao, M.; Chang, C.; Wu, H.; Lu, Q. Type I Interferons in the Pathogenesis and Treatment of Autoimmune Diseases. Clin. Rev. Allergy Immunol. 2020, 59, 248–272. [Google Scholar] [CrossRef] [PubMed]
- Crow, Y.J.; Stetson, D.B. The type I interferonopathies: 10 years on. Nat. Rev. Immunol. 2022, 22, 471–483. [Google Scholar] [CrossRef] [PubMed]
- Roers, A.; Hiller, B.; Hornung, V. Recognition of Endogenous Nucleic Acids by the Innate Immune System. Immunity 2016, 44, 739–754. [Google Scholar] [CrossRef] [PubMed]
- Crow, Y.J.; Manel, N. Aicardi-Goutieres syndrome and the type I interferonopathies. Nat. Rev. Immunol. 2015, 15, 429–440. [Google Scholar] [CrossRef]
- Similuk, M.; Kuijpers, T. Nature and nurture: Understanding phenotypic variation in inborn errors of immunity. Front. Cell. Infect. Microbiol. 2023, 13, 1183142. [Google Scholar] [CrossRef]
- Cooles, F.A.H.; Isaacs, J.D. The interferon gene signature as a clinically relevant biomarker in autoimmune rheumatic disease. Lancet Rheumatol. 2022, 4, e61–e72. [Google Scholar] [CrossRef]
- Huijser, E.; van Helden-Meeuwsen, C.G.; Groot, N.; Bodewes, I.L.A.; Wahadat, M.J.; Schreurs, M.W.J.; van Daele, P.L.A.; Dalm, V.; van Laar, J.A.M.; van Hagen, P.M.; et al. MxA is a clinically applicable biomarker for type I interferon activation in systemic lupus erythematosus and systemic sclerosis. Rheumatology 2019, 58, 1302–1303. [Google Scholar] [CrossRef]
- Sakumura, N.; Yokoyama, T.; Usami, M.; Hosono, Y.; Inoue, N.; Matsuda, Y.; Tasaki, Y.; Wada, T. CD169 expression on monocytes as a marker for assessing type I interferon status in pediatric inflammatory diseases. Clin. Immunol. 2023, 250, 109329. [Google Scholar] [CrossRef]
- Pan, Z.; Zhu, T.; Liu, Y.; Zhang, N. Role of the CXCL13/CXCR5 Axis in Autoimmune Diseases. Front. Immunol. 2022, 13, 850998. [Google Scholar] [CrossRef]
- Kim, J.M.; Son, C.N.; Chang, H.W.; Kim, S.H. Simultaneous presentation of acute disseminated encephalomyelitis (ADEM) and systemic lupus erythematosus (SLE) after enteroviral infection: Can ADEM present as the first manifestation of SLE? Lupus 2015, 24, 633–637. [Google Scholar] [CrossRef]
- Cruz, R.A.; Chaudhary, S.; Guevara, M.; Meltzer, E. Neuromyelitis Optica Spectrum Disorders (NMOSD) and Connective Tissue Disease (CTD): An Update for the Rheumatologist. Curr. Rheumatol. Rep. 2021, 23, 33. [Google Scholar] [CrossRef]
- Piga, M.; Chessa, E.; Peltz, M.T.; Floris, A.; Mathieu, A.; Cauli, A. Demyelinating syndrome in SLE encompasses different subtypes: Do we need new classification criteria? Pooled results from systematic literature review and monocentric cohort analysis. Autoimmun. Rev. 2017, 16, 244–252. [Google Scholar] [CrossRef]
- Tan, E.M.; Feltkamp, T.E.; Smolen, J.S.; Butcher, B.; Dawkins, R.; Fritzler, M.J.; Gordon, T.; Hardin, J.A.; Kalden, J.R.; Lahita, R.G.; et al. Range of antinuclear antibodies in “healthy” individuals. Arthritis Rheum. 1997, 40, 1601–1611. [Google Scholar] [CrossRef]
- Georges, E.; Rihova, Z.; Cmejla, R.; Decleire, P.Y.; Langen, C. Parvovirus B19 induced lupus-like syndrome with nephritis. Acta Clin. Belg. 2016, 71, 423–425. [Google Scholar] [CrossRef]
- Arnaud, L.; Mertz, P.; Gavand, P.E.; Martin, T.; Chasset, F.; Tebacher-Alt, M.; Lambert, A.; Muller, C.; Sibilia, J.; Lebrun-Vignes, B.; et al. Drug-induced systemic lupus: Revisiting the ever-changing spectrum of the disease using the WHO pharmacovigilance database. Ann. Rheum. Dis. 2019, 78, 504–508. [Google Scholar] [CrossRef] [PubMed]
- Kosalka-Wegiel, J.; Pacholczak-Madej, R.; Dziedzic, R.; Siwiec-Kozlik, A.; Spalkowska, M.; Milewski, M.; Zareba, L.; Bazan-Socha, S.; Korkosz, M. Malignancy in systemic lupus erythematosus: Relation to disease characteristics in 92 patients—A single center retrospective study. Rheumatol. Int. 2024, 44, 1701–1713. [Google Scholar] [CrossRef] [PubMed]



| Non-SLE systemic connective tissue and autoimmune disease |
| Dermatomyositis, Sjögren’s disease, mixed connective tissue disease, Still’s disease, neuromyelitis optica spectrum disease, multiple sclerosis, and Castleman disease. |
| Monogenic diseases |
| Interferonopathies (i.e., Aicardi–Goutières, SAVI, PRAAS, and Singleton–Merten syndrome). |
| Complement deficiencies (i.e., c1q/c1s/c1r/c2/complete C4 deficiency). |
| Other Inborn Errors of Immunity (i.e., HELIOS deficiency, SOCS1 haploinsufficiency, TLR7 deficiency, UNC93B1 deficiency, IRE1α deficiency, DOCK11 deficiency, autoimmune lymphoproliferative disorder, DNASE1L3 deficiency, and SPENCD). |
| Infections |
| Parvovirus B19, endocarditis, hepatitis, HIV, EBV, CMV, Borrelia, toxoplasmosis, histoplasmosis, mycobacterial diseases, leishmaniasis, and Whipple’s disease. |
| Malignancies |
| Angioimmunoblastic T-cell lymphoma, other lymphomas, and myelodysplastic syndrome. |
| Solid malignancies w/wo paraneoplastic features. |
| Atrial myxoma. |
| Miscellaneous |
| Drug-induced lupus. |
| Graft-versus-host disease. |
Disclaimer/Publisher’s Note: The statements, opinions and data contained in all publications are solely those of the individual author(s) and contributor(s) and not of MDPI and/or the editor(s). MDPI and/or the editor(s) disclaim responsibility for any injury to people or property resulting from any ideas, methods, instructions or products referred to in the content. |
© 2025 by the authors. Licensee MDPI, Basel, Switzerland. This article is an open access article distributed under the terms and conditions of the Creative Commons Attribution (CC BY) license (https://creativecommons.org/licenses/by/4.0/).
Share and Cite
Roest, K.L.; Hak, A.E.; van Leeuwen, E.M.M.; de Bree, G.J.; Kwakernaak, A.J. Mimickers of Systemic Lupus Erythematosus: Case Series and Literature Overview. J. Clin. Med. 2025, 14, 7070. https://doi.org/10.3390/jcm14197070
Roest KL, Hak AE, van Leeuwen EMM, de Bree GJ, Kwakernaak AJ. Mimickers of Systemic Lupus Erythematosus: Case Series and Literature Overview. Journal of Clinical Medicine. 2025; 14(19):7070. https://doi.org/10.3390/jcm14197070
Chicago/Turabian StyleRoest, Kaj L., A. (Liesbeth) E. Hak, Ester M. M. van Leeuwen, Godelieve J. de Bree, and Arjan J. Kwakernaak. 2025. "Mimickers of Systemic Lupus Erythematosus: Case Series and Literature Overview" Journal of Clinical Medicine 14, no. 19: 7070. https://doi.org/10.3390/jcm14197070
APA StyleRoest, K. L., Hak, A. E., van Leeuwen, E. M. M., de Bree, G. J., & Kwakernaak, A. J. (2025). Mimickers of Systemic Lupus Erythematosus: Case Series and Literature Overview. Journal of Clinical Medicine, 14(19), 7070. https://doi.org/10.3390/jcm14197070

