Sign in to use this feature.

Years

Between: -

Subjects

remove_circle_outline
remove_circle_outline
remove_circle_outline
remove_circle_outline
remove_circle_outline

Journals

Article Types

Countries / Regions

Search Results (147)

Search Parameters:
Keywords = inborn errors of immunity

Order results
Result details
Results per page
Select all
Export citation of selected articles as:
20 pages, 587 KB  
Article
Whole Genome Sequencing as First Diagnostic Approach for Inborn Errors of Immunity in Adults: Diagnostic Yield and Clinical Correlations
by Cristina-Loredana Pantea, Mihaela Bataneant, Ciprian Jurcut, Alexis Cochino, Andreea Ioan, Catalin Vasile Munteanu, Cristian G. Zimbru, Patricia Urtila and Adela Chirita-Emandi
Int. J. Mol. Sci. 2026, 27(8), 3415; https://doi.org/10.3390/ijms27083415 - 10 Apr 2026
Viewed by 550
Abstract
Inborn errors of immunity (IEIs) encompass a heterogeneous group of more than 550 genetic conditions with variable ages of onset. A significant proportion of IEI arises from genetic variants that may not yet be fully elucidated or recorded in existing genomic databases. Molecular [...] Read more.
Inborn errors of immunity (IEIs) encompass a heterogeneous group of more than 550 genetic conditions with variable ages of onset. A significant proportion of IEI arises from genetic variants that may not yet be fully elucidated or recorded in existing genomic databases. Molecular diagnoses are achieved in approximately 15–35% of IEI cases, yet in only 9–20% of individuals with predominant antibody deficiencies, particularly in adult cohorts. We aimed to evaluate whole genome sequencing (WGS) diagnostic yield in adults suspected to have IEI. Clinical assessments of the patients were carried out at tertiary medical institutions in Timisoara and Bucharest, Romania. The study cohort included a consecutive series of 21 adult patients (aged 19–60 years) with IEI phenotype, who underwent genetic analysis, using WGS as the first diagnostic approach. A definitive molecular diagnosis was confirmed in only 9.5% (2/21) of the participants, in LRBA and BTK genes. Variants of uncertain significance (VUS) were detected in three patients (13.6%) in TNFRSF13B, COPA, GATA2 genes. For about half of the cohort the onset of the disease was noted in childhood. WGS as a first-line diagnostic strategy in a cohort of adults with IEI yielded a low diagnostic rate. There were significant delays in genetic diagnosis, as half of the cohort experienced childhood-onset symptoms. Results suggest that adult IEI diagnosis remains challenging, necessitating functional studies and longitudinal re-evaluation of genomic data. Full article
(This article belongs to the Section Molecular Genetics and Genomics)
Show Figures

Figure 1

18 pages, 1478 KB  
Article
Quality of Life and Socioeconomic Situation of Patients with Hereditary Angioedema in Slovakia
by Martina Ondrušová, Martin Suchanský, Soňa Vándor Svidová, Katarína Hrubišková, Jana Zelníková, Karolína Vorčáková and Miloš Jeseňák
Medicina 2026, 62(4), 705; https://doi.org/10.3390/medicina62040705 - 7 Apr 2026
Viewed by 252
Abstract
Background and Objectives: Hereditary angioedema (HAE) represents a specific form of life-threatening inborn errors of immunity. Current guidelines recommend regular assessment of the disease burden, disease control and quality of life. This study describes the profile of HAE patients in Slovakia, disease [...] Read more.
Background and Objectives: Hereditary angioedema (HAE) represents a specific form of life-threatening inborn errors of immunity. Current guidelines recommend regular assessment of the disease burden, disease control and quality of life. This study describes the profile of HAE patients in Slovakia, disease control, quality of life, states of anxiety and depression, and socioeconomic situation. Materials and Methods: We used a set of standardized questionnaires—AE-QoL, AECT, HADS and Socioeconomic Status Questionnaire, and a non-standardized questionnaire—to describe the characteristics of the population. Results: We collected data on 56.44% (57 out of 101) of HAE adult patients registered in Slovakia. Moderate to severe HAE was present in 61.40% of patients; 73.68% were on long-term prophylactic treatment; and 19.30% received rescue treatment due to an acute HAE attack during the last 4 weeks. Most patients achieved lower AE-QoL scores, indicating a good quality of life. The AECT score indicated well-controlled disease in 91.23% of patients. Anxiety and/or depression scores were higher than normal in 17.54% of patients. Patients with HAE earned less than the average population, but most of them were economically active with relatively low rates of presenteeism and absenteeism. Only a minority of patients used social system benefits. Patients were exclusively cared for by relatives. Conclusions: The QoL scores achieved in all three standardized questionnaires indicate a good quality of life of HAE patients in Slovakia, which is associated with a high and specialized standard of care. Anxiety and/or depression were present in 17.54% of patients. Direct patients costs and social care costs are low, but there is an indirect socioeconomic burden on patients and their families. Full article
(This article belongs to the Special Issue Updates on Allergies and Immunodeficiencies)
Show Figures

Figure 1

2 pages, 136 KB  
Reply
Reply to Dolu, K.O. Comment on “Yorulmaz et al. Enhancing the Prediction of Inborn Errors of Immunity: Integrating Jeffrey Modell Foundation Criteria with Clinical Variables Using Machine Learning. Children 2025, 12, 1259”
by Alaaddin Yorulmaz, Ali Şahin, Gamze Sonmez, Fadime Ceyda Eldeniz, Yahya Gül, Mehmet Ali Karaselek, Şükrü Nail Güler, Sevgi Keleş and İsmail Reisli
Children 2026, 13(4), 477; https://doi.org/10.3390/children13040477 - 30 Mar 2026
Viewed by 158
Abstract
Response to the Letter to the Editor [...] Full article
2 pages, 141 KB  
Comment
Comment on Yorulmaz et al. Enhancing the Prediction of Inborn Errors of Immunity: Integrating Jeffrey Modell Foundation Criteria with Clinical Variables Using Machine Learning. Children 2025, 12, 1259
by Kazim Okan Dolu
Children 2026, 13(4), 476; https://doi.org/10.3390/children13040476 - 30 Mar 2026
Cited by 1 | Viewed by 158
Abstract
I read with great interest the article by Yorulmaz et al [...] Full article
(This article belongs to the Section Pediatric Allergy and Immunology)
20 pages, 1168 KB  
Article
Modifier-Sensitive Phenotypic Divergence in XMEN Disease (MAGT1 Deficiency): Neurodegenerative and Immuno-Hematologic Trajectories
by Ragip Fatih Kural, Zuleyha Galata, Reyhan Gumusburun, Ceyda Tunakan Dalgic, Nur Soyer, Havva Yazıcı, Ayse Nur Yuceyar, Aslı Subasıoglu, Irem Evcili, Bilgi Gungor, Kasım Okan, Mehmet Soylu, Cihat Uzunkopru and Omur Ardeniz
J. Clin. Med. 2026, 15(6), 2395; https://doi.org/10.3390/jcm15062395 - 21 Mar 2026
Viewed by 537
Abstract
Background: X-linked immunodeficiency with magnesium defect, Epstein–Barr virus (EBV) infection, and neoplasia (XMEN) disease is a rare inborn error of immunity caused by loss-of-function mutations in MAGT1, leading to impaired N-linked glycosylation. Although chronic EBV viremia is a hallmark of XMEN disease, [...] Read more.
Background: X-linked immunodeficiency with magnesium defect, Epstein–Barr virus (EBV) infection, and neoplasia (XMEN) disease is a rare inborn error of immunity caused by loss-of-function mutations in MAGT1, leading to impaired N-linked glycosylation. Although chronic EBV viremia is a hallmark of XMEN disease, the mechanisms underlying its marked clinical heterogeneity remain poorly understood. Methods: We performed an in-depth clinical, immunological, and genetic characterization of two siblings carrying a pathogenic MAGT1 variant (c.369_370insCC; p.Gly124fs), validated and deposited in ClinVar (SCV007293792). Assessments included whole-exome sequencing, multiparametric flow cytometry focusing on NKG2D expression, and longitudinal clinical follow-up. Results: Despite shared absence of NKG2D expression, the siblings exhibited strikingly divergent phenotypes. One sibling developed progressive neurodegeneration with central nervous system atrophy. The other presented with a complex immuno-hematologic phenotype, including EBV-positive Hodgkin lymphoma, recurrent autoimmune cytopenias, and lymphoma-associated thrombotic microangiopathy, representing a novel clinical association in XMEN disease. Comparative immunophenotyping revealed shared defects in B-cell maturation but distinct T-cell differentiation patterns. To contextualize neurological variability, we propose a descriptive, hypothesis-generating three-category conceptual classification comprising early-onset neurodevelopmental forms, adult-onset neurodegenerative manifestations, and secondary immune-mediated or vascular involvement of the nervous system. Conclusions: These findings demonstrate profound intrafamilial heterogeneity in XMEN disease and suggest a model in which modifier-sensitive factors influence organ-specific disease expression. The observation of lymphoma-associated thrombotic microangiopathy and the proposed descriptive neurological classification provide a conceptual framework that may help guide tailored, multidisciplinary surveillance beyond the primary genetic defect. Full article
Show Figures

Figure 1

21 pages, 858 KB  
Review
Cutaneous Manifestations of Inborn Errors of Immunity: Clinical Clues to Immune Disorders
by Katarzyna Napiorkowska-Baran, Maciej Pastuszczak, Maria Płocka-Karpińska, Marta Tykwińska, Paweł Treichel, Gary Andrew Margossian, Carla Liana Margossian, Agnieszka Rogalska and Rafał Czajkowski
Medicina 2026, 62(3), 581; https://doi.org/10.3390/medicina62030581 - 19 Mar 2026
Viewed by 440
Abstract
Background/Objectives: Cutaneous manifestations of inborn errors of immunity (IEI) are among the most common and often early signs of these disorders, estimated to affect about 40% of patients with IEI, and in some cases, they provide the first diagnostic clue. Skin findings [...] Read more.
Background/Objectives: Cutaneous manifestations of inborn errors of immunity (IEI) are among the most common and often early signs of these disorders, estimated to affect about 40% of patients with IEI, and in some cases, they provide the first diagnostic clue. Skin findings in IEI are heterogeneous and include recurrent skin infections, severe atopic dermatitis, autoimmune manifestations, as well as atypical granulomatous dermatoses, neoplastic lesions, pigmentation disorders, and changes involving hair and nails. Early recognition of these manifestations and linking them to the appropriate immunologic defect is crucial for establishing the diagnosis and initiating targeted therapy. Methods: This paper reviews the dermatologic phenotypes associated with IEI, with particular emphasis on a tabular classification of skin lesions corresponding to specific immunologic defects. Relevant literature was analyzed to summarize characteristic cutaneous presentations and current diagnostic approaches, highlighting the importance of interdisciplinary evaluation. Results: Cutaneous findings in IEI encompass a wide spectrum of infectious, inflammatory, autoimmune, and neoplastic manifestations. Systematic classification of these lesions facilitates earlier recognition of underlying immune defects and supports differential diagnosis. Dermatologic signs frequently precede systemic manifestations, making them valuable early clinical indicators of IEI. Conclusions: Recognition of dermatologic manifestations is critical for early diagnosis of IEI. Interdisciplinary collaboration between dermatologists, immunologists, and other specialists improves diagnostic accuracy and patient management. Current therapeutic strategies range from symptomatic treatment to targeted therapies, and personalized approaches improve prognosis and quality of life in patients with IEI. Full article
(This article belongs to the Special Issue Allergic and Immune Disorders: New Insights and Future Directions)
Show Figures

Figure 1

27 pages, 617 KB  
Review
Processing-Induced Modifications of Camel Milk Immunoglobulins and Lactoferrin: Implications for Immunocompromised Pediatric Populations and Therapeutic Applications
by Omar A. Alhaj, Mohammed O. Ibrahim, Nour A. Elsahoryi and Ola D. Al-Maseimi
Foods 2026, 15(6), 1028; https://doi.org/10.3390/foods15061028 - 16 Mar 2026
Viewed by 580
Abstract
Immunocompromised pediatric populations (children with inborn errors of immunity, HIV infection, and cancer, as well as those undergoing hematopoietic stem-cell transplantation) have severe nutritional challenges, with malnutrition depending on the underlying condition. Camel milk (CM) represents a culturally accessible, high-quality nutritional parameter and [...] Read more.
Immunocompromised pediatric populations (children with inborn errors of immunity, HIV infection, and cancer, as well as those undergoing hematopoietic stem-cell transplantation) have severe nutritional challenges, with malnutrition depending on the underlying condition. Camel milk (CM) represents a culturally accessible, high-quality nutritional parameter and functional food naturally enriched with particular immunological components such as heavy-chain antibodies that represent 75% of total immunoglobulins (IGs) and lactoferrin (LF) at a concentration 3–5 times higher than bovine milk (BM). However, there is a critical processing paradox: the thermal treatments required for the microbiological safety of immunosuppressed children who show a 20-fold greater susceptibility to foodborne pathogens degrade the therapeutic bioactive proteins. This comprehensive review provides a systematic evaluation of processing-induced modifications of CM IGs and LF, which involve thermal and non-thermal technologies, and their effects on the molecular structure and biological function. Emerging alternatives such as high-pressure processing (HPP), pulsed electric fields, and strategic fermentation show promising bioactivity retention without compromising safety. Critical knowledge gaps remain in the structure–function relationships of processed CM proteins, necessitating evidence-based optimization strategies to balance microbiological safety with clinically relevant immunomodulatory functions for vulnerable pediatric populations. Full article
Show Figures

Figure 1

12 pages, 457 KB  
Article
Pediatric Evans Syndrome as a Multisystem Immune Disorder: A 13-Year Longitudinal Experience from a Single Academic Center
by Dimitrios Karamitsos, Ioanna Paraskevi Papandrea, Nikoletta Rokidi, Ioanna Saougou, Chrysoula Kosmeri and Alexandros Makis
Pediatr. Rep. 2026, 18(2), 34; https://doi.org/10.3390/pediatric18020034 - 3 Mar 2026
Viewed by 534
Abstract
Background: Pediatric-onset Evans syndrome (pES) is a rare autoimmune disorder defined by the coexistence or sequential development of immune thrombocytopenia (ITP) and autoimmune hemolytic anemia (AIHA), frequently accompanied by autoimmune neutropenia (AIN) and characterized by a relapsing, multilineage course. Increasing evidence suggests [...] Read more.
Background: Pediatric-onset Evans syndrome (pES) is a rare autoimmune disorder defined by the coexistence or sequential development of immune thrombocytopenia (ITP) and autoimmune hemolytic anemia (AIHA), frequently accompanied by autoimmune neutropenia (AIN) and characterized by a relapsing, multilineage course. Increasing evidence suggests that pES may represent a broader immune dysregulation phenotype rather than an isolated hematologic disorder. Methods: We conducted a retrospective, single-center study of children diagnosed with pES and followed for up to 13 years at a tertiary referral center. Clinical data regarding hematologic evolution, extra-hematological immunopathological manifestations, treatment requirements, infectious complications, and genetic findings were analyzed descriptively. Results: Six children (4 males) were included, with a median age at first cytopenia of 7 years (range 3–15) and a median follow-up of 8 years (range 1–13). ITP preceded AIHA in 3/6 patients (50%), one patient (16.7%) developed AIHA first, and two (33.3%) showed partial or evolving multilineage disease with DAT positivity prior to overt hemolysis. AIN occurred in 3/6 patients (50%). Extra-hematological immunopathological manifestations occurred in 5/6 patients (83.3%), with two (33.3%) developing more than one. Second-line therapy was required in 3/6 patients (50%). Infectious episodes occurred in 83.3% of patients, predominantly viral or mild bacterial infections, with no life-threatening events. Whole-exome sequencing performed in three patients identified a heterozygous TNFAIP3 variant of uncertain significance in one case; no pathogenic variants were detected. Conclusions: pES demonstrates clinical heterogeneity, frequent multilineage cytopenia, and substantial extra-hematological immune involvement. Multisystem manifestations may be associated with increased treatment burden. Long-term multidisciplinary monitoring and cautious interpretation of genetic findings are essential for individualized pediatric care. Full article
Show Figures

Graphical abstract

19 pages, 1479 KB  
Review
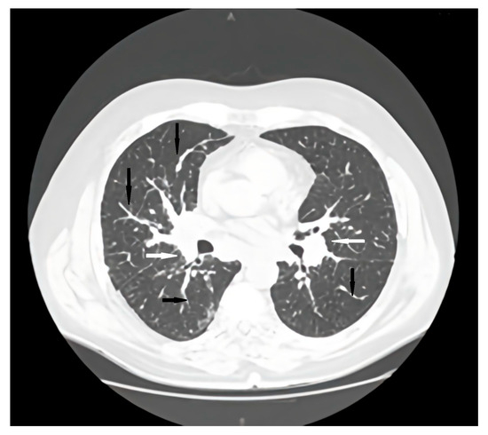
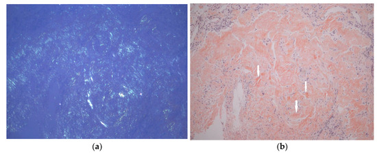
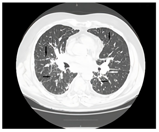
Association Between Common Variable Immunodeficiency and Pulmonary Amyloidosis: Review
by Cristina Maria Radu, Irena Nedelea, Vlad Andrei Ardelean, Adriana Parau and Milena Adina Man
J. Clin. Med. 2026, 15(4), 1446; https://doi.org/10.3390/jcm15041446 - 12 Feb 2026
Viewed by 1158
Abstract
Background: Common variable immunodeficiency (CVID) is the most frequent symptomatic primary antibody deficiency, associated with recurrent infections, immune dysregulation, and non-infectious complications. Amyloidosis is a rare but severe complication with pulmonary involvement being exceptional. Objective: The aim of this study was to review [...] Read more.
Background: Common variable immunodeficiency (CVID) is the most frequent symptomatic primary antibody deficiency, associated with recurrent infections, immune dysregulation, and non-infectious complications. Amyloidosis is a rare but severe complication with pulmonary involvement being exceptional. Objective: The aim of this study was to review reported cases of amyloidosis complicating CVID and present a unique case of pulmonary involvement. Methods: A literature research identified observational studies and case reports linking amyloidosis with CVID. Additionally, we describe a patient with CVID complicated by pulmonary and gastrointestinal amyloidosis. Results: Fifteen cases were identified, mostly amyloid A (AA) with multiple organ involvement. Only one case of pulmonary amyloidosis was reported. To date, no cases of pulmonary light-chain amyloidosis (AL) have been described in CVID patients without an underlying plasma cell dyscrasia. Our patient initially presented with AA amyloidosis but evolved to systemic AL type with rapid progression and fatal outcome despite therapy. Conclusions: Amyloidosis should be considered in CVID patients with atypical symptoms. Accurate amyloid typing is essential as treatment differs between AA and AL types. Early recognition may improve outcomes. Full article
(This article belongs to the Section Respiratory Medicine)
Show Figures

Figure 1

22 pages, 9696 KB  
Review
Liver Disease in Common Variable Immunodeficiency: Current Evidence and Knowledge Gaps
by Irena Nedelea, Oana Nicoara-Farcau, Bogdan Procopet, Horia Stefanescu, Corina Radu, Radu Balan, Ana-Maria Fit, Ioana Rusu and Diana Deleanu
Int. J. Mol. Sci. 2026, 27(3), 1518; https://doi.org/10.3390/ijms27031518 - 3 Feb 2026
Viewed by 1009
Abstract
Common variable immunodeficiency (CVID) is the most prevalent symptomatic primary immunodeficiency or inborn error of immunity (IEI) encountered in clinical practice. Characterized by a remarkably broad clinical spectrum, CVID presents with phenotypes spanning from “infection only” to significant non-infectious complications. The frequent overlap [...] Read more.
Common variable immunodeficiency (CVID) is the most prevalent symptomatic primary immunodeficiency or inborn error of immunity (IEI) encountered in clinical practice. Characterized by a remarkably broad clinical spectrum, CVID presents with phenotypes spanning from “infection only” to significant non-infectious complications. The frequent overlap between these classifications underscores that their distinction is more accurately viewed as a continuous spectrum, rather than a binary categorization. CVID-associated liver disease is a significant source of morbidity, yet often poses diagnostic challenges due to its insidious and clinically silent nature, typically becoming apparent only upon the development of complications. Manifestations range from abnormal liver tests to irreversible organ damage, with reports including granulomas, autoimmune hepatitis, fibrosis, and porto-sinusoidal vascular disorder (PSVD). Regenerative nodular hyperplasia (RNH), commonly associated with PSVD, is a frequent histopathological finding. Management requires a multidisciplinary approach, including cause-directed immunosuppression and supportive treatment for non-cirrhotic portal hypertension. Despite significant advances in comprehending CVID-associated liver involvement, substantial gaps persist concerning its pathogenesis, its optimal management, and the correlation between histological findings and clinical outcomes. A heightened awareness of CVID-associated liver disease is paramount for multidisciplinary teams across IEI centers. Furthermore, given its prevalence, its insidious clinical phenotype until advanced complications, and the significant diagnostic delay and underdiagnosis, such awareness is critical across a broader range of medical specialties. In this paper, we aim to consolidate current knowledge regarding CVID-related liver disease, examining its clinical presentation, recent genetic and pathogenetic advancements along with current diagnostic methodologies, and therapeutic strategies. Full article
Show Figures

Figure 1

7 pages, 587 KB  
Case Report
Genotype-Phenotype Delineation of Autoimmune Polyendocrinopathy, Candidiasis, and Ectodermal Dystrophy in a Pediatric Patient: A Case Report
by Rima Hanna-Wakim, Pascale E. Karam, Mazen Kurban and Nadine Yazbeck
Genes 2026, 17(2), 160; https://doi.org/10.3390/genes17020160 - 29 Jan 2026
Viewed by 526
Abstract
Background/Objectives: Autoimmune Polyendocrinopathy with Candidiasis and Ectodermal Dystrophy is an extremely rare autosomal recessive disorder caused by inborn errors of immunity. It is due to a loss-of-function mutation in the AIRE autoimmune regulator gene. Its manifestations include autoimmunity affecting endocrine glands, in addition [...] Read more.
Background/Objectives: Autoimmune Polyendocrinopathy with Candidiasis and Ectodermal Dystrophy is an extremely rare autosomal recessive disorder caused by inborn errors of immunity. It is due to a loss-of-function mutation in the AIRE autoimmune regulator gene. Its manifestations include autoimmunity affecting endocrine glands, in addition to non-endocrine manifestations including dental enamel hypoplasia, alopecia areata, hepatitis, and chronic mucocutaneous candidiasis. Globally, 10 cases per million are affected by this condition, with higher incidence in highly consanguineous populations. Here, we describe a novel AIRE gene mutation in a pediatric patient from Lebanon, along with the observed phenotype. Method: A nine-year-old boy with history of craniosynostosis presented with jaundice. His past medical history was significant for recurrent oral thrush, keratoconjunctivitis, nail dystrophy, and alopecia. Upon presentation, he had jaundice, isolated splenomegaly, and severe failure to thrive. Laboratory tests showed transaminitis, cholestasis, and hypergammaglobulinemia. Abdominal ultrasound findings were suggestive of cirrhosis with compensated portal hypertension. The differential diagnosis included viral infection, inborn errors of metabolism, and autoimmune hepatitis. Results: Exome sequencing identified a novel homozygous pathogenic variant in the AIRE gene, NM_000383.4: c.1066dup p.(Arg356Profs*16), confirming the diagnosis. Conclusions: This study expands the genotypic and phenotypic spectrum of a rare inborn error of immunity in a child with chronic mucocutaneous candidiasis, enamel hypoplasia, and hepatitis. Full article
(This article belongs to the Section Human Genomics and Genetic Diseases)
Show Figures

Figure 1

18 pages, 1136 KB  
Review
The Cross-Knit Between Immune Cells and Thyroid Function in Autoimmune Thyroid Disorders: What We Can Learn from Inborn Errors of Immunity
by Laura Grilli, Francesca Cillo, Roberta Romano, Giuliana Giardino, Francesca Romana Rotondo, Sara Vasaturo, Mariacarolina Salerno and Donatella Capalbo
Children 2026, 13(2), 169; https://doi.org/10.3390/children13020169 - 25 Jan 2026
Viewed by 734
Abstract
Autoimmune thyroid diseases (AITDs), including Hashimoto thyroiditis and Graves’ disease, are the most common autoimmune endocrinopathies, affecting up to 5% of the population. Pathogenetic pathways have not yet been fully elucidated, even though different immune-genetic alterations have been proposed. Specific immune defects presenting [...] Read more.
Autoimmune thyroid diseases (AITDs), including Hashimoto thyroiditis and Graves’ disease, are the most common autoimmune endocrinopathies, affecting up to 5% of the population. Pathogenetic pathways have not yet been fully elucidated, even though different immune-genetic alterations have been proposed. Specific immune defects presenting with AITDs may serve as an experimentum naturae to study the involvement of a specific pathway in the pathogenesis of the disease. In fact, since immune dysregulation with autoimmunity frequently characterize inborn errors of immunity (IEIs), understanding the mechanisms of immune tolerance breakdown leading to autoimmunity in these conditions may provide useful insight to understand the pathogenesis of AITDs. In this review, we will highlight the main immunological aspects of AITDs and their pathogenesis in IEIs. Full article
(This article belongs to the Section Pediatric Endocrinology & Diabetes)
Show Figures

Figure 1

19 pages, 1071 KB  
Review
Behçet-like Syndromes: A Comprehensive Review
by Gaia Mancuso, Igor Salvadè, Adam Ogna, Brenno Balestra and Helmut Beltraminelli
Dermatopathology 2026, 13(1), 7; https://doi.org/10.3390/dermatopathology13010007 - 16 Jan 2026
Viewed by 985
Abstract
Background: Behçet-like syndrome (BLS) refers to the presence of Behçet’s disease (BD) features occurring in association with distinct clinical–pathological conditions such as inborn errors of immunity, myeloproliferative disorders, infections, or drug exposure. BLS may differ clinically from BD and is increasingly recognized as [...] Read more.
Background: Behçet-like syndrome (BLS) refers to the presence of Behçet’s disease (BD) features occurring in association with distinct clinical–pathological conditions such as inborn errors of immunity, myeloproliferative disorders, infections, or drug exposure. BLS may differ clinically from BD and is increasingly recognized as a separate entity. Distinguishing BLS from primary BD is essential for appropriate management, and studying BLS may provide insights into BD pathogenesis. Objectives: To summarize clinical features, treatments, and genetic abnormalities reported in BLS, we reviewed all published cases up to January 2024. Methods: A systematic search of PubMed, Scopus, and Embase was performed using the terms “Behçet-like syndrome”, “Behçet-like disease”, and “Pseudo-Behçet disease”. We included English-language reports of patients > 12 years old with a defined underlying etiology and Behçet-like manifestations, defined by ≥2 ICBD criteria and/or gastrointestinal involvement, mucosal ulcers, thrombosis, or non-recurrent disease. Epidemiological, clinical, laboratory, histological, and treatment data were extracted and analyzed descriptively. Results: Of 679 publications, 53 met inclusion criteria, comprising 100 patients with BLS. The median age was 44 years (IQR 22–52), with a female predominance (1:2). Fifty-three percent were from non-European countries. A genetic disorder was identified in 70% of cases, while HLA-B51 was present in 10%. Frequent manifestations included skin lesions (68%), fever (56%), intestinal involvement (43%), and joint symptoms (43%). Treatments included glucocorticoids (65%), conventional DMARDs (32%), and biologics (22%), mainly anti-TNF agents. Antiviral/antibiotic therapy was used in 9% and chemotherapy in 15%. Two patients with trisomy-8 MDS underwent allogeneic stem cell transplantation. Conclusions: Diverse conditions—including monogenic diseases, immune defects, myeloproliferative disorders, infections, and drug-related reactions—can produce Behçet-like features. Our findings highlight differences in clinical expression and treatment response across BLS etiologies. Recognizing BLS is essential for appropriate management and may contribute to a deeper understanding of BD pathogenesis and future targeted therapies. Full article
(This article belongs to the Section Clinico-Pathological Correlation in Dermatopathology)
Show Figures

Figure 1

20 pages, 291 KB  
Article
Clinical, Genetic, and Immunological Spectrum of CHAI and LATAIE Patients from a Tertiary Referral Centre in India
by Priyanka Setia, Umair Ahmed Bargir, Mukesh Desai, Aparna Dalvi, Shweta Shinde, Neha Jodhawat, Pallavi Gaikwad, Sagar Bhattad, Chandrakala Shainmukhaih, Maya Gupta, Amruta Dhawale, Priyanka Kambli, Reetika Malik Yadav, Manas Kalra, Harikrishnan Gangadharan, Meena Sivasankaran, Vibha Bafna, Prawin Kumar, Priya Sarvanan, Mamta Manglani, Ratna Sharma, Parag Tamhankar and Manisha Madkaikaradd Show full author list remove Hide full author list
Int. J. Mol. Sci. 2026, 27(1), 14; https://doi.org/10.3390/ijms27010014 - 19 Dec 2025
Viewed by 834
Abstract
Primary immune regulatory disorders (PIRDs) are a group of conditions characterised by a loss of immune tolerance. Two such disorders, CHAI and LATAIE, share common molecular mechanisms, leading to significant clinical overlap. Here, we report demographic, clinical, immunological, and molecular findings in 29 [...] Read more.
Primary immune regulatory disorders (PIRDs) are a group of conditions characterised by a loss of immune tolerance. Two such disorders, CHAI and LATAIE, share common molecular mechanisms, leading to significant clinical overlap. Here, we report demographic, clinical, immunological, and molecular findings in 29 patients referred from different parts of India with a diagnosis of CHAI or LATAIE. LATAIE patients demonstrated a higher prevalence of consanguinity, while CHAI patients more often had a positive family history. Both disorders presented with overlapping clinical features, predominately autoimmune cytopenias, benign lymphoproliferation, and inflammatory bowel disease (IBD). However, the incidence of recurrent infections, otitis media, bronchiectasis, and hypogammaglobulinemia was higher among LATAIE patients as compared to CHAI. Flow cytometry analysis revealed significant differences in T cell subsets, particularly in percentages of CD4+ naïve cells and T regulatory cells (Treg), between the two disorders. B cell abnormalities were also observed. Molecular diagnosis was achieved using targeted or clinical exome sequencing, and specific protein expression was employed to validate the novel variants. Full article
(This article belongs to the Special Issue Molecular Advances in Inborn Errors of Immunity)
19 pages, 307 KB  
Review
Toward Universal Protection: A Comprehensive Review of Pneumococcal Disease, Emerging Vaccination Challenges and Future Perspectives
by Mayla Sgrulletti, Maria Felicia Mastrototaro, Alessandra Beni, Gloria Mantuano, Giorgio Costagliola, Veronica Santilli, Davide Montin, Caterina Rizzo, Baldassarre Martire, Gian Luigi Marseglia, Michele Miraglia Del Giudice, Viviana Moschese and Immunology (SIAIP) Vaccine Committee
Vaccines 2025, 13(12), 1237; https://doi.org/10.3390/vaccines13121237 - 12 Dec 2025
Viewed by 1602
Abstract
Streptococcus pneumoniae contributes significantly to morbidity, mortality, and healthcare costs worldwide due to severe Invasive Pneumococcal Disease (IPD), particularly among young children and vulnerable populations. This review critically examines the current state of pneumococcal disease epidemiology, the evolution of vaccine strategies, and persistent [...] Read more.
Streptococcus pneumoniae contributes significantly to morbidity, mortality, and healthcare costs worldwide due to severe Invasive Pneumococcal Disease (IPD), particularly among young children and vulnerable populations. This review critically examines the current state of pneumococcal disease epidemiology, the evolution of vaccine strategies, and persistent challenges to achieve global control of the disease. The implementation of Pneumococcal Conjugate Vaccines (PCVs) has yielded substantial public health gains, establishing herd protection and sharply reducing vaccine-type IPD incidence. However, this success has been fundamentally challenged by serotype replacement, where non-vaccine serotypes have subsequently emerged to cause a significant proportion of the residual disease burden. This epidemiological shift has necessitated the development and deployment of higher-valency PCVs (PCV15, PCV20, and PCV21) to expand serotype coverage. Furthermore, optimal protection requires personalized strategies for high-risk cohorts where vaccine effectiveness can be compromised. In this context, the review details how pneumococcal vaccination—and particularly PPSV23—serves as an indispensable diagnostic tool to evaluate a broad spectrum of Inborn Errors of Immunity (IEI) and in particular humoral defects. Diagnostic challenges are strained by non-standardized assays and the limited panel of unique serotypes available for testing in the PCV era. The scientific priority is now the development of universal protein-based vaccines, to provide protection against all serotypes and non-encapsulated strains by targeting conserved virulence factors. This integrated approach, combining expanded PCV coverage with novel vaccine technology, is essential to mitigate the ongoing public health burden of pneumococcal disease. Full article
Show Figures

Graphical abstract

Back to TopTop