Minimum Two-Year Outcomes of the Zimmer G7 Modular Dual Mobility Cup in Primary Total Hip Arthroplasty: Survivorship, Complications, Clinical and Radiographic Results
Abstract
1. Introduction
2. Materials and Methods
2.1. Study Design and Inclusion Criteria
2.2. Surgical Procedure
2.3. Clinical and Radiological Evaluation
2.4. Data Analyses
3. Results
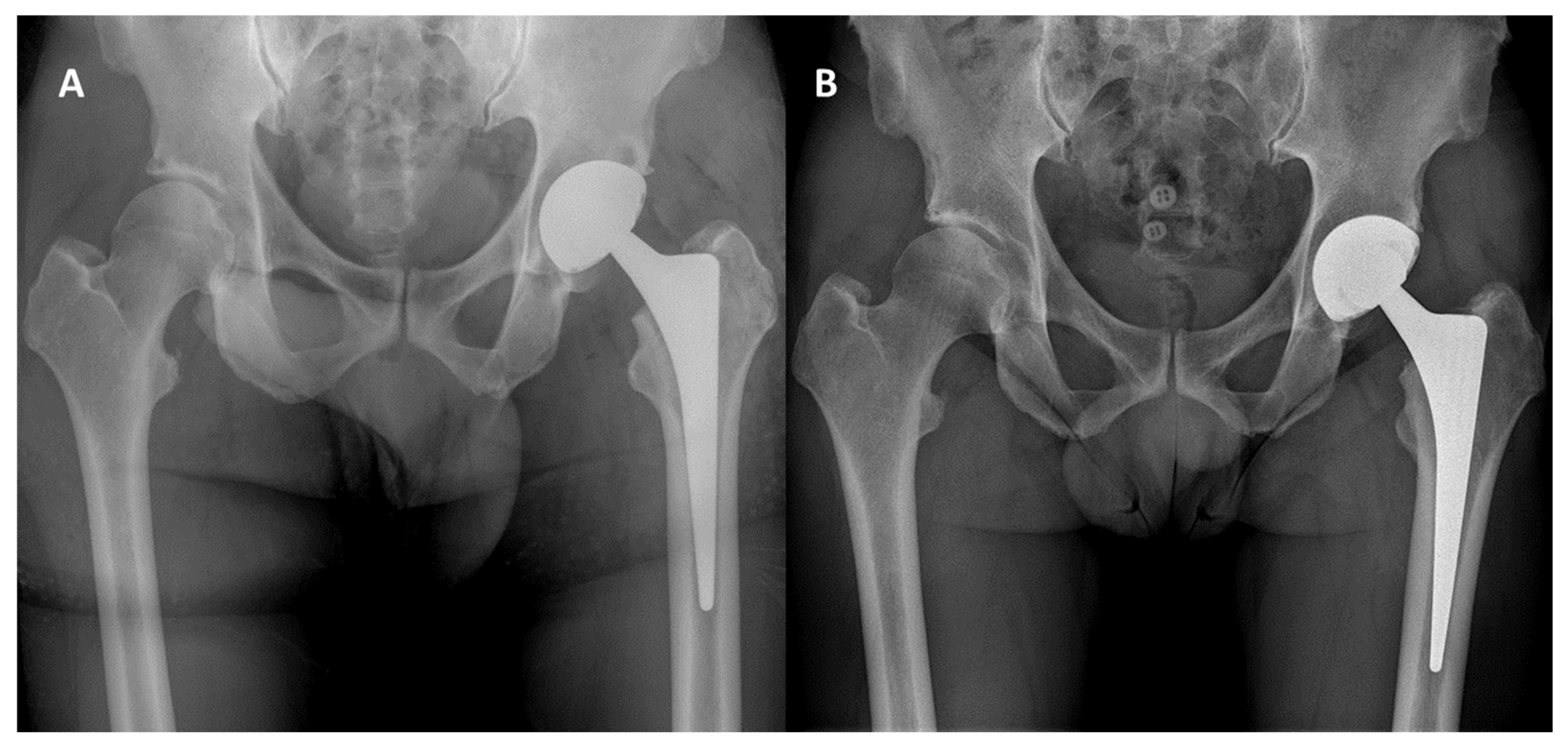
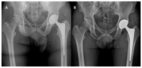
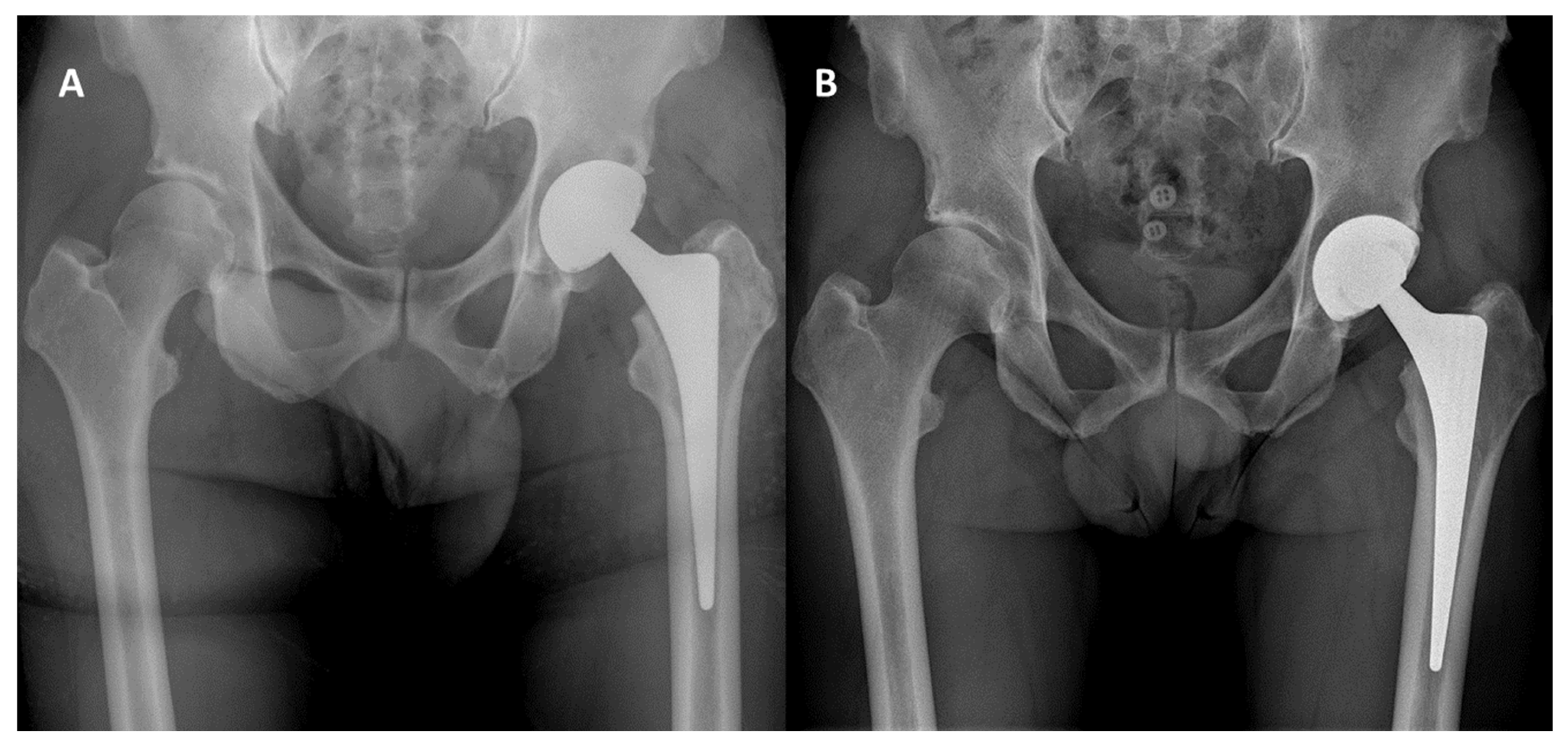
3.1. Survival Analysis, Complication and Revision Rates
3.2. Clinical Outcomes
3.3. Radiographic Outcomes
4. Discussion
5. Conclusions
Author Contributions
Funding
Institutional Review Board Statement
Informed Consent Statement
Data Availability Statement
Conflicts of Interest
References
- Learmonth, I.D.; Young, C.; Rorabeck, C. The operation of the century: Total hip replacement. Lancet 2007, 370, 1508–1519. [Google Scholar] [CrossRef] [PubMed]
- Moldovan, F.; Moldovan, L. A Modeling Study for Hip Fracture Rates in Romania. J. Clin. Med. 2025, 14, 3162. [Google Scholar] [CrossRef] [PubMed] [PubMed Central]
- Brooks, P.J. Dislocation following total hip replacement: Causes and cures. Bone Jt. J. 2013, 95-B, 67–69. [Google Scholar] [CrossRef] [PubMed]
- Farizon, F.; de Lavison, R.; Azoulai, J.J.; Bousquet, G. Results with a cementless alumina-coated cup with dual mobility. A twelve-year follow-up study. Int. Orthop. 1998, 22, 219–224. [Google Scholar] [CrossRef] [PubMed] [PubMed Central]
- Jones, C.W.; De Martino, I.; D’Apolito, R.; Nocon, A.A.; Sculco, P.K.; Sculco, T.P. The use of dual-mobility bearings in patients at high risk of dislocation. Bone Jt. J. 2019, 101-B, 41–45. [Google Scholar] [CrossRef] [PubMed]
- Sunilkumar, P.D.; Oh, K.J.; Cho, H.W.; Kim, S.M. Monolithic Dual Mobility Cup Total Hip Arthroplasty Has High Complication Rates With Surgical Fixation in Elderly With Femur Neck Fracture. J. Arthroplast. 2020, 35, 3621–3626. [Google Scholar] [CrossRef] [PubMed]
- Nam, D.; Salih, R.; Nahhas, C.R.; Barrack, R.L.; Nunley, R.M. Is a modular dual mobility acetabulum a viable option for the young, active total hip arthroplasty patient? Bone Jt. J. 2019, 101-B, 365–371. [Google Scholar] [CrossRef] [PubMed]
- Sutter, E.G.; McClellan, T.R.; Attarian, D.E.; Bolognesi, M.P.; Lachiewicz, P.F.; Wellman, S.S. Outcomes of Modular Dual Mobility Acetabular Components in Revision Total Hip Arthroplasty. J. Arthroplast. 2017, 32, S220–S224. [Google Scholar] [CrossRef] [PubMed]
- Lygrisse, K.A.; Matzko, C.; Shah, R.P.; Macaulay, W.; Cooper, J.H.; Schwarzkopf, R.; Hepinstall, M.S. Femoral Neck Notching in Dual Mobility Implants: Is This a Reason for Concern? J. Arthroplast. 2021, 36, 2843–2849. [Google Scholar] [CrossRef] [PubMed]
- Kolz, J.M.; Wyles, C.C.; Van Citters, D.W.; Chapman, R.M.; Trousdale, R.T.; Berry, D.J. In Vivo Corrosion of Modular Dual-Mobility Implants: A Retrieval Study. J. Arthroplast. 2020, 35, 3326–3329. [Google Scholar] [CrossRef] [PubMed]
- Nam, D.; Salih, R.; Brown, K.M.; Nunley, R.M.; Barrack, R.L. Metal Ion Levels in Young, Active Patients Receiving a Modular, Dual Mobility Total Hip Arthroplasty. J. Arthroplast. 2017, 32, 1581–1585. [Google Scholar] [CrossRef] [PubMed]
- French, J.M.R.; Bramley, P.; Scattergood, S.; Sandiford, N.A. Adverse reaction to metal debris due to fretting corrosion between the acetabular components of modular dual-mobility constructs in total hip replacement: A systematic review and meta-analysis. EFORT Open Rev. 2021, 6, 343–353. [Google Scholar] [CrossRef] [PubMed] [PubMed Central]
- Minelli, M.; Kon, E.; D’Addona, A.; Rosolani, M.; Di Matteo, B.; Della Rocca, F. Minimum five years outcomes of modular dual mobility in primary total hip arthroplasty: A systematic review. Int. Orthop. 2025, 49, 1699–1701. [Google Scholar] [CrossRef] [PubMed]
- Loppini, M.; Longo, U.G.; Caldarella, E.; Rocca, A.D.; Denaro, V.; Grappiolo, G. Femur first surgical technique: A smart non-computer-based procedure to achieve the combined anteversion in primary total hip arthroplasty. BMC Musculoskelet. Disord. 2017, 18, 331. [Google Scholar] [CrossRef] [PubMed] [PubMed Central]
- Harold, R.E.; Butler, B.A.; Delagrammaticas, D.; Sullivan, R.; Stover, M.; Manning, D.W. Patient-Reported Outcomes Measurement Information System Correlates With Modified Harris Hip Score in Total Hip Arthroplasty. Orthopedics 2021, 44, e19–e25. [Google Scholar] [CrossRef] [PubMed]
- Danoff, J.R.; Goel, R.; Sutton, R.; Maltenfort, M.G.; Austin, M.S. How Much Pain Is Significant? Defining the Minimal Clinically Important Difference for the Visual Analog Scale for Pain After Total Joint Arthroplasty. J. Arthroplast. 2018, 33, S71–S75.e2. [Google Scholar] [CrossRef] [PubMed]
- Koo, T.K.; Li, M.Y. A Guideline of Selecting and Reporting Intraclass Correlation Coefficients for Reliability Research. J. Chiropr. Med. 2016, 15, 155–163. [Google Scholar] [CrossRef] [PubMed] [PubMed Central]
- Narkbunnam, R.; Amanatullah, D.F.; Electricwala, A.J.; Huddleston, J.I., III; Maloney, W.J.; Goodman, S.B. Radiographic scoring system for the evaluation of stability of cementless acetabular components in the presence of osteolysis. Bone Jt. J. 2017, 99-B, 601–606. [Google Scholar] [CrossRef] [PubMed]
- He, A.; Zhang, Y.; Lu, C.; Cao, L.; Liu, J.; Zhong, Z. Imaging study of aseptic loosening of the acetabular cup after cementless total hip arthroplasty: A retrospective study. BMC Musculoskelet. Disord. 2025, 26, 396. [Google Scholar] [CrossRef] [PubMed] [PubMed Central]
- Pitto, R.P.; Bhargava, A.; Pandit, S.; Munro, J.T. Retroacetabular stress-shielding in THA. Clin. Orthop. Relat. Res. 2008, 466, 353–358. [Google Scholar] [CrossRef] [PubMed] [PubMed Central]
- Schaffler, B.C.; Raymond, H.E.; Black, C.S.; Habibi, A.A.; Ehlers, M.; Duncan, S.T.; Schwarzkopf, R. Two-Year Outcomes of Novel Dual-Mobility Implant in Primary Total Hip Arthroplasty. Adv. Orthop. 2024, 2024, 4125965. [Google Scholar] [CrossRef] [PubMed] [PubMed Central]
- Ruusiala, M.; Miettinen, H.; Kettunen, J.; Kröger, H.; Miettinen, S. Short-term primary and revision modular dual-mobility cup total hip arthroplasty outcomes in high-risk dislocation patients: A retrospective study. Eur. J. Orthop. Surg. Traumatol. 2024, 34, 3981–3988. [Google Scholar] [CrossRef] [PubMed] [PubMed Central]
- Tigani, D.; Castiello, E.; Moghnie, A.; Bruschi, A.; Serra, M.; Amendola, L.; Bordini, B. Use of dual-mobility cup in primary total hip arthroplasties: An Italian regional register (RIPO) study on three thousand, seven hundred and ten cases. Int. Orthop. 2023, 47, 99–106. [Google Scholar] [CrossRef] [PubMed] [PubMed Central]
- Bousquet, G.; Argenson, C.; Godeneche, J.L.; Cisterne, J.P.; Gazielly, D.F.; Girardin, P.; Debiesse, J.L. Reprises après descellement aseptique des arthroplasties totales de hanche cimentées par la prothèse sans ciment de Bousquet. A propos de 136 observations [Recovery after aseptic loosening of cemented total hip arthroplasties with Bousquet’s cementless prosthesis. Apropos of 136 cases]. Rev. Chir. Orthop. Reparatrice l’Appareil Mot. 1986, 72 (Suppl. 2), 70–74. [Google Scholar] [PubMed]
- Boyer, B.; Philippot, R.; Geringer, J.; Farizon, F. Primary total hip arthroplasty with dual mobility socket to prevent dislocation: A 22-year follow-up of 240 hips. Int. Orthop. 2012, 36, 511–518. [Google Scholar] [CrossRef] [PubMed] [PubMed Central]
- Zimmer-Biomet. OsseoTi® Porous Metal Technology. 2025. Available online: https://www.zimmerbiomet.com/medical-professionals/common/our-science/osseoti-porous-metal.html (accessed on 1 May 2025).
- Li, Z.; Xiang, S.; Wu, C.; Wang, Y.; Weng, X. Vitamin E highly cross-linked polyethylene reduces mid-term wear in primary total hip replacement: A meta-analysis and systematic review of randomized clinical trials using radiostereometric analysis. EFORT Open Rev. 2021, 6, 759–770. [Google Scholar] [CrossRef] [PubMed] [PubMed Central]
- Hamadouche, M.; Arnould, H.; Bouxin, B. Is a cementless dual mobility socket in primary THA a reasonable option? Clin. Orthop. Relat. Res. 2012, 470, 3048–3053. [Google Scholar] [CrossRef] [PubMed] [PubMed Central]
- Schwartz, C.; Bussiere, C.; Chalencon, F.; Cladiere, F.; Forgeois, P.; Fornasieri, C. Over ten-year follow-up results of a prospective and consecutive series of primary total hip arthroplasty with an original cementless total hip prosthesis. Int. Orthop. 2024, 48, 945–954. [Google Scholar] [CrossRef] [PubMed] [PubMed Central]
- Philippot, R.; Camilleri, J.P.; Boyer, B.; Adam, P.; Farizon, F. The use of a dual-articulation acetabular cup system to prevent dislocation after primary total hip arthroplasty: Analysis of 384 cases at a mean follow-up of 15 years. Int. Orthop. 2009, 33, 927–932. [Google Scholar] [CrossRef] [PubMed] [PubMed Central]
- Leclercq, S.; Benoit, J.Y.; de Rosa, J.P.; Euvrard, P.; Leteurtre, C.; Girardin, P. Results of the Evora dual-mobility socket after a minimum follow-up of five years. Rev. Chir. Orthopédique Réparatrice l’Appareil Mot. 2008, 94, e17–e22. [Google Scholar] [CrossRef] [PubMed]
- Combes, A.; Migaud, H.; Girard, J.; Duhamel, A.; Fessy, M.H. Low rate of dislocation of dual-mobility cups in primary total hip arthroplasty. Clin. Orthop. Relat. Res. 2013, 471, 3891–3900. [Google Scholar] [CrossRef]
- Vielpeau, C.; Lebel, B.; Ardouin, L.; Burdin, G.; Lautridou, C. The dual mobility socket concept: Experience with 668 cases. Int. Orthop. 2011, 35, 225–230. [Google Scholar] [CrossRef] [PubMed] [PubMed Central]
- Momoli, A.; Mulone, A.; Ulgelmo, M.; Lunardelli, E.; Ambrosini, C.; Giaretta, S. The role of dual-mobility in primary total hip arthroplasty. Lo Scalpello J. 2021, 35, 27–34. [Google Scholar] [CrossRef]
- Darrith, B.; Courtney, P.M.; Della Valle, C.J. Outcomes of dual mobility components in total hip arthroplasty: A systematic review of the literature. Bone Jt. J. 2018, 100-B, 11–19. [Google Scholar] [CrossRef]
- Levin, J.M.; Sultan, A.A.; O’Donnell, J.A.; Sodhi, N.; Khlopas, A.; Piuzzi, N.S.; Mont, M.A. Modern dual-mobility cups in revision total hip arthroplasty: A systematic review and meta-analysis. J. Arthroplast. 2018, 33, 3793–3800. [Google Scholar] [CrossRef] [PubMed]
- Matzko, C.; Naylor, B.; Cummings, R.; Korshunov, Y.; Cooper, H.J.; Hepinstall, M.S. Impingement Resulting in Femoral Notching and Elevated Metal-Ion Levels After Dual-Mobility Total Hip Arthroplasty. Arthroplast. Today 2020, 6, 1045–1051. [Google Scholar] [CrossRef] [PubMed] [PubMed Central]
- Abdelaal, M.S.; Zachwieja, E.; Sharkey, P.F. Severe Corrosion of Modular Dual Mobility Acetabular Components Identified During Revision Total Hip Arthroplasty. Arthroplast. Today 2021, 8, 78–83. [Google Scholar] [CrossRef] [PubMed] [PubMed Central]
- Sonn, K.A.; Meneghini, R.M. Adverse Local Tissue Reaction due to Acetabular Corrosion in Modular Dual-Mobility Constructs. Arthroplast. Today 2020, 6, 976–980. [Google Scholar] [CrossRef] [PubMed] [PubMed Central]
- Cooper, H.J.; Della Valle, C.J.; Berger, R.A.; Tetreault, M.; Paprosky, W.G.; Sporer, S.M.; Jacobs, J.J. Corrosion at the head-neck taper as a cause for adverse local tissue reactions after total hip arthroplasty. J. Bone Jt. Surg. 2012, 94, 1655–1661. [Google Scholar] [CrossRef] [PubMed] [PubMed Central]
- Kurtz, S.M.; Kocagöz, S.B.; Hanzlik, J.A.; Underwood, R.J.; Gilbert, J.L.; MacDonald, D.W.; Lee, G.C.; Mont, M.A.; Kraay, M.J.; Klein, G.R.; et al. Do ceramic femoral heads reduce taper fretting corrosion in hip arthroplasty? A retrieval study. Clin. Orthop. Relat. Res. 2013, 471, 3270–3282. [Google Scholar] [CrossRef] [PubMed] [PubMed Central]
- Hernigou, P.; Barbier, O.; Chenaie, P. Hip arthroplasty dislocation risk calculator: Evaluation of one million primary implants and twenty-five thousand dislocations with deep learning artificial intelligence in a systematic review of reviews. Int. Orthop. 2023, 47, 557–571. [Google Scholar] [CrossRef] [PubMed]
- Tigani, D.; Banci, L.; Valtorta, R.; Amendola, L. Hip stability parameters with dual mobility, modular dual mobility and fixed bearing in total hip arthroplasty: An analytical evaluation. BMC Musculoskelet. Disord. 2022, 23, 373. [Google Scholar] [CrossRef] [PubMed] [PubMed Central]
- Sariali, E.; Lazennec, J.Y.; Khiami, F.; Catonné, Y. Mathematical evaluation of jumping distance in total hip arthroplasty: Influence of abduction angle, femoral head offset, and head diameter. Acta Orthop. 2009, 80, 277–282. [Google Scholar] [CrossRef] [PubMed] [PubMed Central]
- Fessy, M.H.; Riglet, L.; Gras, L.L.; Neyra, H.; Pialat, J.B.; Viste, A. Ilio-psoas impingement with a dual-mobility liner: An original case report and review of literature. SICOT-J 2020, 6, 27. [Google Scholar] [CrossRef] [PubMed] [PubMed Central]
- Cho, M.R.; Choi, W.K.; Kim, J.J. Current Concepts of Using Large Femoral Heads in Total Hip Arthroplasty. Hip Pelvis 2016, 28, 134–141. [Google Scholar] [CrossRef] [PubMed] [PubMed Central]
- Verhaegen, J.C.F.; Vandeputte, F.J.; Van den Broecke, R.; Roose, S.; Driesen, R.; Timmermans, A.; Corten, K. Risk Factors for Iliopsoas Tendinopathy After Anterior Approach Total Hip Arthroplasty. J. Arthroplast. 2023, 38, 511–518. [Google Scholar] [CrossRef] [PubMed]
- Minelli, M.; Longobardi, V.; Del Monaco, A.; D’Addona, A.; Za, P.; Della Rocca, F.; Loppini, M. Risk Factors for Iliopsoas Impingement Following Total Hip Arthroplasty: A Systematic Review. J. Clin. Med. 2025, 14, 6376. [Google Scholar] [CrossRef] [PubMed]
- Young, P.S.; Macarico, D.T.; Silverwood, R.K.; Farhan-Alanie, O.M.; Mohammed, A.; Periasamy, K.; Nicol, A.; Meek, R.M.D. Anatomical pelvic loading of a monoblock polyethylene acetabular component. Bone Jt. J. 2021, 103-B, 872–880. [Google Scholar] [CrossRef]
- Longobardi, V.; Minelli, M.; Pietrogrande, G.; Anzillotti, G.; Della Rocca, F.; Loppini, M. Outcomes of Iso-Elastic Acetabular Cup in Primary Total Hip Arthroplasty with 5-Year Minimum Follow-Up: A Systematic Review. J. Clin. Med. 2025, 14, 6621. [Google Scholar] [CrossRef]
- Huiskes, R. Finite element analysis of acetabular reconstruction. Noncemented threaded cups. Acta Orthop. Scand. 1987, 58, 620–625. [Google Scholar] [CrossRef] [PubMed]
- Mueller, L.A.; Kress, A.; Nowak, T.; Pfander, D.; Pitto, R.P.; Forst, R.; Schmidt, R. Periacetabular bone changes after uncemented total hip arthroplasty evaluated by quantitative computed tomography. Acta Orthop. 2006, 77, 380–385. [Google Scholar] [CrossRef] [PubMed]
- Digas, G.; Kärrholm, J.; Thanner, J. Different loss of BMD using uncemented press-fit and whole polyethylene cups fixed with cement: Repeated DXA studies in 96 hips randomized to 3 types of fixation. Acta Orthop. 2006, 77, 218–226. [Google Scholar] [CrossRef] [PubMed]




| Cup Size (mm) | Cases | Percentage (%) |
|---|---|---|
| 46 | 8 | 7.6 |
| 48 | 27 | 25.7 |
| 50 | 31 | 29.5 |
| 52 | 16 | 15.2 |
| 54 | 10 | 9.5 |
| 56 | 6 | 5.7 |
| 58 | 1 | 1.0 |
| 60 | 4 | 3.8 |
| 62 | 2 | 1.9 |
| Total | 105 | 100.0 |
| Liner size (mm) | Cases | Percentage (%) |
| 36 | 8 | 7.6 |
| 38 | 27 | 25.7 |
| 40 | 31 | 29.5 |
| 42 | 16 | 15.2 |
| 44 | 16 | 15.2 |
| 46 | 5 | 4.8 |
| 50 | 2 | 1.9 |
| Total | 105 | 100.0 |
| Head size (mm) | Cases | Percentage (%) |
| 22 | 8 | 7.6 |
| 28 | 97 | 92.3 |
| Total | 105 | 100.0 |
| Head material | Cases | Percentage (%) |
| CoCr | 8 | 7.6 |
| Ceramic | 97 | 92.3 |
| Total | 105 | 100.0 |
| Stem | Implant | Cases | Percentage (%) |
|---|---|---|---|
| Standard cementless stem | 69 | 65.7 | |
| CLS Spotorno Hip Stem 135 | 45 | 42.9 | |
| CLS Spotorno Hip Stem 125 | 24 | 22.9 | |
| Conical tapered cementless stem | 5 | 4.8 | |
| Wagner Cone 125 | 2 | 1.9 | |
| Wagner Cone 135 | 3 | 2.8 | |
| Cemented stem | 31 | 29.5 | |
| MS30 standard neck | 31 | 29.5 | |
| Total | 105 | 100.0 |
| Group | Reviewed (n = 89) | Lost or Deceased (n = 16) |
|---|---|---|
| N. of patients | 89 (100%) | 16 (100%) |
| Mean age | 73.5 | 76.4 |
| Gender | 62 F (69.7%) | 11 F (68.7%) |
| 27 M (30.3%) | 5 M (31.3%) | |
| Head material | 82 CER (92.1%) | 15 CER (93.7%) |
| 7 MET (7.9%) | 1 MET (6.3%) | |
| Cemented/Cementless stem | 25 Cemented (30.3%) | 6 Cemented (37.5%) |
| 64 Cementless (69.7%) | 10 Cementless (62.5%) | |
| OsseoTi/PPS | 30 OsseoTi (33.7%) | 8 OsseoTi (50.0%) |
| 59 PPS (66.3%) | 8 PPS (50.0%) | |
| Primary osteoarthritis | 69 (77.5%) | 14 (87.5%) |
| Avascular necrosis | 10 (11.2%) | 1 (6.3%) |
| Post-traumatic osteoarthritis | 5 (5.6%) | 0 |
| Femur neck fracture | 1 (1.1%) | 1 (6.3%) |
| Neck fracture sequelae | 1 (1.1%) | 0 |
| Girdlestone sequelae | 1 (1.1%) | 0 |
| Adult hip dysplasia | 2 (2.2%) | 0 |
Disclaimer/Publisher’s Note: The statements, opinions and data contained in all publications are solely those of the individual author(s) and contributor(s) and not of MDPI and/or the editor(s). MDPI and/or the editor(s) disclaim responsibility for any injury to people or property resulting from any ideas, methods, instructions or products referred to in the content. |
© 2025 by the authors. Licensee MDPI, Basel, Switzerland. This article is an open access article distributed under the terms and conditions of the Creative Commons Attribution (CC BY) license (https://creativecommons.org/licenses/by/4.0/).
Share and Cite
Minelli, M.; Longobardi, V.; Di Francia, V.P.; D’Addona, A.; Rosolani, M.; Della Rocca, F. Minimum Two-Year Outcomes of the Zimmer G7 Modular Dual Mobility Cup in Primary Total Hip Arthroplasty: Survivorship, Complications, Clinical and Radiographic Results. J. Clin. Med. 2025, 14, 7071. https://doi.org/10.3390/jcm14197071
Minelli M, Longobardi V, Di Francia VP, D’Addona A, Rosolani M, Della Rocca F. Minimum Two-Year Outcomes of the Zimmer G7 Modular Dual Mobility Cup in Primary Total Hip Arthroplasty: Survivorship, Complications, Clinical and Radiographic Results. Journal of Clinical Medicine. 2025; 14(19):7071. https://doi.org/10.3390/jcm14197071
Chicago/Turabian StyleMinelli, Marco, Vincenzo Longobardi, Vincenzo Paolo Di Francia, Alessio D’Addona, Marco Rosolani, and Federico Della Rocca. 2025. "Minimum Two-Year Outcomes of the Zimmer G7 Modular Dual Mobility Cup in Primary Total Hip Arthroplasty: Survivorship, Complications, Clinical and Radiographic Results" Journal of Clinical Medicine 14, no. 19: 7071. https://doi.org/10.3390/jcm14197071
APA StyleMinelli, M., Longobardi, V., Di Francia, V. P., D’Addona, A., Rosolani, M., & Della Rocca, F. (2025). Minimum Two-Year Outcomes of the Zimmer G7 Modular Dual Mobility Cup in Primary Total Hip Arthroplasty: Survivorship, Complications, Clinical and Radiographic Results. Journal of Clinical Medicine, 14(19), 7071. https://doi.org/10.3390/jcm14197071

