Thyroid Gland Diffuse Lipomatosis: A Case Study and Comprehensive Literature Review
Abstract
1. Introduction
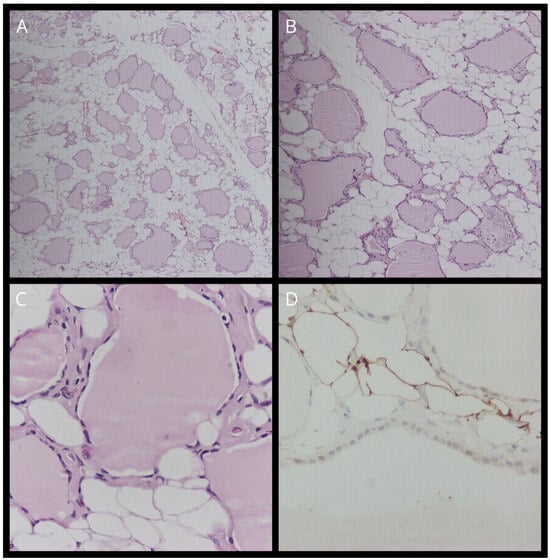
2. Case Report
3. Review
4. Discussion
5. Conclusions
Author Contributions
Funding
Data Availability Statement
Conflicts of Interest
References
- Ge, Y.; Luna, M.A.; Cowan, D.F.; Truong, L.D.; Ayala, A.G. Thyrolipoma and thyrolipomatosis: 5 case reports and historical review of the literature. Ann. Diagn. Pathol. 2009, 13, 384–389. [Google Scholar] [CrossRef]
- Sanuvada, R.; Chowhan, A.; Rukmangadha, N.; Patnayak, R.; Yootla, M.; Amancharla, L. Thyrolipomatosis: An inquisitive rare entity. Gland. Surgery 2014, 3, E6–E9. [Google Scholar] [CrossRef] [PubMed]
- Nandyala, H.S.; Madapuram, S.; Yadav, M.; Katamala, S.K. Diffuse lipomatosis of the thyroid gland with papillary microcarcinoma: Report of a rare entity. Indian J. Pathol. Microbiol. 2015, 58, 348–350. [Google Scholar] [CrossRef]
- Schroder, S.; Bocker, W.; Hüsselmann, H.; Dralle, H. Adenolipoma (Thyrolipoma) of the Thyroid Gland Report of Two Cases and Review of Literature. Virchows Archiv A 1984, 404, 99–103. [Google Scholar] [CrossRef] [PubMed]
- Dombale, V.D.; Javalgi, A.P. Symmetric Diffuse Lipomatosis of the Thyroid Gland. J. Clin. Diagn. Res. 2011, 5, 867–868. Available online: www.jcdr.net (accessed on 11 April 2023).
- Lau, E.; Freitas, P.; Costa, J.; Batista, R.; Máximo, V.; Coelho, R.; Matos-Lima, L.; Eloy, C.; Carvalho, D. Loss of mitochondrial SDHB expression: What is its role in diffuse thyroid lipomatosis? Horm. Metab. Res. 2015, 47, 165–167. [Google Scholar] [CrossRef] [PubMed]
- Daboin, K.P.; Ochoa-Perez, V.; Luna, M.A. Adenolipomas of the head and neck: Analysis of 6 cases. Ann. Diagn. Pathol. 2006, 10, 72–76. [Google Scholar] [CrossRef]
- Çelik, Z.E. Mature Fat Containing Thyroid Lesions. Eur. J. Gen. Med. 2015, 12, 353–355. [Google Scholar] [CrossRef]
- Citgez, B.; Uludag, M.; Yetkin, G.; Akgun, I.; Yener, S.; Polat, N.; Isgör, A. Amyloid goiter with diffuse lipomatosis. World J. Endocr. Surg. 2011, 3, 97–99. [Google Scholar] [CrossRef]
- Dhayagude, R.G. Case report: Massive fatty infiltration in a colloid goiter. Arch. Pathol. 1942, 33, 357–360. [Google Scholar]
- Bell, S.; Sosa, G.A.; del Valle Jaen, A.; Russo Picasso, M.F. Thyroid lipomatosis in a 36-year-old patient with rheumatoid arthritis and a kidney transplant. Endocrinol. Diabetes Metab. Case Rep. 2016, 2016, 160007. [Google Scholar] [CrossRef] [PubMed]
- Munzinger, U. Amyloid Goiter. Schweiz. Med. Wochenschr. 1974, 104, 1131–1136. [Google Scholar] [PubMed]
- Simard, L.C. Une nouvelle forme de goître: La scléro-lympho-lipomatose thyroidiènne. Union. Med. Can. 1945, 74, 884–991. [Google Scholar]
- Chesky, V.E.; Dreese, W.C.; Hellwig, C.A. Adenolipomatosis of the thyroid: A new type of goiter. Surgery 1953, 34, 38–45. [Google Scholar]
- Bielicki, F.; Dawiskiba, E.; Kasprzak, A.; Kawecki, K.; Zagrobelny, Z. [Struma lipomatosa]. Pol. Tyg. Lek. 1968, 23, 2018–2019. [Google Scholar]
- Dalforno, S.; Donna, A. Lipomatosi diffusa della tiroide (Struma lipomatose). Cancro 1969, 22, 613–617. [Google Scholar]
- Asirwatham, J.E.; Barcos, M.; Shimaoka, K. Hamartomatous adiposity of thyroid gland. J. Med. 1979, 10, 197–206. [Google Scholar]
- Simha, M.R.; Doctor, V.M. Adenolipomatosis of the thyroid gland. Indian J. Cancer 1983, 20, 215–217. [Google Scholar]
- Téllez, R.; Le Cerf, P.; Araos, F.; Michaud, P. Diffuse fatty infiltration of the thyroid gland associated to amyloidosis in a patient with chronic renal failure. Rev. Med. Chil. 1996, 124, 1251–1255. [Google Scholar]
- Paoletti, H.; Tourrette, J.; Terrier, J.; Colineau, X.; Thiebaut, C.; Dussaut, J.P.; Pujol, A.; Muyard, B.; Nun, P.; Solacroup, J.C. [Diffuse thyroid lipomatosis]. J. Radiol. 1997, 78, 1291–1294. [Google Scholar]
- Arslan, A.; Lent Alíç, B.; Kemal Uzunlar, A.; Seyin Büyü, H.; Sarí, I. Diffuse lipomatosis of thyroid gland. Auris Nasus Larynx 1999, 26, 213–215. [Google Scholar] [CrossRef] [PubMed]
- Himmetoglu, C.; Yamak, S.; Tezel, G.G. Diffuse fatty infiltration in amyloid goiter. Pathol. Int. 2007, 57, 449–453. [Google Scholar] [CrossRef] [PubMed]
- Di Scioscio, V.; Loffreda, V.; Feraco, P.; Luccaroni, R.; Palena, L.M.; Balbi, T.; Zompatori, M. Diffuse lipomatosis of thyroid gland. J. Clin. Endocrinol. Metab. 2008, 93, 8–9. [Google Scholar] [CrossRef]
- Gupta, R.; Arora, R.; Sharma, A.; Dinda, A. Diffuse lipomatosis of the thyroid gland: A pathologic curiosity. Indian J. Pathol. Microbiol. 2009, 52, 215. [Google Scholar] [CrossRef] [PubMed]
- Pradeep, P.V.; Kumar, R.; Ragavan, M.; Ramakrishna, B.A. Diffuse lipomatosis of thyroid with hyperthyroidism. J. Postgrad. Med. 2010, 56, 35–36. [Google Scholar] [CrossRef]
- Gonulalan, G.; Esen, H.; Mehmet, E.; Cakir, M. Thyroid Lipomatosis. Intern. Med. 2012, 51, 3383–3385. [Google Scholar] [CrossRef]
- Jacques, T.A.; Stearns, M.P. Diffuse lipomatosis of the thyroid with amyloid deposition. J. Laryngol. Otol. 2013, 127, 426–428. [Google Scholar] [CrossRef]
- Lo, R.; Donaldson, C. Diffuse Lipomatosis of the Thyroid Gland. Ultrasound Q. 2013, 29, 253–254. [Google Scholar] [CrossRef] [PubMed]
- Costa, J.; Pardal, J.; Máximo, V.; Gonçalves, F.; Eloy, C. Diffuse lipomatosis of thyroid: A case report. Virchows Archiv. 2013, 463, 155. [Google Scholar]
- Liyanaarachchi, N.; Lim, A.; Donaldson, E. Diffuse lipomatosis and amyloid deposition of the thyroid gland associated with poorly differentiated/insular carcinoma of the thyroid: Report of a rare entity. Pathology 2016, 48, S74. [Google Scholar] [CrossRef][Green Version]
- Ben Gamra, O.; Romdhane, N.; Nefzaoui, S.; Mahjoubi, M.; Abid, W.; Koubaa, W.; Hariga, I.; Chadli, A.; Mbarek, C.C. Diffuse lipomatosis of the thyroid gland. Egypt. J. Ear Nose Throat Allied Sci. 2016, 17, 167–169. [Google Scholar] [CrossRef]
- Kumar, R.; Bhargava, A.; Jaiswal, G. A Case Report on Radiologic Findings of Thyrolipomatosis: A Rare Fat Containing Lesion diffusely Infiltrating throughout the Thyroid Gland. J. Kathmandu Med. Coll. 2016, 5, 71–73. [Google Scholar] [CrossRef][Green Version]
- Ishida, M.; Kashu, I.; Morisaki, T.; Takenobu, M.; Moritani, S.; Uemura, Y.; Tsuta, K. Thyrolipomatosis: A case report with review of the literature. Mol. Clin. Oncol. 2017, 6, 893–895. [Google Scholar] [CrossRef] [PubMed]
- Harisankar, C.N.B. A Rare Case of Thyrolipomatosis Presenting with Latent Hyperthyroidism. Indian J. Nucl. Med. 2018, 33, 237–238. [Google Scholar] [CrossRef] [PubMed]
- Hijazi, D.M.; Addas, F.A.; Alghanmi, N.M.; Marzouki, H.Z.; Merdad, M.A. An enlarged goiter presenting with a rare diffuse lipomatosis of the thyroid gland. Am. J. Case Rep. 2018, 19, 808–811. [Google Scholar] [CrossRef] [PubMed]
- Ahmed, J.; El Amine, R.; Bouziane, C. Diffuse Lipomatosis of Thyroid—Case Report. Surg. Sci. 2018, 9, 469–473. [Google Scholar] [CrossRef]
- López-Muñoz, B.; Greco Bermúdez, L.; Marín-Jiménez, D.; de la Fuente, M.F.S.; Capparelli, A.F.; Martínez, I.M.; Corredor, S.S. An Unusual Amyloid Goiter in a 48-Year-Old Woman with Rheumatoid Arthritis, Secondary Amyloidosis and Renal Failure. Case Rep. Endocrinol. 2019, 2019, 4291486. [Google Scholar] [CrossRef]
- Stanaway, A.; Lam, T. Consecutive cases of thyrolipomatosis and thymolipoma: A case report. ANZ J. Surg. 2019, 89, 614–616. [Google Scholar] [CrossRef]
- Ravinder, K.; Abhishek, B.; Gagan, J. Thyrolipomatosis: A Rare Fat Containing Lesion diffusely Infiltrating Throughout the Thyroid Gland. J. Assoc. Physicians India 2019, 67, 77. [Google Scholar]
- Aggarwal, A.; Goyal, A.; Kandasamy, D. Diffuse Thyroid Lipomatosis—A Rare Image. Indian J. Surg. 2020, 82, 1310–1311. [Google Scholar] [CrossRef]
- Cavaco, D.R.; Alves Rafael, A.; Cabrera, R.; Vilar, H.; Leite, V. Case Report: A Rare Association of Diffuse Thyroid Lipomatosis with Amyloid Deposition. Eur. Thyroid. J. 2021, 10, 528–532. [Google Scholar] [CrossRef] [PubMed]
- Martí-Fernández, R.; Cassinello-Fernández, N.; Palomares-Casasús, S.; Gómez-Adrián, J.C.; Ferrández-Izquierdo, A. Diffuse Lipomatosis of the Thyroid Gland. Am. Surg. 2021, 89, 2092–2093. [Google Scholar] [CrossRef] [PubMed]
- Ayadi, S.; Hammami, B.; Boudaouara, O.; Boudawara, T.; Kallel, S.; Charfeddine, I. [Association of thyrolipoma and thyrolipomatosis: A case report]. Ann. Pathol. 2021, 41, 326–329. [Google Scholar] [CrossRef]
- Campion, T.; Maity, A.; Ali, S.; Richards, P.; Adams, A. Concurrent thyrolipomatosis and thymolipoma in a patient with myasthenia gravis: A case report and review of the literature. Ann. R. Coll. Surg. Engl. 2021, 103, 212–215. [Google Scholar] [CrossRef]
- Xhemalaj, D.; Xhardo, E.; Gradica, F.; Lisha, L. Diffuse Lipomatosis of Thyroid Gland. Case Report and Review of Literature. Diagn. Pathol. 2022, 7, 285. [Google Scholar] [CrossRef]
- Morado da Silva, E.M.; Ferreira, R.A.d.C.; Lozada, A.R.C.; Duarte, J.M.S. A 54-Year-Old Woman with Papillary Thyroid Carcinoma Associated with Secondary Amyloid Goiter and Thyroid Lipomatosis. Am. J. Case Rep. 2022, 23, e938156-1–e938156-4. [Google Scholar] [CrossRef]
- Kesici, U.; Karatepe, Y.K.; Isceviren, B. Concurrence of Thyrolipoma-tosis with Hyperthyroidism and Ectopic Thyroid Tissue. J. Coll. Physicians Surg. Pak. 2022, 32, 1231–1232. [Google Scholar] [CrossRef]
- Kawai, C.; Miyao, M.; Kotani, H.; Minami, H.; Abiru, H.; Hamayasu, H.; Yamamoto, A.; Tamaki, K. Systemic amyloidosis with amyloid goiter: An autopsy report. Leg. Med. 2023, 60, 102167. [Google Scholar] [CrossRef]
- Paz-Ibarra, J.; Concepción-Zavaleta, M.; Mendoza-Quispe, D.; Suárez-Rojas, J.; del Sur, L.U.C.; Fabián, K.R.; Deutz-Gómez, D.; Quiroz-Aldave, J.; Peralta, J.S.; Arróspide, T.A. Coexistence of thyrolipomatosis and tongue squamous cell carcinoma: A case report. touchREVIEWS Endocrinol. 2023, 19, 103–107. [Google Scholar] [CrossRef] [PubMed]
- Alenezi, S.; Saleem, A.; Alhajri, O.; Alozairi, O. Thyrolipoma presentation as a huge multinodular goiter; A case report of an extremely rare entity. Int. J. Surg. Case Rep. 2023, 112, 108936. [Google Scholar] [CrossRef]
- Gonzalez-Gil, A.M.; Ruiz-Santillan, M.A.; Force, B.K.; Gaba, R. A Case of Diffuse Thyroid Lipomatosis with Amyloid Deposits Presenting with Thyrotoxicosis. JCEM Case Rep. 2024, 2, luae030. [Google Scholar] [CrossRef]
- George, D.M.; Shah, S.N. Diffuse Thyroid Lipomatosis and Amyloid Goiter With Incidental Papillary Thyroid Carcinoma: A Rare Case Report. Cureus 2024, 16, e57896. [Google Scholar] [CrossRef] [PubMed]
- Willis, R.A. The Borderland of Embryology and Pathology; Butterworth &, Co.: London, UK, 1958. [Google Scholar]
- Schroder, S.; Boeker, W. Lipomatous Lesions of the Thyroid Gland: A Review. Appl. Pathol. 1985, 3, 140–149. [Google Scholar] [PubMed]
- Trites, A.E.W. Thyrolipoma Thyrolipoma, Thymolipoma and Pharyngeal Lipoma: A Syndrome. Canad Med. Ass J. 1966, 95, 1254–1259. [Google Scholar] [PubMed]
- Gellhorn, A.; Marks, P.A. The composition and biosynthesis of lipids in human adipose tissues. J. Clin. Investig. 1961, 40, 925–932. [Google Scholar] [CrossRef]
- Derienzo, D.; Truong, L. Thyroid Neoplasms Containing Mature Fat: A Report of Two Cases and Review of the Literature. Mod. Pathol. 1989, 2, 506–510. [Google Scholar] [PubMed]
- Lee, M.H.; Lee, J.U.; Joung, K.H.; Kim, Y.K.; Ryu, M.J.; Lee, S.E.; Kim, S.J.; Chung, H.K.; Choi, M.J.; Chang, J.Y.; et al. Thyroid dysfunction associated with follicular cell steatosis in obese male mice and humans. Endocrinology 2015, 156, 1181–1193. [Google Scholar] [CrossRef]
- Basolo, A.; Poma, A.M.; Giannini, R.; Ceccarini, G.; Pelosini, C.; Fierabracci, P.; Castany, M.U.; Genzano, S.B.; Ambrosini, C.E.; Materazzi, G.; et al. Histological pattern and gene expression profiling of thyroid tissue in subjects with obesity. J. Endocrinol. Investig. 2022, 45, 413–423. [Google Scholar] [CrossRef]
- Martyniak, K.; Masternak, M.M. Changes in adipose tissue cellular composition during obesity and aging as a cause of metabolic dysregulation. Exp. Gerontol. 2017, 94, 59–63. [Google Scholar] [CrossRef]
- Gillmore, J.D.; Hawkins, P.N. Pathophysiology and treatment of systemic amyloidosis. Nat. Rev. Nephrol. 2013, 9, 574–586. [Google Scholar] [CrossRef]
- Villa, F.; Dionigi, G.; Tanda, M.L.; Rovera, F.; Boni, L. Amyloid goiter. Int. J. Surg. 2008, 6 (Suppl. S1), S16–S18. [Google Scholar] [CrossRef]
- Sung, Y.N.; Kim, D.; Kim, J. p53 immunostaining pattern is a useful surrogate marker for TP53 gene mutations. Diagn. Pathol. 2022, 17, 92. [Google Scholar] [CrossRef] [PubMed]
- Kim, S.; Cho, S.W.; Min, H.S.; Kim, K.M.; Yeom, G.J.; Kim, E.Y.; Lee, K.E.; Yun, Y.G.; Park, D.J.; Park, Y.J. The Expression of Tumor-Associated Macrophages in Papillary Thyroid Carcinoma. Endocrinol. Metab. 2013, 28, 192. [Google Scholar] [CrossRef] [PubMed]
- Cheung, C.C.; Ezzat, S.; Freeman, J.L.; Rosen, I.B.; Asa, S.L. Immunohistochemical Diagnosis of Papillary Thyroid Carcinoma. Mod. Pathol. 2001, 14, 338–342. [Google Scholar] [CrossRef] [PubMed]
- Hahn, S.Y.; Shin, J.H. Description and comparison of the sonographic characteristics of poorly differentiated thyroid carcinoma and anaplastic thyroid carcinoma. J. Ultrasound Med. 2016, 35, 1873–1879. [Google Scholar] [CrossRef] [PubMed]
- Hennessey, J.V. Riedel’s thyroiditis: A clinical review. J. Clin. Endocrinol. Metab. 2011, 96, 3031–3041. [Google Scholar] [CrossRef]
- Zala, A.; Berhane, T.; Christofer Juhlin, C.; Calissendorff, J.; Falhammar, H. Riedel thyroiditis. J. Clin. Endocrinol. Metab. 2020, 105, E3469–E3481. [Google Scholar] [CrossRef]
- Kuk, M.; Kuo, C.J.; Nguyen, V.H.; Chen, C.C. Synchronous thyrolipoma and papillary thyroid carcinoma: A rare but significant event. Diagnostics 2021, 11, 1334. [Google Scholar] [CrossRef]



| Reference | Sex/Age | Clinical Features | Thyroid Function | Renal Failure | Imaging Findings | Initial Diagnosis | Treatment | Thyroid Size/Weight | Pathology | Amyloid Deposition | Follow-Up |
|---|---|---|---|---|---|---|---|---|---|---|---|
| [10] | M/32 | Local compression | NS (Not Stated) | No | NS | Diffuse goiter | Excision | 10 × 8 × 5.5 cm (R), 8 × 6 × 5.5 cm (L)/500 g | Diffuse infiltration of fibrous-fatty tissue, anomalous follicles, focal fibrosis | NS | NS |
| [13] | F/11 | No | BMR (basic metabolic rate) +3% (hyperthyroidism) | No | NS | Diffuse goiter (since birth) | Excision | ×5 normal thyroid size | Diffuse fat infiltration alongside small thyroid follicles and lobules with fibrous septa | NS | NS |
| [14] | M/15 | No | Normal | No | NS | Diffuse goiter (since birth) | Excision | 12 × 7 × 4 cm (R), 8 × 5 × 2.5 cm (L)/253 g | Diffuse fat infiltration, small and medium thyroid follicles, stromal edema | NS | NS |
| [15] | M/58 | Local compression | Hyperthyroidism | No | NS | Diffuse goiter | Excision | NS | Diffuse fat infiltration surrounding normal follicles, stromal fibrosis, lymphocyte aggregation | NS | NS |
| [16] | F/51 | No | Normal | No | NS | Diffuse goiter | Excision | NS | Diffuse fat infiltration surrounding normal follicles, stromal fibrosis | NS | NS |
| [17] | F/73 | No | Normal | No | NS | Diffuse goiter | Excision | NS/120 g | Diffuse fat infiltration around normal follicles, lymphocyte aggregation | NS | NS |
| [18] | M/12 | No | Normal | No | NS | Right neck mass | Excision | 13 × 8 × 6.5 cm (R)/415 g | Diffuse fat infiltration surrounding normal thyroid follicles, presence of lymphocytes and fibrous tissue | NS | NS |
| [19] | M/26 | Neck swelling, hoarseness, dysphagia | Normal | Yes | CT: substantial mass exerting pressure in the front and side areas. | Cervical mass | Total thyroidectomy | NS | Diffuse infiltration of thyroid by fat | Yes | NS |
| [20] | F/77 | No | Normal | No | U/S: hyperechoic mass. CT: iso- and hypodense mass with mild contrast enhancement. | Cervical mass | Excision | NS/700 g | Thyroid follicles surrounded by adipose cells | NS | NS |
| [21] | M/38 | Neck swelling | Normal | No | Tc99m scintigraphy: widespread bilateral enlargement and an area of reduced uptake in the left lobe. | Diffuse enlargement of thyroid | Excision | 4 × 3 × 2 cm (I), 13 × 7 × 3 cm (R), 15 × 9 × 5 cm (L)/465 g | Mature adipose tissue surrounded the different sized but otherwise normal follicles of the thyroid | No | Well—post-operatively |
| [22] | F/58 | Neck swelling, dysphagia, hoarseness, hyperthermia | Hypothyroidism | Yes | U/S: widespread enlargement of the thyroid with varied tissue density. Scintigraphy: overgrowth of the gland with uneven distribution of radioactive uptake. | Diffuse goiter | Total thyroidectomy | 9.5 × 7 × 5 cm (R), 8 × 6 × 3.5 cm (L)/230 g | Diffuse fatty infiltration, loss of most thyroid follicles, eosinophilic substance deposition in the hyalinized stroma, lymphocytic thyroiditis | Yes | NS |
| [23] | M/64 | Enlarged thyroid, dyspnea | Normal | Yes | U/S: heterogeneous diffuse goiter. CT: hypodense (fat-like) goiter, compressing the nearby airway. Scintigraphy: gland enlargement with uneven uptake. | Diffuse goiter | NS | NS | NS | NS | NS |
| [24] | M/45 | Neck swelling, respiratory distress | Normal | No | CT: enlarged thyroid, with no retrosternal element, compressing the airway. | Diffuse thyroid enlargement | Subtotal thyroidectomy | 2 × 1.5 × 1 cm (I), 9 × 7 × 4 cm (R), 9 × 5 × 3.5 cm (L), 4 × 3 × 2 (P)/225 g | Colloid filled thyroid follicles, fatty infiltration of interfollicular stroma | No | NS |
| [1] | F/67 | Dysphagia | Normal | Yes | Scintigraphy: hypofunctioning nodule on the left lobe. | Enlarged nodular left thyroid lobe | Left thyroidectomy | 7 × 3.5 × 2 cm (L)/41 g | Thyroid follicles separated by fat, adipose tissue density varied from 30 to 90% of total tissue, fat infiltration in adenomatous nodules | No | Well—2 years after |
| [1] | F/59 | No | Hypothyroidism | No | Tc99m scintigraphy: hot nodule in the right lobe. U/S: 1 year later revealed hypo and isoechoic areas in left lobe. | Right thyroid mass | Right thyroid lobectomy and isthmusectomy/left thyroidectomy | 7 × 4 × 1.2 cm (R+I), 6 × 3 × 1.2 cm (L)/56 g | Nodular and diffuse pattern of fatty infiltration, presence of a 0.8 cm papillary carcinoma | No | Well—6 years after |
| [25] | F/40 | No | Hyperthyroidism | No | U/S: several nodules within the thyroid gland, with a subset of these nodules exhibiting cystic components. | Multinodular goiter | Excision | NS | Colloid filled thyroid follicles of various sizes, replacement of stroma by mature adipose tissue | No | Well—post-operatively |
| [9] | M/37 | Neck swelling, dyspnea | Normal | Yes | U/S: homogeneous, enlarged thyroid gland with a calcified, hyperechoic nodule in the insthmus. CT: confirmed the enlargement. | Diffuse thyroid enlargement | Total thyroidectomy | NS/304 g | Widespread deposition of eosinophilic material with scarcity of thyroid follicles, diffuse lipomatosis and amyloidosis (secondary) | Yes | Well—third post-operative day |
| [5] | M/62 | Neck swelling, dyspnea | Normal | No | U/S: diffuse enlargement of thyroid. | Nodular goiter | Near-total thyroidectomy | 12 × 10 × 6 cm (R), 15 × 8 × 6 cm (L)/285 g | Colloid filled thyroid follicles, diffuse infiltration of stroma with mature adipose tissue, scarce lymphocytic infiltration | No | NS |
| [26] | M/43 | Neck swelling, dyspnea | Normal | Yes | U/S: heterogeneous thyroid. Tc99m scintigraphy: diffuse uptake and a cold area in left lobe. | Enlarged thyroid | Total thyroidectomy | 6 × 2 × 1 cm (I), 7.5 × 6 × 4.5 cm (R), 6.5 × 4.5 × 2 (L)/160 g | Scattered thyroid follicles in a dense mature fat stroma | Yes | NS |
| [27] | M/55 | Neck swelling, cough | Normal | Yes | U/S: enlarged, hyperechoic thyroid gland. CT: thyroid enlargement with a soft tissue exceeding that of fat, resulting in tracheal displacement. | Diffuse goiter | Total thyroidectomy | 4 × 2 × 1 cm (I), 9 × 6 × 4 cm (R), 7 × 5 × 2.5 cm (L)/148 g | Infiltration of thyroid by adipose tissue, small amounts of colloid filled follicles remained | Yes | Well—post-operatively |
| [28] | F/52 | No | Normal | NS | U/S: enlarged hyper-ecogenic thyroid gland. CT: a large gland with fatty infiltration. | Diffuse lipomatosis | NS | NS | NS | NS | Difficulty breathing—3 years later |
| [29] | M/46 | NS | Hypothyroidism | No | U/S: hypoechoic mass in the right thyroid lobe. | Cervical mass | Partial thyroidectomy (same procedure at 3 years of age) | NS | Infiltration of thyroid by mature adipocytes; same results as 43 years before | No | NS |
| [2] | F/32 | Neck swelling | Hyperthyroidism | No | U/S: diffusely enlarged thyroid with mixed echogenicity. CT: heterogeneously enhanced gland with soft tissue density. Tc99m scintigraphy: hyperfunctioning enlarge gland. | Toxic multinodular goiter | Total thyroidectomy | 11 × 5 × 2 cm (total)/88 g | Thyroid follicles filled with colloid, diffuse fatty infiltration of stroma | No | NS |
| [3] | M/37 | Neck swelling | NS | No | No | Nodular goiter | Total thyroidectomy | 5 × 11 × 15 cm (total)/NS | Thyroid tissue replaced by mature adipocytes, papillary thyroid carcinoma | NS | NS |
| [6] | M/47 | NS | Hypothyroidism | No | U/S: hypoechoic heterogeneous mass in the thyroid lobe. CT and MRI: identified the lesion and indicated fat infiltration of the gland. | Fatty infiltration of thyroid | Excision | 16.5 × 8 × 5.5 cm (total)/250 g | Atrophic follicles of thyroid alongside mature adipose tissue infiltration, SDHB loss of expression (follicular or adipose cells) | No | NS |
| [8] | M/25 | NS | Hypothyroidism | NS | NS | NS | NS | NS | Various sizes of thyroid follicles, abundant distribution of mature fat around thyroid tissue | NS | NS |
| [8] | F/19 | NS | Hypothyroidism | NS | NS | NS | NS | NS | Various sizes of thyroid follicles, abundant distribution of mature fat around thyroid tissue | NS | NS |
| [8] | M/63 | NS | Normal | NS | NS | NS | NS | NS | Preservation of a few thyroid follicles, abundant distribution of mature fat around follicles | NS | NS |
| [30] | M/69 | Hoarseness, exertional dyspnea | NS | Yes | Solitary nodule exhibiting both solid and cystic components, accompanied by widespread lipomatous transformation of the surrounding tissue. | Diffuse fatty conversion and solid/cystic nodule of thyroid | Right hemithyroidectomy/completion thyroidectomy | NS | Diffuse infiltration of thyroid stroma by mature fat, insular carcinoma | Yes | NS |
| [31] | F/67 | Neck swelling, respiratory distress | Hyperthyroidism | Yes | U/S: diffuse enlargement of thyroid. CT: heterogeneous goiter with hypodense nodules. | Diffuse goiter | Total thyroidectomy | 2 × 2 cm (I), 12 × 6 × 3.5 cm (R), 10 × 5 × 2.5 cm (L)/215 g | Infiltration of thyroid by mature fat, scarcity of colloid follicles | No | Well— post-operatively |
| [11] | F/36 | Dyspnea | Normal | Yes | U/S: cystic nodule in the right thyroid lobe and a hyperechoic one in the left. CT: diffuse hypodense enlarged gland, mildly displacing the trachea. | Multinodular goiter | Excision | 9.8 × 9.5 × 4.5 cm (total)/144 g | Replacement of normal thyroid tissue by mature adipocytes except from small remnants of normal colloid filled follicles | Yes | NS |
| [32] | M/73 | Neck swelling, dyspnea, hoarseness | Normal | No | U/S: diffuse enlargement of the thyroid with altered echogenicity and nodular echogenic lesions in both lobes. CT and MRI: fat accumulation in the gland. | Thyrolipomatosis | Near-total thyroidectomy | NS | Thyrolipomatosis | NS | NS |
| Present Study | F/61 | Neck swelling, dyspnea, dysphagia | Normal | Yes | U/S: enlarged thyroid gland with hyperechoic areas. CT: large size of gland, diffuse low parenchymal density, and retrosternal extension. Tc99m scintigraphy: low uptake diffusely. | Diffuse goiter | Total thyroidectomy | NS | Fatty infiltration of thyroid, degeneration of follicles | NS | Dead–after 3 years (because of kidney failure) |
| [33] | F/68 | NS | Normal | No | CT: diffuse enlargement of the thyroid, airway compression and calcification bilaterally. | Diffuse goiter | Total thyroidectomy | NS | Fatty infiltration of thyroid, hyperplastic follicles alongside stromal sclerosis and calcification | No | Well—after 3 months |
| [34] | F/49 | Neck swelling | Subclinical hyperthyroidism | No | CT: diffuse fatty infiltration of the thyroid. Scintigraphy: thyromegaly and low uptake of the gland. | Diffuse goiter | Radioiodine ablation (RAI)/total thyroidectomy | NS | Infiltration of thyroid stroma by fat | NS | Well—post-operatively |
| [35] | F/53 | Local compression, dysphagia | Normal | Yes | CT: large heterogeneous thyroid, extending retrosternally and causing deviation of the airway. | Non-toxic diffuse multinodular goiter | Total thyroidectomy | 2.5 × 2 × 1.5 cm (I), 5 × 2.5 × 2 cm (R), 11 × 7 × 3.5 cm (L)/415 g | Admixture of adipocytes with follicular cells | NS | NS |
| [36] | F/55 | Neck swelling, hoarseness | Normal | No | U/S: heterogeneous diffuse goiter. Scintigraphy: heterogeneous uptake with cold and hot nodules. | Diffuse goiter | Total thyroidectomy | 1.5 × 1 cm (I), 5.5 × 3.5 × 3 cm (R), 4 × 2.5 × 2.2 cm (L)/NS | Replacement of thyroid tissue by mature fat, few distended thyroid follicles | No | Well—post-operatively |
| [37] | F/48 | Dysphagia | Subclinical hyperthyroidism | Yes | U/S: enlargement of the thyroid. CT and MRI: large size of the gland and the infiltration by fat. | Amyloid goiter | Total Thyroidectomy | 13.5 × 4.5, 6.5 × 3.5 3.5 × 2.5 cm/NS | Adipose metaplasia of thyroid stroma | Yes | Well—post-operatively |
| [38] | M/20 | Dysphagia | Normal | No | U/S and CT: large and heterogeneous left thyroid mass. | Follicular nodule | Left hemithyroidectomy | NS | Diffuse fatty infiltration of thyroid | NS | NS |
| [39] | M/73 | Neck swelling, dyspnea, hoarseness | Normal | No | U/S: diffuse thyroid enlargement with multiple echogenic areas bilaterally. CT and MRI: fat accumulation in both lobes. | Diffuse lipomatosis of thyroid | Total thyroidectomy | NS | Diffuse presence of fat cells in the thyroid | No | NS |
| [40] | M/72 | No | NS | Yes | U/S: thyroid enlargement with increasing echogenicity. CT and MRI: large, infiltrated by fat thyroid gland. | Diffuse lipomatosis of thyroid | No | NS | NS | NS | NS |
| [41] | M/46 | Dyspnea, hoarseness, dysphagia | Normal | No | U/S: enlargement of thyroid with iso and hyporechogenic nodules. U/S—1 year later: revealed hyperechogenic nodules. CT: confirmed large size of gland and indicated parenchymal hypodensity. | Diffuse goiter | Total thyroidectomy | 10.5 × 6.5 × 4.3 (R), 11.1 × 4 × 2.6 cm (L)/237 g | Normal follicular architecture, fat infiltration of stroma | Yes | Well—post-operatively |
| [42] | F/52 | No | Normal | No | U/S: slight hypoechoic pseudo nodular area. | Goiter/suspicious nodule | Left hemithyroidectomy | 6 × 4 × 2 cm (L)/26 g | Fatty infiltration of stroma, predominance of adipocytes in most regions | NS | Well—after 6 months |
| [43] | M/48 | Neck swelling | Normal | Yes | U/S: heterogeneous multinodular goiter. | Multinodular goiter | Total thyroidectomy | NS | Diffuse and nodular infiltration of thyroid by adipose cells, scarce thyroid follicles | No | Well—after 12 months |
| [44] | M/40 | Neck swelling | Normal | No | U/S: hyperechogenic thyroid nodule extending bilaterally. CT and MRI: confirmed fat lesion. | Thyrolipoma and thymolipoma | Total thyroidectomy | NS | Thyroid follicular cells surrounded by mature adipocytes | No | Well—after 2 weeks |
| [45] | F/69 | Neck swelling, dyspnea, dysphagia, hoarseness | Normal | No | U/S: multinodular goiter with iso-hyperechoic nodules. CT: compression and deviation of trachea. | Multinodular goiter | Total thyroidectomy | 1.5 × 1 × 1 cm (I), 6.5 × 5 × 3 cm (R), 5 × 3 × 2.5 cm (L)/NS | Diffuse infiltration of adipocytes and replacement of normal thyroid follicles | NS | Well—post-operatively |
| [46] | F/54 | Neck swelling, hoarseness, dysphagia | Normal | Yes | U/S: enlarged thyroid with an isoechoic nodule. CT: verified thyroid enlargement, deviation of the trachea and presence of fat. | Diffuse lipomatosis of thyroid and follicular neoplasm | Total thyroidectomy | 2.6 × 4.5 × 2 cm (I), 4.5 × 7.5 × 3.4 cm (R), 3.2 × 6.7 × 2.8 cm (L)/81 g | Papillary thyroid carcinoma, admixture of thyroid follicles with mature adipose tissue | Yes | Dead—after 5 months (urinary tract infection—sepsis) |
| [47] | F/57 | Dyspnea, dysphagia, local compression | Hyperthyroidism | No | CT: enlarged thyroid compressing and deviating the trachea. | NS | Total thyroidectomy | NS | NS | NS | NS |
| [48] | F/60 | NS | Hyperthyroidism | Yes | CT: enlarged, heterogeneous thyroid with low density lesions. | NS | Autopsy | NS | Replacement of normal thyroid follicles by diffuse fat deposits | Yes | Deceased |
| [49] | F/44 | Tongue mass, dysphagia, weight loss | NS | No | U/S: multinodular goiter with a hypoechogenic nodule in the left lobe and bilateral lymphadenopathy. CT: diffuse thyromegaly and fatty infiltration. | Multinodular goiter | Right hemithyroidectomy | 6 × 3.5 × 2 cm (R)/15 g | Diffuse fat metaplasia of stromal thyroid tissue indicative of thyrolipomatosis | No | Dead—after 5 months (septic shock after metastasis of squamous cell carcinoma of the tongue to the remaining left thyroid lobe) |
| [50] | F/78 | Neck swelling, dysphagia, hoarseness | Normal | Yes | U/S: diffuse enlargement of thyroid with uniform echogenicity. CT: confirmed large size, fat density of the gland and tracheal deviation. | Multinodular goiter | Total thyroidectomy | 22.4 × 8.5 × 5 cm/300 g | Infiltration of the gland by mature adipocytes, a few extended thyroid follicles and a stroma filled with adipocytes and fibrotic tissue | NS | Well—post-operatively |
| [51] | F/64 | Weight loss, fatigue, enlarged thyroid | Hyperthyroidism | Yes | U/S and CT: fatty infiltration of thyroid. | Diffuse thyroid lipomatosis | Methimazole | NS | Benign adipose tissue with entrapped thyroid follicles (biopsy) | Yes | NS |
| [52] | F/51 | NS | NS | Yes | MRI: enlarged and hypodense thyroid mass with retrosternal extension. | Multinodular goiter | Total thyroidectomy | 9.4 × 6.6 × 5.7 cm (R), 8.5 × 5.2 × 4.7 cm (L), 2.2 × 1.2 × 1 cm (I)/NS | Lobules of adipocytes with few areas of atrophic thyroid follicles, papillary carcinoma | Yes | Well—after 6 months |
Disclaimer/Publisher’s Note: The statements, opinions and data contained in all publications are solely those of the individual author(s) and contributor(s) and not of MDPI and/or the editor(s). MDPI and/or the editor(s) disclaim responsibility for any injury to people or property resulting from any ideas, methods, instructions or products referred to in the content. |
© 2024 by the authors. Licensee MDPI, Basel, Switzerland. This article is an open access article distributed under the terms and conditions of the Creative Commons Attribution (CC BY) license (https://creativecommons.org/licenses/by/4.0/).
Share and Cite
Emmanouilidou, A.; Karanikas, M.; Pazaitou-Panayiotou, K.; Michalopoulos, N. Thyroid Gland Diffuse Lipomatosis: A Case Study and Comprehensive Literature Review. J. Clin. Med. 2024, 13, 6376. https://doi.org/10.3390/jcm13216376
Emmanouilidou A, Karanikas M, Pazaitou-Panayiotou K, Michalopoulos N. Thyroid Gland Diffuse Lipomatosis: A Case Study and Comprehensive Literature Review. Journal of Clinical Medicine. 2024; 13(21):6376. https://doi.org/10.3390/jcm13216376
Chicago/Turabian StyleEmmanouilidou, Angeliki, Michail Karanikas, Kalliopi Pazaitou-Panayiotou, and Nickos Michalopoulos. 2024. "Thyroid Gland Diffuse Lipomatosis: A Case Study and Comprehensive Literature Review" Journal of Clinical Medicine 13, no. 21: 6376. https://doi.org/10.3390/jcm13216376
APA StyleEmmanouilidou, A., Karanikas, M., Pazaitou-Panayiotou, K., & Michalopoulos, N. (2024). Thyroid Gland Diffuse Lipomatosis: A Case Study and Comprehensive Literature Review. Journal of Clinical Medicine, 13(21), 6376. https://doi.org/10.3390/jcm13216376

