Otorhinolaryngological Manifestations and Esophageal Disorders in Celiac Disease: A Narrative Review
Abstract
1. Introduction
2. Materials and Methods
3. Oral Soft Tissue Manifestations
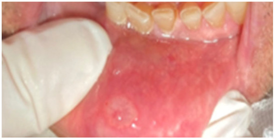
3.1. Recurrent Aphthous Stomatitis
3.2. Aphthous Ulcers
3.3. Geographic Tongue
3.4. Atrophic Glossitis, Burning Tongue, and Glossodynia
3.5. Angular Cheilitis
3.6. Xerostomia
3.7. Epithelial Disruption
3.8. Salivary Abnormalities
4. Sensorineural Hearing Loss
5. Nasal Abnormalities
6. Obstructive Sleep Apnea
7. Esophageal Disorders
7.1. Gastro-Esophageal Reflux Disease
7.2. Eosinophilic Esophagitis
8. Conclusions
Author Contributions
Funding
Data Availability Statement
Conflicts of Interest
References
- Singh, P.; Arora, A.; Strand, T.A.; Leffler, D.A.; Catassi, C.; Green, P.H.; Kelly, C.P.; Ahuja, V.; Makharia, G.K. Global Prevalence of Celiac Disease: Systematic Review and Meta-analysis. Clin. Gastroenterol. Hepatol. 2018, 16, 823–836.e2. [Google Scholar] [CrossRef] [PubMed]
- Jansson-Knodell, C.L.; Hujoel, I.A.; West, C.P.; Taneja, V.; Prokop, L.J.; Rubio-Tapia, A.; Murray, J.A. Sex Difference in Celiac Disease in Undiagnosed Populations: A Systematic Review and Meta-analysis. Clin. Gastroenterol. Hepatol. 2019, 17, 1954–1968.e13. [Google Scholar] [CrossRef] [PubMed]
- Fuchs, V.; Kurppa, K.; Huhtala, H.; Mäki, M.; Kekkonen, L.; Kaukinen, K. Delayed celiac disease diagnosis predisposes to reduced quality of life and incremental use of health care services and medicines: A prospective nationwide study. United Eur. Gastroenterol. J. 2018, 6, 567–575. [Google Scholar] [CrossRef] [PubMed]
- Leffler, D.A.; Green, P.H.; Fasano, A. Extraintestinal manifestations of coeliac disease. Nat. Rev. Gastroenterol. Hepatol. 2015, 12, 561–571. [Google Scholar] [CrossRef] [PubMed]
- Macho, V.M.P.; Coelho, A.S.; Veloso, E.S.D.M.; de Andrade, D.J.C. Oral Manifestations in Pediatric Patients with Coeliac Disease—A Review Article. Open Dent. J. 2017, 11, 539–545. [Google Scholar] [CrossRef] [PubMed]
- Cervino, G.; Fiorillo, L.; Laino, L.; Herford, A.S.; Lauritano, F.; Giudice, G.L.; Famà, F.; Santoro, R.; Troiano, G.; Iannello, G.; et al. Oral Health Impact Profile in Celiac Patients: Analysis of Recent Findings in a Literature Review. Gastroenterol. Res. Pract. 2018, 2018, 7848735. [Google Scholar] [CrossRef] [PubMed]
- Lucchese, A.; Di Stasio, D.; De Stefano, S.; Nardone, M.; Carinci, F. Beyond the Gut: A Systematic Review of Oral Manifestations in Celiac Disease. J. Clin. Med. 2023, 12, 3874. [Google Scholar] [CrossRef] [PubMed]
- Wieser, H.; Amato, M.; Caggiano, M.; Ciacci, C. Dental Manifestations and Celiac Disease—An Overview. J. Clin. Med. 2023, 12, 2801. [Google Scholar] [CrossRef]
- Jajam, M.; Bozzolo, P.; Niklander, S. Oral manifestations of gastrointestinal disorders. J. Clin. Exp. Dent. 2017, 9, e1242–e1248. [Google Scholar] [CrossRef]
- Van Gils, T.; Bouma, G.; Bontkes, H.J.; Mulder, C.J.J.; Brand, H.S. Self-reported oral health and xerostomia in adult patients with celiac disease versus a comparison group. Oral. Surg. Oral. Med. Oral. Pathol. Oral. Radiol. 2017, 124, 152–156. [Google Scholar] [CrossRef]
- Bramanti, E.; Cicciu, M.; Matacena, G.; Costa, S.; Magazzu, G. Clinical Evaluation of Specific Oral Manifestations in Pediatric Patients with Ascertained versus Potential Coeliac Disease: A Cross-Sectional Study. Gastroenterol. Res. Pract. 2014, 2014, 934159. [Google Scholar] [CrossRef]
- Husby, S.; Koletzko, S.; Korponay-Szabo, I.; Kurppa, K.; Mearin, M.L.; Ribes-Koninckx, C.; Shamir, R.; Troncone, R.; Auricchio, R.; Castillejo, G.; et al. European Society Paediatric Gastroenterology, Hepatology and Nutrition Guidelines for Diagnosing Coeliac Disease 2020. J. Pediatr. Gastroenterol. Nutr 2020, 70, 141–156. [Google Scholar] [CrossRef] [PubMed]
- Erriu, M.; Sanna, S.; Nucaro, A.; Orru, G.; Garau, V.; Montaldo, C. HLA-DQB1 Haplotypes and their Relation to Oral Signs Linked to Celiac Disease Diagnosis. Open Dent. J. 2011, 5, 174–178. [Google Scholar] [CrossRef] [PubMed][Green Version]
- Erriu, M.; Abbate, G.M.; Pili, F.M.; Novara, F.; Orru, G.; Montaldo, C.; Piras, V.; Levrini, L. Oral Signs and HLA-DQB1 *02 Haplotypes in the Celiac Paediatric Patient: A Preliminary Study. Autoimmune Dis. 2013, 2013, 389590. [Google Scholar] [CrossRef] [PubMed]
- Rodrigo, L.; Beteta-Gorriti, V.; Alvarez, N.; Gomez de Castro, C.; de Dios, A.; Palacios, L.; Santos-Juanes, J. Cutaneous and Mucosal Manifestations Associated with Celiac Disease. Nutrients 2018, 10, 800. [Google Scholar] [CrossRef] [PubMed]
- Eguia-del Valle, A.; Martinez-Conde-Llamosas, R.; Lopez-Vicente, J.; Uribarri-Etxebarria, A.; Aguirre-Urizar, J.M. Salivary levels of Tumour Necrosis Factor-alpha in patients with recurrent aphthous stomatitis. Med. Oral. Patol. Oral. Cir. Bucal 2011, 16, e33–e36. [Google Scholar] [CrossRef] [PubMed]
- Mina, S.; Riga, C.; Azcurra, A.I.; Brunotto, M. Oral ecosystem alterations in celiac children: A follow-up study. Arch. Oral. Biol. 2012, 57, 154–160. [Google Scholar] [CrossRef]
- Nieri, M.; Tofani, E.; Defraia, E.; Giuntini, V.; Franchi, L. Enamel defects and aphthous stomatitis in celiac and healthy subjects: Systematic review and meta-analysis of controlled studies. J. Dent. 2017, 65, 1–10. [Google Scholar] [CrossRef]
- Costacurta, M.; Maturo, P.; Bartolino, M.; Docimo, R. Oral manifestations of coeliac disease: A clinical-statistic study. ORAL Implantol. 2010, 3, 12–19. [Google Scholar]
- Acar, S.; Yetkiner, A.A.; Ersin, N.; Oncag, O.; Aydogdu, S.; Arikan, C. Oral findings and salivary parameters in children with celiac disease: A preliminary study. Med. Princ. Pract. 2012, 21, 129–133. [Google Scholar] [CrossRef]
- Ertekin Mas, V.; Tosun, M.S.; Selimoğlu, M.A.; Kara, M.; Kiliç, N. Oral findings in children with celiac disease. Turk. J. Med. Sci. 2012, 42, 613–617. [Google Scholar] [CrossRef]
- Cantekin, K.; Arslan, D.; Delikan, E. Presence and distribution of dental enamel defects, recurrent aphthous lesions and dental caries in children with celiac disease. Pak. J. Med. Sci. 2015, 31, 606–609. [Google Scholar] [CrossRef] [PubMed]
- De Carvalho, F.K.; de Queiroz, A.M.; Bezerra da Silva, R.A.; Sawamura, R.; Bachmann, L.; Bezerra da Silva, L.A.; Nelson-Filho, P. Oral aspects in celiac disease children: Clinical and dental enamel chemical evaluation. Oral. Surg. Oral. Med. Oral. Pathol. Oral. Radiol. 2015, 119, 636–643. [Google Scholar] [CrossRef] [PubMed]
- Dane, A.; Gürbüz, T. Clinical evaluation of specific oral and salivary findings of coeliac disease in eastern Turkish paediatric patients. Eur. J. Paediatr. Dent. 2016, 17, 53–56. [Google Scholar]
- Saraceno, R.; Perugia, C.; Ventura, A.; Lorè, B.; Chimenti, S.; Docimo, R. Aphthous, celiac disease and other dental disorders in childhood. G. Ital. Dermatol. Venereol. 2016, 151, 239–243. [Google Scholar] [PubMed]
- Amato, M.; Zingone, F.; Caggiano, M.; Iovino, P.; Bucci, C.; Ciacci, C. Tooth Wear Is Frequent in Adult Patients with Celiac Disease. Nutrients 2017, 9, 1321. [Google Scholar] [CrossRef] [PubMed]
- Shahraki, T.; Mehr, S.O.; Hill, I.D.; Shahraki, M. A Comparison of the Prevalence of Dental Enamel Defects and Other Oral Findings in Children with and Without Celiac Disease. Iran. J. Pediatr. 2019, 29, e64353. [Google Scholar] [CrossRef]
- Alsadat, F.A.; Alamoudi, N.M.; El-Housseiny, A.A.; Felemban, O.M.; Dardeer, F.M.; Saadah, O.I. Oral and dental manifestations of celiac disease in children: A case–control study. BMC Oral. Health 2021, 21, 669. [Google Scholar] [CrossRef] [PubMed]
- Moreau, L.V.; Dicky, O.; Mas, E.; Noirrit, E.; Marty, M.; Vaysse, F.; Olives, J.-P. Oral manifestations of celiac disease in French children. Arch. Pédiatrie 2021, 28, 105–110. [Google Scholar] [CrossRef]
- Liu, J.; Lundemann, A.J.; Reibel, J.; Pedersen, A.M.L. Salivary gland involvement and oral health in patients with coeliac disease. Eur. J. Oral. Sci. 2022, 130, e12861. [Google Scholar] [CrossRef]
- Ludovichetti, F.S.; Signoriello, A.G.; Girotto, L.; Del Dot, L.; Piovan, S.; Mazzoleni, S. Oro-dental lesions in pediatric patients with celiac disease: An observational retrospective clinical study. Rev. Esp. Enferm. Dig. 2022, 114, 654–659. [Google Scholar] [CrossRef] [PubMed]
- Elbek-Cubukcu, C.; Arsoy, H.A.; Ozkaya, G. Assessment of oral manifestations in pediatric patients with celiac disease in relation to marsh types. Med. Oral. Patol. Oral. Cir. Bucal 2023, 28, e9–e15. [Google Scholar] [CrossRef] [PubMed]
- Shakeri, R.; Zamani, F.; Sotoudehmanesh, R.; Amiri, A.; Mohamadnejad, M.; Davatchi, F.; Karakani, A.M.; Malekzadeh, R.; Shahram, F. Gluten sensitivity enteropathy in patients with recurrent aphthous stomatitis. BMC Gastroenterol. 2009, 9, 44. [Google Scholar] [CrossRef] [PubMed]
- Yasar, S.; Yasar, B.; Abut, E.; Asiran Serdar, Z. Clinical importance of celiac disease in patients with recurrent aphthous stomatitis. Turk. J. Gastroenterol. 2012, 23, 14–18. [Google Scholar] [CrossRef] [PubMed]
- Yilmaz, S.; Tuna Kirsaclioglu, C.; Sayli, T.R. Celiac disease and hematological abnormalities in children with recurrent aphthous stomatitis. Pediatr. Int. 2020, 62, 705–710. [Google Scholar] [CrossRef] [PubMed]
- Pastore, L.; Carroccio, A.; Compilato, D.; Panzarella, V.; Serpico, R.; Lo Muzio, L. Oral manifestations of celiac disease. J. Clin. Gastroenterol. 2008, 42, 224–232. [Google Scholar] [CrossRef] [PubMed]
- Zoumpoulakis, M.; Fotoulaki, M.; Topitsoglou, V.; Lazidou, P.; Zouloumis, L.; Kotsanos, N. Prevalence of Dental Enamel Defects, Aphthous-Like Ulcers and Other Oral Manifestations in Celiac Children and Adolescents: A Comparative Study. J. Clin. Pediatr. Dent. 2019, 43, 274–280. [Google Scholar] [CrossRef]
- Macho, V.; Manso, M.C.; Silva, D.; Andrade, D. Does the introduction of gluten-free diet influence the prevalence of oral soft tissue lesions in celiac disease? J. Int. Oral Health 2019, 11, 347. [Google Scholar] [CrossRef]
- Cheng, J.; Brar, P.S.; Lee, A.R.; Green, P.H. Body mass index in celiac disease: Beneficial effect of a gluten-free diet. J. Clin. Gastroenterol. 2010, 44, 267–271. [Google Scholar] [CrossRef]
- Cruz, I.T.; Fraiz, F.C.; Celli, A.; Amenabar, J.M.; Assuncao, L.R. Dental and oral manifestations of celiac disease. Med. Oral. Patol. Oral. Cir. Bucal 2018, 23, e639–e645. [Google Scholar] [CrossRef]
- Ahmed, A.; Singh, A.; Kajal, S.; Chauhan, A.; Rajput, M.S.; Banyal, V.; Ahuja, V.; Makharia, G.K. Dental enamel defects and oral cavity manifestations in Asian patients with celiac disease. Indian J. Gastroenterol. 2021, 40, 402–409. [Google Scholar] [CrossRef] [PubMed]
- Cigic, L.; Galic, T.; Kero, D.; Simunic, M.; Medvedec Mikic, I.; Kalibovic Govorko, D.; Biocina Lukenda, D. The prevalence of celiac disease in patients with geographic tongue. J. Oral. Pathol. Med. 2016, 45, 791–796. [Google Scholar] [CrossRef] [PubMed]
- Erriu, M.; Canargiu, F.; Orru, G.; Garau, V.; Montaldo, C. Idiopathic atrophic glossitis as the only clinical sign for celiac disease diagnosis: A case report. J. Med. Case Rep. 2012, 6, 185. [Google Scholar] [CrossRef] [PubMed]
- Ajdani, M.; Mortazavi, N.; Besharat, S.; Mohammadi, S.; Amiriani, T.; Sohrabi, A.; Norouzi, A.; Edris, G. Serum and salivary tissue transglutaminase IGA (tTG-IGA) level in celiac patients. BMC Gastroenterol. 2022, 22, 375. [Google Scholar] [CrossRef] [PubMed]
- Nota, A.; Abati, S.; Bosco, F.; Rota, I.; Polizzi, E.; Tecco, S. General Health, Systemic Diseases and Oral Status in Adult Patients with Coeliac Disease. Nutrients 2020, 12, 3836. [Google Scholar] [CrossRef] [PubMed]
- Sanchez-Solares, J.; Sanchez, L.; Pablo-Torres, C.; Diaz-Fernandez, C.; Sorensen, P.; Barber, D.; Gomez-Casado, C. Celiac Disease Causes Epithelial Disruption and Regulatory T Cell Recruitment in the Oral Mucosa. Front. Immunol. 2021, 12, 623805. [Google Scholar] [CrossRef] [PubMed]
- Bıçak, D.A.; Urgancı, N.; Akyüz, S.; Usta, M.; Kızılkan, N.U.; Alev, B.; Yarat, A. Clinical evaluation of dental enamel defects and oral findings in coeliac children. Eur. Oral. Res. 2018, 52, 150–156. [Google Scholar] [CrossRef] [PubMed]
- Shteyer, E.; Berson, T.; Lachmanovitz, O.; Hidas, A.; Wilschanski, M.; Menachem, M.; Shachar, E.; Shapira, J.; Steinberg, D.; Moskovitz, M. Oral health status and salivary properties in relation to gluten-free diet in children with celiac disease. J. Pediatr. Gastroenterol. Nutr. 2013, 57, 49–52. [Google Scholar] [CrossRef]
- Tian, N.; Faller, L.; Leffler, D.A.; Kelly, C.P.; Hansen, J.; Bosch, J.A.; Wei, G.; Paster, B.J.; Schuppan, D.; Helmerhorst, E.J. Salivary Gluten Degradation and Oral Microbial Profiles in Healthy Individuals and Celiac Disease Patients. Appl. Env. Environ. Microbiol. 2017, 83, e03330-16. [Google Scholar] [CrossRef]
- Karunaratne, D.; Karunaratne, N. ENT Manifestations of Celiac Disease: A Scholarly Review. Ear Nose Throat J. 2022, 101, 600–605. [Google Scholar] [CrossRef]
- De Luca, P.; Scarpa, A.; Ralli, M.; Tassone, D.; Cassandro, C.; Simone, M.; de Campora, L.; Camaioni, A. Immune-Mediated Association Between Celiac Disease and Sensorineural Hearing Loss: A Systematic Narrative Review. Turk. J. Gastroenterol. 2022, 33, 273–279. [Google Scholar] [CrossRef] [PubMed]
- Leggio, L.; Cadoni, G.; D’Angelo, C.; Mirijello, A.; Scipione, S.; Ferrulli, A.; Agostino, S.; Paludetti, G.; Gasbarrini, G.; Addolorato, G. Coeliac disease and hearing loss: Preliminary data on a new possible association. Scand. J. Gastroenterol. 2007, 42, 1209–1213. [Google Scholar] [CrossRef] [PubMed]
- Sahin, Y.; Durucu, C.; Sahin, D.A. Evaluation of hearing loss in pediatric celiac patients. Int. J. Pediatr. Otorhinolaryngol. 2015, 79, 378–381. [Google Scholar] [CrossRef] [PubMed]
- Volta, U.; Ferri, G.G.; De Giorgio, R.; Fabbri, A.; Parisi, C.; Sciajno, L.; Castellari, A.; Fiorini, E.; Piscaglia, M.; Barbara, G.; et al. Sensorineural hearing loss and celiac disease: A coincidental finding. Can. J. Gastroenterol. 2009, 23, 531–535. [Google Scholar] [CrossRef] [PubMed]
- Hizli, Ş.; Karabulut, H.; Özdemir, O.; Acar, B.; Abaci, A.; Dağlı, M.; Karaşen, R.M. Sensorineural hearing loss in pediatric celiac patients. Int. J. Pediatr. Otorhinolaryngol. 2011, 75, 65–68. [Google Scholar] [CrossRef] [PubMed]
- Karabulut, H.; Hizli, Ş.; Dagli, M.; Karabulut, I.; Acar, B.; Celik, E.; Abaci, A.; Ozdemir, O.; Karasen, R.M. Audiological findings in celiac disease. ORL J. Oto-Rhino-Laryngol. Its Relat. Spec. 2011, 73, 82–87. [Google Scholar] [CrossRef] [PubMed]
- Yazıcı, A.; Yıldırım, A.E.; Konduk, B.T. Does celiac disease cause autoimmune sensorineural hearing loss? Turk. J. Gastroenterol. 2019, 30, 776–781. [Google Scholar] [CrossRef] [PubMed]
- Comba, A.; Atan, D. Evaluation of nasal mucociliary clearance time in children with celiac disease. Int. J. Pediatr. Otorhinolaryngol. 2020, 133, 109936. [Google Scholar] [CrossRef]
- Dima, A.; Jurcut, C.; Manolache, A.; Balaban, D.V.; Popp, A.; Jinga, M. Hemorrhagic Events in Adult Celiac Disease Patients. Case Report and Review of the Literature. J. Gastrointest. Liver Dis. JGLD 2018, 27, 93–99. [Google Scholar] [CrossRef]
- Parisi, P.; Pietropaoli, N.; Ferretti, A.; Nenna, R.; Mastrogiorgio, G.; Del Pozzo, M.; Principessa, L.; Bonamico, M.; Villa, M.P. Role of the gluten-free diet on neurological-EEG findings and sleep disordered breathing in children with celiac disease. Seizure 2015, 25, 181–183. [Google Scholar] [CrossRef]
- Yerushalmy-Feler, A.; Tauman, R.; Derowe, A.; Averbuch, E.; Ben-Tov, A.; Weintraub, Y.; Weiner, D.; Amir, A.; Moran-Lev, H.; Cohen, S. Gluten-free diet may improve obstructive sleep apnea-related symptoms in children with celiac disease. BMC Pediatr. 2018, 18, 35. [Google Scholar] [CrossRef] [PubMed]
- Gyawali, C.P.; Kahrilas, P.J.; Savarino, E.; Zerbib, F.; Mion, F.; Smout, A.J.; Vaezi, M.; Sifrim, D.; Fox, M.R.; Vela, M.F.; et al. Modern diagnosis of GERD: The Lyon Consensus. Gut 2018, 67, 1351–1362. [Google Scholar] [CrossRef] [PubMed]
- Vakil, N.; van Zanten, S.V.; Kahrilas, P.; Dent, J.; Jones, R. The Montreal definition and classification of gastroesophageal reflux disease: A global evidence-based consensus. Am. J. Gastroenterol. 2006, 101, 1900–1920. [Google Scholar] [CrossRef] [PubMed]
- Lucendo, A.J. Esophageal manifestations of celiac disease. Dis. Esophagus 2011, 24, 470–475. [Google Scholar] [CrossRef] [PubMed]
- Nachman, F.; Vazquez, H.; Gonzalez, A.; Andrenacci, P.; Compagni, L.; Reyes, H.; Sugai, E.; Moreno, M.L.; Smecuol, E.; Hwang, H.J.; et al. Gastroesophageal reflux symptoms in patients with celiac disease and the effects of a gluten-free diet. Clin. Gastroenterol. Hepatol. 2011, 9, 214–219. [Google Scholar] [CrossRef] [PubMed]
- Pinto-Sánchez, M.I.; Nachman, F.D.; Fuxman, C.; Iantorno, G.; Hwang, H.J.; Ditaranto, A.; Costa, F.; Longarini, G.; Wang, X.Y.; Huang, X.; et al. Altered Esophageal Mucosal Structure in Patients with Celiac Disease. Can. J. Gastroenterol. Hepatol. 2016, 2016, 1980686. [Google Scholar] [CrossRef] [PubMed]
- Boschee, E.D.; Yap, J.Y.; Turner, J.M. Prediction of esophageal and gastric histology by macroscopic diagnosis during upper endoscopy in pediatric celiac disease. World J. Gastroenterol. 2017, 23, 646–652. [Google Scholar] [CrossRef] [PubMed][Green Version]
- Pellicano, R.; De Angelis, C.; Ribaldone, D.G.; Fagoonee, S.; Astegiano, M. 2013 update on celiac disease and eosinophilic esophagitis. Nutrients 2013, 5, 3329–3336. [Google Scholar] [CrossRef]
- Thompson, J.S.; Lebwohl, B.; Reilly, N.R.; Talley, N.J.; Bhagat, G.; Green, P.H. Increased incidence of eosinophilic esophagitis in children and adults with celiac disease. J. Clin. Gastroenterol. 2012, 46, e6–e11. [Google Scholar] [CrossRef]
- Leslie, C.; Mews, C.; Charles, A.; Ravikumara, M. Celiac disease and eosinophilic esophagitis: A true association. J. Pediatr. Gastroenterol. Nutr. 2010, 50, 397–399. [Google Scholar] [CrossRef]
- Abraham, J.R.; Persad, R.; Turner, J.M.; Huynh, H.Q. Gluten-free diet does not appear to induce endoscopic remission of eosinophilic esophagitis in children with coexistent celiac disease. Can. J. Gastroenterol. 2012, 26, 521–524. [Google Scholar] [CrossRef] [PubMed]
- Stewart, M.J.; Shaffer, E.; Urbanski, S.J.; Beck, P.L.; Storr, M.A. The association between celiac disease and eosinophilic esophagitis in children and adults. BMC Gastroenterol. 2013, 13, 96. [Google Scholar] [CrossRef] [PubMed]
- Ludvigsson, J.F.; Aro, P.; Walker, M.M.; Vieth, M.; Agreus, L.; Talley, N.J.; Murray, J.A.; Ronkainen, J. Celiac disease, eosinophilic esophagitis and gastroesophageal reflux disease, an adult population-based study. Scand. J. Gastroenterol. 2013, 48, 808–814. [Google Scholar] [CrossRef] [PubMed]
- Dharmaraj, R.; Hagglund, K.; Lyons, H. Eosinophilic esophagitis associated with celiac disease in children. BMC Res. Notes 2015, 8, 263. [Google Scholar] [CrossRef] [PubMed]
- Jensen, E.T.; Eluri, S.; Lebwohl, B.; Genta, R.M.; Dellon, E.S. Increased Risk of Esophageal Eosinophilia and Eosinophilic Esophagitis in Patients With Active Celiac Disease on Biopsy. Clin. Gastroenterol. Hepatol. 2015, 13, 1426–1431. [Google Scholar] [CrossRef] [PubMed]
- Hommeida, S.; Alsawas, M.; Murad, M.H.; Katzka, D.A.; Grothe, R.M.; Absah, I. The Association Between Celiac Disease and Eosinophilic Esophagitis: Mayo Experience and Meta-analysis of the Literature. J. Pediatr. Gastroenterol. Nutr. 2017, 65, 58–63. [Google Scholar] [CrossRef] [PubMed]
- Patton, T.; Chugh, A.; Padhye, L.; DeGeeter, C.; Guandalini, S. Pediatric Celiac Disease and Eosinophilic Esophagitis: Outcome of Dietary Therapy. J. Pediatr. Gastroenterol. Nutr. 2019, 69, e43–e48. [Google Scholar] [CrossRef]
- Cristofori, F.; D’Abramo, F.S.; Rutigliano, V.; Dargenio, V.N.; Castellaneta, S.; Piscitelli, D.; De Benedittis, D.; Indrio, F.; Raguseo, L.C.; Barone, M.; et al. Esophageal Eosinophilia and Eosinophilic Esophagitis in Celiac Children: A Ten Year Prospective Observational Study. Nutrients 2021, 13, 3755. [Google Scholar] [CrossRef]
- Castrodad-Rodríguez, C.A.; Cheng, J.; Westerhoff, M.; Liang, G.H.; Lin, J.; Nalbantoglu, I.; Hu, S.; Sekhri, R.; Panarelli, N.C. Clinical and Pathological Correlation in Concomitant Celiac Disease and Eosinophilic Esophagitis Suggests Separate Etiologies. Int. J. Surg. Pathol. 2023, 12, 10668969231167526. [Google Scholar] [CrossRef]
- Johnson, J.B.; Boynton, K.K.; Peterson, K.A. Co-occurrence of eosinophilic esophagitis and potential/probable celiac disease in an adult cohort: A possible association with implications for clinical practice. Dis. Esophagus 2016, 29, 977–982. [Google Scholar] [CrossRef]



| Author (Year) | Country a | Pop. b | n c | % d |
|---|---|---|---|---|
| Costacurta (2010) [19] | IT | C | 300 vs. 300 | 8.3 vs. 3.0% s |
| Acar (2012) [20] | TR | C | 35 vs. 35 | 37 vs. 11% s |
| Ertekin (2012) [21] | TR | C | 81 vs. 20 | 48 vs. 5% s |
| Cantekin (2012) [22] | TR | C | 25 vs. 25 | 44 vs. 0% s |
| Bramanti (2014) [11] | IT | C | 50 e vs. 54 | 52 vs. 7% s |
| De Carvalho (2015) [23] | BR | C | 52 vs. 52 | 40 vs. 17% s |
| Dane (2016) [24] | TR | C | 35 vs. 35 | 31 vs. 0% s |
| Saraceno (2016) [25] | IT | C | 83 vs. 83 | 69 vs. 43% s |
| Amato (2017) [26] | IT | A | 49 f vs. 51 | 53 vs. 26% s |
| Van Gils (2017) [10] | NL | A | 740 vs. 270 | 35 vs. 23% s |
| Shahraki (2019) [27] | IR | C | 65 vs. 60 | 17 vs. 13% ns |
| Alsadat (2021) [28] | SA | C | 104 vs. 104 | 42 vs. 15% s |
| Villemur Moreau (2021) [29] | FR | A | 28 vs. 59 | 50 vs. 22% s |
| Liu (2022) [30] | DK | A | 20 vs. 20 | 85 vs. 35% s |
| Ludovichetti (2022) [31] | IT | C | 38 vs. 38 | 24 vs. 8% s |
| Elbek-Cubukcu (2023) [32] | TR | C | 62 vs. 64 | 31 vs. 0% s |
| Author (Year) | Country a | Pop. b | n c | % d |
|---|---|---|---|---|
| Leggio (2007) [52] | IT | A | 24 vs. 24 | 47 vs. 9% s |
| Volta (2009) [54] | IT | A | 59 vs. 59 | 9 vs. 3% ns |
| Hizli (2011) [55] | TR | C | 32 vs. 32 | 41 vs. 3% s |
| Karabulut (2011) [56] | TR | C | 41 vs. 31 | 29 vs. 4% s e |
| Yazici (2019) [57] | TR | A | 103 vs. 79 | 4 vs. 0% ns |
| Author (Year) | Country a | Pop. b | n c | % |
|---|---|---|---|---|
| Leslie (2010) [70] | AU | C | 121 | 8.3 |
| Abraham (2012) [71] | CA | C | 215 | 4.1 |
| Thompson (2012) [69] | US | M | 1439 | 1.0 |
| Stewart (2013) [72] | CA | M | 763 | 0.4 |
| Ludvigsson (2013) [73] | SE | A | 18 | 0.0 |
| Dharmaraj (2015) [74] | US | C | 56 | 10.7 |
| Jensen (2015) [75] | US | M | 546 | 6.0 |
| Boschee (2017) [67] | CA | C | 76 | 10.5 |
| Hommeida (2017) [76] | US | C | 10,201 | 1.8 |
| Patton (2019) [77] | US | C | 350 | 6.3 |
| Cristofori (2021) [78] | IT | C | 313 | 0.3 |
| Author (year) | Country a | Pop. b | n c | % |
|---|---|---|---|---|
| Abraham (2012) [71] | CA | C | 95 | 10.5 |
| Ludvigsson (2013) [73] | SE | A | 11 | 0.0 |
| Stewart (2013) [72] | CA | M | 421 | 0.7 |
| Jensen (2015) [75] | US | M | 4101 | 1.8 |
| Johnson (2016) [80] | US | A | 44 | 13.6 |
| Hommeida (2017) [76] | US | C | 595 | 1.6 |
Disclaimer/Publisher’s Note: The statements, opinions and data contained in all publications are solely those of the individual author(s) and contributor(s) and not of MDPI and/or the editor(s). MDPI and/or the editor(s) disclaim responsibility for any injury to people or property resulting from any ideas, methods, instructions or products referred to in the content. |
© 2023 by the authors. Licensee MDPI, Basel, Switzerland. This article is an open access article distributed under the terms and conditions of the Creative Commons Attribution (CC BY) license (https://creativecommons.org/licenses/by/4.0/).
Share and Cite
Wieser, H.; Ciacci, C.; Gizzi, C.; Santonicola, A. Otorhinolaryngological Manifestations and Esophageal Disorders in Celiac Disease: A Narrative Review. J. Clin. Med. 2023, 12, 7036. https://doi.org/10.3390/jcm12227036
Wieser H, Ciacci C, Gizzi C, Santonicola A. Otorhinolaryngological Manifestations and Esophageal Disorders in Celiac Disease: A Narrative Review. Journal of Clinical Medicine. 2023; 12(22):7036. https://doi.org/10.3390/jcm12227036
Chicago/Turabian StyleWieser, Herbert, Carolina Ciacci, Carolina Gizzi, and Antonella Santonicola. 2023. "Otorhinolaryngological Manifestations and Esophageal Disorders in Celiac Disease: A Narrative Review" Journal of Clinical Medicine 12, no. 22: 7036. https://doi.org/10.3390/jcm12227036
APA StyleWieser, H., Ciacci, C., Gizzi, C., & Santonicola, A. (2023). Otorhinolaryngological Manifestations and Esophageal Disorders in Celiac Disease: A Narrative Review. Journal of Clinical Medicine, 12(22), 7036. https://doi.org/10.3390/jcm12227036

