Left and Right Ventricular Morphology, Function and Myocardial Deformation in Children with Left Ventricular Non-Compaction Cardiomyopathy: A Case-Control Cardiovascular Magnetic Resonance Study
Abstract
:1. Introduction
2. Materials and Methods
2.1. Study Population
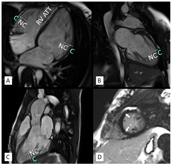
2.2. Cardiovascular Magnetic Resonance Imaging
2.3. Cardiac Magnetic Resonance Imaging Analysis
2.4. Statistical Analysis
3. Results
3.1. Patient Characteristics
3.2. Left Ventricle
3.3. Right Ventricle
3.4. LGE in Children with LVNC
4. Discussion
- Dilated LV, decreased LVEF, and impaired LV myocardial deformation;
- Increased RV apical trabeculations and decreased RV myocardial deformation, while RV EF is preserved.
4.1. LV Morphology and Function
4.2. RV Morphology and Function
4.3. LV Fibrosis in Pediatric LVNC
4.4. Study Limitations
5. Conclusions
Author Contributions
Funding
Institutional Review Board Statement
Informed Consent Statement
Data Availability Statement
Conflicts of Interest
References
- Nugent, A.W.; Daubeney, P.E.F.; Chondros, P.; Carlin, J.B.; Cheung, M.; Wilkinson, L.C.; Davis, A.M.; Kahler, S.G.; Chow, C.W.; Wilkinson, J.L.; et al. The Epidemiology of Childhood Cardiomyopathy in Australia. N. Engl. J. Med. 2003, 348, 1639–1646. [Google Scholar] [CrossRef] [PubMed]
- Shi, W.Y.; Moreno-Betancur, M.; Nugent, A.W.; Cheung, M.; Colan, S.; Turner, C.; Sholler, G.F.; Robertson, T.; Justo, R.; Bullock, A.; et al. Long-Term Outcomes of Childhood Left Ventricular Noncompaction Cardiomyopathy. Circulation 2018, 138, 367–376. [Google Scholar] [CrossRef] [PubMed] [Green Version]
- Weiford, B.C.; Subbarao, V.D.; Mulhern, K.M. Noncompaction of the Ventricular Myocardium. Circulation 2004, 109, 2965–2971. [Google Scholar] [CrossRef] [PubMed]
- Gerecke, B.J.; Engberding, R. Noncompaction Cardiomyopathy-History and Current Knowledge for Clinical Practice. J. Clin. Med. 2021, 10, 2457. [Google Scholar] [CrossRef]
- Oechslin, E.; Jenni, R. Left Ventricular Non-Compaction Revisited: A Distinct Phenotype with Genetic Heterogeneity? Eur. Heart J. 2011, 32, 1446–1456. [Google Scholar] [CrossRef] [Green Version]
- Oechslin, E.N.; Attenhofer Jost, C.H.; Rojas, J.R.; Kaufmann, P.A.; Jenni, R. Long-Term Follow-up of 34 Adults with Isolated Left Ventricular Noncompaction: A Distinct Cardiomyopathy with Poor Prognosis. J. Am. Coll. Cardiol. 2000, 36, 493–500. [Google Scholar] [CrossRef] [Green Version]
- Murphy, R.T.; Thaman, R.; Blanes, J.G.; Ward, D.; Sevdalis, E.; Papra, E.; Kiotsekoglou, A.; Kiotsekolglou, A.; Tome, M.T.; Pellerin, D.; et al. Natural History and Familial Characteristics of Isolated Left Ventricular Non-Compaction. Eur. Heart J. 2005, 26, 187–192. [Google Scholar] [CrossRef] [Green Version]
- Captur, G.; Nihoyannopoulos, P. Left Ventricular Non-Compaction: Genetic Heterogeneity, Diagnosis and Clinical Course. Int. J. Cardiol. 2010, 140, 145–153. [Google Scholar] [CrossRef]
- Paszkowska, A.; Mirecka-Rola, A.; Piekutowska-Abramczuk, D.; Ciara, E.; Mazurkiewicz, Ł.; Bieganowska, K.; Ziółkowska, L. Spectrum of Clinical Features and Genetic Profile of Left Ventricular Noncompaction Cardiomyopathy in Children. Cardiogenetics 2021, 11, 191–203. [Google Scholar] [CrossRef]
- Stacey, R.B.; Andersen, M.; Haag, J.; Hall, M.E.; McLeod, G.; Upadhya, B.; Hundley, W.G.; Thohan, V. Right Ventricular Morphology and Systolic Function in Left Ventricular Noncompaction Cardiomyopathy. Am. J. Cardiol. 2014, 113, 1018–1023. [Google Scholar] [CrossRef] [Green Version]
- Stämpfli, S.F.; Gotschy, A.; Kiarostami, P.; Özkartal, T.; Gruner, C.; Niemann, M.; Manka, R.; Tanner, F.C. Right Ventricular Involvement in Left Ventricular Non-Compaction Cardiomyopathy. Cardiol. J. 2020. Online ahead of print. [Google Scholar] [CrossRef]
- Koh, C.; Lee, P.-W.; Yung, T.-C.; Lun, K.-S.; Cheung, Y.-F. Left Ventricular Noncompaction in Children. Congenit. Heart Dis. 2009, 4, 288–294. [Google Scholar] [CrossRef] [PubMed]
- Ergul, Y.; Nisli, K.; Demirel, A.; Varkal, M.A.; Oner, N.; Dursun, M.; Dindar, A.; Aydogan, U.; Omeroglu, R.E. Left Ventricular Non-Compaction in Children and Adolescents: Clinical Features, Treatment and Follow-Up. Cardiol. J. 2011, 18, 176–184. [Google Scholar]
- Pignatelli, R.H.; McMahon, C.J.; Dreyer, W.J.; Denfield, S.W.; Price, J.; Belmont, J.W.; Craigen, W.J.; Wu, J.; El Said, H.; Bezold, L.I.; et al. Clinical Characterization of Left Ventricular Noncompaction in Children. Circulation 2003, 108, 2672–2678. [Google Scholar] [CrossRef] [PubMed]
- Alkema, M.; Spitzer, E.; Soliman, O.I.I.; Loewe, C. Multimodality Imaging for Left Ventricular Hypertrophy Severity Grading: A Methodological Review. J. Cardiovasc. Ultrasound 2016, 24, 257–267. [Google Scholar] [CrossRef] [PubMed] [Green Version]
- Leiner, T.; Bogaert, J.; Friedrich, M.G.; Mohiaddin, R.; Muthurangu, V.; Myerson, S.; Powell, A.J.; Raman, S.V.; Pennell, D.J. SCMR Position Paper (2020) on Clinical Indications for Cardiovascular Magnetic Resonance. J. Cardiovasc. Magn. Reson. 2020, 22, 76. [Google Scholar] [CrossRef]
- Andreini, D.; Pontone, G.; Bogaert, J.; Roghi, A.; Barison, A.; Schwitter, J.; Mushtaq, S.; Vovas, G.; Sormani, P.; Aquaro, G.D.; et al. Long-Term Prognostic Value of Cardiac Magnetic Resonance in Left Ventricle Noncompaction: A Prospective Multicenter Study. J. Am. Coll. Cardiol. 2016, 68, 2166–2181. [Google Scholar] [CrossRef]
- Uribe, S.; Cadavid, L.; Hussain, T.; Parra, R.; Urcelay, G.; Heusser, F.; Andía, M.; Tejos, C.; Irarrazaval, P. Cardiovascular Magnetic Resonance Findings in a Pediatric Population with Isolated Left Ventricular Non-Compaction. J. Cardiovasc. Magn. Reson. 2012, 14, 9. [Google Scholar] [CrossRef] [Green Version]
- Cheng, H.; Lu, M.; Hou, C.; Chen, X.; Li, L.; Wang, J.; Yin, G.; Chen, X.; Xiangli, W.; Cui, C.; et al. Comparison of Cardiovascular Magnetic Resonance Characteristics and Clinical Consequences in Children and Adolescents with Isolated Left Ventricular Non-Compaction with and without Late Gadolinium Enhancement. J. Cardiovasc. Magn. Reson. 2015, 17, 44. [Google Scholar] [CrossRef] [Green Version]
- Nucifora, G.; Sree Raman, K.; Muser, D.; Shah, R.; Perry, R.; Awang Ramli, K.A.; Selvanayagam, J.B. Cardiac Magnetic Resonance Evaluation of Left Ventricular Functional, Morphological, and Structural Features in Children and Adolescents vs. Young Adults with Isolated Left Ventricular Non-Compaction. Int. J. Cardiol. 2017, 246, 68–73. [Google Scholar] [CrossRef]
- Jacquier, A.; Thuny, F.; Jop, B.; Giorgi, R.; Cohen, F.; Gaubert, J.-Y.; Vidal, V.; Bartoli, J.M.; Habib, G.; Moulin, G. Measurement of Trabeculated Left Ventricular Mass Using Cardiac Magnetic Resonance Imaging in the Diagnosis of Left Ventricular Non-Compaction†. Eur. Heart J. 2010, 31, 1098–1104. [Google Scholar] [CrossRef] [PubMed] [Green Version]
- van der Ven, J.P.G.; Sadighy, Z.; Valsangiacomo Buechel, E.R.; Sarikouch, S.; Robbers-Visser, D.; Kellenberger, C.J.; Kaiser, T.; Beerbaum, P.; Boersma, E.; Helbing, W.A. Multicentre Reference Values for Cardiac Magnetic Resonance Imaging Derived Ventricular Size and Function for Children Aged 0–18 Years. Eur. Heart J. Cardiovasc. Imaging 2020, 21, 102–113. [Google Scholar] [CrossRef] [PubMed] [Green Version]
- Petersen, S.E.; Selvanayagam, J.B.; Wiesmann, F.; Robson, M.D.; Francis, J.M.; Anderson, R.H.; Watkins, H.; Neubauer, S. Left Ventricular Non-Compaction: Insights from Cardiovascular Magnetic Resonance Imaging. J. Am. Coll. Cardiol. 2005, 46, 101–105. [Google Scholar] [CrossRef] [PubMed] [Green Version]
- Bois, D.D.; Bois, E.F.D. Clinical Calorimetry: Tenth Paper a Formula to Estimate the Approximate Surface Area If Height and Weight Be Known. Arch. Intern. Med. 1916, XVII, 863–871. [Google Scholar] [CrossRef] [Green Version]
- Harrigan, C.J.; Peters, D.C.; Gibson, C.M.; Maron, B.J.; Manning, W.J.; Maron, M.S.; Appelbaum, E. Hypertrophic Cardiomyopathy: Quantification of Late Gadolinium Enhancement with Contrast-Enhanced Cardiovascular MR Imaging. Radiology 2011, 258, 128–133. [Google Scholar] [CrossRef]
- Ho, J.; Tumkaya, T.; Aryal, S.; Choi, H.; Claridge-Chang, A. Moving beyond P Values: Data Analysis with Estimation Graphics. Nat. Methods 2019, 16, 565–566. [Google Scholar] [CrossRef]
- McDonagh, T.A.; Metra, M.; Adamo, M.; Gardner, R.S.; Baumbach, A.; Böhm, M.; Burri, H.; Butler, J.; Čelutkienė, J.; Chioncel, O.; et al. 2021 ESC Guidelines for the Diagnosis and Treatment of Acute and Chronic Heart Failure. Eur. Heart J. 2021, 42, 3599–3726. [Google Scholar] [CrossRef]
- Szűcs, A.; Kiss, A.R.; Gregor, Z.; Horváth, M.; Tóth, A.; Dohy, Z.; Szabó, L.E.; Suhai, F.I.; Merkely, B.; Vágó, H. Changes in Strain Parameters at Different Deterioration Levels of Left Ventricular Function: A Cardiac Magnetic Resonance Feature-Tracking Study of Patients with Left Ventricular Noncompaction. Int. J. Cardiol. 2021, 331, 124–130. [Google Scholar] [CrossRef]
- Solomon, S.D.; Anavekar, N.; Skali, H.; McMurray, J.J.V.; Swedberg, K.; Yusuf, S.; Granger, C.B.; Michelson, E.L.; Wang, D.; Pocock, S.; et al. Influence of Ejection Fraction on Cardiovascular Outcomes in a Broad Spectrum of Heart Failure Patients. Circulation 2005, 112, 3738–3744. [Google Scholar] [CrossRef] [Green Version]
- Romano, S.; Judd, R.M.; Kim, R.J.; Kim, H.W.; Klem, I.; Heitner, J.F.; Shah, D.J.; Jue, J.; White, B.E.; Indorkar, R.; et al. Feature-Tracking Global Longitudinal Strain Predicts Death in a Multicenter Population of Patients With Ischemic and Nonischemic Dilated Cardiomyopathy Incremental to Ejection Fraction and Late Gadolinium Enhancement. JACC Cardiovasc. Imaging 2018, 11, 1419–1429. [Google Scholar] [CrossRef]
- Reindl, M.; Tiller, C.; Holzknecht, M.; Lechner, I.; Beck, A.; Plappert, D.; Gorzala, M.; Pamminger, M.; Mayr, A.; Klug, G.; et al. Prognostic Implications of Global Longitudinal Strain by Feature-Tracking Cardiac Magnetic Resonance in ST-Elevation Myocardial Infarction. Circ. Cardiovasc. Imaging 2019, 12, e009404. [Google Scholar] [CrossRef] [PubMed]
- Romano, S.; Judd, R.M.; Kim, R.J.; Heitner, J.F.; Shah, D.J.; Shenoy, C.; Evans, K.; Romer, B.; Salazar, P.; Farzaneh-Far, A. Feature-Tracking Global Longitudinal Strain Predicts Mortality in Patients With Preserved Ejection Fraction. JACC Cardiovasc. Imaging 2020, 13, 940–947. [Google Scholar] [CrossRef] [PubMed]
- Ari, M.E.; Cetin, I.I.; Kocabas, A.; Ekici, F.; Ceylan, O.; Surucu, M. Decreased Deformation in Asymptomatic Children with Isolated Left Ventricular Non-Compaction and Normal Ejection Fraction. Pediatr. Cardiol. 2016, 37, 201–207. [Google Scholar] [CrossRef] [PubMed]
- Sabatino, J.; Di Salvo, G.; Krupickova, S.; Fraisse, A.; Prota, C.; Bucciarelli, V.; Josen, M.; Paredes, J.; Sirico, D.; Voges, I.; et al. Left Ventricular Twist Mechanics to Identify Left Ventricular Noncompaction in Childhood. Circ. Cardiovasc. Imaging 2019, 12, e007805. [Google Scholar] [CrossRef] [Green Version]
- Arunamata, A.; Stringer, J.; Balasubramanian, S.; Tacy, T.A.; Silverman, N.H.; Punn, R. Cardiac Segmental Strain Analysis in Pediatric Left Ventricular Noncompaction Cardiomyopathy. J. Am. Soc. Echocardiogr. 2019, 32, 763–773. [Google Scholar] [CrossRef] [Green Version]
- Dreisbach, J.G.; Mathur, S.; Houbois, C.P.; Oechslin, E.; Ross, H.; Hanneman, K.; Wintersperger, B.J. Cardiovascular Magnetic Resonance Based Diagnosis of Left Ventricular Non-Compaction Cardiomyopathy: Impact of Cine BSSFP Strain Analysis. J. Cardiovasc. Magn. Reson. 2020, 22, 9. [Google Scholar] [CrossRef] [Green Version]
- Gastl, M.; Gotschy, A.; Polacin, M.; Vishnevskiy, V.; Meyer, D.; Sokolska, J.; Tanner, F.C.; Alkadhi, H.; Kozerke, S.; Manka, R. Determinants of Myocardial Function Characterized by CMR-Derived Strain Parameters in Left Ventricular Non-Compaction Cardiomyopathy. Sci. Rep. 2019, 9, 15882. [Google Scholar] [CrossRef] [Green Version]
- Pu, C.; Hu, X.; Ye, Y.; Lv, S.; Fei, J.; Albaqali, S.M.A.A.M.; Hu, H. Evaluation of Myocardial Deformation Pattern of Left Ventricular Noncompaction by Cardiac Magnetic Resonance Tissue Tracking. Kardiol. Pol. 2020, 78, 71–74. [Google Scholar] [CrossRef] [Green Version]
- Leung, S.W.; Elayi, C.-S.; Charnigo, R.J.; Syed, M.A. Clinical Significance of Right Ventricular Dysfunction in Left Ventricular Non-Compaction Cardiomyopathy. Int. J. Cardiovasc. Imaging 2012, 28, 1123–1131. [Google Scholar] [CrossRef]
- Vaidya, V.R.; Lyle, M.; Miranda, W.R.; Farwati, M.; Isath, A.; Patlolla, S.H.; Hodge, D.O.; Asirvatham, S.J.; Kapa, S.; Deshmukh, A.J.; et al. Long-Term Survival of Patients With Left Ventricular Noncompaction. J. Am. Heart Assoc. 2021, 10, e015563. [Google Scholar] [CrossRef]
- Ashrith, G.; Gupta, D.; Hanmer, J.; Weiss, R.M. Cardiovascular Magnetic Resonance Characterization of Left Ventricular Non-Compaction Provides Independent Prognostic Information in Patients with Incident Heart Failure or Suspected Cardiomyopathy. J. Cardiovasc. Magn. Reson. 2014, 16, 64. [Google Scholar] [CrossRef] [PubMed] [Green Version]
- Weng, Z.; Yao, J.; Chan, R.H.; He, J.; Yang, X.; Zhou, Y.; He, Y. Prognostic Value of LGE-CMR in HCM: A Meta-Analysis. JACC Cardiovasc. Imaging 2016, 9, 1392–1402. [Google Scholar] [CrossRef] [PubMed]
- Becker, M.A.J.; Cornel, J.H.; van de Ven, P.M.; van Rossum, A.C.; Allaart, C.P.; Germans, T. The Prognostic Value of Late Gadolinium-Enhanced Cardiac Magnetic Resonance Imaging in Nonischemic Dilated Cardiomyopathy: A Review and Meta-Analysis. JACC Cardiovasc. Imaging 2018, 11, 1274–1284. [Google Scholar] [CrossRef] [PubMed]
- Grigoratos, C.; Barison, A.; Ivanov, A.; Andreini, D.; Amzulescu, M.-S.; Mazurkiewicz, L.; De Luca, A.; Grzybowski, J.; Masci, P.G.; Marczak, M.; et al. Meta-Analysis of the Prognostic Role of Late Gadolinium Enhancement and Global Systolic Impairment in Left Ventricular Noncompaction. JACC Cardiovasc. Imaging 2019, 12, 2141–2151. [Google Scholar] [CrossRef]
- Nucifora, G.; Aquaro, G.D.; Pingitore, A.; Masci, P.G.; Lombardi, M. Myocardial Fibrosis in Isolated Left Ventricular Non-Compaction and Its Relation to Disease Severity. Eur. J. Heart Fail. 2011, 13, 170–176. [Google Scholar] [CrossRef] [Green Version]
- Wan, J.; Zhao, S.; Cheng, H.; Lu, M.; Jiang, S.; Yin, G.; Gao, X.; Yang, Y. Varied Distributions of Late Gadolinium Enhancement Found among Patients Meeting Cardiovascular Magnetic Resonance Criteria for Isolated Left Ventricular Non-Compaction. J. Cardiovasc. Magn. Reson. 2013, 15, 20. [Google Scholar] [CrossRef] [Green Version]
- Amzulescu, M.-S.; Rousseau, M.F.; Ahn, S.A.; Boileau, L.; de Meester de Ravenstein, C.; Vancraeynest, D.; Pasquet, A.; Vanoverschelde, J.L.; Pouleur, A.-C.; Gerber, B.L. Prognostic Impact of Hypertrabeculation and Noncompaction Phenotype in Dilated Cardiomyopathy: A CMR Study. JACC Cardiovasc. Imaging 2015, 8, 934–946. [Google Scholar] [CrossRef] [Green Version]
- Mazurkiewicz, Ł.; Petryka, J.; Śpiewak, M.; Miłosz-Wieczorek, B.; Małek, Ł.A.; Jasińska, A.; Jarmus, E.; Marczak, M.; Misko, J.; Grzybowski, J. Clinical and Prognostic Relevancy of Left Ventricular Trabeculation Assessed by Cardiac Magnetic Resonance in Patients with Dilated Cardiomyopathy. Kardiol. Pol. 2017, 75, 794–803. [Google Scholar] [CrossRef]
- Ivanov, A.; Dabiesingh, D.S.; Bhumireddy, G.P.; Mohamed, A.; Asfour, A.; Briggs, W.M.; Ho, J.; Khan, S.A.; Grossman, A.; Klem, I.; et al. Prevalence and Prognostic Significance of Left Ventricular Noncompaction in Patients Referred for Cardiac Magnetic Resonance Imaging. Circ. Cardiovasc. Imaging 2017, 10, e006174. [Google Scholar] [CrossRef] [Green Version]
- Szemraj-Rogucka, Z.; Majos, A. Left Ventricular Non-Compaction: Mid-Myocardial Distribution of Late Gadolinium Enhancement in Compacted Segments. OMICS J. Radiol. 2017, 6, 246. [Google Scholar] [CrossRef]
- Ridocci-Soriano, F.; Estornell-Erill, J.; Restrepo-Calle, J.J.; Payá-Serrano, R. Isolated Non-Compaction of the Myocardium as a Cause of Coronary and Cerebral Embolic Events in the Same Patient. Eur. Heart J. 2010, 31, 727. [Google Scholar] [CrossRef] [PubMed]
- Jenni, R.; Wyss, C.A.; Oechslin, E.N.; Kaufmann, P.A. Isolated Ventricular Noncompaction Is Associated with Coronary Microcirculatory Dysfunction. J. Am. Coll. Cardiol. 2002, 39, 450–454. [Google Scholar] [CrossRef] [Green Version]
- Junga, G.; Kneifel, S.; Von Smekal, A.; Steinert, H.; Bauersfeld, U. Myocardial Ischaemia in Children with Isolated Ventricular Non-Compaction. Eur. Heart J. 1999, 20, 910–916. [Google Scholar] [CrossRef] [PubMed]
- Alter, P.; Rupp, H.; Adams, P.; Stoll, F.; Figiel, J.H.; Klose, K.J.; Rominger, M.B.; Maisch, B. Occurrence of Late Gadolinium Enhancement Is Associated with Increased Left Ventricular Wall Stress and Mass in Patients with Non-Ischaemic Dilated Cardiomyopathy. Eur. J. Heart Fail. 2011, 13, 937–944. [Google Scholar] [CrossRef] [PubMed] [Green Version]





| LVNC (n = 16) | Control Group (n = 16) | p-Value | p-Value Permutation | Cohen’s D Effect Size (95% CI) | |
|---|---|---|---|---|---|
| Female sex | 6/16 (38%) | 6/16 (38%) | n.s. | - | - |
| Age [years] | 13.3 ± 3.2 | 13.3 ± 3.4 | n.s. | n.s. | −0.02 (−0.10–0.05) |
| Height [cm] | 153.6 ± 24.0 | 160.4 ± 19.4 | n.s. | n.s. | −0.31 (−0.88–0.05) |
| Weight [kg] | 46.3 ± 19.5 | 56.1 ± 22.0 | n.s. | 0.046 | −0.47 (−0.94–−0.03) |
| BSA [m2] | 1.40 ± 0.40 | 1.57 ± 0.39 | n.s. | n.s. | −0.42 (−0.94–−0.05) |
| BMI (kg/m2) | 18.5 ± 3.8 | 20.9 ± 4.8 | n.s. | n.s. | −0.54 (−1.07–0.13) |
| HR [min−1] | 64.7 (57.8, 78.2) | 70.0 (66.9, 86.8) | n.s. | n.s. | −0.44 (−1.07–0.46) |
| LVNC (n = 16) | Control Group (n = 16) | p-Value | p-Value Permutation | Cohen’s D Effect Size (95% CI) | |
|---|---|---|---|---|---|
| Left ventricle | |||||
| LGE | 4/16 (25%) | - | - | - | - |
| LV NC/C | 3.30 (2.46, 3.75) | 0.89 (0.46, 1.15) | <0.001 | <0.001 | 3.12 (2.37–3.92) |
| compacted LVMI [g/m2] | 53.0 ± 10.4 | 53.4 ± 10.6 | n.s. | n.s. | −0.04 (−0.63–0.53) |
| trabeculated LVMI (g/m2) | 25.0 ± 11.1 | 4.8 ± 3.3 | <0.001 | <0.001 | 2.48 (1.62–3.83) |
| trabeculated/global LVM ratio (%) | 31.3 ± 7.9 | 8.3 ± 5.3 | <0.001 | <0.001 | 3.43 (2.72–4.29) |
| LV EDV/BSA [mL/m2] | 82.1 (77.5, 102.5) | 76.3 (68.2, 82.4) | 0.015 | 0.008 | 0.80 (0.23–1.25) |
| LV EF [%] | 60.4 ± 7.3 | 67.1 ± 6.5 | 0.037 | 0.034 | −0.97 (−1.79–−0.22) |
| LV GRS [%] | 26.0 ± 5.2 | 31.6 ± 7.4 | 0.033 | 0.028 | −0.86 (−1.44–−0.06) |
| LV GCS [%] | −15.9 ± 2.2 | −18.2 ± 6.8 | 0.022 | 0.018 | 0.95 (0.10–1.57) |
| LV GLS [%] | −15.4 ± 2.8 | −17.6 ± 2.5 | 0.032 | 0.035 | 0.83 (−0.01–1.62) |
| Right ventricle | |||||
| RV NC/C | 3.55 ± 1.41 | 3.12 ± 1.09 | n.s. | n.s. | 0.34 (−0.44–1.10) |
| RV ATT [mm] | 24.9 ± 9.2 | 14.9 ± 7.4 | 0.006 | 0.004 | 1.20 (0.34–1.96) |
| RV EDV/BSA [mL/m2] | 93.4 ± 21.2 | 84.3 ± 14.7 | n.s. | n.s. | 0.50 (−0.14–0.98) |
| RV EF [%] | 56.9 ± 9.3 | 59.9 ± 6.1 | n.s. | n.s. | −0.39 (−1.09–0.25) |
| RV GRS [%] | 17.1 ± 6.7 | 23.0 ± 8.7 | 0.004 | 0.003 | −0.77 (−1.23–−0.33) |
| RV GCS [%] | −10.3 ± 4.6 | −12.9 ± 3.3 | 0.015 | 0.013 | 0.64 (0.21–1.17) |
| RV GLS [%] | −18.3 ± 4.7 | −16.22 ± 5.7 | n.s. | n.s. | −0.40 (−1.20–0.41) |
| LVNC with LGE (n = 4) | LVNC without LGE (n = 12) | p-Value | p-Value Permutation | Cohen’s D Effect Size (95% CI) | |
|---|---|---|---|---|---|
| Female sex | 1/4 (25%) | 5/12 (42%) | n.s. | - | - |
| Age [years] | 15.4 ± 2.4 | 12.6 ± 3.2 | n.s. | n.s. | 0.95 (−0.44–1.73) |
| Height [cm] | 156.8 ± 24.1 | 152.6 ± 25.0 | n.s. | n.s. | −0.04 (−1.24–1.07) |
| Weight [kg] | 45.8 ± 18.4 | 46.5 ± 20.7 | n.s. | n.s. | 0.17 (−1.48–1.11) |
| BSA [m2] | 1.4 ± 0.4 | 1.4 ± 0.4 | n.s. | n.s. | 0.05 (−1.26–1.12) |
| BMI (kg/m2) | 18.1 ± 3.4 | 18.7 ± 4.1 | n.s. | n.s. | −0.16 (−1.50–0.68) |
| HR [min−1] | 47.6 (42.3, 58.1) | 71.5 (60.8, 83.2) | 0.018 | 0.020 | −1.46 (−2.35–−0.61) |
| Left ventricle | |||||
| Number of segments with LGE | 2.0 ± 1.4 | - | - | - | - |
| LGE [% LV Mass] | 5.6 ± 2.2 | - | - | - | - |
| LV NC/C | 3.50 (2.86, 3.82) | 2.99 (2.45, 3,64) | n.s. | n.s. | 0.03 (−0.96–1.00) |
| compacted LVMI [g/m2] | 67.9 ± 6.1 | 48.0 ± 5.5 | <0.001 | <0.001 | 3.53 (2.21–4.96) |
| trabeculated LVMI (g/m2) | 35.1 ± 17.1 | 21.6 ± 6.1 | 0.028 | 0.027 | 1.41 (−0.12–2.65) |
| trabeculated/global LVM ratio (%) | 32.8 ± 9.4 | 30.8 ± 7.7 | n.s. | n.s. | 0.26 (−0.80–1.78) |
| LV EDV/BSA [mL/m2] | 123.0 ± 6.7 | 78.1 ± 9.6 | <0.001 | <0.001 | 4.94 (3.29–6.86) |
| LV EF [%] | 61.3 ± 7.1 | 60.1 ± 7.7 | n.s. | n.s. | 0.16 (−0.82–1.36) |
| LV GRS [%] | 22.8 ± 7.9 | 27.1 ± 3.8 | n.s. | n.s. | −0.88 (−3.39–1.07) |
| LV GCS [%] | −14.6 ± 3.6 | −16.4 ± 1.5 | n.s. | n.s. | 0.83 (−1.19–3.68) |
| LV GLS [%] | −16.3 ± 3.4 | −15.1 ± 2.7 | n.s. | n.s. | −0.42 (−1.77–1.03) |
| Right ventricle | |||||
| RV ATT [mm] | 36.8 ± 6.1 | 21.0 ± 6.1 | <0.001 | 0.001 | 2.60 (1.06–3.98) |
| RV NC/C | 5.48 ± 1.15 | 2.90 ± 0.74 | <0.001 | 0.001 | 3.05 (1.12–4.68) |
| RV EDV/BSA [mL/m2] | 124.7 ± 13.0 | 83.0 ± 9.7 | <0.001 | <0.001 | 3.99 (2.33–5.53) |
| RV EF [%] | 61.2 ± 8.8 | 55.4 ± 9.4 | n.s. | n.s. | 0.63 (−0.37–1.80) |
| RV GRS [%] | 16.0 ± 6.6 | 17.4 ± 7.1 | n.s. | n.s. | −0.20 (−1.18–1.19) |
| RV GCS [%] | −9.6 ± 3.7 | −10.5 ± 3.3 | n.s. | n.s. | 0.26 (−1.36–1.27) |
| RV GLS [%] | −18.1 ± 7.3 | −18.3 ± 3.9 | n.s. | n.s. | 0.05 (−1.64–1.77) |
Publisher’s Note: MDPI stays neutral with regard to jurisdictional claims in published maps and institutional affiliations. |
© 2022 by the authors. Licensee MDPI, Basel, Switzerland. This article is an open access article distributed under the terms and conditions of the Creative Commons Attribution (CC BY) license (https://creativecommons.org/licenses/by/4.0/).
Share and Cite
Sarnecki, J.; Paszkowska, A.; Petryka-Mazurkiewicz, J.; Kubik, A.; Feber, J.; Jurkiewicz, E.; Ziółkowska, L. Left and Right Ventricular Morphology, Function and Myocardial Deformation in Children with Left Ventricular Non-Compaction Cardiomyopathy: A Case-Control Cardiovascular Magnetic Resonance Study. J. Clin. Med. 2022, 11, 1104. https://doi.org/10.3390/jcm11041104
Sarnecki J, Paszkowska A, Petryka-Mazurkiewicz J, Kubik A, Feber J, Jurkiewicz E, Ziółkowska L. Left and Right Ventricular Morphology, Function and Myocardial Deformation in Children with Left Ventricular Non-Compaction Cardiomyopathy: A Case-Control Cardiovascular Magnetic Resonance Study. Journal of Clinical Medicine. 2022; 11(4):1104. https://doi.org/10.3390/jcm11041104
Chicago/Turabian StyleSarnecki, Jędrzej, Agata Paszkowska, Joanna Petryka-Mazurkiewicz, Agata Kubik, Janusz Feber, Elżbieta Jurkiewicz, and Lidia Ziółkowska. 2022. "Left and Right Ventricular Morphology, Function and Myocardial Deformation in Children with Left Ventricular Non-Compaction Cardiomyopathy: A Case-Control Cardiovascular Magnetic Resonance Study" Journal of Clinical Medicine 11, no. 4: 1104. https://doi.org/10.3390/jcm11041104
APA StyleSarnecki, J., Paszkowska, A., Petryka-Mazurkiewicz, J., Kubik, A., Feber, J., Jurkiewicz, E., & Ziółkowska, L. (2022). Left and Right Ventricular Morphology, Function and Myocardial Deformation in Children with Left Ventricular Non-Compaction Cardiomyopathy: A Case-Control Cardiovascular Magnetic Resonance Study. Journal of Clinical Medicine, 11(4), 1104. https://doi.org/10.3390/jcm11041104

