Carthamus tinctorius L. (Safflower) Flower Extract Attenuates Hepatic Injury and Steatosis in a Rat Model of Type 2 Diabetes Mellitus via Nrf2-Dependent Hypoglycemic, Antioxidant, and Hypolipidemic Effects
Abstract
1. Introduction
2. Materials and Methods
2.1. Animals
2.2. Plant Material and Preparation of the Extract
2.3. Gas Chromatography-Mass Spectrometry (GC-MS) Analysis
2.4. Diets
2.5. Establishment of T2DM
2.6. Experimental Design
2.7. Dose Selection
2.8. Collection of Blood Samples and Liver Tissues
2.9. Biochemical Analysis from Serum and Plasma
2.10. Measurements of Hepatic Lipids
2.11. Measurements of Hepatic Enzymes of Glucose Metabolism
2.12. Measurement of Hepatic Markers of Oxidative Stress, Inflammation, and Apoptosis
2.13. Analysis of the Cytoplasmic and Nuclear Activities of Selected Transcriptional Factors
2.14. Real-Time PCR of Adipose and Hepatic Tissues
2.15. Hematoxylin and Eosin Staining
2.16. Statistical Analysis
3. Results
3.1. GC-MS Composition of Safflower Flowers
3.2. SFFE Improves Body and Liver Weights, But Not Food Intake, in T2DM Rats
3.3. SFFE Attenuates Fasting Hyperglycemia and Inhibits Hepatic Gluconeogenesis in Both Control and T2DM Rats
3.4. SFFE Suppresses FFAs and Glycerol Release from Adipose Tissue in T2DM and Exerts a Hypolipidemic Effect in Both Control and T2DM Rats
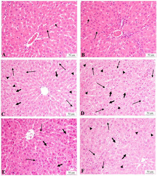
3.5. SFFE Improves Liver Function and Structure in T2DM Rats
3.6. SFFE Increases the Cytoplasmic and Nuclear Transactivation of Nrf2 in the Livers of Control and T2DM Rats by Suppressing keap1 Transcription
3.7. SFFE Reduces Lipid Peroxidations and Stimulates Antioxidant Expression in the Livers of the Control and T2DM Groups
3.8. SFFE Surpasses NF-κB in the Livers of Both the Control and T2DM Rats
3.9. SFFE Suppresses SREBP1, FAS, and ACC1 But Stimulates PPARα and CPT1 in the Livers of Control and T2DM Rats
3.10. SFFE Suppresses Apoptosis in the Livers of T2DM Rats
4. Discussion
Study Limitations and Future Prospectives
Supplementary Materials
Author Contributions
Funding
Institutional Review Board Statement
Informed Consent Statement
Data Availability Statement
Acknowledgments
Conflicts of Interest
References
- Sebastiani, G.; Patel, K.; Ratziu, V.; Feld, J.J.; Neuschwander-Tetri, B.A.; Pinzani, M.; Petta, S.; Berzigotti, A.; Metrakos, P.; Shoukry, N.; et al. Current considerations for clinical management and care of non-alcoholic fatty liver disease: Insights from the 1st International Workshop of the Canadian NASH Network (CanNASH). Can. Liver J. 2022, 5, 61–90. [Google Scholar] [CrossRef] [PubMed]
 - Lazarus, J.V.; Colombo, M.; Cortez-Pinto, H.; Huang, T.T.-K.; Miller, V.; Ninburg, M.; Schattenberg, J.M.; Seim, L.; Wong, V.W.; Zelber-Sagi, S. NAFLD—Sounding the alarm on a silent epidemic. Nat. Rev. Gastroenterol. Hepatol. 2020, 17, 377–379. [Google Scholar] [CrossRef] [PubMed]
 - Ipsen, D.H.; Lykkesfeldt, J.; Tveden-Nyborg, P. Molecular mechanisms of hepatic lipid accumulation in non-alcoholic fatty liver disease. Cell. Mol. Life Sci. 2018, 75, 3313–3327. [Google Scholar] [CrossRef] [PubMed]
 - Zhang, C.-H.; Zhou, B.-G.; Sheng, J.-Q.; Chen, Y.; Cao, Y.-Q.; Chen, C. Molecular mechanisms of hepatic insulin resistance in nonalcoholic fatty liver disease and potential treatment strategies. Pharmacol. Res. 2020, 159, 104984. [Google Scholar] [CrossRef]
 - Ota, T. Molecular mechanisms of nonalcoholic fatty liver disease (NAFLD)/Nonalcoholic Steatohepatitis (NASH). In Carotenoids: Biosynthetic Biofunctional Approaches; Springer: Berlin/Heidelberg, Germany, 2021; pp. 223–229. [Google Scholar]
 - Paschos, P.; Paletas, K. Non alcoholic fatty liver disease two-hit process: Multifactorial character of the second hit. Hippokratia 2009, 13, 128. [Google Scholar]
 - Buzzetti, E.; Pinzani, M.; Tsochatzis, E.A. The multiple-hit pathogenesis of non-alcoholic fatty liver disease (NAFLD). Metabolism 2016, 65, 1038–1048. [Google Scholar] [CrossRef]
 - Pessayre, D. Role of mitochondria in non-alcoholic fatty liver disease. J. Gastroenterol. Hepatol. 2007, 22, S20–S27. [Google Scholar] [CrossRef]
 - Gao, W.; Du, X.; Lei, L.; Wang, H.; Zhang, M.; Wang, Z.; Li, X.; Liu, G.; Li, X. NEFA-induced ROS impaired insulin signalling through the JNK and p38MAPK pathways in non-alcoholic steatohepatitis. J. Cell. Mol. Med. 2018, 22, 3408–3422. [Google Scholar] [CrossRef]
 - Chen, Z.; Tian, R.; She, Z.; Cai, J.; Li, H. Role of oxidative stress in the pathogenesis of nonalcoholic fatty liver disease. Free Radic. Biol. Med. 2020, 152, 116–141. [Google Scholar] [CrossRef]
 - Delli Bovi, A.P.; Marciano, F.; Mandato, C.; Siano, M.A.; Savoia, M.; Vajro, P. Oxidative stress in non-alcoholic fatty liver disease. An updated mini review. Front. Med. 2021, 8, 165. [Google Scholar] [CrossRef]
 - Zeng, L.; Tang, W.J.; Yin, J.J.; Zhou, B.J. Signal transductions and nonalcoholic fatty liver: A mini-review. Int. J. Clin. Exp. Med. 2014, 7, 1624–1631. [Google Scholar]
 - Chambel, S.S.; Santos-Gonçalves, A.; Duarte, T.L. The dual role of Nrf2 in nonalcoholic fatty liver disease: Regulation of antioxidant defenses and hepatic lipid metabolism. BioMed Res. Int. 2015, 2015, 597134. [Google Scholar] [CrossRef]
 - Li, L.; Fu, J.; Sun, J.; Liu, D.; Chen, C.; Wang, H.; Hou, Y.; Xu, Y.; Pi, J. Is Nrf2-ARE a potential target in NAFLD mitigation? Curr. Opin. Toxicol. 2019, 13, 35–44. [Google Scholar] [CrossRef]
 - Bukke, V.N.; Moola, A.; Serviddio, G.; Vendemiale, G.; Bellanti, F. Nuclear factor erythroid 2-related factor 2-mediated signaling and metabolic associated fatty liver disease. World J. Gastroenterol. 2022, 28, 6909. [Google Scholar] [CrossRef]
 - Zhou, J.; Zheng, Q.; Chen, Z. The Nrf2 pathway in liver diseases. Front. Cell Dev. Biol. 2022, 10, 826204. [Google Scholar] [CrossRef]
 - Lu, Q.; Zheng, R.; Zhu, P.; Bian, J.; Liu, Z.; Du, J. Hinokinin alleviates high fat diet/streptozotocin-induced cardiac injury in mice through modulation in oxidative stress, inflammation and apoptosis. Biomed. Pharmacother. 2021, 137, 111361. [Google Scholar] [CrossRef]
 - Chowdhry, S.; Nazmy, M.H.; Meakin, P.J.; Dinkova-Kostova, A.T.; Walsh, S.V.; Tsujita, T.; Dillon, J.F.; Ashford, M.L.; Hayes, J.D. Loss of Nrf2 markedly exacerbates nonalcoholic steatohepatitis. Free Radic. Biol. Med. 2010, 48, 357–371. [Google Scholar] [CrossRef]
 - Sugimoto, H.; Okada, K.; Shoda, J.; Warabi, E.; Ishige, K.; Ueda, T.; Taguchi, K.; Yanagawa, T.; Nakahara, A.; Hyodo, I. Deletion of nuclear factor-E2-related factor-2 leads to rapid onset and progression of nutritional steatohepatitis in mice. Am. J. Physiol. Gastrointest. Liver Physiol. 2010, 298, G283–G294. [Google Scholar] [CrossRef] [PubMed]
 - Okada, K.; Warabi, E.; Sugimoto, H.; Horie, M.; Tokushige, K.; Ueda, T.; Harada, N.; Taguchi, K.; Hashimoto, E.; Itoh, K.; et al. Nrf2 inhibits hepatic iron accumulation and counteracts oxidative stress-induced liver injury in nutritional steatohepatitis. J. Gastroenterol. 2012, 47, 924–935. [Google Scholar] [CrossRef] [PubMed]
 - Wang, C.; Cui, Y.; Li, C.; Zhang, Y.; Xu, S.; Li, X.; Li, H.; Zhang, X. Nrf2 deletion causes “benign” simple steatosis to develop into nonalcoholic steatohepatitis in mice fed a high-fat diet. Lipids Health Dis. 2013, 12, 165. [Google Scholar] [CrossRef] [PubMed]
 - Meakin, P.J.; Chowdhry, S.; Sharma, R.S.; Ashford, F.B.; Walsh, S.V.; McCrimmon, R.J.; Dinkova-Kostova, A.T.; Dillon, J.F.; Hayes, J.D.; Ashford, M.L. Susceptibility of Nrf2-null mice to steatohepatitis and cirrhosis upon consumption of a high-fat diet is associated with oxidative stress, perturbation of the unfolded protein response, and disturbance in the expression of metabolic enzymes but not with insulin resistance. Mol. Cell. Biol. 2014, 34, 3305–3320. [Google Scholar] [PubMed]
 - Kitteringham, N.R.; Abdullah, A.; Walsh, J.; Randle, L.; Jenkins, R.E.; Sison, R.; Goldring, C.E.; Powell, H.; Sanderson, C.; Williams, S.; et al. Proteomic analysis of Nrf2 deficient transgenic mice reveals cellular defence and lipid metabolism as primary Nrf2-dependent pathways in the liver. J. Proteom. 2010, 73, 1612–1631. [Google Scholar] [CrossRef] [PubMed]
 - Huang, J.; Tabbi-Anneni, I.; Gunda, V.; Wang, L. Transcription factor Nrf2 regulates SHP and lipogenic gene expression in hepatic lipid metabolism. Am. J. Physiol. Gastrointest. Liver Physiol. 2010, 299, G1211–G1221. [Google Scholar] [CrossRef] [PubMed]
 - Tanaka, Y.; Ikeda, T.; Yamamoto, K.; Ogawa, H.; Kamisako, T. Dysregulated expression of fatty acid oxidation enzymes and iron-regulatory genes in livers of Nrf2-null mice. J. Gastroenterol. Hepatol. 2012, 27, 1711–1717. [Google Scholar] [CrossRef] [PubMed]
 - Ludtmann, M.H.; Angelova, P.R.; Zhang, Y.; Abramov, A.Y.; Dinkova-Kostova, A.T. Nrf2 affects the efficiency of mitochondrial fatty acid oxidation. Biochem. J. 2014, 457, 415–424. [Google Scholar] [CrossRef]
 - Qiu, M.; Xiao, F.; Wang, T.; Piao, S.; Zhao, W.; Shao, S.; Yan, M.; Zhao, D. Protective effect of Hedansanqi Tiaozhi Tang against non-alcoholic fatty liver disease in vitro and in vivo through activating Nrf2/HO-1 antioxidant signaling pathway. Phytomedicine 2020, 67, 153140. [Google Scholar] [CrossRef]
 - Zheng, W.; Song, Z.; Li, S.; Hu, M.; Shaukat, H.; Qin, H. Protective Effects of sesamol against liver oxidative stress and inflammation in high-fat diet-induced hepatic steatosis. Nutrients 2021, 13, 4484. [Google Scholar] [CrossRef]
 - Al Jadani, J.M.; Albadr, N.A.; Alshammari, G.M.; Almasri, S.A.; Alfayez, F.F.; Yahya, M.A. Esculeogenin A, a Glycan from Tomato, Alleviates Nonalcoholic Fatty Liver Disease in Rats through Hypolipidemic, Antioxidant, and Anti-Inflammatory Effects. Nutrients 2023, 15, 4755. [Google Scholar] [CrossRef]
 - Sharma, R.S.; Harrison, D.J.; Kisielewski, D.; Cassidy, D.M.; McNeilly, A.D.; Gallagher, J.R.; Walsh, S.V.; Honda, T.; McCrimmon, R.J.; Dinkova-Kostova, A.T. Experimental nonalcoholic steatohepatitis and liver fibrosis are ameliorated by pharmacologic activation of Nrf2 (NF-E2 p45-related factor 2). Cell. Mol. Gastroenterol. Hepatol. 2018, 5, 367–398. [Google Scholar] [CrossRef]
 - Zhang, Y.-K.J.; Yeager, R.L.; Tanaka, Y.; Klaassen, C.D. Enhanced expression of Nrf2 in mice attenuates the fatty liver produced by a methionine-and choline-deficient diet. Toxicol. Appl. Pharmacol. 2010, 245, 326–334. [Google Scholar] [CrossRef]
 - Deng, Y.; Tang, K.; Chen, R.; Nie, H.; Liang, S.; Zhang, J.; Zhang, Y.; Yang, Q. Berberine attenuates hepatic oxidative stress in rats with non-alcoholic fatty liver disease via the Nrf2/ARE signalling pathway. Exp. Ther. Med. 2019, 17, 2091–2098. [Google Scholar] [CrossRef] [PubMed]
 - Hosseini, H.; Teimouri, M.; Shabani, M.; Koushki, M.; Khorzoughi, R.B.; Namvarjah, F.; Izadi, P.; Meshkani, R. Resveratrol alleviates non-alcoholic fatty liver disease through epigenetic modification of the Nrf2 signaling pathway. Int. J. Biochem. Cell Biol. 2020, 119, 105667. [Google Scholar] [CrossRef] [PubMed]
 - He, Y.; Jiang, J.; He, B.; Shi, Z. Chemical activators of the Nrf2 signaling pathway in nonalcoholic fatty liver disease. Nat. Prod. Commun. 2021, 16, 1934578X20987095. [Google Scholar] [CrossRef]
 - Salvoza, N.; Giraudi, P.J.; Tiribelli, C.; Rosso, N. Natural compounds for counteracting nonalcoholic fatty liver disease (NAFLD): Advantages and limitations of the suggested candidates. Int. J. Mol. Sci. 2022, 23, 2764. [Google Scholar] [CrossRef]
 - Jadeja, R.N.; Upadhyay, K.K.; Devkar, R.V.; Khurana, S. Naturally occurring Nrf2 activators: Potential in treatment of liver injury. Oxid. Med. Cell. Longev. 2016, 2016, 3453926. [Google Scholar] [CrossRef]
 - Yu, H.; Yan, S.; Jin, M.; Wei, Y.; Zhao, L.; Cheng, J.; Ding, L.; Feng, H. Aescin can alleviate NAFLD through Keap1-Nrf2 by activating antioxidant and autophagy. Phytomedicine 2023, 113, 154746. [Google Scholar] [CrossRef]
 - Zhang, L.-L.; Tian, K.; Tang, Z.-H.; Chen, X.-J.; Bian, Z.-X.; Wang, Y.-T.; Lu, J.-J. Phytochemistry and Pharmacology of Carthamus tinctorius L. Am. J. Chin. Med. 2016, 44, 197–226. [Google Scholar] [CrossRef]
 - Adamska, I.; Biernacka, P. Bioactive substances in safflower flowers and their applicability in medicine and health-promoting foods. Int. J. Food Sci. 2021, 2021, 6657639. [Google Scholar] [CrossRef]
 - Mandade, R.; Sreenivas, S.; Choudhury, A. Radical scavenging and antioxidant activity of Carthamus tinctorius extracts. Free Radic. Antioxid. 2011, 1, 87–93. [Google Scholar] [CrossRef]
 - Jun, M.S.; Ha, Y.M.; Kim, H.S.; Jang, H.J.; Kim, Y.M.; Lee, Y.S.; Kim, H.J.; Seo, H.G.; Lee, J.H.; Lee, S.H.; et al. Anti-inflammatory action of methanol extract of Carthamus tinctorius involves in heme oxygenase-1 induction. J. Ethnopharmacol. 2011, 133, 524–530. [Google Scholar] [CrossRef]
 - Bacchetti, T.; Morresi, C.; Bellachioma, L.; Ferretti, G. Antioxidant and pro-oxidant properties of Carthamus tinctorius, hydroxy safflor yellow A, and safflor yellow A. Antioxidants 2020, 9, 119. [Google Scholar] [CrossRef] [PubMed]
 - Kim, S.-Y.; Hong, M.; Deepa, P.; Sowndhararajan, K.; Park, S.J.; Park, S.; Kim, S. Carthamus tinctorius Suppresses LPS-Induced Anti-Inflammatory Responses by Inhibiting the MAPKs/NF-κB Signaling Pathway in HaCaT Cells. Sci. Pharm. 2023, 91, 14. [Google Scholar] [CrossRef]
 - Alahmadi, T.A.; Alharbi, S.A.; Ravindran, B.; Saravanan, K. Evaluation of Antioxidant and Oxidative Stress Activity of Carthamus tinctorius L. Extract in Lung Cancer A549 Cells. Indian J. Pharm. Educ. Res. 2023, 57, 1112–1118. [Google Scholar] [CrossRef]
 - Asgary, S.; Rahimi, P.; Mahzouni, P.; Madani, H. Antidiabetic effect of hydroalcoholic extract of Carthamus tinctorius L. in alloxan-induced diabetic rats. J. Res. Med. Sci. Off. J. Isfahan Univ. Med. Sci. 2012, 17, 386. [Google Scholar]
 - Rahimi, P.; Asgary, S.; Kabiri, N. Hepatoprotective and hypolipidemic effects of Carthamus tinctorius oil in alloxan-induced type 1 diabetic rats. J. HerbMed Pharmacol. 2014, 3, 107–111. [Google Scholar]
 - Moftah, R.F.; Rashwan, M.; Abdel-Gawad, A.; Seleim, M.A. Effect of Nigella sativa and Carthamus tinctorius L. Oils on Various Biochemical Parameters of Streptozotocin-induced Diabetic Rats. Assiut J. Agric. Sci. 2018, 49, 133–144. [Google Scholar] [CrossRef]
 - Moon, K.-D.; Back, S.-S.; Kim, J.-H.; Jeon, S.-M.; Lee, M.-K.; Choi, M.-S. Safflower seed extract lowers plasma and hepatic lipids in rats fed high-cholesterol diet. Nutr. Res. 2001, 21, 895–904. [Google Scholar] [CrossRef]
 - Arpornsuwan, T.; Changsri, K.; Roytrakul, S.; Punjanon, T. The effects of the extracts from Carthamus tinctorius L. on gene expression related to cholesterol metabolism in rats. Songklanakarin J. Sci. Technol. 2010, 32, 129–136. [Google Scholar]
 - Nimrouzi, M.; Ruyvaran, M.; Zamani, A.; Nasiri, K.; Akbari, A. Oil and extract of safflower seed improve fructose induced metabolic syndrome through modulating the homeostasis of trace elements, TNF-α and fatty acids metabolism. J. Ethnopharmacol. 2020, 254, 112721. [Google Scholar] [CrossRef]
 - Yar, H.S.; Ismail, D.K.; Alhmed, M.N. Hepatoprotective effect of Carthamus tinctorius L. against carbon tetrachloride induced hepatotoxicity in rats. Pharm. Glob. 2012, 3, 1. [Google Scholar]
 - Wu, S.; Yue, Y.; Tian, H.; Li, Z.; Li, X.; He, W.; Ding, H. Carthamus red from Carthamus tinctorius L. exerts antioxidant and hepatoprotective effect against CCl4-induced liver damage in rats via the Nrf2 pathway. J. Ethnopharmacol. 2013, 148, 570–578. [Google Scholar] [CrossRef] [PubMed]
 - Ma, M.; Chen, L.; Tang, Z.; Song, Z.; Kong, X. Hepatoprotective effect of total flavonoids from Carthamus tinctorius L. leaves against carbon tetrachloride-induced chronic liver injury in mice. Fitoterapia 2023, 171, 105605. [Google Scholar] [CrossRef]
 - Lee, Y.J.; Lee, Y.P.; Seo, C.S.; Choi, E.S.; Han, B.H.; Yoon, J.J.; Jang, S.H.; Jeong, C.G.; Mun, Y.J.; Kang, D.G.; et al. The modulation of Nrf-2/HO-1 signaling axis by Carthamus tinctorius L. alleviates vascular inflammation in human umbilical vein endothelial cells. Plants 2021, 10, 2795. [Google Scholar] [CrossRef] [PubMed]
 - Hu, N.; Yan, G.; Tang, M.; Wu, Y.; Song, F.; Xia, X.; Chan, L.W.-C.; Lei, P. CT-based methods for assessment of metabolic dysfunction associated with fatty liver disease. Eur. Radiol. Exp. 2023, 7, 72. [Google Scholar] [CrossRef] [PubMed]
 - Asgarpanah, J.; Kazemivash, N. Phytochemistry, pharmacology and medicinal properties of Carthamus tinctorius L. Chin. J. Integr. Med. 2013, 19, 153–159. [Google Scholar] [CrossRef] [PubMed]
 - Pant, R.; Irchhaiya, R.; Rao, C.V. A research article phytochemical and pharmacological evaluation of Carthamus tinctorius leaves. J. Drug Deliv. Ther. 2019, 9, 285–294. [Google Scholar] [CrossRef]
 - Song, D.; Yin, L.; Wang, C.; Wen, X. Zhenqing recipe attenuates non-alcoholic fatty liver disease by regulating the SIK1/CRTC2 signaling in experimental diabetic rats. BMC Complement. Med. Ther. 2020, 20, 27. [Google Scholar] [CrossRef]
 - Yahya, M.A.; Alshammari, G.M.; Osman, M.A.; Al-Harbi, L.N.; Yagoub, A.E.A.; AlSedairy, S.A. Isoliquiritigenin attenuates high-fat diet-induced intestinal damage by suppressing inflammation and oxidative stress and through activating Nrf2. J. Funct. Foods 2022, 92, 105058. [Google Scholar] [CrossRef]
 - Al-Qahtani, W.H.; Alshammari, G.M.; Alshuniaber, M.A.; Husain, M.; Alawwad, S.A.; Al-Ayesh, S.T.; Yahya, M.A.; Aldawood, A.S. The protective effect of isoliquiritigenin against doxorubicin-induced nephropathy in rats entails activation of Nrf2 signaling as one key mechanism. J. King Saud Univ. Sci. 2022, 34, 102165. [Google Scholar] [CrossRef]
 - AlTamimi, J.Z.; AlFaris, N.A.; Alshammari, G.M.; Alagal, R.I.; Aljabryn, D.H.; Yahya, M.A. Esculeoside A alleviates reproductive toxicity in streptozotocin-diabetic rats’s model by activating Nrf2 signaling. Saudi J. Biol. Sci. 2023, 30, 103780. [Google Scholar] [CrossRef]
 - Al-Hussan, R.; Albadr, N.A.; Alshammari, G.M.; Almasri, S.A.; Yahya, M.A. Phloretamide Prevent Hepatic and Pancreatic Damage in Diabetic Male Rats by Modulating Nrf2 and NF-κB. Nutrients 2023, 15, 1456. [Google Scholar] [CrossRef] [PubMed]
 - Folch, J.; Lees, M.; Sloane Stanley, G.H. A simple method for the isolation and purification of total lipids from animal tissues. J. Biol. Chem. 1957, 226, 497–509. [Google Scholar] [CrossRef] [PubMed]
 - Zhu, Y.; Su, Y.; Zhang, J.; Zhang, Y.; Li, Y.; Han, Y.; Dong, X.; Li, W.; Li, W. Astragaloside IV alleviates liver injury in type 2 diabetes due to promotion of AMPK/mTOR-mediated autophagy. Mol. Med. Rep. 2021, 23, 437. [Google Scholar] [CrossRef] [PubMed]
 - Wang, Z.; Zhu, Y.; Zhang, Y.; Zhang, J.; Ji, T.; Li, W.; Li, W. Protective effects of AS-IV on diabetic cardiomyopathy by improving myocardial lipid metabolism in rat models of T2DM. Biomed. Pharmacother. 2020, 127, 110081. [Google Scholar] [CrossRef] [PubMed]
 - Vornoli, A.; Pozzo, L.; Della Croce, C.; Gervasi, P.; Longo, V. Drug metabolism enzymes in a steatotic model of rat treated with a high fat diet and a low dose of streptozotocin. Food Chem. Toxicol. 2014, 70, 54–60. [Google Scholar] [CrossRef]
 - Petersen, M.C.; Shulman, G.I. Mechanisms of insulin action and insulin resistance. Physiol. Rev. 2018, 98, 2133–2223. [Google Scholar] [CrossRef]
 - Lin, H.V.; Accili, D. Hormonal regulation of hepatic glucose production in health and disease. Cell Metab. 2011, 14, 9–19. [Google Scholar] [CrossRef]
 - Santoleri, D.; Titchenell, P.M. Resolving the paradox of hepatic insulin resistance. Cell. Mol. Gastroenterol. Hepatol. 2019, 7, 447–456. [Google Scholar] [CrossRef]
 - Morigny, P.; Houssier, M.; Mouisel, E.; Langin, D. Adipocyte lipolysis and insulin resistance. Biochimie 2016, 125, 259–266. [Google Scholar] [CrossRef]
 - Hatting, M.; Tavares, C.D.; Sharabi, K.; Rines, A.K.; Puigserver, P. Insulin regulation of gluconeogenesis. Ann. N. Y. Acad. Sci. 2018, 1411, 21–35. [Google Scholar] [CrossRef]
 - Takahashi, T.; Miyazawa, M. Potent α-glucosidase inhibitors from safflower (Carthamus tinctorius L.) seed. Phytother. Res. 2012, 26, 722–726. [Google Scholar] [CrossRef] [PubMed]
 - Kalavalapalli, S.; Leiva, E.G.; Lomonaco, R.; Chi, X.; Shrestha, S.; Dillard, R.; Budd, J.; Romero, J.P.; Li, C.; Bril, F.; et al. Adipose Tissue Insulin Resistance Predicts the Severity of Liver Fibrosis in Patients with Type 2 Diabetes and NAFLD. J. Clin. Endocrinol. Metab. 2023, 108, 1192–1201. [Google Scholar] [CrossRef] [PubMed]
 - Santoro, A.; McGraw, T.E.; Kahn, B.B. Insulin action in adipocytes, adipose remodeling, and systemic effects. Cell Metab. 2021, 33, 748–757. [Google Scholar] [CrossRef] [PubMed]
 - Leamy, A.K.; Egnatchik, R.A.; Young, J.D. Molecular mechanisms and the role of saturated fatty acids in the progression of non-alcoholic fatty liver disease. Prog. Lipid Res. 2013, 52, 165–174. [Google Scholar] [CrossRef] [PubMed]
 - Tariq, Z.; Green, C.J.; Hodson, L. Are oxidative stress mechanisms the common denominator in the progression from hepatic steatosis towards non-alcoholic steatohepatitis (NASH)? Liver Int. 2014, 34, e180–e190. [Google Scholar] [CrossRef] [PubMed]
 - Hong, T.; Chen, Y.; Li, X.; Lu, Y. The role and mechanism of oxidative stress and nuclear receptors in the development of NAFLD. Oxid. Med. Cell. Longev. 2021, 2021, 6889533. [Google Scholar] [CrossRef] [PubMed]
 - Liu, J.; Han, X.; Zhang, T.; Tian, K.; Li, Z.; Luo, F. Reactive oxygen species (ROS) scavenging biomaterials for anti-inflammatory diseases: From mechanism to therapy. J. Hematol. Oncol. 2023, 16, 116. [Google Scholar] [CrossRef]
 - Conde de la Rosa, L.; Goicoechea, L.; Torres, S.; Garcia-Ruiz, C.; Fernandez-Checa, J.C. Role of oxidative stress in liver disorders. Livers 2022, 2, 283–314. [Google Scholar] [CrossRef]
 - Mekaroonreung, K.; Kangsadalampai, K. Antioxidant activity, phenolic compound contents and antimutagenic activity of some water extract of herbs. Thai J. Pharm. Sci. 2006, 30, 28–35. [Google Scholar] [CrossRef]
 - Koyama, N.; Kuribayashi, K.; Seki, T.; Kobayashi, K.; Furuhata, Y.; Suzuki, K.; Arisaka, H.; Nakano, T.; Amino, Y.; Ishii, K. Serotonin derivatives, major safflower (Carthamus tinctorius L.) seed antioxidants, inhibit low-density lipoprotein (LDL) oxidation and atherosclerosis in apolipoprotein E-deficient mice. J. Agric. Food Chem. 2006, 54, 4970–4976. [Google Scholar] [CrossRef]
 - Choi, S.H.; Lee, A.Y.; Park, C.H.; Shin, Y.S.; Cho, E.J. Protective effect of Carthamus tinctorius L. seed on oxidative stress and cognitive impairment induced by chronic alcohol consumption in mice. Food Sci. Biotechnol. 2018, 27, 1475–1484. [Google Scholar] [CrossRef] [PubMed]
 - Niu, Z.; Zhang, L. Hydroalcoholic Carthamus tinctorius L. Extract Attenuates TNBS-induced Ulcerative Colitis in Mice Via Downregulation of Inflammation and Oxidative Stress. Indian J. Pharm. Educ. Res. 2022, 56, 780–788. [Google Scholar]
 - Sun, L.-P.; Shi, F.-F.; Zhang, W.-W.; Zhang, Z.-H.; Wang, K. Antioxidant and anti-inflammatory activities of safflower (Carthamus tinctorius L.) honey extract. Foods 2020, 9, 1039. [Google Scholar] [CrossRef] [PubMed]
 - Pei, K.; Gui, T.; Kan, D.; Feng, H.; Jin, Y.; Yang, Y.; Zhang, Q.; Du, Z.; Gai, Z.; Wu, J.; et al. An overview of lipid metabolism and nonalcoholic fatty liver disease. BioMed Res. Int. 2020, 2020, 4020249. [Google Scholar] [CrossRef]
 - Moslehi, A.; Hamidi-Zad, Z. Role of SREBPs in liver diseases: A mini-review. J. Clin. Transl. Hepatol. 2018, 6, 332. [Google Scholar] [CrossRef]
 - Badmus, O.O.; Hillhouse, S.A.; Anderson, C.D.; Hinds, T.D., Jr.; Stec, D.E. Molecular mechanisms of metabolic associated fatty liver disease (MAFLD): Functional analysis of lipid metabolism pathways. Clin. Sci. 2022, 136, 1347–1366. [Google Scholar] [CrossRef]
 - Sekiya, M.; Hiraishi, A.; Touyama, M.; Sakamoto, K. Oxidative stress induced lipid accumulation via SREBP1c activation in HepG2 cells. Biochem. Biophys. Res. Commun. 2008, 375, 602–607. [Google Scholar] [CrossRef]
 - Uttarwar, L.; Gao, B.; Ingram, A.J.; Krepinsky, J.C. SREBP-1 activation by glucose mediates TGF-β upregulation in mesangial cells. Am. J. Physiol. Ren. Physiol. 2012, 302, F329–F341. [Google Scholar] [CrossRef]
 - Zhou, C.; Qian, W.; Li, J.; Ma, J.; Chen, X.; Jiang, Z.; Cheng, L.; Duan, W.; Wang, Z.; Wu, Z.; et al. High glucose microenvironment accelerates tumor growth via SREBP1-autophagy axis in pancreatic cancer. J. Exp. Clin. Cancer Res. 2019, 38, 302. [Google Scholar] [CrossRef] [PubMed]
 - Kusnadi, A.; Park, S.H.; Yuan, R.; Pannellini, T.; Giannopoulou, E.; Oliver, D.; Lu, T.; Park-Min, K.-H.; Ivashkiv, L.B. The cytokine TNF promotes transcription factor SREBP activity and binding to inflammatory genes to activate macrophages and limit tissue repair. Immunity 2019, 51, 241–257.e9. [Google Scholar] [CrossRef]
 - Weber, M.; Mera, P.; Casas, J.; Salvador, J.; Rodríguez, A.; Alonso, S.; Sebastián, D.; Soler-Vázquez, M.C.; Montironi, C.; Recalde, S.; et al. Liver CPT1A gene therapy reduces diet-induced hepatic steatosis in mice and highlights potential lipid biomarkers for human NAFLD. In Federation of American Societies for Experimental Biology; John Wiley & Sons, Inc.: Hoboken, NJ, USA, 2020. [Google Scholar]
 - Morris, E.M.; Meers, G.M.; Booth, F.W.; Fritsche, K.L.; Hardin, C.D.; Thyfault, J.P.; Ibdah, J.A. PGC-1α overexpression results in increased hepatic fatty acid oxidation with reduced triacylglycerol accumulation and secretion. Am. J. Physiol. Gastrointest. Liver Physiol. 2012, 303, G979–G992. [Google Scholar] [CrossRef] [PubMed]
 - Pawlak, M.; Lefebvre, P.; Staels, B. Molecular mechanism of PPARα action and its impact on lipid metabolism, inflammation and fibrosis in non-alcoholic fatty liver disease. J. Hepatol. 2015, 62, 720–733. [Google Scholar] [CrossRef] [PubMed]
 - Rius-Pérez, S.; Torres-Cuevas, I.; Millán, I.; Ortega, Á.L.; Pérez, S. PGC-1α, inflammation, and oxidative stress: An integrative view in metabolism. Oxid. Med. Cell. Longev. 2020, 2020, 1452696. [Google Scholar] [CrossRef] [PubMed]
 - Youssef, J.; Badr, M. Role of peroxisome proliferator-activated receptors in inflammation control. BioMed Res. Int. 2004, 2004, 156–166. [Google Scholar] [CrossRef] [PubMed]
 - Pan, J.; Zhou, W.; Xu, R.; Xing, L.; Ji, G.; Dang, Y. Natural PPARs agonists for the treatment of nonalcoholic fatty liver disease. Biomed. Pharmacother. 2022, 151, 113127. [Google Scholar] [CrossRef]
 - Hammoutene, A.; Laouirem, S.; Albuquerque, M.; Colnot, N.; Brzustowski, A.; Valla, D.; Provost, N.; Delerive, P.; Paradis, V.; Group, Q.-N.R. A new NRF2 activator for the treatment of human metabolic dysfunction-associated fatty liver disease. JHEP Rep. 2023, 5, 100845. [Google Scholar] [CrossRef]
 - Niture, S.K.; Jaiswal, A.K. Nrf2 protein up-regulates antiapoptotic protein Bcl-2 and prevents cellular apoptosis. J. Biol. Chem. 2012, 287, 9873–9886. [Google Scholar] [CrossRef]
 - Wardyn, J.D.; Ponsford, A.H.; Sanderson, C.M. Dissecting molecular cross-talk between Nrf2 and NF-κB response pathways. Biochem. Soc. Trans. 2015, 43, 621–626. [Google Scholar] [CrossRef]
 - Slocum, S.L.; Skoko, J.J.; Wakabayashi, N.; Aja, S.; Yamamoto, M.; Kensler, T.W.; Chartoumpekis, D.V. Keap1/Nrf2 pathway activation leads to a repressed hepatic gluconeogenic and lipogenic program in mice on a high-fat diet. Arch. Biochem. Biophys. 2016, 591, 57–65. [Google Scholar] [CrossRef]
 - Jin, S.H.; Yang, J.H.; Shin, B.Y.; Seo, K.; Shin, S.M.; Cho, I.J.; Ki, S.H. Resveratrol inhibits LXRα-dependent hepatic lipogenesis through novel antioxidant Sestrin2 gene induction. Toxicol. Appl. Pharmacol. 2013, 271, 95–105. [Google Scholar] [CrossRef]
 - Kay, H.Y.; Kim, W.D.; Hwang, S.J.; Choi, H.-S.; Gilroy, R.K.; Wan, Y.-J.Y.; Kim, S.G. Nrf2 inhibits LXRα-dependent hepatic lipogenesis by competing with FXR for acetylase binding. Antioxid. Redox Signal. 2011, 15, 2135–2146. [Google Scholar] [CrossRef] [PubMed]
 - Heiss, E.H.; Schachner, D.; Zimmermann, K.; Dirsch, V.M. Glucose availability is a decisive factor for Nrf2-mediated gene expression. Redox Biol. 2013, 1, 359–365. [Google Scholar] [CrossRef] [PubMed]
 - Aubouy, A.; Olagnier, D.; Bertin, G.; Ezinmegnon, S.; Majorel, C.; Mimar, S.; Massougbodji, A.; Deloron, P.; Pipy, B.; Coste, A. Nrf2-driven CD36 and HO-1 gene expression in circulating monocytes correlates with favourable clinical outcome in pregnancy-associated malaria. Malar. J. 2015, 14, 358. [Google Scholar] [CrossRef]
 - Ramadori, P.; Drescher, H.; Erschfeld, S.; Schumacher, F.; Berger, C.; Fragoulis, A.; Schenkel, J.; Kensler, T.W.; Wruck, C.J.; Trautwein, C. Hepatocyte-specific Keap1 deletion reduces liver steatosis but not inflammation during non-alcoholic steatohepatitis development. Free Radic. Biol. Med. 2016, 91, 114–126. [Google Scholar] [CrossRef]
 - Wang, X.; Li, C.; Xu, S.; Ishfaq, M.; Zhang, X. NF-E2-related factor 2 deletion facilitates hepatic fatty acids metabolism disorder induced by high-fat diet via regulating related genes in mice. Food Chem. Toxicol. 2016, 94, 186–196. [Google Scholar] [CrossRef]
 - Mishra, M.; Zhong, Q.; Kowluru, R.A. Epigenetic modifications of Nrf2-mediated glutamate–cysteine ligase: Implications for the development of diabetic retinopathy and the metabolic memory phenomenon associated with its continued progression. Free Radic. Biol. Med. 2014, 75, 129–139. [Google Scholar] [CrossRef] [PubMed]
 - Kowluru, R.A.; Mishra, M. Epigenetic regulation of redox signaling in diabetic retinopathy: Role of Nrf2. Free Radic. Biol. Med. 2017, 103, 155–164. [Google Scholar] [CrossRef]
 - Miller, W.P.; Sunilkumar, S.; Giordano, J.F.; Toro, A.L.; Barber, A.J.; Dennis, M.D. The stress response protein REDD1 promotes diabetes-induced oxidative stress in the retina by Keap1-independent Nrf2 degradation. J. Biol. Chem. 2020, 295, 7350–7361. [Google Scholar] [CrossRef]
 - Zhang, J.; Zhou, R.; Xiang, C.; Fan, F.; Gao, J.; Zhang, Y.; Tang, S.; Xu, H.; Yang, H. Enhanced thioredoxin, glutathione and Nrf2 antioxidant systems by safflower extract and aceglutamide attenuate cerebral ischaemia/reperfusion injury. J. Cell. Mol. Med. 2020, 24, 4967–4980. [Google Scholar] [CrossRef] [PubMed]
 - Nasiri, K.; Akbari, A.; Nimrouzi, M.; Ruyvaran, M.; Mohamadian, A. Safflower seed oil improves steroidogenesis and spermatogenesis in rats with type II diabetes mellitus by modulating the genes expression involved in steroidogenesis, inflammation and oxidative stress. J. Ethnopharmacol. 2021, 275, 114139. [Google Scholar] [CrossRef]
 - Das, M.; Prakash, S.; Nayak, C.; Thangavel, N.; Singh, S.K.; Manisankar, P.; Devi, K.P. Dihydroactinidiolide, a natural product against Aβ25-35 induced toxicity in Neuro2a cells: Synthesis, in silico and in vitro studies. Bioorganic Chem. 2018, 81, 340349. [Google Scholar] [CrossRef]
 - Dhakal, M.; Bhattarai, S. Emerging Medicinal Values of Kiwifruit (Actinidia Lindl.). In Ethnopharmacology of Wild Plants; CRC Press: Boca Raton, FL, USA, 2021; pp. 358–383. [Google Scholar]
 - Fidyt, K.; Fiedorowicz, A.; Strzadała, L.; Szumny, A. β-caryophylleneand Open Access β-caryophyllene oxide—Natural compounds of anticancer and analgesic properties. Cancer Med. 2016, 5, 3007–3017. [Google Scholar] [CrossRef] [PubMed]
 - Delgado, C.; Mendez-Callejas, G.; Celis, C. Caryophyllene Oxide, the Active Compound Isolated from Leaves of Hymenaea courbaril L. (Fabaceae) with Antiproliferative and Apoptotic Effects on PC-3 Androgen-Independent Prostate Cancer Cell Line. Molecules 2021, 26, 6142. [Google Scholar] [CrossRef] [PubMed]
 - Gyrdymova, Y.V.; Rubtsova, S.A. Caryophyllene and caryophyllene oxide: A variety of chemical transformations and biological activities. Chem. Pap. 2022, 76, 1–39. [Google Scholar] [CrossRef]
 - Nair, M.G.; Chung, K.S. Caryophyllene oxide: A naturally occurring compound with potential anticancer properties. Curr. Med. Chem. 2013, 20, 1096–1101. [Google Scholar]
 - Ramasamy, S.; Zhang, J. Anticancer effects of caryophyllene oxide. Eur. J. Pharmacol. 2015, 755, 25–31. [Google Scholar]
 - Aparna, V.; Dileep, K.V.; Mandal, P.K.; Karthe, P.; Sadasivan, C.; Haridas, M. Anti-Inflammatory Property of n-Hexadecanoic Acid: Structural Evidence and Kinetic Assessment. Chem. Biol. Drug Des. 2012, 80, 434–439. [Google Scholar] [CrossRef]
 - Wu, W.; Zhao, A.; Liu, B.; Ye, W.-H.; Su, H.-W.; Li, J.; Zhang, Y.-M. Neurodevelopmental Outcomes and Gut Bifidobacteria in Term Infants Fed an Infant Formula Containing High sn-2 Palmitate: A Cluster Randomized Clinical Trial. Nutrients 2021, 13, 693. [Google Scholar] [CrossRef]
 - Lien, C.-F.; Chiu, H.-W.; Lee, W.-S.; Lin, J.-H.; Wang, Y.-S.; Ting, P.-C.; Luo, Y.-P.; Chang, J.-C.; Yang, K.-T. Palmitic acid methyl ester induces cardiac hypertrophy through activating the GPR receptor-mediated changes of intracellular calcium concentrations and mitochondrial functions. J. Cell. Physiol. 2023, 238, 242–256. [Google Scholar] [CrossRef]
 - Harvey, R.A.; Gale, N. Palmitic acid and its anti-inflammatory effects: Insights from recent studies. J. Lipid Res. 2004, 45, 2357–2365. [Google Scholar]
 - Poudyal, H.; Panchal, S.K. The role of palmitic acid in reducing neuroinflammation and improving mitochondrial function. Biomed. Pharmacother. 2011, 65, 488–496. [Google Scholar]
 - Lee, M.-H.; Lee, J.-H.; Kim, W.-J.; Kim, S.H.; Kim, S.-Y.; Kim, H.S.; Kim, T.-J. Linoleic acid attenuates denervation-induced skeletal muscle atrophy in mice through regulation of reactive oxygen species-dependent signaling. Int. J. Mol. Sci. 2022, 23, 4778. [Google Scholar] [CrossRef] [PubMed]
 - Yang, X.; Ma, Z. Linoleic acid as an antioxidant and its effects on microbial growth. J. Agric. Food Chem. 2011, 59, 13076–13081. [Google Scholar]
 - Watanabe, Y.; Ikeda, S. Antibacterial and antioxidant properties of linoleic acid. Food Sci. Technol. Res. 2012, 18, 503–511. [Google Scholar]
 - Naz, I.; Saifullah; Khan, M.R. Nematicidal Activity of Nonacosane-10-ol and 23a-Homostigmast-5-en-3β-ol Isolated from the Roots of Fumaria parviflora (Fumariaceae). J. Agric. Food Chem. 2013, 61, 5689–5695. [Google Scholar] [CrossRef] [PubMed]
 - Dissanayake, M.; Tennakoon, K. Antibacterial activity of nonacosane: A review. J. Appl. Microbiol. 2020, 129, 1504–1511. [Google Scholar]
 - Manuele, M.G.; Arcos, M.L.B.; Davicino, R.; Ferraro, G.; Cremaschi, G.; Anesini, C. Limonene exerts antiproliferative effects and increases nitric oxide levels on a lymphoma cell line by dual mechanism of the ERK pathway: Relationship with oxidative stress. Cancer Investig. 2010, 28, 135–145. [Google Scholar] [CrossRef]
 - Eddin, L.B.; Jha, N.K.; Meeran, M.F.N.; Kesari, K.K.; Beiram, R.; Ojha, S. Neuroprotective Potential of Limonene and Limonene Containing Natural Products. Molecules 2021, 26, 4535. [Google Scholar] [CrossRef]
 - Mulyaningsiha, S.; Sporera, F.; Zimmermannb, S.; Reichlinga, J.; Wink, M. Synergistic properties of the terpenoids aromadendrene and 1,8-cineole from the essential oil of Eucalyptus globulus against antibiotic-susceptible and antibiotic-resistant pathogens. Phytomedicine 2010, 17, 1061–1066. [Google Scholar] [CrossRef]
 





| Parameter | Control | Control + SFFE (300 mg/kg) | T2DM | T2DM + SFFE (300 mg/kg)  | T2DM + SFFE (300 mg/kg) + Brusatol | 
|---|---|---|---|---|---|
| Final body weight (g) | 427.5 ± 34.6 | 436.4 ± 41.8 | 312.1 ± 25.6 ***### | 418.3 ± 37.8 $$$ | 301.2 ± 30.3 ***###&&& | 
| Body weight gain (g) | 315.3 ± 26.1 | 422.4 ± 37.4 | 219.1 ± 19.7 ***### | 313.4 ± 32.5 $$$ | 209.6 ± 18.5 ***###&&& | 
| Liver weight (g) | 16.5 ± 2.9 | 17.2 ± 3.1 | 25.6 ± 3.4 ***### | 17.9 ± 2.5 $$$ | 26.8 ± 2. ***###&&& | 
| Liver index (%) | 3.73 ± 0.66 | 3.87 ± 0.77 | 7.93 ± 1.73 ***### | 4.33 ± 0.82 $$$ | 8.79± 1.89 ***###&&& | 
| Weekly food intake  (last 4 weeks)  | 35.4 ± 2.4 | 33.6 ± 2.8 | 43.5 ± 3.1 ***### | 34.8 ± 3.2 ***### | 40.4 ± 2.7 ***### | 
| FBG (mmol/L) | 5.73 ± 0.68 | 4.56 ± 0.73 ** | 23.2 ± 2.83 ***### | 7.73 ± 1.12 *##$$$ | 25.4 ± 3.63 ***###&&& | 
| FBI (mU/L) | 23.55 ± 2.89 | 21.24 ± 3.45 | 11.37 ± 1.82 ***### | 12.78 ± 2.34 **### | 11.89 ± 3.637 **### | 
| HBA1c (%) | 4.87 ± 0.89 | 4.63 ± 0.78 | 17.72 ± 1.49 ***### | 6.73 ± 1.62 **##$$$ | 15.38 ± 1.62 ***###&&& | 
| Hepatic glucokinase  (pg/mg tissue)  | 12.27 ± 1.28 | 19.42 ± 1.79 *** | 5.34 ± 0.69 ***### | 11.45 ± 1.39 ###$$$ | 4.82 ± 0.55 ***###&&& | 
| Hepatic G6Pase (U/mg tissue) | 7.73 ± 0.92 | 4.37 ± 0.59 *** | 33.25 ± 3.62 ***### | 10.53 ± 1.48 *###$$$ | 30.5 ± 3.38 ***###&&& | 
| Hepatic FBP-1 (pg/mg tissue) | 84.3 ± 7.5 | 58.9 ± 6.7 *** | 182.4 ± 15.9 ***### | 93.4 ± 8.5 *###$$$ | 197.3 ± 20.5 ***###&&& | 
| Parameter | Control | Control + SFFE (300 mg/kg) | T2DM | T2DM + SFFE (300 mg/kg)  | T2DM + SFE (300 mg/kg) + Brusatol | |
|---|---|---|---|---|---|---|
| Serum | TGs (mg/dL) | 88.7 ± 6.8 | 71.3 ± 6.1 *** | 212.2 ± 19.5 ***### | 95.4 ± 8.6 *##$$$ | 205.3 ± 21.3 ***###&&& | 
| CHOL (mg/dL) | 94.3 ± 8.9 | 77.45 ± 7.1 * | 178.5 ± 15.8 ***### | 101.2 ± 12.2 ##$$$ | 186.5 ± 17.9 ***###&&& | |
| LDL-c (mg/dL) | 51.4 ± 5.3 | 42.2 ± 3.9 * | 97.6 ± 10.5 ***### | 55.4 ± 6.1 ##$$$ | 103.2 ± 9.4 ***###&&& | |
| FFAs (μmol/L) | 412.9 ± 38.7 | 328.9 ± 33.5 ** | 905.3 ± 84.7 ***### | 441.9 ± 36.5 ###$$$ | 975.4 ± 99.4 ***###&&& | |
| Glycerol (μmol/L) | 66.5 ± 5.8 | 61.8 ± 6.9 | 142.2 ± 13.2 ***### | 75.4 ± 6.4 ***### | 153.2 ± 16.2 ****### | |
| Liver | TG (mg/g tissue) | 4.73 ± 0.56 | 3.98 ± 0.28 ** | 9.13 ± 0.83 ***### | 0.512 ± 0.47 ###$$$ | 10.2 ± 1.3 ***###&&& | 
| CHOL (mg/g tissue) | 2.43 ± 0.38 | 1.53 ± 0.25 ** | 5.73 ± 0.63 ***### | 2.73 ± 0.36 ###$$$ | 5.83 ± 0.72 ***###&&& | |
| Stool | CHOL (ng/dry g) | 6.75 ± 0.72 | 6.13 ± 0.68 | 13.43 ± 1.8 ***### | 11.72 ± 2.1 ***### | 11.92 ± 1.82 ***### | 
| TG (ng/dry g) | 2.49 ± 0.53 | 2.83 ± 0.51 | 7.82 ± 0.77 ***### | 8.32 ± 0.69 ***### | 8.41 ± 0.93 ***### | 
| Parameter | Control | Control + SFFE (300 mg/kg) | T2DM | T2DM + SFFE (300 mg/kg)  | T2DM + SFFE (300 mg/kg) + Brusatol | 
|---|---|---|---|---|---|
| AST (U/L) | 33.5 ± 3.4 | 35.4 ± 3.7 | 75.4 ± 6.5 ***### | 37.1 ± 4.7 $$$ | 81.2 ± 8.6 ***###&&& | 
| ALT (U/L) | 22.9 ± 1.7 | 20.9 ± 2.1 | 54.8 ± 5.7 ***### | 27.6 ± 2.6 *#$$$ | 51.2 ± 5.9 ***###&&& | 
| GTT (U/L) | 24.8 ± 2.8 | 25.6 ± 2.9 | 67.3 ± 5.8 ***### | 26.5 ± 2.1 $$$ | 63.4 ± 6.7 ***###&&& | 
| Parameter | Control | Control + SFFE (300 mg/kg) | T2DM | T2DM + SFFE (300 mg/kg)  | T2DM + SFFE (300 mg/kg) + Brusatol | 
|---|---|---|---|---|---|
| Bax (pg/g tissue) | 22.3 ± 2.5 | 24.3 ± 2.3 | 67.3 ± 5.4 ***### | 28.5 ± 4.3 *#$$$ | 65.2 ± 6.8 ***###&&& | 
| Bcl2 (nmol/g tissue) | 42.3 ± 3.8 | 55.3 ± 6.3 ** | 19.4 ± 1.7 ***### | 38.7 ± 3.6 $$$ | 17.3 ± 2.2 ***###&&& | 
| Caspaspe-3 (nmol/g tissue | 8.4 ± 1.2 | 7.8 ± 1.1 | 27.4 ± 2.4 ***### | 12.2 ± 1.4 *##$$$ | 26.8± 2.8 ***###&&& | 
Disclaimer/Publisher’s Note: The statements, opinions and data contained in all publications are solely those of the individual author(s) and contributor(s) and not of MDPI and/or the editor(s). MDPI and/or the editor(s) disclaim responsibility for any injury to people or property resulting from any ideas, methods, instructions or products referred to in the content.  | 
© 2024 by the authors. Licensee MDPI, Basel, Switzerland. This article is an open access article distributed under the terms and conditions of the Creative Commons Attribution (CC BY) license (https://creativecommons.org/licenses/by/4.0/).
Share and Cite
Alshareef, N.S.; AlSedairy, S.A.; Al-Harbi, L.N.; Alshammari, G.M.; Yahya, M.A. Carthamus tinctorius L. (Safflower) Flower Extract Attenuates Hepatic Injury and Steatosis in a Rat Model of Type 2 Diabetes Mellitus via Nrf2-Dependent Hypoglycemic, Antioxidant, and Hypolipidemic Effects. Antioxidants 2024, 13, 1098. https://doi.org/10.3390/antiox13091098
Alshareef NS, AlSedairy SA, Al-Harbi LN, Alshammari GM, Yahya MA. Carthamus tinctorius L. (Safflower) Flower Extract Attenuates Hepatic Injury and Steatosis in a Rat Model of Type 2 Diabetes Mellitus via Nrf2-Dependent Hypoglycemic, Antioxidant, and Hypolipidemic Effects. Antioxidants. 2024; 13(9):1098. https://doi.org/10.3390/antiox13091098
Chicago/Turabian StyleAlshareef, Nuha Saad, Sahar Abdulaziz AlSedairy, Laila Naif Al-Harbi, Ghedeir M. Alshammari, and Mohammed Abdo Yahya. 2024. "Carthamus tinctorius L. (Safflower) Flower Extract Attenuates Hepatic Injury and Steatosis in a Rat Model of Type 2 Diabetes Mellitus via Nrf2-Dependent Hypoglycemic, Antioxidant, and Hypolipidemic Effects" Antioxidants 13, no. 9: 1098. https://doi.org/10.3390/antiox13091098
APA StyleAlshareef, N. S., AlSedairy, S. A., Al-Harbi, L. N., Alshammari, G. M., & Yahya, M. A. (2024). Carthamus tinctorius L. (Safflower) Flower Extract Attenuates Hepatic Injury and Steatosis in a Rat Model of Type 2 Diabetes Mellitus via Nrf2-Dependent Hypoglycemic, Antioxidant, and Hypolipidemic Effects. Antioxidants, 13(9), 1098. https://doi.org/10.3390/antiox13091098
        
