Sign in to use this feature.

Years

Between: -

Subjects

remove_circle_outline
remove_circle_outline
remove_circle_outline
remove_circle_outline
remove_circle_outline
remove_circle_outline
remove_circle_outline
remove_circle_outline
remove_circle_outline

Journals

remove_circle_outline
remove_circle_outline
remove_circle_outline
remove_circle_outline
remove_circle_outline
remove_circle_outline
remove_circle_outline
remove_circle_outline
remove_circle_outline
remove_circle_outline
remove_circle_outline
remove_circle_outline
remove_circle_outline
remove_circle_outline
remove_circle_outline
remove_circle_outline
remove_circle_outline
remove_circle_outline
remove_circle_outline

Article Types

Countries / Regions

remove_circle_outline
remove_circle_outline
remove_circle_outline
remove_circle_outline
remove_circle_outline
remove_circle_outline

Search Results (2,949)

Search Parameters:
Keywords = NAFLD

Order results
Result details
Results per page
Select all
Export citation of selected articles as:
16 pages, 7279 KB  
Article
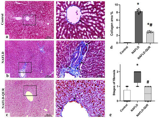
Quercetin Attenuates Non-Alcoholic Fatty Liver Disease in Association with the Inhibition of Hepatic IL-1β/iNOS and IL-1β/CD45 Axes of Inflammation and Fibrosis Accompanied by Reduced Endogenous Metabolites and Apoptosis
by Saif A. Alqahtani, Hanan H. Alshehri, Hend Ashour, Hend Abdallah, Laila Rashed, Rehab M. Badi, Muataz E. D. Mohammed, Bahjat Al-Ani, Norah M. Alzamil, Alia Albawardi and Basma E. Aboulhoda
Metabolites 2026, 16(4), 284; https://doi.org/10.3390/metabo16040284 (registering DOI) - 21 Apr 2026
Abstract
Background: Liver inflammation and fibrosis are directly associated with non-alcoholic fatty liver disease (NAFLD). Dysregulation of the potent pro-inflammatory cytokine interleukin-1 beta (IL-1β), inducible nitric oxide synthase (iNOS), and tissue leukocyte infiltration (CD45 +ve) are connected with multiorgan injury and fibrosis. We investigated [...] Read more.
Background: Liver inflammation and fibrosis are directly associated with non-alcoholic fatty liver disease (NAFLD). Dysregulation of the potent pro-inflammatory cytokine interleukin-1 beta (IL-1β), inducible nitric oxide synthase (iNOS), and tissue leukocyte infiltration (CD45 +ve) are connected with multiorgan injury and fibrosis. We investigated whether the induction of NAFLD can cause dysregulation in the hepatic IL-1β/iNOS and IL-1β/CD45 axes of inflammation and fibrosis, as well as in endogenous metabolites (lipids, glucose, and insulin) and apoptosis, in the presence and absence of the flavonoid quercetin. Methods: The model group of rats was fed with a high-fat and high-carbohydrate diet (HFCD) for 4 weeks. The protective group of rats was given both quercetin (50 mg/kg) and HFCD for 4 weeks. All rats were sacrificed on day 29. Results: NAFLD was induced in rats as demonstrated by dyslipidemia, hyperglycemia, insulin resistance, liver inflammation, and elevation of liver injury enzymes. NAFLD was also associated with the upregulation of hepatic IL-1β, iNOS, CD45, and apoptosis (p53). Biomarkers of fibrosis (TIMP-1 and α-SMA) were also elevated, and fibrosis was confirmed in the model group by increased collagen deposition and elevated stages of fibrosis score (Stage 1 to 2 of Brunt’s NASH classification). All these parameters were significantly (p < 0.01) modulated by quercetin treatment. Additionally, a significant (p < 0.001) correlation between IL-1β and hepatic injury parameters was observed. Conclusions: These findings suggest a potential association between NAFLD and the IL-1β/iNOS and IL-1β/CD45 axes of liver injury and fibrosis, as well as dyslipidemia, glycemia, and apoptosis, with quercetin exhibiting beneficial hepatic pleiotropic effects. Full article
Show Figures

Figure 1

15 pages, 593 KB  
Review
Gypenoside XLIX and Mitochondria-Associated ER Membranes in Non-Alcoholic Fatty Liver Disease: Mechanistic Insights and Emerging Perspectives
by Xinyi Kwan, Muhammad Shahzad Aslam, Huiqing Liang and Shaodong Chen
Molecules 2026, 31(8), 1325; https://doi.org/10.3390/molecules31081325 - 17 Apr 2026
Viewed by 290
Abstract
Gypenoside XLIX is a bioactive saponin with reported diverse biological activities, including antioxidant, regulation of cell growth, immune responses, and metabolic regulatory properties. The increasing global prevalence of non-alcoholic fatty liver disease (NAFLD) underscores the importance of exploring novel therapeutic agents such as [...] Read more.
Gypenoside XLIX is a bioactive saponin with reported diverse biological activities, including antioxidant, regulation of cell growth, immune responses, and metabolic regulatory properties. The increasing global prevalence of non-alcoholic fatty liver disease (NAFLD) underscores the importance of exploring novel therapeutic agents such as Gypenoside XLIX. NAFLD pathogenesis involves lipotoxicity, oxidative stress, and mitochondrial dysfunction, in which mitochondria-associated endoplasmic reticulum membranes (MAMs) play a critical role in organelle communication, calcium signaling, and lipid metabolism. This narrative review summarizes current evidence indicating that Gypenoside XLIX may modulate oxidative stress, restore mitochondrial membrane potential, and regulate calcium homeostasis, thereby indirectly influencing MAM integrity and function. These effects can reduce lipid accumulation, improve hepatocellular metabolism, and attenuate inflammatory responses. This review evaluates the mechanistic impact and function of Gypenoside XLIX on MAM integrity and its effects on NAFLD. However, there is limited direct experimental evidence linking Gypenoside XLIX to MAM regulation, and further studies are required to validate its mechanisms and therapeutic potential in clinical settings. Full article
Show Figures

Figure 1

13 pages, 574 KB  
Article
Towards a Better Understanding of MASLD: Patient Health Literacy, Illness Perception, and Awareness
by Irini Gergianaki, Foteini Anastasiou, Sophia Papadakis, Marilena Anastasaki, Manolis Linardakis, Juan Mendive, Leen JM. Heyens, Ger Koek, Jean Muris and Christos Lionis
Diseases 2026, 14(4), 147; https://doi.org/10.3390/diseases14040147 - 17 Apr 2026
Viewed by 103
Abstract
Objectives: The objective of this study was to investigate metabolic dysfunction-associated steatotic liver disease (MASLD)-related awareness, health literacy (HL), and illness perception among patients at risk of MASLD in European primary care settings. Methods: Participants aged ≥50 years with either obesity, metabolic syndrome [...] Read more.
Objectives: The objective of this study was to investigate metabolic dysfunction-associated steatotic liver disease (MASLD)-related awareness, health literacy (HL), and illness perception among patients at risk of MASLD in European primary care settings. Methods: Participants aged ≥50 years with either obesity, metabolic syndrome (MetS), or type 2 diabetes mellitus (T2DM), and attending general practices (GPs) in Greece, Spain, or The Netherlands were included in the study. The participants completed surveys to collect data on their socio-demographic characteristics and health habits, including the European Health Literacy Survey (HLS-E-Q16), the Brief Illness Perception Questionnaire [B-IPQ], and the Public Awareness of NAFLD Questionnaire. Results: Overall, 234 patients participated in the study (mean age: 66.5 ± 9.5 years; 45.7% were male). Among the participants, 64.5%, 66.2%, and 59.8% had a diagnosis of diabetes, obesity, and MetS, respectively. Almost one-third (27.9%) had never heard about MASLD or discussed MASLD with their GP. Twelve percent (12.1%) had never heard about cirrhosis, and 20.5% were unaware that liver disorders may cause serious health problems. Overall, 43.6% of the patients had a sufficient level of HL (score >13) with a mean score of 11.5 ± 3.3. Illness perception (B-IPQ score) was low at 41.6 ± 11.6. Significantly higher B-IPQ scores were documented for female compared to male respondents (43.1 vs. 39.8; p < 0.01). Multivariate analysis found that knowledge about MASLD was associated with higher HLS-E-Q16 (p = 0.017) and B-IPQ (p = 0.028) scores. Conclusions: Despite being at risk, a significant proportion of the study participants were unaware of MASLD, its risk factors, and their personal susceptibility. This study underscores the importance of enhancing patient HL and promoting prevention and risk reduction, particularly among high-risk patient populations. Full article
(This article belongs to the Section Gastroenterology)
38 pages, 4590 KB  
Review
Gut Microbiota, Diet and Lipid Metabolism in Adolescents with NAFLD and Their Role in Preventive Strategies
by Natalia Kurhaluk, Zbigniew Mazur, Renata Kołodziejska and Halina Tkaczenko
Int. J. Mol. Sci. 2026, 27(8), 3511; https://doi.org/10.3390/ijms27083511 - 14 Apr 2026
Viewed by 459
Abstract
Adolescence is a metabolically vulnerable period, during which rapid physiological maturation coincides with the dynamic remodelling of the gut microbiome. This narrative review summarises evidence from 2015 to 2025 to clarify how disturbances to the gut–liver axis driven by dysbiosis contribute to the [...] Read more.
Adolescence is a metabolically vulnerable period, during which rapid physiological maturation coincides with the dynamic remodelling of the gut microbiome. This narrative review summarises evidence from 2015 to 2025 to clarify how disturbances to the gut–liver axis driven by dysbiosis contribute to the development and progression of non-alcoholic fatty liver disease (NAFLD) in young people. Based on a systematic search of the databases PubMed, Scopus and Web of Science, we outline the basis of bidirectional communication between the gut and liver and emphasise how microbial imbalance alters the handling of lipids in the liver by enhancing de novo lipogenesis, impairing fatty acid oxidation and disrupting AMPK signalling and mitochondrial function. Consistent findings from clinical and experimental studies show that adolescents with NAFLD exhibit reduced microbial diversity, the enrichment of ethanol- and LPS-producing taxa, and altered short-chain fatty acid profiles. Each of these is associated with hepatic inflammation and metabolic reprogramming. Microbial molecules, including LPS, secondary bile acids and branched-chain amino acid metabolites, activate TLR4–NF-κB pathways, promote Kupffer cell activation and intensify oxidative stress. These mechanisms intersect with factors specific to adolescence, such as increased adiposity, hormonal shifts and diet-induced metabolic strain. Dietary patterns emerge as key modulators of these processes. Westernised diets promote dysbiosis and endotoxemia, whereas Mediterranean, fibre-rich and plant-based diets enhance SCFA production, strengthen epithelial integrity and modulate adiponectin-dependent hepatic metabolism. Micronutrient-sensitive epigenetic regulation, particularly that involving folate, choline and polyphenols, also plays a role in shaping lipid homeostasis and inflammatory tone. We also highlight emerging evidence that the activation of cytoprotective pathways, especially Nrf2, is dependent on lifestyle factors and links antioxidant-rich functional foods and physical activity to improved mitochondrial resilience and microbiome stability. We evaluate therapies targeting the microbiome, including probiotics, prebiotics, synbiotics and postbiotics, which reduce endotoxemia, restore microbial balance and complement dietary strategies. Thus, these findings emphasise the importance of age-specific, mechanistically informed interventions that integrate diet quality, microbial ecology, and the molecular pathways that govern metabolic health in adolescents with NAFLD. Full article
(This article belongs to the Section Molecular Endocrinology and Metabolism)
Show Figures

Graphical abstract

27 pages, 1243 KB  
Review
The HepG2 Cell Line as a Model for Studying Metabolic Dysfunction-Associated Steatotic Liver Disease
by Anna Kotlyarova, Aleksandra Iskrina and Stanislav Kotlyarov
Int. J. Mol. Sci. 2026, 27(8), 3399; https://doi.org/10.3390/ijms27083399 - 10 Apr 2026
Viewed by 702
Abstract
Metabolic dysfunction-associated steatotic liver disease (MASLD), formerly known as nonalcoholic fatty liver disease (NAFLD), is the most common chronic liver disease in the world. The disease progresses from steatosis to metabolic dysfunction-associated steatohepatitis (MASH), fibrosis, cirrhosis, and hepatocellular carcinoma. The modern concept of [...] Read more.
Metabolic dysfunction-associated steatotic liver disease (MASLD), formerly known as nonalcoholic fatty liver disease (NAFLD), is the most common chronic liver disease in the world. The disease progresses from steatosis to metabolic dysfunction-associated steatohepatitis (MASH), fibrosis, cirrhosis, and hepatocellular carcinoma. The modern concept of “multiple parallel hits” interprets disease progression as the result of the synergistic action of lipotoxicity, oxidative stress, mitochondrial dysfunction, endoplasmic reticulum stress, proinflammatory signals, and gut–liver axis dysfunction. Against the background of the limited translation of preclinical data from animal models due to interspecies differences, the importance of human-oriented in vitro platforms compatible with controlled design and high-throughput screening is increasing. The current review analyzes MASLD models based on the HepG2 cell line, systematizing steatosis induction protocols, evaluating the metabolic characteristics and limitations of this cell, and comparing 2D monocultures, 3D systems, and co-cultures. HepG2 has been shown to demonstrate a predictable steatogenic response to free fatty acids (FFAs) and is convenient for reproducing early stages of pathogenesis and primary pharmacological selection of compounds. At the same time, key limitations of the model are highlighted, namely tumor origin, glycolytic shift (Warburg effect), reduced β-oxidation, impaired very-low-density lipoprotein (VLDL) assembly and secretion, and sharply reduced cytochrome P450 (CYP450) activity, as well as limited reproducibility of fructose-induced de novo lipogenesis (DNL). Comparative analysis demonstrates an increase in physiological relevance with the transition from 2D to 3D and multicomponent co-cultures, accompanied by increased complexity and cost, but allowing for the modeling of inflammation and fibrogenesis. The review justifies approaches to selecting the appropriate platform based on the specific research task. Full article
(This article belongs to the Special Issue Molecular Insights into Chronic Liver Disease and Liver Failure)
Show Figures

Figure 1

14 pages, 469 KB  
Article
Evidence-Based Management of MASLD: GRADE Evaluation of Pharmacological Therapies
by Eleni A. Karavia, Andreas Pittaras, Ourania Andreopoulou, Aikaterini Hatziri, Amalia Makrydimitri, Dimitrios Anagnostopoulos, Patroklos Vareltzis and Kyriakos E. Kypreos
Pharmaceuticals 2026, 19(4), 605; https://doi.org/10.3390/ph19040605 - 9 Apr 2026
Viewed by 268
Abstract
Background/Objectives: Non-alcoholic fatty liver disease (NAFLD), recently redefined as metabolic dysfunction-associated steatotic liver disease (MASLD), represents a growing global health burden closely linked to obesity, insulin resistance, and dietary patterns. Despite intense drug-development efforts, effective and widely approved pharmacological therapies remain limited. Methods: [...] Read more.
Background/Objectives: Non-alcoholic fatty liver disease (NAFLD), recently redefined as metabolic dysfunction-associated steatotic liver disease (MASLD), represents a growing global health burden closely linked to obesity, insulin resistance, and dietary patterns. Despite intense drug-development efforts, effective and widely approved pharmacological therapies remain limited. Methods: In this work, we systematically evaluated the quality of clinical evidence supporting currently proposed pharmacological treatments for MASLD/MASLD using the Grading of Recommendations Assessment, Development and Evaluation (GRADE) framework, focusing on phase III and IV clinical trials. Results: Our analysis demonstrates that overall quality of evidence for most pharmacological agents ranges from very low to moderate, primarily due to imprecision and suspected publication bias. Conclusions: Overall, our findings reinforce that, in the current therapeutic landscape, pharmacological therapies should be reserved for carefully selected patients and interpreted in the context of limited evidence certainty. Full article
Show Figures

Figure 1

12 pages, 5778 KB  
Article
Sodium Rutin Ameliorates Non-Alcoholic Fatty Liver Disease and Alleviates Insulin Resistance by Promoting Lipophagy
by Xue Zhang, Shuoshuo Li, Ping Zhang, Chenggang Zhang and Zengqiang Yuan
Pharmaceuticals 2026, 19(4), 604; https://doi.org/10.3390/ph19040604 - 9 Apr 2026
Viewed by 346
Abstract
Background/Objectives: Non-alcoholic fatty liver disease (NAFLD) is a prevalent metabolic disorder for which there are limited pharmacotherapies. Sodium rutin (NaR), a soluble flavonoid derivative, has shown beneficial metabolic effects, but its role in NAFLD remains unclear. This study investigates whether NaR ameliorates [...] Read more.
Background/Objectives: Non-alcoholic fatty liver disease (NAFLD) is a prevalent metabolic disorder for which there are limited pharmacotherapies. Sodium rutin (NaR), a soluble flavonoid derivative, has shown beneficial metabolic effects, but its role in NAFLD remains unclear. This study investigates whether NaR ameliorates high-fat diet (HFD)-induced NAFLD and insulin resistance through promoting hepatic lipophagy. Methods: Male mice aged 8 weeks old were fed a HFD for 12 weeks with/without NaR supplementation. Body weight was measured every week. After 12 weeks of treatment, GTT and ITT were performed to assess insulin resistance. Then, the tissues were collected and hepatic histology, serum biochemistry, and markers of autophagy and senescence were assessed. Results: NaR treatment significantly attenuated HFD-induced weight gain, reduced visceral fat and liver weights, and ameliorated hepatic steatosis and vacuolization. NaR improved serum lipid profiles; lowered alanine aminotransferase, aspartate aminotransferase, and alkaline phosphatase levels; and reduced hepatic cellular senescence. NaR enhanced hepatic autophagy, evidenced by decreased p62 levels, increased LC3-II/LC3-I ratio, and enhanced colocalization of lipid droplets with LC3 and LAMP1 in vivo and in vitro. These changes were accompanied by improved glucose tolerance and insulin sensitivity. Conclusions: NaR effectively alleviates HFD-induced NAFLD and insulin resistance by activating hepatic lipophagy. These findings support NaR as a promising multi-targeted therapeutic candidate for NAFLD. Full article
Show Figures

Figure 1

18 pages, 1237 KB  
Article
Knowledge and Determinants of Nonalcoholic Fatty Liver Disease Among Adults in Northern Border Region, Saudi Arabia: A Cross-Sectional Study
by Yusef Muhana Alenezi, Rana Awad S. Alanazi, Danah Ashwi S. AlShalikhi, Rimas Naif A. Alanazi, Aryam Meshal S. Alanazi, Sarah Ahmed S. Alanazi, Renad Abdulrahman O. Alanazi, Noor Awad S. Alanazi, Baraah Abu Alsel, Fathia Ahmed Mersal, Safya E. Esmaeel and Manal S. Fawzy
Diseases 2026, 14(4), 139; https://doi.org/10.3390/diseases14040139 - 9 Apr 2026
Viewed by 347
Abstract
Background/Objectives: Nonalcoholic fatty liver disease (NAFLD), also referred to as metabolic dysfunction-associated steatotic liver disease (MASLD), affects roughly one-quarter of the global population and represents a major public health concern. Despite its rising prevalence and potential for serious complications, NAFLD remains underrecognized and [...] Read more.
Background/Objectives: Nonalcoholic fatty liver disease (NAFLD), also referred to as metabolic dysfunction-associated steatotic liver disease (MASLD), affects roughly one-quarter of the global population and represents a major public health concern. Despite its rising prevalence and potential for serious complications, NAFLD remains underrecognized and poorly understood in many communities. This study aimed to assess knowledge of NAFLD and its determinants among adults in the Northern Border Region of Saudi Arabia. Methods: A descriptive, population-based cross-sectional study was conducted using a previously validated online questionnaire adapted from published NAFLD awareness instruments, administered to adults residing in the Northern Border Region of Saudi Arabia. Data were analyzed using Python (statsmodels, version 0.14), and non-parametric tests, correlation analyses, and multivariable linear regression were used to examine NAFLD knowledge and its associated determinants. Results: A total of 1016 adults (mean age 34.7 ± 11.8 years) were included in the analysis. The mean NAFLD knowledge score was 14.6 ± 8.3 out of 30 (48.7% correct responses), with a median of 16 (interquartile range 8–21). Overall, 59.2% of participants had poor knowledge, 26.8% had moderate knowledge, and 14% had good knowledge. In bivariate analyses, educational level (χ2 = 15.62, p < 0.001), family history of liver disease (p = 0.001), body weight category (p = 0.003), and smoking status (p = 0.007) were significantly associated with NAFLD knowledge. In multivariable linear regression, university education (B = 2.783, 95% CI 0.627–4.940, p = 0.011) was an independent positive predictor of higher knowledge scores. Current smoking (B = −1.857, 95% CI −3.477 to −0.237, p = 0.025), private-sector employment (B = −1.934, 95% CI −3.867 to −0.001, p = 0.050), and overweight status (B = −4.119, 95% CI −7.337 to −0.901, p = 0.012) were independently associated with lower knowledge scores. The final model explained 2.2% of the variance in knowledge (adjusted R2 = 0.022). Conclusions: This study demonstrates generally low levels of NAFLD knowledge among adults in the Northern Border Region of Saudi Arabia, with only a minority achieving good knowledge scores. The findings underscore the need for targeted health promotion initiatives, educational interventions, and public campaigns to improve awareness of NAFLD and to support its prevention and management. Full article
Show Figures

Graphical abstract

29 pages, 1306 KB  
Review
The Interplay Between GLP-1-Based Therapies, the Gut Microbiome, and MASLD/MASH in Type 2 Diabetes Mellitus: A Narrative Review
by Boris Dinkov and Diana Pendicheva-Duhlenska
Biomedicines 2026, 14(4), 806; https://doi.org/10.3390/biomedicines14040806 - 1 Apr 2026
Viewed by 551
Abstract
GLP-1-based drugs are approved for the treatment of type 2 diabetes mellitus (T2DM) and obesity. Metabolic dysfunction-associated steatotic liver disease (MASLD) affects more than 60% of patients with T2DM, and the gut microbiome plays a critical role in its pathogenesis. The gut–liver axis [...] Read more.
GLP-1-based drugs are approved for the treatment of type 2 diabetes mellitus (T2DM) and obesity. Metabolic dysfunction-associated steatotic liver disease (MASLD) affects more than 60% of patients with T2DM, and the gut microbiome plays a critical role in its pathogenesis. The gut–liver axis represents a key mechanistic link between dysbiosis and hepatic steatosis. A narrative literature review was conducted using PubMed, Scopus, and ClinicalTrials.gov (2015–2026). Search terms included “GLP-1 receptor agonist,” “microbiome,” “MASLD,” “MASH,” “NAFLD,” “NASH,” “liraglutide,” “semaglutide,” “tirzepatide,” “dulaglutide,” and “exenatide.” Of 363 identified articles, 330 were excluded due to duplication or non-relevant study design; 33 studies (18 preclinical, 15 clinical) were included. In preclinical models, liraglutide demonstrated normalization of the Firmicutes/Bacteroidetes ratio and increased Bifidobacterium and Lactobacillus spp., while tirzepatide significantly reduced hepatic steatosis and increased Akkermansia abundance in diabetic mice. Semaglutide improved gut barrier integrity, increased Alloprevotella and Alistipes, and ameliorated MASLD in murine models. In clinical studies, tirzepatide achieved MASH resolution in 44–62% of patients in the phase 2 SYNERGY-NASH trial. In August 2025, the FDA approved semaglutide for MASH with fibrosis based on the Phase 3 ESSENCE trial. A recent longitudinal study in T2DM patients showed that baseline microbiome composition predicted glycemic response to semaglutide, without significant changes in microbiome diversity. In conclusion, GLP-1-based therapies demonstrate consistent preclinical associations with gut microbiome modulation and reduction in hepatic steatosis. Baseline microbiome composition has been suggested as a potential predictor of treatment response, supporting a personalized approach to MASLD management and warranting future clinical studies. Full article
(This article belongs to the Section Endocrinology and Metabolism Research)
Show Figures

Figure 1

18 pages, 2475 KB  
Article
Reproducibility and Sex Differences in a STZ–High-Fat Diet Model of MASLD and Early Hepatocarcinogenesis
by Marleigh Hefner, Raksa Andalib Hia, Tiffany Nguyen, Masoud Nateqi, Nikhil V. Dhurandhar and Vijay Hegde
Int. J. Mol. Sci. 2026, 27(7), 3200; https://doi.org/10.3390/ijms27073200 - 1 Apr 2026
Viewed by 634
Abstract
Primary liver cancer, particularly hepatocellular carcinoma (HCC), remains a major global health burden, ranking as the fifth most common cancer and the third leading cause of cancer-related mortality worldwide. The rising incidence of HCC is closely linked to metabolic comorbidities, including non-alcoholic fatty [...] Read more.
Primary liver cancer, particularly hepatocellular carcinoma (HCC), remains a major global health burden, ranking as the fifth most common cancer and the third leading cause of cancer-related mortality worldwide. The rising incidence of HCC is closely linked to metabolic comorbidities, including non-alcoholic fatty liver disease (NAFLD), underscoring the need for improved diagnostic and therapeutic strategies. NAFLD can progress to metabolic dysfunction-associated steatohepatitis (MASH), characterized by inflammation and fibrosis, which markedly increases HCC risk, especially in individuals with obesity and type 2 diabetes (T2D). NAFLD has recently been redefined as metabolic dysfunction-associated steatotic liver disease (MASLD) to better reflect its metabolic basis. However, robust experimental models to study the progression from MASLD to MASH and ultimately HCC remain limited. This proof-of-concept study investigates sex-specific effects of metabolic dysregulation using the STAM (STelic Animal Model; streptozotocin and high-fat diet) mouse model, which recapitulates key features of human MASH and HCC. Neonatal C57BL/6J mice received streptozotocin to induce T2D-like symptoms followed by a high-fat diet. Streptozotocin (STZ) treated mice showed reduced body fat, lower insulin levels, impaired glucose tolerance, and increased expression of genes linked to inflammation, lipid metabolism, and apoptosis. These findings support the STAM model’s utility for MASLD research and highlight the importance of sex-specific strategies to limit HCC progression. Full article
(This article belongs to the Special Issue Molecular Insights into Chronic Liver Disease and Liver Failure)
Show Figures

Figure 1

30 pages, 11072 KB  
Article
Pepper Leaf Extracts Alleviate HFD-Induced Metabolic Disorders via Microbiota-Driven Intestinal Barrier Repair and Bile Acid Reprogramming
by Ning Xu, Suxia Shen, Zhaotian Yang, Lin Zeng, Haifeng Zhang, Xiaojun Liao and Yan Zhang
Nutrients 2026, 18(7), 1105; https://doi.org/10.3390/nu18071105 - 30 Mar 2026
Viewed by 679
Abstract
Background: Obesity and its related metabolic complications, including non-alcoholic fatty liver disease (NAFLD) and insulin resistance, constitute an escalating global public health challenge, with high-fat diet (HFD) exposure recognized as a primary etiological driver. This study aimed to systematically evaluate the therapeutic [...] Read more.
Background: Obesity and its related metabolic complications, including non-alcoholic fatty liver disease (NAFLD) and insulin resistance, constitute an escalating global public health challenge, with high-fat diet (HFD) exposure recognized as a primary etiological driver. This study aimed to systematically evaluate the therapeutic effects of pepper leaf extracts (PLE), spinach extracts (SE), and obeticholic acid (OCA) on HFD-induced metabolic dysfunction in mice. Methods: Integrated phenotypic, histopathological, gut microbial, bile acid, and metabolomic analyses were applied to evaluate the intervention effects. Results: Our results demonstrated that 16-week dietary intervention with PLE, SE, or OCA all effectively mitigated HFD-induced obesity, pathological adipose remodeling, hepatic steatosis, systemic insulin resistance, and intestinal barrier dysfunction. Mechanistically, PLE effectively restored intestinal barrier integrity and reshaped the dysbiotic gut microbiota, with a marked enrichment of beneficial bacterial taxa closely linked to intestinal barrier maintenance, and normalized the disrupted cecal bile acid profile in HFD-fed mice. Furthermore, untargeted metabolomic analysis revealed that PLE reprogrammed disordered systemic metabolism, with significant modulation of key pathways involved in bile acid homeostasis, amino acid metabolism, and energy metabolism. Conclusions: In summary, this study provides evidence that PLE effectively attenuates HFD-induced metabolic disorders through modulation of the gut microbiota–bile acid–metabolome axis and restoration of intestinal barrier integrity. The superior therapeutic efficacy of PLE compared with SE and OCA, coupled with its favorable safety profile, positions PLE as a promising novel natural candidate for the prevention and treatment of obesity and its associated metabolic complications. Full article
(This article belongs to the Section Phytochemicals and Human Health)
Show Figures

Figure 1

18 pages, 1249 KB  
Article
Effects of Passiflora edulis Leaf Extract on Lipid Accumulation in HepG2 Cells: In Vitro Evidence and Molecular Docking Analysis Involving PPARα and SREBP-1
by Johanny Aguillón Osma, John Sebastián León Villarreal and Nelsy Loango Chamorro
Int. J. Mol. Sci. 2026, 27(7), 3003; https://doi.org/10.3390/ijms27073003 - 26 Mar 2026
Viewed by 396
Abstract
Non-alcoholic fatty liver disease (NAFLD) is characterized by excessive hepatic lipid accumulation and represents a major global health concern. Passiflora edulis contains numerous phytochemicals associated with diverse biological activities, including hepatoprotective and hypolipidemic effects. This study evaluated the effects of the ethanolic extract [...] Read more.
Non-alcoholic fatty liver disease (NAFLD) is characterized by excessive hepatic lipid accumulation and represents a major global health concern. Passiflora edulis contains numerous phytochemicals associated with diverse biological activities, including hepatoprotective and hypolipidemic effects. This study evaluated the effects of the ethanolic extract of P. edulis leaves on lipid accumulation in a cellular model of NAFLD, as well as its potential effect on transcriptional factors involved in lipid metabolism. HepG2 cells were exposed to steatogenic conditions and treated with the extract at non-cytotoxic concentrations, quantifying intracellular and extracellular triglycerides and cholesterol levels. Additionally, molecular docking analyses were performed to evaluate the interaction of reported P. edulis phytochemicals with PPARα and SREBP-1. The results revealed a significant reduction in intracellular lipid content compared to untreated cells, while molecular docking predicted favorable binding interactions between the bioactive compounds in the extract, with higher predicted affinity for PPARα (agonist-like interaction) than for SREBP-1c (antagonist-like interaction). These findings suggest that compounds from P. edulis leaves reduce lipid accumulation in liver cells and provide preliminary evidence supporting possible interactions with lipid-regulating transcription factors. Full article
(This article belongs to the Special Issue Pharmacological Effects of Bioactive Compounds Derived from Plants)
Show Figures

Graphical abstract

59 pages, 3154 KB  
Review
Osteocalcin Beyond Bone: Molecular Mechanisms, Endocrine Networks, and Translational Perspectives Across Metabolism, Neurobiology, and Chronic Disease
by Wiktor Derwich, Karolina Feć, Aleksander Gawda, Kamil Kopa, Jan Kopeć, Igor Nowak, Natalia Seńcio, Abdur Rauf, Zubair Ahmad, Alicja Świątek-Pawelczak and Dorota Formanowicz
Int. J. Mol. Sci. 2026, 27(7), 2992; https://doi.org/10.3390/ijms27072992 - 25 Mar 2026
Viewed by 650
Abstract
Osteocalcin (OCN) is increasingly recognized as a multifunctional hormone whose actions extend far beyond its traditional role as a marker of bone turnover. This review provides an integrated examination of the molecular, endocrine, and translational dimensions of osteocalcin biology, with emphasis on its [...] Read more.
Osteocalcin (OCN) is increasingly recognized as a multifunctional hormone whose actions extend far beyond its traditional role as a marker of bone turnover. This review provides an integrated examination of the molecular, endocrine, and translational dimensions of osteocalcin biology, with emphasis on its bioactive undercarboxylated form (ucOCN), which links skeletal remodeling to systemic physiological processes. The structural determinants, biosynthetic pathways, and vitamin K-dependent carboxylation mechanisms underlying OCN isoform diversity are summarized, together with analytical limitations arising from assay variability and differences between N-MID and ucOCN-specific measurements. Mechanistic evidence demonstrates that ucOCN signals through GPRC6A and GPR158 to modulate insulin secretion, muscle glucose uptake, adipokine production, testosterone synthesis, neurocognitive function, hepatic lipid metabolism, and acute stress response. These receptor-level pathways position osteocalcin as a central regulator at the intersection of bone metabolism and whole-body homeostasis. The review synthesizes data across major clinical contexts, including metabolic syndrome, type 2 diabetes (T2DM), non-alcoholic fatty liver disease (NAFLD), chronic kidney disease–mineral and bone disorder (CKD-MBD), cardiovascular dysfunction, and neurodegeneration, highlighting the modifying influence of vitamin K status, circadian rhythms, renal clearance, and local tissue microenvironments. The need for biomarker standardization, methodological harmonization, and receptor-targeted translational strategies is emphasized, alongside emerging therapeutic concepts involving vitamin K supplementation and exercise-induced activation of OCN. Collectively, the evidence reframes osteocalcin as a versatile endocrine mediator at the interface of bone physiology, systemic metabolic regulation, and disease mechanisms. Full article
Show Figures

Graphical abstract

15 pages, 490 KB  
Review
Structured Exercise Interventions and Hepatic–Metabolic Outcomes in Adults with MASLD: A Narrative Review of Randomized Controlled Trials
by Tuva Marie Lindstad, Shirin Pourteymour, Sindre Lee-Ødegård, Christian André Drevon and Frode Amador Norheim
Int. J. Mol. Sci. 2026, 27(7), 2941; https://doi.org/10.3390/ijms27072941 - 24 Mar 2026
Viewed by 596
Abstract
Metabolic dysfunction-associated steatotic liver disease (MASLD, introduced in 2023), formerly termed non-alcoholic fatty liver disease (NAFLD), is a leading cause of chronic liver disease worldwide and is closely linked to obesity, insulin resistance, and cardiometabolic dysfunction. Exercise is widely recommended as a cornerstone [...] Read more.
Metabolic dysfunction-associated steatotic liver disease (MASLD, introduced in 2023), formerly termed non-alcoholic fatty liver disease (NAFLD), is a leading cause of chronic liver disease worldwide and is closely linked to obesity, insulin resistance, and cardiometabolic dysfunction. Exercise is widely recommended as a cornerstone of MASLD management; however, the magnitude of its hepatic and metabolic benefits and the underlying molecular mechanisms remain incompletely defined. We aim to synthesize evidence from randomized controlled trials assessing how structured exercise interventions influence hepatic steatosis and metabolic dysfunction in adults with MASLD. A targeted search of PubMed from database inception to February 2025 identified eligible trials, of which eleven were included in the qualitative synthesis. Across studies, aerobic and resistance exercise interventions were consistently associated with reductions in hepatic fat content, improvements in plasma lipid profiles and liver enzyme concentrations, and enhanced indices of insulin sensitivity, frequently occurring independently of substantial weight loss. Mechanistically, exercise-induced activation of pathways related to mitochondrial function, lipid oxidation, inflammation modulation, and insulin signaling likely contributes to these benefits. Despite heterogeneity in intervention design, duration, and outcome assessment, the collective evidence supports structured exercise as an effective non-pharmacological strategy for improving hepatic steatosis and metabolic dysfunction in MASLD. Future studies integrating molecular biomarkers with clinical endpoints are warranted to refine exercise prescriptions and elucidate mechanisms of therapeutic response. Full article
Show Figures

Graphical abstract

15 pages, 1557 KB  
Article
Tea Polysaccharides Ameliorates Non-Alcoholic Fatty Liver Disease in Mice via Regulating Macrophages Polarization by Gut Microbial Metabolites
by Daixin Liu, Ang Li and Ping Li
Curr. Issues Mol. Biol. 2026, 48(3), 338; https://doi.org/10.3390/cimb48030338 - 23 Mar 2026
Viewed by 421
Abstract
Non-alcoholic fatty liver disease (NAFLD) is the most common chronic liver disease and a global public health concern, for which there is currently no effective method to inhibit its progression. The pathogenesis of NAFLD is related to hepatic lipid metabolism disorders and liver [...] Read more.
Non-alcoholic fatty liver disease (NAFLD) is the most common chronic liver disease and a global public health concern, for which there is currently no effective method to inhibit its progression. The pathogenesis of NAFLD is related to hepatic lipid metabolism disorders and liver inflammation. Previous studies have shown that tea polysaccharides (TPS) have the ability to regulate lipid metabolism and control inflammation. This study aimed to observe the effect of TPS on ameliorating NAFLD in a mouse model and to reveal its underlying mechanisms. In the current study, male C57BL/6J mice were fed a high-fat diet and administered 100 mg/kg TPS daily by gavage for 14 weeks. Then, liver injury indicators and macrophage polarization markers were detected. The results revealed that TPS could significantly ameliorate the progression of NAFLD and decrease liver injury indicators. Moreover, we found that treatment of NAFLD model mice with TPS could skew liver macrophages polarization from M1 to M2 type, which inhibited pro-inflammatory cytokines production and liver inflammation. Mechanistically, TPS cannot directly regulate the polarization of liver macrophages, but instead promotes the production of butyric acid by gut microbiota, which in turn regulates macrophage polarization. These findings suggest that TPS ameliorates NAFLD-associated inflammation by modulating the gut–liver axis and promoting M2 macrophage polarization, laying the foundation for the potential of TPS in the development of health foods for NAFLD. Full article
(This article belongs to the Section Bioorganic Chemistry and Medicinal Chemistry)
Show Figures

Figure 1

Back to TopTop