Abstract
Oxidative stress is one of the main factors affecting animal health and reducing performance. The small intestine is the primary site of free-radical attacks. Dihydromyricetin (DHM) is a flavonoid compound with antioxidant, anti-inflammatory, and other biological activities, which is mainly extracted from Rattan tea. However, the effects of DHM on the intestinal antioxidant function of growing-finishing pigs and related mechanisms remain unclear. The aim of this study was to investigate the effect of dietary DHM supplementation on the intestinal antioxidant capacity of growing-finishing pigs and its mechanism. Our results show that dietary 0.03% DHM increased the activities of the total antioxidant capacity (T-AOC), catalase (CAT), and glutathione peroxidase (GSH-Px), decreased malondialdehyde (MDA) level, and upregulated protein expressions of HO-1, NQO1, nuclear Nrf2, and phospho-ERK (p-ERK) in the jejunum of growing-finishing pigs. Again, we found that 20 μmol/mL and 40 μmol/mL DHM treatment significantly upregulated the protein expression of HO-1 and promoted the nuclear translocation of Nrf2 and ERK phosphorylation in IPCE-J2 cells. ERK inhibitor PD98059 eliminated the DHM-induced upregulation of p-ERK, nuclear Nrf2, and HO-1. Our findings provided the first evidence that DHM enhanced the intestinal antioxidant capacity of growing-finishing pigs by activating the ERK/Nrf2/HO-1 signaling pathway.
1. Introduction
Oxidative stress is common in intensive pig production. Oxidative stress is defined as the result of an imbalance in reactive oxygen species (ROS) production and elimination in organisms [1]. ROS in small amounts are important intercellular signal transducers. However, when ROS production is excessive or the body’s antioxidant capacity is reduced, the excessive ROS cannot be removed in time, resulting in cellular structural damage. Under the modern breeding mode, pigs are subjected to a series of adverse stimuli from birth to market, such as environmental changes, heat stress, feed contamination, and pathogen invasion [2]. These factors can induce the body to produce excessive free radicals, causing oxidative damage in pigs.
The intestinal tract is not only the main site of nutrient digestion and absorption [3] but also the main organ attacked by free radicals [2]. Animal gastrointestinal mucosa is more vulnerable to oxidative damage due to its direct contact with ingested substances. The attack of free radicals on the intestinal tract can destroy the intestinal structure, resulting in a decrease in digestion and absorption ability, which, in turn, affects a pig’s production. ROS play an important role in oxidative stress-induced gastrointestinal mucosal injury [4]. ROS act on the target cell membrane, causing lipid peroxidation, cell membrane disintegration, and endothelial cell injury [5]. In addition, ROS can also lead to the release of pro-inflammatory factors, and the accumulation of pro-inflammatory factors can further promote the production of ROS and lead to intestinal tissue damage [6,7]. Oxidative stress not only affects gut health but also reduces productivity. Studies have found that lipid peroxidation in feed, such as soybean oil, can cause intestinal oxidative stress and reduce feed conversion rate and average daily gain [8]. Therefore, the intestinal antioxidant function is closely related to pig production. How to alleviate intestinal oxidative stress has become one of the main concerns of the pig industry.
Numerous studies have shown that some natural plant extracts have strong antioxidant activity and are a good choice for relieving oxidative stress in pigs [9,10,11,12]. Dihydromyricetin (DHM) is a flavonoid compound with antioxidant, anti-inflammatory, and other biological activities, which is mainly extracted from Rattan tea [13,14]. Numerous studies have shown that Rattan tea extract can promote animals’ production and improve body health [15,16]. The previous study of our group found that dietary DHM can enhance the activities of antioxidant enzymes in the muscle, serum, and liver of growing-finishing pigs [14] and mice [17]. However, the effects of DHM on the intestinal antioxidant capacity of growing-finishing pigs and related mechanisms remain unclear.
Nrf2 is the upstream activator of Heme oxygenase 1 (HO-1) [18]. Previous studies have shown that Nrf2 plays an important role in protecting against tissue and cell damage caused by oxidative stress. HO-1 is a phase II detoxifying enzyme, which plays an important role in maintaining the redox state and inhibiting inflammation [19,20]. MAPKs are the downstream effects of antioxidant responses [21,22]. The subfamilies of MAPKs include extracellular signal-regulated protein kinase (ERK), c-Jun N-terminal kinase (JNK), and p38 MAPK [23]. ERK2 can promote Nrf2 nuclear transfer and initiate antioxidant gene transcription [24]. Here, we explored the effects of DHM on the intestinal antioxidant capacity of growing-finishing pigs and its underlying molecular mechanism.
2. Materials and Methods
All animal procedures were approved by the Animal Care Advisory Committee of Sichuan Agricultural University and carried out using the Guidelines for Experimental Animal Care of Sichuan Agricultural University under permit No. YYS200528.
2.1. Animals and Experiment Design
Twenty-four crossbred (Duroc × Landrace × Yorkshire) barrows with an average body weight of 26.95 ± 0.26 kg were randomly divided into the control group (basal diet), 0.01, 0.03, and 0.05% DHM supplementation groups (n = 6). DHM was obtained from the Natural Field Biotechnology Co., Ltd. (Xi’an, China). The purity of DHM used in the pigs was ≥98%, and the purity of DHM used in the IPEC-J2 cells was ≥99.69%. The basal diet was formulated based on the NRC (2012) recommended nutrient requirements of 25–65 kg for 65 slaughter pigs. The dietary formula used is detailed in our previously published paper [14], and the nutrient level is a calculated value. DHM was added as follows. First, a small amount of limestone was premixed with DHM, and the amount of limestone was gradually increased until all limestone and DHM were mixed. Then, the soybean meal was added in the same way and then mixed with other feed ingredients to make the final diet. The feeding method was artificial feeding alone, and the feed was a powdered feed. All pigs were fed in independent cages (same size) and housed in a room. The experiment lasted for 15 weeks. All pigs were fed 3 times a day with free access to water. Feed intake was accurately recorded.
2.2. Sample Collection
At the end of the experiment, all the pigs were slaughtered by electronarcosis and exsanguination in a humane manner. Then, jejunum tissues and mucous membranes located in the same position were isolated and stored at −80 °C until analysis.
2.3. Cell Culture
The IPEC-J2 cell line was cultured in DMEM/F12 (Invitrogen, Carlsbad, CA, USA) supplemented with 10% fetal bovine serum (FBS, Gibco, Paisley, UK), 100 U/mL penicillin, and 100 mg/L streptomycin (Gibco) at 37 °C in a 5% carbon dioxide incubator. Cells were treated with different concentration of DHM for 36 h when the cells reached about 80% confluence. An ERK inhibitor PD98059 and cell nuclear protein extraction kit were purchased from Beyotime Biotechnology (Shanghai, China). DHM was purchased from Nature Field Biotechnology Co., Ltd. (Xi’an, China).
2.4. Western Blotting
Western blotting analysis was performed as previously described [25]. The total protein of jejunum mucosa was extracted with an RIPA lysis buffer (Beyotime, Shanghai, China) according to the instructions of the manufacturer. The protein concentration in jejunum mucosa was determined using a BCA protein assay kit (Pierce, Rockford, IL, USA) with a Nano-Drop ND 2000c Spectrophotometer. Proteins were isolated by gel electrophoresis and transferred to a PVDF membrane (Millipore, Eschborn, Germany) using a wet Trans-Blot system (Bio-Rad, Hercules, CA, USA). The PVDF membrane was sealed with 5% bovine serum albumin (Beyotime) at room temperature for 2 h and incubated overnight at 4 °C with the following primary antibodies: HO-1 (Proteintech, Chicago, USA, Cat. No. 66743-1-Ig), Nrf2 (Proteintech, Cat. No. 66504-1-Ig), NQO1 (Proteintech, Cat. No. 67240-1-Ig), ERK (Proteintech, Cat. No. 16443-1-AP), phospho-ERK (p-ERK) (Proteintech, Cat. No. 28733-1-AP), Histone (Beyotime, AF0009), and β-actin (Trans, Beijing, China, Cat. No. HC201) antibodies. The PVDF membrane was cleaned three times with TBST for 10 min each, incubated with the corresponding secondary antibody at room temperature for 2 h, and cleaned with TBST three times for 10 min each time. BeyoECL Plus (Beyotime) and the ChemiDoc XRS imaging system (Bio-Rad, California, USA) were used to collect protein signals, and Image Lab (Bio-Rad) was used to analyze protein expression.
2.5. Enzyme Activity and Malondialdehyde Content
The tissue homogenates were prepared as described above [26]. Approximately 0.1 g of the jejunum mucosa sample was homogenized in 0.9% saline and then centrifuged at 2500 r/min for 15 min at 4 °C. The supernatant was collected to determine antioxidant enzyme activities and MDA content. The activities of total antioxidant capacity (T-AOC), glutathione peroxidase (GSH-Px), total superoxide dismutase (T-SOD), catalase (CAT), and the content of malondialdehyde (MDA) in the jejunum mucosa were examined by commercial kits (Nanjing Jiancheng Bioengineering Institute, Nanjing, China) according to the manufacturer’s instructions. The total protein of the homogenate was measured by the Coomassie blue staining method using an assay kit purchased from the Nanjing Jiancheng Bioengineering Institute (Nanjing, China).
2.6. Statistical Analysis
Data were analyzed using the SPSS 27.0 statistics software (SPSS 27.0, Chicago, IL, USA) and expressed as mean ± standard error (SE). After checking for normal distribution and homogeneity of variance, the data were analyzed using a one-way analysis of variance (ANOVA) procedure, followed by Duncan’s multiple range test. p < 0.05 was considered statistically significant.
3. Results
3.1. Antioxidant Indicators in Jejunum Mucosa
The effect of DHM supplementation on the antioxidant indicators is presented in Table 1. Dietary DHM supplementation increased jejunum mucosa T-AOC and CAT activities (p < 0.05). Dietary supplementation with 0.01% DHM increased T-SOD activity (p < 0.05). Dietary supplementation with 0.03% DHM increased GSH-Px activity (p < 0.05). In addition, dietary supplementation with 0.03% DHM decreased MDA content (p < 0.05).
Table 1.
Effects of dietary DHM supplementation on antioxidant indicators in jejunum mucosal of growing-finishing pigs.
3.2. Antioxidant-Related Protein Expression in Jejunum Mucosa
To explore the mechanism of DHM enhancing antioxidant capacity, we further examined the expression of an antioxidant-related protein. We focused on the Nrf2/HO-1 signaling pathway. As shown in Figure 1, dietary supplementation with 0.03% and 0.05% DHM significantly upregulated the protein expression of NQO1, HO-1, and nuclear Nrf2 in jejunum mucosa (p < 0.05).

Figure 1.
Effects of dietary DHM supplementation on antioxidant protein expression in the jejunum mucosa of growing-finishing pigs. (A) The protein level of NQO1. (B) The protein level of HO-1. (C) The protein levels of nuclear Nrf2. Data are expressed as the mean ± SE. Values with different superscript letters are significantly different (p < 0.05).
3.3. Antioxidant-Related Protein Expression in IPEC-J2 Cells
As shown in Figure 2, after in vitro experiments, different concentrations (10, 20, 40 μmol/mL) of DHM significantly upregulated HO-1 protein expression and promoted Nrf2 nuclear translocation (p < 0.05). However, compared with the control group, DHM treatment had no significant effect on NQO1 protein expression (p > 0.05).
Figure 2.
Effect of DHM on the protein expression of HO-1, NQO1, and nuclear Nrf2 in IPEC-J2 cells. IPEC-J2 cells were treated with DHM (0, 10, 20, 40 μmol/mL) for 36 h. (A) The protein levels of HO-1 and NQO1. (B) The protein level of nuclear Nrf2. Data are expressed as the mean ± SE. Values with different superscript letters are significantly different (p < 0.05).
3.4. ERK Phosphorylation in Jejunum Mucosa and IPEC-J2 Cells
ERK is one of the upstream activators of Nrf2. We determined the p-ERK protein level. The results showed that DHM significantly increased the protein level of p-ERK in jejunum mucosa and IPEC-J2 cells (Figure 3) (p < 0.05).
Figure 3.
Effect of DHM on the protein expression of p-ERK. (A) The protein level of p-ERK in jejunum mucosa of growing-finishing pigs. (B) The protein level of p-ERK in IPEC-J2 cells. The protein expression of p-ERK was normalized to ERK. Data are expressed as the mean ± SE. Values with different superscript letters are significantly different (p < 0.05).
3.5. DHM Activates the Nrf2/HO-1 Signaling Pathway by Activating the ERK Pathway
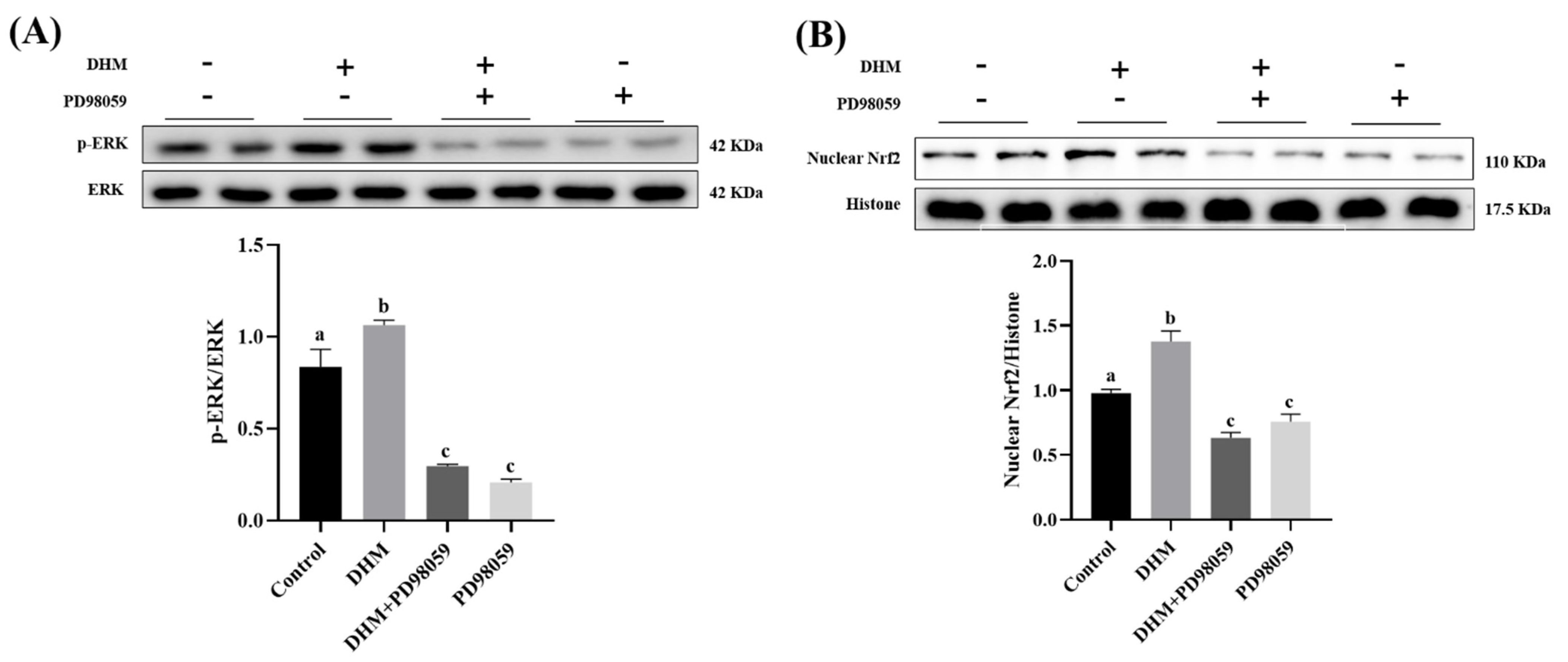
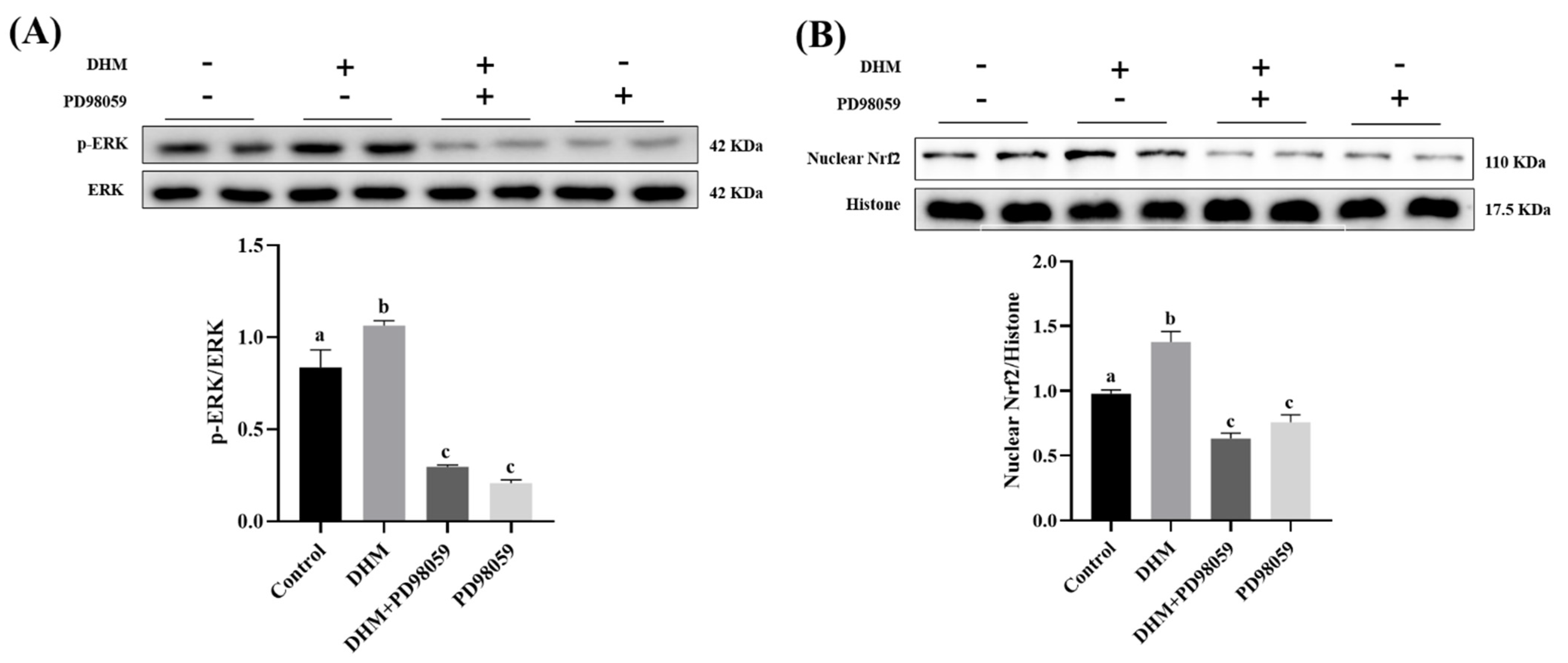
To determine whether the ERK signaling pathway is involved in Nrf2 activation, the PD98059, a specific inhibitor of ERK, was used to inhibit the ERK signaling pathway in IPEC-J2 cells. Our results showed that treatment with 20 μmol/mL DHM significantly upregulated the protein expressions of p-ERK, nuclear Nrf2, and HO-1, which were eliminated by the PD98059 (Figure 4) (p < 0.05).

Figure 4.
Effect of ERK inhibitor PD98059 on antioxidant-related protein expressions in IPEC-J2 cells. The IPEC-J2 cells were treated with DHM (20 μmol/mL) and PD98059 (10 μmol/mL) for 36 h. (A) The protein level of p-ERK. (B) The protein level of nuclear Nrf2. (C) The protein level of HO-1. Data are expressed as the mean ± SE. Values with different superscript letters are significantly different (p < 0.05).
4. Discussion
The maintenance of intestinal health depends on the structural and functional integrity of intestinal epithelial cells [27]. Previous studies have shown that oxidative stress can lead to impaired intestinal barrier function [28,29]. Many environmental factors in pig production can induce oxidative stress in pigs, including stocking density, fighting, piggery hygiene, heat and cold stress, transportation stress, and E. coli infection [2]. These factors can affect the digestion and absorption of nutrients and cause oxidative stress in pigs [30,31]. Studies have shown that high-density feeding can destroy the antioxidant balance state of pigs and cause oxidative damage [32,33]. Therefore, the dietary supplementation of antioxidants to relieve oxidative stress is of great significance for animal production. Song et al. showed that L-cysteine could effectively reduce LPS-induced oxidative stress and intestinal inflammatory response in weaned piglets [29]. Silva-Guillen et al. found that dietary vitamin E supplementation could significantly enhance the total antioxidant capacity of weaned piglets [34]. Van et al. found that complex non-enzymatic antioxidants (vitamins A, C, and E, quercetin, organic Se, and GSH) could significantly reduce the oxidative stress induced by DON in piglets [35]. DHM has a variety of biological activities, including antioxidant, anti-inflammatory, antibacterial, etc. [14]. However, there are few studies on DHM in pigs. In this study, we investigated the effect of DHM on antioxidant capacity and the underlying molecular mechanisms in the jejunum mucosa of growing-finishing pigs and IPEC-J2 cells.
T-SOD is one of the important antioxidant enzymes in the body, which is mainly distributed in the cytoplasm and mitochondria. T-SOD plays an important role in maintaining low superoxide anion levels. GSH-Px plays an important role in preventing oxidative stress [36]. CAT protects cells from H2O2 toxicity by participating in a biodefense system [37]. Hua et al. showed that DHM improved endothelial dysfunction in diabetic mice via oxidative stress inhibition in a SIRT3-dependent manner [38]. Zhang et al. showed that DHM protected HUVECs from oxidative damage induced by sodium nitroprusside by activating the PI3K/Akt/FoxO3a signaling pathway [39]. Guo et al. found that DHM could significantly increase the antioxidant function of muscle in growing-finishing pigs [14]. Our results showed that dietary 0.03% DHM supplementation significantly increased the activities of T-AOC, CAT, and GSH-Px but reduced the MDA content in the jejunum of growing-finishing pigs. Our results are consistent with those of previous studies on pigs and rats.
Normally, Nrf2 binds to Keap-1, at which point Nrf2 is inactive. Upon oxidative stress, Nrf2 dissociates from Keap-1 and is transferred into the nucleus to promote the expression of HO-1 [40], NQO1 [41], and other antioxidant enzymes such as T-SOD [42], GSH-Px [43], and CAT [44], thus enhancing cellular defense against oxidative stress [45,46]. Previous studies showed that dietary DHM supplementation upregulated the protein expression of HO-1 and promoted Nrf2 nuclear translocation in muscle [14]. Here, our results showed that 0.03% and 0.05% DHM supplementation significantly upregulated HO-1 protein expression and promoted Nrf2 nuclear translocation in the jejunum mucosa. In IPEC-J2 cells, we also found that DHM treatment significantly upregulated HO-1 protein expression and promoted Nrf2 nuclear shift.
Previous studies have shown that various signaling pathways, such as PI3K/Akt and ERK, are involved in activating the Nrf2/HO-1 pathway [47,48]. Luo et al. found that DHM can promote the nuclear translocation of Nrf2 and HO-1 protein expression by activating the PI3K/Akt and ERK signaling pathways located in the human umbilical vein endothelial cells (HUVEC) [49]. In this study, we explored the effects of DHM on ERK phosphorylation in the jejunum mucosa of growing-finishing pigs. The results showed that DHM supplementation significantly increased the p-ERK protein level in jejunum mucosa. In IPEC-J2, we found that 20 μmol/mL and 40 μmol/mL DHM treatment significantly upregulated the protein expression of HO-1 and p-ERK and promoted the nuclear translocation of Nrf2. PD98059 is a specific inhibitor of ERK. Our results showed that PD98059 blocked ERK phosphorylation. In addition, HO-1 protein expression was significantly down-regulated, and Nrf2 nuclear translocation was inhibited when the ERK signaling pathway was blocked. This is consistent with the results of previous studies.
5. Conclusions
In conclusion, our findings provided the first evidence that DHM enhanced the intestinal antioxidant capacity of growing-finishing pigs by activating the ERK/Nrf2/HO-1 signaling pathway.
Author Contributions
C.W.: Investigation, Data acquisition, Formal analysis, Writing—original draft. X.C.: Conceptualization, Methodology, Project administration, Supervision. D.C.: Methodology. B.Y.: Methodology. P.Z.: Methodology. J.H.: Methodology. H.C.: Methodology. H.Y.: Methodology. Y.L.: Methodology. Z.H.: Conceptualization, Funding Acquisition, Methodology, Supervision, Writing—review and editing. All authors have read and agreed to the published version of the manuscript.
Funding
This research was funded by the Sichuan Youth Science and Technology Innovation Research Team Project (No. 2020JDTD0026).
Institutional Review Board Statement
All animal procedures were approved by the Animal Care Advisory Committee of Sichuan Agricultural University and carried out using the Guidelines for Experimental Animal Care of Sichuan Agricultural University under permit No. YYS200528.
Informed Consent Statement
Not applicable.
Data Availability Statement
Data presented in this study are presented in the article.
Conflicts of Interest
The authors declare no conflict of interest.
References
- Chen, J.; Li, Y.; Yu, B.; Chen, D.; Mao, X.; Zheng, P.; Luo, Y.; He, J. Dietary chlorogenic acid improves growth performance of weaned pigs through maintaining antioxidant capacity and intestinal digestion and absorption function. J. Anim. Sci. 2018, 96, 1108–1118. [Google Scholar] [CrossRef]
- Hao, Y.; Xing, M.; Gu, X. Research Progress on Oxidative Stress and Its Nutritional Regulation Strategies in Pigs. Animals 2021, 11, 1384. [Google Scholar] [CrossRef] [PubMed]
- Groschwitz, K.R.; Hogan, S.P. Intestinal barrier function: Molecular regulation and disease pathogenesis. J. Allergy Clin. Immunol. 2009, 124, 3–20. [Google Scholar] [CrossRef] [PubMed] [Green Version]
- Bagchi, D.; Carryl, O.R.; Tran, M.X.; Bagchi, M.; Garg, A.; Milnes, M.M.; Williams, C.B.; Balmoori, J.; Bagchi, D.J.; Mitra, S.; et al. Acute and chronic stress-induced oxidative gastrointestinal mucosal injury in rats and protection by bismuth subsalicylate. Mol. Cell. Biochem. 1999, 196, 109–116. [Google Scholar] [CrossRef] [PubMed]
- Flessas, I.I.; Papalois, A.E.; Toutouzas, K.; Zagouri, F.; Zografos, G.C. Effects of lazaroids on intestinal ischemia and reperfusion injury in experimental models. J. Surg. Res. 2011, 166, 265–274. [Google Scholar] [CrossRef] [PubMed]
- Qi, S.; Xin, Y.; Guo, Y.; Diao, Y.; Kou, X.; Luo, L.; Yin, Z. Ampelopsin reduces endotoxic inflammation via repressing ROS-mediated activation of PI3K/Akt/NF-κB signaling pathways. Int. Immunopharmacol. 2012, 12, 278–287. [Google Scholar] [CrossRef] [PubMed]
- Son, Y.; Cheong, Y.-K.; Kim, N.-H.; Chung, H.-T.; Kang, D.G.; Pae, H.-O. Mitogen-activated protein kinases and reactive oxygen species: How can ROS activate MAPK pathways? J. Signal Transduct. 2011, 2011, 792639. [Google Scholar] [CrossRef]
- Boler, D.D.; Fernández-Dueñas, D.M.; Kutzler, L.W.; Zhao, J.; Harrell, R.J.; Campion, D.R.; Mckeith, F.K.; Killefer, J.; Dilger, A.C. Effects of oxidized corn oil and a synthetic antioxidant blend on performance, oxidative status of tissues, and fresh meat quality in finishing barrows. J. Anim. Sci. 2012, 90, 5159–5169. [Google Scholar] [CrossRef] [PubMed]
- Xu, Y.Q.; Xing, Y.Y.; Wang, Z.Q.; Yan, S.M.; Shi, B.L. Pre-protective effects of dietary chitosan supplementation against oxidative stress induced by diquat in weaned piglets. Cell Stress Chaperones 2018, 23, 703–710. [Google Scholar] [CrossRef] [PubMed]
- Cao, S.; Shen, Z.; Wang, C.; Zhang, Q.; Hong, Q.; He, Y.; Hu, C. Resveratrol improves intestinal barrier function, alleviates mitochondrial dysfunction and induces mitophagy in diquat challenged piglets. Food Funct. 2019, 10, 344–354. [Google Scholar] [CrossRef] [PubMed]
- Zou, Y.; Wei, H.K.; Xiang, Q.H.; Wang, J.; Zhou, Y.F.; Peng, J. Protective effect of quercetin on pig intestinal integrity after transport stress is associated with regulation oxidative status and inflammation. J. Vet. Med. Sci. 2016, 78, 1487–1494. [Google Scholar] [CrossRef] [PubMed] [Green Version]
- Niu, Y.; He, J.; Ahmad, H.; Shen, M.; Zhao, Y.; Gan, Z.; Zhang, L.; Zhong, X.; Wang, C.; Wang, T. Dietary curcumin supplementation increases antioxidant capacity, upregulates Nrf2 and Hmox1 levels in the liver of piglet model with intrauterine growth retardation. Nutrients 2019, 11, 2978. [Google Scholar] [CrossRef] [PubMed] [Green Version]
- Chen, S.; Zhao, X.; Wan, J.; Ran, L.; Qin, Y.; Wang, X.; Gao, Y.; Shu, F.; Zhang, Y.; Liu, P.; et al. Dihydromyricetin improves glucose and lipid metabolism and exerts anti-inflammatory effects in nonalcoholic fatty liver disease: A randomized controlled trial. Pharmacol. Res. 2015, 99, 74–81. [Google Scholar] [CrossRef] [PubMed]
- Guo, Z.; Chen, X.; Huang, Z.; Chen, D.; Yu, B.; Chen, H.; Yu, J.; Yan, H.; Zheng, P.; Luo, Y. Dietary dihydromyricetin supplementation enhances antioxidant capacity and improves lipid metabolism in finishing pigs. Food Funct. 2021, 12, 6925–6935. [Google Scholar] [CrossRef]
- Li, H.; Li, Q.; Liu, Z.; Yang, K.; Chen, Z.; Cheng, Q.; Wu, L. The versatile effects of dihydromyricetin in health. Evid. Based Complement. Altern. Med. 2017, 2017, 1053617. [Google Scholar] [CrossRef] [PubMed] [Green Version]
- Chang, Y.; Yuan, L.; Liu, J.; Muhammad, I.; Cao, C.; Shi, C.; Zhang, Y.; Li, R.; Li, C.; Liu, F. Dihydromyricetin attenuates Escherichia coli lipopolysaccharide-induced ileum injury in chickens by inhibiting NLRP3 inflammasome and TLR4/NF-κB signalling pathway. Vet. Res. 2020, 51, 72. [Google Scholar] [CrossRef] [PubMed]
- Guo, Z.; Chen, X.; Huang, Z.; Chen, D.; Yu, B.; Yan, H.; Zheng, P.; Luo, Y.; Yu, J.; Chen, H. Effect of dietary dihydromyricetin supplementation on lipid metabolism, antioxidant capacity and skeletal muscle fiber type transformation in mice. Anim. Biotechnol. 2022. [Google Scholar] [CrossRef] [PubMed]
- Zhuang, S.; Yu, R.; Zhong, J.; Liu, P.; Liu, Z. Rhein from Rheum rhabarbarum inhibits hydrogen-peroxide-induced oxidative stress in intestinal epithelial cells partly through PI3K/Akt-mediated Nrf2/HO-1 pathways. J. Agric. Food Chem. 2019, 67, 2519–2529. [Google Scholar] [CrossRef]
- Jin, C.H.; So, Y.K.; Han, S.N.; Kim, J.-B. Isoegomaketone upregulates heme oxygenase-1 in RAW264.7 cells via ROS/p38 MAPK/Nrf2 pathway. Biomol. Ther. 2016, 24, 510–516. [Google Scholar] [CrossRef] [PubMed] [Green Version]
- Naito, Y.; Takagi, T.; Yoshikawa, T. Heme oxygenase-1: A new therapeutic target for inflammatory bowel disease. Aliment. Pharmacol. Ther. 2004, 20, 177–184. [Google Scholar] [CrossRef] [PubMed]
- Limón-Pacheco, J.H.; Hernández, N.A.; Fanjul-Moles, M.L.; Gonsebatt, M. Glutathione depletion activates mitogen-activated protein kinase (MAPK) pathways that display organ-specific responses and brain protection in mice. Free Radic. Biol. Med. 2007, 43, 1335–1347. [Google Scholar] [CrossRef] [PubMed]
- Shi, X.; Zhou, B. The role of Nrf2 and MAPK pathways in PFOS-induced oxidative stress in zebrafish embryos. Toxicol. Sci. 2010, 115, 391–400. [Google Scholar] [CrossRef] [PubMed] [Green Version]
- Johnson, G.L.; Lapadat, R. Mitogen-activated protein kinase pathways mediated by ERK, JNK, and p38 protein kinases. Science 2002, 298, 1911–1912. [Google Scholar] [CrossRef] [PubMed] [Green Version]
- Zipper, L.M.; Mulcahy, R.T. Inhibition of ERK and p38 MAP kinases inhibits binding of Nrf2 and induction of GCS genes. Biochem. Biophys. Res. Commun. 2000, 278, 484–492. [Google Scholar] [CrossRef] [PubMed]
- Xu, M.; Chen, X.; Chen, D.; Yu, B.; Li, M.; He, J.; Huang, Z. MicroRNA-499-5p regulates skeletal myofiber specification via NFATc1/MEF2C pathway and Thrap1/MEF2C axis. Life Sci. 2018, 215, 236–245. [Google Scholar] [CrossRef]
- Xu, X.; Chen, X.; Chen, D.; Yu, B.; Yin, J.; Huang, Z. Effects of dietary apple polyphenol supplementation on carcass traits, meat quality, muscle amino acid and fatty acid composition in finishing pigs. Food Funct. 2019, 10, 7426–7434. [Google Scholar] [CrossRef]
- Ren, H.; Meng, Q.; Yepuri, N.; Du, X.; Sarpong, J.O.; Cooney, R. Protective effects of glutathione on oxidative injury induced by hydrogen peroxide in intestinal epithelial cells. J. Surg. Res. 2018, 222, 39–47. [Google Scholar] [CrossRef] [PubMed]
- Reuter, S.; Gupta, S.C.; Chaturvedi, M.M.; Aggarwal, B.B. Oxidative stress, inflammation, and cancer: How are they linked? Free Radic. Biol. Med. 2010, 49, 1603–1616. [Google Scholar] [CrossRef] [Green Version]
- Song, Z.H.; Tong, G.; Xiao, K.; Jiao, L.F.; Ke, Y.L.; Hu, C.H. L-cysteine protects intestinal integrity, attenuates intestinal inflammation and oxidant stress, and modulates NF-κB and Nrf2 pathways in weaned piglets after LPS challenge. Innate Immun. 2016, 22, 152–161. [Google Scholar] [CrossRef]
- Kluess, J.; Schoenhusen, U.; Souffrant, W.B.; Jones, P.H.; Miller, B.G. Impact of diet composition on ileal digestibility and small intestinal morphology in early-weaned pigs fitted with a T-cannula. Animal 2010, 4, 586–594. [Google Scholar] [CrossRef] [PubMed] [Green Version]
- Zhu, L.H.; Zhao, K.L.; Chen, X.L.; Xu, J.X. Impact of weaning and an antioxidant blend on intestinal barrier function and antioxidant status in pigs. J. Anim. Sci. 2012, 90, 2581–2589. [Google Scholar] [CrossRef] [PubMed]
- Wolter, B.F.; Ellis, M.; Corrigan, B.P.; DeDecker, J.M.; Curtis, S.E.; Parr, E.N.; Webel, D.M. Impact of early postweaning growth rate as affected by diet complexity and space allocation on subsequent growth performance of pigs in a wean-to-finish production system. J. Anim. Sci. 2003, 81, 353–359. [Google Scholar] [CrossRef] [PubMed]
- Wolter, B.F.; Ellis, M.; DeDecker, J.M.; Curtis, S.E.; Hollis, G.R.; Shanks, R.D.; Webel, D.M. Effects of double stocking and weighing frequency on pig performance in wean-to-finish production systems. J. Anim. Sci. 2002, 80, 1442–1450. [Google Scholar] [CrossRef] [PubMed]
- Silva-Guillen, Y.V.; Arellano, C.; Boyd, R.D.; Martinez, G.; Heugten, E. van. Growth performance, oxidative stress and immune status of newly weaned pigs fed peroxidized lipids with or without supplemental vitamin E or polyphenols. J. Anim. Sci. Biotechnol. 2020, 11, 22. [Google Scholar] [CrossRef]
- Van, L.; Thanh, B.; Lemay, M.; Bastien, A.; Lapointe, J.; Lessard, M.; Chorfi, Y.; Guay, F. The potential effects of antioxidant feed additives in mitigating the adverse effects of corn naturally contaminated with Fusarium mycotoxins on antioxidant systems in the intestinal mucosa, plasma, and liver in weaned pigs. Mycotoxin Res. 2016, 32, 99–116. [Google Scholar]
- Cheng, K.; Yu, C.; Li, Z.; Li, S.; Yan, E.; Song, Z.; Zhang, H.; Zhang, L.; Wang, T. Resveratrol improves meat quality, muscular antioxidant capacity, lipid metabolism and fiber type composition of intrauterine growth retarded pigs. Meat Sci. 2020, 170, 108237. [Google Scholar] [CrossRef] [PubMed]
- Desagher, S.; Glowinski, J.; Premont, J. Astrocytes protect neurons from hydrogen peroxide toxicity. J. Neurosci. 1996, 16, 2553–2562. [Google Scholar] [CrossRef] [Green Version]
- Hua, Y.-Y.; Zhang, Y.; Gong, W.-W.; Ding, Y.; Shen, J.-R.; Li, H.; Chen, Y.; Meng, G.-L. Dihydromyricetin improves endothelial dysfunction in diabetic mice via oxidative stress inhibition in a SIRT3-dependent manner. Int. J. Mol. Sci. 2020, 21, 6699. [Google Scholar] [CrossRef]
- Zhang, X.; Wang, L.; Peng, L.; Tian, X.; Qiu, X.; Cao, H.; Yang, Q.; Liao, R.; Yan, F. Dihydromyricetin protects HUVECs of oxidative damage induced by sodium nitroprusside through activating PI3K/Akt/FoxO3a signalling pathway. J. Cell. Mol. Med. 2019, 23, 4829–4838. [Google Scholar] [CrossRef] [PubMed]
- Jarmi, T.; Agarwal, A. Heme oxygenase and renal disease. Curr. Hypertens. Rep. 2009, 11, 56–62. [Google Scholar] [CrossRef]
- Venugopal, R.; Jaiswal, A.K. Nrf1 and Nrf2 positively and c-Fos and Fra1 negatively regulate the human antioxidant response element-mediated expression of NAD(P)H:quinone oxidoreductase1 gene. Proc. Natl. Acad. Sci. USA 1996, 93, 14960–14965. [Google Scholar] [CrossRef] [PubMed] [Green Version]
- McCord, J.M.; Fridovich, I. Superoxide dismutase: The first twenty years (1968–1988). Free Radic. Biol. Med. 1988, 5, 363–369. [Google Scholar] [CrossRef]
- Anning, A.; Deubel, S.; Kluth, D.; Zhou, Z.; Brigelius-Flohe, R. The GI-GPx gene is a target for Nrf2. Mol. Cell. Biol. 2005, 25, 4914–4923. [Google Scholar] [CrossRef] [PubMed] [Green Version]
- Li, W.; Kong, A.-N. Molecular mechanisms of Nrf2-mediated antioxidant response. Mol. Carcinog. 2009, 48, 91–104. [Google Scholar] [CrossRef] [PubMed] [Green Version]
- Canella, R.; Benedusi, M.; Martini, M.; Cervellati, F.; Cavicchio, C.; Valacchi, G. Role of Nrf2 in preventing oxidative stress induced chloride current alteration in human lung cells. J. Cell. Physiol. 2018, 233, 6018–6027. [Google Scholar] [CrossRef]
- Giudice, A.; Montella, M. Activation of the Nrf2-ARE signaling pathway: A promising strategy in cancer prevention. Bioessays 2006, 28, 169–181. [Google Scholar] [CrossRef] [PubMed]
- Cho, J.-H.; Kim, Y.-W.; Choi, B.Y.; Keum, Y.-S. Sulforaphane inhibition of TPA-mediated PDCD4 downregulation contributes to suppression of c-Jun and induction of p21-dependent Nrf2 expression. Eur. J. Pharmacol. 2014, 741, 247–253. [Google Scholar] [CrossRef]
- Paine, A.; Eiz-Vesper, B.; Blasczyk, R.; Immenschuh, S. Signaling to heme oxygenase-1 and its anti-inflammatory therapeutic potential. Biochem. Pharmacol. 2010, 80, 1895–1903. [Google Scholar] [CrossRef] [Green Version]
- Luo, Y.; Lu, S.; Dong, X.; Xu, L.; Sun, G.; Sun, X. Dihydromyricetin protects human umbilical vein endothelial cells from injury through ERK and Akt mediated Nrf2/HO-1 signaling pathway. Apoptosis 2017, 22, 1013–1024. [Google Scholar] [CrossRef]
Publisher’s Note: MDPI stays neutral with regard to jurisdictional claims in published maps and institutional affiliations. |
© 2022 by the authors. Licensee MDPI, Basel, Switzerland. This article is an open access article distributed under the terms and conditions of the Creative Commons Attribution (CC BY) license (https://creativecommons.org/licenses/by/4.0/).





