Next Article in Journal
Laboratory Assessment of In-Pavement Airport Lamp’s Luminous Intensity Distribution
Previous Article in Journal
Neural Network Method of Controlling Self-Collisions of Multilink Manipulators Based on the Solution of the Classification Problem
 
 
Font Type:
Arial Georgia Verdana
Font Size:
Aa Aa Aa
Line Spacing:
Column Width:
Background:
Article

Evaluation of Alveolar Bones in the Context of Orthodontic Single-Tooth Space Closure: A Retrospective Cone Beam Computed Tomography-Based Analysis

by
Saadet Çınarsoy Ciğerim
1,
Ayşe Gül Öner Talmaç
2,
Zeynep Dilan Orhan
3,* and
Levent Ciğerim
3
1
Department of Orthodontics, Faculty of Dentistry, Van Yüzüncü Yıl University, 65090 Van, Turkey
2
Department of Maxillofacial Radiology, Faculty of Dentistry, Van Yüzüncü Yıl University, 65090 Van, Turkey
3
Department of Oral and Maxillofacial Surgery, Faculty of Dentistry, Van Yüzüncü Yıl University, 65090 Van, Turkey
*
Author to whom correspondence should be addressed.
Appl. Sci. 2023, 13(24), 13241; https://doi.org/10.3390/app132413241
Submission received: 7 November 2023 / Revised: 2 December 2023 / Accepted: 12 December 2023 / Published: 14 December 2023
(This article belongs to the Section Applied Dentistry and Oral Sciences)

Abstract

:
In the literature, there are no studies evaluating alveolar bone width in areas with a single missing tooth in terms of orthodontic tooth movement. This study was meant to determine whether residual alveolar bone width in edentulous crests is a risk factor for orthodontic tooth movement. The aim of this study was to evaluate the change in the residual alveolar bone width in the edentulous region compared to the alveolar bone width on the symmetrical toothed side using CBCT in individuals with a single missing tooth in whom orthodontic tooth movement was planned. This retrospective radiographic study was performed using CBCT images that were taken before orthodontic treatment for the evaluation of the edentulous area between January 2010 and January 2022. Individuals without any systemic disease aged 18 years or older whose edentulous area was restricted to one tooth were included in this study. Bone measurements were made on cross-sectional CBCT images. Of the 265 individuals participating in this study, 129 were male and 136 were female, with a mean age of 32.67 ± 6.50 years. The distribution of 265 edentulous regions (caused by 265 tooth extractions) was as follows: 23 were in the incisor region, 54 were in the premolar region, and 188 were in the molar region. The molar region had the highest bone width among the edentulous regions (p < 0.01). Bone widths were smaller in the edentulous crests for all regions (p < 0.01). In this study, it was determined that the bone width in the areas with a single missing tooth was insufficient, and this is a risk factor for orthodontic treatment.

1. Introduction

Orthodontic treatment aims to provide a balance between teeth and facial structures [1]. Many factors, especially individual characteristics, play a role in ensuring this balance. In addition to the causes of anomalies, factors such as the technique used in orthodontic treatment, the forces applied, the duration of treatment, and the structural features of teeth and bone may pose a risk to the success of orthodontic treatment. The fact that the same results are not always obtained in orthodontic patients who receive the same treatment protocol is related to these factors [2]. Orthodontic treatment planning requires a detailed evaluation of the teeth and bone in the area where tooth movement is planned. Yet, orthodontic treatment planning usually focuses on the anomaly and the treatment to be applied. Ignoring the characteristics (width, height, and quality) of the alveolar bone around the teeth during planning may lead to prolongation or failure of the treatment [3].
Prosthetic treatments are generally preferred in the rehabilitation of missing teeth. Orthodontic treatment is needed in the treatment of spaces adjacent to overturned, elongated, or less erupted teeth and in adjusting the axial tilts and occlusal levels of the teeth. Some patients may accept neither conventional prosthetic therapy nor implant-supported prosthetic therapy. Orthodontic treatment comes into play in the restoration of missing teeth in this patient group [4].
Tooth extraction is preferred in individuals with skeletal class 1, class 2, and class 3 malocclusions and moderate-to-severe crowding. Tooth extraction may also be preferred for camouflage treatment in skeletal class 3 individuals. In orthodontic tooth extraction, since tooth movement begins immediately after extraction, alveolar resorption at the extraction site remains minimal. However, in the presence of a pre-existing tooth deficiency in individuals with this malocclusion, it is likely that the alveolar bone width in the region will decrease due to resorption. Within one year after tooth extraction, the alveolar bone undergoes approximately 50% resorption [5]. Hence, it is clear that alveolar bone width is a risk factor in individuals with tooth deficiency.
Today, implant-supported prosthetic rehabilitation is generally considered the first treatment option for individuals with a single missing tooth. Implant surgery planning includes routine assessment of the width and height of the alveolar bone in the area of the missing tooth. Deficiencies in alveolar bone width and height will necessitate advanced implant surgical techniques and complicate the procedures. Even if other fixed restorations are planned instead of implant-supported prostheses in these individuals, insufficient bone width, height, and volume will still cause aesthetic problems [6].
Cone beam computed tomography (CBCT) is an imaging method that has increased in popularity in dentistry in recent years [7]. Although its use has been restricted due to radiation dose and cost, it is used in cases where conventional radiographs are inadequate because it creates three-dimensional images and gives real measurements [8,9]. The introduction of CBCT in dentistry has rapidly changed the diagnostic capacity and provided dentists with the opportunity to make three-dimensional diagnoses [7]. Current CBCT units provide excellent high-resolution, three-dimensional imaging of the anatomy of bones in the head and neck region. It has made dental implant planning and surgical placement simple and reliable. In addition, the role of CBCT in oral, dental, and maxillofacial surgery, orthodontics, airway assessment, temporomandibular joint disorders, endodontics, and periodontology appears to be important [10,11]. Measurements and evaluations performed with CBCT enable the determination of the length of the edentulous area, alveolar bone thickness, and crest height [12,13]. One of the advantages of CBCT for orthodontic purposes relates to its ability to provide images of the alveolar bone surrounding the teeth buccally and lingually. The only imaging diagnostic modalities available to evaluate and quantify buccal and lingual bone plaques are multislice CT and CBCT. In orthodontics, CBCT should be indicated to assess buccolingual thickness deficiencies in the alveolar ridge of adult patients subjected to critical tooth movement where buccolingual bone absence would affect orthodontic treatment [14].
In patients with edentulous crests in whom orthodontic treatment is planned, there have been no studies evaluating the status of the available residual alveolar bones in these edentulous regions compared to symmetrical toothed regions. Therefore, it is obvious that there are no data about the process and success of this treatment in patients who are planning to close edentulous spaces with orthodontic tooth movement. In order to determine whether the alveolar bone width in the edentulous region is sufficient for orthodontic tooth movement, the residual alveolar bone width in the edentulous region should be investigated. In addition, it is important to identify the possible insufficiency of the bone width according to the regions and to identify it as a risk factor. We developed this study to find answers that can fill in the information that is missing in the literature. The aim of this study was to evaluate the change in the residual alveolar bone width in the edentulous region compared to the alveolar bone width on the symmetrical toothed side using CBCT in individuals with a single missing tooth in whom orthodontic tooth movement was planned. The null hypothesis of this study was that there is no difference in bone width between the edentulous region and the symmetrical toothed region in patients planning orthodontic treatment, and, therefore, bone width is not a risk factor for tooth movement in the edentulous region.

2. Materials and Methods

This retrospective, radiography study was performed on patients at Van Yüzüncü Yıl University, Faculty of Dentistry, Department of Orthodontics and Department of Oral and Maxillofacial Surgery, between January 2010 and January 2022. These patients underwent CBCT for an evaluation of edentulous areas. The study group was selected from the patients who had a single missing tooth and did not want to have an implant and thus were referred to the orthodontic clinic. The pre-treatment CBCT scans of these patients were evaluated. The study protocol was approved by the Van Yüzüncü Yıl University Non-Interventional Research Ethics Committee, Turkey (2022/06-04).
Individuals without any systemic diseases aged 18 years or older whose edentulous area was restricted to one tooth, individuals who had a single-tooth space that was created from simple extraction, individuals who underwent tooth extraction 13–23 months ago and retained the tooth symmetrical to the missing tooth, and individuals with periodontal healthy teeth and all teeth except the third molars were included in this study.
Individuals whose radiographic records were missing or inaccessible, individuals with multiple teeth deficiencies in the edentulous area, individuals who had a prosthetic restoration of a single-tooth deficiency area, individuals with any bone and/or soft tissue pathologies in the missing tooth region, individuals with a deviation of more than 1.2 mm at the buccal/vestibule and palatal/lingual bone height level in the symmetrical tooth or without any of the buccal/vestibule and palatal/lingual cortices, smoking individuals, and those with errors in their films that prevent measurement were excluded from this study.

2.1. CBCT Measurements

The parameters of the CBCT images were as follows: 120 kVp; 10.11–18.54 mAs; 4.8–8.9 s scan time; 0.4 voxels; and 160x60-130 FOV. A manual method was used to obtain cross-sectional sections through CBCT. The location of the reference points on the guide arch line was determined by the researcher who made the measurements in the anterior–posterior direction to the midpoint of the crest (bone width) in each region. Again, the midpoint of the bone width in the maxilla and mandible where the measurements were planned to be made on the edentulous and symmetrical toothed side were determined as reference points, and measurements were performed on the cross-sectional sections of the maxilla and mandible images obtained in this way.
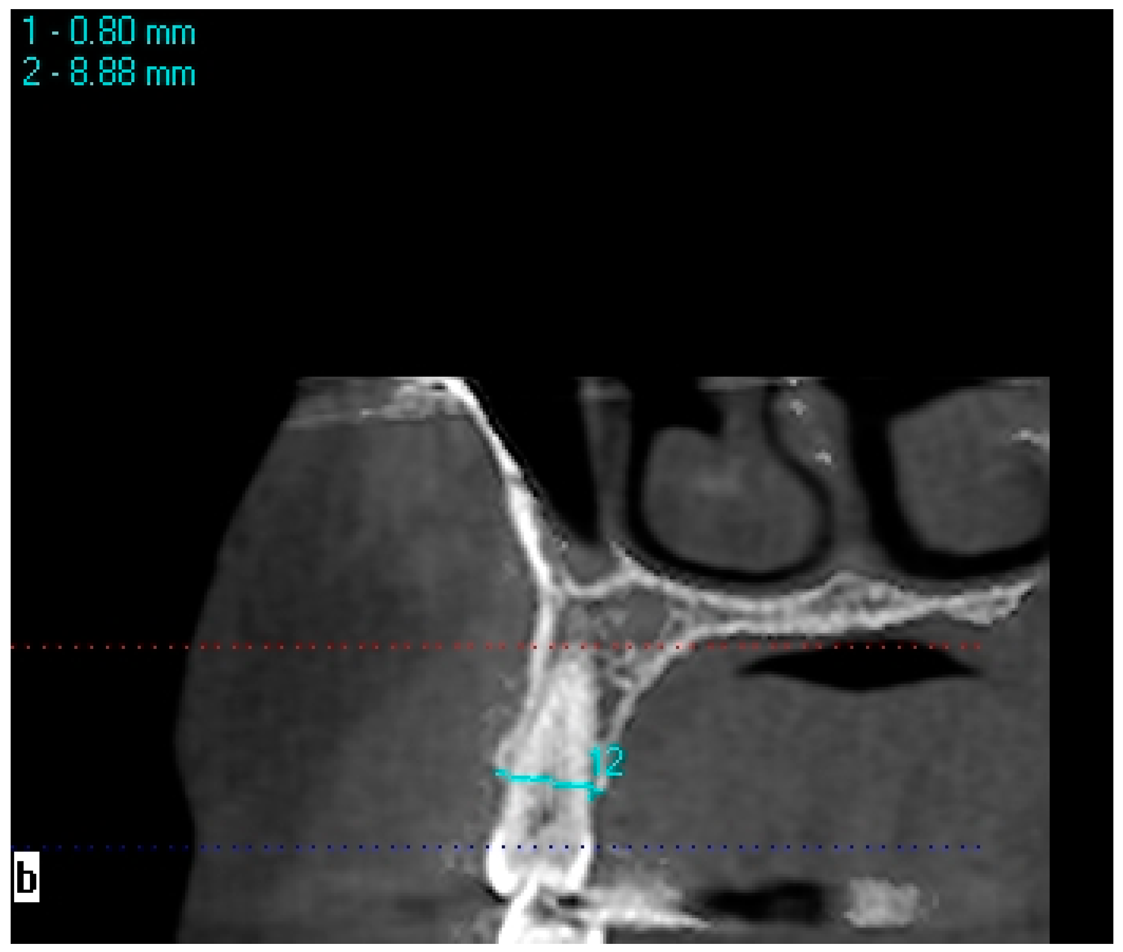
Bone measurements in areas with one missing tooth were made on 1.2 mm thick cross-sectional CBCT images obtained using the KaVo eXamVision (KaVo Dental GmbH, Biberach, Germany) program. Bone width was measured at the midpoint of the mesiodistal width of the edentulous region, 0.8 mm below the ridge crest, on the line connecting the vestibule/palatal and buccal/lingual walls (Figure 1). Bone width measurements at 2.8, 4.8, and 6.8 mm depths were performed following the same protocol as the bone width measurements performed at a 0.8 mm depth. The horizontal and vertical lines at 0.8 mm were used as the reference for the calculation of the depths. The protocol for edentulous crest measurements was applied in the same way for symmetrical toothed side measurements. Bone width measurements of symmetrical teeth were made with reference to the line that passes 0.8 mm below the lower crest of one of the buccal/vestibule and lingual/palatal bone walls (Figure 2). Bone heights were obtained through linear measurement of the distance between the reference point at the crest (the midpoint of the line at which bone width measurements were made) and the mandibular canal, maxillary sinus, mental foramen, and nasal floor. Intra-examiner reliability was calculated to assess the reliability of the measurements. The measurements in this study were performed by a single investigator specializing in oral and maxillofacial radiology. The second measurements were performed 4 weeks after the first measurement.
When evaluating the tooth regions, three regions were defined: the incisor, premolar, and molar regions. Teeth 11, 12, 13, 21, 22, 23, 31, 32, 33, 41, 42, and 43 were in the incisor region, teeth 14, 15, 24, 25, 34, 35, 44, and 45 were in the premolar region, and teeth 16, 17, 26, 27, 36, 37, 46, and 47 were in the molar region (the third molar teeth were not included). The mean age value was taken as a reference when defining age groups.
When evaluating the tooth regions, three regions were formed: the incisor, premolar, and molar regions. Teeth 11, 12, 13, 21, 22, 23, 31, 32, 33, 41, 42, and 43 were in the incisor region, teeth 14, 15, 24, 25, 34, 35, 44, and 45 were in the premolar region, and teeth 16, 17, 26, 27, 36, 37, 46, and 47 were in the molar region (the 3rd molar teeth were not included). The mean age value was taken as a reference when forming age groups.

2.2. Statistical Analysis

NCSS (Number Cruncher Statistical System, version 23.0.2) software was used for statistical analysis, and data were summarised with descriptive statistics (mean, standard deviation, median, frequency, percentage, minimum, and maximum). The conformity of the quantitative data to a normal distribution was tested with the Shapiro–Wilk test and graphical examinations. The Mann–Whitney U test was used to compare two groups of non-normally distributed quantitative variables. One-way analysis of variance and Bonferroni-corrected pairwise comparisons were used for comparisons between groups with more than two normally distributed quantitative variables. The Kruskal–Wallis test and Dunn–Bonferroni test were used for comparisons between groups with more than two non-normally distributed quantitative variables. The dependent-groups t-test was used for within-group comparisons of normally distributed quantitative variables. The Wilcoxon signed-rank test was used for intragroup comparisons of non-normally distributed quantitative variables. Statistical significance was accepted as p < 0.05. The sample size was calculated as a minimum of 240 people using the G-power 3.1 program, with α = 0.05, ß = 0.20, an effect size of 0.36, and power at 80%. Data from a similar article were used as a reference in the calculation [15].

3. Results

3.1. Distribution of Demographic and Descriptive Characteristics

Of the 265 individuals participating in this study, 48.7% (n = 129) were male and 51.3% (n = 136) were female. The ages of the individuals ranged from 18 to 50, with a mean age of 32.67 ± 6.50 years. Of the individuals, 51.3% (n = 136) were under the age of 33, and 48.7% (n = 129) were 33 years or older (Table 1).
The regions of missing teeth in the individuals included in this study are given individually and by region in Table 2. It was determined that the most common missing tooth areas were 36 (21%), 46 (21%), 16 (10.9%), and 26 (10.2%). In terms of tooth regions, 8.7% (n = 23) of missing teeth were in the incisor region, 20.4% (n = 54) were in the premolar region, and 70.9% (n = 188) were in the molar region (Table 2).
In the present study, the intra-examiner reliability was r = 0.985. The mean time that had elapsed after the individuals underwent tooth extraction was 18.01 ± 3.17 months.

3.2. Evaluation of Vertical (Bone Height) and Horizontal (Bone Width) Measurements

A statistically significant difference was found between the vertical measurements of the subjects according to the regions (p = 0.001; p < 0.01). According to the results of the pairwise comparison to determine the difference, the vertical measurements in the incisor region were significantly higher than the premolar and molar regions (p = 0.005; p = 0.001; p < 0.01) (Table 3).

3.2.1. Horizontal Measurement Evaluations at 0.8 mm Depth

The comparison of horizontal measurements on the edentulous sides of individuals by regions showed that the bone width in the incisor region was statistically significantly lower than the premolar and molar regions (p < 0.01) (Table 3).
It was found to be statistically significant that the horizontal measurement on the edentulous side in the incisor region was 48.02 ± 29.90% lower than the toothed side (p = 0.001; p < 0.01). It was found to be statistically significant that the horizontal measurement on the edentulous side in the premolar region was 48.05 ± 12.90% lower than the toothed side (p = 0.001; p < 0.01). It was found to be statistically significant that the horizontal measurement on the edentulous side in the molar region was 55.32 ± 15.18% lower than the toothed side (p = 0.001; p < 0.01) (Table 3).
The comparison of the changes in horizontal measurements between the edentulous and toothed sides of the individuals by regions showed that the decrease in horizontal measurements in the molar region was significantly higher than the premolar region (p < 0.01). The differences between the other regions were not statistically significant (p > 0.05) (Table 3).

3.2.2. Horizontal Measurement Evaluations at 2.8 mm Depth

A statistically significant difference was found between the horizontal measurements on the edentulous side in the patients according to the regions (p = 0.001; p < 0.01). According to the results of the pairwise comparison carried out to determine the difference, horizontal measurements in the incisor region were found to be significantly lower than the premolar and molar regions (p = 0.001; p = 0.001; p < 0.01) (Table 3).
A statistically significant difference was found between the horizontal measurements of the patients on the toothed side according to the regions (p = 0.001; p < 0.01). According to the results of the pairwise comparison carried out to determine the difference, the horizontal measurements in the incisor region were found to be significantly lower than the premolar and molar regions (p = 0.001; p = 0.001; p < 0.01). Similarly, horizontal measurements in the premolar region were significantly lower than the molar region (p = 0.001; p < 0.01) (Table 3).
It was found to be statistically significant that the horizontal measurement on the edentulous side in the incisor region was 27.75 ± 23.24% lower than the toothed side (p = 0.001; p < 0.01). It was found to be statistically significant that the horizontal measurement on the edentulous side in the premolar region was 26,97 ± 11.97% lower than the toothed side (p = 0.001; p < 0.01). It was found to be statistically significant that the horizontal measurement on the edentulous side in the molar region was 35.82 ± 15.92% lower than the toothed side (p = 0.001; p < 0.01) (Table 3).
The horizontal measurement changes between the edentulous side and the toothed side of the patients showed a statistically significant difference according to the regions (p = 0.001; p < 0.01). According to the results of the pairwise comparison performed to determine the difference, the change in the molar region was found to be significantly higher than the premolar region (p = 0.001; p < 0.01). The changes between the other regions did not show a statistically significant difference (p > 0.05) (Table 3).

3.2.3. Horizontal Measurement Evaluations at 4.8 mm Depth

A statistically significant difference was found between the horizontal measurements of the patients on the edentulous side according to the regions (p = 0.001; p < 0.01). According to the results of the pairwise comparison carried out to determine the difference, horizontal measurements in the incisor region were found to be significantly lower than the premolar and molar regions (p = 0.007; p = 0.001; p < 0.01). Similarly, horizontal measurements in the premolar region were significantly lower than the molar region (p = 0.001; p < 0.01) (Table 3).
A statistically significant difference was found between the horizontal measurements of the patients on the toothed side according to the regions (p = 0.001; p < 0.01). According to the results of the pairwise comparison performed to determine the difference, horizontal measurements in the incisor region were found to be significantly lower than the premolar and molar regions (p = 0.001; p = 0.001; p < 0.01). Similarly, horizontal measurements in the premolar region were significantly lower than the molar region (p = 0.001; p < 0.01) (Table 3).
It was found to be statistically significant that the horizontal measurement on the edentulous side in the incisor region was 17.66 ± 26.52% lower than the toothed side (p = 0.001; p < 0.01). It was found to be statistically significant that the horizontal measurement on the edentulous side in the premolar region was 18.30 ± 12.97 units lower than the toothed side (p = 0.001; p < 0.01). It was found to be statistically significant that the horizontal measurement on the edentulous side in the molar region was 25.64 ± 19.24% lower than the toothed side (p = 0.001; p < 0.01) (Table 3).
The horizontal measurement changes between the edentulous side and the toothed side of the patients showed a statistically significant difference according to the regions (p = 0.021; p < 0.05). According to the results of the pairwise comparison performed to determine the difference, the change in the molar region was found to be significantly higher than the premolar region (p = 0.025; p < 0.05). The changes between the other regions did not show a statistically significant difference (p > 0.05) (Table 3).

3.2.4. Horizontal Measurement Evaluations at 6.8 mm Depth

A statistically significant difference was found between the horizontal measurements of the patients on the edentulous side according to the regions (p = 0.001; p < 0.01). According to the results of the pairwise comparison performed to determine the difference, horizontal measurements in the molar region were significantly higher than the incisor and premolar regions (p = 0.002; p = 0.005; p < 0.01) (Table 3).
A statistically significant difference was found between the horizontal measurements of the patients on the toothed side according to the regions (p = 0.001; p < 0.01). According to the results of the pairwise comparison performed to determine the difference, horizontal measurements in the molar region were significantly higher than the incisor and premolar regions (p = 0.001; p = 0.001; p < 0.01). Similarly, the horizontal measurements in the premolar region were significantly higher than the incisor region (p = 0.024; p < 0.05) (Table 3).
It was found to be statistically significant that the horizontal measurement in the incisor region on the edentulous side was 11.04 ± 28.45% lower than the toothed side (p = 0.001; p < 0.01). It was found to be statistically significant that the horizontal measurement on the edentulous side in the premolar region was on average 12.92 ± 12.96% lower than the toothed side (p = 0.001; p < 0.01). It was found to be statistically significant that the horizontal measurement on the edentulous side in the molar region was on average 21.91 ± 27.15% lower than the toothed side (p = 0.001; p < 0.01) (Table 3).
There was no statistically significant difference between the horizontal measurement changes between the edentulous side and the toothed side of the patients according to the regions (p > 0.05) (Table 3).
The bone width measurements of individuals did not differ statistically significantly by gender and age (p > 0.05) (Table 4 and Table 5).

4. Discussion

Evidence has shown that patients with a single missing tooth are usually young adults, and the number of missing teeth increases with advancing age. Analysis of the relationship between alveolar bone width and age revealed a correlation between increasing age and a reduction in bone width due to resorption [16]. In the present study, there was no difference in alveolar bone width between individuals aged 33 years and younger and those over 33 years old. Studies reporting the effect of age on alveolar bone width have shown that individuals aged 60 and over have a smaller bone width [16,17]. Therefore, the patient group in this study was composed of individuals under the age of 50. As a matter of fact, the lack of a difference between the two age groups in terms of bone width in this study may be due to the low mean age (32.67) and the lack of a single tooth in the participants. As the number of missing teeth increases in individuals, local factors affecting alveolar bone resorption will also increase. In jaws with multiple missing teeth (a lack of more than one adjacent tooth), the chewing forces and stresses on the edentulous crest will be greater than in jaws with only one missing tooth [18]. Therefore, the present study included individuals with a single missing tooth to minimize local factors that would increase resorption and ensure standardization. Considering the higher success of orthodontic tooth movement in younger age groups [19], individuals in the present study with an average age suitable for orthodontic intervention allow our results to be interpretable for orthodontic treatment. Studies on the relationship between alveolar bone width and gender have reached different results. Some reported that gender had no effect, while others showed that the width of the alveolar bone in the edentulous regions in men was less than the symmetrical toothed side [20,21]. This study, on the other hand, found that the alveolar bone width in edentulous areas did not differ according to gender, and the bone width in incisor, premolar, and molar edentulous spaces was less than the toothed side. We think that the similarity of the bone width in edentulous areas according to age and gender is due to the standardization of the time elapsed after extraction, the type of extraction, and the systemic conditions of the patients. It was determined that the decrease in alveolar bone width on the edentulous side ranged from 48.02% to 55.32%. The reason why we compared the edentulous areas with the symmetrical toothed side when evaluating the reduction in alveolar bone width was to keep the effect of resorption mechanisms that may result from individual differences to a minimum. The reduction in alveolar bone width reaches the maximum in the first 12 months after tooth extraction, and this resorption rate decreases after the first year [5]. Therefore, individuals who underwent tooth extraction 13–23 months ago were included in this study. In this way, we tried to keep the effect of the time that had elapsed after tooth extraction on resorption to a minimum.
Orthodontic treatment can be conducted alone or in combination with other treatment options to ensure skeletal/dental canine and/or molar relationships in individuals with missing teeth [22]. Although it may vary according to the existing malocclusion and the characteristics of the missing tooth region, in individuals with midline deviation and/or crowding, mesialization or distalization of the teeth can be performed both to correct the malocclusion and to disguise the missing tooth [23]. Kim and Uribe et al. showed a decrease in alveolar bone width after orthodontic tooth movement [24,25]. Garib et al. and Handelman showed that the risk of an alveolar defect and root resorption increases in cases with orthodontic tooth movement toward edentulous areas with insufficient bone width compared to root width. They also revealed that in orthodontic tooth movements in the anterior regions of hyperdivergent patients, edentulous ridges with a smaller bone width limit the orthodontic tooth movement and increase the incidence of bone loss [15,26]. Ramos et al. reported that orthodontic tooth movement in cases with an insufficient bone width increased the incidence of bone dehiscence, mostly in the buccal cortex [27]. Ritwiroon et al. showed that orthodontic tooth movement is associated with the alveolar bone width/root width ratio, and as this ratio increases, orthodontic tooth movement also increases. They also reported an inverse relationship between bone density in the buccal cortex and orthodontic tooth movement and stated that optimum tooth movement can be achieved in cancellous bones with a lower density [28]. It has been revealed that tooth movement obtained in cortical bones with forces applied within normal limits will be slower than cancellous bones, and excessive forces that are applied to increase movement will increase the risk of hyalinization and root resorption [28]. The null hypothesis of this study was rejected. It was observed that there was a difference in bone width between the edentulous region and the symmetrical toothed region in patients in whom orthodontic treatment was planned, and it was determined that the bone width in all edentulous regions evaluated was less than the symmetrical toothed regions. For this reason, it was revealed that an existing insufficient bone width is a risk factor for orthodontic tooth movement in edentulous areas when being evaluated for orthodontic treatment.
Lindskog-Stokland et al. showed that the ridge widens in edentulous areas closed by orthodontic tooth movement. However, they did not evaluate the edentulous bone in the relevant region before and after orthodontic movement with any 3D evaluation methods, such as CBCT. Additionally, the authors stated that this enlargement after treatment was due to the width of the moving tooth and not due to new bone formation [23]. In this study, the height and width of the bone in areas with a single missing tooth were evaluated with CBCT. It is not possible to evaluate the width of the bone with two-dimensional radiographs, such as panoramic and periapical radiographs. For this reason, we evaluated the bone width of the toothed and edentulous sides using CBCT in patients with planned orthodontic tooth movement. The results obtained revealed insufficient bone width in the edentulous areas and the importance of evaluating the edentulous areas through CBCT in patients planning to undergo orthodontic tooth movement, especially in terms of possible deficiencies.
The present study compared the bone width of the spaces 18.01 ± 3.17 months after tooth extraction with their symmetrical sides and determined the reduction in the ridge width for the incisor, premolar, and molar regions to be 48.02%, 48.05%, and 55.32%, respectively. It was determined that in cases of a single missing tooth in incisors, premolars, and molars, bone loss in the crest caused a difference between regions, and compared to the toothed side, age and gender were not significant with regard to the change in bone width. In terms of the width of edentulous areas, the incisor region was the narrowest at 3.60 ± 2.12 mm, and the molar region was the region that underwent the most resorption, with a decrease of 55.32%. These results revealed that when orthodontic tooth movement is planned to correct the molar and/or canine relationship or to close the space(s) in cases where the molar and canine relationship is normal, we will encounter spaces with an insufficient bone width. This study showed that the lower first molars (teeth 36 and 46) are the most common missing teeth, with a rate of 43.2%, and, therefore, we will encounter missing first molars the most in individuals with a single missing tooth. When the spaces where the first molars are missing are planned to be closed with orthodontic tooth movement, if new bone formation does not occur, as emphasized by Lindskog-Stokland et al., there will be no or minimal bone support in the buccal/vestibule and/or lingual/palatal regions for the tooth that will be moved into the space [24]. Such a tooth is likely to have a poor long-term prognosis, as well as mobility and gingival recession problems, after orthodontic treatment. In addition, in the current study, when the symmetrical toothed molar region was taken as a reference, there was an average available width of 4.96 mm in the edentulous molar region despite the need for an average bone width of 11.03 mm, which brings to mind the option of bone and/or soft tissue augmentation to increase the ridge width before tooth movement. In such a case, if dental implant placement had been planned, advanced implant surgery and/or augmentation operations would have been inevitable to increase the bone width before implant surgery. Therefore, bone augmentation should be considered among the treatment options for insufficient ridges before orthodontic tooth movement. Animal studies have demonstrated that tooth movement is possible for bone defects augmented using Xeno and alloplastic graft material [29].
The limitations of this study were as follows. The occlusion status of the patients, presence of malocclusion, presence of impacted wisdom teeth, TMJ disorders, parafunctional habits, chewing habits, blood vitamin and mineral levels that may affect bone metabolism, and dietary regimens were not considered. Although these factors are very difficult to standardize clinically, they may have influenced the results because they may affect bone resorption. In this study, all teeth were evaluated when comparing the toothed and edentulous sides, and the number of patients included in this study exceeded the sample size. Therefore, we think that the results obtained can be generalized for similar patient groups. When the 12-year CBCT records of the patient population were analyzed, it was found that unilateral single-tooth loss was much less common than multiple-tooth loss. In a study with such a wide range of dates and standardized inclusion criteria, it is not practically possible to reach a higher number of patients.
In this study, it was found that the bone width in areas with a single-tooth deficiency was insufficient, and this was determined to be a risk factor for orthodontic treatment. We recommend that future prospective clinical and radiography studies investigate how this risk factor affects the treatment process and outcomes in terms of orthodontic tooth movement to reveal the possible clinical consequences of orthodontic tooth movement in this patient group. While investigating these effects, different studies can be planned in which CBCT evaluations are performed according to many different cases and patient types.

5. Conclusions

This retrospective radiography study revealed that the bone width of individuals with a single-tooth deficiency was reduced by 48.02–55.32% depending on the region compared to the symmetrical toothed side, and the bone widths in the edentulous areas were less than the missing tooth width. It was observed that the bone width in the edentulous regions was less than the symmetrical toothed regions. At a 0.8, 2.8, and, 4.8 mm depth, the decrease in bone width in the edentulous molar region was greater than the premolar region. Age and gender were not found to have an effect on the bone width values of the toothed and edentulous sides. In this study, it was determined that the bone width in the areas with a single missing tooth was insufficient, and this is a risk factor for orthodontic treatment. In addition, the necessity of evaluating edentulous crests with CBCT before orthodontic tooth movement was revealed. It was observed that the most common missing tooth was the first molar. In cases where it is planned to close the first molar tooth space with orthodontic tooth movement, it should be taken into consideration that the area will be insufficient in terms of bone width. We recommend that future prospective clinical and radiography studies investigate how this risk factor affects the treatment process and outcomes in terms of orthodontic tooth movement to reveal the possible clinical consequences of orthodontic tooth movement in this patient group.

Author Contributions

Methodology, L.C.; resources, A.G.Ö.T.; data curation, S.Ç.C.; writing—original draft, Z.D.O.; writing—review and editing, L.C.; visualization, A.G.Ö.T.; supervision, S.Ç.C. All authors have read and agreed to the published version of the manuscript.

Funding

This research received no external funding.

Institutional Review Board Statement

All the methods performed in the studies involving human subjects were in compliance with the ethical requirements of the institutional and/or national research committee and with the 1964 Helsinki Declaration and its later revisions or comparable ethical standards.

Informed Consent Statement

Informed consent was obtained from all subjects involved in the study. Written informed consent has been obtained from the patients to publish this paper.

Data Availability Statement

The dataset utilized in this study is available upon request. The data are not publicly available due to containing information that could compromise the privacy of research participants.

Conflicts of Interest

The authors declare no conflict of interest.

References

  1. Ko, E.W.C.; Huang, C.S.; Lin, C.H.; Chen, Y.R. Orthodontic Perspective for Face Asymmetry Correction. Symmetry 2022, 14, 1822. [Google Scholar] [CrossRef]
  2. Dimitrios, M.; Athanasios, E.A. Factors affecting the duration of orthodontic treatment: A systematic review. Eur. J. Orthod. 2008, 30, 386–395. [Google Scholar]
  3. Jeon, H.H.; Teixeira, H.; Tsai, A. Mechanistic Insight into Orthodontic Tooth Movement Based on Animal Studies: A Critical Review. J. Clin. Med. 2021, 10, 1733. [Google Scholar] [CrossRef] [PubMed]
  4. Marchi, L.M.; Pini, N.I.; Hayacibara, R.M.; Silva, R.S.; Pascotto, R.C. Congenitally missing maxillary lateral incisors: Functional and periodontal aspects in patients treated with implants or space closure and tooth re-contouring. Open Dent. J. 2012, 6, 248–254. [Google Scholar] [CrossRef] [PubMed]
  5. Schropp, L.; Wenzel, A.; Kostopoulos, L.; Karring, T. Bone healing and soft tissue contour changes following single-tooth extraction: A clinical and radiographic 12-month prospective study. Int. J. Periodontics Restor. Dent. 2003, 23, 313–323. [Google Scholar]
  6. Van der Weijden, F.; Dell’Acqua, F.; Slot, D.E. Alveolar bone dimensional changes of post-extraction sockets in humans: A systematic review. J. Clin. Periodontol. 2009, 36, 1048–1058. [Google Scholar] [CrossRef]
  7. Kaasalainen, T.; Ekholm, M.; Siiskonen, T.; Kortesniemi, M. Dental cone beam CT: An updated review. Phys. Med. 2021, 88, 193–217. [Google Scholar] [CrossRef]
  8. Scarfe, W.C.; Farman, A.G.; Sukovic, P. Clinical applications of cone-beam computed tomography in dental practice. J. Can. Dent. Assoc. 2006, 72, 75. [Google Scholar]
  9. Kolarkodi, S.H. The importance of cone-beam computed tomography in endodontic therapy: A review. Saudi Dent. J. 2023, 35, 780–784. [Google Scholar] [CrossRef]
  10. Pauwels, R. Cone beam CT for dental and maxillofacial imaging: Dose matters. Radiat. Prot. Dosim. 2015, 165, 156–161. [Google Scholar] [CrossRef]
  11. Scarfe, W.C.; Farman, A.G. What is cone-beam CT and how does it work. Dent. Clin. N. Am. 2008, 52, 707–730. [Google Scholar] [CrossRef] [PubMed]
  12. Leung, C.C.; Palomo, L.; Griffith, R.; Hans, M.G. Accuracy and reliability of cone-beam computed tomography for measuring alveolar bone height and detecting bony dehiscences and fenestrations. Am. J. Orthod. Dentofac. Orthop. 2010, 137, 109–119. [Google Scholar] [CrossRef]
  13. Tadinada, A.; Marczak, A.; Yadav, S.; Mukherjee, P.M. Applications of Cone Beam Computed Tomography in Orthodontics: A Review. Turk. J. Orthod. 2016, 29, 73–79. [Google Scholar] [CrossRef] [PubMed]
  14. Garib, D.G.; Calil, L.R.; Leal, C.R.; Janson, G. Is there a consensus for CBCT use in Orthodontics? Dent. Press J. Orthod. 2014, 19, 136–149. [Google Scholar] [CrossRef] [PubMed]
  15. Lovakov, A.; Agadullina, E.R. Empirically derived guidelines for effect size interpretation in social psychology. Eur. J. Soc. Psychol. 2021, 51, 485–504. [Google Scholar] [CrossRef]
  16. Aravindakshan, V.; Hakeem, F.F.; Sabbah, W. Periodontal Disease and Grip Strength among Older Adults. Geriatrics 2020, 5, 46. [Google Scholar] [CrossRef] [PubMed]
  17. Sarajlić, N.; Topićş, B.; Brkić, H.; Alajbeg, I.Z. Aging quantification on alveolar bone loss. Coll. Antropol. 2009, 33, 1165–1170. [Google Scholar] [PubMed]
  18. Kumar, T.A.; Naem, A.; Ak, V.; Mariyam, A.; Krishna, D.; Kumar, P.K. Residual Ridge Resorption: The Unstoppable. Int. J. Appl. Res. 2016, 2, 169–171. [Google Scholar]
  19. Becker, A.; Chaushu, S. Success rate and duration of orthodontic treatment for adult patients with palatally impacted maxillary canines. Am. J. Orthod. Dentofac. Orthop. 2003, 124, 509–514. [Google Scholar] [CrossRef]
  20. Gandhi, V.; Lowney, A.; Cardarelli, L.; Yadav, S.; Tadinada, A. Three-dimensional evaluation of the mandibular symphyseal region in block graft harvesting for dental implants using cone-beam computed tomography. Imaging Sci. Dent. 2020, 50, 217–226. [Google Scholar] [CrossRef]
  21. Zhang, W.; Tullis, J.; Weltman, R. Cone Beam Computerized Tomography Measurement of Alveolar Ridge at Posterior Mandible for Implant Graft Estimation. J. Oral Implantol. 2015, 41, 231–237. [Google Scholar] [CrossRef] [PubMed]
  22. Alfallaj, H. Pre-prosthetic orthodontics. Saudi Dent. J. 2020, 32, 7–14. [Google Scholar] [CrossRef] [PubMed]
  23. Lindskog-Stokland, B.; Hansen, K.; Ekestubbe, A.; Wennström, J.L. Orthodontic tooth movement into edentulous ridge areas—A case series. Eur. J. Orthod. 2013, 35, 277–285. [Google Scholar] [CrossRef] [PubMed]
  24. Kim, D.G. Can dental cone beam computed tomography assess bone mineral density? J. Bone Metab. 2014, 21, 117–126. [Google Scholar] [CrossRef] [PubMed]
  25. Uribe, F.; Padala, S.; Allareddy, V.; Nanda, R. Cone-beam computed tomography evaluation of alveolar ridge width and height changes after orthodontic space opening in patients with congenitally missing maxillary lateral incisors. Am. J. Orthod. Dentofac. Orthop. 2013, 144, 848–859. [Google Scholar] [CrossRef] [PubMed]
  26. Hoang, N.; Nelson, G.; Hatcher, D.; Oberoi, S. Evaluation of mandibular anterior alveolus in different skeletal patterns. Prog. Orthod. 2016, 17, 22. [Google Scholar] [CrossRef]
  27. Ramos, A.L.; Dos Santos, M.C.; de Almeida, M.R.; Mir, C.F. Bone dehiscence formation during orthodontic tooth movement through atrophic alveolar ridges. Angle Orthod. 2019, 90, 321–329. [Google Scholar] [CrossRef]
  28. Ritwiroon, N.; Suzuki, B.; Suzuki, E.Y. Effects of Alveolar Bone Width and Density on the Rate of Orthodontic Tooth Movement. J. Dent. Assoc. Thai. 2021, 71, 1. [Google Scholar]
  29. Machibya, F.M.; Zhuang, Y.; Guo, W.; You, D.; Lin, S.; Wu, D.; Chen, J. Effects of bone regeneration materials and tooth movement timing on canine experimental orthodontic treatment. Angle Orthod. 2018, 88, 171–178. [Google Scholar] [CrossRef]
Figure 1. Measurement of bone width in the edentulous left second premolar area.
Figure 1. Measurement of bone width in the edentulous left second premolar area.
Applsci 13 13241 g001
Figure 2. Measurement of bone width in the right second premolar area.
Figure 2. Measurement of bone width in the right second premolar area.
Applsci 13 13241 g002
Table 1. Distribution of demographic characteristics.
Table 1. Distribution of demographic characteristics.
Age<33≥33
136 (51.3)129 (48.7)
Mean ± Sd 132.67 ± 6.50
Median (Min–Max)32 (18–50)
GenderMaleFemale
129 (48.7)136 (51.3) 1
1 Sd, standard deviation.
Table 2. Distribution of descriptive characteristics.
Table 2. Distribution of descriptive characteristics.
n (%)
Tooth number115 (1.9)
125 (1.9)
131 (0.4)
144 (1.5)
1515 (5.7)
1629 (10.9)
218 (3.0)
221 (0.4)
231 (0.4)
243 (1.1)
2512 (4.5)
2627 (10.2)
272 (0.8)
343 (1.1)
358 (3.0)
3658 (21.9)
378 (3.0)
412 (0.8)
459 (3.4)
4658 (21.9)
476 (2.3)
RegionIncisor23 (8.7)
Premolar54 (20.4)
Molar188 (70.9)
Table 3. Evaluation of vertical and horizontal measurements by region.
Table 3. Evaluation of vertical and horizontal measurements by region.
Region
Insicor (n = 23)Premolar (n = 54)Molar (n = 188)p
Vertical Mean ± Sd18.51 ± 2.8815.84 ± 3.9614.68 ± 4.65a 0.001 **
Median (Min–Max)18.9 (14.2–24.6)16.4 (7.6–23.2)15.7 (1.8–24.9)
Horizontal (0.8 mm)DentulousMean ± Sd7.19 ± 1.509.2 ± 1.6611.03 ± 1.6a 0.001 **
Median (Min–Max)7 (3.7–9.9)8.9 (6.9–15.8)10.8 (6.4–15.6)
EdentulousMean ± Sd3.60 ± 2.124.71 ± 1.194.96 ± 1.98a 0.001 **
Median (Min–Max)2.9 (1.8–9.4)4.6 (2.4–7.6)4.4 (1.6–11.7)
Change Ratio (%)−48.02 ± 29.90−48.05 ± 12.90−55.32 ± 15.18b 0.001 **
pc 0.001 **c 0.001 **c 0.001 **
Horizontal (2.8 mm)DentulousMean ± Sd7.85 ± 1.539.84 ± 1.5912.04 ± 1.81a 0.001 **
Median (Min–Max)8.3 (3.7–10.3)9.5 (7.2–15)11.6 (8–16.5)
EdentulousMean ± Sd5.5 ± 1.717.16 ± 1.477.76 ± 2.45a 0.001 **
Median (Min–Max)5.5 (3–9.6)6.9 (3.6–10.4)7.2 (0–18.6)
Change Ratio (%)−27.75 ± 23.24−26.97 ± 11.97−35.82 ± 15.92b 0.001 **
pd 0.001 **d 0.001 **d 0.001 **
Horizontal (4.8 mm)DentulousMean ± Sd8.15 ± 1.789.85 ± 1.6912.43 ± 1.96a 0.001 **
Median (Min–Max)8.1 (3.7–10.9)9.6 (6.6–15.6)12.3 (8–18.8)
EdentulousMean ± Sd6.49 ± 1.967.99 ± 1.549.21 ± 2.87a 0.001 **
Median (Min–Max)6.5 (3.6–10)8 (4.8–11.2)9 (0–19.8)
Change Ratio (%)−17.66 ± 26.52−18.30 ± 12.97−25.64 ± 19.24b 0.021 *
pd 0.003 **d 0.001 **d 0.001 **
Horizontal (6.8 mm)DentulousMean ± Sd8.47 ± 2.089.8 ± 1.5212.34 ± 2.86a 0.001 **
Median (Min–Max)8.4 (3.7–12.6)9.6 (6–14.4)12.4 (0–19.8)
EdentulousMean ± Sd7.37 ± 2.578.5 ± 1.619.63 ± 3.87a 0.001 **
Median (Min–Max)7.2 (2.9–12.1)8.7 (5.1–12)10 (0–19.8)
Change Ratio (%)−11.04 ± 28.45−12.92 ± 12.96−21.91 ± 27.15b 0.195
pd 0.052d 0.001 **d 0.001 **
a One-way ANOVA; b Kruskal–Wallis Test; c Wilcoxon signed-rank test; d paired samples test; * p < 0.05; ** p < 0.01.
Table 4. Evaluation of the changes in horizontal measurements by gender.
Table 4. Evaluation of the changes in horizontal measurements by gender.
Gender
Male (n = 129)Female (n = 136)p
Horizontal (0.8 mm)Mean ± Sd−54.01 ± 17.97−52.45 ± 15.64a 0.151
Change Ratio (%)Median (Min–Max)−59.26 (−82.62–13.58)−55.56 (−79.19–11.36)
Horizontal (2.8 mm)Mean ± Sd−34.24 ± 18.02−32.44 ± 14.70a 0.291
Change Ratio (%)Median (Min–Max)−35.19 (−100–15.38)−33.54 (−80–14.81)
Horizontal (4.8 mm)Mean ± Sd−23.84 ± 20.15−23.09 ± 18.19a 0.904
Change Ratio (%)Median (Min–Max)−22.58 (−100–27.35)−23.38 (−100–33.58)
Horizontal (6.8 mm)Mean ± Sd−19.61 ± 27.16−18.58 ± 23.53a 0.892
Change Ratio (%)Median (Min–Max)−13.14 (−100–42.47)−15.86 (−100–29.16)
a Mann–Whitney U test.
Table 5. Evaluation of the changes in horizontal measurements by age groups.
Table 5. Evaluation of the changes in horizontal measurements by age groups.
Age
Age < 33 (n = 136)Age < 33 (n = 136)p
Horizontal (0.8 mm)Mean ± Sd−53.17 ± 17.16−53.25 ± 16.48a 0.969
Change Ratio (%)Median (Min–Max)−56.1 (−82.6–13.6)−57.1 (−78.7–11.4)
Horizontal (2.8 mm)Mean ± Sd−32.34 ± 16.32−34.34 ± 16.46a 0.255
Change Ratio (%)Median (Min–Max)−33.3 (−65.4–14.8)−36.1 (−100–15.4)
Horizontal (4.8 mm)Mean ± Sd−23.60 ± 20.29−23.30 ± 17.92a 0.920
Change Ratio (%)Median (Min–Max)−22.4 (−100–33.6)−23.1 (−100–27.4)
Horizontal (6.8 mm)Mean ± Sd−18.85 ± 24.14−19.33 ± 26.57a 0.806
Change Ratio (%)Median (Min–Max)−15.9 (−100–29.2)−15 (−100–42.5)
a Mann–Whitney U test.
Disclaimer/Publisher’s Note: The statements, opinions and data contained in all publications are solely those of the individual author(s) and contributor(s) and not of MDPI and/or the editor(s). MDPI and/or the editor(s) disclaim responsibility for any injury to people or property resulting from any ideas, methods, instructions or products referred to in the content.

Share and Cite

MDPI and ACS Style

Çınarsoy Ciğerim, S.; Öner Talmaç, A.G.; Orhan, Z.D.; Ciğerim, L. Evaluation of Alveolar Bones in the Context of Orthodontic Single-Tooth Space Closure: A Retrospective Cone Beam Computed Tomography-Based Analysis. Appl. Sci. 2023, 13, 13241. https://doi.org/10.3390/app132413241

AMA Style

Çınarsoy Ciğerim S, Öner Talmaç AG, Orhan ZD, Ciğerim L. Evaluation of Alveolar Bones in the Context of Orthodontic Single-Tooth Space Closure: A Retrospective Cone Beam Computed Tomography-Based Analysis. Applied Sciences. 2023; 13(24):13241. https://doi.org/10.3390/app132413241

Chicago/Turabian Style

Çınarsoy Ciğerim, Saadet, Ayşe Gül Öner Talmaç, Zeynep Dilan Orhan, and Levent Ciğerim. 2023. "Evaluation of Alveolar Bones in the Context of Orthodontic Single-Tooth Space Closure: A Retrospective Cone Beam Computed Tomography-Based Analysis" Applied Sciences 13, no. 24: 13241. https://doi.org/10.3390/app132413241

APA Style

Çınarsoy Ciğerim, S., Öner Talmaç, A. G., Orhan, Z. D., & Ciğerim, L. (2023). Evaluation of Alveolar Bones in the Context of Orthodontic Single-Tooth Space Closure: A Retrospective Cone Beam Computed Tomography-Based Analysis. Applied Sciences, 13(24), 13241. https://doi.org/10.3390/app132413241

Note that from the first issue of 2016, this journal uses article numbers instead of page numbers. See further details here.

Article Metrics

Back to TopTop