Evaluation of Masticatory Muscle Function Using Digital versus Traditional Techniques for Mockup Fabrication: A Controlled Prospective Study
Abstract
1. Introduction
2. Materials and Methods
2.1. Procedure
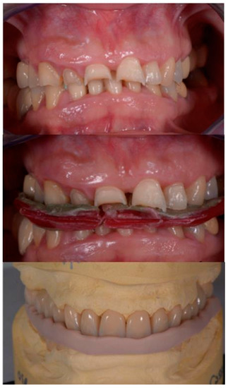
2.2. Temporary and Definitive Prosthesis
2.3. Surface Electromyography
2.4. Statistical Analysis
3. Results
4. Discussion
5. Conclusions
Author Contributions
Funding
Acknowledgments
Conflicts of Interest
Appendix A
| Patient | Group | Gender (F/M) | Age | T0–T2 Interval |
|---|---|---|---|---|
| 1 | digital group | F | 31 | 4 months |
| 2 | digital group | F | 36 | 5 months |
| 3 | digital group | F | 38 | 4 months |
| 4 | digital group | F | 48 | 5 months |
| 5 | digital group | F | 44 | 4 months |
| 6 | digital group | M | 46 | 5 months |
| 7 | digital group | F | 43 | 4 months |
| 8 | digital group | F | 49 | 5 months |
| 9 | digital group | F | 28 | 2 months |
| 10 | digital group | M | 49 | 3 months |
| 11 | digital group | M | 48 | 4 months |
| 12 | digital group | F | 46 | 5 months |
| 13 | traditional group | F | 42 | 3 months |
| 14 | traditional group | F | 40 | 4 months |
| 15 | traditional group | F | 24 | 4 months |
| 16 | traditional group | M | 45 | 5 months |
| 17 | traditional group | F | 65 | 5 months |
| 18 | traditional group | F | 46 | 5 months |
| 19 | traditional group | M | 47 | 4 months |
| 20 | traditional group | F | 36 | 5 months |
| 21 | traditional group | F | 35 | 4 months |
| 22 | traditional group | F | 42 | 5 months |
References
- Green, J.I. Prevention and management of tooth wear: The role of dental technology. Prim. Dent. J. 2016, 5, 30–33. [Google Scholar] [PubMed]
- Grütter, L.; Vailati, F. Full-mouth adhesive rehabilitation in case of severe dental erosion, a minimally invasive approach following the 3-step technique. Eur. J. Esthet Dent. 2013, 8, 358–375. [Google Scholar] [PubMed]
- Koubi, S.; Gurel, G.; Margossian, P.; Massihi, R.; Tassery, H. A simplified approach for restoration of worn dentition using the full mock-up concept: Clinical case reports. Int. J. Periodontics Restor. Dent. 2018, 38, 189–197. [Google Scholar] [CrossRef]
- Fabbri, G.; Cannistraro, G.; Pulcini, C.; Sorrentino, R. The full-mouth mock-up: A dynamic diagnostic approach (DDA) to test function and esthetics in complex rehabilitations with increased vertical dimension of occlusion. Int. J. Esthet. Dent. 2018, 13, 460–474. [Google Scholar] [PubMed]
- Alhajj, M.N.; Khalifa, N.; Abduo, J.; Amran, A.G.; Ismail, I.A. Determination of occlusal vertical dimension for complete dentures patients: An updated review. J. Oral Rehabilit. 2017, 44, 896–907. [Google Scholar] [CrossRef]
- Cattoni, F.; Mastrangelo, F.; Gherlone, E.F.; Gastaldi, G. A new total digital smile planning technique (3D-DSP) to fabricate CAD-CAM mockups for esthetic crowns and veneers. Int. J. Dent. 2016, 2016, 1–5. [Google Scholar] [CrossRef]
- Libonati, A.; Nardi, R.; Gallusi, G.; Angotti, V.; Caruso, S.; Coniglione, F.; Marzo, G.; Mattei, A.; Tecco, S.; Paglia, L. Pain and anxiety associated with computer-controlled local anaesthesia: Systematic review and meta-analysis of cross-over studies. Eur. J. Paediatr Dent. 2018, 19, 324–332. [Google Scholar]
- Nota, A.; Tecco, S.; Cioffi, C.; Beraldi, A.; Padulo, J.; Baldini, A. Occlusion time analysis in military pilots affected by bruxism. Sci. Rep. 2019, 9, 1–4. [Google Scholar] [CrossRef]
- Nota, A.; Tecco, S.; Ehsani, S.; Padulo, J.; Baldini, A. Postural stability in subjects with temporomandibular disorders and healthy controls: A comparative assessment. J. Electromyogr. Kinesiol. 2017, 37, 21–24. [Google Scholar] [CrossRef]
- López-Frías, F.J.; Castellanos-Cosano, L.; Martín-González, J.; Llamas-Carreras, J.M.; Segura-Egea, J.J. Clinical measurement of tooth wear: Tooth Wear Indices. J. Clin. Exp. Dent. 2012, 4, e48–e53. [Google Scholar] [CrossRef]
- Jang, Y.S.; Nguyen, T.D.T.; Ko, Y.H.; Lee, D.W.; Baik, B.J.; Lee, M.H.; Bae, T.S. In vitro wear behavior between enamel cusp and three aesthetic restorative materials: Zirconia, porcelain, and composite resin. J. Adv. Prosthodont. 2019, 11, 7–15. [Google Scholar] [CrossRef] [PubMed]
- Tecco, S.; Mummolo, S.; Marchetti, E.; Teté, S.; Campanella, V.; Gatto, R. sEMG activity of masticatory, neck and trunk muscles during treatment of scoliosis with functional braces. A longitudinal controlled study. J. Electromyogr. Kinesiol. 2011, 21, 885–892. [Google Scholar] [CrossRef] [PubMed]
- Tecco, S.; Baldini, A.; Mummolo, S.; Marchetti, E.; Giuca, M.R.; Marzo, G.; Gherlone, E.F. Frenulectomy of the tongue and the influence of rehabilitation exercises on the sEMG activity of masticatory muscles. J. Electromyogr. Kinesiol. 2015, 25, 619–628. [Google Scholar] [CrossRef] [PubMed]
- Moorrees, C.F. Natural head position—A revival. Am. J. Orthod. Dentofac. Orthop. 1994, 105, 512–513. [Google Scholar] [CrossRef]
- Silvestrini-Biavati, A.; Migliorati, M.; Demarziani, E.; Tecco, S.; Silvestrini-Biavati, P.; Polimeni, A.; Saccucci, M. Clinical association between teeth malocclusions, wrong posture and ocular convergence disorders: An epidemiological investigation on primary school children. BMC Pediatr. 2013, 13, 12. [Google Scholar] [CrossRef] [PubMed]
- Ciuffolo, F.; Manzoli, L.; Ferritto, A.L.; Tecco, S.; D’Attilio, M.; Festa, F. Surface electromyographic response of the neck muscles to maximal voluntary clenching of the teeth. J. Oral Rehabilit. 2005, 32, 79–84. [Google Scholar] [CrossRef]
- Ferrario, V.F.; Sforza, C.; Colombo, A.; Ciusa, V. An electromyographic investigation of masticatory muscles symmetry in normo-occlusion subjects. J. Oral Rehabilit. 2000, 27, 33–40. [Google Scholar] [CrossRef]
- Ferrario, V.F.; Sforza, C. Coordinated electromyographic activity of the human masseter and temporalis anterior muscles during mastication. Eur. J. Oral Sci. 1996, 104, 511–517. [Google Scholar] [CrossRef]
- Ferrario, V.F.; Sforza, C.; Serrao, G.; Colombo, A.; Schmitz, J.H. The effects of a single intercuspal interference on electromyographic characteristics of human masticatory muscles during maximal voluntary teeth clenching. Cranio 1999, 17, 184–188. [Google Scholar] [CrossRef]
- Sforza, C.; Tartaglia, G.M.; Solimene, U.; Morgun, V.; Kaspranskiy, R.R.; Ferrario, V.F. Occlusion, sternocleidomastoid muscle activity, and body sway: A pilot study in male astronauts. Cranio 2006, 24, 43–49. [Google Scholar] [CrossRef]
- Sforza, C.; Zanotti, G.; Mantovani, E.; Ferrario, V.F. Fatigue in the masseter and temporalis muscles at constant load. Cranio 2007, 25, 30–36. [Google Scholar] [CrossRef] [PubMed]
- Botelho, A.L.; Gentil, F.H.U.; Sforza, C.; Da Silva, M.A.M.R. Standardization of the electromyographic signal through the maximum isometric voluntary contraction. Cranio 2011, 29, 23–31. [Google Scholar] [CrossRef] [PubMed]
- Sforza, C.; Rosati, R.; De Menezes, M.; Musto, F.; Toma, M. EMG analysis of trapezius and masticatory muscles: Experimental protocol and data reproducibility. J. Oral Rehabilit. 2011, 38, 648–654. [Google Scholar] [CrossRef]
- Mummolo, S.; Nota, A.; Tecco, S.; Caruso, S.; Marchetti, E.; Marzo, G.; Cutilli, T. Ultra-low-frequency transcutaneous electric nerve stimulation (ULF-TENS) in subjects with craniofacial pain: A retrospective study. Cranio 2018, 8, 1–6. [Google Scholar] [CrossRef] [PubMed]
- Kumar, M.; Verma, R.; Bansal, M.; Singh, S.; Rehan, S.; Kumar, V. Simran to evaluate the severity, distribution of occlusal tooth wear and its correlation with bite force in young North Indian adults. Open Dent. J. 2018, 12, 735–741. [Google Scholar] [CrossRef]
- Tecco, S.; Tetè, S.; D’Attilio, M.; Perillo, L.; Festa, F. Surface electromyographic patterns of masticatory, neck, and trunk muscles in temporomandibular joint dysfunction patients undergoing anterior repositioning splint therapy. Eur. J. Orthod. 2008, 30, 592–597. [Google Scholar] [CrossRef]
- Fabbri, G.; Sorrentino, R.; Cannistraro, G. Increasing the vertical dimension of occlusion: A multicenter retrospective clinical comparative study on 100 patients with fixed tooth-supported, mixed, and implant-supported full-arch rehabilitations. Int. J. Periodontics Restor. Dent. 2018, 38, 323–335. [Google Scholar] [CrossRef]
- Sierpinska, T.; Kuć, J.; Gołebiewska, M. Morphological and functional parameters in patients with tooth wear before and after treatment. Open Dent. J. 2013, 7, 55–61. [Google Scholar] [CrossRef]
- Rosentritt, M.; Raab, P.; Hahnel, S.; Stöckle, M.; Preis, V. In-vitro performance of CAD/CAM-fabricated implant-supported temporary crowns. Clin. Oral Investig. 2017, 21, 2581–2587. [Google Scholar] [CrossRef]




| Variable | Name | Significance | Normal Value |
|---|---|---|---|
| POC TA | Percentage overlapping coefficient (anterior temporalis muscles) | A measure of the predominance of the right or left anterior temporalis in the anterior teeth contacts | 83% ≤ X ≤ 100% |
| POC MM | Percentage overlapping coefficient (masseter muscles) | A measure of the predominance of the right or left masseter in the posterior teeth contacts | 83% ≤ X ≤ 100% |
| BAR | Percentage overlapping coefficient between posterior and anterior teeth contact | A measure of the predominance of the posterior or anterior teeth contacts | 90% ≤ X ≤ 100% |
| TORS | Torsion index: percentage of torsion of the mandible | It is obtained by comparing the torque of the crossed muscle pairs: comparison between the torque of the right temporal and left masseter pair (for convention torque to the right) with the torque of the left temporal and right masseter pair (for convention torque to the left). | 90% ≤ X ≤ 100% |
| IMP | Impact index: work performed by the muscle during its contractile activity. | The work is represented geometrically by the area subtended to the curve of electrical activity of the muscles examined over time. | 85% ≤ X ≤ 115% |
| ASIM | Asymmetry index: distribution of the occlusal contacts considering the right and left parts of dental arches, on the frontal plane. The pairs of muscles examined are represented by the temporal and masseter muscles | It evaluates the distribution of the occlusal contacts on the two arches, right and left, and the activities performed by the temporal and masseter muscles during clenching. | −10% ≤ X ≤ +10% |
| TOT | Total muscular work | Muscular work globally produced by the four analyzed muscles |
| Variable | T0 (n = 10) | T1 (n = 10) | T2 (n = 10) | T0 vs. T1 | T1 vs. T2 | T0 vs. T2 |
|---|---|---|---|---|---|---|
| Mean ± SD | Mean ± SD | Mean ± SD | p-Value | p-Value | p-Value | |
| POC TA | 77.8 ± 10.28 | 85.15 ± 3.07 | 86.1 ± 4.1 | 0.017 * | 0.203 | 0.005 ** |
| POC MM | 82.47 ± 4.85 | 84.34 ± 4.9 | 85.87 ± 2.6 | 0.285 | 0.285 | 0.139 |
| BAR | 78.89 ± 13.2 | 85.72 ± 4.9 | 88.92 ± 2.8 | 0.059 | 0.093 | 0.013 * |
| TORS | 86.84 ± 4.10 | 89.41 ± 1.8 | 90.19 ± 1.86 | 0.203 | 0.333 | 0.093 |
| IMP | 70.88 ± 14.34 | 108.58 ± 36.11 | 113.3 ± 51.19 | 0.007 ** | 0.799 | 0.022 * |
| ASIM | 2.7 ± 12.23 | 3.79 ± 5.17 | 1.82 ± 7.39 | 0.799 | 0.333 | 0.799 |
| TOT | 80.80 ± 7.33 | 86.10 ± 2.6 | 88.1 ± 2.33 | 0.008 ** | 0.007 ** | 0.005 ** |
| Variable | T0 (n = 12) | T1 (n = 12) | T2 (n = 12) | T0 vs. T1 | T1 vs. T2 | T0 vs. T2 |
|---|---|---|---|---|---|---|
| Mean ± SD | Mean ± SD | Mean ± SD | p-Value | p-Value | p-Value | |
| POC TA | 76.84 ± 18.21 | 83.13 ± 7.48 | 84.99 ± 5.20 | 0.695 | 0.084 | 0.084 |
| POC MM | 80.72 ± 8.28 | 79.89 ± 10.01 | 85.26 ± 6.33 | 0.875 | 0.019 * | 0.012 * |
| BAR | 77.94 ± 17.96 | 86.48 ± 8.12 | 88.58 ± 4.63 | 0.019 * | 0.041 * | 0.005 ** |
| TORS | 85.81 ± 5.47 | 88.04 ± 4.98 | 90.71 ± 1.92 | 0.084 | 0.015 * | 0.002 ** |
| IMP | 102.59 ± 38.88 | 107.54 ± 57.24 | 111.21 ± 54.77 | 0.48 | 0.875 | 1 |
| ASIM | 4.15 ± 18.15 | 1.12 ± 16.28 | 0.78 ± 40.85 | 0.388 | 0.754 | 0.388 |
| TOT | 79.83 ± 9.57 | 84.92 ± 6.26 | 87.58 ± 3.9 | 0.004 ** | 0.007 ** | 0.003 ** |
| ∆1 = T1–T0 | ∆2 = T2–T1 | ∆3 = T2–T0 | |||||||
|---|---|---|---|---|---|---|---|---|---|
| Variable | Traditional (n = 10) | CAD (n = 12) | Traditional (n = 10) | CAD (n = 12) | Traditional (n = 10) | CAD (n = 12) | |||
| Mean ± SD | Mean ± SD | p-Value | Mean ± SD | Mean ± SD | p-Value | Mean ± SD | Mean ± SD | p-Value | |
| POC TA | 7.33 ± 9.59 | 6.29 ± 18.23 | 0.129 | 0.96 ± 2.51 | 1.87 ± 4.18 | 0.644 | 8.29 ± 10.68 | 8.16 ± 17.84 | 0.51 |
| POC MM | 1.87 ± 5.04 | −0.84 ± 7.02 | 0.429 | 1.53 ± 4.53 | 5.37 ± 7.10 | 0.262 | 3.40 ± 5.79 | 4.53 ± 6.23 | 0.692 |
| BAR | 6.84 ± 13.47 | 8.54 ± 12 | 0.692 | 3.19 ± 4.63 | 2.10 ± 5.53 | 0.921 | 10.03 ± 13.14 | 10.64 ± 15.57 | 1 |
| TORS | 2.57 ± 4.89 | 2.23 ± 6.28 | 0.843 | 0.78 ± 2.11 | 2.67 ± 4.15 | 0.291 | 3.35 ± 5.25 | 4.89 ± 4.95 | 0.468 |
| IMP | 37.70 ± 32.60 | 4.95 ± 63.4 | 0.012 * | 4.67 ± 69.91 | 3.67 ± 45.50 | 0.553 | 42.37 ± 52.18 | 8.62 ± 45.54 | 0.075 |
| ASIM | 1.09 ± 13.55 | −3.03 ± 14.58 | 0.692 | −1.97 ± 5.24 | −0.34 ± 14.76 | 0.391 | −0.88 ± 13.27 | −3.36 ± 16.06 | 0.644 |
| TOT | 5.30 ± 7.89 | 5.08 ± 6.19 | 0.868 | 2.00 ± 1.41 | 2.67 ± 3.68 | 0.838 | 7.3 ± 7.63 | 7.75 ± 7.28 | 0.895 |
© 2020 by the authors. Licensee MDPI, Basel, Switzerland. This article is an open access article distributed under the terms and conditions of the Creative Commons Attribution (CC BY) license (http://creativecommons.org/licenses/by/4.0/).
Share and Cite
Tecco, S.; Cattoni, F.; Darvizeh, A.; Bosco, F.; Sanci, V.; Nota, A.; Gastaldi, G.; Gherlone, E.F. Evaluation of Masticatory Muscle Function Using Digital versus Traditional Techniques for Mockup Fabrication: A Controlled Prospective Study. Appl. Sci. 2020, 10, 6013. https://doi.org/10.3390/app10176013
Tecco S, Cattoni F, Darvizeh A, Bosco F, Sanci V, Nota A, Gastaldi G, Gherlone EF. Evaluation of Masticatory Muscle Function Using Digital versus Traditional Techniques for Mockup Fabrication: A Controlled Prospective Study. Applied Sciences. 2020; 10(17):6013. https://doi.org/10.3390/app10176013
Chicago/Turabian StyleTecco, Simona, Francesca Cattoni, Atanaz Darvizeh, Floriana Bosco, Vincenzo Sanci, Alessandro Nota, Giorgio Gastaldi, and Enrico Felice Gherlone. 2020. "Evaluation of Masticatory Muscle Function Using Digital versus Traditional Techniques for Mockup Fabrication: A Controlled Prospective Study" Applied Sciences 10, no. 17: 6013. https://doi.org/10.3390/app10176013
APA StyleTecco, S., Cattoni, F., Darvizeh, A., Bosco, F., Sanci, V., Nota, A., Gastaldi, G., & Gherlone, E. F. (2020). Evaluation of Masticatory Muscle Function Using Digital versus Traditional Techniques for Mockup Fabrication: A Controlled Prospective Study. Applied Sciences, 10(17), 6013. https://doi.org/10.3390/app10176013

