Advanced Imaging for Congenital Left Ventricular Diverticulum in a Dog: The Role of Electrocardiosynchronous CT
Simple Summary
Abstract
1. Introduction
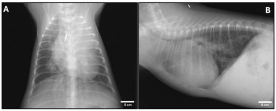
2. Case Presentation
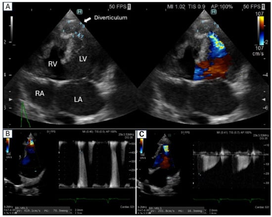
3. Echocardiography
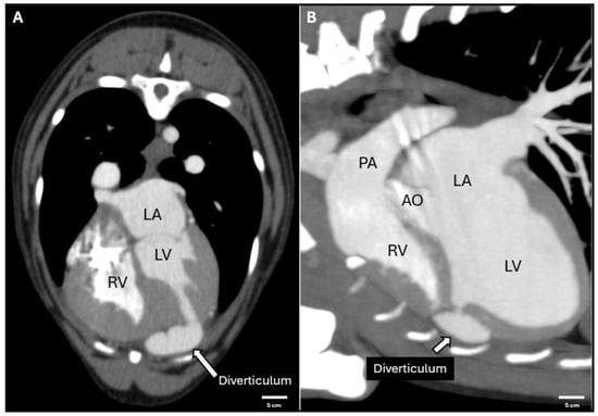
4. Cardiac Synchronous Computed Tomography
5. Discussion
6. Conclusions
Author Contributions
Funding
Institutional Review Board Statement
Informed Consent Statement
Data Availability Statement
Acknowledgments
Conflicts of Interest
References
- Herráez, P.; Rodríguez, F.; Aguirre-Sanceledonio, M.; Edwards, J.F.; Suárez-Bonnet, A.; Espinosa de Los Monteros, A. Congenital Biventricular Cardiac Diverticula in a Dog. Vet. Pathol. 2011, 48, 456–459. [Google Scholar] [CrossRef] [PubMed]
- Okereke, O.U.J.; Cooley, D.A.; Frazier, O.H. Congenital Diverticulum of the Ventricle. J. Thorac. Cardiovasc. Surg. 1986, 91, 208–214. [Google Scholar] [CrossRef] [PubMed]
- Ohlow, M.-A. Congenital Left Ventricular Aneurysms and Diverticula: Definition, Pathophysiology, Clinical Relevance and Treatment. Cardiology 2006, 106, 63–72. [Google Scholar] [CrossRef] [PubMed]
- Alsallamin, I.; Ahmed, E.N.; Wazir, M.; Mtour, S.M. A Rare Case of Congenital Left Ventricular Diverticulum with Apical Thrombus: Diagnostic Challenges and Management Insights. Cureus 2024, 16, e56662. [Google Scholar] [CrossRef]
- Yao, M.; Wang, R.; Ye, W.; Ren, C. Surgical Treatment of Congenital Left Ventricular Diverticulum. J. Thorac. Dis. 2021, 13, 291. [Google Scholar] [CrossRef]
- Masuda, Y.; Yoshida, H.; Morooka, N.; Takahashi, O.; Watanabe, S.; Inagaki, Y.; Uchiyama, G.; Tateno, Y. ECG Synchronized Computed Tomography in Clinical Evaluation of Total and Regional Cardiac Motion: Comparison of Postmyocardial Infarction to Normal Hearts by Rapid Sequential Imaging. Am. Heart J. 1982, 103, 230–238. [Google Scholar] [CrossRef]
- Ohlow, M.-A.; Von Korn, H.; Lauer, B. Characteristics and Outcome of Congenital Left Ventricular Aneurysm and Diverticulum: Analysis of 809 Cases Published since 1816. Int. J. Cardiol. 2015, 185, 34–45. [Google Scholar] [CrossRef] [PubMed]
- Koh, J.H.; Lee, H.J.; Choi, J.; Ahn, J.W. Prenatal Diagnosis of Right-Sided Congenital Ventricular Diverticulum (CVD) Assisted by Spatiotemporal Image Correlation (STIC) Acquisition and the Speckle-Tracking Technique to Assess Fetal Cardiac Function: A Case Report. Diagnostics 2022, 12, 2438. [Google Scholar] [CrossRef]
- Fang, Y.; An, Q.; Yu, T.; Luo, S. Partial Resection of Large Congenital Left Ventricular Diverticulum in an Infant: A Case Report. BMC Surg. 2020, 20, 146. [Google Scholar] [CrossRef] [PubMed]
- Claus, I.; Adriaenssens, B.; Van Beeumen, K.; Timmers, L.; Bové, T. Congenital Left Ventricular Diverticulum: A Rare Cause of Cardiac Arrhythmia. J. Card. Surg. 2020, 35, 926–929. [Google Scholar] [CrossRef]
- Jung, J.C.; Oh, H.C.; Kim, K.-H. Isolated Congenital Left Ventricular Diverticulum in Adults. Korean J. Thorac. Cardiovasc. Surg. 2015, 48, 355. [Google Scholar] [CrossRef] [PubMed]
- Archbold, R.A.; Robinson, N.M.; Mills, P.G. Long-Term Follow-up of a True Contractile Left Ventricular Diverticulum. Am. J. Cardiol. 1999, 83, 810–813. [Google Scholar] [CrossRef] [PubMed]
- Cantrell, J.R.; Haller, J.A.; Ravitch, M.M. A Syndrome of Congenital Defects Involving the Abdominal Wall, Sternum, Diaphragm, Pericardium, and Heart. Surg. Gynecol. Obs. 1958, 107, 602–614. [Google Scholar]
- Bako, D.; Epçaçan, S.; Giray, D.; Epçaçan, Z.K. Congenital Biventricular Cardiac Diverticula as a Part of Class III Cantrell’s Syndrome: Case Report. Cardiol. Young 2023, 33, 133–135. [Google Scholar] [CrossRef] [PubMed]
- Potter, E.; Marwick, T.H. Assessment of Left Ventricular Function by Echocardiography: The Case for Routinely Adding Global Longitudinal Strain to Ejection Fraction. JACC Cardiovasc. Imaging 2018, 11, 260–274. [Google Scholar] [CrossRef] [PubMed]
- Gab Allah, A.M.; Noah, S.H.; Shokr, A.M. Assessment of Left Ventricular Systolic Function by Speckle Tracking Echocardiography in Young Hypertensive Patients. Al-Azhar Int. Med. J. 2022, 3, 1–8. [Google Scholar] [CrossRef]
- Tidholm, A.; Ljungvall, I.; Höglund, K.; Westling, A.B.; Häggström, J. Tissue Doppler and Strain Imaging in Dogs with Myxomatous Mitral Valve Disease in Different Stages of Congestive Heart Failure. J. Vet. Intern. Med. 2009, 23, 1197–1207. [Google Scholar] [CrossRef] [PubMed]
- Voorhees, A.P.; Han, H.-C. Biomechanics of Cardiac Function. Compr. Physiol. 2015, 5, 1623. [Google Scholar]
- Dostálová, G.; Paleček, T.; Kuchynka, P.; Havránek, Š.; Mašek, M.; Hlubocká, Z.; Karetová, D.; Wichterle, D.; Dušková, J.; Lindner, J. A Congenital Diverticulum of the Left Ventricular Apex Manifested by Stroke and Recurrent Ventricular Tachycardia. Cardiovasc. Pathol. 2017, 28, 3–6. [Google Scholar] [CrossRef]
- Makkuni, P.; Kotler, M.N.; Figueredo, V.M. Diverticular and Aneurysmal Structures of the Left Ventricle in Adults: Report of a Case within the Context of a Literature Review. Texas Hear. Inst. J. 2010, 37, 699. [Google Scholar]
- Hajsadeghi, S.; Pazoki, M.; Talebitaher, M.; Iranpour, A. Giant Congenital Left Ventricular Diverticulum Associated with Infective Endocarditis: A Diagnosis Made by Tissue Doppler Echocardiography. J. Cardiol. Cases 2016, 14, 127–129. [Google Scholar] [CrossRef] [PubMed]
- Aljuhani, M.Z.; Ahmed, H.A.; Almasood, A.A.; Alsehly, A.A. The Importance of Advanced Imaging by Cardiac Magnetic Resonance Imaging in Diagnosing Congenital Left Ventricular Diverticulum. Cureus 2023, 15, e40302. [Google Scholar] [CrossRef] [PubMed]




| Parameters | Day 18 | Day 128 |
|---|---|---|
| LVIDd (mm) | 18.4 | 23.0 |
| FS (%) | 48.3 | 51.6 |
| RVOTv (cm/s) | 214.1 | 208.1 |
| LVOTv (cm/s) | 107.0 | 100.6 |
| Ev (cm/s) | 131.1 | 83.2 |
| E/A | 1.03 | 0.87 |
| s’sep (cm/s) | 9.0 | 7.9 |
| e’sep (cm/s) | 6.8 | 4.5 |
| E/e’sep | 19.38 | 16.71 |
| s’lat (cm/s) | 7.4 | 12.9 |
| e’lat (cm/s) | 11.1 | 7.1 |
| E/e’ lat | 11.77 | 10.64 |
| MRv | trivial | trivial |
| VSDv (cm/s) | 296.3 | 235.0 |
| VSD diameter (mm) | 6.8 | 7.2 |
| PRv (cm/s) | trivial | 427.0 |
| PA/AO | 1.59 | 1.60 |
| Qp/Qs | 3.91 | 4.97 |
Disclaimer/Publisher’s Note: The statements, opinions and data contained in all publications are solely those of the individual author(s) and contributor(s) and not of MDPI and/or the editor(s). MDPI and/or the editor(s) disclaim responsibility for any injury to people or property resulting from any ideas, methods, instructions or products referred to in the content. |
© 2025 by the authors. Licensee MDPI, Basel, Switzerland. This article is an open access article distributed under the terms and conditions of the Creative Commons Attribution (CC BY) license (https://creativecommons.org/licenses/by/4.0/).
Share and Cite
Hirose, M.; Hamabe, L.; Shimada, K.; Takeuchi, A.; Terai, K.; Yokoi, A.; Farag, A.; Hatanaka, A.; Hayashi, R.; Matsuura, K.; et al. Advanced Imaging for Congenital Left Ventricular Diverticulum in a Dog: The Role of Electrocardiosynchronous CT. Animals 2025, 15, 280. https://doi.org/10.3390/ani15020280
Hirose M, Hamabe L, Shimada K, Takeuchi A, Terai K, Yokoi A, Farag A, Hatanaka A, Hayashi R, Matsuura K, et al. Advanced Imaging for Congenital Left Ventricular Diverticulum in a Dog: The Role of Electrocardiosynchronous CT. Animals. 2025; 15(2):280. https://doi.org/10.3390/ani15020280
Chicago/Turabian StyleHirose, Miki, Lina Hamabe, Kazumi Shimada, Aki Takeuchi, Kazuyuki Terai, Aimi Yokoi, Ahmed Farag, Akari Hatanaka, Rio Hayashi, Katsuhiro Matsuura, and et al. 2025. "Advanced Imaging for Congenital Left Ventricular Diverticulum in a Dog: The Role of Electrocardiosynchronous CT" Animals 15, no. 2: 280. https://doi.org/10.3390/ani15020280
APA StyleHirose, M., Hamabe, L., Shimada, K., Takeuchi, A., Terai, K., Yokoi, A., Farag, A., Hatanaka, A., Hayashi, R., Matsuura, K., & Tanaka, R. (2025). Advanced Imaging for Congenital Left Ventricular Diverticulum in a Dog: The Role of Electrocardiosynchronous CT. Animals, 15(2), 280. https://doi.org/10.3390/ani15020280

