Sign in to use this feature.

Years

Between: -

Subjects

remove_circle_outline
remove_circle_outline
remove_circle_outline
remove_circle_outline
remove_circle_outline
remove_circle_outline
remove_circle_outline
remove_circle_outline
remove_circle_outline

Journals

remove_circle_outline
remove_circle_outline
remove_circle_outline
remove_circle_outline
remove_circle_outline
remove_circle_outline
remove_circle_outline
remove_circle_outline
remove_circle_outline
remove_circle_outline
remove_circle_outline
remove_circle_outline
remove_circle_outline
remove_circle_outline
remove_circle_outline
remove_circle_outline
remove_circle_outline
remove_circle_outline

Article Types

Countries / Regions

remove_circle_outline
remove_circle_outline
remove_circle_outline
remove_circle_outline
remove_circle_outline
remove_circle_outline
remove_circle_outline
remove_circle_outline
remove_circle_outline

Search Results (3,265)

Search Parameters:
Keywords = echocardiography

Order results
Result details
Results per page
Select all
Export citation of selected articles as:
28 pages, 2501 KB  
Article
Assessment of Potential Predictors of Aortic Stenosis Severity Using ECG-Gated Multidetector CT in Patients with Bicuspid and Tricuspid Aortic Valves Prior to TAVI
by Piotr Machowiec, Piotr Przybylski and Elżbieta Czekajska-Chehab
J. Clin. Med. 2026, 15(2), 551; https://doi.org/10.3390/jcm15020551 - 9 Jan 2026
Abstract
Background/Objectives: The aim of this study was to evaluate the usefulness of selected predictive parameters obtainable from cardiac multidetector computed tomography for assessing the severity of aortic valve stenosis in patients scheduled for transcatheter aortic valve implantation (TAVI). Methods: A detailed [...] Read more.
Background/Objectives: The aim of this study was to evaluate the usefulness of selected predictive parameters obtainable from cardiac multidetector computed tomography for assessing the severity of aortic valve stenosis in patients scheduled for transcatheter aortic valve implantation (TAVI). Methods: A detailed retrospective analysis was performed on 105 patients with a bicuspid aortic valve (BAV), selected from a cohort of 1000 patients with BAV confirmed on ECG-gated CT, and on 105 patients with a tricuspid aortic valve (TAV) matched for sex and age. All patients included in both groups had significant aortic stenosis confirmed on transthoracic echocardiography. Results: Across the entire cohort, a trend toward higher aortic valve calcium scores was observed in patients with bicuspid compared to tricuspid aortic valves (4194.8 ± 2748.7 vs. 3335.0 ± 1618.8), although this difference did not reach statistical significance (p = 0.080). However, sex-stratified analysis showed higher calcium scores in males with BAV than with TAV (5596.8 ± 2936.6 vs. 4061.4 ± 1659.8, p = 0.002), with no significant difference observed among females (p > 0.05). Univariate regression analysis showed that the aortic valve calcium score was the strongest statistically significant predictor of aortic stenosis severity in both groups, with R2 = 0.224 for BAV and R2 = 0.479 for TAV. In the multiple regression model without interaction terms, the explanatory power increased to R2 = 0.280 for BAV and R2 = 0.495 for TAV. Conclusions: In patients scheduled for TAVI, linear regression models assess the severity of aortic stenosis more accurately than any individual predictive parameter obtainable from ECG-CT, with the aortic valve Agatston score emerging as the most reliable single CT-derived predictor of stenosis severity in both TAV and BAV subgroups. Full article
(This article belongs to the Special Issue Advances in Cardiovascular Computed Tomography (CT))
12 pages, 988 KB  
Article
Predictive Value of Apelin-36 for No-Reflow Phenomenon in STEMI Patients
by Xhevdet Krasniqi, Xhevat Jakupi, Josip Vincelj, Gresa Gojani, Petrit Çuni, Labinot Shahini, Adriana Berisha, Kreshnik Jashari, Blerim Berisha and Aurora Bakalli
Life 2026, 16(1), 94; https://doi.org/10.3390/life16010094 - 8 Jan 2026
Viewed by 43
Abstract
Background: In patients with ST-segment elevation myocardial infarction (STEMI), apelin is upregulated and exerts cardioprotective effects against ischemia–reperfusion injury (IRI). The present study aimed to investigate serum apelin-36 levels in STEMI patients and their relationship with the no-reflow phenomenon. Methods: In this study, [...] Read more.
Background: In patients with ST-segment elevation myocardial infarction (STEMI), apelin is upregulated and exerts cardioprotective effects against ischemia–reperfusion injury (IRI). The present study aimed to investigate serum apelin-36 levels in STEMI patients and their relationship with the no-reflow phenomenon. Methods: In this study, 161 patients presenting with STEMI within 12 h of symptom onset and undergoing primary percutaneous coronary intervention (pPCI) were enrolled. Biochemical parameters, including apelin-36, troponin T, creatine kinase (CK), the MB fraction of creatine kinase (CK-MB), total cholesterol, triglycerides, and other routine laboratory parameters, were measured. Two-dimensional echocardiography was performed in all patients. Thereafter, patients were divided into two groups according to their level of aaapelin-36. Results: Among the 161 consecutive STEMI patients, 115 (71.42%) had Apelin-36 levels ≤ 0.58 ng/mL (group 1), whereas 46 (28.57%) had Apelin-36 levels > 0.58 ng/mL (group 2). In total, 51 (31.67%) STEMI patients experienced no-reflow phenomenon after PCI: 29 (25.21%) of patients with apelin-36 ≤ 0.58 ng/mL and 22 (47.82%) of those with a value > 0.58 ng/mL (p < 0.001). In terms of Gensini score, the mean value in group 1 was 70.29 (±28.76), while in group 2, it was 81.95 (±23.82) (p = 0.004). Overall, a positive correlation between apelin-36 and Gensini score was observed in both groups using Kendall’s correlation analysis (group 1: p = 0.05; group 2: p < 0.0001). Binary logistic regression analysis identified apelin-36 and diabetes mellitus as significant predictors at the 5% level, with p-values of 0.045 and 0.036, respectively. Patients with apelin-36 levels ≤ 0.58 ng/mL had troponin T levels of 290.0 (8.5–9510.0), while those with a value > 0.58 ng/mL had troponin T levels of 132.15 (9.4–5190.0) (p < 0.012). The receiver operating characteristics (ROC) curve of apelin-36 was used to plot the true positive rate against the false positive rate at different cut-off points, with AUC = 0.77 (95% CI, 0.69–0.84), and the cut-off value for apelin-36 was 0.58 ng/mL, with p = 0.001. Conclusions: Significant associations were observed between apelin-36 and the no-reflow phenomenon in patients with STEMI. An apelin-36 cut-off value of 0.58 ng/mL, measured at admission, could be used to identify patients who were at increased risk of no-reflow phenomenon/reperfusion injury. Full article
(This article belongs to the Section Medical Research)
Show Figures

Figure 1

12 pages, 876 KB  
Article
Association Between Septal Implantation Level and Pacing Threshold Stability in Leadless Pacemaker Implantation
by Dong-Hyeok Kim, Yeji Kim, Seung Woo Lee, Jeongmin Kang and Junbeom Park
J. Clin. Med. 2026, 15(2), 468; https://doi.org/10.3390/jcm15020468 - 7 Jan 2026
Viewed by 76
Abstract
Background/Objective: Leadless pacemakers (LPs, Micra™, Medtronic) offer a safe alternative to traditional transvenous systems. However, optimal implantation site within the right ventricular septum (RVS) and its effect on long-term pacing threshold stability remains under debate. The aim was to evaluate the relationship between [...] Read more.
Background/Objective: Leadless pacemakers (LPs, Micra™, Medtronic) offer a safe alternative to traditional transvenous systems. However, optimal implantation site within the right ventricular septum (RVS) and its effect on long-term pacing threshold stability remains under debate. The aim was to evaluate the relationship between pacing site within the RVS and pacing threshold stability following leadless pacemaker implantation. Methods: We retrospectively analyzed 36 patients who underwent LP implantation at two centers between 2022 and 2023. Patients were classified into two groups based on final device position by fluoroscopy: Group A (mid or upper RVS, n = 8) and Group B (low or apical RVS, n = 28). Pacing threshold, QRS duration, and left ventricular ejection fraction (LVEF) were assessed over 6 months. Results: At the 6-month follow-up, Group A demonstrated significantly lower and more stable pacing thresholds compared to Group B (0.57 ± 0.09 mV vs. 1.55 ± 0.97 mV, p < 0.001). No significant differences were observed in QRS duration or LVEF changes between groups. Echocardiography did not reveal new-onset tricuspid regurgitation. Conclusions: Given the small sample size, particularly in the mid/high septal group, these findings should be interpreted as hypothesis-generating and require confirmation in larger prospective studies. These findings highlight the importance of careful anatomical targeting during LP implantation. Prospective studies incorporating advanced imaging are warranted to confirm these results and evaluate long-term clinical outcomes. Full article
(This article belongs to the Section Cardiovascular Medicine)
Show Figures

Figure 1

13 pages, 1309 KB  
Case Report
Left Atrial Thrombus and Cardioembolic Stroke in Chagas Cardiomyopathy Presenting with Atrial Flutter: A Case Report
by Mauricio Sebastián Moreno-Bejarano, Israel Silva-Patiño, Andrea Cristina Aragón-Jácome, Juan Esteban Aguilar, Ana Sofía Cepeda-Zaldumbide, Angela Velez-Reyes, Camila Salazar-Santoliva, Jorge Vasconez-Gonzalez, Juan S. Izquierdo-Condoy and Esteban Ortiz-Prado
J. Clin. Med. 2026, 15(2), 456; https://doi.org/10.3390/jcm15020456 - 7 Jan 2026
Viewed by 115
Abstract
Background: Chagas disease, caused by Trypanosoma cruzi, remains endemic throughout Latin America but is increasingly reported in urban areas due to migration and vector adaptation. The cardiac form is the most severe manifestation, associated with arrhythmia, mural thrombus formation, and a [...] Read more.
Background: Chagas disease, caused by Trypanosoma cruzi, remains endemic throughout Latin America but is increasingly reported in urban areas due to migration and vector adaptation. The cardiac form is the most severe manifestation, associated with arrhythmia, mural thrombus formation, and a high risk of cardioembolic events. Stroke secondary to Chagas cardiomyopathy is uncommon and poses diagnostic and therapeutic challenges. Case Presentation: A 58-year-old woman with serologic evidence of T. cruzi infection presented with sudden-onset dyspnea, oppressive chest pain, and left-sided weakness. Neurological examination revealed left brachiocrural hemiparesis and mild dysarthria (NIHSS = 9). Non-contrast cranial CT showed an acute infarct in the right middle cerebral artery territory (ASPECTS = 7). Electrocardiography demonstrated typical atrial flutter with variable conduction, and transthoracic echocardiography revealed a markedly dilated left atrium containing a mural thrombus and a left ventricular ejection fraction of 45%. Intravenous thrombolysis with alteplase (0.9 mg/kg) was administered within 4.5 h of symptom onset. Pharmacologic rhythm control was achieved using intravenous and oral amiodarone, followed by oral anticoagulation with warfarin (target INR 2.0–3.0) after excluding hemorrhagic transformation. The patient showed rapid neurological improvement (NIHSS reduction from 9 to 2) and was discharged on day 10 with minimal residual deficit (mRS = 1), sinus rhythm, and stable hemodynamics. Conclusions: This case highlights the rare coexistence of Chagas cardiomyopathy, atrial flutter, and cardioembolic stroke due to left atrial thrombus. Early recognition, adherence to evidence-based guidelines, and multidisciplinary management were key to achieving a favorable outcome. Timely diagnosis and intervention remain crucial to preventing severe complications in patients with Chagas disease. Full article
(This article belongs to the Section Cardiovascular Medicine)
Show Figures

Figure 1

21 pages, 2156 KB  
Review
Unmasking the Apex: Multimodality Imaging for the Evaluation of Left Ventricular Apical Obliteration
by Ilaria Dentamaro, Marco Maria Dicorato, Paolo Basile, Maria Cristina Carella, Francesco Mangini, Rita Musci, Roberta Ruggieri, Eduardo Urgesi, Laura Piscitelli, Sergio Dentamaro, Gianluca Pontone, Cinzia Forleo, Marco Matteo Ciccone and Andrea Igoren Guaricci
Diagnostics 2026, 16(2), 184; https://doi.org/10.3390/diagnostics16020184 - 7 Jan 2026
Viewed by 198
Abstract
Left ventricular (LV) apical obliteration represents a convergent imaging phenotype arising from diverse cardiac conditions, including thrombotic, hypertrophic, infiltrative, congenital, and neoplastic diseases. These conditions, despite sharing overlapping morphological features, require profoundly different management strategies. In this context, an accurate characterization of the [...] Read more.
Left ventricular (LV) apical obliteration represents a convergent imaging phenotype arising from diverse cardiac conditions, including thrombotic, hypertrophic, infiltrative, congenital, and neoplastic diseases. These conditions, despite sharing overlapping morphological features, require profoundly different management strategies. In this context, an accurate characterization of the LV apex is a cornerstone point, and can be performed through various techniques. Advances in multimodality imaging have substantially improved diagnostic precision, allowing clinicians to differentiate true obliteration from mimicking conditions such as hypertrabeculation, apical hypertrophy, or subendocardial fibrosis. This review provides a comprehensive overview of the anatomical variability of the LV apex and its implications for imaging interpretation. We appraise the role of echocardiography, including contrast-enhanced and speckle-tracking studies—alongside cardiac magnetic resonance (CMR), computed tomography (CT), and selective nuclear imaging in the evaluation of apical pathology. For each principal cause of apical obliteration—LV thrombus, apical hypertrophic cardiomyopathy, left ventricular non-compaction, endomyocardial fibrosis, cardiac amyloidosis, and intracardiac tumors—we outline key diagnostic clues, imaging red flags, and distinguishing tissue characteristics. Special emphasis is given to the incremental value of CMR for tissue characterization, thrombus detection, and fibrosis mapping, as well as to the interpretative challenges posed by apical foreshortening, near-field artefacts, and suboptimal acoustic windows. A practical, stepwise imaging framework is proposed to guide clinicians through the differential diagnosis of apical obliteration using an integrated multimodality approach. Future directions include the incorporation of 4D flow, advanced mapping techniques, and artificial intelligence-powered analysis to refine apical phenotyping and identify early disease signatures. Recognizing the full spectrum of apical pathology and its imaging manifestations is essential to prevent misdiagnosis, enable timely therapeutic decisions, and improve risk stratification. Full article
(This article belongs to the Special Issue Advances in Non-Invasive Diagnostic Technologies for Heart Diseases)
Show Figures

Figure 1

13 pages, 1597 KB  
Article
Right Ventricular Functional Improvement After Lung Transplantation and Adjunctive Pulmonary Rehabilitation: An Echocardiographic Analysis
by Meltem Altınsoy, Deniz Çelik, Fadime Bozduman Habip, Pınar Ergün, Hasret Gizem Kurt, Sertan Bulut, Hüsnü Baykal and Yusuf Taha Güllü
J. Clin. Med. 2026, 15(2), 437; https://doi.org/10.3390/jcm15020437 - 6 Jan 2026
Viewed by 76
Abstract
Background: Right ventricular (RV) dysfunction is common in advanced lung disease due to chronic pressure overload and altered pulmonary vascular mechanics. Lung transplantation (LTx) reduces RV afterload, and pulmonary rehabilitation (PR) may further enhance functional recovery. However, the combined effects of LTx and [...] Read more.
Background: Right ventricular (RV) dysfunction is common in advanced lung disease due to chronic pressure overload and altered pulmonary vascular mechanics. Lung transplantation (LTx) reduces RV afterload, and pulmonary rehabilitation (PR) may further enhance functional recovery. However, the combined effects of LTx and structured PR on RV myocardial deformation—particularly using speckle-tracking echocardiography (STE)—remain insufficiently characterized. Methods: This single-arm pre–post study included 20 bilateral lung transplant recipients who completed an 8-week, twice-weekly supervised outpatient PR program. Echocardiographic evaluation—including 2D measurements, M-mode, tissue Doppler imaging (TDI), and STE-derived strain parameters—was performed immediately post-discharge (baseline) and after PR. RV global longitudinal strain (RVGLS) and RV free-wall longitudinal strain (RVFWS) served as primary functional outcomes. Results: Improvements were observed in RV myocardial deformation after PR. RVGLS improved from a median of 15.52% to 16.64% (p = 0.004), and RVFWS increased from 15.82% to 17.10% (p = 0.001). RV mid-cavity diameter decreased significantly (p = 0.042), reflecting favorably altered RV geometry. Conventional parameters—including TAPSE, S′ velocity, RVEDA, and FAC—showed no statistically significant changes. These findings indicate that STE parameters are more sensitive than traditional indices for detecting early RV remodeling in the post-transplant period. Conclusions: Lung transplantation combined with a structured PR program was associated with early improvements in RV deformation indices measurable by STE, even when traditional echocardiographic indices remained within normal limits. STE may therefore serve as a sensitive tool for monitoring subclinical RV recovery after LTx and for assessing the additive benefits of PR. Full article
(This article belongs to the Section Respiratory Medicine)
Show Figures

Figure 1

13 pages, 313 KB  
Article
Comparison of N-Terminal Pro-B-Type Natriuretic Peptide Between Cats with Cardiogenic Arterial Thromboembolism and Cats with Occult Cardiomyopathy Without Arterial Thromboembolism
by Michelle A. Oranges, Lisa M. Freeman, Elizabeth A. Rozanski, Emily T. Karlin and John E. Rush
Animals 2026, 16(2), 157; https://doi.org/10.3390/ani16020157 - 6 Jan 2026
Viewed by 79
Abstract
To help assess the relationship between N-terminal pro-B-type natriuretic peptide (NT-proBNP) and feline cardiogenic arterial thromboembolism (ATE), the objective of this retrospective study was to compare plasma NT-proBNP concentrations between cats with cardiomyopathy that developed ATE (ATE group) and cats with occult cardiomyopathy [...] Read more.
To help assess the relationship between N-terminal pro-B-type natriuretic peptide (NT-proBNP) and feline cardiogenic arterial thromboembolism (ATE), the objective of this retrospective study was to compare plasma NT-proBNP concentrations between cats with cardiomyopathy that developed ATE (ATE group) and cats with occult cardiomyopathy that did not develop ATE within 1 year of testing (occult cardiomyopathy [OCM] group). Cats with cardiomyopathy and congestive heart failure (CHF) but no ATE (CHF group) were included for comparison. Cats with cardiomyopathy that had NT-proBNP testing were classified into ATE, OCM, or CHF groups. Clinical, echocardiographic, treatment, and NT-proBNP data from medical records were reviewed and compared among groups. A receiver operating characteristic curve was generated to develop a cutoff point for NT-proBNP. Cats were then compared based on this cutoff point. The ATE group (n = 25) had significantly higher NT-proBNP concentrations than the OCM group (n = 31; p < 0.001); there was no significant difference in NT-proBNP concentrations between the ATE and CHF groups (p = 0.92). The estimated optimal NT-proBNP cutoff point to separate OCM and ATE groups was 491 pmol/L (sensitivity = 96.0%, specificity = 93.5%). Cats with NT-proBNP > 491 pmol/L had a larger left atrium, thicker left ventricle, lower fractional shortening, and higher prevalence of spontaneous echogenic contrast and left atrial thrombi on echocardiography. These preliminary, hypothesis-generating findings suggest that NT-proBNP concentrations > 491 pmol/L may help detect cats with OCM at risk for ATE, but given the limitations of this retrospective study, prospective studies are needed to evaluate the potential utility of this measurement. Full article
Show Figures

Figure 1

17 pages, 297 KB  
Article
Ejection Fraction-Related Differences in Left Ventricular and Atrial Strain Indices Among Pediatric Fontan Circulation with Systemic Left Ventricle Morphology
by Carmen Corina Șuteu, Amalia Fagarasan, Nicola Suteu, Andreea Cerghit-Paler, Liliana Gozar, Cristina Oana Mărginean, Maria Oana Săsăran and Mihaela Iancu
Diagnostics 2026, 16(1), 171; https://doi.org/10.3390/diagnostics16010171 - 5 Jan 2026
Viewed by 138
Abstract
Background: Ventricular function assessments in Fontan patients remain challenging. Ejection fraction (EF) lacks sensitivity for early dysfunction, and the roles of strain and advanced imaging in systemic left ventricle (LV) physiology are not fully defined. We aimed to compare (i) LV and [...] Read more.
Background: Ventricular function assessments in Fontan patients remain challenging. Ejection fraction (EF) lacks sensitivity for early dysfunction, and the roles of strain and advanced imaging in systemic left ventricle (LV) physiology are not fully defined. We aimed to compare (i) LV and atrial strain indices between pediatric Fontan patients with preserved EF (P-LVEF) versus reduced EF (R-LVEF) and (ii) echocardiographic global longitudinal strain, segmental longitudinal strain indices, and conventional 2D and 3D echocardiographic parameters through cardiac morphology. Methods: Pediatric patients with Fontan circulation and systemic LV morphology underwent clinical, hemodynamic, and multimodality echocardiographic evaluation, including 2D/3D parameters, global and segmental LV strain, and left atrial strain. Outcomes were analyzed according to EF status and congenital morphology. Significant results from multiple comparisons were followed by post hoc analysis, where appropriate. Results: Patients with a reduced EF exhibited a worse clinical status, a higher pulmonary vascular resistance index, and greater systemic congestion compared with those with a preserved EF. Conventional 2D indices showed no significant differences between the two studied groups except for LV end-systolic volume (ESV) (p = 0.0315) and LV end-systolic longitudinal diameter (ESL) (p = 0.0024), which showed higher values in the R-LVEF group. Although the relative frequency of impaired deformation was higher in Fontan patients with an unbalanced atrioventricular canal compared with the Fontan patients with a tricuspid atresia + pulmonary stenosis + ventricular septal defect, the difference did not reach statistical significance (p = 0.1365). Most segmental longitudinal strain values were not significantly different across patients with different cardiac morphology, except for the basal anterior segment and apical inferoseptal segment (p < 0.05). Conclusions: In pediatric Fontan patients with systemic LV morphology, a reduced EF was associated with a worse clinical and hemodynamic status. Conventional echocardiographic indices showed a limited ability to differentiate between the compared groups. Although no statistically significant differences were detected between pediatric Fontan patients with preserved EF and reduced EF, LV and atrial strain indices provided complementary information on ventricular–atrial interactions and myocardial deformation. These findings are exploratory and warrant confirmation in larger, prospective studies. Full article
(This article belongs to the Special Issue Advances in Pediatric Cardiology: Diagnosis and Management)
5 pages, 1592 KB  
Interesting Images
Papillary Fibroelastoma of the Aortic Root Causing Intermittent Coronary Ostial Obstruction: The Diagnostic Power of 3D Transesophageal Echocardiography
by Tina Bečić, Ružica Perković-Avelini and Damir Fabijanić
Diagnostics 2026, 16(1), 168; https://doi.org/10.3390/diagnostics16010168 - 5 Jan 2026
Viewed by 117
Abstract
We describe a patient with recurrent, brief episodes of chest discomfort caused by a highly mobile papillary fibroelastoma originating from the aortic wall and intermittently encroaching on the right coronary artery ostium. Initial 2D and 3D transthoracic and 2D transesophageal echocardiography identified a [...] Read more.
We describe a patient with recurrent, brief episodes of chest discomfort caused by a highly mobile papillary fibroelastoma originating from the aortic wall and intermittently encroaching on the right coronary artery ostium. Initial 2D and 3D transthoracic and 2D transesophageal echocardiography identified a highly mobile mass in the ascending aorta above the aortic valve; the exact site of attachment and its relationship to the coronary ostia could not be clearly defined. Three-dimensional transesophageal echocardiography enabled precise anatomical reconstruction of the lesion and surrounding structures, clearly demonstrating its pedicle and proximity to the right coronary ostium. This imaging modality clarified the pathophysiological mechanism of symptoms and facilitated optimal surgical planning without the need for additional complex imaging techniques. Full article
(This article belongs to the Special Issue Latest Advances and Prospects in Cardiovascular Imaging)
Show Figures

Figure 1

23 pages, 45505 KB  
Article
Jaceosidin Attenuates Sepsis-Induced Myocardial Dysfunction by Promoting SIRT2-Mediated Inhibition of Histone H3K18 Lactylation
by Huiming Yu, Minfu Liu, Shuwan Hou, Jiaqin Wu, Qianqian Du, Fan Feng, Sixiang Wang, Chunli Wang and Kang Xu
Pharmaceuticals 2026, 19(1), 97; https://doi.org/10.3390/ph19010097 - 4 Jan 2026
Viewed by 141
Abstract
Background: Sepsis-induced myocardial dysfunction (SIMD) is a life-threatening complication with limited therapeutic options. Jaceosidin (JAC), a natural flavonoid from Folium Artemisiae Argyi, shows potential in cardiovascular diseases, but its role and mechanism in SIMD remain unclear. This study aims to investigate the protective [...] Read more.
Background: Sepsis-induced myocardial dysfunction (SIMD) is a life-threatening complication with limited therapeutic options. Jaceosidin (JAC), a natural flavonoid from Folium Artemisiae Argyi, shows potential in cardiovascular diseases, but its role and mechanism in SIMD remain unclear. This study aims to investigate the protective effects of JAC against SIMD and explore the underlying molecular mechanisms. Methods: In vitro, AC16 human cardiomyocytes were stimulated with TNF-α and treated with JAC. Cell viability and apoptosis were assessed using CCK−8 and flow cytometry, respectively. Transcriptomic and metabolomic analyses were performed to identify altered pathways. Molecular docking evaluated JAC’s interaction with SIRT2. The SIRT2 inhibitor AGK2 was used to validate its role. Chromatin immunoprecipitation quantitative PCR (ChIP-qPCR) determined H3K18la enrichment on target gene promoters. In vivo, a murine SIMD model was established via LPS injection, and cardiac function was evaluated by echocardiography. Serum markers (cTnT, CK−MB) and myocardial lactylation levels were measured. Results: JAC significantly attenuated TNF-α−induced injury in AC16 cells by enhancing viability and reducing apoptosis. Multi-omics analyses revealed JAC suppressed glycolysis and lactate production. JAC specifically inhibited histone H3K18 lactylation (H3K18la), and molecular docking indicated strong binding affinity with SIRT2. AGK2 treatment reversed JAC-mediated suppression of H3K18la. ChIP-qPCR confirmed H3K18la directly regulates IL-6, BAX, and BCL-2 expression. In vivo, JAC improved cardiac function (LVEF, LVFS, LVDd, LVDs), reduced serum cTnT and CK−MB levels, and decreased myocardial H3K18la in LPS−treated mice. Conclusions: JAC alleviates SIMD by activating SIRT2, which inhibits H3K18la, thereby modulating inflammatory and apoptotic pathways. This study identifies JAC as a novel metabolic-epigenetic therapeutic agent for SIMD. Full article
Show Figures

Graphical abstract

8 pages, 567 KB  
Brief Report
Utilization of AI to Diagnose Aortic Stenosis in Patients Undergoing Hemodialysis
by Asuka Ito, Yoshihiro Morishita, Atushi Morizane, Masaki Okazaki, Akihiro Kindaichi, Kouki Gatto, Yoshiteru Tanaka, Kenji Shiino and Kenji Ina
Kidney Dial. 2026, 6(1), 4; https://doi.org/10.3390/kidneydial6010004 - 4 Jan 2026
Viewed by 113
Abstract
Background: Patients undergoing maintenance hemodialysis (HD) have a high risk of developing cardiovascular diseases due to calcification of the heart valves and coronary arteries, which results in a high mortality rate. In particular, aortic stenosis (AS) is an independent risk factor for heart [...] Read more.
Background: Patients undergoing maintenance hemodialysis (HD) have a high risk of developing cardiovascular diseases due to calcification of the heart valves and coronary arteries, which results in a high mortality rate. In particular, aortic stenosis (AS) is an independent risk factor for heart failure-related mortality in patients undergoing HD. Recently, the analysis of digitized heart sounds using artificial intelligence (AI) has promoted the automation of cardiac disease detection and technological advances in diagnostic algorithms. Methods: We retrospectively investigated the 203 consecutive patients receiving HD who had undergone visualized phonocardiography using a regulatory-approved medical device (Japan) between January and May 2025 to detect AS. The usefulness of this phonocardiogram device, which utilizes acoustic analysis and an AI-based automatic diagnostic algorithm named the “Super Stethoscope”, was evaluated for the screening of AS in patients undergoing HD based on comparisons with findings obtained from echocardiography. Results: The results showed a significant correlation between the severity of systolic murmurs determined by the AI-based approach and the peak aortic jet velocity measured in 19 patients diagnosed with AS using transthoracic echocardiography (r = 0.578, p < 0.05). Additionally, for the AI-based diagnosis of AS based on systolic murmurs, the sensitivity and specificity in detecting moderate or severe AS were 0.90 and 0.70, respectively, among the patients undergoing HD. Conclusions: The AI-based diagnostic approach using the ECG-gated phonocardiogram “Super Stethoscope” could be a promising tool for AS screening. Transthoracic echocardiography is recommended in cases classified as grade B or higher by AI-based assessment. Full article
Show Figures

Figure 1

11 pages, 2453 KB  
Case Report
A Case of Double Superior Vena Cava with a Rare Accessory Hemiazygos Arch Crossing over the Descending Aorta in a Male Body Donor
by Sandeep Silawal, Mustafa Kandemir, Franz Stelzl, Valentina Oberguggenberger, Kristinko Martinovic, Maria Kokozidou, Niels Hammer and Gundula Schulze-Tanzil
Anatomia 2026, 5(1), 2; https://doi.org/10.3390/anatomia5010002 - 2 Jan 2026
Viewed by 191
Abstract
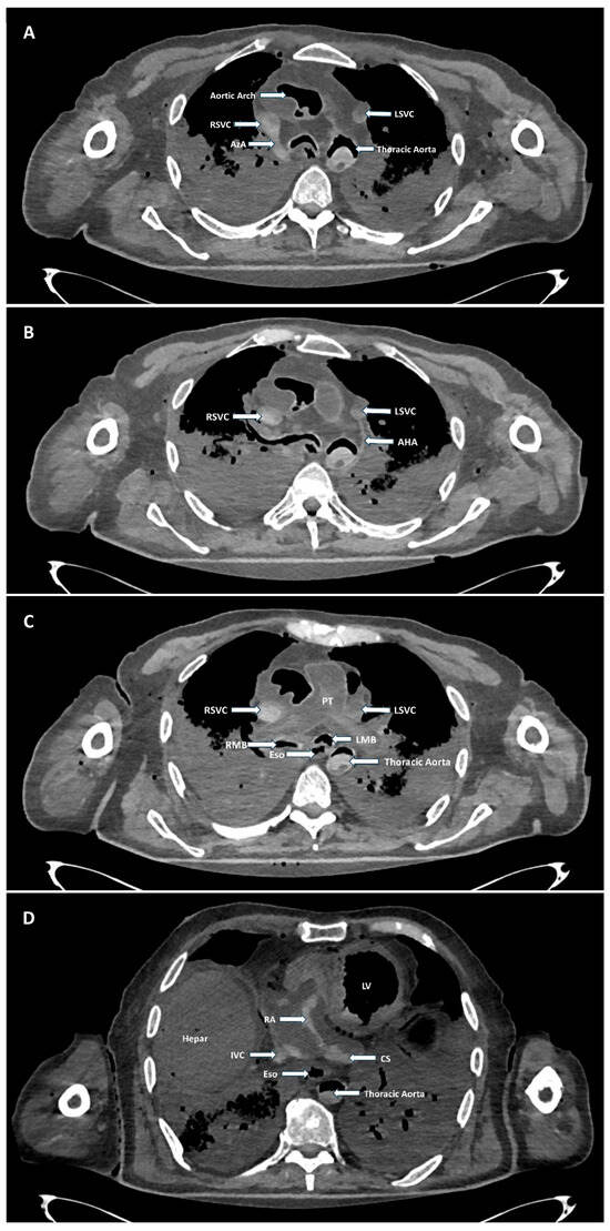
While performing a routine anatomical dissection on a male donor, undergraduate medical students observed an uncommon vascular anomaly: a persistent left superior vena cava (LSVC). Prior to the anatomical dissection, computed tomography (CT) images were obtained in an embalmed condition. Relevant anatomical structures [...] Read more.
While performing a routine anatomical dissection on a male donor, undergraduate medical students observed an uncommon vascular anomaly: a persistent left superior vena cava (LSVC). Prior to the anatomical dissection, computed tomography (CT) images were obtained in an embalmed condition. Relevant anatomical structures were measured using the JiveX DICOM Viewer. The left brachiocephalic vein (LBV) was present as a communicating vessel with a markedly reduced diameter between the LSVC and the right superior vena cava (RSVC). The diameters of RSVC and LSVC averaged 19.4 mm and 15.2 mm, respectively. The LSVC drained into a dilated coronary sinus (CS), which measured 22.7 mm in diameter. In addition, the left accessory hemiazygos vein collected the 2nd to 5th left intercostal veins, forming a small-caliber venous arch (2.1 mm in diameter) at the T5 vertebral level, which crossed anterior to the thoracic aorta, before draining into the LSVC. In comparison, the azygos venous arch on the right side is connected to the RSVC at T4. Knowledge of such venous variations through preoperative imaging—such as CT, MRI, or echocardiography—can be essential for procedural planning and for minimizing inadvertent complications. This case also highlights a dual approach, combining anatomical dissection with detailed CT analysis of the same specimen, which can both enhance undergraduate anatomical education and contribute to high-quality morphological research. Full article
Show Figures

Figure 1

11 pages, 2256 KB  
Case Report
Cardiac Implantable Electronic Device-Related Infective Endocarditis Caused by Bacillus cereus: A Case Report
by Denis Swolana, Danuta Łoboda, Beata Sarecka-Hujar, Rafał Sznajder, Anna Szajerska-Kurasiewicz, Tadeusz Zębik, Krzysztof S. Gołba and Robert D. Wojtyczka
J. Clin. Med. 2026, 15(1), 344; https://doi.org/10.3390/jcm15010344 - 2 Jan 2026
Viewed by 146
Abstract
Background: Globalization, increased mobility, changes in dietary habits, and a growing number of immunocompromised patients have heightened exposure to rare or opportunistic pathogens. Here, we present a case of cardiac implantable electronic device-related infective endocarditis (CIED-IE) caused by Bacillus cereus bacteremia originating in [...] Read more.
Background: Globalization, increased mobility, changes in dietary habits, and a growing number of immunocompromised patients have heightened exposure to rare or opportunistic pathogens. Here, we present a case of cardiac implantable electronic device-related infective endocarditis (CIED-IE) caused by Bacillus cereus bacteremia originating in the gastrointestinal tract. Case presentation: A 66-year-old female, who had a cardiac resynchronization pacemaker (CRT-P) implanted in 2017 due to second-degree atrioventricular block and left bundle branch block, had undergone device replacement due to battery depletion 4 months earlier and was scheduled for transvenous lead extraction (TLE) due to generator pocket infection. During the TLE procedure, transoesophageal echocardiography revealed vegetations on the leads and in the right atrium. Standard empirical therapy covering methicillin-resistant Staphylococci and Gram-negative bacteria was administered, including oritavancin and gentamicin. Surprisingly, intraoperative samples cultured B. cereus, a Gram-positive, spore-forming rod that usually causes food poisoning through contamination of rice and other starchy foods. B. cereus is generally resistant to β-lactam antibiotics except for carbapenems but is susceptible to glycopeptides. The oritavancin treatment was extended to four fractionated doses (1200, 800, 800, and 800 mg) administered at 7-day intervals. To eradicate bacteria in the gastrointestinal tract, oral vancomycin (125 mg 4 times a day) was added. After 4 weeks of effective antibiotic therapy, a CRT-P with a left bundle branch area pacing lead was reimplanted on the right subclavian area, with no recurrence of infection during the 3-month follow-up. Clinical discussion: In the patient, a diet high in rice and improper storage of rice dishes, together with habitual constipation, were identified as risk factors for the development of invasive Bacillus cereus infection. However, the long half-life lipoglycopeptide antibiotic, oritavancin, administered weekly, proved effective in treating CIED-IE. Conclusions: Infection with rare or opportunistic microorganisms may require extended microbiological diagnostics and non-standard antibiotic therapy; therefore, the medical history should consider risk factors for such infections. Full article
(This article belongs to the Special Issue Diagnostic and Therapeutic Challenges in Infective Endocarditis)
Show Figures

Figure 1

13 pages, 788 KB  
Review
The Incremental Role of Stress Echocardiography in Valvular Heart Disease: A Narrative Review
by Adriana Correra, Alfredo Mauriello, Carmen Del Giudice, Celeste Fonderico, Matilde Di Peppo, Vincenzo Russo, Antonello D’Andrea, Giovanni Esposito and Natale Daniele Brunetti
Diagnostics 2026, 16(1), 148; https://doi.org/10.3390/diagnostics16010148 - 2 Jan 2026
Viewed by 264
Abstract
Background/Objectives: The diagnosis and risk stratification of valvular heart disease have traditionally relied on resting echocardiography. However, in a significant portion of patients, resting findings do not fully reflect the hemodynamic severity of the condition, particularly in asymptomatic individuals with severe valvular disease [...] Read more.
Background/Objectives: The diagnosis and risk stratification of valvular heart disease have traditionally relied on resting echocardiography. However, in a significant portion of patients, resting findings do not fully reflect the hemodynamic severity of the condition, particularly in asymptomatic individuals with severe valvular disease or those with nonspecific symptoms. In this context, stress echocardiography emerges as a vital imaging modality, providing a dynamic assessment of valvular, ventricular, and pulmonary function under hemodynamic load (from physical exercise or pharmacological agents). Methods: We conducted a comprehensive synthesis and critical evaluation of the current landscape, recent advancements, and future directions regarding the application of stress echocardiography in valvular heart disease. Results: This comprehensive review explores the incremental role of stress echocardiography in valvular heart disease, analyzing the evolution of its clinical applications, from low-flow, low-gradient aortic stenosis to the evaluation of contractile reserve and exercise-induced pulmonary hypertension in mitral stenosis and regurgitation. We discuss standardized protocols, key parameters to monitor, and the diagnostic and prognostic outcomes from major clinical trials and current guidelines. Attention is given to stress echocardiography’s ability to unmask the true severity of the disease and to identify patients at high risk for adverse events, thereby guiding crucial clinical decisions, such as the optimal timing for surgical or transcatheter intervention. Conclusions: The review evaluates the limitations of modality and outlines future research directions, including its integration with new technologies like 3D echocardiography and speckle tracking techniques, to further optimize the role of stress echocardiography as a decision-making tool in the multidisciplinary management of valvular heart disease. Full article
(This article belongs to the Special Issue Recent Advances in Echocardiography, 2nd Edition)
Show Figures

Figure 1

29 pages, 14826 KB  
Review
How to Use Multimodality Imaging in Cardio-Oncology
by Anca Doina Mateescu, Raluca Ileana Mincu and Ruxandra Oana Jurcut
J. Cardiovasc. Dev. Dis. 2026, 13(1), 27; https://doi.org/10.3390/jcdd13010027 - 1 Jan 2026
Viewed by 175
Abstract
Recent advances in oncology have contributed to a steady rise in cancer survivorship. However, many cancer therapies are associated with cardiovascular adverse events, leading to increased rates of cardiovascular morbidity and mortality. As a result, cardio-oncology has emerged as a rapidly advancing discipline [...] Read more.
Recent advances in oncology have contributed to a steady rise in cancer survivorship. However, many cancer therapies are associated with cardiovascular adverse events, leading to increased rates of cardiovascular morbidity and mortality. As a result, cardio-oncology has emerged as a rapidly advancing discipline that relies on multidisciplinary collaboration. Cardiovascular multimodality imaging (CVMI) is an essential diagnostic and surveillance tool for cardiovascular toxicity, along with clinical evaluation and biomarkers. CVMI plays a central role in diagnosing cancer therapy-related cardiac dysfunction (CTRCD) and myocarditis, while also supporting the assessment of vascular toxicity and arrhythmias. It is essential for baseline cardiac evaluation and continuous monitoring throughout and following cancer therapy. CVMI enables early detection of cardiovascular toxicity, facilitating prompt initiation of cardioprotective therapy and allowing cancer therapy to proceed without compromising safety. Echocardiography is the primary imaging modality for screening, diagnosing, and monitoring CTRCD. Moreover, it is the first-line imaging test for cardiac structural and functional assessment in patients who develop immune checkpoint inhibitor (ICI)-related myocarditis. Advanced imaging techniques, such as cardiac magnetic resonance (CMR), nuclear imaging, and cardiac computed tomography, may help determine the cause and severity of left ventricular dysfunction, as well as assess cardiac masses and vascular toxicity. Not least, CMR is the gold standard imaging modality to diagnose myocarditis. This article is a narrative review that focuses on the various modalities of CVMI and their applications in cardio-oncology. Since the issue addressed is very extensive, this review was designed to be concise. Full article
Show Figures

Figure 1

Back to TopTop