Development of a Portable Rapid Detection Method for Porcine Epidemic Diarrhea Virus Using Reverse Transcription-Recombinase-Aided Amplification Technology
Simple Summary
Abstract
1. Introduction
2. Materials and Methods
2.1. Reagents and Viruses
2.2. Primer and Probe Design and Synthesis
2.3. Virus Nucleic Acid Extraction
2.4. Establishment of the PEDV RT-RAA Reaction System
2.5. Screening of RT-RAA Primers
2.6. Optimization of RT-RAA Reaction Conditions
2.7. Specificity Validation of the PEDV RT-RAA Reaction System
2.8. Sensitivity Validation of the PEDV RT-RAA Reaction System
2.9. Reproducibility Validation of the PEDV RT-RAA Reaction System
2.10. PEDV RT-RAA Reaction System Detection of PEDV Clinical Samples
3. Results
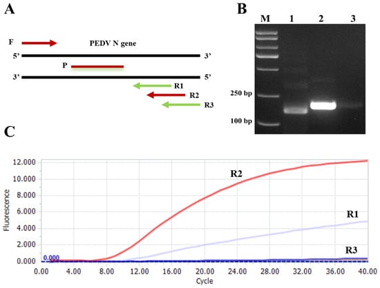
3.1. Primer Screening for the PEDV RT-RAA Reaction System
3.2. Optimization of RT-RAA Reaction Conditions
3.3. Specificity Evaluation of the PEDV RT-RAA Reaction System
3.4. Sensitivity Evaluation of the PEDV RT-RAA Reaction System
3.5. Reproducibility Evaluation of the PEDV RT-RAA Reaction System
3.6. Detection of Clinical Samples Using the PEDV RT-RAA Reaction System
4. Discussion
5. Conclusions
Author Contributions
Funding
Institutional Review Board Statement
Informed Consent Statement
Data Availability Statement
Conflicts of Interest
References
- Jung, K.; Saif, L.J.; Wang, Q. Porcine epidemic diarrhea virus (PEDV): An update on etiology, transmission, pathogenesis, and prevention and control. Virus Res. 2020, 286, 198045. [Google Scholar] [CrossRef] [PubMed]
- Pensaert, M.B.; de Bouck, P. A new coronavirus-like particle associated with diarrhea in swine. Arch. Virol. 1978, 58, 243–247. [Google Scholar] [CrossRef]
- Kocherhans, R.; Bridgen, A.; Ackermann, M.; Tobler, K. Completion of the porcine epidemic diarrhoea coronavirus (PEDV) genome sequence. Virus Genes 2001, 23, 137–144. [Google Scholar] [CrossRef]
- Wood, E.N. An apparently new syndrome of porcine epidemic diarrhoea. Vet. Rec. 1977, 100, 243–244. [Google Scholar] [CrossRef] [PubMed]
- Sun, D.; Wang, X.; Wei, S.; Chen, J.; Feng, L. Epidemiology and vaccine of porcine epidemic diarrhea virus in China: A mini-review. J. Vet. Med. Sci. 2016, 78, 355–363. [Google Scholar] [CrossRef] [PubMed]
- Sun, R.Q.; Cai, R.J.; Chen, Y.Q.; Liang, P.S.; Chen, D.K.; Song, C.X. Outbreak of porcine epidemic diarrhea in suckling piglets, China. Emerg. Infect. Dis. 2012, 18, 161–163. [Google Scholar] [CrossRef] [PubMed]
- Chen, F.; Pan, Y.; Zhang, X.; Tian, X.; Wang, D.; Zhou, Q.; Song, Y.; Bi, Y. Complete genome sequence of a variant porcine epidemic diarrhea virus strain isolated in China. J. Virol. 2012, 86, 12448. [Google Scholar] [CrossRef] [PubMed]
- Stadler, J.; Zoels, S.; Fux, R.; Hanke, D.; Pohlmann, A.; Blome, S.; Weissenböck, H.; Weissenbacher-Lang, C.; Ritzmann, M.; Ladinig, A. Emergence of porcine epidemic diarrhea virus in southern Germany. BMC Vet. Res. 2015, 11, 142. [Google Scholar] [CrossRef]
- Lee, S.; Lee, C. Outbreak-related porcine epidemic diarrhea virus strains similar to US strains, South Korea, 2013. Emerg. Infect. Dis. 2014, 20, 1223–1226. [Google Scholar] [CrossRef]
- Crawford, K.; Lager, K.M.; Kulshreshtha, V.; Miller, L.C.; Faaberg, K.S. Status of vaccines for porcine epidemic diarrhea virus in the United States and Canada. Virus Res. 2016, 226, 108–116. [Google Scholar] [CrossRef]
- Wang, D.; Fang, L.; Xiao, S. Porcine epidemic diarrhea in China. Virus Res. 2016, 226, 7–13. [Google Scholar] [CrossRef]
- Li, Z.; Ma, Z.; Li, Y.; Gao, S.; Xiao, S. Porcine epidemic diarrhea virus: Molecular mechanisms of attenuation and vaccines. Microb. Pathog. 2020, 149, 104553. [Google Scholar] [CrossRef] [PubMed]
- Valkó, A.; Albert, E.; Cságola, A.; Varga, T.; Kiss, K.; Farkas, R.; Rónai, Z.; Biksi, I.; Dán, Á. Isolation and characterisation of porcine epidemic diarrhoea virus in Hungary—Short communication. Acta Vet. Hung. 2019, 67, 307–313. [Google Scholar] [CrossRef] [PubMed]
- Chen, Q.; Li, G.; Stasko, J.; Thomas, J.T.; Stensland, W.R.; Pillatzki, A.E.; Gauger, P.C.; Schwartz, K.J.; Madson, D.; Yoon, K.J.; et al. Isolation and characterization of porcine epidemic diarrhea viruses associated with the 2013 disease outbreak among swine in the United States. J. Clin. Microbiol. 2014, 52, 234–243. [Google Scholar] [CrossRef] [PubMed]
- Debouck, P.; Pensaert, M.; Coussement, W. The pathogenesis of an enteric infection in pigs, experimentally induced by the coronavirus-like agent, CV 777. Vet. Microbiol. 1981, 6, 157–165. [Google Scholar] [CrossRef]
- Kim, S.Y.; Song, D.S.; Park, B.K. Differential detection of transmissible gastroenteritis virus and porcine epidemic diarrhea virus by duplex RT-PCR. J. Vet. Diagn. Investig. 2001, 13, 516–520. [Google Scholar] [CrossRef] [PubMed]
- Hofmann, M.; Wyler, R. Enzyme-linked immunosorbent assay for the detection of porcine epidemic diarrhea coronavirus antibodies in swine sera. Vet. Microbiol. 1990, 21, 263–273. [Google Scholar] [CrossRef] [PubMed]
- Wang, J.; Zhang, R.; Wang, J.; Han, Q.; Liu, L.; Li, Y.; Yuan, W. Real-time reverse transcription recombinase polymerase amplification assay for rapid detection of porcine epidemic diarrhea virus. J. Virol. Methods 2018, 253, 49–52. [Google Scholar] [CrossRef]
- Fakruddin, M.; Mannan, K.S.; Chowdhury, A.; Mazumdar, R.M.; Hossain, M.N.; Islam, S.; Chowdhury, M.A. Nucleic acid amplification: Alternative methods of polymerase chain reaction. J. Pharm. Bioallied Sci. 2013, 5, 245–252. [Google Scholar] [CrossRef] [PubMed]
- van Dongen, J.E.; Berendsen, J.T.W.; Steenbergen, R.D.M.; Wolthuis, R.M.F.; Eijkel, J.C.T.; Segerink, L.I. Point-of-care CRISPR/Cas nucleic acid detection: Recent advances, challenges and opportunities. Biosens. Bioelectron. 2020, 166, 112445. [Google Scholar] [CrossRef] [PubMed]
- Zhang, J.; Yang, Z.; Liu, L.; Zhang, T.; Hu, L.; Hu, C.; Chen, H.; Ding, R.; Liu, B.; Chen, C. Ultrafast nucleic acid detection equipment with silicon-based microfluidic chip. Biosensors 2023, 13, 234. [Google Scholar] [CrossRef] [PubMed]
- Srivastava, P.; Prasad, D. Isothermal nucleic acid amplification and its uses in modern diagnostic technologies. 3 Biotech 2023, 13, 200. [Google Scholar] [CrossRef]
- Zhao, Y.; Chen, F.; Li, Q.; Wang, L.; Fan, C. Isothermal amplification of nucleic acids. Chem. Rev. 2015, 115, 12491–124545. [Google Scholar] [CrossRef]
- Moehling, T.J.; Choi, G.; Dugan, L.C.; Salit, M.; Meagher, R.J. LAMP diagnostics at the point-of-care: Emerging Trends and perspectives for the developer community. Expert Rev. Mol. Diagn. 2021, 21, 43–61. [Google Scholar] [CrossRef] [PubMed]
- Li, X.; Zhu, S.; Zhang, X.; Ren, Y.; He, J.; Zhou, J.; Yin, L.; Wang, G.; Zhong, T.; Wang, L.; et al. Advances in the application of recombinase-aided amplification combined with CRISPR-Cas technology in quick detection of pathogenic microbes. Front. Bioeng. Biotechnol. 2023, 11, 1215466. [Google Scholar] [CrossRef] [PubMed]
- He, W.T.; Bollen, N.; Xu, Y.; Zhao, J.; Dellicour, S.; Yan, Z.; Gong, W.; Zhang, C.; Zhang, L.; Lu, M.; et al. Phylogeography reveals association between swine trade and the spread of porcine epidemic diarrhea virus in China and across the World. Mol. Biol. Evol. 2022, 39, msab364. [Google Scholar] [CrossRef] [PubMed]
- Jung, K.; Saif, L.J. Porcine epidemic diarrhea virus infection: Etiology, epidemiology, pathogenesis and immunoprophylaxis. Vet. J. 2015, 204, 134–143. [Google Scholar] [CrossRef]
- Chen, Y.; Zhang, Y.; Wang, X.; Zhou, J.; Ma, L.; Li, J.; Yang, L.; Ouyang, H.; Yuan, H.; Pang, D. Transmissible gastroenteritis virus: An update review and perspective. Viruses 2023, 15, 359. [Google Scholar] [CrossRef]
- Gao, L.; Shen, H.; Zhao, S.; Chen, S.; Zhu, P.; Lin, W.; Chen, F. Isolation and pathogenicity analysis of a G5P [23] porcine rotavirus strain. Viruses 2023, 16, 21. [Google Scholar] [CrossRef] [PubMed]
- Ma, Y.; Zhang, Y.; Liang, X.; Lou, F.; Oglesbee, M.; Krakowka, S.; Li, J. Origin, evolution, and virulence of porcine deltacoronaviruses in the United States. mBio 2015, 6, e00064. [Google Scholar] [CrossRef] [PubMed]
- Lee, C. Porcine epidemic diarrhea virus: An emerging and re-emerging epizootic swine virus. Virol. J. 2015, 12, 193. [Google Scholar] [CrossRef] [PubMed]
- Pang, F.; Long, Q. Recent advances in diagnostic approaches for orf virus. Appl. Microbiol. Biotechnol. 2023, 107, 1515–1523. [Google Scholar] [CrossRef] [PubMed]
- Li, J.; Cui, H.; Zhang, Y.; Wang, X.; Liu, H.; Mu, Y.; Wang, H.; Chen, X.; Dong, T.; Zhang, C.; et al. A rapid detection method for H3 avian influenza viruses based on RT-RAA. Animals 2024, 14, 2601. [Google Scholar] [CrossRef]
- Ding, X.; Wang, H.; Cui, M.; Cheng, M.; Zhao, Q.; Bai, Y.; Zhang, C.; Zhang, C.; Xu, S.; Li, T. Development of a real-time recombinase-aided amplification method to rapidly detect methicillin-resistant staphylococcus aureus. Microorganisms 2022, 10, 2351. [Google Scholar] [CrossRef]
- Xia, W.; Yu, S.; Huang, J.; Li, Y.; Wang, P.; Shen, S.; Feng, M.; Fu, P.; Guan, H.; Fan, Z. Research Note: Real-time fluorescence-based recombinase-aided amplification for rapid detection of Mycoplasma synoviae. Poult. Sci. 2024, 103, 103995. [Google Scholar] [CrossRef] [PubMed]
- Wu, X.; Liu, Y.; Gao, L.; Yan, Z.; Zhao, Q.; Chen, F.; Xie, Q.; Zhang, X. Development and Application of a reverse-transcription recombinase-aided amplification assay for porcine epidemic diarrhea virus. Viruses 2022, 14, 591. [Google Scholar] [CrossRef] [PubMed]
- Bong, D.; Sohn, J.; Lee, S.V. Brief guide to RT-qPCR. Mol. Cells 2024, 47, 100141. [Google Scholar] [CrossRef]





| Primer/Probe | Sequence (5′→3′) | Amplified Fragment (bp) |
|---|---|---|
| F | TCACAGAATCGTGGAAATAACCAGGGTCG | |
| R1 | TGACAGCAGCCACCAGATCATCGCGTGATG | 156 |
| R2 | CCCAAAGATTTAAGGGCATCCTTGACAGC | 178 |
| R3 | TTTCTCCAATACCCAAAGATTTAAGGGCATC | 189 |
| P | AACAGAGGAGGCAATAATAATAACAATAACAAG/i6FAMdT//idSp//iBHQ1dT/CGTAACCAGTCCAAG/C3 Spacer/ |
| Plasmid Concentration (Copies/μL) | Ct | Ct | Ct | CV (%) | |
|---|---|---|---|---|---|
| Intra-assay | 105 | 3.01 | 3.25 | 3.12 | 3.84 |
| 104 | 9.00 | 8.42 | 8.26 | 4.55 | |
| 103 | 12.30 | 12.37 | 13.33 | 4.54 | |
| Inter-assay | 105 | 3.42 | 3.82 | 3.32 | 7.52 |
| 104 | 9.76 | 9.63 | 9.11 | 3.62 | |
| 103 | 13.71 | 13.03 | 15.69 | 9.77 | |
| Test Method | RT-RAA | Coincidence Rate | |||
|---|---|---|---|---|---|
| Positive | Negative | Total | |||
| RT-qPCR | Positive | 27 | 0 | 27 | 100% |
| Negative | 0 | 36 | 36 | ||
| Total | 27 | 36 | 63 | ||
Disclaimer/Publisher’s Note: The statements, opinions and data contained in all publications are solely those of the individual author(s) and contributor(s) and not of MDPI and/or the editor(s). MDPI and/or the editor(s) disclaim responsibility for any injury to people or property resulting from any ideas, methods, instructions or products referred to in the content. |
© 2025 by the authors. Licensee MDPI, Basel, Switzerland. This article is an open access article distributed under the terms and conditions of the Creative Commons Attribution (CC BY) license (https://creativecommons.org/licenses/by/4.0/).
Share and Cite
Zhao, Y.; Yi, W.; Yang, Q.; Li, J.; Shan, Y.; Liu, F. Development of a Portable Rapid Detection Method for Porcine Epidemic Diarrhea Virus Using Reverse Transcription-Recombinase-Aided Amplification Technology. Animals 2025, 15, 281. https://doi.org/10.3390/ani15020281
Zhao Y, Yi W, Yang Q, Li J, Shan Y, Liu F. Development of a Portable Rapid Detection Method for Porcine Epidemic Diarrhea Virus Using Reverse Transcription-Recombinase-Aided Amplification Technology. Animals. 2025; 15(2):281. https://doi.org/10.3390/ani15020281
Chicago/Turabian StyleZhao, Yiran, Weijie Yi, Qicheng Yang, Jiahao Li, Yanke Shan, and Fei Liu. 2025. "Development of a Portable Rapid Detection Method for Porcine Epidemic Diarrhea Virus Using Reverse Transcription-Recombinase-Aided Amplification Technology" Animals 15, no. 2: 281. https://doi.org/10.3390/ani15020281
APA StyleZhao, Y., Yi, W., Yang, Q., Li, J., Shan, Y., & Liu, F. (2025). Development of a Portable Rapid Detection Method for Porcine Epidemic Diarrhea Virus Using Reverse Transcription-Recombinase-Aided Amplification Technology. Animals, 15(2), 281. https://doi.org/10.3390/ani15020281

