Sex Determination in Reptiles: A Review
Simple Summary
Abstract
1. Introduction
2. Material and Methods
3. Results
3.1. Anatomy of the Reproductive Apparatus of Reptiles
3.1.1. Squamata (Lizards, Snakes, Amphisbenae)
Males
Females
3.1.2. Chelonia (Turtles, Tortoises, and Terrapins)
Males
Females
3.1.3. Crocodylia (Alligators, Caimans, Gharials)
Males
Females
3.1.4. Rhynchocephalia (Tuataras)
Males
Females
4. Sexual Dimorphism
5. Sex Determination Techniques
5.1. Probing
5.2. Hydrostatic Eversion of Hemipenes
5.3. Popping
5.4. Ultrasound
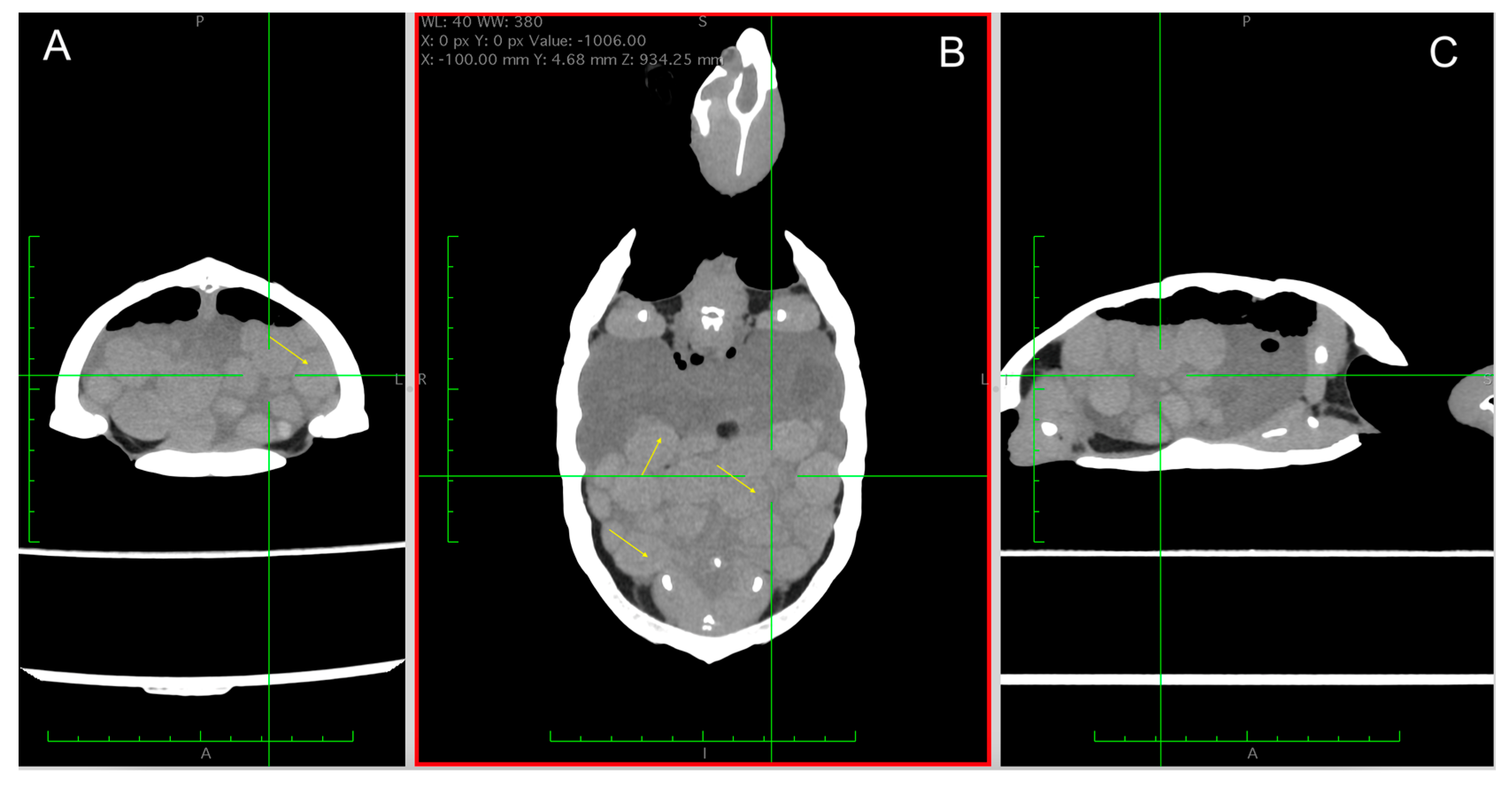
5.5. CT Scan
5.6. Radiography
5.7. Contrast Radiography
5.8. Endoscopy
5.9. Coelioscopy
5.10. Cystoscopy
5.11. Cloacoscopy
5.12. Genotypic Sex Determination (GSD)
6. Conclusions
Author Contributions
Funding
Institutional Review Board Statement
Informed Consent Statement
Data Availability Statement
Acknowledgments
Conflicts of Interest
References
- Uetz, P.; Freed, P.A.; Hošek, J. The Reptile Database. Available online: www.reptile-database.org (accessed on 12 November 2024).
- IUCN. The IUCN Red List of Threatened Species, Version 2022-1. Available online: https://www.iucnredlist.org (accessed on 12 November 2024).
- IUCN. Guidelines on the Use of Ex Situ Management for Species Conservation. Version 2.0; IUCN Species Survival Commission: Gland, Switzerland, 2014. [Google Scholar]
- Tapley, B.; Griffiths, R.A.; Bride, I. Dynamics of the trade in reptiles and amphibians within the United Kingdom over a ten-year period. Herpetol. J. 2011, 21, 27–34. [Google Scholar]
- Robinson, J.E.; Griffiths, R.A.; St. John, F.A.V.; Roberts, D.L. Dynamics of the global trade in live reptiles: Shifting trends in production and consequences for sustainability. Biol. Conserv. 2015, 184, 42–50. [Google Scholar] [CrossRef]
- Vetere, A.; Ablondi, M.; Bigliardi, E.; Rizzi, M.; Di Ianni, F. Sex determination in immature Sierra Nevada lizard (Timon nevadensis). Animals 2022, 12, 2144. [Google Scholar] [CrossRef] [PubMed]
- Mason, R.T.; Parker, M.R. Social behavior and pheromonal communication in reptiles. J. Comp. Physiol. A 2010, 196, 729–749. [Google Scholar] [CrossRef]
- Shine, R. Ecological causes for the evolution of sexual dimorphism: A review of the evidence. Q. Rev. Biol. 1989, 64, 419–461. [Google Scholar] [CrossRef]
- Shine, R. Sexual size dimorphism in snakes revisited. Copeia 1994, 1994, 326–346. [Google Scholar] [CrossRef]
- Cox, R.M.; John-Alder, H.B. Growing apart together: The development of contrasting sexual size dimorphisms in sympatric sceloporus lizards. Herpetologica 2007, 63, 245–257. [Google Scholar] [CrossRef]
- Cox, R.M.; Butler, M.A.; John-Alder, H.B. The evolution of sexual size dimorphism in reptiles. In Sex, Size and Gender Roles: Evolutionary Studies of Sexual Size Dimorphism; Fairbairn, D.J., Blanckenhorn, W.U., Székely, T., Eds.; Oxford University Press: Oxford, UK, 2007; pp. 38–49. [Google Scholar]
- Cox, R.M.; John-Alder, H.B. Testosterone has opposite effects on male growth in lizards (Sceloporus spp.) with opposite patterns of sexual size dimorphism. J. Exp. Biol. 2005, 208, 4679–4687. [Google Scholar] [CrossRef]
- Cox, R.M.; Zilberman, V.; John-Alder, H.B. Testosterone stimulates the expression of a social color signal in Yarrow’s Spiny lizard, Sceloporus jarrovii. J. Exp. Zool. A Ecol. Genet. Physiol. 2008, 309A, 505–514. [Google Scholar] [CrossRef] [PubMed]
- Mappes, J.; Marples, N.; Endler, J. The complex business of survival by aposematism. Trends Ecol. Evol. 2005, 20, 598–603. [Google Scholar] [CrossRef]
- Storniolo, F.; Zuffi, M.A.L.; Coladonato, A.J.; Di Vozzo, L.; Giglio, G.; Gini, A.E.; Leonetti, F.L.; Luccini, S.; Mangiacotti, M.; Scali, S.; et al. Patterns of variations in dorsal colouration of the Italian wall lizard Podarcis siculus. Biol. Open 2021, 10, bio058793. [Google Scholar] [CrossRef] [PubMed]
- Slagsvold, T.; Lifjeld, J.T. Plumage colour and sexual selection in the pied flycatcher Ficedula hypoleuca. Anim. Behav. 1988, 36, 395–407. [Google Scholar] [CrossRef]
- Bajer, K.; Molnár, O.; Török, J.; Herczeg, G. Female European green lizards (Lacerta viridis) prefer males with high ultraviolet throat reflectance. Behav. Ecol. Sociobiol. 2010, 64, 2007–2014. [Google Scholar] [CrossRef]
- Vanhooydonck, B.; Herrel, A.; Van Damme, R.; Meyers, J.J.; Irschick, D.J. The relationship between dewlap size and performance changes with age and sex in a green anole (Anolis carolinensis) lizard population. Behav. Ecol. Sociobiol. 2005, 59, 157–165. [Google Scholar] [CrossRef]
- Sigmund, W.R. Female preference for Anolis carolinensis males as a function of dewlap color and background coloration. J. Herpetol. Med. Surg. 1983, 17, 137–143. [Google Scholar] [CrossRef]
- Alberts, A.C. Chemical properties of femoral gland secretions in the desert iguana, Dipsosaurus dorsalis. J. Chem. Ecol. 1990, 16, 13–25. [Google Scholar] [CrossRef]
- López, P.; Martín, J. Lipids in femoral gland secretions of male lizards, Psammodromus hispanicus. Biochem. Syst. Ecol. 2009, 37, 304–307. [Google Scholar] [CrossRef]
- Louw, S.; Burger, B.V.; Le Roux, M.; Van Wyk, J.H. Lizard epidermal gland secretions. II. Chemical characterization of the generation gland secretion of the sungazer, Cordylus giganteus. J. Nat. Prod. 2011, 74, 1364–1369. [Google Scholar] [CrossRef] [PubMed]
- Baeckens, S.; Edwards, S.; Huyghe, K.; Van Damme, R. Chemical signalling in lizards: An interspecific comparison of femoral pore numbers in Lacertidae. Biol. J. Linn. Soc. 2014, 114, 44–57. [Google Scholar] [CrossRef]
- Hone, D.; Mallon, J.C.; Hennessey, P.; Witmer, L.M. Ontogeny of a sexually selected structure in an extant archosaur Gavialis gangeticus (Pseudosuchia: Crocodylia) with implications for sexual dimorphism in dinosaurs. PeerJ 2020, 8, e9134. [Google Scholar] [CrossRef]
- Measey, G.J.; Hopkins, K.; Tolley, K.A. Morphology, ornaments and performance in two chameleon ecomorphs: Is the casque bigger than the bite? Zoology 2009, 112, 217–226. [Google Scholar] [CrossRef]
- Van Kleeck, M. Invasion Ecology and Control Feasibility of the Jackson Chameleon (Trioceros jacksonii xantholophus) in Hawai‘i. Ph.D. Thesis, University of Hawaii, Honolulu, HI, USA, 2016. [Google Scholar]
- Tolley, K.A.; Herrel, A. The Biology of Chameleons; University of California Press: Berkeley, CA, USA, 2013. [Google Scholar]
- Jacobson, E.R. Infectious Diseases and Pathology of Reptiles: Color Atlas and Text; CRC Press: Boca Raton, FL, USA, 2007. [Google Scholar]
- Fox, W. A comparison of the male urogenital systems of blind snakes, Leptotyphlopidae and Typhlopidae. Herpetologica 1965, 21, 241–256. [Google Scholar]
- Bertocchi, M.; Bigliardi, E.; Pelizzone, I.; Vetere, A.; Manfredi, S.; Cattarossi, D.; Rizzi, M.; Di Ianni, F. Monitoring of the reproductive cycle in captive-bred female boa constrictor: Preliminary ultrasound observations. Animals 2021, 11, 3069. [Google Scholar] [CrossRef] [PubMed]
- Girling, J.E. The reptilian oviduct: A review of structure and function and directions for future research. J. Exp. Zool. 2002, 293, 141–170. [Google Scholar] [CrossRef]
- Crook, J.M.; Parsons, T.S. Visceral anatomy of the amphisbaenia. J. Morphol. 1980, 163, 99–133. [Google Scholar] [CrossRef]
- Johnston, S.D.; Lever, J.; McLeod, R.; Oishi, M.; Qualischefski, E.; Omanga, C.; Leitner, M.; Price, R.; Barker, L.; Kamau, K.; et al. Semen collection and seminal characteristics of the Australian saltwater crocodile (Crocodylus porosus). Aquaculture 2014, 422–423, 25–35. [Google Scholar] [CrossRef]
- Moore, B.C.; Mathavan, K.; Guillette, L.J. Morphology and histochemistry of juvenile male American alligator (Alligator mississippiensis) phallus. Anat. Rec. 2011, 295, 328–337. [Google Scholar] [CrossRef]
- Kelly, D.A. Penile anatomy and hypotheses of erectile function in the American alligator (Alligator mississippiensis): Muscular eversion and elastic retraction. Anat. Rec. 2013, 296, 488–494. [Google Scholar] [CrossRef]
- Ciocan, H.; Leiva, P.M.L.; Simoncini, M.S. Sexual identification of Caiman latirostris hatchlings by cloacal inspection. S. Am. J. Herpetol. 2020, 16, 50–55. [Google Scholar] [CrossRef]
- Huchzermeyer, F.W. Crocodiles: Biology, Husbandry and Diseases; CABI: London, UK, 2003. [Google Scholar]
- Siegel, D.; Miralles, A.; Chabarria, R.; Aldridge, R. Female reproductive anatomy: Oviducts and cloaca. In Reproductive Biology and Phylogeny of Snakes; Aldridge, R.D., Sever, D.M., Eds.; Science Publishers, Inc.: Enfield, NH, USA, 2011; pp. 347–409. [Google Scholar]
- Rheubert, J.L.; Cree, A.; Downes, M.; Sever, D.M. Reproductive morphology of the male Tuatara, Sphenodon punctatus. Acta Zool. 2013, 94, 454–461. [Google Scholar] [CrossRef]
- Stahl, S.J.; DeNardo, D.F. Theriogenology. In Mader’s Reptile and Amphibian Medicine and Surgery-E-Book; Divers, S.J., Stahl, S.J., Eds.; Elsevier Health Sciences: Beijing, China, 2018; pp. 849–893.e4. [Google Scholar]
- Vetere, A.; Di Girolamo, N.; Porter, I.; Tollefson, C.; Di Ianni, F.; Nardini, G. Sex identification in juvenile and adult Indonesian blue-tongued skinks (Tiliqua gigas) through cystoscopy and accuracy of contrast radiography. J. Am. Vet. Med. Assoc. 2023, 261, 1–8. [Google Scholar] [CrossRef]
- Warner, D.A. Sex determination in reptiles. In Hormones and Reproduction of Vertebrates; Norris, D.O., Lopez, K.H., Eds.; Academic Press: Cambridge, MA, USA, 2011; pp. 1–38. [Google Scholar]
- Lance, V.A. Sex determination in reptiles: An update. Am. Zool. 1997, 37, 504–513. [Google Scholar] [CrossRef]
- Morris, P.J.; Henderson, C. Gender determination in mature gila monsters, Heloderma suspectum, and Mexican beaded lizards, Heloderma horridum, by ultrasound imaging of the ventral tail. Bull. Assoc. Reptil. Amphib. Vet. 1998, 8, 4–5. [Google Scholar] [CrossRef]
- Di Ianni, F.; Volta, A.; Pelizzone, I.; Manfredi, S.; Gnudi, G.; Parmigiani, E. Diagnostic sensitivity of ultrasound, radiography and computed tomography for gender determination in four species of lizards. Vet. Radiol. Ultrasound 2014, 56, 40–45. [Google Scholar] [CrossRef] [PubMed]
- Rizzi, S.; Faverzani, S.; Schnitzer, P. Ultrasound sex determination in snakes: Correlation between hemipenes or hemiclitorids and body morphological parameters. In Proceedings of the 3rd International Conference on Avian Herpetological and Exotic Mammal Medicine; Venice, Italy, 25–29 March 2017, Press Point SRL: Abbiategrasso, Italy, 2017; pp. 547–830. [Google Scholar]
- Gumpenberger, M. Diagnostic imaging of reproductive tract disorders in reptiles. Vet. Clin. N. Am. Exot. Anim. Pract. 2017, 20, 327–343. [Google Scholar] [CrossRef]
- Kircher, B.K.; McCown, M.A.; Scully, D.M.; Behringer, R.R.; Larina, I.V. Structural analysis of the female reptile reproductive system by micro-computed tomography and optical coherence tomography. Biol. Reprod. 2024, 110, 1077–1085. [Google Scholar] [CrossRef] [PubMed]
- Vetere, A.; Bigliardi, E.; Masi, M.; Rizzi, M.; Leandrin, E.; Di Ianni, F. Egg removal via cloacoscopy in three dystocic leopard geckos (Eublepharis macularius). Animals 2023, 13, 924. [Google Scholar] [CrossRef]
- Meza-Oviedo, M.A.; Pizano, D.A.G.; D’Lacoste, L.C.; Guerrero, L.M.C.; Izquierdo-Uribe, M.P.; Ducoing-Watty, A.E. Sex determination in Mexican-beaded lizard specimens (Heloderma alvarezi and Heloderma horridum) employing contrast radiography method. J. Exot. Pet Med. 2020, 34, 10–14. [Google Scholar] [CrossRef]
- Hernandez-Divers, S.J.; Hernandez-Divers, S.M.; Wilson, H.G.; Stahl, S.J. A review of reptile diagnostic coelioscopy. J. Herpetol. Med. Surg. 2005, 15, 16–31. [Google Scholar] [CrossRef]
- Flint, M.; Flint, J.B.; Miller, J.D. Techniques to assess reproductive status in adult female American alligators (Alligator mississippiensis) using laparoscopic examination. PLoS ONE 2023, 18, e0287140. [Google Scholar] [CrossRef] [PubMed]
- Selleri, P.; Di Girolamo, N.; Melidone, R. Cystoscopic sex identification of posthatchling chelonians. J. Am. Vet. Med. Assoc. 2013, 242, 1744–1750. [Google Scholar] [CrossRef] [PubMed]
- Di Girolamo, N.; Selleri, P. Clinical applications of cystoscopy in chelonians. Vet. Clin. N. Am. Exot. Anim. Pract. 2015, 18, 507–526. [Google Scholar] [CrossRef] [PubMed]
- Spadola, F.; Morici, M.; Oliveri, M.; Knotek, Z. Description of cloacoscopy in the loggerhead sea turtle (Caretta caretta). Acta Vet. Brno 2016, 85, 367–370. [Google Scholar] [CrossRef]
- Spadola, F.; di Trifiletti, E.M.A.; Marino, M.; Oliveri, M.; Knotek, Z.; Costa, G.L. Endoscopic techniques for early diagnosis of cloacal pathologies and sex determination in blue spotted tree monitor (Varanus macraei) and Cuming’s water monitor (Varanus cumingi). Vet. Q. 2024, 44, 1–5. [Google Scholar] [CrossRef] [PubMed]
- Martínez-Silvestre, A.; Bargalló, F.; Grífols, J. Gender Identification by Cloacoscopy and Cystoscopy in Juvenile Chelonians. Vet. Clin. N. Am. Exot. Anim. Pract. 2015, 18, 527–539. [Google Scholar] [CrossRef] [PubMed]
- Guix, J.C.; Fedullo, D.L.; Molina, F.B. Masculinization of captive females of Chelonoidis carbonaria (Testudinidae). Rev. Esp. Herpetol. 2001, 15, 67–75. [Google Scholar]
- Knotek, Z.; Oliveri, M.; Cermakova, E.; Sramek, P. Sex identification in Australian skinks (Egernia stokesii, E. hosmeri, E. striolata) using cloacoscopy. Vet. Med. 2023, 68, 253–257. [Google Scholar] [CrossRef]
- Mezzasalma, M.; Macirella, R.; Odierna, G.; Brunelli, E. Karyotype diversification and chromosome rearrangements in squamate reptiles. Genes 2024, 15, 371. [Google Scholar] [CrossRef] [PubMed]
- Sulandari, S.R.I.; Zein, M.S.A.; Arida, E.A.; Hamidy, A. Molecular sex determination of captive Komodo dragons (Varanus komodoensis) at Gembira Loka Zoo, Surabaya Zoo, and Ragunan Zoo, Indonesia. HAYATI J. Biosci. 2014, 21, 65–75. [Google Scholar] [CrossRef]
- Cole, C.J.; Lowe, C.H.; Wright, J.W. Sex chromosomes in lizards. Science 1967, 155, 1028–1029. [Google Scholar] [CrossRef] [PubMed]
- Odierna, G.; Aprea, G.; Arribas, O.J.; Capriglione, T.; Caputo, V.; Olmo, E. The karyology of the Iberian rock lizards. Herpetologica 1996, 52, 542–550. [Google Scholar]
- Di Ianni, F.; Albarella, S.; Vetere, A.; Torcello, M.; Ablondi, M.; Pugliano, M.; Di Mauro, S.; Parma, P.; Ciotola, F. Demonstration of parthenogenetic reproduction in a pet ball python (Python regius) through analysis of early-stage embryos. Genes 2023, 14, 1744. [Google Scholar] [CrossRef]











| Taxa With Well-Developed Urinary Bladders | Taxa with Rudimentary Urinary Bladders | Taxa Without Urinary Bladders |
|---|---|---|
| Chelonians | Lizards | Snakes |
| Rhynchocephalia | Agamidae | Crocodilians |
| Lizards | Gekkonidae: Coleonyx | Lizards |
| Xantusiidae | Iguanidae: Callisaurus, Cophosaurus, Crotaphytus, Sceloporus, Urosaurus | Anguidae, Chamaeleonidae, Gekkonidae (Gekko, Phelsuma, Hemidactylus), Helodermatidae, Iguanidae (Anolis, Iguana), Lacertidae, Scincidae, Teiidae (except Cnemidophorus tigris), Varanidae (except Varanus marmoratus), Pygopodidae, Iguanidae |
Disclaimer/Publisher’s Note: The statements, opinions and data contained in all publications are solely those of the individual author(s) and contributor(s) and not of MDPI and/or the editor(s). MDPI and/or the editor(s) disclaim responsibility for any injury to people or property resulting from any ideas, methods, instructions or products referred to in the content. |
© 2025 by the authors. Licensee MDPI, Basel, Switzerland. This article is an open access article distributed under the terms and conditions of the Creative Commons Attribution (CC BY) license (https://creativecommons.org/licenses/by/4.0/).
Share and Cite
Vetere, A.; Capasso, M.; Di Ianni, F. Sex Determination in Reptiles: A Review. Animals 2025, 15, 168. https://doi.org/10.3390/ani15020168
Vetere A, Capasso M, Di Ianni F. Sex Determination in Reptiles: A Review. Animals. 2025; 15(2):168. https://doi.org/10.3390/ani15020168
Chicago/Turabian StyleVetere, Alessandro, Michele Capasso, and Francesco Di Ianni. 2025. "Sex Determination in Reptiles: A Review" Animals 15, no. 2: 168. https://doi.org/10.3390/ani15020168
APA StyleVetere, A., Capasso, M., & Di Ianni, F. (2025). Sex Determination in Reptiles: A Review. Animals, 15(2), 168. https://doi.org/10.3390/ani15020168

