Supplementation with Lactiplantibacillus plantarum CNPC003 and Pilosocereus gounellei Flour Enhances the Properties of Goat Cream Cheese
Abstract
1. Introduction
2. Materials and Methods
2.1. Raw Material and Ingredients
2.2. Processing of Xique-Xique Flour
2.3. Inoculum of L. plantarum CNPC003 and Goat Cream Cheese Preparation
2.4. Technological, Physical, and Physicochemical Parameters of Cheese
2.5. Determination of Sugars and Organic Acids in Cheeses
2.6. Protein Characterization of Cheeses
2.6.1. Determination of Soluble Protein
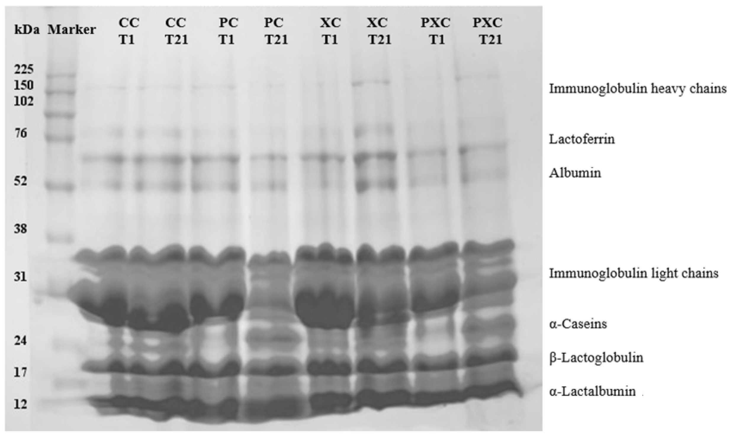
2.6.2. Electrophoretic Profile
2.6.3. Total and Free Amino Acid Profiles
2.7. Fatty Acid Profile
2.8. Profile of Volatile Compounds
2.9. Hygienic–Sanitary Quality Control and Viable Cell Counts of L. plantarum CNPC003
2.10. Sensory Analysis
2.11. Statistical Analysis
3. Results
3.1. Technological, Physical, and Physicochemical Properties
3.2. Sugar and Organic Acid Contents
3.3. Protein Characterization
3.3.1. Determination of Soluble Protein
3.3.2. Electrophoretic Profile
3.3.3. Free Amino Acid Profile
3.4. Fatty Acid Profile
3.5. Profile of Volatile Compounds
3.6. An Evaluation of the Hygienic–Sanitary Conditions of the Goat Cream Cheese Formulations and the Viable Cell Counts of L. plantarum CNPC003
3.7. Sensory Analysis
4. Discussion
5. Conclusions
Author Contributions
Funding
Institutional Review Board Statement
Informed Consent Statement
Data Availability Statement
Acknowledgments
Conflicts of Interest
References
- Verruck, S.; Dantas, A.; Prudencio, E.S. Functionality of the components from goat’s milk, recent advances for functional dairy products development and its implications on human health. J. Funct. Foods 2019, 52, 243–257. [Google Scholar] [CrossRef]
- Vargas-Bello-P’erez, E.; Tajonar, K.; Foggi, G.; Mele, M.; Simitzis, P.; Mavrommatis, A.; Tsiplakou, E.; Habib, M.R.; Gonzalez-Ronquillo, M.; Toro-Mujica, P. Consumer attitudes toward dairy products from sheep and goats: A cross-continental perspective. J. Dairy Sci. 2022, 105, 8718–8733. [Google Scholar] [CrossRef] [PubMed]
- Rolim, F.R.L.; Freitas Neto, O.C.; Oliveira, M.E.G.; Oliveira, C.J.B.; Queiroga, R.C.R.E. Cheeses as food matrixes for probiotics: In vitro and in vivo tests. Trends Food Sci. Technol. 2020, 100, 138–154. [Google Scholar] [CrossRef]
- Nyanzi, R.; Jooste, P.J.; Bays, E.M. Invited review: Probiotic yogurt quality criteria, regulatory framework, clinical evidence, and analytical aspects. J. Dairy Sci. 2020, 104, 1–19. [Google Scholar] [CrossRef]
- Diez-Gutiérrez, L.; Vicente, L.S.; Barrón, L.J.R.; Villarán, M.C.; Chávarri, M. Gamma-aminobutyric acid and probiotics: Multiple health benefits and their future in the global functional food and nutraceuticals market. J. Funct. Foods 2020, 64, 103669. [Google Scholar] [CrossRef]
- Ranadheera, C.S.; Evans, C.A.; Baines, S.K.; Balthazar, C.F.; Cruz, A.G.; Esmerino, E.A.; Freitas, M.Q.; Pimentel, T.C.; Wittwer, A.E.; Naumovski, N.; et al. Probiotics in Goat Milk Products: Delivery Capacity and Ability to Improve Sensory Attributes. Compr. Rev. Food Sci. Food Saf. 2019, 18, 867–882. [Google Scholar] [CrossRef]
- Abdelazez, A.; Abdelmotaal, H.; Zhu, Z.T.; Fang-Fang, J.; Sami, R.; Zhang, L.J.; Al-Tawaha, A.R.; Meng, X. Potential benefits of Lactobacillus plantarum as probiotic and its advantages in human health and industrial applications: A review. Adv. Environ. Biol. 2018, 12, 16–27. [Google Scholar] [CrossRef]
- Kassayová, M.; Bobrov, N.; Strojný, L.; Kisková, T.; Mikeš, J.; Demečková, V.; Orendáš, P.; Bojková, B.; PÉČ, M.; Kubatka, P.; et al. Preventive effects of probiotic bacteria Lactobacillus plantarum and dietary fiber in chemically-induced mammary carcinogenesis. Anticancer Res. 2014, 34, 4969–4975. Available online: https://pubmed.ncbi.nlm.nih.gov/25202079/ (accessed on 23 December 2024).
- Maeda, M.; Shibata, A.; Biswas, G.; Korenaga, H.; Kono, T.; Itami, T.; Sakai, M. Isolation of lactic acid bacteria from kuruma shrimp (Marsupenaeus japonicus) intestine and assessment of immunomodulatory role of a selected strain as probiotic. Mar. Biotechnol. 2014, 16, 181–192. [Google Scholar] [CrossRef] [PubMed]
- Abreu, L.R. Identification and Characterization of Probiotic Potential of Bacteria Isolated from Milk and Goat Cheese. Master’s Thesis, Faculty of Medicine, Federal University of Ceará, Sobral, Brazil, 2015. (In Portuguese). [Google Scholar]
- Bomfim, V.B.; Lopes Neto, J.H.P.; Leite, K.S.; Vieira, E.A.; Iacomini, M.; Silva, C.M.; Santos, K.M.O.; Cardarelli, H.R. Partial characterization and antioxidant activity of exopolysaccharides produced by Lactobacillus plantarum CNPC003. LWT Food Sci. Technol. 2020, 127, 109349. [Google Scholar] [CrossRef]
- Ribeiro, A.P.O.; Gomes, F.S.; Santos, K.M.O.; Matta, V.M.; Sá, D.G.C.F.; de Araujo Santiago, M.C.P.; Conte, C.; Costa, S.D.O.; Ribeiro, L.O.; Godoy, R.L.O.; et al. Development of a probiotic non-fermented blend beverage with juçara fruit: Effect of the matrix on probiotic viability and survival to the gastrointestinal tract. LWT Food Sci. Technol. 2020, 118, 108756. [Google Scholar] [CrossRef]
- Furtado, R.N.; Moreira Filho, E.C.; Carneiro, M.S.S.; Pereira, E.S.; Pinheiro, R.M.C.; Pinto, A.P. Pilosocereus gounellei in the water supply for finishing sheep in regions of climatic vulnerability. Small Rumin. Res. 2019, 173, 88–93. [Google Scholar] [CrossRef]
- Sousa, G.A.; Oliveira, I.S.; Silva-Freitas, F.V.; Viana, A.F.S.C.; Neto, B.P.S.; Cunha, F.V.M.; Gonçalves, R.L.G.; Lima Filho, A.C.M.; Amaral, M.P.M.; Oliveira, R.C.M.; et al. Gastroprotective effect of ethanol extracts of cladodes and roots of Pilosocereus gounellei (A. Weber ex K. Schum.) Bly. Ex Rowl (Cactaceae) on experimental ulcer models. J. Ethnopharmacol. 2018, 218, 100–108. [Google Scholar] [CrossRef] [PubMed]
- Dias, G.E.N.; Gergonio, I.F.; Ramalho, J.A.; Oliveira, K.M.; Guedes, E.J.R.C.E.; Leite, F.C.; Alves, M.F.; Maciel, J.K.S.; Souza, M.F.V.; Lima, C.M.B.L.; et al. Acute Oral toxicity and anti-inflammatory activity of ethanolic Extract from Pilosocereus gounellei (Fac Weber) in rats. Int. J. Pharmacogn. Phytochem. Res. 2015, 7, 1007–1012. [Google Scholar]
- Ribeiro, T.S.; Sampaio, K.B.; Menezes, F.N.D.D.; Assis, P.O.A.; Lima, M.S.; Oliveira, M.E.G.; Souza, E.L.; Queiroga, R.C.R.E. In vitro evaluation of potential prebiotic effects of a freeze-dried juice from Pilosocereus gounellei (A. Weber ex K. Schum. Bly. Ex Rowl) cladodes, an unconventional edible plant from Caatinga biome. 3 Biotech 2020, 10, 448. [Google Scholar] [CrossRef]
- Bezerril, F.F.; Magnani, M.; Pacheco, M.T.B.; de Souza, M.D.F.V.; Figueiredo, R.M.F.; Lima, M.S.; Borges, G.S.C.; Oliveira, M.E.G.; Pimentel, T.C.; Queiroga, R.C.R.E. Pilosocereus gounellei (xique-xique) jam is source of fibers and mineral and improves the nutritional value and the technological properties of goat milk yogurt. LWT Food Sci. Technol. 2021, 139, 110512. [Google Scholar] [CrossRef]
- Machado, A.D.G.; Pacheco, M.T.B.; Queiroga, R.C.R.E.; Cavalcante, L.M.; Bezerril, F.F.; Ormenese, R.C.S.C.; Garcia, A.O.; Nabeshima, E.H.; Pintado, M.M.E.; Oliveira, M.E.G. Nutritional, physicochemical and sensorial acceptance of functional cookies enriched with xique-xique (Pilosocereus gounellei). PLoS ONE 2021, 16, e0255287. [Google Scholar] [CrossRef]
- Jia, R.; Zhang, F.; Song, Y.; Lou, Y.; Zhao, A.; Liu, Y.; Peng, H.; Hui, Y.; Ren, R.; Wang, B. Physicochemical and textural characteristics and volatile compounds of semihard goat cheese as affected by starter cultures. J. Dairy Sci. 2021, 104, 270–280. [Google Scholar] [CrossRef] [PubMed]
- Radulović, Z.; Miočinović, J.; Mirković, N.; Mirković, M.; Paunović, D.; Ivanović, M.; Seratlić, S. Survival of spray-dried and free-cells of potential probiotic Lactobacillus plantarum 564 in soft goat cheese. Anim. Sci. J. 2017, 88, 1849–1854. [Google Scholar] [CrossRef]
- Santos, T.D.R.; Gonçalves, B.; Carvalho, S.A.; Fernandes, S.A.A.; Ferrão, S.P.B. Physical, chemical and sensory characteristics of cream goat cheese produced with Saanen and Alpine milk. Int. J. Eng. Res. Sci. 2016, 2, 102–111. [Google Scholar]
- Zeng, S.S.; Soryal, K.; Fekadu, B.; Bah, B.; Popham, T. Predictive formulae for goat cheese yield based on milk composition. Small Rumin. Res. 2007, 69, 180–186. [Google Scholar] [CrossRef]
- Barbosa, I.C.; Oliveira, M.E.G.; Madruga, M.S.; Gullón, B.; Pacheco, M.T.B.; Gomes, A.M.P.; Batista, A.S.M.; Pintado, M.M.E.; Souza, E.L.; Queiroga, R.C.R.E. Influence of the addition of Lactobacillus acidophilus La-05, Bifidobacterium animalis subsp. lactis Bb-12 and inulin on the technological, physicochemical, microbiological and sensory features of creamy goat cheese. Food Funct. 2016, 7, 4356–4371. [Google Scholar] [CrossRef] [PubMed]
- CIE—Commission Internationale De L’éclairage. Colorimetry, 2nd ed.; CIE publication: Vienna, Austria, 1996. [Google Scholar]
- AOAC. Official Methods of Analysis of AOAC International, 21st ed.; AOAC International: Gaithersburg, MD, USA, 2019; p. 3172. [Google Scholar]
- Folch, J.; Lees, M.; Stanley, G.S. A simple method for the isolation and purification of total lipides from animal tissues. J. Biol. Chem. 1957, 226, 497–509. [Google Scholar] [CrossRef]
- Zeppa, G.; Conterno, L.; Gerbi, V. Determination of organic acids, sugars, diacetyl, and acetoin in cheese by high-performance liquid chromatography. J. Agric. Food Chem. 2001, 49, 2722–2726. [Google Scholar] [CrossRef] [PubMed]
- Bradford, M.M. A rapid and sensitive method for the quantitation of microgram quantities of protein utilizing the principle of protein-dye binding. Anal. Biochem. 1976, 722, 248–254. [Google Scholar] [CrossRef]
- Laemmli, U.K. Cleavage of structural proteins during the assembly of the head of bacteriophage T4. Nature 1970, 227, 680–685. [Google Scholar] [CrossRef] [PubMed]
- Egito, A.S.; Miclo, L.; López, C.; Adam, A.; Girardet, J.M.; Gaillard, J.L. Separation and characterization of mares’ milk alpha (s1)-, beta-, kappa-caseins, gamma-casein-like, and proteose peptone component 5-like peptides. J. Dairy Sci. 2002, 85, 697–706. [Google Scholar] [CrossRef]
- White, J.A.; Hart, R.J.; Fry, J.C. An evaluation of the Waters Pico-Tag system for the amino-acid analysis of food materials. J. Autom. Chem. 1986, 8, 170–177. [Google Scholar] [CrossRef] [PubMed]
- Hagen, S.R.; Frost, B.; Augustin, J. Pre column phenylisothiocyanate derivatization and liquid chromatography of amino acids in food. J. Assoc. Off. Anal. Chem. 1989, 72, 912–916. [Google Scholar] [PubMed]
- Molkentin, J.; Precht, D. Validation of a gas-chromatographic method for the determination of milk fat contents in mixed fats by butyric acid analysis. Eur. J. Lipid Sci. Technol. 2000, 102, 194–201. [Google Scholar] [CrossRef]
- Sperry, M.F.; Silva, H.L.; Balthazar, C.F.; Esmerino, E.A.; Verruck, S.; Prudencio, E.S.; Neto, R.P.C.; Tavares, M.I.; Peixoto, J.C.; Nazzaro, F.; et al. Probiotic Minas Frescal cheese added with L. casei 01: Physicochemical and bioactivity characterization and effects on hematological/biochemical parameters of hypertensive overweighted women–A randomized double-blind pilot trial. J. Funct. Foods 2018, 45, 435–443. [Google Scholar] [CrossRef]
- APHA. American Public Health Association. Compendium of Methods for the Microbiological Examination of Foods, 15th ed.; American Public Health Association: Washington, DC, USA, 2015. [Google Scholar] [CrossRef]
- Brazil, National Health Surveillance Agency (Ministério da Saúde, Agência Nacional de Vigilância Sanitária, Diretoria Colegiada). Lista de Padrões Microbiológicos para Alimentos 2022; Instrução Normativa n° 161, de 01 de julho de 2022; 2022. (In Portuguese) [Google Scholar]
- Costa, M.P.; Monteiro, M.L.G.; Frasao, B.S.; Silva, V.L.; Rodrigues, B.L.; Chiappini, C.C.; Conte-Junior, C.A. Consumer perception, health information, and instrumental parameters of cupuassu (Theobroma grandiflorum) goat milk yogurts. J. Dairy Sci. 2017, 100, 157–168. [Google Scholar] [CrossRef]
- Sigmastat, version 3.5.; Computer Program; Commercial: Point Richmond, CA, USA, 2006.
- Da Costa, G.M.; de Carvalho, J.V.S.; Mingotti, J.D.; Barão, C.E.; Klososki, S.J.; Pimentel, T.C. Effect of ascorbic acid or oligofructose supplementation on L. paracasei viability, physicochemical characteristics and acceptance of probiotic orange juice. LWT Food Sci. Technol. 2017, 75, 195–201. [Google Scholar] [CrossRef]
- Trigueros, L.; Wojdylo, A.; Sendra, E. Antioxidant activity and protein-polyphenol interactions in a pomegranate (Punica granatum L.) yogurt. J. Agric. Food Chem. 2014, 62, 6417–6425. [Google Scholar] [CrossRef] [PubMed]
- de Oliveira, C.M.S.; Grisi, C.V.B.; de Souza Silva, G.; Neto, J.H.P.L.; de Medeiros, L.L.; dos Santos, K.M.O.; Cardarelli, H.R. Use of Lactiplantibacillus plantarum CNPC 003 for the manufacture of functional skimmed fresh cheese. Int. Dairy J. 2023, 141, 105628. [Google Scholar] [CrossRef]
- Santini, M.S.; Koga, E.C.; Aragon, D.C.; Santana, E.H.; Costa, M.R.; Costa, G.N.; Aragon-Alegro, L.C. Dried tomato-flavored probiotic cream cheese with Lactobacillus paracasei. J. Food Sci. 2012, 77, 604–608. [Google Scholar] [CrossRef]
- Gengatharan, A.; Dykes, G.A.; Choo, W.S. The effect of pH treatment and refrigerated storage on natural colourant preparations (betacyanins) from red pitahaya and their potential application in yoghurt. LWT Food Sci. Technol. 2017, 80, 437–445. [Google Scholar] [CrossRef]
- Miranda, R.F.; Paula, M.M.; Costa, G.M.; Barão, C.E.; Silva, A.C.R.; Raices, R.S.L.; Gomes, R.G.; Pimentel, T.C. Orange juice added with L. casei: Is there an impact of the probiotic addition methodology on the quality parameters? LWT Food Sci. Technol. 2019, 106, 186–193. [Google Scholar] [CrossRef]
- Mantovani, F.D.; de Carla Bassetto, M.; de Souza, C.H.; Aragon, D.C.; de Santana, E.H.; Pimentel, T.C.; Aragon-Alegro, L.C. Is there an impact of the dairy matrix on the survival of Lactobacillus casei Lc-1 during shelf life and simulated gastrointestinal conditions? J. Sci. Food Agric. 2020, 100, 32–37. [Google Scholar] [CrossRef] [PubMed]
- Sartori, A.G.O.; Alencar, S.M.; Bastos, D.H.M.; Regitano d’Arce, M.A.B.; Skibsted, L.H. Effect of water activity on lipid oxidation and nonenzymatic browning in Brazil nut flour. Eur. Food Res. Technol. 2018, 244, 1657–1663. [Google Scholar] [CrossRef]
- Costa, M.F.; Pimentel, T.C.; Guimaraes, J.T.; Balthazar, C.F.; Rocha, R.S.; Cavalcanti, R.N.; Esmerino, E.A.; Freitas, M.Q.; Raices, R.S.L.; Silva, M.C.; et al. Impact of prebiotics on the rheological characteristics and volatile compounds of Greek yogurt. LWT Food Sci. Technol. 2019, 105, 371–376. [Google Scholar] [CrossRef]
- Bezerra, T.K.A.; de Oliveira Arcanjo, N.M.; Garcia, E.F.; Gomes, A.M.P.; Queiroga, R.C.R.E.; de Souza, E.L.; Madruga, M.S. Effect of supplementation with probiotic lactic acid bacteria, separately or combined, on acid and sugar production in goat ‘coalho’ cheese. LWT Food Sci. Technol. 2017, 75, 710–718. [Google Scholar] [CrossRef]
- Illikoud, N.; Do Carmo, F.L.R.; Daniel, N.; Jan, G.; Gagnaire, V. Development of innovative fermented products by exploiting the diversity of immunomodulatory properties and fermentative activity of lactic and propionic acid bacteria. Food Res. Int. 2023, 166, 112557. [Google Scholar] [CrossRef]
- Mesnage, R.; Antoniou, M.N.; Tsoukalas, D.; Goulielmos, G.N.; Tsatsakis, A. Gut microbiome metagenomics to understand how xenobiotics impact human health. Curr. Opin. Toxicol. 2018, 11–12, 51–58. [Google Scholar] [CrossRef]
- Dhakal, D.; Younas, T.; Bhusal, R.P.; Devkota, L.; Li, L.; Zhang, B.; Dhital, S. The effect of probiotic strains on the proteolytic activity and peptide profiles of lupin oat-based yoghurt. Food Hydrocoll. 2024, 149, 109570. [Google Scholar] [CrossRef]
- Ahmed, S.; El-Bassiony, T.; Elmalt, L.M.; Ibrahim, H.R. Identification of potent antioxidant bioactive peptides from goat milk proteins. Food Res. Int. 2015, 74, 80–88. [Google Scholar] [CrossRef] [PubMed]
- Eriksen, E.K.; Vegarud, G.E.; Langsrud, T.; Almaas, H.; Lea, T. Effect of milk proteins and their hydrolysates on in vitro immune responses. Small Rumin. Res. 2008, 79, 29–37. [Google Scholar] [CrossRef]
- Esmaeilpour, M.; Reza Ehsani, M.; Aminlari, M.; Shekarforoush, S.; Hoseini, E. Antimicrobial activity of peptides derived from enzymatic hydrolysis of goat milk caseins. Comp. Clin. Pathol. 2016, 25, 599–615. [Google Scholar] [CrossRef]
- Espejo-Carpio, F.J.; Pérez-Galvez, R.; Guadix, E.M.; Guadix, A. Angiotensin Iconverting enzyme inhibitory activity of enzymatic hydrolysates of goat milk protein fractions. Int. Dairy J. 2013, 32, 175–783. [Google Scholar] [CrossRef]
- Abellán, A.; Cayuela, J.M.; Pino, A.; Martínez-Cachá, A.; Salazar, E.; Tejada, L. Free amino acid content of goat’s milk cheese made with animal rennet and plant coagulant. J. Sci. Food Agric. 2012, 92, 1657–1664. [Google Scholar] [CrossRef]
- Pino, A.; Prados, F.; Galán, E.; Vivo, R.; Fernández-Salguero, J. Amino acids evolution during ripening of goats’ milk cheese manufactured with different coagulants. Int. J. Food Sci. Technol. 2009, 44, 2062–2069. [Google Scholar] [CrossRef]
- Iličić, M.D.; Milanović, S.D.; Carić, M.Đ.; Kanurić, K.G.; Vukić, V.R.; Hrnjez, D.V.; Ranogajec, M.I. Volatile compounds of functional dairy products. Acta Period. Technol. 2012, 43, 11–19. [Google Scholar] [CrossRef]
- Yvon, M.; Rijnen, L. Cheese flavour formation by amino acid catabolism. Int. Dairy J. 2001, 11, 185–201. [Google Scholar] [CrossRef]
- Batista, A.L.D.; Silva, R.; Cappato, L.P.; Ferreira, M.V.S.; Nascimento, K.O.; Schmiele, M.; Esmerino, E.A.M.; Balthazar, C.F.; Silva, H.L.A.; Moraes, J.; et al. Developing a synbiotic fermented milk using probiotic bacteria and organic green banana flour. J. Funct. Foods 2017, 38, 242–250. [Google Scholar] [CrossRef]
- Román, G.C.; Jackson, R.E.; Gadhia, R.; Román, A.N.; Reis, J. Mediterranean diet: The role of long-chain ω-3 fatty acids in fish; polyphenols in fruits, vegetables, cereals, coffee, tea, cacao and wine; probiotics and vitamins in prevention of stroke, age-related cognitive decline, and Alzheimer disease. Rev. Neurol. 2019, 175, 724–741. [Google Scholar] [CrossRef] [PubMed]
- Palomer, X.; Pozarro-Delogado, J.; Barroso, E.; Vázquez-Carrera, M. Palmitic and oleic acid: The yin and yang of fatty acids in type 2 diabetes mellitus. Trends Endocrinol. Metab. 2018, 29, 178–190. [Google Scholar] [CrossRef] [PubMed]
- Dabaj, F.K.; Lasekan, O.; Manap, M.Y.A.; Ling, F.H. Evaluation of the volatilomic potentials of the Lactobacillus casei 431 and Lactobacillus acidophilus La-5 in fermented milk. CyTA J. Food 2020, 18, 291–300. [Google Scholar] [CrossRef]
- Zhang, L.; Mi, S.; Liu, R.B.; Sang, Y.X.; Wang, X.H. Evaluation of volatile compounds during the fermentation process of yogurts by Streptococcus thermophilus based on odor activity value and heat map analysis. Int. J. Anal. Chem. 2020, 2020, 3242854. [Google Scholar] [CrossRef]
- Xue, B.; You, Y.; Du, M.; Ibrahim, A.; Suo, H.; Zhang, F.; Zheng, J. Metagenomic analysis of Lactobacillus plantarum DACN768 inoculation effects on volatile flavor compounds, microbial succession, and flavor metabolic network in suansun. Food Res. Int. 2025, 199, 115382. [Google Scholar] [CrossRef]
- Santos, E.S.; Oliveira, A.J.B.; Machado, M.F.P.S.; Mangolin, C.A.; Gonçalves, R.A.C. Cereus hildmannianus (K.) Schum. (Cactaceae): Ethnomedical uses, phytochemistry and biological activities. J. Ethnopharmacol. 2021, 264, 113339. [Google Scholar] [CrossRef]
- Vieira, E.A.; Coêlho, J.G.S.; Grisi, C.V.B.; Santos, B.S.; Silva Júnior, J.C.; Alcântara, M.A.; Meireles, B.R.L.A.; Santos, N.A.; Cordeiro, A.M.R.T.M. Correlation and influence of antioxidant compounds of peels and pulps of different species of cacti from Brazilian Caatinga biome using principal component analysis. S. Afr. J. Bot. 2022, 147, 434–442. [Google Scholar] [CrossRef]
- Singh, N.; Kathuria, D.; Barthwal, R.; Joshi, R. Metabolomics of chemical constituents as a tool for understanding the quality of fruits during development and processing operations. Int. J. Food Sci. Technol. 2024, 59, 4169–4184. [Google Scholar] [CrossRef]
- Terpou, A.; Papadaki, A.; Lappa, I.K.; Kachrimanidou, V.; Bosnea, L.A.; Kopsahelis, N. Probiotics in food systems: Significance and emerging strategies towards improved viability and delivery of enhanced beneficial value. Nutrients 2019, 11, 1591–1597. [Google Scholar] [CrossRef]
- Feng, C.; Wang, B.; Zhao, A.; Wei, L.; Shao, Y.; Wang, Y.; Cao, B.; Zhang, F. Quality characteristics and antioxidant activities of goat milk yogurt with added jujube pulp. Food Chem. 2019, 277, 238–245. [Google Scholar] [CrossRef] [PubMed]





| Parameters | Days of Storage | Formulations | |||
|---|---|---|---|---|---|
| CC | PC | XC | PXC | ||
| Yield (g/L) | 1 | 213.46 ± 32.23 A | 208.34 ± 19.33 A | 195.70 ± 57.22 A | 189.17 ± 46.44 A |
| L* | 1 | 83.31 ± 0.06 Db | 90.72 ± 0.19 Aa | 84.75 ± 0.32 Ca | 85.84 ± 0.05 Ba |
| 7 | 85.04 ± 0.04 Ba | 86.21 ± 0.22 Ab | 81.71 ± 0.16 Db | 83.89 ± 0.09 Cb | |
| 14 | 81.75 ± 0.05 Bc | 85.61 ± 0.15 Ac | 78.03 ± 0.01 Dc | 79.72 ± 0.30 Cc | |
| 21 | 81.39 ± 0.19 Ac | 81.99 ± 0.19 Ad | 77.31 ± 0.19 Cd | 79.91 ± 0.11 Bc | |
| a* | 1 | −1.83 ± 0.04 Ba | −2.01 ± 0.02 Aa | −1.99 ± 0.02 Aa | −1.54 ± 0.03 Ca |
| 7 | −0.82 ± 0.02 Db | −1.18 ± 0.01 Cc | −1.85 ± 0.01 Ab | −1.41 ± 0.02 Bb | |
| 14 | −0.75 ± 0.02 Dc | −1.27 ± 0.01 Cb | −2.03 ± 0.04 Aa | −1.36 ± 0.01 Bc | |
| 21 | −0.75 ± 0.01 Dc | −1.16 ± 0.01 Bc | −1.81 ± 0.02 Ab | −0.96 ± 0.01 Cd | |
| b* | 1 | 5.85 ± 0.01 Cd | 7.48 ± 0.07 Bb | 9.08 ± 0.07 Ab | 7.46 ± 0.04 Bd |
| 7 | 6.86 ± 0.01 Cc | 7.91 ± 0.02 Ba | 9.66 ± 0.07 Aa | 7.73 ± 0.08 Bc | |
| 14 | 6.47± 0.02 Db | 7.95 ± 0.06 Ca | 9.68 ± 0.09 Aa | 8.43 ± 0.09 Bb | |
| 21 | 7.43 ± 0.08 Ca | 7.43 ± 0.03 Cb | 8.39 ± 0.06 Bc | 9.22 ± 0.04 Aa | |
| Hardness (N) | 1 | 3.58 ± 0.60 Aa | 1.85 ± 0.53 Ba | 2.75 ± 0.18A Ba | 1.76 ± 0.25 Ba |
| 7 | 2.95 ± 0.45 Aa | 1.70 ± 0.32 Ba | 2.66 ± 0.27 Aa | 1.41 ± 0.20 Ba | |
| 14 | 2.57 ± 0.15 Aa | 1.45 ± 0.30 Ba | 2.52 ± 0.35 Aa | 1.30 ± 0.08 Ba | |
| 21 | 3.15 ± 0.69 Aa | 1.38 ± 0.05 Ba | 3.40 ± 0.31 Aa | 1.41 ± 0.20 Ba | |
| Adhesiveness (g/s) | 1 | 2290.95 ± 112 Ab | 781.39 ± 105 Ba | 2145.78 ± 165 Ab | 870.05 ± 87.7 Ba |
| 7 | 2527.63 ± 70.5 Aa | 748.65 ± 66.3 Ba | 2167.48 ± 100 Ab | 787.53 ± 61.2 Ba | |
| 14 | 1839.97 ± 415 Ab | 729.51 ± 14.8 Ba | 2242.26 ± 18.3 Aab | 667.19 ± 46.6 Ba | |
| 21 | 2579.14 ± 33.5 Aa | 715.46 ± 27.1 Ba | 2515.34 ± 44.1 Aa | 728.05 ± 96.6 Ba | |
| Springiness | 1 | 0.19 ± 0.04 Ba | 0.93 ± 0.01 Aa | 0.34 ± 0.15 Ba | 0.94 ± 0.01 Aa |
| 7 | 0.13 ± 0.03 Ba | 0.70 ± 0.28 Aa | 0.21 ± 0.04 Ba | 0.94 ± 0.02 Aa | |
| 14 | 0.13 ± 0.03 Ba | 0.93 ± 0.01 Aa | 0.18 ± 0.05 Bab | 0.94 ± 0.01 Aa | |
| 21 | 0.07 ± 0.02 Ba | 0.95 ± 0.01 Aa | 0.13 ± 0.03 Bb | 0.96 ± 0.01 Aa | |
| Cohesiveness | 1 | 0.24 ± 0.03 Ba | 0.87 ± 0.01 Aa | 0.32 ± 0.10 Bab | 0.87 ± 0.01 Aa |
| 7 | 0.22 ± 0.01 Ca | 0.87 ± 0.01 Aa | 0.35 ± 0.07 Ba | 0.82 ± 0.01 Aa | |
| 14 | 0.18 ± 0.03 Ca | 0.88 ± 0.01 Aa | 0.25 ± 0.01 Bb | 0.89 ± 0.01 Aa | |
| 21 | 0.10 ± 0.03 Bb | 0.90 ± 0.01 Aa | 0.15 ± 0.04 Bc | 0.88 ± 0.01 Aa | |
| Gumminess (N) | 1 | 0.77 ± 0.28 Aa | 1.61 ± 0.45 Aa | 1.02 ± 0.41 Aa | 1.53 ± 0.21 Aa |
| 7 | 0.75 ± 0.15 Ba | 1.24 ± 0.03 Aa | 0.57 ± 0.19 Ba | 1.49 ± 0.27 Aa | |
| 14 | 0.82± 0.23ABa | 1.28 ± 0.27 Aa | 0.63 ± 0.16 Ba | 1.16 ± 0.07ABa | |
| 21 | 0.38 ± 0.05 Ba | 1.34 ± 0.05 Aa | 0.52 ± 0.08 Ba | 1.23 ± 0.18 Aa | |
| Parameters | Days of Storage | Formulations | |||
|---|---|---|---|---|---|
| CC | PC | XC | PXC | ||
| aw 1 | 1 | 0.924 ± 0.001 Aa | 0.922 ± 0.001 Cb | 0.923 ± 0.001 Ba | 0.924 ± 0.001 Ab |
| 7 | 0.923 ± 0.001 Cb | 0.923 ± 0.001 Ca | 0.922 ± 0.001 Bb | 0.924 ± 0.001 Ab | |
| 14 | 0.923 ± 0.001 Bb | 0.923 ± 0.001 Ba | 0.923 ± 0.001 Ba | 0.925 ± 0.001 Aa | |
| 21 | 0.922 ± 0.001 Cc | 0.923 ± 0.001 Ba | 0.923 ± 0.001 Ba | 0.925 ± 0.001 Aa | |
| pH | 1 | 6.75 ± 0.01 Da | 6.83 ± 0.01 Ba | 6.85 ± 0.00 Aa | 6.81 ± 0.01 Ca |
| 7 | 6.45 ± 0.00 Db | 6.47 ± 0.00 Cb | 6.74 ± 0.01 Ab | 6.58 ± 0.01 Bb | |
| 14 | 6.19 ± 0.01 Dc | 6.46 ± 0.01 Bb | 6.41 ± 0.01 Cc | 6.60 ± 0.00 Ab | |
| 21 | 5.92 ± 0.00 Dd | 6.20 ± 0.01 Cc | 6.31 ± 0.01 Bd | 6.41 ± 0.01 Ac | |
| Lactic acid acidity (g/100 g) | 1 | 0.25 ± 0.01 Ad | 0.25 ± 0.02 Ad | 0.25 ± 0.01 Ad | 0.26 ± 0.01 Ad |
| 7 | 0.37 ± 0.01 Cc | 0.36 ± 0.01 Cc | 0.42 ± 0.01 Bc | 0.52 ± 0.01 Ac | |
| 14 | 0.42 ± 0.01 Cb | 0.43 ± 0.01 Cb | 0.52 ± 0.01 Bb | 0.68 ± 0.01 Ab | |
| 21 | 0.52 ± 0.01 Da | 0.69 ± 0.01 Ba | 0.61 ± 0.02 Ca | 0.77 ± 0.01 Aa | |
| Ash (g/100 g) | 1 | 1.37 ± 0.14 Aa | 1.03 ± 0.04 Ba | 1.23 ± 0.05 ABa | 1.13 ± 0.03 Ba |
| 7 | 1.32 ± 0.04 Aa | 1.14 ± 0.15 Aa | 1.23 ± 0.06 Aa | 1.22 ± 0.05 Aa | |
| 14 | 1.38 ± 0.06 Aa | 1.13 ± 0.09 Ba | 1.25 ± 0.06 ABa | 1.25 ± 0.04 ABa | |
| 21 | 1.33 ± 0.04 Aa | 1.12 ± 0.08 Ba | 1.24 ± 0.04 ABa | 1.10 ± 0.10 Ba | |
| Moisture (g/100 g) | 1 | 71.56 ± 0.60 Ba | 74.57 ± 0.41 Aa | 72.42 ± 0.52 Ba | 72.37 ± 0.30 Ba |
| 7 | 70.90 ± 0.62 Cab | 74.09 ± 0.15 Aab | 72.20 ± 0.39 BCa | 72.48 ± 0.53 Ba | |
| 14 | 70.11 ± 0.32 Bab | 72.60 ± 0.19 Ab | 72.31 ± 0.35 Aa | 72.22 ± 0.52 Aa | |
| 21 | 70.03 ± 0.34 Bb | 72.25 ± 0.15 Ab | 71.76 ± 0.42 Aa | 71.63 ± 0.47 Aa | |
| Protein (g/100 g) | 1 | 11.82 ± 0.01 Aa | 10.26 ± 0.35 Ba | 11.32 ± 0.14 Aa | 10.52 ± 0.42 Ba |
| 7 | 11.73 ± 0.16 Aa | 9.66 ± 0.12 Ba | 11.73 ± 0.22 Aa | 10.15 ± 0.43 Ba | |
| 14 | 11.08 ± 0.05 Ab | 9.69 ± 0.19 Ba | 11.36 ± 0.06 Aa | 9.20 ± 0.12 Cb | |
| 21 | 10.66 ± 0.20 Ab | 9.02 ± 0.37 Bb | 10.37 ± 0.21 Ab | 9.20 ± 0.16 Bb | |
| Fat (g/100 g) | 1 | 12.69 ± 0.39 Aa | 11.45 ± 0.06 Bb | 11.70 ± 0.42 Ab | 10.45 ± 0.33 Ca |
| 7 | 11.33 ± 0.20 Aa | 11.65 ± 0.26 Aa | 11.84 ± 0.30 Aa | 10.94 ± 0.11 Aa | |
| 14 | 10.66 ± 0.13 Aa | 10.14 ± 0.16 Ac | 10.40 ± 0.52 Ac | 10.48 ± 0.21 Aa | |
| 21 | 10.79 ± 0.35 Aa | 9.61 ± 0.34 Bc | 10.04 ± 0.14 Bc | 10.20 ± 0.11 Ba | |
| Parameters | Days of Storage | Formulations | |||
|---|---|---|---|---|---|
| CC | PC | XC | PXC | ||
| Sugar (g/100 g) | |||||
| Lactose | 1 | 1.80 ± 0.13 Aa | 1.56 ± 0.02 Ba | 1.60 ± 0.03 Ba | 1.60 ± 0.11 Ba |
| 21 | 0.52 ± 0.01 Cb | 0.98 ± 0.02 Ab | 0.93 ± 0.02 Ab | 0.83 ± 0.02 Bb | |
| Galactose | 1 | 0.03 ± 0.01 Ab | nd | nd | nd |
| 21 | 0.39 ± 0.10 Aa | 0.11 ± 0.01 Ba | 0.40 ± 0.01 Aa | nd | |
| Glucose | 1 | 0.17 ± 0.01 Bb | 0.49 ± 0.04 Ab | 0.23 ± 0.01 Bb | 0.19 ± 0.01 Bb |
| 21 | 0.40 ± 0.04 Ca | 0.80 ± 0.01 Aa | 0.61 ± 0.02 Ba | 0.32 ± 0.01 Ca | |
| Organic acids (g/100 g) | |||||
| Lactic | 1 | 0.40 ± 0.13 Ab | 0.61 ± 0.11 Aa | 0.68 ± 0.15 Ab | 0.68 ± 0.08 Ab |
| 21 | 1.43 ± 0.12 Aa | 0.93 ± 0.20 Ba | 1.83 ± 0.35 Aa | 1.25 ± 0.18 ABa | |
| Acetic | 1 | 0.01 ± 0.01 Bb | 0.02 ± 0.01 Aa | 0.01 ± 0.01 Bb | 0.02 ± 0.01 Aa |
| 21 | 0.04 ± 0.01 Aa | 0.03 ± 0.01 ABa | 0.04 ± 0.01 Aa | 0.02 ± 0.01 Ba | |
| Propionic | 1 | 0.13 ± 0.01 Ab | 0.12 ± 0.01 Ab | 0.11 ± 0.04 Ab | 0.10 ± 0.02 Aa |
| 21 | 0.26 ± 0.01 Aa | 0.19 ± 0.01 ABa | 0.24 ± 0.03 Aa | 0.13 ± 0.02 Ba | |
| Amino Acids (mg/100) | Days of Storage | Formulations | |||
|---|---|---|---|---|---|
| CC | PC | XC | PXC | ||
| Aspartic acid | 1 | 2.97 ± 0.44 Aa | 1.52 ± 0.27 Bb | 1.09 ± 0.25 Cb | 0.17 ± 0.10 Cb |
| 21 | 0.24 ± 0.03 Db | 13.78 ± 0.25 Aa | 2.21 ± 0.10 Ca | 8.41 ± 0.66 Ba | |
| Glutamic acid | 1 | 0.32 ± 0.37 Cb | 18.86 ± 1.58 Bb | 0.70 ± 0.18 Cb | 42.78 ± 2.43 Ab |
| 21 | 7.42 ± 0.15 Da | 66.34 ± 0.61 Ba | 30.51 ± 0.13 Ca | 100.65 ± 5.55 Aa | |
| Serine | 1 | 1.00 ± 0.02 Ba | 1.84 ± 0.02 Aa | 2.08 ± 0.55 Ab | 0.44 ± 0.03 Ba |
| 21 | 1.44 ± 0.40 Ba | 2.31 ± 0.67 Ba | 6.89 ± 0.29 Aa | 0.99 ± 0.23 Ba | |
| Glycine | 1 | 6.77 ± 0.16 Aa | 6.61 ± 0.11 Ab | 6.23 ± 0.02 Ba | 7.74 ± 0.17 Ca |
| 21 | 7.08 ± 0.19 Ba | 9.79 ± 0.75 Aa | 6.38 ± 0.05 Ba | 5.40 ± 0.27 Bb | |
| Histidine | 1 | 18.42 ± 0.58 Aa | 18.79 ± 0.06 Ab | 18.17 ± 0.09 Aa | 14.76 ± 0.58 Ba |
| 21 | 17.75 ± 0.06 Ba | 28.73 ± 0.53 Aa | 19.51 ± 0.32 Ba | 15.24 ± 1.76 Ca | |
| Arginine | 1 | 1.35 ± 0.02 Cb | 1.27 ± 0.05 Cb | 1.60 ± 0.05 Bb | 1.93 ± 0.16 Ab |
| 21 | 11.47 ± 0.25 Ba | 15.57 ± 1.12 Aa | 5.88 ± 0.09 Da | 8.68 ± 0.41 Ca | |
| Threonine | 1 | 0.01 ± 0.01 Cb | 7.92 ± 0.46 Ab | 5.29 ± 0.79 Bb | 5.13 ± 0.15 Ba |
| 21 | 5.90 ± 0.04 Ca | 13.38 ± 2.19 Aa | 8.44 ± 0.07 Ba | 5.28 ± 0.02 Ca | |
| Alanine | 1 | 4.29 ± 0.13 Cb | 8.65 ± 0.55 Aa | 4.04 ± 0.06 Cb | 5.40 ± 0.05 Ba |
| 21 | 19.00 ± 0.03 Aa | 1.45 ± 0.15 Db | 15.62 ± 0.01 Ba | 3.72 ± 0.16 Cb | |
| Proline | 1 | 22.62 ± 0.25 Ba | 28.30 ± 0.05 Ab | 20.72 ± 1.11 Cb | 23.31 ± 0.52 Bb |
| 21 | 21.37 ± 0.67 Ca | 36.19 ± 0.47 Ba | 48.05 ± 1.57 Aa | 46.87 ± 1.49 Aa | |
| Tyrosine | 1 | 4.42 ± 0.33 Ba | 6.22 ± 0.08 Ab | 3.88 ± 0.23 Cb | 4.57 ± 0.18 Bb |
| 21 | 4.49 ± 0.35 Ca | 10.54 ± 0.08 Aa | 4.48 ± 0.29 Ca | 9.57 ± 0.04 Ba | |
| Valine | 1 | 2.84 ± 0.08 Cb | 8.07 ± 0.51 Aa | 1.47 ± 0.09 Db | 5.22 ± 0.27 Bb |
| 21 | 9.86 ± 0.12 Ca | 1.31 ± 0.09 Db | 20.69 ± 0.28 Aa | 15.67 ± 1.02 Ba | |
| Methionine | 1 | 0.22 ± 0.04 Aa | 0.46 ± 0.09 Ab | 0.50 ± 0.23 Ab | 0.07 ± 0.08 Ba |
| 21 | 1.59 ± 1.64 Ba | 3.01 ± 0.47 Ba | 12.27 ± 1.12 Aa | 1.48 ± 1.05 Ba | |
| Cysteine | 1 | 4.08 ± 0.10 Aa | 2.59 ± 0.02 Bb | 3.96 ± 0.06 Ab | 1.21 ± 0.67 Ca |
| 21 | 3.46 ± 1.01 Ca | 9.13 ± 0.60 Aa | 7.33 ± 0.10 Ba | 2.13 ± 0.34 Ca | |
| Isoleucine | 1 | 0.74 ± 0.24 Cb | 3.86 ± 0.25 Ab | 1.15 ± 0.26 Cb | 2.31 ± 0.08 Bb |
| 21 | 4.09 ± 0.86 Ca | 9.59 ± 1.24 Ba | 11.42 ± 0.75A Ba | 13.29 ± 0.56 Aa | |
| Leucine | 1 | 0.90 ± 0.32 Cb | 23.48 ± 0.56 Ab | 0.80 ± 0.01 Cb | 14.37 ± 1.83 Bb |
| 21 | 28.53 ± 0.23 Ca | 125.63 ± 0.49 Aa | 91.77 ± 0.24 Ba | 87.02 ± 4.34 Ba | |
| Phenylalanine | 1 | 3.67 ± 0.22 Bb | 3.50 ± 0.49 Bb | 2.72 ± 0.15 Bb | 15.88 ± 0.39 Ab |
| 21 | 29.57 ± 0.51 Ca | 22.28 ± 0.37 Ca | 57.70 ± 1.47 Ba | 71.35 ± 4.17 Aa | |
| Lysine | 1 | 1.34 ± 0.24 Ba | 11.90 ± 0.54 Aa | 1.88 ± 0.83 Ba | 15.02 ± 3.56 Aa |
| 21 | 1.81 ± 0.07 Ca | 7.85 ± 2.81 Ba | 4.03 ± 0.21 Ba | 14.18 ± 2.23 Aa | |
| TFAA | 1 | 75.95 ± 0.95 Bb | 153.85 ± 3.24 Ab | 76.27 ± 1.55 Bb | 157.35 ± 0.72 Ab |
| 21 | 175.06 ± 1.28 Da | 372.89 ± 2.13 Ba | 353.18 ± 6.37 Ca | 409.95 ± 19.2 Aa | |
| Fatty Acids | Days of Storage | Formulations | |||
|---|---|---|---|---|---|
| CC | PC | XC | PXC | ||
| Short-chain fatty acids (g/100 g) | |||||
| Butyric (C4:0) | 1 | 0.95 ± 0.07 Aa | 1.00 ± 0.05 Aa | 0.91 ± 0.01 Aa | 0.92 ± 0.03 Aa |
| 21 | 0.97 ± 0.14 Aa | 0.82 ± 0.08 Ab | 0.79 ± 0.05 Aa | 1.00 ± 0.16 Aa | |
| Medium chain | |||||
| Caproic (C6:0) | 1 | 1.54 ± 0.00 Aa | 1.60 ± 0.10 Aa | 1.31 ± 0.34 Aa | 1.68 ± 0.08 Aa |
| 21 | 1.57 ± 0.20 Aa | 1.46 ± 0.13 Aa | 1.52 ± 0.17 Aa | 1.77 ± 0.28 Aa | |
| Caprylic (C8:0) | 1 | 2.08 ± 0.06 Aa | 2.20 ± 0.13 Aa | 2.29 ± 0.14 Aa | 2.25 ± 0.07 Aa |
| 21 | 2.18 ± 0.20 Aa | 2.00 ± 0.14 Aa | 1.93 ± 0.05 Ab | 2.05 ± 0.05 Aa | |
| Capric (C10:0) | 1 | 7.93 ± 0.32 Aa | 8.20 ± 0.17 Aa | 7.92 ± 0.44 Aa | 8.31 ± 0.01 Aa |
| 21 | 7.91 ± 0.10 Ba | 8.11 ± 0.08 Ba | 7.61 ± 0.14 Ca | 8.49 ± 0.09 Aa | |
| Undecylic (C11:0) | 1 | 0.27 ± 0.06 Aa | 0.28 ± 0.04 Aa | 0.28 ± 0.08 Aa | 0.28 ± 0.02 Aa |
| 21 | 0.25 ± 0.01 ABa | 0.25 ± 0.02 ABa | 0.22 ± 0.01 Ba | 0.28 ± 0.00 Aa | |
| Lauric (C12:0) | 1 | 3.39 ± 0.01 Aa | 3.44 ± 0.14 Aa | 3.06 ± 0.48 Aa | 3.41 ± 0.04 Aa |
| 21 | 3.54 ± 0.20 Aa | 3.19 ± 0.27 Aa | 3.25 ± 0.04 Aa | 3.67 ± 0.04 Aa | |
| Tridecylic (C13:0) | 1 | 0.16 ± 0.01 Aa | 0.13 ± 0.01 Ba | 0.15 ± 0.01 Aa | 0.13 ± 0.00 Bb |
| 21 | 0.13 ± 0.01 Bb | 0.12 ± 0.01 Ba | 0.12 ± 0.01 Ba | 0.16 ± 0.02 Aa | |
| Myristic (C14:0) | 1 | 9.59 ± 0.08 Aa | 9.63 ± 0.29 Aa | 9.48 ± 0.19 Aa | 9.40 ± 0.04 Aa |
| 21 | 10.17 ± 1.28 Aa | 9.59 ± 0.09 Aa | 9.32 ± 0.08 Aa | 9.89 ± 0.34 Aa | |
| Myristoleic (C14:1) | 1 | 0.44 ± 0.01 Aa | 0.41 ± 0.02 Aa | 0.40 ± 0.09 Aa | 0.37 ± 0.03 Aa |
| 21 | 0.45 ± 0.09 Aa | 0.34 ± 0.04 Aa | 0.39 ± 0.00 Aa | 0.40 ± 0.02 Aa | |
| Pentadecylic (C15:0) | 1 | 1.02 ± 0.03 Aa | 0.94 ± 0.05 Aa | 1.00 ± 0.05 Aa | 0.94 ± 0.02 Aa |
| 21 | 1.01 ± 0.17 Aa | 0.84 ± 0.04 Aa | 0.90 ± 0.00 Aa | 0.82 ± 0.06 Aa | |
| Pentadecenoic (C15:1) | 1 | 0.29 ± 0.04 Aa | 0.22 ± 0.01 Aa | 0.24 ± 0.08 Aa | 0.24 ± 0.02 Aa |
| 21 | 0.33 ± 0.04 Aa | 0.20 ± 0.01 Ba | 0.24 ± 0.05 ABa | 0.26 ± 0.05 ABa | |
| Long-chain fatty acids | |||||
| Palmitic (C16:0) | 1 | 29.55 ± 0.61 ABa | 30.53 ± 0.24 Ab | 30.24 ± 0.94 Aa | 28.21 ± 0.54 Bb |
| 21 | 30.68 ± 1.06 Ba | 33.63 ± 0.10 Aa | 29.59 ± 0.32 Ba | 30.51 ± 0.61 Ba | |
| Palmitoleic (C16:1) ω7 | 1 | 0.93 ± 0.01 Aa | 0.84 ± 0.06 Aa | 0.85 ± 0.06 Aa | 0.91 ± 0.00 Aa |
| 21 | 1.08 ± 0.24 Aa | 0.71 ± 0.04 Ba | 0.76 ± 0.03 ABa | 0.93 ± 0.16 Aa | |
| Margaric (C17:0) | 1 | 0.94 ± 0.04 Aa | 0.93 ± 0.15 Aa | 0.90 ± 0.01 Aa | 0.81 ± 0.13 Aa |
| 21 | 0.88 ± 0.04 Aa | 0.81 ± 0.06 Aa | 0.81 ± 0.00 Aa | 0.92 ± 0.12 Aa | |
| Heptadecanoic (C17:1) | 1 | 0.30 ± 0.04 Aa | 0.26 ± 0.02 Aa | 0.22 ± 0.05 Aa | 0.28 ± 0.02 Aa |
| 21 | 0.23 ± 0.01 Aa | 0.26 ± 0.02 Aa | 0.22 ± 0.06 Aa | 0.25 ± 0.17 Aa | |
| Stearic (C18:0) | 1 | 11.28 ± 0.07 Aa | 11.33 ± 0.74 Aa | 11.82 ± 0.51 Aa | 10.89 ± 0.04 Aa |
| 21 | 10.62 ± 0.75 Aa | 10.99 ± 0.20 Aa | 11.87 ± 0.46 Aa | 11.19 ± 0.47 Aa | |
| Elaidic (C18:1 n9trans) ω9 | 1 | 2.79 ± 0.01 Aa | 2.85 ± 0.04 Aa | 2.45 ± 0.45 Aa | 2.56 ± 0.01 Aa |
| 21 | 2.38 ± 0.52 Aa | 2.44 ± 0.17 Aa | 2.77 ± 0.02 Aa | 2.15 ± 0.07 Aa | |
| Oleic (C18:1 n9cis) ω9 | 1 | 17.64 ± 0.58 Aa | 17.37 ± 0.51 ABa | 17.35 ± 0.49 ABa | 16.18 ± 0.14 Ba |
| 21 | 16.90 ± 1.59 ABa | 16.52 ± 0.50 Ba | 18.86 ± 0.31 Aa | 16.87 ± 0.21 ABa | |
| Linolelaidic (C18:2 n6trans) ω6 | 1 | 0.18 ± 0.01 Aa | 0.12 ± 0.02 Bb | 0.15 ± 0.02 ABa | 0.08 ± 0.02 Ba |
| 21 | 0.19 ± 0.15 Ba | 0.50 ± 0.10 Aa | 0.27 ± 0.08 ABa | 0.15 ± 0.03 Ba | |
| Linoleic (C18:2 n6cis) ω6 | 1 | 2.91 ± 0.05 Aa | 2.89 ± 0.05 Aa | 2.94 ± 0.08 Aa | 2.81 ± 0.01 Aa |
| 21 | 2.74 ± 0.38 ABa | 2.48 ± 0.05 Ba | 3.21 ± 0.04 Aa | 2.41 ± 0.34 Ba | |
| Arachidic (C20:0) | 1 | 0.51 ± 0.04 ABa | 0.40 ± 0.16 Ba | 0.59 ± 0.01 ABa | 0.73 ± 0.16 Aa |
| 21 | 0.40 ± 0.03 Aa | 0.20 ± 0.04A Bb | 0.25 ± 0.09A Bb | 0.29 ± 0.03 Ab | |
| Gamma-linolenic (C18:3 n6cis) ω6 | 1 | 0.17 ± 0.02 Aa | 0.17 ± 0.01 Aa | 0.12 ± 0.03 Ba | 0.17 ± 0.01 Aa |
| 21 | 0.16 ± 0.01 Aa | 0.34 ± 0.23 Aa | 0.20 ± 0.05 Aa | 0.20 ± 0.05 Aa | |
| Gondoic (C20:1 n11cis) ω9 | 1 | 0.90 ± 0.01 Aa | 0.77 ± 0.06 ABa | 0.64 ± 0.15 Ba | 0.79 ± 0.03 ABa |
| 21 | 0.67 ± 0.08A Bb | 0.54 ± 0.12 Bb | 0.68 ± 0.07 ABa | 0.83 ± 0.04 Aa | |
| Alpha-linolenic (C18:3 n9cis) ω3 | 1 | nd | nd | 0.06 ± 0.01 Aa | nd |
| 21 | 0.04 ± 0.01 Ba | 0.13 ± 0.02 Aa | 0.06 ± 0.02 Ba | 0.07 ± 0.01 Ba | |
| Heneicosylic (C21:0) | 1 | 0.11 ± 0.04 Aa | 0.06 ± 0.01 ABa | 0.06 ± 0.01A Bb | 0.05 ± 0.00 Bb |
| 21 | 0.08 ± 0.00 Ba | 0.11 ± 0.04 Ba | 0.19 ± 0.12 Ba | 0.79 ± 0.04 Aa | |
| Behenic (C22:0) | 1 | 0.94 ± 0.19 Ba | 1.03 ± 0.44 ABa | 1.06 ± 0.16 ABa | 1.66 ± 0.18 Aa |
| 21 | 1.10 ± 0.02 Aa | 0.50 ± 0.32 Aa | 0.85 ± 0.10 Aa | 0.81 ± 0.62 Ab | |
| Erucic (C22:1n9) ω9 | 1 | 0.28 ± 0.02 Aa | 0.22 ± 0.02 Ba | 0.21 ± 0.02 Ba | 0.22 ± 0.01 Ba |
| 21 | 0.18 ± 0.04A Bb | 0.16 ± 0.02 ABa | 0.22 ± 0.03 Aa | 0.08 ± 0.06 Bb | |
| Eicosapentaenoic (C20:5) | 1 | 2.32 ± 0.52 Ba | 1.97 ± 0.25 Ba | 2.67 ± 0.16 Ba | 4.67 ± 0.47 Aa |
| 21 | 2.54 ± 0.23 Aa | 1.68 ± 0.06 Ba | 2.31 ± 0.24 Aa | 2.31 ± 0.03 Ab | |
| Docosahexaenoic (C22:6) | 1 | 0.63 ± 0.18 Ba | 0.37 ± 0.16 Bb | 0.68 ± 0.04 Ba | 1.32 ± 0.16 Aa |
| 21 | 0.74 ± 0.12 Ba | 1.11 ± 0.08 Aa | 0.72 ± 0.09 Ba | 0.51 ± 0.12 Bb | |
| SFA | 1 | 70.25 ± 0.12 ABa | 71.68 ± 0.53 ABa | 72.64 ± 2.01 Aa | 69.64 ± 0.19 Ba |
| 21 | 70.91 ± 2.15 Aa | 72.64 ± 2.01 Aa | 69.22 ± 0.01 Aa | 72.61 ± 0.46 Aa | |
| UFA | 1 | 29.76 ± 0.12 ABa | 28.32 ± 0.53 ABa | 27.36 ± 2.01 Ba | 30.36 ± 0.19 Aa |
| 21 | 29.10 ± 2.16 Aa | 27.36 ± 2.01 Aa | 30.79 ± 0.01 Aa | 27.39 ± 0.46 Aa | |
| MUFA | 1 | 23.57 ± 0.55 Aa | 22.82 ± 0.58 Aa | 21.14 ± 1.77 Aa | 21.30 ± 0.42 Aa |
| 21 | 22.71 ± 1.28 Aa | 21.14 ± 1.77 Aa | 24.04 ± 0.31 Aa | 21.75 ± 0.59 Aa | |
| PUFA | 1 | 6.18 ± 0.68 Ba | 5.50 ± 0.05 Ba | 6.22 ± 0.23 Ba | 9.06 ± 0.61 Aa |
| 21 | 6.39 ± 0.88 Aa | 6.22 ± 0.23 Aa | 6.75 ± 0.31 Aa | 5.64 ± 0.13 Ab | |
| AI | 1 | 2.40 ± 0.04 ABa | 2.56 ± 0.01 Aa | 2.62 ± 0.18 Aa | 2.28 ± 0.04 Ba |
| 21 | 2.60 ± 0.41 Aa | 2.76 ± 0.22 Aa | 2.28 ± 0.02 Aa | 2.69 ± 0.02 Aa | |
| TI | 1 | 2.20 ± 0.23 Aa | 2.48 ± 0.03 Aa | 2.20 ± 0.08 Aa | 1.51 ± 0.10 Bb |
| 21 | 2.17 ± 0.24 Ba | 2.48 ± 0.08 Aa | 2.13 ± 0.08 Ba | 2.35 ± 0.06 ABa | |
| DFA | 1 | 40.04 ± 0.05 Aa | 39.65 ± 0.21 ABa | 39.18 ± 1.50 Ba | 41.25 ± 0.23 Aa |
| 21 | 39.72 ± 2.91 Aa | 38.35 ± 2.20 Aa | 42.66 ± 0.46 Aa | 38.58 ± 0.01 Aa | |
| HSFA | 1 | 42.53 ± 0.68 Aa | 43.60 ± 0.19 Aa | 42.78 ± 0.27 Aa | 41.02 ± 0.54 Ba |
| 21 | 44.38 ± 2.63 ABa | 46.41 ± 0.26 Aa | 42.16 ± 0.43 Ba | 44.07 ± 0.91 ABa | |
| Class | Compounds | IR Lit | IR | Storage/Days | CC | PC | XC | PXC |
|---|---|---|---|---|---|---|---|---|
| Aldehyde | Trans-2-decenal | 1263 | 1263 | 1 | <LOD | <LOD | <LOD | 0.52 ± 0.03 |
| 21 | <LOD | <LOD | <LOD | <LOD | ||||
| Acid | Acetic acid | 610 | <800 | 1 | 12.65 ± 0.84 Ba | 21.20 ± 0.60 Aa | 16.08 ± 0.35 Ba | 19.46 ± 3.29 ABb |
| 21 | 22.73 ± 2.66 Ba | 33.65 ± 19.3 Ba | 20.57 ± 8.16 Ba | 78.36 ± 8.18 Aa | ||||
| Isopentanoic acid | 901 | 904 | 1 | <LOD | <LOD | <LOD | <LOD | |
| 21 | <LOD | <LOD | <LOD | 13.87 ± 0.09 | ||||
| Ethylmethylacetic acid | 898 | 913 | 1 | <LOD | <LOD | <LOD | <LOD | |
| 21 | <LOD | <LOD | <LOD | 12.92 ± 1.62 | ||||
| Hexanoic acid | 990 | 1000 | 1 | <LOD | <LOD | 1.93 ± 0.08 Ba | 3.83 ± 0.75 A | |
| 21 | 1.59 ± 0.38 Aa | <LOD | 1.23 ± 0.96 Aa | <LOD | ||||
| Octanoic acid | 1180 | 1185 | 1 | 4.64 ± 0.82 Ba | 6.47 ± 0.02 AB | 9.27 ± 2.42 Aa | 5.23 ± 1.13 Ba | |
| 21 | 8.16 ± 0.84 Aa | <LOD | 6.68 ± 1.37 Aa | 7.65 ± 0.99 Aa | ||||
| Decanoic acid | 1373 | 1373 | 1 | 6.72 ± 3.16 Aa | 4.73 ± 0.78 Aa | 5.73 ± 0,15 Aa | 4.26 ± 2.32 Aa | |
| 21 | 4.28 ± 1.09 Aa | 6.38 ± 1.98 Aa | 4.48 ± 3.23 Aa | 4.26 ± 2.13 Aa | ||||
| Alcohol | 2-Ethylhexanol | 1030 | 1033 | 1 | 0.90 ± 0.05 Aa | 0.63 ± 0.13 Ba | 1.02 ± 0.07 Aa | 0.46 ± 0.07 Bb |
| 21 | 1.12 ± 0.01 Aa | 0.71 ± 0.05 Ba | 1.07 ± 0.10 Aa | 0.84 ± 0.11 Ba | ||||
| 1-Octanol | 1071 | 1075 | 1 | 1.30 ± 0.08 Ba | 1.96 ± 0.16 A | 1.40 ± 0.02 Ba | 1.73 ± 0.13 Ab | |
| 21 | 1.39 ± 0.18 Ba | <LOD | 1.06 ± 0.05 Bb | 2.40 ± 0.34 Aa | ||||
| 1-Nonanol | 1173 | 1174 | 1 | <LOD | 0.49 ± 0.01 Aa | 0.52 ± 0.15 A | 0.55 ± 0.17 Aa | |
| 21 | <LOD | 0.58 ± 0.04 Aa | <LOD | 0.57 ± 0.04 Aa | ||||
| 1-Decanol | 1273 | 1274 | 1 | 2.76 ± 1.60 A | <LOD | <LOD | 0.38 ± 0.02 Ba | |
| 21 | <LOD | <LOD | <LOD | 0.49 ± 0.05 a | ||||
| Ketone | Acetoin | 713 | <800 | 1 | 0.83 ± 0.14 Ba | 3.00 ± 0.73 Aa | 0.82 ± 0.06 Ba | 2.15 ± 0.01 Aa |
| 21 | 2.37 ± 1.71 Aa | 5.77 ± 4.13 Aa | 2.22 ± 1.34 Aa | 6.31 ± 2.33 Aa | ||||
| 2-Heptanone | 891 | 891 | 1 | 3.00 ± 0.16 Aa | 1.69 ± 0.14 B | 2.85 ± 0.16 Aa | 1.42 ± 0.18 Ba | |
| 21 | 3.94 ± 1.40 Aa | <LOD | 3.02 ± 1.38 Aa | 1.90 ± 1.12 Aa | ||||
| Terpene | α-Copaene | 1376 | 1379 | 1 | <LOD | <LOD | 0,34 ± 0.07 a | <LOD |
| 21 | <LOD | <LOD | 0,75 ± 0.09 Aa | <LOD | ||||
| β-Caryophyllene | 1419 | 1423 | 1 | <LOD | 0.60 ± 0.08 Aa | 1.37 ± 0.83 Ab | 1.67 ± 0.58 Aa | |
| 21 | <LOD | 1.51 ± 0.82 Ba | 3.06 ± 0.03 Aa | 2.37 ± 0.34A Ba | ||||
| (+)-δ-Cadinene | 1524 | 1527 | 1 | <LOD | <LOD | 0.25 ± 0.09 a | <LOD | |
| 21 | <LOD | <LOD | 0.25 ± 0.01 a | <LOD | ||||
| Hidrocarboneto | 1-Decyne | - | 1027 | 1 | 2.78 ± 0.14 Aa | 5.38 ± 4.21 Aa | 2.42 ± 1.70 Aa | 1.04 ± 0.24 Ab |
| 21 | 5.55 ± 0.15 Aa | 2.51 ± 0.83 Aa | 7.12 ± 4.44 Aa | 10.29 ± 8.29 Aa |
| Attributes | Formulations | |||
|---|---|---|---|---|
| CC | PC | XC | PXC | |
| Color | 3.26 ± 0.56 a | 3.00 ± 0.33 ab | 2.84 ± 0.69 b | 2.58 ± 0.61 b |
| Goat aroma | 3.42 ± 0.61 a | 3.53 ± 0.91 a | 3.32 ± 0.82 a | 3.21 ± 0.63 a |
| Herbaceous aroma | NA | NA | 3.53 ± 0.51 a | 3.05 ± 0.71 a |
| Consistency | 3.05 ± 0.97 a | 2.84 ± 0.83 a | 2.95 ± 0.62 a | 3.00 ± 0.47 a |
| Texture | 3.32 ± 0.67 a | 2.89 ± 0.46 ab | 3.11 ± 0.57 a | 2.79 ± 0.57 b |
| Salt | 2.95 ± 0.71 a | 3.16 ± 0.77 a | 3.00 ± 0.68 a | 2.95 ± 0.78 a |
| Acidity | 3.32 ± 0.67 b | 4.00 ± 0.58 a | 3.89 ± 0.99 a | 3.95 ± 0.62 a |
| Herbaceous flavor | NA | NA | 3.74 ± 0.99 a | 3.58 ± 0.90 a |
Disclaimer/Publisher’s Note: The statements, opinions and data contained in all publications are solely those of the individual author(s) and contributor(s) and not of MDPI and/or the editor(s). MDPI and/or the editor(s) disclaim responsibility for any injury to people or property resulting from any ideas, methods, instructions or products referred to in the content. |
© 2025 by the authors. Licensee MDPI, Basel, Switzerland. This article is an open access article distributed under the terms and conditions of the Creative Commons Attribution (CC BY) license (https://creativecommons.org/licenses/by/4.0/).
Share and Cite
Vasconcelos, D.K.M.; de Souza, E.L.; Viana, M.G.S.; Campos, M.I.F.; de Medeiros, L.L.; Olegário, L.S.; de Sousa Galvão, M.; dos Santos, K.M.O.; do Egito, A.S.; Madruga, M.S.; et al. Supplementation with Lactiplantibacillus plantarum CNPC003 and Pilosocereus gounellei Flour Enhances the Properties of Goat Cream Cheese. Microorganisms 2025, 13, 254. https://doi.org/10.3390/microorganisms13020254
Vasconcelos DKM, de Souza EL, Viana MGS, Campos MIF, de Medeiros LL, Olegário LS, de Sousa Galvão M, dos Santos KMO, do Egito AS, Madruga MS, et al. Supplementation with Lactiplantibacillus plantarum CNPC003 and Pilosocereus gounellei Flour Enhances the Properties of Goat Cream Cheese. Microorganisms. 2025; 13(2):254. https://doi.org/10.3390/microorganisms13020254
Chicago/Turabian StyleVasconcelos, Daniela Karla Medeiros, Evandro Leite de Souza, Márcia Gabrielle Silva Viana, Maria Isabel Ferreira Campos, Lorena Lucena de Medeiros, Lary Souza Olegário, Mércia de Sousa Galvão, Karina Maria Olbrich dos Santos, Antônio Silvio do Egito, Marta Suely Madruga, and et al. 2025. "Supplementation with Lactiplantibacillus plantarum CNPC003 and Pilosocereus gounellei Flour Enhances the Properties of Goat Cream Cheese" Microorganisms 13, no. 2: 254. https://doi.org/10.3390/microorganisms13020254
APA StyleVasconcelos, D. K. M., de Souza, E. L., Viana, M. G. S., Campos, M. I. F., de Medeiros, L. L., Olegário, L. S., de Sousa Galvão, M., dos Santos, K. M. O., do Egito, A. S., Madruga, M. S., dos Santos Lima, M., Gadelha, T. S., Pacheco, M. T. B., de Oliveira, K. Á. R., & de Oliveira, M. E. G. (2025). Supplementation with Lactiplantibacillus plantarum CNPC003 and Pilosocereus gounellei Flour Enhances the Properties of Goat Cream Cheese. Microorganisms, 13(2), 254. https://doi.org/10.3390/microorganisms13020254

