Proton Therapy for Partial Breast Irradiation: Rationale and Considerations
Abstract
1. Introduction
2. Review Methodology
3. Invasive Partial Breast Irradiation Techniques
4. External Beam Photon Partial Breast Irradiation
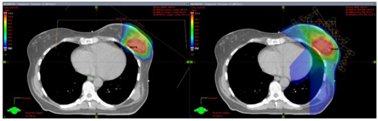
5. Proton Partial Breast Irradiation
6. Cost Effectiveness
7. Conclusions
Author Contributions
Funding
Institutional Review Board Statement
Informed Consent Statement
Data Availability Statement
Conflicts of Interest
References
- Siegel, R.L.; Miller, D.K.; Fuchs, H.E.; Jemal, A. Cancer Statistics, 2021. CA Cancer J. Clin. 2021, 71, 7–33. [Google Scholar] [CrossRef]
- DeSantis, C.E.; Ma, J.; Gaudet, M.M.; Newman, L.A.; Miller, K.D.; Goding Sauer, A.; Jemal, A.; Siegel, R.L. Breast cancer statistics, 2019. CA Cancer J. Clin. 2019, 69, 438–451. [Google Scholar] [CrossRef]
- American Cancer Society. Cancer Facts & Figures 2021; American Cancer Society: Atlanta, GA, USA, 2021. [Google Scholar]
- Early Breast Cancer Trialists’ Collaborative Group. Lancet 2011, 378, 1707–1716.
- Veronesi, U.; Cascinelli, N.; Mariani, L.; Greco, M.; Saccozzi, R.; Luini, A.; Aguilar, M.; Marubini, E. Twenty-year follow-up of a randomized study comparing breast-conserving surgery with radical mastectomy for early breast cancer. N. Engl. J. Med. 2002, 347, 1227–1232. [Google Scholar] [CrossRef]
- Fisher, B.; Anderson, S.; Bryant, J.; Margolese, R.G.; Deutsch, M.; Fisher, E.R.; Jeong, J.; Wolmark, N. Twenty-year follow-up of a randomized trial comparing total mastectomy, lumpectomy and lumpectomy plus irradiation for the treatment of invasive breast cancer. N. Engl. J. Med. 2002, 347, 1233–1241. [Google Scholar] [CrossRef]
- Correa, C.; Harris, E.E.; Leonardi, M.C.; Smith, B.D.; Taghian, A.G.; Thompson, A.M.; White, J.; Harris, J.R. Accelerated Partial Breast Irradiation: Executive summary for the update of an ASTRO Evidence-Based Consensus Statement. Pract. Radiat. Oncol. 2017, 7, 73–379. [Google Scholar] [CrossRef]
- Study of 3-Day Partial Breast Radiation Therapy in Women with Breast Cancer. Available online: https://clinicaltrials.gov/ct2/show/NCT04084730 (accessed on 8 February 2021).
- Kuske, R.R.; Winter, K.; Arthur, D.W.; Bolton, J.; Rabinovitch, R.; White, J.; Hanson, W.; Wilenzick, R.M. Phase II trial of brachytherapy alone after lumpectomy for select breast cancer: Toxicity analysis of RTOG 95-16. Int. J. Radiat. Oncol. Biol. Phys. 2006, 65, 45–51. [Google Scholar] [CrossRef]
- White, J.; Thompson, A.; Whelan, T. Accelerated Partial Breast Irradiation and Intraoperative Partial Breast Irradiation: Reducing the Burden of Effective Breast Conservation. J. Clin. Oncol. 2020, 38, 2254–2262. [Google Scholar] [CrossRef]
- Shah, C.; Martinez, A.; Kolar, M.; Vicini, F. Modern Approaches for Breast Brachytherapy. Semin. Radiat. Oncol. 2020, 30, 61–67. [Google Scholar] [CrossRef]
- Veronesi, U.; Orecchia, R.; Maisonneuvre, P.; Viale, G.; Rotmensz, N.; Sangalli, C.; Luini, A.; Veronesi, P.; Galimberti, V.; Zurrida, S.; et al. Intraoperative radiotherapy versus external radiotherapy for early breast cancer (ELIOT): A randomised controlled equivalence trial. Lancet Oncol. 2013, 14, 1269–1277. [Google Scholar] [CrossRef]
- Vaidya, J.S.; Joseph, D.H.; Tobias, J.S.; Bulsara, M.; Wenz, F.; Saunders, C.; Alvarado, M.; Flyger, H.L.; Massarut, S.; Eiermann, W.; et al. Targeted intraoperative radiotherapy versus whole breast radiotherapy for breast cancer (TARGIT-A trial): An international, prospective, randomized, non-inferiority phase 3 trial. Lancet 2010, 376, 91–102. [Google Scholar] [CrossRef]
- Vaidya, J.S.; Bulsara, M.; Baum, M.; Wenz, F.; Massarut, S.; Pigorsch, S.; Alvarado, M.; Douek, M.; Saunders, C.; Flyger, H.L.; et al. Long term survival and local control outcomes from single-dose targeted intraoperative radiotherapy during lumpectomy (TARGIT-IORT) for early breast cancer: TARGIT-A randomized clinical trial. BMJ 2020, 370, m2836. [Google Scholar] [CrossRef] [PubMed]
- Strnad, V.; Ott, O.J.; Hildebrandt, G.; Kauer-Dorner, D.; Knauerhase, H.; Major, T.; Lyczek, J.; Guinoet, J.L.; Dunst, J.; Mugelez, C.G.; et al. 5-year results of accelerated partial breast irradiation using sole interstitial multicatheter brachytherapy versus whole-breast irradiation with boost after breast-conserving surgery for low-risk invasive and in-situ carcinoma of the female breast: A randomized, phase 3, non-inferiority trial. Lancet 2016, 387, 229–238. [Google Scholar]
- Livi, L.; Meattini, I.; Marrazzo, L.; Simontacchi, G.; Pallotta, S.; Saieva, C.; Paiar, F.; Scotti, V.; De Luca Cardillo, C.; Bastiani, P.; et al. Accelerated partial breast irradiation using intensity-modulated radiotherapy versus whole breast irradiation: 5-year survival analysis of a phase 3 randomised controlled trial. Eur. J. Cancer 2015, 51, 451–463. [Google Scholar] [CrossRef]
- Vicini, F.A.; Cecchini, R.S.; White, J.R.; Arthur, D.W.; Julian, T.B.; Rabinovitch, R.A.; Kuske, R.R.; Ganz, P.A.; Parda, D.S.; Scheier, M.F.; et al. Long-term primary results of accelerated partial breast irradiation after breast-conserving surgery for early-stage breast cancer: A randomized, phase 3, equivalence trial. Lancet 2019, 394, 2155–2164. [Google Scholar] [CrossRef]
- Liss, A.L.; Ben-David, M.A.; Jagsi, R.; Hayman, J.A.; Griffith, K.A.; Moran, J.M.; Marsh, R.B.; Pierce, L.J. Decline of cosmetic outcomes following accelerated partial breast irradiation using intensity modulated radiation therapy: Results of a single-institution prospective clinical trial. Int. J. Radiat. Oncol. Biol. Phys. 2014, 89, 96–102. [Google Scholar] [CrossRef]
- Darby, S.C.; Ewertz, M.; McGale, P.; Bennet, A.M.; Blom-Goldman, U.; Bronnum, D.; Correa, C.; Cutter, D.; Gagliardi, G.; Gigante, B.; et al. Risk of ischemic heart disease in women after radiotherapy for breast cancer. N. Engl. J. Med. 2013, 368, 987–998. [Google Scholar] [CrossRef]
- Vicini, F.A.; Remouchamps, V.; Wallace, M.; Sharpe, M.; Fayad, J.; Tyburski, L.; Letts, N.; Kestin, L.; Edmundson, G.; Pettinga, J.; et al. Ongoing clinical experience utilizing 3D conformal external beam radiotherapy to deliver partial-breast irradiation in patients with early-stage breast cancer treated with breast-conserving therapy. Int. J. Radiat. Oncol. Biol. Phys. 2003, 57, 1247–1253. [Google Scholar] [CrossRef]
- Taghian, A.G.; Kozak, K.R.; Katz, A.; Adams, J.; Lu, H.M.; Powell, S.N.; DeLaney, T.F. Accelerated partial breast irradiation using proton beams: Initial dosimetric experience. Int. J. Radiat. Oncol. Biol. Phys. 2006, 65, 1404–1410. [Google Scholar] [CrossRef] [PubMed]
- Kozak, K.R.; Katz, A.; Adams, J.; Crowley, E.M.; Nyamwanda, J.A.; Feng, J.K.; Doppke, K.P.; Delaney, T.F.; Taghian, A.G. Dosimetric Comparison of Proton and Photon Three-Dimensional, Conformal, External Beam Accelerated Partial Breast Irradiation Techniques. Int. J. Radiat. Oncol. Biol. Phys. 2006, 65, 1572–1578. [Google Scholar] [CrossRef] [PubMed]
- Bush, D.A.; Slater, J.D.; Garberoglio, C.; Yuh, G.; Jocko, J.M.; Slater, J.M. A technique of partial breast irradiation utilizing proton beam radiotherapy: Comparison with conformal X-ray therapy. Cancer J. 2007, 13, 114–118. [Google Scholar] [CrossRef] [PubMed]
- Moon, S.H.; Shin, K.H.; Kim, T.H.; Yoon, M.; Park, S.; Lee, D.; Kim, J.W.; Kim, D.W.; Park, S.Y.; Cho, K.H. Dosimetric comparison of four different external beam partial breast irradiation techniques: Three-dimensional conformal radiotherapy, intensity modulated radiotherapy, helical tomotherapy, and proton beam therapy. Radiother. Oncol. 2009, 90, 66–73. [Google Scholar] [CrossRef]
- Hansen, T.M.; Bartlett, G.; Mannina, E.M.; Srivastava, S.P.; Cox, J.A.; Das, I.J. Dosimetric Comparison of Treatment Techniques: Brachytherapy, IMRT, and Proton Beam in Partial-Breast Irradiation. Int. J. Radiat. Oncol. Biol. Phys. 2015, 93, E8. [Google Scholar] [CrossRef]
- Kozak, K.R.; Smith, B.L.; Adams, J.; Kornmehl, E.; Katz, A.; Gadd, M.; Specht, M.; Hughes, K.; Gioioso, V.; Lu, H.M.; et al. Accelerated Partial Breast Irradiation Using Proton Beams: Initial Clinical Experience. Int. J. Radiat. Oncol. Biol. Phys. 2006, 66, 691–698. [Google Scholar] [CrossRef] [PubMed]
- Galland-Girodet, S.; Pashtan, I.; MacDonald, S.M.; Ancukiewicz, M.; Hirsch, A.E.; Kachnic, L.A.; Specht, M.; Gadd, M.; Smith, B.L.; Powell, S.N.; et al. Long-term Cosmetic Outcomes and Toxicities of Proton Beam Therapy Compared with Photon-Based 3-Dimensional Conformal Accelerated Partial-Breast Irradiation: A Phase 1 Trial. Int. J. Radiat. Oncol. Biol. Phys. 2014, 90, 493–500. [Google Scholar] [CrossRef] [PubMed]
- Verma, V.; Simone, C.B., 2nd; Mishra, M.V. Quality of Life and Patient-Reported Outcomes Following Proton Radiation Therapy: A Systematic Review. J. Natl. Cancer Inst. 2018, 110, 341–353. [Google Scholar] [CrossRef] [PubMed]
- Chang, J.H.; Lee, J.K.; Kim, J.Y.; Kim, Y.; Moon, S.H.; Kim, T.H.; Kim, J.; Kim, D.Y.; Cho, K.H.; Shin, K.H. Phase II Trial of Proton Beam Accelerated Partial Breast Irradiation in Breast Cancer. Radiother. Oncol. 2013, 108, 209–214. [Google Scholar] [CrossRef]
- Bush, D.A.; Slater, J.D.; Garberoglio, C.; Do, S.; Lum, S.; Slater, J.M. Partial Breast Irradiation Delivered with Proton Beam: Results of a Phase II Trial. Clin. Breast Cancer 2011, 11, 241–245. [Google Scholar] [CrossRef] [PubMed]
- Bush, D.A.; Do, S.; Lum, S.; Garberoglio, C.; Mirshahidi, H.; Patyal, B.; Grove, R.; Slater, J.D. Partial Breast Radiation Therapy with Proton Beam: 5-Year Results with Cosmetic Outcomes. Int. J. Radiat. Oncol. Biol. Phys. 2014, 90, 501–505. [Google Scholar] [CrossRef] [PubMed]
- Teichman, S.L.; Do, S.; Lum, S.; Teichman, T.S.; Preston, W.; Cochran, S.E.; Garberoglio, C.A.; Grove, R.; Davis, C.A.; Slater, J.D.; et al. Improved long-term patient-reported health and well-being outcomes of early-stage breast cancer treated with partial breast proton therapy. Cancer Med. 2018, 7, 6064–6076. [Google Scholar] [CrossRef]
- Choi, I.J.; Prabhu, K.; Hartsell, W.F.; Sinesi, C.; Vargas, C.; Benda, R.; Cahlon, O.; Chang, A.L. Clinical Outcomes after Proton Partial-Breast Radiotherapy for Early-Stage, Hormone Receptor-Positive Breast Cancer: 3-Year Outcomes of a Phase II Trial. Int. J. Radiat. Oncol. Biol. Phys. 2019, 105, E19. [Google Scholar] [CrossRef]
- Pasalic, D.; Strom, E.A.; Allen, P.K.; Williamson, T.D.; Poenisch, F.; Amos, R.A.; Woodward, W.A.; Stauder, M.C.; Shaitelman, S.F.; Smith, B.D.; et al. Proton Accelerated Partial Breast Irradiation: Clinical Outcomes at a Planned Interim Analysis of a Prospective Phase 2 Trial. Int. J. Radiat. Oncol. Biol. Phys. 2020, 109, 441–448. [Google Scholar] [CrossRef] [PubMed]
- Mutter, R.W.; Jethwa, K.R.; Gonuguntla, K.; Remmes, N.B.; Whitaker, T.J.; Hieken, T.J.; Ruddy, K.J.; McGee, L.A.; Corbin, K.S.; Park, S.S. 3 fraction pencil-beam scanning proton accelerated partial breast irradiation: Early provider and patient reported outcomes of a novel regimen. Radiat. Oncol. 2019, 14, 211. [Google Scholar] [CrossRef]
- Bentzen, S.M.; Yarnold, J.R. Reports of unexpected late side effects of accelerated partial breast irradiation--radiobiological considerations. Int. J. Radiat. Oncol. Biol. Phys. 2010, 77, 969–973. [Google Scholar] [CrossRef]
- Verma, V.; Shah, C.; Rwigema, J.C.; Solberg, T.; Zhu, X.; Simone, C.B., 2nd. Cost-comparativeness of proton versus photon therapy. Chin. Clin. Oncol. 2016, 5, 56. [Google Scholar] [CrossRef]
- Ovalle, V.; Strom, E.A.; Godby, J.; Shaitelman, S.F.; Stauder, M.C.; Amos, R.A.; Kuerer, H.M.; Woodward, W.A.; Hoffman, K.E. Proton Partial-Breast Irradiation for Early-Stage Cancer: Is It Really So Costly? Int. J. Radiat. Oncol. Biol. Phys. 2016, 95, 49–51. [Google Scholar] [CrossRef] [PubMed]

| Study | PT Type | N | Dose (Gy (RBE)) | PT Details | MD-Reported Cosmesis | Patient-Reported Cosmesis | PT Toxicity | Disease Control |
|---|---|---|---|---|---|---|---|---|
| MGH [26,27] | Passive Scattering | 19 | 32 Gy in 8 fx BID | 1–3 fields (1 field treated per fx) | 7 yr Good-excellent: 62% | 7 yr Good-excellent 92% | 69% Telangiectasias 54% Pigmentation changes 62% Other late skin tox | 7 yr LF: 11% PP |
| NCC, Korea [29] | Passive Scattering | 30 | 30 Gy in 5 fx QD | 1–2 fields | 3 yr Good-excellent: 69% (89% with 2-field plan) | -- | Increased toxicity with single field plan | 3 yr LF 0% 3 yr DF 0% |
| LLU [30,31] | Passive Scattering | 90 | 40 Gy in 4 Gy × 10 fx QD | 2–4 fields | 5 yr Good-excellent: 90% | 5 yr Good-excellent 90% | Acute: 62% Gr1–2RT dermatitis Late: 7% Gr 1 telangiectasia1% Fat necrosis | 5 yr IBTR-FS 97% 5 yr OS 95% |
| PCG BRE007 [32,33] | Uniform Scanning Passive Scattering | 37 1 | 40 Gy in 10 fx QD | ≥3 fields (≥2 treated daily) | 3 yr Good-excellent: 100% | BCTOS 4: 13.2% (nipple appearance, breast shape, scar tissue) | Gr 2–7 events ≥Gr 3–none | 3 yr LF and DF: 0% |
| MDACC [34] | Passive Scattering | 100 | 34 Gy in 10 fx BID | ≥ 2 fields | 2 yr Good-excellent: 84% | 2 yr Good-excellent 96% | Acute Gr 2: 1% Breast pain 2% Hyperpigmentation 1% Pruritus 12% Dermatitis Late Gr 2: 5% Fatigue 1% Hyperpigmentation 2% Dermatitis | 2 yr LF 0% 2 yr OS 100% |
| Mayo [35] | Pencil Beam Scanning | 76 | 21.9 Gy in 3 fx QD | 2 fields | NR | 1 yr Good-excellent 98% | ≥ Gr 2 acute or late tox-none | NR |
Publisher’s Note: MDPI stays neutral with regard to jurisdictional claims in published maps and institutional affiliations. |
© 2021 by the authors. Licensee MDPI, Basel, Switzerland. This article is an open access article distributed under the terms and conditions of the Creative Commons Attribution (CC BY) license (https://creativecommons.org/licenses/by/4.0/).
Share and Cite
Choi, J.I.; Fox, J.; Bakst, R.; Hasan, S.; Press, R.H.; Chhabra, A.M.; Yeh, B.; Simone, C.B., II; Cahlon, O. Proton Therapy for Partial Breast Irradiation: Rationale and Considerations. J. Pers. Med. 2021, 11, 289. https://doi.org/10.3390/jpm11040289
Choi JI, Fox J, Bakst R, Hasan S, Press RH, Chhabra AM, Yeh B, Simone CB II, Cahlon O. Proton Therapy for Partial Breast Irradiation: Rationale and Considerations. Journal of Personalized Medicine. 2021; 11(4):289. https://doi.org/10.3390/jpm11040289
Chicago/Turabian StyleChoi, J. Isabelle, Jana Fox, Richard Bakst, Shaakir Hasan, Robert H. Press, Arpit M. Chhabra, Brian Yeh, Charles B. Simone, II, and Oren Cahlon. 2021. "Proton Therapy for Partial Breast Irradiation: Rationale and Considerations" Journal of Personalized Medicine 11, no. 4: 289. https://doi.org/10.3390/jpm11040289
APA StyleChoi, J. I., Fox, J., Bakst, R., Hasan, S., Press, R. H., Chhabra, A. M., Yeh, B., Simone, C. B., II, & Cahlon, O. (2021). Proton Therapy for Partial Breast Irradiation: Rationale and Considerations. Journal of Personalized Medicine, 11(4), 289. https://doi.org/10.3390/jpm11040289

