Cyclin-Dependent Kinase 4/6 Inhibitors Combined with Radiotherapy in Curative Breast Cancer Patients Induced Pneumonitis: A Case Report
Abstract
1. Introduction
2. Case Presentation
2.1. Patient Population
2.2. RT Treatment Plan
2.3. RT Techniques and Dosimetry Evaluation
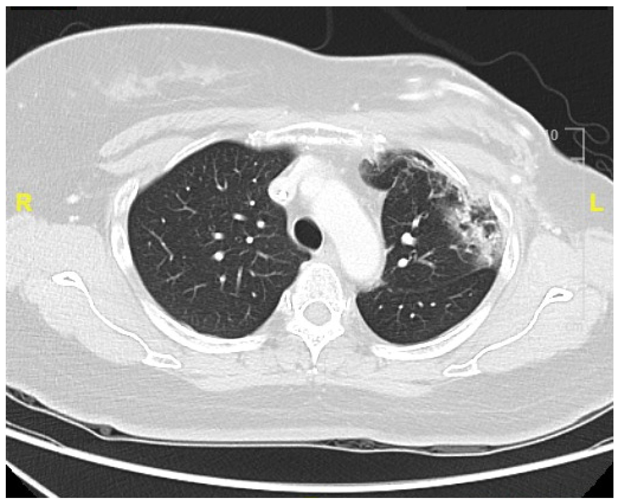
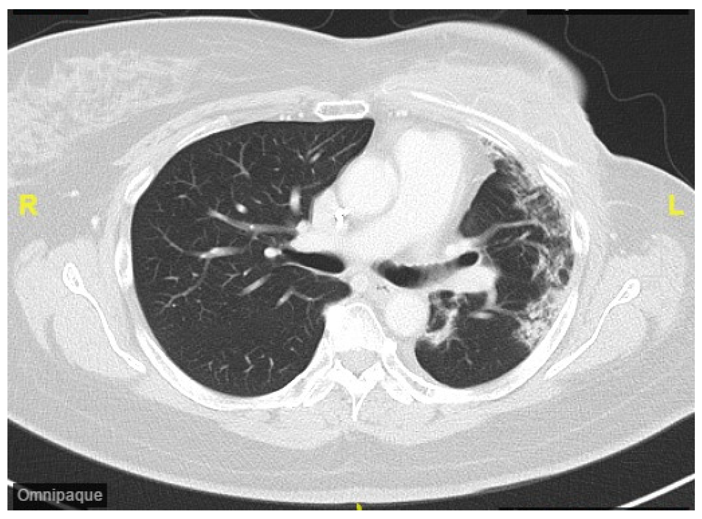
3. Case
4. Discussion
5. Conclusions
Funding
Institutional Review Board Statement
Informed Consent Statement
Data Availability Statement
Acknowledgments
Conflicts of Interest
References
- Finn, R.S.; Martin, M.; Rugo, H.S.; Jones, S.; Im, S.-A.; Gelmon, K.; Harbeck, N.; Lipatov, O.N.; Walshe, J.M.; Moulder, S. Palbociclib and letrozole in advanced breast cancer. N. Engl. J. Med. 2016, 375, 1925–1936. [Google Scholar] [CrossRef] [PubMed]
- Goetz, M.P.; Toi, M.; Campone, M.; Sohn, J.; Paluch-Shimon, S.; Huober, J.; Park, I.H.; Trédan, O.; Chen, S.-C.; Manso, L. MONARCH 3: Abemaciclib as initial therapy for advanced breast cancer. J. Clin. Oncol. 2017, 35, 3638–3646. [Google Scholar] [CrossRef] [PubMed]
- Hortobagyi, G.N.; Stemmer, S.M.; Burris, H.A.; Yap, Y.-S.; Sonke, G.S.; Paluch-Shimon, S.; Campone, M.; Blackwell, K.L.; André, F.; Winer, E.P. Ribociclib as first-line therapy for HR-positive, advanced breast cancer. N. Engl. J. Med. 2016, 375, 1738–1748. [Google Scholar] [CrossRef]
- Slamon, D.J.; Neven, P.; Chia, S.; Fasching, P.A.; De Laurentiis, M.; Im, S.-A.; Petrakova, K.; Bianchi, G.V.; Esteva, F.J.; Martín, M. Overall survival with ribociclib plus fulvestrant in advanced breast cancer. N. Engl. J. Med. 2020, 382, 514–524. [Google Scholar] [CrossRef] [PubMed]
- Im, S.-A.; Lu, Y.-S.; Bardia, A.; Harbeck, N.; Colleoni, M.; Franke, F.; Chow, L.; Sohn, J.; Lee, K.-S.; Campos-Gomez, S. Overall survival with ribociclib plus endocrine therapy in breast cancer. N. Engl. J. Med. 2019, 381, 307–316. [Google Scholar] [CrossRef]
- Johnston, S.R.; Harbeck, N.; Hegg, R.; Toi, M.; Martin, M.; Shao, Z.M.; Zhang, Q.Y.; Martinez Rodriguez, J.L.; Campone, M.; Hamilton, E. Abemaciclib combined with endocrine therapy for the adjuvant treatment of HR+, HER2−, node-positive, high-risk, early breast cancer (monarchE). J. Clin. Oncol. 2020, 38, 3987–3998. [Google Scholar] [CrossRef]
- Johnston, S.R.; Toi, M.; O’Shaughnessy, J.; Rastogi, P.; Campone, M.; Neven, P.; Huang, C.-S.; Huober, J.; Jaliffe, G.G.; Cicin, I. Abemaciclib plus endocrine therapy for hormone receptor-positive, HER2-negative, node-positive, high-risk early breast cancer (monarchE): Results from a preplanned interim analysis of a randomised, open-label, phase 3 trial. Lancet Oncol. 2023, 24, 77–90. [Google Scholar] [CrossRef]
- Rugo, H.; O’Shaughnessy, J.; Boyle, F.; Toi, M.; Broom, R.; Blancas, I.; Gumus, M.; Yamashita, T.; Im, Y.-H.; Rastogi, P. Adjuvant abemaciclib combined with endocrine therapy for high-risk early breast cancer: Safety and patient-reported outcomes from the monarchE study. Ann. Oncol. 2022, 33, 616–627. [Google Scholar] [CrossRef]
- Slamon, D.; Lipatov, O.; Nowecki, Z.; McAndrew, N.; Kukielka-Budny, B.; Stroyakovskiy, D.; Yardley, D.A.; Huang, C.-S.; Fasching, P.A.; Crown, J. Ribociclib plus endocrine therapy in early breast cancer. N. Engl. J. Med. 2024, 390, 1080–1091. [Google Scholar] [CrossRef]
- Becherini, C.; Visani, L.; Caini, S.; Bhattacharya, I.S.; Kirby, A.M.; Marta, G.N.; Morgan, G.; Salvestrini, V.; Coles, C.E.; Cortes, J. Safety profile of cyclin-dependent kinase (CDK) 4/6 inhibitors with concurrent radiation therapy: A systematic review and meta-analysis. Cancer Treat. Rev. 2023, 119, 102586. [Google Scholar] [CrossRef]
- Kim, K.N.; Shah, P.; Clark, A.; Freedman, G.M.; Dastgheyb, S.; Barsky, A.R.; Dreyfuss, A.D.; Taunk, N.K. Safety of cyclin-dependent kinase4/6 inhibitor combined with palliative radiotherapy in patients with metastatic breast cancer. Breast 2021, 60, 163–167. [Google Scholar] [CrossRef] [PubMed]
- Al-Rashdan, A.; Quirk, S.; Roumeliotis, M.; Abedin, T.; Amaro, C.P.; Barbera, L.; Lupichuk, S.; Cao, J.Q. Radiation therapy with cyclin-dependent kinase 4/6 inhibitors: A multi-institutional safety and toxicity study. Int. J. Radiat. Oncol. Biol. Phys. 2022, 114, 399–408. [Google Scholar] [CrossRef]
- Kubeczko, M.; Gabryś, D.; Gawkowska, M.; Polakiewicz-Gilowska, A.; Cortez, A.J.; Krzywon, A.; Woźniak, G.; Latusek, T.; Leśniak, A.; Świderska, K. Safety and feasibility of radiation therapy combined with CDK 4/6 inhibitors in the management of advanced breast cancer. Cancers 2023, 15, 690. [Google Scholar] [CrossRef] [PubMed]
- David, S.; Ho, G.; Day, D.; Harris, M.; Tan, J.; Goel, S.; Hanna, G.G.; Srivastava, R.; Kruss, G.; McDowell, L. Enhanced toxicity with CDK 4/6 inhibitors and palliative radiotherapy: Non-consecutive case series and review of the literature. Transl. Oncol. 2021, 14, 100939. [Google Scholar] [CrossRef] [PubMed]
- Poortmans, P.M.; Weltens, C.; Fortpied, C.; Kirkove, C.; Peignaux-Casasnovas, K.; Budach, V.; van der Leij, F.; Vonk, E.; Weidner, N.; Rivera, S. Internal mammary and medial supraclavicular lymph node chain irradiation in stage I–III breast cancer (EORTC 22922/10925): 15-year results of a randomised, phase 3 trial. Lancet Oncol. 2020, 21, 1602–1610. [Google Scholar] [CrossRef]
- Whelan, T.J.; Olivotto, I.A.; Parulekar, W.R.; Ackerman, I.; Chua, B.H.; Nabid, A.; Vallis, K.A.; White, J.R.; Rousseau, P.; Fortin, A. Regional nodal irradiation in early-stage breast cancer. N. Engl. J. Med. 2015, 373, 307–316. [Google Scholar] [CrossRef]
- Marks, L.B.; Bentzen, S.M.; Deasy, J.O.; Bradley, J.D.; Vogelius, I.S.; El Naqa, I.; Hubbs, J.L.; Lebesque, J.V.; Timmerman, R.D.; Martel, M.K. Radiation dose–volume effects in the lung. Int. J. Radiat. Oncol. Biol. Phys. 2010, 76, S70–S76. [Google Scholar] [CrossRef]
- Bledsoe, T.J.; Nath, S.K.; Decker, R.H. Radiation pneumonitis. Clin. Chest Med. 2017, 38, 201–208. [Google Scholar] [CrossRef]
- Birnhuber, A.; Egemnazarov, B.; Biasin, V.; Bonyadi Rad, E.; Wygrecka, M.; Olschewski, H.; Kwapiszewska, G.; Marsh, L.M. CDK4/6 inhibition enhances pulmonary inflammatory infiltration in bleomycin-induced lung fibrosis. Respir. Res. 2020, 21, 167. [Google Scholar] [CrossRef]
- Funasaka, C.; Naito, Y.; Kusuhara, S.; Nakao, T.; Nakajima, H.; Kawamoto, M.; Baba, K.; Mamishin, K.; Kondoh, C.; Harano, K. Clinical features of CDK4/6 inhibitor-related interstitial lung disease in patients with breast cancer: A case series study. Jpn. J. Clin. Oncol. 2023, 53, 105–114. [Google Scholar] [CrossRef]
- Algwaiz, G.; Badran, A.A.; Elshenawy, M.A.; Al-Tweigeri, T. Ribociclib-induced pneumonitis: A case report. Breast Care 2021, 16, 307–311. [Google Scholar] [CrossRef]
- Onesti, C.E.; Jerusalem, G. CDK4/6 inhibitors in breast cancer: Differences in toxicity profiles and impact on agent choice. A systematic review and meta-analysis. Expert Rev. Anticancer Ther. 2021, 21, 283–298. [Google Scholar] [CrossRef] [PubMed]
- Raschi, E.; Fusaroli, M.; Ardizzoni, A.; Poluzzi, E.; De Ponti, F. Cyclin-dependent kinase 4/6 inhibitors and interstitial lung disease in the FDA adverse event reporting system: A pharmacovigilance assessment. Breast Cancer Res. Treat. 2021, 186, 219–227. [Google Scholar] [CrossRef] [PubMed]
- Ahsan, I.; Malik, F.; Jafri, S.I. Palbociclib related pnemotoxicity: A rare side effect. Am. Thorac. Soc. 2017, 195, A5546. [Google Scholar]
- Gong, J.; Cho, M.; Yu, K.W.; Waisman, J.; Yuan, Y.; Mortimer, J. A single institution experience with palbociclib toxicity requiring dose modifications. Breast Cancer Res. Treat. 2018, 168, 381–387. [Google Scholar] [CrossRef]
- Jazieh, K.A.; Budd, G.T.; Dalpiaz, N.; Abraham, J. Can CDK4/6 inhibitors cause fatal lung injury? Expert Rev. Anticancer Ther. 2019, 19, 917–919. [Google Scholar] [CrossRef] [PubMed]
- Toi, M.; Harbeck, N.; Puig, J.; Cruz, J.; Seo, J.; Takahashi, M.; Hulstijn, M.; Twum, E.; Regev, A.; San Antonio, B. 44O characterization of venous thromboembolic events (VTE), elevated aminotransferases (EAT) and interstitial lung disease (ILD) in monarchE. Ann. Oncol. 2021, 32, S39–S40. [Google Scholar] [CrossRef]
- Franco, R.; Cao, J.Q.; Yassa, M.; Hijal, T. Safety of CDK4/6 inhibitors combined with radiotherapy in patients with metastatic breast cancer: A review of the literature. Curr. Oncol. 2023, 30, 5485–5496. [Google Scholar] [CrossRef]




Disclaimer/Publisher’s Note: The statements, opinions and data contained in all publications are solely those of the individual author(s) and contributor(s) and not of MDPI and/or the editor(s). MDPI and/or the editor(s) disclaim responsibility for any injury to people or property resulting from any ideas, methods, instructions or products referred to in the content. |
© 2025 by the author. Licensee MDPI, Basel, Switzerland. This article is an open access article distributed under the terms and conditions of the Creative Commons Attribution (CC BY) license (https://creativecommons.org/licenses/by/4.0/).
Share and Cite
Hou, P.-Y. Cyclin-Dependent Kinase 4/6 Inhibitors Combined with Radiotherapy in Curative Breast Cancer Patients Induced Pneumonitis: A Case Report. Life 2025, 15, 709. https://doi.org/10.3390/life15050709
Hou P-Y. Cyclin-Dependent Kinase 4/6 Inhibitors Combined with Radiotherapy in Curative Breast Cancer Patients Induced Pneumonitis: A Case Report. Life. 2025; 15(5):709. https://doi.org/10.3390/life15050709
Chicago/Turabian StyleHou, Pei-Yu. 2025. "Cyclin-Dependent Kinase 4/6 Inhibitors Combined with Radiotherapy in Curative Breast Cancer Patients Induced Pneumonitis: A Case Report" Life 15, no. 5: 709. https://doi.org/10.3390/life15050709
APA StyleHou, P.-Y. (2025). Cyclin-Dependent Kinase 4/6 Inhibitors Combined with Radiotherapy in Curative Breast Cancer Patients Induced Pneumonitis: A Case Report. Life, 15(5), 709. https://doi.org/10.3390/life15050709
