Acaricidal Potential and Ecotoxicity of Metallic Nano-Pesticides Used against the Major Life Stages of Hyalomma Ticks
Abstract
:1. Introduction
2. Materials and Methods
2.1. NP Synthesis and Characterization
2.2. Tick Collection and Identification
2.3. Tick Bioassays
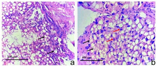
2.4. Contact Toxicity in Garden Snails
2.5. Statistical Analysis
3. Results
3.1. XRD Analyses of MgO, ZnO, and Fe2O3 NPs
3.2. SEM Analyses of MgO, ZnO, and Fe2O3 NPs
3.3. Tick Bioassays
3.4. Ecotoxicity Analysis
4. Discussion
5. Conclusions
Author Contributions
Funding
Conflicts of Interest
References
- Zeb, J.; Szekeres, S.; Takács, N.; Kontschán, J.; Shams, S.; Ayaz, S.; Hornok, S. Genetic diversity, piroplasms and trypanosomes in Rhipicephalus microplus and Hyalomma anatolicum collected from cattle in northern Pakistan. Exp. Appl. Acarol. 2019, 79, 233–243. [Google Scholar] [CrossRef] [PubMed] [Green Version]
- Ceylan, O.; Uslu, A.; Ceylan, C.; Sevinc, F. Predominancy of Rhipicephalus turanicus in tickinfested sheep from turkey: A large-scale survey. Pak. Vet. J. 2021, 41, 429–433. [Google Scholar]
- Ali, A.; Khan, M.A.; Zahid, H.; Yaseen, P.M.; Khan, M.Q.; Nawab, J.; Rehman, Z.U.; Ateeq, M.; Khan, S.; Ibrahim, M. Seasonal Dynamics, Record of Ticks Infesting Humans, Wild and Domestic Animals and Molecular Phylogeny of Rhipicephalus microplus in Khyber Pakhtunkhwa Pakistan. Front. Physiol. 2019, 10, 793. [Google Scholar] [CrossRef] [PubMed] [Green Version]
- Rasool, M.F.; Ahmad, N.; Akbar, H.; Aaqub, T.; Ashraf, K.; Anjum, A.A.; Hafeez, M.A.; Ali, M.M. Bm86 Genetic Diversity of Indigenous Tick Population from Punjab Province Pakistan. Kafkas. Univ. Vet. Fak. Derg. 2021, 27, 173–181. [Google Scholar] [CrossRef]
- Rodriguez-Vivas, R.I.; Grisi, L.; Pérez de León, A.A.; Silva Villela, H.; Torres-Acosta, J.F.J.; Fragoso Sánchez, H.; Romero Salas, D.; Rosario Cruz, R.; Saldierna, F.; García-Carrasco, D. Potential economic impact assessment for cattle parasites in Mexico review. Rev. Mex. Cienc. Pec. 2017, 8, 61–74. [Google Scholar] [CrossRef]
- Shoaib, M.; Rahman, S.U.; Aqib, A.I.; Ashfaq, K.; Naveed, A.; Kulyar, M.F.-A.; Bhutta, Z.A.; Younas, M.S.; Sarwar, I.; Naseer, M.A. Diversified Epidemiological Pattern and Antibiogram of mecA Gene in Staphylococcus aureus Isolates of Pets, Pet Owners and Environment. Pak. Vet. J. 2020, 40, 2074–7764. [Google Scholar]
- Sarwar, I.; Ashar, A.; Mahfooz, A.; Aqib, A.I.; Saleem, M.I.; Butt, A.A.; Bhutta, Z.A.; Shoaib, M.; Kulyar, M.F.-A.; Ilyas, A. Evaluation of Antibacterial Potential of Raw Turmeric, Nano-Turmeric, and NSAIDs against Multiple Drug Resistant Staphylococcus aureus and E. coli Isolated from Animal Wounds. Pak. Vet. J. 2021, 41, 209–214. [Google Scholar]
- Peter, S.G. Zoonotic Anaplasma and Ehrlichia Infections and their Potential Reservoirs: A Review. Int. J. Vet. Sci. 2020, 9, 1–9. [Google Scholar]
- Zaheer, T.; Ali, M.M.; Abbas, R.Z.; Atta, K.; Amjad, I.; Suleman, A.; Khalid, Z.; Aqib, A.I. Insights into Nanopesticides for Ticks: The Superbugs of Livestock. Oxidative Med. Cell. Longevity 2022, 18, 7411481. [Google Scholar] [CrossRef]
- Ndeledje, N.; Bouyer, J.; Stachurski, F.; Grimaud, P.; Belem, A.M.; Molélé Mbaïndingatoloum, F.; Bengaly, Z.; Oumar Alfaroukh, I.; Cecchi, G.; Lancelot, R. Treating cattle to protect people? Impact of footbath insecticide treatment on tsetse density in Chad. PLoS ONE 2013, 8, e67580. [Google Scholar] [CrossRef]
- Benelli, G.; Maggi, F.; Romano, D.; Stefanini, C.; Vaseeharan, B.; Kumar, S.; Canale, A. Nanoparticles as effective acaricides against ticks—A review. Ticks Tick-Borne Dis. 2017, 8, 821–826. [Google Scholar] [CrossRef] [PubMed]
- Benelli, G.; Pavela, R.; Canale, A.; Mehelhorn, H. Tick repellents and acaricides of botanical origin: A green roadmap to control tick-borne diseases? Parasitol. Res. 2016, 115, 2545–2560. [Google Scholar] [CrossRef] [PubMed]
- Albanna, L.; Salem, N.; Ghrair, A.M.; Habash, S.S. Impact of silicon carbide nanoparticles on hatching and survival of soil nematodes Caenorhabditis Elegans and Meloidogyne incognita. Appl. Ecol. Environ. Res. 2018, 16, 2651–2662. [Google Scholar] [CrossRef]
- Esmaeilnejad, B.; Samiei, A.; Mirzaei, Y.; Farhang-Pajuh, F. Assessment of oxidative/nitrosative stress biomarkers and DNA damage in Haemonchus contortus, following exposure to zinc oxide nanoparticles. Acta Parasitol. 2018, 63, 563–571. [Google Scholar] [CrossRef]
- Whiten, S.R.; Eggleston, H.; Adelman, Z.N. Ironing out the Details: Exploring the Role of Iron and Heme in Blood-Sucking Arthropods. Front. Physiol. 2018, 8, 1134. [Google Scholar] [CrossRef] [Green Version]
- Philpott, C.C.; Ryu, M.S.; Frey, A.; Patel, S. Cytosolic iron chaperones: Proteins delivering iron cofactors in the cytosol of mammalian cells. J. Biol. Chem. 2017, 292, 12764–12771. [Google Scholar] [CrossRef] [Green Version]
- Ding, Y.; Zhang, G.; Wu, H.; Hai, B.; Wang, L.; Qian, Y. Nanoscale Magnesium Hydroxide and Magnesium Oxide Powders: Control over Size, Shape, and Structure via Hydrothermal Synthesis. Chem. Mater. 2001, 13, 435–440. [Google Scholar] [CrossRef]
- Arafa, W.M.; Mohammed, A.N.; El-Ela, F.I.A. Acaricidal efficacy of deltamethrin-zinc oxide nanocomposite on Rhipicephalus (Boophilus) annulatus tick. Vet. Parasitol. 2019, 268, 36–45. [Google Scholar] [CrossRef]
- Walker, A.R.; Bouattour, A.; Camicas, J.L.; Estrada-Pena, A.; Horak, I.G.; Latif, A.; Pegram, R.G.; Preston, P.M. Ticks of Domestic Animals in Africa: A Guide to Identification of Species; Biosciences Report: London, UK, 2003; pp. 74–221. [Google Scholar]
- FAO. Ticks: Acaricide Resistance: Diagnosis Management and Prevention in: Guidelines Resistance Management and Integrated Parasite Control in Ruminants; FAO Animal Production and Health Division: Rome, Italy, 2004. [Google Scholar]
- Banumathi, B.; Vaseeharan, B.; Rajasekar, P.; Prabhu, N.M.; Ramasamy, P.; Murugan, K.; Canale, A.; Benelli, G. Exploitation of chemical, herbal and nanoformulated acaricides to control the cattle tick, Rhipicephalus (Boophilus) microplus—A review. Vet. Parasitol. 2017, 244, 102–110. [Google Scholar] [CrossRef]
- Elhachimi, L.; Valcárcel, F.; Olmeda, A.S.; Elasatey, S.; Khattat, S.E.; Daminet, S.; Sahibi, H.; Duchateau, L. Rearing of Hyalomma marginatum (Acarina: Ixodidae) under laboratory conditions in Morocco. Exp. Appl. Acarol. 2021, 84, 785–794. [Google Scholar] [CrossRef]
- Abbot, W.S. A method of computing the effectiveness of an insecticide. J. Econ. Entomol. 1925, 18, 265–266. [Google Scholar] [CrossRef]
- Radwan, M.A.; Essawy, A.E.; Abdelmeguied, N.E.; Hamed, S.S.; Ahmed, A.E. Biochemical and histochemical studies on the digestive gland of Eobania vermiculata snails treated with carbamate pesticides. Pestic. Biochem. Physiol. 2018, 90, 154–167. [Google Scholar] [CrossRef]
- Sharaf, H.M.; Salama, M.A.; Abd El-Att, M.S. Biochemical and Histological Alterations in the Digestive Gland of the Land Snail Helicella vestalis (Locard, 1882) Exposed to Methiocarb and Chlorpyrifos in the Laboratory. J. Cytol. Histol. 2015, 6, 327. [Google Scholar] [CrossRef]
- Khan, S.R.; Abid, S.R.; Jamil, S.; Aqib, A.I.; Faisal, M.N.; Janjua, M.R.S.A. Layer by layer assembly of zinc oxide nanotubes and nanoflowers as catalyst for separate and simultaneous catalytic degradation of dyes and fuel additive. ChemistrySelect 2019, 4, 5548–5559. [Google Scholar] [CrossRef]
- Khan, S.R.; Jamil, S.; Janjua, M.R.S.A.; Khera, R.A. Synthesis of ferric oxyhydroxide nanoparticles and ferric oxide nanorods by reflux assisted coprecipitation method and comparative study of their thermal properties. Mater. Res. Exp. 2017, 4, 115019–115025. [Google Scholar] [CrossRef]
- Dercz, G.; Prusik, K.; Pajak, L.; Pielaszek, R.; Malinowski, J.J.; Pudło, W. Structure studies on nanocrystalline powder of MgO xerogel prepared by sol-gel method. Mater. Sci. 2009, 27, 201–207. [Google Scholar]
- Siddiqi, K.S.; Ur Rahman, A.; Tajuddin Husen, A. Properties of Zinc Oxide Nanoparticles and Their Activity Against Microbes. Nanoscale Res. Lett. 2018, 8, 141. [Google Scholar] [CrossRef] [PubMed]
- Mohammed, Y.H.; Holmes, A.; Haridass, I.N.; Sanchez, W.Y.; Studier, H.; Grice, J.E. Support for the safe use of zinc oxide nanoparticle sunscreens: Lack of skin penetration or cellular toxicity after repeated application in volunteers. J. Investig. Dermatol. 2019, 139, 308–315. [Google Scholar] [CrossRef] [Green Version]
- Norouzi, R.; Kazemi, F.; Siyadatpanah, A. Acaricidal effect of Iron nanoparticles against Hyalomma spp. in vitro. J. Zoonotic Dis. 2020, 4, 44–53. [Google Scholar] [CrossRef]
- Zaheer, T.; Imran, M.; Pal, P.; Sajid, M.S.; Abbas, R.Z.; Aqib, A.I.; Hanif, M.A.; Khan, S.R.; Khan, M.K.; Sindhu, Z.U.D.; et al. Synthesis, characterization and acaricidal activity of green-mediated ZnO nanoparticles against Hyalomma ticks. J. Mol. Struct. 2021, 1227, 129652. [Google Scholar] [CrossRef]
- Rajakumar, G.; Rahuman, A.A.; Roopan, S.M.; Chung, I.M.; Anbarasan, K.; Karthikeyan, V. Efficacy of larvicidal activity of green synthesized titanium dioxide nanoparticles using Mangifera indica extract against blood-feeding parasites. Parasitol. Res. 2015, 114, 571–581. [Google Scholar] [CrossRef] [PubMed]
- Karthik, L.; Kumar, G.; Kirthi, A.V.; Rahuman, A.A.; Rao, K.V.B. Streptomyces sp. LK3 mediated synthesis of silver nanoparticles and its biomedical application. Bioprocess Biosyst. Eng. 2014, 37, 261–267. [Google Scholar] [CrossRef] [PubMed]
- Rajakumar, G.; Rahuman, A.A.; Jayaseelan, C.; Santhoshkumar, T.; Marimuthu, S.; Kamaraj, C.; Bagavan, A.; Zahir, A.A.; Kirthi, A.V.; Elango, G.; et al. Solanum trilobatum extractmediated synthesis of titanium dioxide nanoparticles to control Pediculus humanus capitis, Hyalomma anatolicum anatolicum and Anopheles subpictus. Parasitol. Res. 2014, 113, 469–479. [Google Scholar] [CrossRef] [PubMed]
- Elsaesser, A.; Howard, C.V. Toxicology of nanoparticles. Adv. Drug Deliv. Rev. 2012, 64, 129–137. [Google Scholar] [CrossRef]
- Rasmussen, J.W.; Martinez, E.; Louka, P.; Wingett, D.G. Zinc oxide nanoparticles for selective destruction of tumor cells and potential for drug delivery applications. Exp. Opin. Drug Del. 2010, 7, 1063–1077. [Google Scholar] [CrossRef] [Green Version]
- Cai, L.; Chen, J.; Liu, Z.; Wang, H.; Yang, H.; Ding, W. Magnesium Oxide Nanoparticles: Effective Agricultural Antibacterial Agent against Ralstonia solanacearum. Front. Microbiol. 2018, 9, 790. [Google Scholar] [CrossRef]
- Yamamoto, O.; Ohira, T.; Alvarez, K.; Fukuda, M. Antibacterial characteristics of CaCO3–MgO composites. Mater. Sci. Eng. B 2010, 173, 208–212. [Google Scholar] [CrossRef]
- Caixeta, M.R.; Araújo, P.S.; Gonçalves, B.B.; Silva, L.D.; Grano-Maldonado, M.I.; Rocha, T.L. Toxicity of engineered nanomaterials to aquatic and land snails: A scientometric and systematic review. Chemosphere 2020, 260, 127654. [Google Scholar] [CrossRef]
- Genena, M.A.M. Studies on the Terrestrial Gastropods at Dakahlia Governorate. M.Sc. Thesis, Faculty of Agriclture, Massoura University, Massoura, Egypt, 2003. [Google Scholar]






| Acaricide | Tick Stage | LC50 | CI | LC90 | CI |
|---|---|---|---|---|---|
| Iron Oxide | Egg | 0.89 | 0.04–0.92 | 1.69 | 0.7–1.9 |
| Larva | 2.83 | 1.9–3.5 | 5.58 | 2.2–5.9 | |
| Adult | 4.21 | 2.7–4.6 | 8.34 | 5.3–9.4 | |
| Magnesium Oxide | Egg | 0.93 | 0.1–0.93 | 1.74 | 1.2–1.9 |
| Larva | 2.91 | 1.7–3.2 | 5.77 | 3.7–6.2 | |
| Adult | 4.27 | 3.6–5.1 | 8.49 | 6.4–9.3 | |
| Zinc Oxide | Egg | 0.96 | 0.05–0.19 | 1.80 | 2.7–3.4 |
| Larva | 3.05 | 1.1–4.7 | 5.93 | 5.1–7.7 | |
| Adult | 4.49 | 3.2–6.2 | 8.88 | 6.3–10.1 |
| Preparation Name | Concentration (Stock) | Dose per Snail (50 µL) | No. of Snails | Mortality until Day 1 (24 h) | Mortality until Day 3 (72 h) | Mortality until Day 5 (120 h) | |||
|---|---|---|---|---|---|---|---|---|---|
| Ratio | % | Ratio | % | Ratio | % | ||||
| Cypermethrin (Group 1) | 10 mg/mL | 500 µg | 5 | 2/5 | 40 | 4/5 | 80 | 5/5 | 100 |
| 1 mg/mL | 50 µg | 5 | 2/5 | 40 | 2/5 | 40 | 3/5 | 60 | |
| 0.1 mg/mL | 5 µg | 5 | 1/5 | 20 | 2/5 | 40 | 3/5 | 60 | |
| 0.01 mg/mL | 0.5 µg | 5 | 1/5 | 20 | 1/5 | 20 | 3/5 | 60 | |
| Deltamethrin (Group 2) | 10 mg/mL | 500 µg | 5 | 1/5 | 20 | 3/5 | 60 | 4/5 | 80 |
| 1 mg/mL | 50 µg | 5 | 1/5 | 20 | 2/5 | 20 | 3/5 | 60 | |
| 0.1 mg/mL | 5 µg | 5 | 0/5 | 0 | 1/5 | 20 | 3/5 | 60 | |
| 0.01 mg/mL | 0.5 µg | 5 | 0/5 | 0 | 1/5 | 20 | 2/5 | 40 | |
| MgO (Group 3) | 10 mg/mL | 500 µg | 5 | 1/5 | 20 | 2/5 | 40 | 3/5 | 60 |
| 1 mg/mL | 50 µg | 5 | 0/5 | 0 | 0/5 | 0 | 2/5 | 40 | |
| 0.1 mg/mL | 5 µg | 5 | 0/5 | 0 | 0/5 | 0 | 1/5 | 20 | |
| 0.01 mg/mL | 0.5 µg | 5 | 0/5 | 0 | 0/5 | 0 | 1/5 | 20 | |
| ZnO (Group 4) | 10 mg/mL | 500 µg | 5 | 0/5 | 0 | 1/5 | 20 | 3/5 | 60 |
| 1 mg/mL | 50 µg | 5 | 0/5 | 0 | 1/5 | 20 | 1/5 | 20 | |
| 0.1 mg/mL | 5 µg | 5 | 0/5 | 0 | 0/5 | 0 | 1/5 | 20 | |
| 0.01 mg/mL | 0.5 µg | 5 | 0/5 | 0 | 0/5 | 0 | 0/5 | 0 | |
| Fe2O3 (Group 5) | 10 mg/mL | 500 µg | 5 | 1/5 | 20 | 2/5 | 40 | 4/5 | 80 |
| 1 mg/mL | 50 µg | 5 | 1/5 | 20 | 1/5 | 20 | 2/5 | 40 | |
| 0.1 mg/mL | 5 µg | 5 | 0/5 | 0 | 0/5 | 0 | 1/5 | 20 | |
| 0.01 mg/mL | 0.5 µg | 5 | 0/5 | 0 | 0/5 | 0 | 0/5 | 0 | |
| Control DMSO (Group 6) | - | 50 µL | 10 | 0 | 0 | 0 | 0 | 1/10 | 10 |
| Control Distilled water (Group 7) | - | 50 µL | 10 | 0 | 0 | 0 | 0 | 0/10 | 0 |
Publisher’s Note: MDPI stays neutral with regard to jurisdictional claims in published maps and institutional affiliations. |
© 2022 by the authors. Licensee MDPI, Basel, Switzerland. This article is an open access article distributed under the terms and conditions of the Creative Commons Attribution (CC BY) license (https://creativecommons.org/licenses/by/4.0/).
Share and Cite
Zaheer, T.; Kandeel, M.; Abbas, R.Z.; Khan, S.R.; Rehman, T.u.; Aqib, A.I. Acaricidal Potential and Ecotoxicity of Metallic Nano-Pesticides Used against the Major Life Stages of Hyalomma Ticks. Life 2022, 12, 977. https://doi.org/10.3390/life12070977
Zaheer T, Kandeel M, Abbas RZ, Khan SR, Rehman Tu, Aqib AI. Acaricidal Potential and Ecotoxicity of Metallic Nano-Pesticides Used against the Major Life Stages of Hyalomma Ticks. Life. 2022; 12(7):977. https://doi.org/10.3390/life12070977
Chicago/Turabian StyleZaheer, Tean, Mahmoud Kandeel, Rao Zahid Abbas, Shanza Rauf Khan, Tauseef ur Rehman, and Amjad Islam Aqib. 2022. "Acaricidal Potential and Ecotoxicity of Metallic Nano-Pesticides Used against the Major Life Stages of Hyalomma Ticks" Life 12, no. 7: 977. https://doi.org/10.3390/life12070977
APA StyleZaheer, T., Kandeel, M., Abbas, R. Z., Khan, S. R., Rehman, T. u., & Aqib, A. I. (2022). Acaricidal Potential and Ecotoxicity of Metallic Nano-Pesticides Used against the Major Life Stages of Hyalomma Ticks. Life, 12(7), 977. https://doi.org/10.3390/life12070977

