SLC26A4 Phenotypic Variability Influences Intra- and Inter-Familial Diagnosis and Management
Abstract
1. Introduction
2. Materials and Methods
2.1. Participants
2.2. DNA Extraction
2.3. Whole-Exome Sequencing and Data Analysis
2.4. Co-Segregation Analysis
2.5. Clinical Examination
3. Results
3.1. Audiological Findings
3.2. WES Findings
3.2.1. Family F1 and Family F3 WES Findings
3.2.2. Family F2 WES Findings
3.3. Co-Segregation Analysis
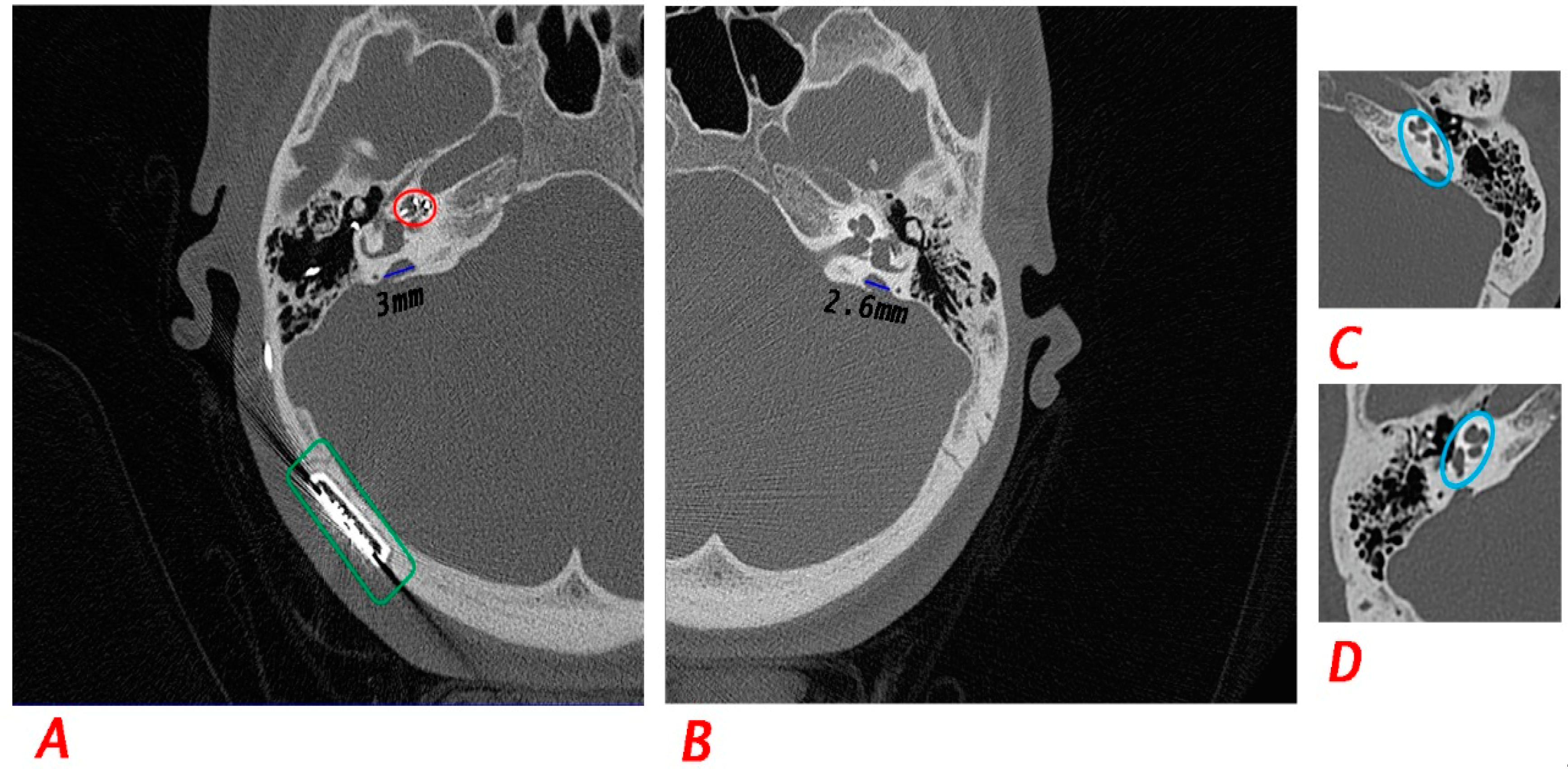
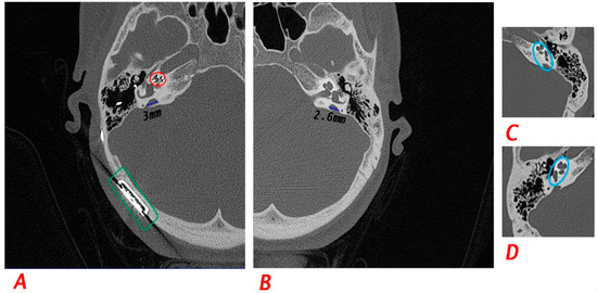
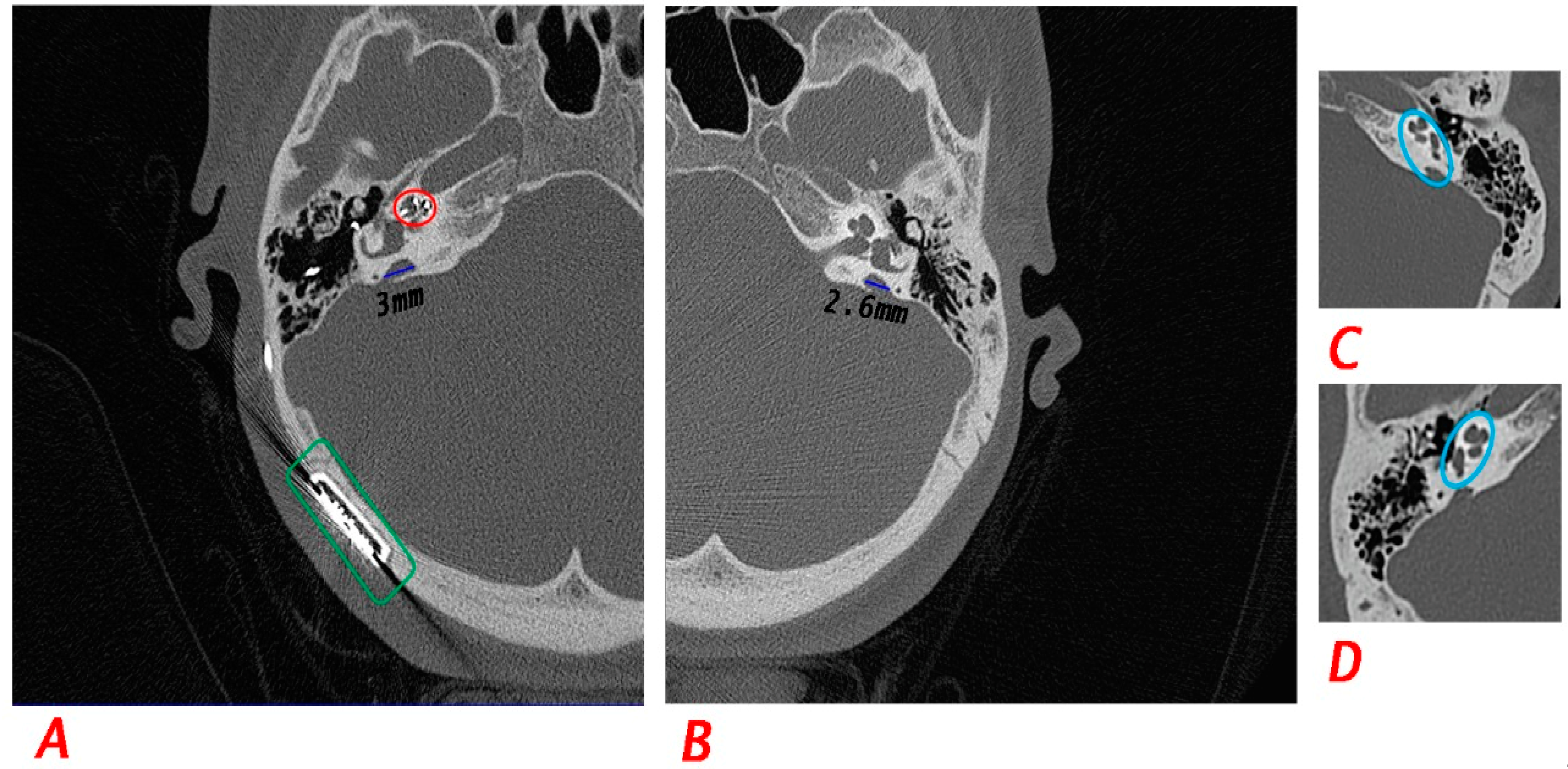
3.4. Temporal Bone CT Findings
3.5. Thyroid Findings
4. Discussion
5. Conclusions
Supplementary Materials
Author Contributions
Funding
Institutional Review Board Statement
Informed Consent Statement
Data Availability Statement
Conflicts of Interest
References
- Everett, L.A.; Glaser, B.; Beck, J.C.; Idol, J.R.; Buchs, A.; Heyman, M.A.; Adawi, F.; Hazani, E.; Nassir, E.; Baxevanis, A.D.; et al. Pendred Syndrome Is Caused by Mutations in a Putative Sulphate Transporter Gene (PDS). Nat. Genet. 1997, 15, 57–61. [Google Scholar] [CrossRef] [PubMed]
- Royaux, I.E.; Suzuki, K.; Mori, A.; Katoh, R.; Everett, L.A.; Kohn, L.D.; Green, E.D. Pendrin, the Protein Encoded by the Pendred Syndrome Gene (PDS), Is an Apical Porter of Iodide in the Thyroid and Is Regulated by Thyroglobulin in FRTL-5 Cells. Endocrinology 2000, 141, 839–845. [Google Scholar] [CrossRef] [PubMed]
- Royaux, I.E.; Wall, S.M.; Karniski, L.P.; Everett, L.A.; Suzuki, K.; Knepper, M.A.; Green, E.D. Pendrin, Encoded by the Pendred Syndrome Gene, Resides in the Apical Region of Renal Intercalated Cells and Mediates Bicarbonate Secretion. Proc. Natl. Acad. Sci. USA 2001, 98, 4221–4226. [Google Scholar] [CrossRef] [PubMed]
- Everett, L.A.; Morsli, H.; Wu, D.K.; Green, E.D. Expression Pattern of the Mouse Ortholog of the Pendred’s Syndrome Gene (Pds) Suggests a Key Role for Pendrin in the Inner Ear. Proc. Natl. Acad. Sci. USA 1999, 96, 9727–9732. [Google Scholar] [CrossRef]
- Park, H.; Shaukat, S.; Liu, X.; Hahn, S.H.; Naz, S.; Ghosh, M.; Kim, H.; Moon, S.; Abe, S.; Tukamoto, K.; et al. Origins and Frequencies of SLC26A4 (PDS) Mutations in East and South Asians: Global Implications for the Epidemiology of Deafness. J. Med. Genet. 2003, 4, 242–249. [Google Scholar] [CrossRef]
- Hilgert, N.; Smith, R.J.H.; Van Camp, G. Forty-Six Genes Causing Nonsyndromic Hearing Impairment: Which Ones Should Be Analyzed in DNA Diagnostics? Mutat. Res. Rev. Mutat. Res. 2009, 681, 189–196. [Google Scholar] [CrossRef] [PubMed]
- Wémeau, J.L.; Kopp, P. Pendred Syndrome. Best Pract. Res. Clin. Endocrinol. Metab. 2017, 31, 213–224. [Google Scholar] [CrossRef]
- Suzuki, H.; Oshima, A.; Tsukamoto, K.; Abe, S.; Kumakawa, K.; Nagai, K.; Satoh, H.; Kanda, Y.; Iwasaki, S.; Usami, S. Clinical Characteristics and Genotype–Phenotype Correlation of Hearing Loss Patients with SLC26A4 Mutations. Acta Otolaryngol. 2007, 127, 1292–1297. [Google Scholar] [CrossRef]
- Reardon, W.; Coffey, R.; Chowdhury, T.; Grossman, A.; Jan, H.; Britton, K.; Kendall-Taylor, P.; Trembath, R. Prevalence, Age of Onset, and Natural History of Thyroid Disease in Pendred Syndrome. J. Med. Genet. 1999, 36, 595–598. [Google Scholar]
- Almandoz, J.P.; Gharib, H. Hypothyroidism: Etiology, Diagnosis, and Management. Med. Clin. N. Am. 2012, 96, 203–221. [Google Scholar] [CrossRef]
- Na, G.; Lee, J.M.; Lee, H.J.; Jeong, Y.; Jung, J.; Choi, J.Y. Effect of Cochlear Implantation on Hearing Fluctuation in Patients with Biallelic SLC26A4 Variants. Audiol. Neurotol. 2021, 26, 111–120. [Google Scholar] [CrossRef] [PubMed]
- Honda, K.; Griffith, A.J. Genetic Architecture and Phenotypic Landscape of SLC26A4-Related Hearing Loss. Hum. Genet. 2021, 141, 455–464. [Google Scholar] [CrossRef] [PubMed]
- Forli, F.; Lazzerini, F.; Auletta, G.; Bruschini, L.; Berrettini, S. Enlarged Vestibular Aqueduct and Mondini Malformation: Audiological, Clinical, Radiologic and Genetic Features. Eur. Arch. Oto-Rhino-Laryngol. 2021, 278, 2305–2312. [Google Scholar] [CrossRef] [PubMed]
- Wall, S.M.; Lazo-Fernandez, Y. The Role of Pendrin in Renal Physiology. Annu. Rev. Physiol. 2015, 77, 363–378. [Google Scholar] [CrossRef]
- Pela, I.; Bigozzi, M.; Bianchi, B. Profound Hypokalemia and Hypochloremic Metabolic Alkalosis during Thiazide Therapy in a Child with Pendred Syndrome. Clin. Nephrol. 2008, 69, 450–453. [Google Scholar] [CrossRef]
- Chouchen, J.; Mahfood, M.; Alobathani, M.; Eldin Mohamed, W.K.; Tlili, A. Clinical Heterogeneity of the SLC26A4 Gene in UAE Patients with Hearing Loss and Bioinformatics Investigation of DFNB4/Pendred Syndrome Missense Mutations. Int. J. Pediatr. Otorhinolaryngol. 2021, 140, 110467. [Google Scholar] [CrossRef]
- Walsh, T.; Rayan, A.A.; Sa’ed, J.A.; Shahin, H.; Shepshelovich, J.; Lee, M.K.; Hirschberg, K.; Tekin, M.; Salhab, W.; Avraham, K.B.; et al. Genomic Analysis of a Heterogeneous Mendelian Phenotype: Multiple Novel Alleles for Inherited Hearing Loss in the Palestinian Population. Hum. Genom. 2006, 2, 203–211. [Google Scholar] [CrossRef][Green Version]
- Pourahmadiyan, A.; Alipour, P.; Fattahi, N.; Kasiri, M.; Rezaeian, F.; Taghipour-Sheshdeh, A.; Mohammadi-Asl, J.; Tabatabaiefar, M.A.; Hashemzadeh Chaleshtori, M. A Pathogenic Variant in SLC26A4 Is Associated with Pendred Syndrome in a Consanguineous Iranian Family. Int. J. Audiol. 2019, 58, 628–634. [Google Scholar] [CrossRef]
- Yazdanpanahi, N.; Tabatabaiefar, M.A.; Bagheri, N.; Dehkordi, F.A.; Farrokhi, E.; Chaleshtori, M.H. The Role and Spectrum of SLC26A4 Mutations in Iranian Patients with Autosomal Recessive Hereditary Deafness. Int. J. Audiol. 2015, 54, 124–130. [Google Scholar] [CrossRef]
- Mohseni, M.; Honarpour, A.; Mozafari, R.; Davarnia, B.; Najmabadi, H.; Kahrizi, K. Identification of a Founder Mutation for Pendred Syndrome in Families from Northwest Iran. Int. J. Pediatr. Otorhinolaryngol. 2014, 78, 1828–1832. [Google Scholar] [CrossRef]
- Azab, B.; Rabab’h, O.; Aburizeg, D.; Mohammad, H.; Dardas, Z.; Mustafa, L.; Khasawneh, R.A.; Awad, H.; Hatmal, M.M.; Altamimi, E. Potential Composite Digenic Contribution of NPC1 and NOD2 Leading to Atypical Lethal Niemann-Pick Type C with Initial Crohn’s Disease-like Presentation: Genotype-Phenotype Correlation Study. Genes 2022, 13, 973. [Google Scholar] [CrossRef] [PubMed]
- Oza, A.M.; DiStefano, M.T.; Hemphill, S.E.; Cushman, B.J.; Grant, A.R.; Siegert, R.K.; Shen, J.; Chapin, A.; Boczek, N.J.; Schimmenti, L.A.; et al. Expert Specification of the ACMG/AMP Variant Interpretation Guidelines for Genetic Hearing Loss. Hum. Mutat. 2018, 39, 1593–1613. [Google Scholar] [CrossRef]
- Gonzalez Trevino, O.; Karamanoglu Arseven, O.; Ceballos, C.J.; Vives, V.I.; Ramirez, R.C.; Gomez, V.V.; Medeiros-Neto, G.; Kopp, P. Clinical and Molecular Analysis of Three Mexican Families with Pendred’s Syndrome. Eur. J. Endocrinol. 2001, 144, 585–593. [Google Scholar] [CrossRef][Green Version]
- Pryor, S.P.; Madeo, A.C.; Reynolds, J.C.; Sarlis, N.J.; Arnos, K.S.; Nance, W.E.; Yang, Y.; Zalewski, C.K.; Brewer, C.C.; Butman, J.A.; et al. SLC26A4/PDS Genotype-Phenotype Correlation in Hearing Loss with Enlargement of the Vestibular Aqueduct (EVA): Evidence That Pendred Syndrome and Non-Syndromic EVA Are Distinct Clinical and Genetic Entities. J. Med. Genet. 2005, 42, 159–165. [Google Scholar] [CrossRef]
- Soh, L.M.; Druce, M.; Grossman, A.B.; Differ, A.-M.; Rajput, L.; Bitner-Glindzicz, M.; Korbonits, M. Evaluation of Genotype–Phenotype Relationships in Patients Referred for Endocrine Assessment in Suspected Pendred Syndrome. Eur. J. Endocrinol. 2015, 172, 217–226. [Google Scholar] [CrossRef]
- Taylor, J.P.; Metcalfe, R.A.; Watson, P.F.; Weetman, A.P.; Trembath, R.C. Mutations of the PDS Gene, Encoding Pendrin, Are Associated with Protein Mislocalization and Loss of Iodide Efflux: Implications for Thyroid Dysfunction in Pendred Syndrome. J. Clin. Endocrinol. Metab. 2002, 87, 1778–1784. [Google Scholar] [CrossRef] [PubMed]
- Bassot, C.; Minervini, G.; Leonardi, E.; Tosatto, S.C.E. Mapping Pathogenic Mutations Suggests an Innovative Structural Model for the Pendrin (SLC26A4) Transmembrane Domain. Biochimie 2017, 132, 109–120. [Google Scholar] [CrossRef] [PubMed]
- Cengiz, F.B.; Yilmazer, R.; Olgun, L.; Sennaroglu, L.; Kirazli, T.; Alper, H.; Olgun, Y.; Incesulu, A.; Atik, T.; Huesca-Hernandez, F.; et al. Novel Pathogenic Variants Underlie SLC26A4-Related Hearing Loss in a Multiethnic Cohort. Int. J. Pediatr. Otorhinolaryngol. 2017, 101, 167–171. [Google Scholar] [CrossRef]
- Lee, B.; Kim, Y.R.; Kim, S.J.; Goh, S.H.; Kim, J.H.; Oh, S.K.; Baek, J.I.; Kim, U.K.; Lee, K.Y. Modified U1 SnRNA and Antisense Oligonucleotides Rescue Splice Mutations in SLC26A4 That Cause Hereditary Hearing Loss. Hum. Mutat. 2019, 40, 1172–1180. [Google Scholar] [CrossRef]
- Tesolin, P.; Fiorino, S.; Lenarduzzi, S.; Rubinato, E.; Cattaruzzi, E.; Ammar, L.; Castro, V.; Orzan, E.; Granata, C.; Dell’orco, D.; et al. Pendred Syndrome, or Not Pendred Syndrome? That Is the Question. Genes 2021, 12, 1569. [Google Scholar] [CrossRef]
- Yang, T.; Gurrola, J.G.; Wu, H.; Chiu, S.M.; Wangemann, P.; Snyder, P.M.; Smith, R.J.H. Mutations of KCNJ10 Together with Mutations of SLC26A4 Cause Digenic Nonsyndromic Hearing Loss Associated with Enlarged Vestibular Aqueduct Syndrome. Am. J. Hum. Genet. 2009, 84, 651–657. [Google Scholar] [CrossRef] [PubMed]
- Yang, T.; Vidarsson, H.; Rodrigo-Blomqvist, S.; Rosengren, S.S.; Enerbäck, S.; Smith, R.J.H. Transcriptional Control of SLC26A4 Is Involved in Pendred Syndrome and Nonsyndromic Enlargement of Vestibular Aqueduct (DFNB4). Am. J. Hum. Genet. 2007, 80, 1055–1063. [Google Scholar] [CrossRef]
- Li, M.; Nishio, S.-y.; Naruse, C.; Riddell, M.; Sapski, S.; Katsuno, T.; Hikita, T.; Mizapourshafiyi, F.; Smith, F.M.; Cooper, L.T.; et al. Digenic Inheritance of Mutations in EPHA2 and SLC26A4 in Pendred Syndrome. Nat. Commun. 2020, 11, 1343. [Google Scholar] [CrossRef]
- Tsukamoto, K.; Suzuki, H.; Harada, D.; Namba, A.; Abe, S.; Usami, S.I. Distribution and Frequencies of PDS (SLC26A4) Mutations in Pendred Syndrome and Nonsyndromic Hearing Loss Associated with Enlarged Vestibular Aqueduct: A Unique Spectrum of Mutations in Japanese. Eur. J. Hum. Genet. 2003, 11, 916–922. [Google Scholar] [CrossRef]
- Ladsous, M.; Vlaeminck-Guillem, V.; Dumur, V.; Vincent, C.; Dubrulle, F.; Dhaenens, C.M.; Wémeau, J.L. Analysis of the Thyroid Phenotype in 42 Patients with Pendred Syndrome and Nonsyndromic Enlargement of the Vestibular Aqueduct. Thyroid 2014, 24, 639–648. [Google Scholar] [CrossRef]
- Sakurai, K.; Hata, M.; Hishinuma, A.; Ushijima, R.; Okada, A.; Taeda, Y.; Arihara, Z.; Fukazawa, H.; Takahashi, K. Papillary Thyroid Carcinoma in One of Identical Twin Patients with Pendred Syndrome. Endocr. J. 2013, 60, 805–811. [Google Scholar] [CrossRef] [PubMed]
- Bidart, J.M.; Mian, C.; Lazar, V.; Russo, D.; Filetti, S.; Caillou, B.; Schlumberger, M. Expression of Pendrin and the Pendred Syndrome (PDS) Gene in Human Thyroid Tissues. J. Clin. Endocrinol. Metab. 2000, 85, 2028–2033. [Google Scholar] [CrossRef]
- Spencer, C.A.; Takeuchi, M.; Kazarosyan, M.; Wang, C.C.; Guttler, R.B.; Singer, P.A.; Fatemi, S.; Lopresti, J.S.; Nicoloff, J.T. Serum Thyroglobulin Autoantibodies: Prevalence, Influence on Serum Thyroglobulin Measurement, and Prognostic Significance in Patients with Differentiated Thyroid Carcinoma. J. Clin. Endocrinol. Metab. 1998, 83, 1121–1127. [Google Scholar] [CrossRef]
- Al-Awwad, N.J.; Ayoub, J.; Barham, R.; Sarhan, W.; Al-Holy, M.; Abughoush, M.; Al-Hourani, H.; Olaimat, A.; Al-Jawaldeh, A. Review of the Nutrition Situation in Jordan: Trends and Way Forward. Nutrients 2022, 14, 135. [Google Scholar] [CrossRef]
- Song, M.H.; Shin, J.W.; Park, H.J.; Lee, K.A.; Kim, Y.; Kim, U.K.; Jeon, J.H.; Choi, J.Y. Intrafamilial Phenotypic Variability in Families with Biallelic SLC26A4 Mutations. Laryngoscope 2014, 124, 194–202. [Google Scholar] [CrossRef] [PubMed]
- King, K.A.; Choi, B.Y.; Zalewski, C.; Madeo, A.C.; Manichaikul, A.; Pryor, S.P.; Ferruggiaro, A.; Eisenman, D.; Kim, H.J.; Niparko, J.; et al. SLC26A4 Genotype, but Not Cochlear Radiologic Structure, Is Correlated with Hearing Loss in Ears with an Enlarged Vestibular Aqueduct. Laryngoscope 2010, 120, 384–389. [Google Scholar] [CrossRef] [PubMed]
- Reyes, S.; Wang, G.; Ouyang, X.; Han, B.; Du, L.L.; Yuan, H.J.; Yan, D.; Dai, P.; Liu, X.-Z. Mutation Analysis of Slc26a4 in Mainland Chinese Patients with Enlarged Vestibular Aqueduct. Otolaryngol. Neck Surg. 2009, 141, 502–508. [Google Scholar] [CrossRef]
- Mey, K.; Muhamad, A.A.; Tranebjærg, L.; Rendtorff, N.D.; Rasmussen, S.H.; Bille, M.; Cayé-Thomasen, P. Association of SLC26A4 Mutations, Morphology, and Hearing in Pendred Syndrome and NSEVA. Laryngoscope 2019, 129, 2574–2579. [Google Scholar] [CrossRef] [PubMed]
- Mey, K.; Bille, M.; Rye Rasmussen, S.H.; Tranebjærg, L.; Cayé-Thomasen, P. The Natural History of Hearing Loss in Pendred Syndrome and Non-Syndromic Enlarged Vestibular Aqueduct. Otol. Neurotol. 2019, 40, E178–E185. [Google Scholar] [CrossRef]
- Rose, J.; Muskett, J.A.; King, K.A.; Zalewski, C.K.; Chattaraj, P.; Butman, J.A.; Kenna, M.A.; Chien, W.W.; Brewer, C.C.; Griffith, A.J. Hearing Loss Associated with Enlarged Vestibular Aqueduct and Zero or One Mutant Allele of SLC26A4. Laryngoscope 2017, 127, E238–E243. [Google Scholar] [CrossRef]
- Jonard, L.; Niasme-Grare, M.; Bonnet, C.; Feldmann, D.; Rouillon, I.; Loundon, N.; Calais, C.; Catros, H.; David, A.; Dollfus, H.; et al. Screening of SLC26A4, FOXI1 and KCNJ10 Genes in Unilateral Hearing Impairment with Ipsilateral Enlarged Vestibular Aqueduct. Int. J. Pediatr. Otorhinolaryngol. 2010, 74, 1049–1053. [Google Scholar] [CrossRef] [PubMed]
- Scott, D.A.; Wang, R.; Kreman, T.M.; Andrews, M.; McDonald, J.M.; Bishop, J.R.; Smith, R.J.H.; Karniski, L.P.; Sheffield, V.C. Functional Differences of the PDS Gene Product Are Associated with Phenotypic Variation in Patients with Pendred Syndrome and Non-Syndromic Hearing Loss (DFNB4). Hum. Mol. Genet. 2000, 9, 1709–1715. [Google Scholar] [CrossRef]




| F# | Individual | Age | Sex | Age at HL Onset | Severity of HL | HL Progression | Vertigo/Dizziness | SNHL Intervention | High-Resolution Temporal Bone Computerized Tomography (CT) Scan without Contrast | |
|---|---|---|---|---|---|---|---|---|---|---|
| Right Ear | Left Ear | |||||||||
| 1 | IV−2 | 29 | M | Congenital | Severe to profound SNHL | Moderately severe to profound SNHL | Yes | No | Completely deaf | Enlarged vestibular aqueducts (Rt 1.5 mm, Lt 2 mm). Focal dehiscence of the posterior semi-circular canals bilaterally. Prominent/Slightly dilated vestibule. |
| IV−3 | 25 | M | Congenital | Profound SNHL | Profound SNHL | Yes | No | Completely deaf | Appearances are suggestive of Type II incomplete partition (Mondini deformity) bilaterally manifested by fused cystic cochlear apex as well as enlarged vestibular aqueducts. (Rt 2 mm, Lt 2.5 mm). Focal dehiscence of the posterior semicircular canals bilaterally. | |
| IV−4 | 17 | F | Congenital | Profound SNHL | Profound SNHL | Yes | Yes | Cochlear implant at 9 years old | Both vestibular aqueducts are dilated (Rt 3 mm, Lt 2.6 mm). | |
| IV−5 | 17 | F | Congenital | Profound SNHL | Profound SNHL | Yes | Yes | Cochlear implant at 9 years old | Both vestibular aqueducts are dilated (Rt 2 mm, Lt 2.2 mm). | |
| 2 | IV−1 | 9 | M | 2 years | Severe to profound SNHL | Severe to profound SNHL | Yes | No | Hearing aids | Enlarged vestibular aqueducts (Rt 3.5 mm, Lt 3 mm). Mildly dilated vestibule bilaterally. |
| IV−3 | 5 | M | 2 years | Moderate to severe MHL | Severe to profound MHL | Yes | No | Hearing aids | Enlarged vestibular aqueducts (Rt 2.4 mm, Lt 1.7 mm). Mildly dilated vestibule bilaterally. Probable focal bony dehiscence of the posterior part of the superior semicircular canals bilaterally. These also showed slightly small lumen and faint sclerosis compared to the anterior part of the semicircular canal. | |
| 3 | V−3 | 16 | F | 3.5 months | Moderately severe SNHL | Moderately severe SNHL | Yes | No | Hearing aids | Not available. |
| V−4 | 23 | M | 1.3 years | Severe to profound SNHL | Severe to profound SNHL | Yes | No | Hearing aids | Bilateral enlarged vestibular aqueduct (Rt 1.9 mm, Lt 3 mm). | |
| Family Number | Gene | Variant Coordinate | Exon | HGVS cDNA | HGVS Amino Acids | Transcript | Consequences | ClinVar, Last Accessed 12 July 2022 | Maximum Minor Allele Frequency gnomAD | Zygosity | In-Silico Predictions | ACMG Classification | Reference | |
|---|---|---|---|---|---|---|---|---|---|---|---|---|---|---|
| hg38 | hg19 | |||||||||||||
| 1 and 3 | SLC26A4 | chr7:107663295 | chr7:107303740 | - | c.165−1G>C | - | NM_000441.1 | Splice acceptor | Not reported | V2/V3: Absent | Homozygous | - NetGene2: Not detected acceptor site - NNSplice: Not detected acceptor site - MaxEntScan: High impact - SpliceAI: Acceptor loss | Pathogenic | |
| 2 | chr7:107663435 | chr7:107303880 | 3/21 | c.304G>A | p.Gly102Arg | Missense Splice region | Reported (Variation ID:1301849) | V2: 0.000008800 V3: Absent | Compound Heterozygous | REVEL score: 0.944 (Pathogenic) SIFT: 0 (Damaging) PROVEAN: 0.9569 (Damaging) | Pathogenic | [26,27,28,29] | ||
| chr7:107695941 | chr7:107336386 | 13/21 | c.1446G>A | p.Trp482* | Nonsense | Not reported | V2/V3: Absent | Nonsense-mediated decay is predicted | Pathogenic | |||||
| F# | Individual | Age | Visible Goiter | FT3 (1.2–4.1 pg/mL) | FT4 (0.89–1.72 ng/dL) | TSH (0.4–4.5 mIU/mL) | TG (3.5–77 ng/mL) | Anti-TG Ab (Up to 115.0 IU/mL) | Anti-TPO Ab (Up to 30 IU/mL) | Thyroid Ultrasound |
|---|---|---|---|---|---|---|---|---|---|---|
| 1 | IV−2 | 29 | No | 3.4 | 1 | 2 | 66.08 | <10.0 | 3.2 | Normal size, echo pattern, and blood flow of the thyroid gland. No thyroid nodules are seen. Normal submandibular glands. No cervical lymph node enlargement. Right thyroid lobe measured about 1.5 × 1.6 × 4.6 cm. Left thyroid lobe measured about 1.7 × 1.1 × 5 cm. |
| IV−3 | 25 | No | 3.2 | 1.1 | 4 | 112 | <10.0 | 1.3 | Normal size, echo pattern, and blood flow of the thyroid gland. No thyroid nodules are seen. Normal submandibular glands. No cervical lymph node enlargement. Right thyroid lobe measured about 2.1 × 1.6 × 4.8 cm. Left thyroid lobe measured about 1.8 × 1.3 × 5.1 cm. | |
| IV−4 | 17 | Yes | 3.8 | 0.869 | 5.27 | 1000 | Negative | Negative | Both thyroid lobes and isthmus are diffusely enlarged. Isthmus AP diameter of 8.9 mm. Multiple bilateral anechoic oval nodules some with septation. Heterogeneous course echo texture. | |
| IV−5 | 17 | No | 3.7 | 1.08 | 2.23 | 138 | Negative | Negative | Both thyroid lobes and isthmus are enlarged. Isthmus AP diameter 5 mm. Multiple bilateral small anechoic nodules. There is well defined hypo echoic and anechoic nodule of 9 × 3.5 mm in the left lobe close to the isthmus. Heterogeneous course echo texture. | |
| 2 | IV−1 | 9 | No | 2.4 | 1.4 | 1.2 | 130.6 | 10.6 | 8.7 | Normal size, echo pattern, and blood flow of the thyroid gland. No thyroid nodules are seen. Normal submandibular glands. No cervical lymph node enlargement. Right thyroid lobe measured about 1.7 × 1.7 × 4.2 cm. Left thyroid lobe measured about 1.2 × 1.7 × 4 cm. |
| IV−3 | 5 | No | 3 | 1.3 | 1.6 | 96.59 | 11.8 | 4.9 | Normal size, echo pattern, and blood flow of the thyroid gland. No thyroid nodules are seen. Normal submandibular glands. No cervical lymph node enlargement. Right thyroid lobe measured about 1 × 1.5 × 3.6 cm. Left thyroid lobe measured about 1.5 × 1.4 × 3.1 cm. | |
| IV−8 | 7 | No | 3.8 | 1.57 | 1.4 | 18.1 | 11.8 | 4.7 | - | |
| 3 | V−3 | 16 | No | - | - | - | - | - | - | - |
| V−4 | 23 | No | - | - | 2.02 | - | - | - | Both thyroid lobes and isthmus appear normal in size and echogenicity. The right thyroid lobe measuring 2.5 × 3.7 × 4.6 cm. The left thyroid lobe measuring 2.7 × 2.5 × 5.7 cm. No cystic or solid mass lesions could be seen. No significant enlarged lymph nodes could be seen on both sides of the neck. |
Publisher’s Note: MDPI stays neutral with regard to jurisdictional claims in published maps and institutional affiliations. |
© 2022 by the authors. Licensee MDPI, Basel, Switzerland. This article is an open access article distributed under the terms and conditions of the Creative Commons Attribution (CC BY) license (https://creativecommons.org/licenses/by/4.0/).
Share and Cite
Tawalbeh, M.; Aburizeg, D.; Abu Alragheb, B.O.; Alaqrabawi, W.S.; Dardas, Z.; Srour, L.; Altarayra, B.H.; Zayed, A.A.; El Omari, Z.; Azab, B. SLC26A4 Phenotypic Variability Influences Intra- and Inter-Familial Diagnosis and Management. Genes 2022, 13, 2192. https://doi.org/10.3390/genes13122192
Tawalbeh M, Aburizeg D, Abu Alragheb BO, Alaqrabawi WS, Dardas Z, Srour L, Altarayra BH, Zayed AA, El Omari Z, Azab B. SLC26A4 Phenotypic Variability Influences Intra- and Inter-Familial Diagnosis and Management. Genes. 2022; 13(12):2192. https://doi.org/10.3390/genes13122192
Chicago/Turabian StyleTawalbeh, Mohamed, Dunia Aburizeg, Bayan O. Abu Alragheb, Wala Sami Alaqrabawi, Zain Dardas, Luma Srour, Baraah Hatem Altarayra, Ayman A. Zayed, Zaid El Omari, and Bilal Azab. 2022. "SLC26A4 Phenotypic Variability Influences Intra- and Inter-Familial Diagnosis and Management" Genes 13, no. 12: 2192. https://doi.org/10.3390/genes13122192
APA StyleTawalbeh, M., Aburizeg, D., Abu Alragheb, B. O., Alaqrabawi, W. S., Dardas, Z., Srour, L., Altarayra, B. H., Zayed, A. A., El Omari, Z., & Azab, B. (2022). SLC26A4 Phenotypic Variability Influences Intra- and Inter-Familial Diagnosis and Management. Genes, 13(12), 2192. https://doi.org/10.3390/genes13122192

