Hepatic Failure in COVID-19: Is Iron Overload the Dangerous Trigger?
Abstract
1. Introduction
2. Materials and Methods
2.1. Study Cohort
2.2. Liver Biopsies
2.3. Autoptic Liver
2.4. Clinical Evaluation
2.5. Histological Analyses
2.6. Immunohistochemical Anlysis
3. Results
3.1. Patient Demographics and Clinical Characteristics
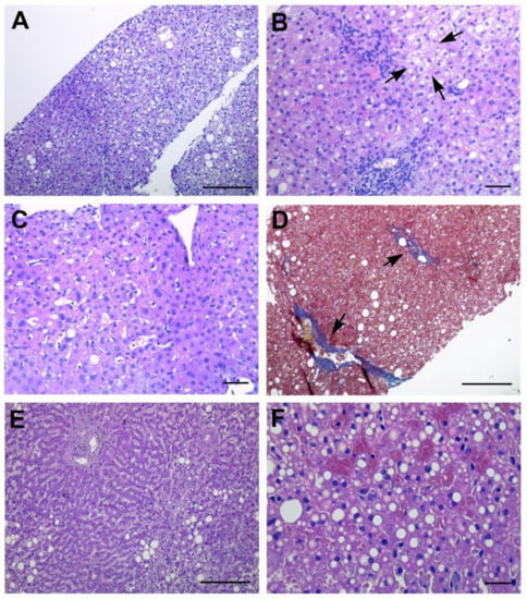
3.2. Liver Pathological Features in Survived Patients
3.3. Liver Pathological Features in Deceased Patients
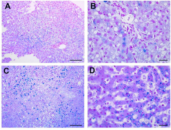
3.4. Iron Deposition in the Livers of COVID-19 Patients
3.5. Ultrastructural Analysis
4. Discussion
Supplementary Materials
Author Contributions
Funding
Institutional Review Board Statement
Informed Consent Statement
Data Availability Statement
Acknowledgments
Conflicts of Interest
References
- Chen, N.; Zhou, M.; Dong, X.; Qu, J.; Gong, F.; Han, Y.; Qiu, Y.; Wang, J.; Liu, Y.; Wei, Y.; et al. Epidemiological and clinical characteristics of 99 cases of 2019 novel coronavirus pneumonia in Wuhan, China: A descriptive study. Lancet 2020, 395, 507–513. [Google Scholar] [CrossRef]
- Chen, G.; Wu, D.; Guo, W.; Cao, Y.; Huang, D.; Wang, H.; Wang, T.; Zhang, X.; Chen, H.; Yu, H.; et al. Clinical and immunological features of severe and moderate coronavirus disease-2019. J. Clin. Investig. 2020, 130, 2620–2629. [Google Scholar] [CrossRef] [PubMed]
- Falasca, L.; Nardacci, R.; Colombo, D.; Lalle, E.; Di Caro, A.; Nicastri, E.; Antinori, A.; Petrosillo, N.; Marchioni, L.; Biava, G.; et al. Postmortem Findings in Italian Patients with COVID-19: A Descriptive Full Autopsy Study of Cases with and without Comorbidities. J. Infect. Dis. 2020, 222, 1807–1815. [Google Scholar] [CrossRef] [PubMed]
- Mao, R.; Qiu, Y.; He, J.S.; Tan, J.Y.; Li, X.H.; Liang, J.; Shen, J.; Zhu, L.R.; Chen, Y.; Iacucci, M.; et al. Manifestations and prognosis of gastrointestinal and liver involvement in patients with COVID-19: A systematic review and meta-analysis. Lancet Gastroenterol. Hepatol. 2020, 5, 667–678. [Google Scholar] [CrossRef]
- Xu, L.; Liu, J.; Lu, M.; Yang, D.; Zheng, X. Liver injury during highly pathogenic human coronavirus infections. Liver Int. 2020, 40, 998–1004. [Google Scholar] [CrossRef]
- Chen, Z.; Hu, J.; Liu, L.; Zhang, Y.; Liu, D.; Xiong, M.; Zhao, Y.; Chen, K.; Wang, Y.M. Clinical characteristics and risk factors of liver injury in COVID-19: A retrospective cohort study from Wuhan, China. Hepatol. Int. 2020, 14, 723–732. [Google Scholar]
- Li, D.; Ding, X.; Xie, M.; Tian, D.; Xia, L. COVID-19-associated liver injury: From bedside to bench. J. Gastroenterol. 2021, 1, 1–13. [Google Scholar]
- Sonnweber, T.; Boehm, A.; Sahanic, S.; Pizzini, A.; Aichner, M.; Sonnweber, B.; Kurz, K.; Koppelstätter, S.; Haschka, D.; Petzer, V.; et al. Persisting alterations of iron homeostasis in COVID-19 are associated with non-resolving lung pathologies and poor patients' performance: A prospective observational cohort study. Respir. Res. 2020, 21, 276. [Google Scholar] [CrossRef]
- Bellmann-Weiler, R.; Lanser, L.; Barket, R.; Rangger, L.; Schapfl, A.; Schaber, M.; Fritsche, G.; Wöll, E.; Weiss, G. Prevalence and Predictive Value of Anemia and Dysregulated Iron Homeostasis in Patients with COVID-19 Infection. J. Clin. Med. 2020, 9, 2429. [Google Scholar] [CrossRef]
- Bacon, B.R.; Adams, P.C.; Kowdley, K.V.; Powell, L.W.; Tavill, A.S.; American Association for the Study of Liver Diseases. Diagnosis and management of hemochromatosis: 2011 practice guideline by the American Association for the Study of Liver Diseases. Hepatology 2011, 54, 328–343. [Google Scholar] [CrossRef]
- Bloomer, S.A.; Brown, K.E. Iron-Induced Liver Injury: A Critical Reappraisal. Int. J. Mol. Sci. 2019, 20, 2132. [Google Scholar] [CrossRef]
- Philippe, M.A.; Ruddell, R.G.; Ramm, G.A. Role of iron in hepatic fibrosis: One piece in the puzzle. World J. Gastroenterol. 2007, 13, 4746–4754. [Google Scholar] [CrossRef]
- Ishak, K.; Baptista, A.; Bianchi, L.; Callea, F.; De Groote, J.; Gudat, F.; Denk, H.; Desmet, V.; Korb, G.; MacSween, R.N.; et al. Histological grading and staging of chronic hepatitis. J. Hepatol. 1995, 22, 696–699. [Google Scholar] [CrossRef]
- Scheuer, P.J.; Williams, R.; Muir, A.R. Hepatic pathology in relatives of patients with haemochromatosis. J. Pathol. Bacteriol. 1962, 84, 53–64. [Google Scholar] [CrossRef]
- Mannella, C.A. Structure and dynamics of the mitochondrial inner membrane cristae. Biochim. Biophys. Acta (BBA) Mol. Cell Res. 2006, 1763, 542–548. [Google Scholar] [CrossRef]
- Zhang, C.; Shi, L.; Wang, F.S. Liver injury in COVID-19: Management and challenges. Lancet Gastroenterol. Hepatol. 2020, 5, 428–430. [Google Scholar] [CrossRef]
- Cai, Q.; Huang, D.; Yu, H.; Zhu, Z.; Xia, Z.; Su, Y.; Li, Z.; Zhou, G.; Gou, J.; Qu, J.; et al. COVID-19: Abnormal liver function tests. J. Hepatol 2020, 73, 566–574. [Google Scholar] [CrossRef]
- Bloom, P.P.; Meyerowitz, E.A.; Reinus, Z.; Daidone, M.; Gustafson, J.; Kim, A.Y.; Schaefer, E.; Chung, R.T. Liver Biochemistries in Hospitalized Patients with COVID-19. Hepatology 2020, 73, 890–900. [Google Scholar] [CrossRef]
- Phipps, M.M.; Barraza, L.H.; LaSota, E.D.; Sobieszczyk, M.E.; Pereira, M.R.; Zheng, E.X.; Fox, A.N.; Zucker, J.; Verna, E.C. Acute Liver Injury in COVID-19: Prevalence and Association with Clinical Outcomes in a Large U.S. Cohort. Hepatology 2020, 72, 807–817. [Google Scholar] [CrossRef]
- Lagana, S.M.; Kudose, S.; Iuga, A.C.; Lee, M.J.; Fazlollahi, L.; Remotti, H.E.; Del Portillo, A.; De Michele, S.; de Gonzalez, A.K.; Saqi, A.; et al. Hepatic pathology in patients dying of COVID-19: A series of 40 cases including clinical, histologic, and virologic data. Mod. Pathol. 2020, 33, 2147–2155. [Google Scholar] [CrossRef]
- Hoffmann, M.; Kleine-Weber, H.; Schroeder, S.; Krüger, N.; Herrler, T.; Erichsen, S.; Schiergens, T.S.; Herrler, G.; Wu, N.H.; Nitsche, A.; et al. SARS-CoV-2 Cell Entry De-pends on ACE2 and TMPRSS2 and Is Blocked by a Clinically Proven Protease Inhibitor. Cell 2020, 181, 271–280. [Google Scholar] [CrossRef]
- Pirola, C.J.; Sookoian, S. SARS-CoV-2 virus and liver expression of host receptors: Putative mechanisms of liver involvement in COVID-19. Liver Int. 2020, 40, 2038–2040. [Google Scholar] [CrossRef]
- Chai, X.; Hu, L.; Zhang, Y.; Han, W.; Lu, Z.; Ke, A. Specific ACE2 expression in cholangiocytes may cause liver damage after 2019-nCoV infection. Bio-Rxiv 2020. [Google Scholar] [CrossRef]
- Zhao, B.; Ni, C.; Gao, R.; Wang, Y.; Yang, L.; Wei, J.; Lv, T.; Liang, J.; Zhang, Q.; Xu, W.; et al. Recapitulation of SARS-CoV-2 infection and cholangiocyte damage with human liver ductal organoids. Protein Cell 2020, 11, 771–775. [Google Scholar] [CrossRef]
- Philips, C.A.; Ahamed, R.; Augustine, P. SARS-CoV-2 related liver impairment—Perception may not be the reality. J. Hepatol. 2020, 73, 991–992. [Google Scholar] [CrossRef]
- Nie, X.; Qian, L.; Sun, R.; Huang, B.; Dong, X.; Xiao, Q.; Zhang, Q.; Lu, T.; Yue, L.; Chen, S.; et al. Multi-organ proteomic landscape of COVID-19 autopsies. Cell 2021, 184, 775–791. [Google Scholar] [CrossRef]
- Huang, C.; Wang, Y.; Li, X.; Ren, L.; Zhao, J.; Hu, Y.; Zhang, L.; Fan, G.; Xu, J.; Gu, X.; et al. Clinical features of patients infected with 2019 novel coronavirus in Wuhan, China. Lancet 2020, 395, 497–506. [Google Scholar] [CrossRef]
- Bonkovsky, H.L. Iron and the liver. Am. J. Med. Sci. 1991, 301, 32–43. [Google Scholar] [CrossRef] [PubMed]
- Ganz, T. Systemic iron homeostasis. Physiol. Rev. 2013, 93, 1721–1741. [Google Scholar] [CrossRef] [PubMed]
- Salama, S.A.; Kabel, A.M. Taxifolin ameliorates iron overload-induced hepatocellular injury: Modulating PI3K/AKT and p38 MAPK signaling, inflammatory response, and hepatocellular regeneration. Chem. Biol. Interact. 2020, 330, 109230. [Google Scholar] [CrossRef]
- Salama, S.A.; Al-Harbi, M.S.; Abdel-Bakky, M.S.; Omar, H.A. Glutamyl cysteine dipeptide suppresses ferritin expression and alleviates liver injury in iron-overload rat model. Biochimie 2015, 115, 203–211. [Google Scholar] [CrossRef]
- Zuyderhoudt, F.M.; Sindram, J.W.; Marx, J.J.; Jörning, G.G.; van Gool, J. The amount of ferritin and hemosiderin in the livers of patients with iron-loading diseases. Hepatology 1983, 3, 232–235. [Google Scholar] [CrossRef]
- Jiang, X.; Stockwell, B.R.; Conrad, M. Ferroptosis: Mechanisms, biology and role in disease. Nat. Rev. Mol. Cell Biol. 2021, 22, 266–282. [Google Scholar] [CrossRef]
- Delgado-Roche, L.; Mesta, F. Oxidative Stress as Key Player in Severe Acute Respiratory Syndrome Coronavirus (SARS-CoV) Infection. Arch. Med. Res. 2020, 51, 384–387. [Google Scholar] [CrossRef]
- Dixon, S.J.; Lemberg, K.M.; Lamprecht, M.R.; Skouta, R.; Zaitsev, E.M.; Gleason, C.E.; Patel, D.N.; Bauer, A.J.; Cantley, A.M.; Yang, W.S.; et al. Ferroptosis: An iron-dependent form of nonapoptotic cell death. Cell 2012, 149, 1060–1072. [Google Scholar] [CrossRef]
- Benard, G.; Rossignol, R. Ultrastructure of the mitochondrion and its bearing on function and bioenergetics. Antioxid Redox Signal. 2008, 10, 1313–1342. [Google Scholar] [CrossRef]
- Javadov, S.; Kozlov, A.V.; Camara, A.K.S. Mitochondria in Health and Diseases. Cells 2020, 9, 1177. [Google Scholar] [CrossRef]
- Lee, S.J.; Zhang, J.; Choi, A.M.; Kim, H.P. Mitochondrial dysfunction induces formation of lipid droplets as a generalized response to stress. Oxid. Med. Cell Longev. 2013, 2013, 327167. [Google Scholar] [CrossRef]
- Nardacci, R.; Colavita, F.; Castilletti, C.; Lapa, D.; Matusali, G.; Meschi, S.; Del Nonno, F.; Colombo, D.; Capobianchi, M.R.; Zumla, A.; et al. Evidences for lipid involvement in SARS-CoV-2 cytopathogenesis. Cell Death Dis. 2021, 12, 263. [Google Scholar] [CrossRef]





| N° | Age/Sex | Comorbidities | Symptoms | Hospital Stay (Days) | Oxygenation/Intensive Care | Treatments |
|---|---|---|---|---|---|---|
| 1 | 40/M | None | Fever; headache; myalgia and arthralgia; bilateral interstitial pneumonia | 29 | Oxygen therapy with VMK; cPAP | Lopinavir/ritonavir; Hydroxychloroquine; Enoxaparin |
| 2 | 46/M | None | Fever; cough; myalgia and arthralgia; dyspnea; interstitial pneumonia | 31 | Oxygen therapy with VMK; NIV | Lopinavir/ritonavir; Hydroxychloroquine; Enoxaparin; Tocilizumab |
| 3 | 42/M | Obesity | Fever; cough; dyspnea; bilateral interstitial pneumonia | 41 | Oxygen therapy with VMK 35%; NIV; cPAP orotracheal intubation | Lopinavir/ritonavir; Hydroxychloroquine; SarilumabCeftriaxone; doxycycline |
| N° | Age/Sex | Comorbidities | Symptoms | Hospital Stay (Days) | Oxygenation/Intensive Care | Treatments | Postmortem Causes of Death |
|---|---|---|---|---|---|---|---|
| 1 | 76/M | Malignancy | Bilateral pneumonia | 30 | Oxygen therapy with cPAP | Tocilizumab | Cardiorespiratory failure. |
| 2 | 69/F | Schizophrenia; staphylococcus | Fever; Dyspnea. | 28 | Oxygen therapy with VMK 35% | Not known | Cardiorespiratory failure. |
| 3 | 63/M | Hypertension, cerebral ischemic vasculopathy | Fever; Dyspnea; Anosmia; Interstitial pneumonia. | 5 | Oxygen therapy with VMK 40% | Clarithromycin Rocephin, morphine; Rocuronium | DAD, cardiorespiratory failure. |
| Biopsied Patients N° | Laboratory Findings * | |||||||||
|---|---|---|---|---|---|---|---|---|---|---|
| Temporal Trend | Fibrinogen | D-dimer | LDH | ALT | AST | Total Bilirubin | Ferritin | PCR | GGT | |
| 1 | Admission | 915 | 815 | 345 | 120 | 82 | 1.48 | 1168 | 15.49 | 146 |
| Peak during hospital | 525 | 513 | 479 | 747 | 330 | 0.75 | 1913 | 1.84 | 134 | |
| Discharge | 403 | 220 | 201 | 134 | 31 | 0.75 | 1056 | 0.07 | 66 | |
| 2 | Admission | 883 | 603 | 174 | 29 | 18 | 0.91 | 488 | 11.84 | 35 |
| Peak during hospital | 537 | 652 | 215 | 481 | 102 | 0.66 | 666 | 1.35 | 185 | |
| Discharge | 231 | 464 | 269 | 28 | 21 | 0.68 | 100 | <0.05 | 0.17 | |
| 3 | Admission | 915 | 803 | 626 | 28 | 60 | 1.3 | 1672 | 18.18 | 111 |
| Peak during hospital | 1159 | 17,747 | 491 | 137 | 176 | 5.33 | 2028 | 36.77 | 760 | |
| Discharge | 382 | 1372 | 254 | 100 | 44 | 1.11 | 916 | 0.51 | 109 | |
| Autopsy Patients N° | ||||||||||
| 1 | Admission | 705 | 697 | 210 | 20 | 31 | 0.41 | 809 | 4.1 | 18 |
| Peak during hospital | 139 | 17,180 | >4500 | >3300 | >6000 | 1.3 | 1537 | 0.64 | 125 | |
| Death | 194 | 1069 | 3644 | 3068 | 2182 | 0.86 | 1407 | <0.05 | 55 | |
| 2 | Admission | 253 | 15,920 | 300 | 19 | 38 | 0.39 | 346 | 3.27 | 12 |
| Peak during hospital | 17,575 | - | 337 | 83 | 64 | 3.7 | 1165 | 4.9 | 147 | |
| Death | 1242 | 44,554 | 386 | 32 | 19 | 1.34 | - | 0.37 | 80 | |
| 3 | Admission | 648 | 1428 | - | 84 | 121 | 0.57 | - | 11.03 | 39 |
| Peak during hospital | - | - | 607 | - | - | - | 3292 | - | - | |
| Death | 726 | - | - | 60 | 61 | 0.4 | - | - | 53 | |
| Group BIOPSIES | Group AUTOPSIES | |||||
|---|---|---|---|---|---|---|
| N° 1 | N° 2 | N° 3 | N° 1 | N° 2 | N° 3 | |
| Steatosis | >5% | >33% | 33–66% | 33–66% | >5% | 33–66% |
| Portal inflammation | Mild | Mild | Mild | Mild | Mild | Mild |
| Lobular inflammation | Focal * | Focal * | Focal * | − | Focal * | Focal * |
| Pattern of necrosis | − | Spotty | Spotty | − | Zonal | Zonal |
| Portal fibrosis | Mild | Mild | Moderate | Mild | Mild | Mild |
| Sinusoidal dilatation | + | − | + | + | + | + |
| Group BIOPSY | Group AUTOPSY | |||||
|---|---|---|---|---|---|---|
| n.1 | n.2 | n.3 | n.1 | n.2 | n.3 | |
| Pattern of iron stain (Percentage of cells with iron deposits) * | Mild | Moderate | Moderate | Marked | Moderate | Marked |
| Siderosis (Hepatic iron graded according to Scheuer’s classification) # | 1 | 2 | 3 | 4 | 3 | 4 |
Publisher’s Note: MDPI stays neutral with regard to jurisdictional claims in published maps and institutional affiliations. |
© 2021 by the authors. Licensee MDPI, Basel, Switzerland. This article is an open access article distributed under the terms and conditions of the Creative Commons Attribution (CC BY) license (https://creativecommons.org/licenses/by/4.0/).
Share and Cite
Del Nonno, F.; Nardacci, R.; Colombo, D.; Visco-Comandini, U.; Cicalini, S.; Antinori, A.; Marchioni, L.; D’Offizi, G.; Piacentini, M.; Falasca, L. Hepatic Failure in COVID-19: Is Iron Overload the Dangerous Trigger? Cells 2021, 10, 1103. https://doi.org/10.3390/cells10051103
Del Nonno F, Nardacci R, Colombo D, Visco-Comandini U, Cicalini S, Antinori A, Marchioni L, D’Offizi G, Piacentini M, Falasca L. Hepatic Failure in COVID-19: Is Iron Overload the Dangerous Trigger? Cells. 2021; 10(5):1103. https://doi.org/10.3390/cells10051103
Chicago/Turabian StyleDel Nonno, Franca, Roberta Nardacci, Daniele Colombo, Ubaldo Visco-Comandini, Stefania Cicalini, Andrea Antinori, Luisa Marchioni, Gianpiero D’Offizi, Mauro Piacentini, and Laura Falasca. 2021. "Hepatic Failure in COVID-19: Is Iron Overload the Dangerous Trigger?" Cells 10, no. 5: 1103. https://doi.org/10.3390/cells10051103
APA StyleDel Nonno, F., Nardacci, R., Colombo, D., Visco-Comandini, U., Cicalini, S., Antinori, A., Marchioni, L., D’Offizi, G., Piacentini, M., & Falasca, L. (2021). Hepatic Failure in COVID-19: Is Iron Overload the Dangerous Trigger? Cells, 10(5), 1103. https://doi.org/10.3390/cells10051103

