External Hemipelvectomy in Soft Tissue Sarcomas: Are They Still Needed?
Abstract
Simple Summary
Abstract
1. Introduction
2. Material and Methods
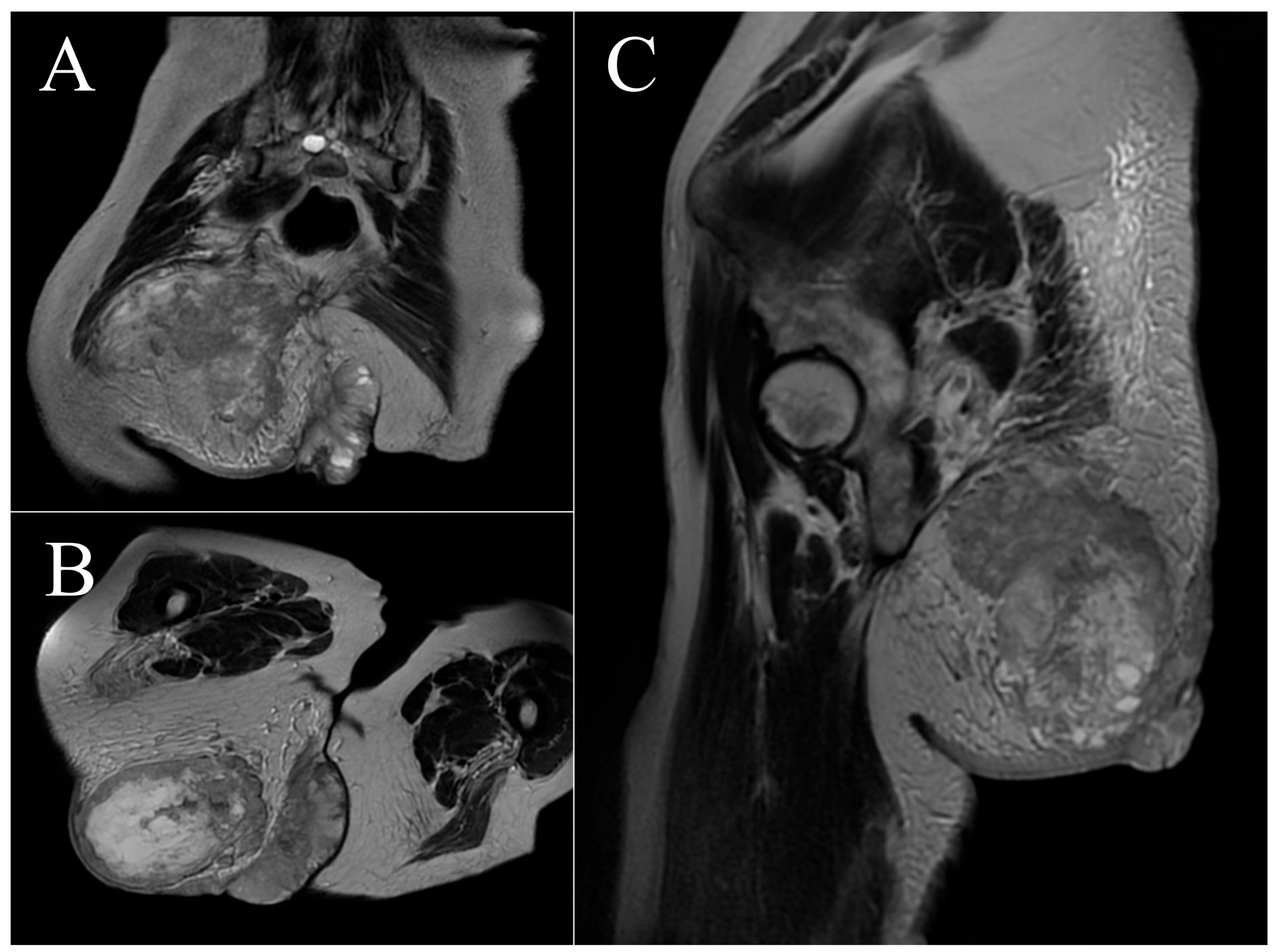
2.1. Case 1
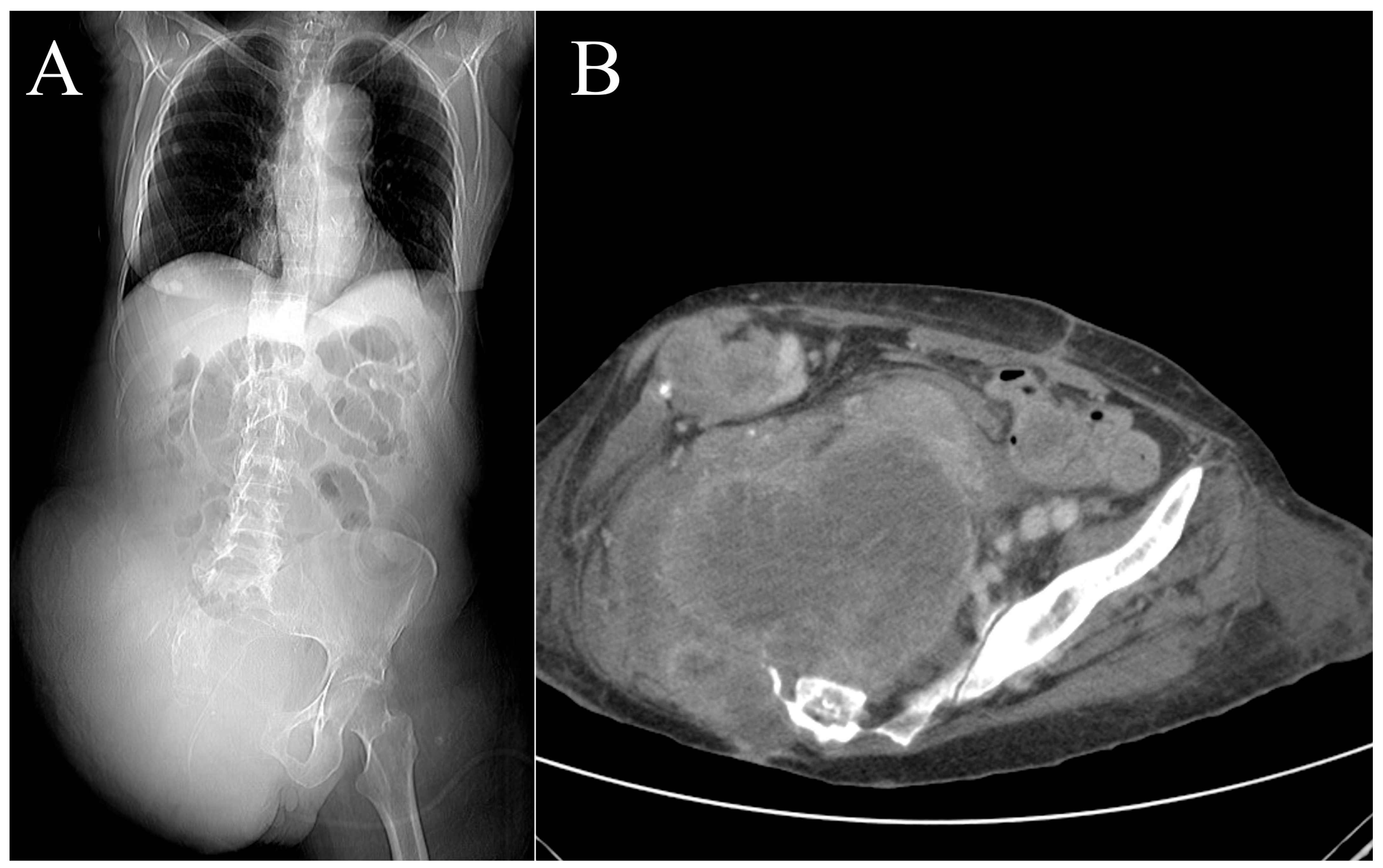
2.2. Case 2
3. Results
3.1. Case 1
3.2. Case 2
4. Discussion
5. Conclusions
Author Contributions
Funding
Institutional Review Board Statement
Informed Consent Statement
Data Availability Statement
Conflicts of Interest
Abbreviations
References
- Enneking, W.F.; Dunham, W.K. Resection and reconstruction for primary neoplasms involving the innominate bone. J. Bone Jt. Surg. Am. 1978, 60, 731–746. [Google Scholar] [CrossRef]
- Benady, A.; Gortzak, Y.; Sofer, S.; Ran, Y.; Rumack, N.; Elias, A.; Efrima, B.; Golden, E.; Segal, O.; Merose, O.; et al. Internal Hemipelvectomy for primary bone sarcomas using intraoperative patient specific instruments- the next step in limb salvage concept. BMC Musculoskelet. Disord. 2022, 23, 1012. [Google Scholar] [CrossRef] [PubMed]
- Crimì, A.; Binitie, O.T.; Crimì, F.; Letson, G.D.; Joyce, D.M. Outcomes and complications of pelvic chondrosarcomas treated using navigation guidance and multidisciplinary approach: Is the tumor volume a prognostic factor? J. Clin. Med. 2022, 11, 7111. [Google Scholar] [CrossRef] [PubMed]
- Karaka, M.O.; Özbek, E.A.; Özyildiran, M.; Merter, A.; Basarir, K.; Yildez, H.Y.; Sağlık, Y. External and internal hemipelvectomy: A retrospective análisis of 68 cases. Jt. Dis. Relat. Surg. 2022, 33, 132–141. [Google Scholar] [CrossRef] [PubMed]
- Laitinen, M.K.; Parry, M.C.; Albergo, J.I.; Grimer, R.J.; Jeys, L.M. Is computer navigation when used in the surgery of iliosacral pelvic bone tumours safer for the patient? Bone Jt. J. 2017, 99, 261–266. [Google Scholar] [CrossRef] [PubMed]
- Wang, J.; Min, L.; Lu, M.; Zhang, Y.; Wang, Y.; Luo, Y.; Zhou, Y.; Duan, H.; Tu, C. What are the complications of three-dimensionally printed, custom-made, integrative hemipelvic endoprostheses in patients with primary malignancies involving the acetabulum, and whats is the function of these patients? Clin. Orthop. Relat. Res. 2020, 478, 2487–2501. [Google Scholar] [CrossRef]
- Lewis, V.O.; Kemp, A.; Roubaud, M.J.; Ajay, D.; Westney, O.L.; Smith, T., 3rd; Dang, A.Q.; Hagan, K.; Roland, C.L.; Penny, A.; et al. Multidisciplinary approach to hemipelvectomy for pelvic sarcomas. JBJS Rev. 2022, 10, e20. [Google Scholar] [CrossRef]
- Malawer, M.M.; Buch, R.G.; Thompson, W.E.; Sugarbaker, P.H. Major amputations done with palliative intent in the treatment of local bony complications associated with advanced cancer. J. Surg. Oncol. 1991, 47, 121–130. [Google Scholar] [CrossRef]
- Chretien, P.A.; Sugarbaker, P.H. Surgical technique of hemipelvectomy in the lateral position. Surgery 1981, 90, 900–909. [Google Scholar]
- Karakousis, C.P.; Emrich, L.J.; Driscoll, D.L. Variants of hemipelvectomy and their complications. Am. J. Surg. 1989, 158, 404–408. [Google Scholar] [CrossRef]
- Chandrasekhar, B.; Sloan, G.M.; Beatty, J.D. The external oblique myoscutaneous flap for extended hemipelvectomy reconstruction. Cancer 1988, 62, 1022–1025. [Google Scholar] [CrossRef] [PubMed]
- Roulet, S.; Le Nail, L.R.; Vaz, G.; Babinet, A.; Dumaine, V.; Sallot, A.; Rosset, P. Free fillet lower leg flap for coverage after hemipelvectomy or hip disarticulation. Orthop. Traumatol. Surg. Res. 2019, 105, 47–54. [Google Scholar] [CrossRef] [PubMed]
- Apffelstaedt, J.P.; Driscoll, D.L.; Spellman, J.E.; Velez, A.F.; Gibbs, J.F.; Karakousis, C.P. Complications and outcome of external hemipelvectomy in the management of pelvic tumors. Ann. Surg. Oncol. 1996, 3, 304–309. [Google Scholar] [CrossRef] [PubMed]
- Asavamongkolkul, A.; Chotikawanich, E. Late distal ureteral structure in internal hemipelvectomy without bone reconstruction: A case report. Res. Rep. Urol. 2022, 14, 275–280. [Google Scholar] [PubMed]
- Balko, J.; Ozaniak, A.; Krskova, L.; Strizova, Z.; Lischke, R.; Zamecnik, J. Patient with composite haemangioendothelioma containing angiosarcoma-like areas in the setting of congenital lymphoedema mimicking Stewart-Treves syndrome: A case report. Diagn. Pathol. 2023, 18, 76. [Google Scholar] [CrossRef]
- Kayani, B.; Clarkson, P.; Ng, T.; Masri, B.A. A sarcoma masquerading as a pseudotumor after total hip arthroplasty: A case report. JBJS Case Connect. 2023, 13, e23. [Google Scholar] [CrossRef]
- Kumar, R.; Mohanan, S. Periosteal Ewing sarcoma: Imaging features and clinical outcomes in 7 patients. J. Comput. Assist. Tomogr. 2023, 47, 78–85. [Google Scholar] [CrossRef]
- Mahran, M.A.; Khalifa, A.A.; El-Sayed, A. Pelvis reconstruction by proximal femur upshifting and total hip arthroplasty after radical resection of an adolescent patient pelvic Ewing’s sarcoma, a case report, and literature review. Int. J. Surg. Case Rep. 2023, 106, 108146. [Google Scholar] [CrossRef]
- Papalia, G.F.; Ariyaratne, S.; Sison, J.; Morris, G.; Vaiyapuri, S.; Kurisunkal, V.; Botchu, R. An unusual cystic presentation of pelvic skeletal Ewing sarcoma: A case series. Skeletal Radiol. 2024, 1–9. [Google Scholar] [CrossRef]
- Sag, A.A.; Riedel, R.F.; Eward, W.C.; Visgauss, J.D.; Brigman, B.E. Hydropneumodissection-assisted cryoablation of recurrent sarcoma adjacent to the sciatic nerve as a limb-sparing alternative to hindquarter amputation. J. Vasc. Interv. Radiol. 2023, 34, 923–926.e1. [Google Scholar] [CrossRef]
- Zhang, Y.W.; Xia, W.H.; Gao, W.C.; Yan, L.; Xiao, X.; Xiao, Y.; Zhang, S.L.; Ni, W.Y.; Gong, F.P. Giant primitive neuroectodermal pelvic tumour: A case report and literature review. J. Int. Med. Res. 2020, 48, 300060520906747. [Google Scholar] [CrossRef] [PubMed]
- Schaal Wilson, R.E. Rehabilitation considerations for a patient with external hemipelvectomy and hemisacrectomy for recurrent soft tissue pelvic sarcoma: A case report. Physiother. Theory Pract. 2015, 31, 433–441. [Google Scholar] [PubMed]
- Sawyer, J.; Van Boerum, M.S.; Groundland, J.; Lorimer, S.; Agarwal, J. Free tibia and fibula-fillet-of-leg flap for pelvic ring reconstruction: A case report. Microsurgery 2020, 40, 492–496. [Google Scholar] [CrossRef] [PubMed]
- Ishida, M.; Imanishi, J.; Yazawa, Y.; Sunakawa, Y.; Torigoe, T.; Onishi, H. “Phantom akathisia” in an amputated leg of a sarcoma patient: A case report. Biopsychosoc. Med. 2020, 14, 4. [Google Scholar] [CrossRef] [PubMed]
- Baines, A.J.; Babazadeh-Naseri, A.; Dunbar, N.J.; Lewis, V.O.; Fregly, B.J. Bilatera asymmetry of bone density adjacent to pelvic sarcomas: A retrospective study using computed tomography. J. Orthop. Res. 2022, 40, 644–653. [Google Scholar] [CrossRef] [PubMed]
- Dunbar, N.J.; Zhu, Y.M.; Madewell, J.E.; Penny, A.N.; Fregly, B.J.; Lewis, V.O. Changes in psoas muscle size and ambulatory function after internal hemipelvectomy without reconstruction. Bone Jt. J. 2023, 105, 323–330. [Google Scholar] [CrossRef]
- Dvorak, Z.; Tomas, T.; Kubat, M.; Apostolopoulos, V.; Tawa, N. Free fillet lower leg flap with fenestration of the pelvis as prevention of vascular problem after hemipelvectomy. J. Plast. Reconstr. Aesthet. Surg. 2022, 75, 2845–2846. [Google Scholar] [CrossRef]
- Gosheger, G.; Ahrens, H.; Dreher, P.; Schneider, K.N.; Deventer, N.; Budny, T.; Heitkötter, B.; Schulze, M.; Theil, C. Evaluation of a novel classification system to predict local recurrence in sarcoma patients undergoing hemipelvectomy with iliosacral resection. Bone Jt. J. 2022, 104, 290–296. [Google Scholar] [CrossRef]
- Hu, X.; Wen, Y.; Lu, M.; Luo, Y.; Zhou, Y.; Yang, X.; Tu, C.; Min, L. Biomechanical and clinical outcomes of 3D-printed versus modular hemipelvic prostheses for limb- salvage reconstruction following periacetabular tumor resection: A mid-term retrospective cohort study. J. Orthop. Surg. Res. 2024, 19, 258. [Google Scholar] [CrossRef]
- Khal, A.; Zucchini, R.; Sambri, A.; Leucuta, D.C.; Mariotti, F.; Donati, D.M.; De Paolis, M. Reconstruction of the pelvic ring in iliac or iliosacral resections: Allograft or autograft? Musculoskelet. Surg. 2022, 106, 21–27. [Google Scholar] [CrossRef]
- Lizcano-Suárez, A.R.; Clara-Altamirano, M.A.; Velázquez-Rodríguez, S.; Martínez-Said, H.; Villavicencio-Valencia, S.V.; García-Ortega, D.Y. Surgical margins as prognostic factor in pelvis chondrosarcoma. Cohort study in a sarcoma unit. Acta Ortop. Mex. 2023, 37, 331–337. [Google Scholar] [CrossRef] [PubMed]
- Revuri, V.R.; Moody, K.; Lewis, V.; Mejia, R.; Harrison, D.J.; Ahmad, A.H. Pain and analgesia in children with cancer after hemipelvectomy: A retrospective analysis. Children 2022, 9, 237. [Google Scholar] [CrossRef] [PubMed]
- Sambri, A.; Fiore, M.; Rottoli, M.; Bianchi, G.; Pignatti, M.; Bortoli, M.; Ercolino, A.; Ancetti, S.; Perrone, A.M.; De Iaco, P.; et al. A planned multidisciplinary surgical approach to treat primary pelvic malignancies. Curr. Oncol. 2023, 30, 1106–1115. [Google Scholar] [CrossRef] [PubMed]
- Vucicevic, R.S.; Zavras, A.G.; Fice, M.P.; Khan, Z.A.; Gusho, C.; Gasparro, M.; Gitelis, S.; Blank, A.; Colman, M.W. Internal hemipelvectomy: A single institution’s learning curve and longitudinal experience. J. Surg. Oncol. 2024, 129, 981–994. [Google Scholar] [CrossRef] [PubMed]
- Zhang, L.; Michihata, N.; Matsui, H.; Fushimi, K.; Yasunaga, H.; Tsuda, Y.; Tanaka, S.; Kobayashi, H. Preoperative arterial embolization and wound complications after resection of malignant bone tumor in the pelvis: A nationwide database study. Jpn. J. Clin. Oncol. 2022, 52, 1176–1182. [Google Scholar] [CrossRef]
- Kiiski, J.; Parry, M.C.; Le Nail, L.R.; Sumathi, V.; Stevenson, J.D.; Kaartinen, I.S.; Jeys, L.M.; Laitinen, M.K. Surgical and oncological outcomes after hindquarter amputation for pelvic sarcoma. Bone Jt. J. 2020, 102, 788–794. [Google Scholar] [CrossRef]
- Kiiski, J.; Laitinen, M.K.; Nail, L.L.; Kuokkanen, H.O.; Peart, F.; Rosset, P.; Bourdais-Sallot, A.; Jeys, L.M.; Parry, M.C. Soft tissue reconstruction after pelvic amputation: The efficacy and reliability of free fillet flap reconstruction. J. Plast. Reconstr. Aesthet. Surg. 2021, 74, 987–994. [Google Scholar] [CrossRef]
- van Houdt, W.J.; Griffin, A.M.; Wunder, J.S.; Ferguson, P.C. Oncologic outcome and quality of life after hindquarter amputation for sarcoma: Is it worth it? Ann. Surg. Oncol. 2018, 25, 378–386. [Google Scholar] [CrossRef]
- Guder, W.K.; Hardes, J.; Gosheger, G.; Henrichs, M.P.; Nottrott, M.; Streitbürger, A. Analysis of surgical and oncological outcome in internal and external hemipelvectomy in 34 patients above the age of 65 years at a mean follow-up of 56 months. BMC Musculoskelet. Disord. 2015, 16, 33. [Google Scholar] [CrossRef]
- Couto, A.G.; Araújo, B.; Torres de Vasconcelos, R.A.; Renni, M.J.; Da Fonseca, C.O.; Cavalcanti, I.L. Survival rate and perioperative data of patients who have undergone hemipelvectomy: A retrospective case series. World J. Surg. Oncol. 2016, 14, 255. [Google Scholar] [CrossRef]
- Furtado, S.; Grimer, R.J.; Cool, P.; Murray, S.A.; Briggs, T.; Fulton, J.; Grant, K.; Gerrand, C.H. Physical functioning, pain and quality of life after amputation for musculoskeletal tumours: A national survey. Bone Jt. J. 2015, 97, 1284–1290. [Google Scholar] [CrossRef] [PubMed]
- Puchner, S.E.; Funovics, P.T.; Böhler, C.; Kaider, A.; Stihsen, C.; Hobusch, G.M.; Panotopoulos, J.; Windhager, R. Oncological and surgical outcome after treatment of pelvic sarcomas. PLoS ONE 2017, 12, e0172203. [Google Scholar] [CrossRef] [PubMed]
- Read, R.L.; Stalley, P.; Thompson, J.F. The contemporary role of major amputation in the management of advanced limb melanoma. Ann. Surg. Oncol. 2015, 22, 4067–4072. [Google Scholar] [CrossRef] [PubMed]
- Kreutz-Rodrigues, L.; Mohan, A.T.; Moran, S.L.; Carlsen, B.T.; Mardini, S.; Houdek, M.T.; Rose, P.S.; Bakri, K. Extremity free fillet flap for reconstruction of massive oncologic resection-Surgical technique and outcomes. J. Surg. Oncol. 2020, 121, 465–473. [Google Scholar] [CrossRef]
- Freitas, R.R.; Crivellaro, A.L.; Mello, G.J.; Neto, M.A.; de Freitas Filho, G.; Silva, L.V. Hemipelvectomy: Erasto Gaertner Hospital’s experiences with 32 cases in 10 years. Rev. Bras. Ortop. 2015, 45, 413–419. [Google Scholar] [CrossRef] [PubMed]
- Puri, A.; Gulia, A.; Pruthi, M. Outcome of surgical resection of pelvic osteosarcoma. Indian J. Orthop. 2014, 48, 273–278. [Google Scholar] [CrossRef]
- Banskota, N.; Yang, H.; Fang, X.; Yuan, D.; Zhang, W.; Duan, H. Comparative study of pelvic sarcoma patients undergoing internal and external hemipelvectomy: A meta-analysis study. Front Surg. 2022, 9, 988331. [Google Scholar] [CrossRef]
- Laitinen, M.K.; Parry, M.C.; Morris, G.V.; Jeys, L.M. Pelvic bone sarcomas, prognostic factors, and treatment: A narrative review of the literature. Scand. J. Surg. 2023, 112, 206–215. [Google Scholar] [CrossRef]
- Roustemis, A.G.; Liontos, M.; Trikoupis, I.; Karampikas, V.; Goumenos, S.; Gavriil, P.; Kontogeorgakos, V.A.; Savvidou, O.; Papagelopoulos, P.J. Limb salvage and pelvic reconstruction with endoprosthesis after pelvic tumor resection: A narrative review. Cureus 2024, 16, e56043. [Google Scholar] [CrossRef]
- Angelini, A.; Calabrò, T.; Pala, E.; Trovarelli, G.; Maraldi, M.; Ruggieri, P. Resection and reconstruction of pelvic bone tumors. Orthopedics 2015, 38, 87–93. [Google Scholar] [CrossRef]
- Bibbo, C.; Newman, A.S.; Lackman, R.D.; Levin, L.S.; Kovach, S.J. A simplified approach to reconstruction of hemipelvectomy defects with lower extremity free filet flaps to minimize ischemia time. J. Plast. Reconstr. Aesthet. Surg. 2015, 68, 1750–1754. [Google Scholar] [CrossRef]
- Tashiro, K.; Arikawa, M.; Fukunaga, Y.; Nakatani, F.; Kobayashi, E.; Kawai, A.; Miyamoto, S. Free latissimus dorsi musculocutaneous flap for external hemipelvectomy reconstruction. Microsurgery 2019, 39, 138–143. [Google Scholar] [CrossRef] [PubMed]
- Reish, R.G.; Kobraei, E.M.; Austen, W.G., Jr.; Raskin, K.A.; Liao, E.C. The bone-in-fillet flap: A spare-parts approach to achieving simultaneous bony pelvic stabilization soft tissue reconstruction following external hemipelvectomy. J. Reconstr. 2014, 30, 663–666. [Google Scholar] [CrossRef] [PubMed]
- Endo, Y.; Sakai, T.; Fukui, S.; Hori, A.; Echigo, R.; Matsunaga, S.; Kadosawa, T. Mid-to-caudal partial hemipelvectomy with limb preservation for ischial tumor in a dog. J. Vet. Med. Sci. 2022, 84, 218–222. [Google Scholar] [CrossRef] [PubMed]
- Stokes, R.; Wustefeld-Janssens, B.G.; Hinson, W.; Wiener, D.J.; Hollenbeck, D.; Bertran, J.; Mickelson, M.; Chen, C.L.; Selmic, L.; Aly, A.; et al. Surgical and oncologic outcomes in dogs with malignant peripheral nerve sheath tumours arising from the brachial or lumbosacral plexus. Vet. Comp. Oncol. 2023, 21, 739–747. [Google Scholar] [CrossRef] [PubMed]
- Sullivan, M.H.; Mills, G.L.; Saifuddin, H.; Brinkman, E.J.; Carlsen, B.T.; Moran, S.L.; Houdek, M.T. Targeted muscle reinnervation to reduce postoperative pain in patients undergoing hindquarter resections. Anticancer Res. 2023, 43, 3513–3516. [Google Scholar] [CrossRef]
- Vega, M.M.; Li, G.; Shourijeh, M.S.; Ao, D.; Weinschenk, R.C.; Patten, C.; Font-Llagunes, J.M.; Lewis, V.O.; Fregly, B.J. Computational evaluation of psoas muscle influence on walking function following internal hemipelvectomy with reconstruction. Front Bioeng. Biotechnol. 2022, 10, 855870. [Google Scholar] [CrossRef]
- Balch, C.M. The surgical legacy of Randolph Lee Clark, Jr, MD: First Director and surgeon-in-chief of University of Texas MD Anderson Cancer Center II. Surgical practice and leadership at University of Texas MD Anderson Cancer Center (1946–1978). Ann. Surg. Oncol. 2021, 28, 4794–4804. [Google Scholar] [CrossRef]
- Park, J.W.; Kang, H.G.; Kim, J.H.; Kim, H.S. The application of 3D-printing technology in pelvic bone tumor surgery. J. Orthop. Sci. 2021, 26, 276–283. [Google Scholar] [CrossRef]
- Tiwari, A.; Yadlapalli, A.; Verma, V. Computer navigation assisted tumor surgery for internal hemipelvectomy—Early experience. J. Clin. Orthop. Trauma 2020, 13, 63–65. [Google Scholar] [CrossRef]
- Atalay, İ.B.; Togral, G. Unusual localization and aggressive progression of large infantile fibrosarcoma. Acta Orthop. Traumatol. Turc. 2019, 53, 507–511. [Google Scholar] [CrossRef] [PubMed]
- Kirilova, M.; Klein, A.; Lindner, L.H.; Nachbichler, S.; Knösel, T.; Birkenmaier, C.; Baur-Melnyk, A.; Dürr, H.R. Amputation for extremity sarcoma: Indications and outcomes. Cancers 2021, 13, 5125. [Google Scholar] [CrossRef] [PubMed]
- Browne, J.L.; Oudijk, M.A.; Holtslag, H.R.; Schereuder, H.W.R. Vaginal delivery after hemipelvectomy and pelvic radiotherapy for condrosarcoma. BMJ Case Rep. 2014, 2014, bcr2014205785. [Google Scholar] [CrossRef]
- Beck, L.A.; Einertson, M.J.; Winemiller, M.H.; DePompolo, R.W.; Hoppe, K.M.; Sim, F.F. Functional outcomes and quality of life after tumor-related hemipelvectomy. Phys. Ther. 2008, 88, 916–927. [Google Scholar] [CrossRef]
- Angelini, A.; Drago, G.; Trovarelli, G.; Calabrò, T.; Ruggieri, P. Infection after surgical resection for pelvic bone tumors: An analysis of 270 patients from one institution. Clin. Orthop. Relat. Res. 2014, 472, 349–359. [Google Scholar] [CrossRef]
- Baliski, C.R.; Schachar, N.S.; McKinnon, J.G.; Stuart, G.C.; Temple, W.J. Hemipelvectomy: A changing perspective for a rare procedure. Can. J. Surg. 2004, 47, 99–103. [Google Scholar]
- Yuen, A.; Ek, E.T.; Choong, P.F. Research: Is resection of tumours involving pelvic ring justified? A review of 49 consecutive cases. Int. Semin. Surg. Oncol. 2005, 2, 9. [Google Scholar] [CrossRef]
- Sherman, C.E.; O’Connor, M.I.; Sim, F.H. Survival, local recurrence, and function after pelvic limb salvage at 23 to 38 years of followup. Clin. Orthop. Relat. Res. 2012, 470, 712–727. [Google Scholar] [CrossRef]
- Bruns, J.; Luessenhop, S.; Behrens, P. Cost análisis of three different surgical procedures for treatment of a pelvic tumour. Langenbeck´s Arch. Surg. 1998, 383, 359–363. [Google Scholar] [CrossRef]
- Heetkamp, A.; Feijen, H.W.H.; Papatsonis, D.N.M. Spontaneous delivery after hemipelvectomy because of condrosarcoma: A case report and review of the literature. Am. J. Perinatol. 2008, 25, 255–258. [Google Scholar] [CrossRef]
- Bergh, P.A.; Bonamo, J.; Breen, J.L. Pregnancy after hemipelvectomy: A case report and review of the literature. Int. J. Gynaecol. Obstet. 1988, 27, 277–283. [Google Scholar] [CrossRef] [PubMed]
- Chihara, I.G.; Osada, H.; Litsuka, Y.; Masuda, K.; Sekiya, S. Pregnancy after limb-sparing hemipelvectomy for Ewgin´s sarcoma. A case report and review of the literature. Gynecol. Obstet. Investig. 2003, 56, 218–220. [Google Scholar] [CrossRef] [PubMed]
- Snyder, D.J.; Thomas, R.L. Pregnancy complicated by hemipelvectomy: Case presentations and review of the literature. Am. J. Perinatol. 1989, 6, 363–366. [Google Scholar] [CrossRef] [PubMed]
- Kakogawa, J.; Ogawa, M.; Suzuki, N.; Tabata, T. Successful pregnancy after limb-sparing hemipelvectomy for Ewing sarcoma: Case report and literature review. Taiwan J. Obstet. Gynecol. 2021, 60, 787–790. [Google Scholar] [CrossRef] [PubMed]









| Authors, Year | n | Mean Age (Years) | Diagnosis | Surgical Complications | Functional Results | Recurrences | Survival/Death |
|---|---|---|---|---|---|---|---|
| Puri et al., 2014 [46] | 2 | 19.5 | Osteosarcoma | 1 infection | NA | 2 (100%) | 0% alive (FU 11.5 m) |
| Guder et al., 2015 [39] | 9 | 70.7 | BT. STS | 9 surgical revisions a | NA | 3 (14.3%) a | 16 (76.2%) a died |
| Freitas et al., 2015 [45] | 8 | NA | BT. STS | NA | NA | NA | NA |
| Read et al., 2015 [45] | 3 | NA | Melanoma | NA | 1 alive (use crutches) | NA |
|
| Furtado et al., 2015 [41] | 22 | NA | BTS/STS | NA |
| NA | NA |
| Couto et al., 2016 [40] | 23 | 45 | BT. STS | NA | NA | NA | 11% alive (5 years) |
| Puchner et al., 2017 [42] | 19 | NA | BTS | NA | NA | NA | NA |
| van Houdt et al., 2018 [38] | 78 | NA | BTS/STS | 70% at leats one | 50% of the patients survivors > 1 year performed reasonably well | 8 (10.3%) |
|
| Roulet et al., 2018 [12] | 6 | 53.6 | BTS/STS | 6 | NA | NA |
|
| Tashiro et al., 2019 [52] | 6 | 65 | BT. STT | 3 infections |
| NA | 4 alive (FU not specified) |
| Kiiski et al., 2020 [36] | 136 b | 51 | MBT/STS | 73 (53.7%) at least one | NA | 25.3% BTS/28.9% STS | 59.3 c/12.5 d (MS) |
| Kiiski et al., 2021 [37] | 12 | 60 | BTS/STS | 50% |
| 1 (8.3%) | 58% (3 years) |
| Kreutz-Rodrigues et al., 2020 [44] | 7 | 53.1 | BTS/STS | 1 wound dehiscence | NA | 2 (28.6%) | 4 alive (FU not specified) |
| Karaka et al., 2022 [4] | 29 | 43 | Tumor. Hydatid cyst | 20 infections (8 superficial, 12 deep) | NA | NA | 25.7 months (MS) |
Disclaimer/Publisher’s Note: The statements, opinions and data contained in all publications are solely those of the individual author(s) and contributor(s) and not of MDPI and/or the editor(s). MDPI and/or the editor(s) disclaim responsibility for any injury to people or property resulting from any ideas, methods, instructions or products referred to in the content. |
© 2024 by the authors. Licensee MDPI, Basel, Switzerland. This article is an open access article distributed under the terms and conditions of the Creative Commons Attribution (CC BY) license (https://creativecommons.org/licenses/by/4.0/).
Share and Cite
Ramos Pascua, L.R.; Casas Ramos, P.; De la Cruz Gutiérrez, L.; Negri, M.E.; Vilar González, E.; Córdova Peralta, J.C.; Mora Fernández, M.I.; Vilá y Rico, J.E. External Hemipelvectomy in Soft Tissue Sarcomas: Are They Still Needed? Cancers 2024, 16, 3828. https://doi.org/10.3390/cancers16223828
Ramos Pascua LR, Casas Ramos P, De la Cruz Gutiérrez L, Negri ME, Vilar González E, Córdova Peralta JC, Mora Fernández MI, Vilá y Rico JE. External Hemipelvectomy in Soft Tissue Sarcomas: Are They Still Needed? Cancers. 2024; 16(22):3828. https://doi.org/10.3390/cancers16223828
Chicago/Turabian StyleRamos Pascua, Luis Rafael, Paula Casas Ramos, Lidia De la Cruz Gutiérrez, Maximiliano Eugenio Negri, Elena Vilar González, Julio César Córdova Peralta, María Inmaculada Mora Fernández, and Jesús Enrique Vilá y Rico. 2024. "External Hemipelvectomy in Soft Tissue Sarcomas: Are They Still Needed?" Cancers 16, no. 22: 3828. https://doi.org/10.3390/cancers16223828
APA StyleRamos Pascua, L. R., Casas Ramos, P., De la Cruz Gutiérrez, L., Negri, M. E., Vilar González, E., Córdova Peralta, J. C., Mora Fernández, M. I., & Vilá y Rico, J. E. (2024). External Hemipelvectomy in Soft Tissue Sarcomas: Are They Still Needed? Cancers, 16(22), 3828. https://doi.org/10.3390/cancers16223828

