Sign in to use this feature.

Years

Between: -

Subjects

remove_circle_outline
remove_circle_outline
remove_circle_outline
remove_circle_outline
remove_circle_outline
remove_circle_outline
remove_circle_outline
remove_circle_outline
remove_circle_outline

Journals

remove_circle_outline
remove_circle_outline
remove_circle_outline
remove_circle_outline
remove_circle_outline
remove_circle_outline
remove_circle_outline
remove_circle_outline
remove_circle_outline

Article Types

Countries / Regions

remove_circle_outline
remove_circle_outline
remove_circle_outline

Search Results (938)

Search Parameters:
Keywords = soft tissue sarcoma

Order results
Result details
Results per page
Select all
Export citation of selected articles as:
10 pages, 940 KB  
Article
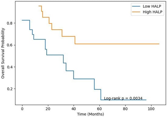
Preoperative HALP Score as a Marker of Tumor Aggressiveness and Survival in Surgically Treated Soft Tissue Sarcoma: A Retrospective Cohort Study
by Hüseyin Pülat, Oğuzhan Söyler, Ünal Öner, Deniz Öztaşan, Cüneyt Akyüz and Cemil Yüksel
J. Clin. Med. 2026, 15(8), 3044; https://doi.org/10.3390/jcm15083044 - 16 Apr 2026
Viewed by 2
Abstract
Objectives: Soft tissue sarcomas (STS) are biologically heterogeneous malignancies with unpredictable clinical behavior. Although tumor size, histological grade, and surgical margin status remain the main determinants of prognosis, additional biomarkers that integrate tumor biology and host-related factors are needed. The hemoglobin × albumin [...] Read more.
Objectives: Soft tissue sarcomas (STS) are biologically heterogeneous malignancies with unpredictable clinical behavior. Although tumor size, histological grade, and surgical margin status remain the main determinants of prognosis, additional biomarkers that integrate tumor biology and host-related factors are needed. The hemoglobin × albumin × lymphocyte/platelet (HALP) score reflects systemic inflammation and nutritional status. This study aimed to evaluate the association between preoperative HALP score and oncological as well as surgical outcomes in patients undergoing curative resection for STS. Materials and Methods: A retrospective cohort study was conducted including 46 consecutive patients who underwent surgery for STS between 2017 and 2025. HALP scores were calculated using preoperative laboratory parameters, and patients were stratified into low- and high-HALP groups according to the cohort median (24.9). Overall survival (OAS) and disease-free survival (DFS) were analyzed using the Kaplan–Meier method and Cox proportional hazards models. Surgical margin status and postoperative complications were also compared. Results: Patients with low HALP scores had significantly larger tumors, higher rates of non-R0 resection, and increased major complications (p < 0.05). Recurrence and mortality were more frequent in the low-HALP group. Kaplan–Meier analysis demonstrated significantly shorter OAS (log-rank p = 0.0034) and DFS (log-rank p = 0.0318) in patients with low HALP scores. In univariate Cox analysis, HALP was significantly associated with survival outcomes; however, in multivariate analysis, histological grade and surgical margin status remained independent prognostic factors, while HALP lost independent significance. Conclusions: A low preoperative HALP score is associated with aggressive tumor characteristics, increased surgical morbidity, and poorer survival in STS patients. Although HALP did not retain independent significance in multivariable analysis, its strong association with tumor aggressiveness and survival suggests that it may reflect the systemic manifestation of high-risk tumor biology. As a simple and cost-effective biomarker derived from routine laboratory parameters, HALP may support preoperative risk stratification and help identify patients with biologically aggressive disease. Full article
(This article belongs to the Section Oncology)
Show Figures

Figure 1

14 pages, 708 KB  
Article
Preoperative (Neoadjuvant) Combined Chemoradiotherapy in the Management of Localized Soft Tissue Sarcoma: A Retrospective Study
by Brittany L. Siontis, Georgios M. Stergiopoulos, Judith Jebastin Thangaiah, Thanh P. Ho, Safia K. Ahmed, Travis E. Grotz, Matthew T. Houdek, Andrew L. Folpe, Scott H. Okuno and Steven I. Robinson
Cancers 2026, 18(8), 1260; https://doi.org/10.3390/cancers18081260 - 16 Apr 2026
Viewed by 46
Abstract
Background: Localized soft tissue sarcoma (STS) is primarily treated with surgical resection with or without radiotherapy (RT), while the role of chemotherapy (CT) as a radiosensitizer remains unclear. We report our single-institution experience with combined chemoradiotherapy (CCRT) in treating localized STS. Methods: We [...] Read more.
Background: Localized soft tissue sarcoma (STS) is primarily treated with surgical resection with or without radiotherapy (RT), while the role of chemotherapy (CT) as a radiosensitizer remains unclear. We report our single-institution experience with combined chemoradiotherapy (CCRT) in treating localized STS. Methods: We conducted a retrospective analysis of patients with localized STS treated at Mayo Clinic with mitomycin, cisplatin, and doxorubicin (MitoAP) concurrently with RT between 1/1/85 and 12/12/19. Results: We identified 179 patients (median age 58 years; median tumor size 9.5 cm), with 83.8% of tumors located in the extremities or trunk. Among them, 77.1% received perioperative CT in addition to CCRT, with 95% of those treated in the neoadjuvant setting. Median RT dose was 50 Gray. The 5-year disease-specific survival (DSS) was 77.9% (95% confidence interval, CI: 70.8–83.4%). The addition of perioperative CT to CCRT was associated with improved DSS compared with CCRT alone (p = 0.01, Hazard Ratio, HR: 0.48, 95% CI: 0.27–0.85). Median post-CCRT tumor viability was 30% and did not differ by CT use (p = 0.39), but varied significantly by histology (p < 0.001). Conclusions: Our institutional protocol utilizing two cycles of MitoAP with RT was well tolerated. DSS in our cohort was similar to historical data using perioperative RT alone, suggesting no clear benefit from CCRT. However, the majority of patients in our cohort were classified as high risk, which may have attenuated a potential survival benefit in the absence of appropriate comparative controls. Furthermore, additional perioperative CT to CCRT was associated with improved DSS and differential histology-specific responses in tumor viability, suggesting that a more aggressive neoadjuvant and perioperative approach may be beneficial in selected patients. Full article
(This article belongs to the Section Cancer Therapy)
Show Figures

Figure 1

13 pages, 5873 KB  
Review
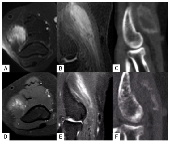
Revisiting Myositis Ossificans: A Comprehensive Stage-by-Stage Imaging Review
by Consolato Gullì, Giuseppe Ferrara, Emanuele Ferravante, Roberto Calbi, Mario Di Diego, Davide Parisi, Daniele Perla, Tommaso Villa and Luigi Natale
Muscles 2026, 5(2), 27; https://doi.org/10.3390/muscles5020027 - 14 Apr 2026
Viewed by 193
Abstract
Myositis ossificans (MO) is a benign, self-limiting heterotopic ossification process that typically develops within soft tissues following trauma, although non-traumatic forms have also been described. Despite its benign nature, MO frequently represents a diagnostic challenge, particularly in its early stages when imaging findings [...] Read more.
Myositis ossificans (MO) is a benign, self-limiting heterotopic ossification process that typically develops within soft tissues following trauma, although non-traumatic forms have also been described. Despite its benign nature, MO frequently represents a diagnostic challenge, particularly in its early stages when imaging findings may mimic aggressive soft-tissue tumors, leading to unnecessary biopsies or surgical interventions. This narrative review provides an updated overview of the classification, pathophysiology, and imaging features of myositis ossificans, with a specific focus on the time-dependent evolution of radiologic appearances across different imaging modalities. Radiologic findings are discussed according to disease stage, highlighting key diagnostic clues such as the zonal phenomenon and peripheral maturation pattern. In addition, the main entities included in the differential diagnosis are reviewed, with particular emphasis on imaging features that help distinguish myositis ossificans from soft-tissue sarcomas and other calcified or ossified lesions. Finally, current management strategies and the role of imaging in patient follow-up are summarized. A thorough understanding of the evolving imaging spectrum of myositis ossificans is essential for radiologists and clinicians to achieve an accurate diagnosis, guide appropriate management, and avoid overtreatment. Full article
Show Figures

Figure 1

25 pages, 3912 KB  
Article
Mesenchymal Tissue-Driven Gene Programs Identify EMP3 as a Key Biomarker of Aggressiveness in Undifferentiated Sarcomas
by Eun-Young Lee, Ahyoung Cho, Seog Yun Park, June Hyuk Kim, Hyun Guy Kang, Jong Woong Park, Jae Hyang Lim, Joonha Kwon and Hye Jin You
Int. J. Mol. Sci. 2026, 27(7), 3309; https://doi.org/10.3390/ijms27073309 - 6 Apr 2026
Viewed by 405
Abstract
Undifferentiated sarcomas (USs), including undifferentiated pleomorphic sarcoma (UPS), are aggressive mesenchymal malignancies with limited molecular biomarkers for prognostic assessment and therapeutic stratification. Expression-based markers may provide insight into tumor aggressiveness and clinical outcomes. Here, we performed integrative transcriptomic and spatial analyses to identify [...] Read more.
Undifferentiated sarcomas (USs), including undifferentiated pleomorphic sarcoma (UPS), are aggressive mesenchymal malignancies with limited molecular biomarkers for prognostic assessment and therapeutic stratification. Expression-based markers may provide insight into tumor aggressiveness and clinical outcomes. Here, we performed integrative transcriptomic and spatial analyses to identify differentially expressed genes (DEGs). By comparing normal tissues with sarcoma tumors and sarcoma tumors with cell lines. Intersection and clustering analyses were conducted to define shared expression programs, which revealed a subset of DEGs enriched in epithelial-mesenchymal transition (EMT)-related pathways. CosMx spatial transcriptomics was applied to xenograft tumors derived from two UPS cell lines to resolve tumor-intrinsic signatures. The National Cancer Center Cohort samples were used for validation, and immunohistochemistry confirmed the expression in thirty US tissues. Spatial transcriptomic profiling identified mesenchymal tissue–driven gene expression programs in UPS xenografts. Across bulk RNA-seq and spatial data, epithelial membrane protein 3 (EMP3) consistently emerged as highly expressed in US tissues and cell lines. EMP3 is a robust mesenchymal-associated biomarker linked to EMT, tumor progression, and clinical outcomes in USs, supporting its potential utility as a prognostic indicator and therapeutic target. Full article
(This article belongs to the Special Issue Sarcomas: From Molecular Insights to Personalized Therapies)
Show Figures

Figure 1

15 pages, 569 KB  
Article
Knowledge, Awareness, and Attitudes Toward Bone and Soft Tissue Sarcomas Among the General Population in Saudi Arabia: A Cross-Sectional Study
by Motaz Alaqeel, Omar A. Aldosari, Abdulrahman Alaseem, Waleed Albishi, Mohammed N. Alhuqbani, Zyad A. Aldosari, Badr Alshehri, Naif Alsaber, Nawaf M. Alwagdani and Ibrahim S. Alshaygy
Curr. Oncol. 2026, 33(4), 189; https://doi.org/10.3390/curroncol33040189 - 30 Mar 2026
Viewed by 248
Abstract
Background: Bone and soft tissue sarcomas, while rare, making up less than 2% of adult cancers with an incidence below 5 per 100,000 annually, present a significant challenge due to their varied and often obscure pathology. Additionally, the absence of global sarcoma awareness [...] Read more.
Background: Bone and soft tissue sarcomas, while rare, making up less than 2% of adult cancers with an incidence below 5 per 100,000 annually, present a significant challenge due to their varied and often obscure pathology. Additionally, the absence of global sarcoma awareness contributes to delayed interventions, necessitating more-aggressive treatments and increasing mortality risks. Conversely, cancers such as breast and colon have seen improved outcomes through effective screening and early-management strategies. Methods: In this cross-sectional study, out of the total number of participants approached, using a preset questionnaire, by trained medical students to participate in this study, 626 met the inclusion criteria. The questionnaire started with an informed consent process followed by a set of questions regarding sociodemographic characteristics and lifestyle. Subsequently, the questionnaire delved into their understanding and awareness of bone and soft tissue sarcomas, focusing on risk factors, recognizable signs and symptoms, and tendencies regarding health-seeking behavior. Results: In this study with 626 participants, demographic insights showed a young cohort, with 43.5% between 21 and 30 years, and a male predominance of 60.1%. Risk factor awareness was moderate; genetics and smoking were recognized as primary risks for sarcomas. Participants showed limited awareness of sarcoma signs, symptoms, and management, with a substantial percentage unsure about the most at-risk age group, gender differences in risk, and recognizability of symptoms. Barriers to seeking medical care included a passive attitude towards healthcare, fear, and accessibility issues. Most participants had limited knowledge of sarcomas, with 58% unaware of risk factors and 72.3% of signs and symptoms. Conclusions: This study emphasizes the necessity for targeted interventions to bridge the knowledge gap and promote early detection practices, which could significantly impact the prognosis of sarcoma patients. Full article
(This article belongs to the Section Bone and Soft Tissue Oncology)
Show Figures

Figure 1

20 pages, 935 KB  
Article
The Health-Related Quality of Life of German Desmoid Patients: Results from the PROSa-DES and PROSa Study
by Martin Eichler, Rebekka Hoffmann, Christina Baumgarten, Jens Jakob, Bernd Kasper, Stephan Richter, Daniel Pink, Robert Grützmann, Jochen Schmitt, Markus K. Schuler and Peter Hohenberger
Cancers 2026, 18(6), 1046; https://doi.org/10.3390/cancers18061046 - 23 Mar 2026
Viewed by 557
Abstract
Desmoid-type fibromatosis (DT) is a rare, locally aggressive soft tissue tumor with a frequently chronic course and substantial impact on health-related quality of life (HRQoL). While international studies have demonstrated considerable symptom burden and psychosocial impairment, data from Germany are lacking. This study [...] Read more.
Desmoid-type fibromatosis (DT) is a rare, locally aggressive soft tissue tumor with a frequently chronic course and substantial impact on health-related quality of life (HRQoL). While international studies have demonstrated considerable symptom burden and psychosocial impairment, data from Germany are lacking. This study aimed to assess HRQoL in German patients and to identify factors associated with HRQoL. In this cross-sectional analysis, adult patients with histologically confirmed DT completed the EORTC QLQ-C30 and the disease-specific Desmoid-Type Fibromatosis Quality of Life Questionnaire (DTF-QoL). HRQoL scores were compared with reference data from the German general population, German sarcoma patients, and international DT cohorts. Sociodemographic, disease-, tumor-, and treatment-related factors associated with HRQoL were examined using multivariate linear regression analyses. A total of 155 patients were included (69.7% female; mean age 45.0 years). Compared with the German general population, DT patients reported clinically relevant impairments in role, social, and emotional functioning and higher symptom burden, particularly pain, fatigue, and insomnia. Compared with sarcoma patients, DT patients showed better physical, role, and social functioning, while emotional functioning and symptom burden were largely comparable. German DT patients reported consistently worse HRQoL than Dutch/UK cohorts and moderately worse outcomes than Indian cohorts. Female gender, unemployment or disability pension, intensive multimodal treatment, multiple lines of systemic therapy, and tumor location in the lower extremities were independently associated with poorer HRQoL. DT is associated with sustained and clinically meaningful HRQoL impairment. HRQoL is driven primarily by psychosocial and treatment-related factors rather than disease duration, supporting the concept of DT as a chronic condition requiring long-term, multidisciplinary supportive care. Full article
(This article belongs to the Section Cancer Survivorship and Quality of Life)
Show Figures

Figure 1

9 pages, 2926 KB  
Case Report
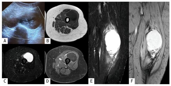
Rare Myxoid Liposarcoma of the Thigh: A Case Report
by Natalia Correa, Maya Kumar, Jessica Gonzalez, Lynell Martinez, Ashli Alexander, Karen Manzur and Francisco Bermudez
Dermato 2026, 6(1), 10; https://doi.org/10.3390/dermato6010010 - 23 Mar 2026
Viewed by 293
Abstract
Introduction: Myxoid liposarcoma (MLPS) is a rare soft tissue sarcoma comprising 5–10% of adult cases, most often in the thigh. Diagnosis is challenging due to nonspecific imaging findings and resemblance to benign lesions. Case Report: A 42-year-old male presented with a [...] Read more.
Introduction: Myxoid liposarcoma (MLPS) is a rare soft tissue sarcoma comprising 5–10% of adult cases, most often in the thigh. Diagnosis is challenging due to nonspecific imaging findings and resemblance to benign lesions. Case Report: A 42-year-old male presented with a painless, enlarging upper right medial thigh mass. CT and ultrasound suggested a complex solid lesion, possibly benign. Outpatient surgical excision revealed a red, gelatinous, non-encapsulated mass. Frozen section suggested a myxomatous spindle cell tumor. Final pathology confirmed MLPS FNCLCC grade 2 (intermediate grade) with DDIT3 rearrangement on fluorescence in situ hybridization (FISH). Margins were negative but close. Postoperative PET scan and Signatera MRD assay were negative for metastasis. Given the tumor’s size (>10 cm) and known radiosensitivity, adjuvant radiotherapy (60–66 Gy) was initiated. Discussion: MLPS features myxoid stroma, plexiform vasculature, and, in high-grade tumors, a round cell component. The FUS::DDIT3 fusion gene is diagnostic. While MRI offers superior soft tissue characterization, definitive diagnosis requires pathology and molecular testing. Surgical excision with negative margins remains standard, with radiotherapy recommended for large tumors or close margins to reduce recurrence. This case highlights the limitations of preoperative imaging and the value of intraoperative pathology in guiding management. Conclusions: Early recognition, accurate diagnosis, and tailored multimodal treatment are essential for MLPS. Given the potential for recurrence, late extrapulmonary metastases, long-term surveillance with imaging, and molecular assays are critical for optimizing outcomes. Full article
(This article belongs to the Special Issue What Is Your Diagnosis?—Case Report Collection)
Show Figures

Figure 1

11 pages, 1926 KB  
Article
The Role of Race and Ethnicity on Time to Treatment in Orthopaedic Oncology
by Melissa Romoff, Michael S. Kim, Madison Brunette, Mitchell S. Fourman, Russell Stitzlein and Amanda N. Goldin
Cancers 2026, 18(6), 1006; https://doi.org/10.3390/cancers18061006 - 20 Mar 2026
Viewed by 375
Abstract
Background: Timely treatment is critical for patients with bone and soft tissue tumors, but access to care may not be equitable across all populations. While treatment delays have been well studied in other cancers, disparities in time to treatment remain underexplored in orthopaedic [...] Read more.
Background: Timely treatment is critical for patients with bone and soft tissue tumors, but access to care may not be equitable across all populations. While treatment delays have been well studied in other cancers, disparities in time to treatment remain underexplored in orthopaedic oncology. This study aimed to determine whether racial or ethnic disparities exist in the timing of surgery, chemotherapy, or radiation for patients with sarcoma or metastatic bone disease. Methods: A retrospective cohort study was conducted using the TriNetX US Collaborative Network, a multi-institutional electronic health record database. Adult patients undergoing biopsy and subsequently diagnosed with bone sarcoma, soft tissue sarcoma, or metastatic bone disease were identified. Time to treatment was defined as the number of days between biopsy and the first recorded surgery, chemotherapy, or radiation. Patients were stratified by race and ethnicity, and statistical comparisons were performed using Mann–Whitney U tests and t-tests. Results: A total of 63,087 patients met inclusion criteria (55,697 with metastatic bone disease/bone sarcoma and 7390 with soft tissue sarcoma). In the metastatic/bone sarcoma cohort, Hispanic patients had shorter mean time to resection (58 ± 94 vs. 82 ± 239 days, p = 0.008) and fixation (35 ± 142 vs. 72 ± 315 days, p < 0.001) compared to non-Hispanic patients, although median times did not differ significantly. Among black patients, time to fixation was shorter than in White patients (mean 22 ± 103 vs. 114 ± 468 days, p < 0.001; median 0 days in both groups), while delays were observed in time to radiation (median 13 vs. 7 days; mean 85 ± 284 vs. 43 ± 203 days, p < 0.001). In the soft tissue sarcoma cohort, Black patients experienced longer mean times to resection (142 ± 293 vs. 79 ± 216 days) and radiation (141 ± 514 vs. 96 ± 364 days), though comparisons were limited by sample size. Conclusions: This large, multi-institutional study demonstrates that disparities in orthopaedic oncology differ by treatment modality and clinical context. Shorter wait times to surgery among Hispanic and Black patients in metastatic disease likely reflect more advanced disease presentation and barriers to early access, whereas delays in resection and radiation highlight inequities in accessing non-emergent, coordinated oncologic care. Reporting both means and medians provides a more complex understanding of treatment delays and underscores the need for interventions that expand early access to orthopaedic oncologists and ensure timely, equitable care. Full article
(This article belongs to the Special Issue Socio-Demographic Factors and Cancer Research: 2nd Edition)
Show Figures

Figure 1

20 pages, 999 KB  
Review
Emerging Genomic and Immunological Correlates Defining Oligometastatic Trajectories in Intermediate/High-Grade Soft-Tissue Sarcomas
by Alessandro Ottaiano, Francesco Sabbatino, Carmine Picone, Nadia Di Carluccio, Igino Simonetti, Annabella Di Mauro and Salvatore Tafuto
Genes 2026, 17(3), 323; https://doi.org/10.3390/genes17030323 - 16 Mar 2026
Viewed by 425
Abstract
Soft-tissue sarcomas (STSs) comprise a rare, heterogeneous group of mesenchymal malignancies in which histologic grade remains the strongest determinant of outcome, metastatic risk, and therapeutic strategy. Intermediate/high-grade STSs exhibit a pronounced propensity for early distant relapse, yet growing evidence indicates that metastatic behaviour [...] Read more.
Soft-tissue sarcomas (STSs) comprise a rare, heterogeneous group of mesenchymal malignancies in which histologic grade remains the strongest determinant of outcome, metastatic risk, and therapeutic strategy. Intermediate/high-grade STSs exhibit a pronounced propensity for early distant relapse, yet growing evidence indicates that metastatic behaviour is not uniform. Within this spectrum, an oligometastatic phenotype, characterised by a limited number of metastases, often confined to the lung, has emerged as a clinically and biologically distinct state associated with more indolent metastatic kinetics and improved survival when treated with aggressive local interventions. However, the criteria that define true oligometastatic STSs remain unsettled, and prospective evidence is lacking. Emerging molecular and immunological correlates provide a potential framework for biological triage. Low genomic complexity (low-risk CINSARC), a B-cell/TLS-rich tumour microenvironment, high immune-cytotoxic signatures, and persistently low or undetectable circulating tumour DNA (ctDNA) are each linked to reduced metastatic competence and may underpin oligometastatic trajectories. Conversely, high chromosomal instability, immunosuppressive microenvironments, and elevated ctDNA levels align with covertly polymetastatic biology despite limited radiographic disease. In this context, artificial intelligence and machinelearning approaches applied to computational genomics, immune profiling, imaging, and liquid-biopsy data offer a powerful strategy to integrate these multi-dimensional features and refine predictions of metastatic behaviour in STS. Oligometastatic STS therefore represents a biologically definable subset amenable to multimodal management integrating local ablative therapies, systemic agents, and immune-based strategies. Prospective, biomarker-stratified trials are needed to validate selection frameworks and optimise treatment sequencing in this evolving therapeutic space. Full article
(This article belongs to the Special Issue Computational Genomics and Bioinformatics of Cancer)
Show Figures

Figure 1

12 pages, 897 KB  
Article
Molecular Characterization of Soft Tissue Sarcomas Using RNA-Based Next-Generation Sequencing
by Bogdan Serban, Adrian Cursaru, Sergiu Iordache, Bogdan Cretu, Mihai Nica, Georgian Iacobescu, Mihnea Popa, Eugen Radu, Madalina Cirnu and Catalin Cirstoiu
Int. J. Mol. Sci. 2026, 27(6), 2699; https://doi.org/10.3390/ijms27062699 - 16 Mar 2026
Viewed by 365
Abstract
Soft tissue sarcomas are rare malignant mesenchymal tumors for which accurate diagnosis, prognostic stratification, and therapeutic decision-making remain challenging. Although histopathology and immunohistochemistry are essential diagnostic tools, they frequently fail to capture the molecular complexity underlying tumor aggressiveness and treatment resistance. In this [...] Read more.
Soft tissue sarcomas are rare malignant mesenchymal tumors for which accurate diagnosis, prognostic stratification, and therapeutic decision-making remain challenging. Although histopathology and immunohistochemistry are essential diagnostic tools, they frequently fail to capture the molecular complexity underlying tumor aggressiveness and treatment resistance. In this study, we evaluated the utility of RNA-based next-generation sequencing for the molecular characterization of STS and for elucidating transcriptomic mechanisms associated with aggressive tumor behavior. An observational cohort of 24 patients with histologically confirmed soft tissue sarcomas was analyzed, using adipose and skeletal muscle tissue as controls. RNA was extracted from tumor samples, libraries were prepared with a targeted pan-cancer panel, and sequencing was performed on the Illumina platform, followed by bioinformatic analysis using DRAGEN pipelines and DESeq2. RNA-NGS identified a predominance of single-nucleotide polymorphisms and significant differential gene expression, with overexpression of proliferation-related genes (TOP2A, MKI67, BUB1B), extracellular matrix and microenvironment-associated genes (COL11A1, SPP1), and developmental regulators (HOXD13, MELK). Subgroup analysis revealed a distinct transcriptomic profile in leiomyosarcoma, while gene fusion analysis detected clinically relevant alterations. These findings demonstrate that RNA-NGS provides biologically and clinically meaningful insights into the molecular landscape of soft tissue sarcomas and supports its integration into precision medicine-oriented diagnostic workflows. Full article
(This article belongs to the Special Issue New Insights in Translational Bioinformatics: Second Edition)
Show Figures

Figure 1

16 pages, 1273 KB  
Article
Tumor Size Modifies the Survival Benefit of Chemotherapy in Localized Soft Tissue Sarcomas: A Propensity-Matched Cohort Study
by Kole Joachim, Brandon Gettleman, Michael Fice, Adrian Lin, Christopher David Hamad, Othneil Sparks, Ezekiel Dingle, Casey Abernethy, Nicholas M. Bernthal and Alexander B. Christ
J. Clin. Med. 2026, 15(6), 2253; https://doi.org/10.3390/jcm15062253 - 16 Mar 2026
Viewed by 347
Abstract
Background/Introduction: Soft tissue sarcomas (STS) represent a diverse group of rare cancers that have variable responses to chemotherapy. Although tumor size is an established prognostic factor, its influence on the benefit of chemotherapy within specific histologies is not well understood. Methods: We conducted [...] Read more.
Background/Introduction: Soft tissue sarcomas (STS) represent a diverse group of rare cancers that have variable responses to chemotherapy. Although tumor size is an established prognostic factor, its influence on the benefit of chemotherapy within specific histologies is not well understood. Methods: We conducted a retrospective analysis of 3890 patients with five STS subtypes using SEER data from 2000 to 2021. Patients were stratified by tumor size (<5 cm, 5–10 cm, >10 cm) and propensity score matched within each subtype-size cohort to control for confounders. Cox regression assessed the impact of chemotherapy on overall survival, with results presented as hazard ratios (HR) and 95% confidence intervals (95%-CI). Inverse probability of treatment weighting (IPTW) was used to improve selection bias. Results: Chemotherapy use in UPS demonstrated worse survival in smaller tumors <5 cm (HR = 2.65, 95%-CI = 1.19–5.92, p = 0.018) and 5–10 cm tumors (HR = 1.45, 95%-CI = 1.03–2.04, p = 0.031). In larger UPS tumors (>10 cm), a directionally protective association observed in matched analysis attenuated after inverse probability of treatment weighting (IPTW) (HR = 0.82, 95%-CI = 0.60–1.12, p = 0.211). Fibromyxosarcoma 5–10 cm tumors demonstrated worse survival with chemotherapy (matched HR = 3.74, 95%-CI = 2.30–6.10, p < 0.001), which remained consistent after IPTW (HR = 4.47, 95%-CI = 2.63–7.60, p < 0.001), along with >10 cm tumors (IPTW HR = 2.16, 95%-CI = 1.07–4.34, p = 0.031). DDLPS >10 cm tumors demonstrated a directionally harmful association (HR = 1.49, 95%-CI = 0.96–2.29, p = 0.073). Synovial sarcoma 5–10 cm tumors demonstrated a directionally protective trend that remained statistically non-significant across analyses. Conclusions: The effect of chemotherapy on survival in localized STS depends on both histologic subtype and tumor size. However, subgroup estimates with confidence intervals approaching 1.0 should be interpreted cautiously. Full article
(This article belongs to the Section Oncology)
Show Figures

Figure 1

16 pages, 640 KB  
Article
Radiomics in Advancing and Explainable Liposarcoma Classification with MR Imaging
by Raffaele Natella, Giulia Varriano, Maria Chiara Brunese, Giulia Pacella, Luca Brunese, Marcello Zappia and Antonella Santone
Appl. Sci. 2026, 16(6), 2719; https://doi.org/10.3390/app16062719 - 12 Mar 2026
Viewed by 257
Abstract
Background: Soft tissue sarcomas are rare and highly heterogeneous malignant tumors, often asymptomatic in the early stages. Accurate diagnosis and reliable assessment of the risk of metastasis, classified as low, intermediate, or high, are therefore essential for effective clinical decision-making. However, the application [...] Read more.
Background: Soft tissue sarcomas are rare and highly heterogeneous malignant tumors, often asymptomatic in the early stages. Accurate diagnosis and reliable assessment of the risk of metastasis, classified as low, intermediate, or high, are therefore essential for effective clinical decision-making. However, the application of Artificial Intelligence (AI) approaches to these diseases is often limited by the small size and quality of available datasets, which can compromise model robustness and reliability. Methods: The use of formal methods, based on mathematical modeling and logical verification, can be an alternative to AI techniques. When integrated with radiomics, formal methods provide a structured and interpretable approach to support disease diagnosis. Results: The proposed methodology yielded encouraging results, in line with those reported in the literature. A process was conducted to extract several first- and second-order radiomic classes, which were then selected based on their significance. The resulting models were evaluated using standard performance metrics and obtained 80% accuracy, 83% precision, and 83% recall. Conclusion: The transparency of formal methods improves the interpretability of models and radiomic features, allowing new links with clinical practice to be discovered. The proposed approach is presented as a feasibility and proof-of-concept framework aimed at improving interpretability. Given the very small cohort size, performance metrics should be considered preliminary and descriptive, as they require validation on larger external datasets before any clinical applicability can be claimed. Full article
(This article belongs to the Section Computing and Artificial Intelligence)
Show Figures

Figure 1

14 pages, 771 KB  
Article
Multidisciplinary Treatment of Inguinoscrotal Sarcomas: Analysis of 39 Cases Treated by Surgical Approach
by Roger Homs Samsó, Lorena Cambeiro Cabré, Sandra González Abós, Mireia Solans Solerdelcoll, Katarina Majercakova, Ana Sebio García, Isidre Gracia Alegria, Manuel Fernández Garrido, Antonio Moral Duarte and José Antonio González López
Cancers 2026, 18(5), 876; https://doi.org/10.3390/cancers18050876 - 9 Mar 2026
Viewed by 340
Abstract
Background: Inguinoscrotal sarcomas are a rare sarcoma subtype. The treatment of choice is radical inguinal orchiectomy with wide local resection of the surrounding soft tissues. However, consensus regarding prognostic factors is lacking. We present our experience at a referral sarcoma center concerning the [...] Read more.
Background: Inguinoscrotal sarcomas are a rare sarcoma subtype. The treatment of choice is radical inguinal orchiectomy with wide local resection of the surrounding soft tissues. However, consensus regarding prognostic factors is lacking. We present our experience at a referral sarcoma center concerning the management, oncologic results, and prognostic factors pertaining to this disease. Methods: We conducted a retrospective analysis of patients who underwent surgery for inguinoscrotal sarcomas between 2005 and 2023 at a sarcoma referral hospital. Results: The study included 39 patients. The most frequent histology was liposarcoma. Seven patients required surgical reconstruction with a microvascularized free flap. Four patients presented major postoperative complications. Mean follow-up was 46 months. Overall survival rates were 97.4%, 81.7%, and 64.8% at one, three, and five years. High-grade tumors were correlated with worse overall and disease-free survival. Conclusions: The chance finding of a sarcoma in the inguinal region poses a diagnostic and therapeutic dilemma when considering options for treatment with curative intent. Vascular and muscle resection followed by vascular and/or free flap reconstruction may be necessary to achieve complete surgical resections; therefore, a multidisciplinary approach is needed. A preoperative biopsy should be performed to establish the histological grade, which may be the main prognostic factor. Full article
(This article belongs to the Special Issue Advances in Soft Tissue and Bone Sarcoma (2nd Edition))
Show Figures

Figure 1

15 pages, 4859 KB  
Article
The Extracellular Matrix Regulates Invasion in Fusion-Negative Rhabdomyosarcoma via YAP–PIEZO1 Signaling Axis
by Yuanzhong Pan, Juha Kim, Brian M. Wong, Esteban Cobo Espuny and JinSeok Park
Cancers 2026, 18(5), 827; https://doi.org/10.3390/cancers18050827 - 4 Mar 2026
Viewed by 509
Abstract
Background: Fusion-negative rhabdomyosarcoma (FNRMS) represents the most prevalent subtype of rhabdomyosarcoma, the most common pediatric soft-tissue sarcoma. Although its invasion is a leading cause of recurrence and poor prognosis, its underlying mechanism remains unclear. We investigated how extracellular matrix density regulates FNRMS [...] Read more.
Background: Fusion-negative rhabdomyosarcoma (FNRMS) represents the most prevalent subtype of rhabdomyosarcoma, the most common pediatric soft-tissue sarcoma. Although its invasion is a leading cause of recurrence and poor prognosis, its underlying mechanism remains unclear. We investigated how extracellular matrix density regulates FNRMS progression via mechano-transduction. Methods: We used three-dimensional spheroid invasion assays with FNRMS cells embedded in varying collagen concentrations. Mechanistic insights were gained through immunofluorescence, sequencing reanalysis, calcium live-cell imaging, and pharmacological inhibition of the YAP–PIEZO1 axis. Results: High extracellular matrix density significantly enhanced invasive spreading, correlating with increased YAP nuclear localization. YAP overexpression was sufficient to promote invasive spreading, while its inhibition attenuated the matrix-enhanced phenotype. We identified PIEZO1 as a direct transcriptional target of YAP. High extracellular matrix density stimulated PIEZO1-dependent calcium influx, which was required for invasion. Furthermore, elevated PIEZO1 expression was significantly associated with poorer overall survival in FNRMS patients. Targeting YAP effectively suppressed both calcium flux and invasion. Conclusions: Our findings establish a YAP–PIEZO1 axis linking extracellular matrix density to FNRMS invasion. This mechanosensitive pathway represents a potential therapeutic vulnerability in aggressive FNRMS. Full article
(This article belongs to the Special Issue Recent Advances in the Molecular Genetics of Sarcomas)
Show Figures

Figure 1

14 pages, 623 KB  
Article
Prospective Analysis of Multidisciplinary (MDT)-Based Cross-Sectional Imaging to Predict the Histology of Soft Tissue Tumors (BACH-Trial)
by Katja Fechner, Henriette Golcher, Maximilian Brunner, Norbert Meidenbauer, Sabine Semrau, Michael Uder, Georg F. Weber, Axel Denz, Abbas Agaimy and Robert Grützmann
Cancers 2026, 18(5), 784; https://doi.org/10.3390/cancers18050784 - 28 Feb 2026
Viewed by 344
Abstract
Background: The necessity of a pre-therapeutic biopsy for soft tissue tumors is assessed differently depending on imaging. We examined the concordance of histopathological and radiological imaging-based diagnoses of soft tissue tumors in a monocentric, multidisciplinary sarcoma board. Methods: From October 2022 [...] Read more.
Background: The necessity of a pre-therapeutic biopsy for soft tissue tumors is assessed differently depending on imaging. We examined the concordance of histopathological and radiological imaging-based diagnoses of soft tissue tumors in a monocentric, multidisciplinary sarcoma board. Methods: From October 2022 to December 2024, we prospectively included 184 patients presenting with preoperative imaging but without prior histology who are presented at the multidisciplinary sarcoma board of the University Hospital of Erlangen. We evaluated tumor dignity (benign/malignant) and most probable tumor subtype based on cross-sectional imaging assisted by the demographic and anatomic characteristics of individual cases. This assessment was then compared with the final pathological results. Results: We classified 75 tumors as benign and 109 tumors as malignant. Of the 75 patients with a suspected benign tumor, 66 (88%) had a benign diagnosis confirmed by pathological assessment, while two (2.7%) had a malignant tumor and seven (9.3%) an intermediate biology tumor. Of the 109 patients with suspected malignant tumors, 69 (63.3%) had a malignant pathology, while 30 (27.5%) had a benign pathology, and 10 (9.2%) an intermediate tumor. Matching the multidisciplinary sarcoma board’s assessment with the pathological results revealed significant sensitivity and a negative predictive value for malignant tumors, as well as a significant positive predictive value and specificity for benign tumors. Conclusions: The study shows that, despite the high degree of predictability at an experienced sarcoma center, imaging cannot completely replace biopsies and caution should be exercised when deciding against a biopsy. It is emphasized that the decision not to perform a biopsy can only be made in cases where lipomatous tumors appear benign in imaging procedures, and only in an experienced center. Full article
(This article belongs to the Special Issue Advances in Primary and Secondary Bone and Soft Tissue Tumors)
Show Figures

Figure 1

Back to TopTop