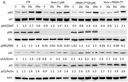
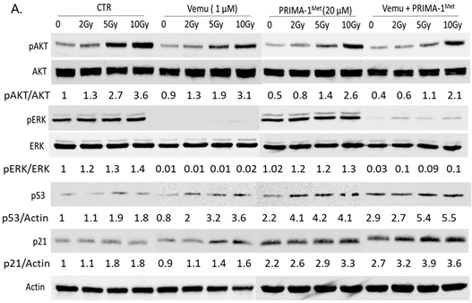
Correction: Krayem et al. The Benefit of Reactivating p53 under MAPK Inhibition on the Efficacy of Radiotherapy in Melanoma. Cancers 2019, 11, 1093

Reference
- Krayem, M.; Sabbah, M.; Najem, A.; Wouters, A.; Lardon, F.; Simon, S.; Sales, F.; Journe, F.; Awada, A.; Ghanem, G.E.; et al. The Benefit of Reactivating p53 under MAPK Inhibition on the Efficacy of Radiotherapy in Melanoma. Cancers 2019, 11, 1093. [Google Scholar] [CrossRef] [PubMed]
Disclaimer/Publisher’s Note: The statements, opinions and data contained in all publications are solely those of the individual author(s) and contributor(s) and not of MDPI and/or the editor(s). MDPI and/or the editor(s) disclaim responsibility for any injury to people or property resulting from any ideas, methods, instructions or products referred to in the content. |
© 2023 by the authors. Licensee MDPI, Basel, Switzerland. This article is an open access article distributed under the terms and conditions of the Creative Commons Attribution (CC BY) license (https://creativecommons.org/licenses/by/4.0/).
Share and Cite
Krayem, M.; Sabbah, M.; Najem, A.; Wouters, A.; Lardon, F.; Simon, S.; Sales, F.; Journe, F.; Awada, A.; Ghanem, G.E.; et al. Correction: Krayem et al. The Benefit of Reactivating p53 under MAPK Inhibition on the Efficacy of Radiotherapy in Melanoma. Cancers 2019, 11, 1093. Cancers 2023, 15, 5860. https://doi.org/10.3390/cancers15245860
Krayem M, Sabbah M, Najem A, Wouters A, Lardon F, Simon S, Sales F, Journe F, Awada A, Ghanem GE, et al. Correction: Krayem et al. The Benefit of Reactivating p53 under MAPK Inhibition on the Efficacy of Radiotherapy in Melanoma. Cancers 2019, 11, 1093. Cancers. 2023; 15(24):5860. https://doi.org/10.3390/cancers15245860
Chicago/Turabian StyleKrayem, Mohammad, Malak Sabbah, Ahmad Najem, An Wouters, Filip Lardon, Stephane Simon, François Sales, Fabrice Journe, Ahmad Awada, Ghanem E. Ghanem, and et al. 2023. "Correction: Krayem et al. The Benefit of Reactivating p53 under MAPK Inhibition on the Efficacy of Radiotherapy in Melanoma. Cancers 2019, 11, 1093" Cancers 15, no. 24: 5860. https://doi.org/10.3390/cancers15245860
APA StyleKrayem, M., Sabbah, M., Najem, A., Wouters, A., Lardon, F., Simon, S., Sales, F., Journe, F., Awada, A., Ghanem, G. E., & Van Gestel, D. (2023). Correction: Krayem et al. The Benefit of Reactivating p53 under MAPK Inhibition on the Efficacy of Radiotherapy in Melanoma. Cancers 2019, 11, 1093. Cancers, 15(24), 5860. https://doi.org/10.3390/cancers15245860

