Possibility of Using Conventional Computed Tomography Features and Histogram Texture Analysis Parameters as Imaging Biomarkers for Preoperative Prediction of High-Risk Gastrointestinal Stromal Tumors of the Stomach
Abstract
:Simple Summary
Abstract
1. Introduction
2. Materials and Methods
2.1. Patients
2.2. Abdominal CT Examination
2.3. Abdominal CT Scan Analysis
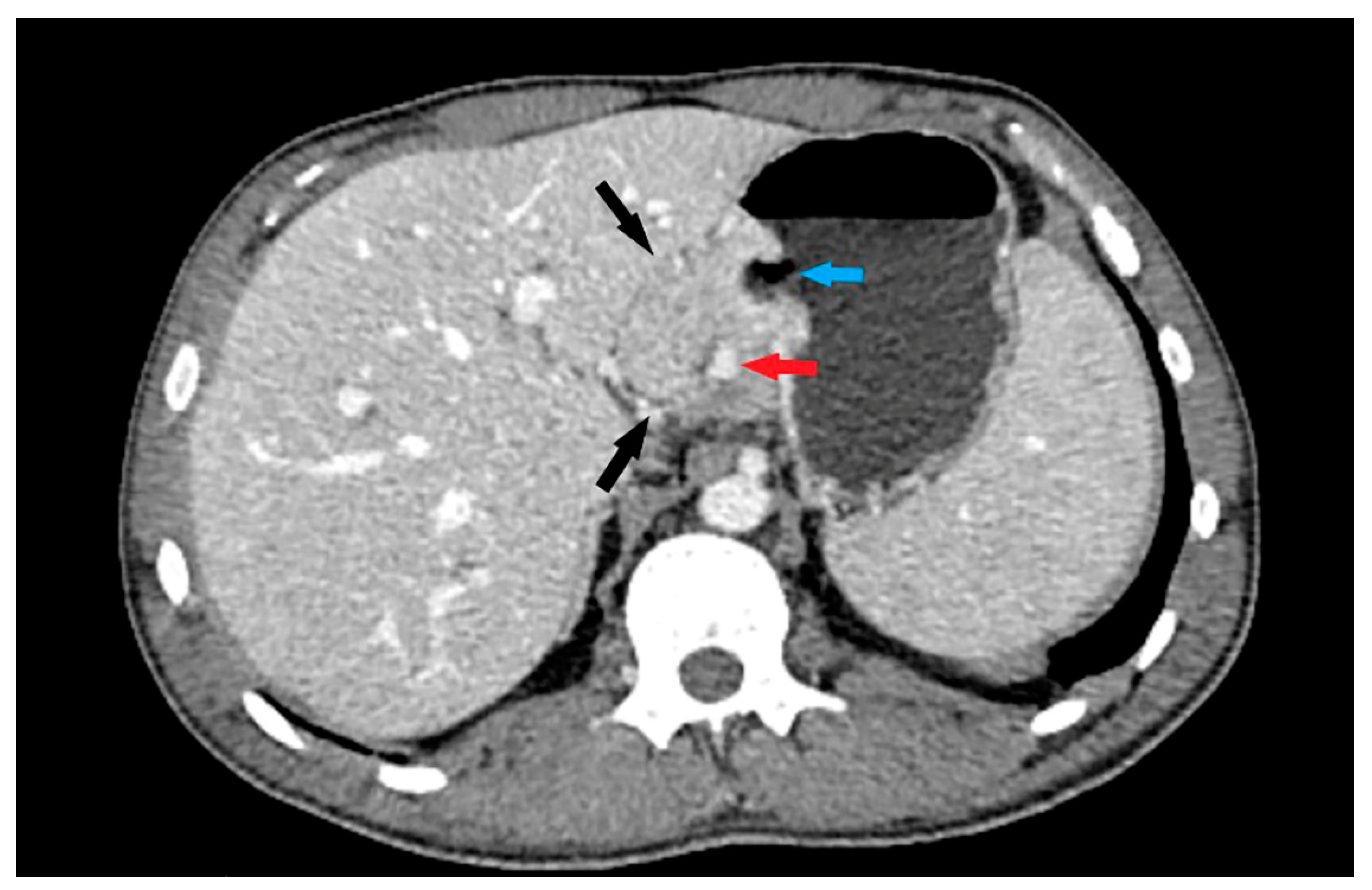
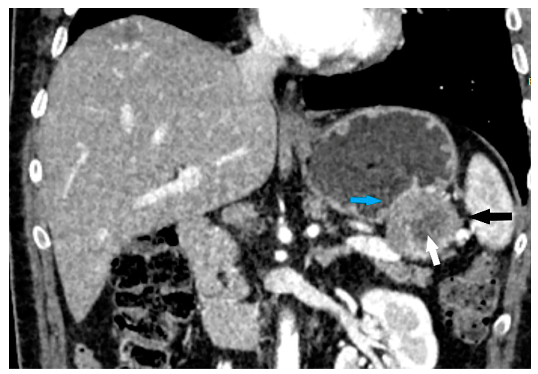
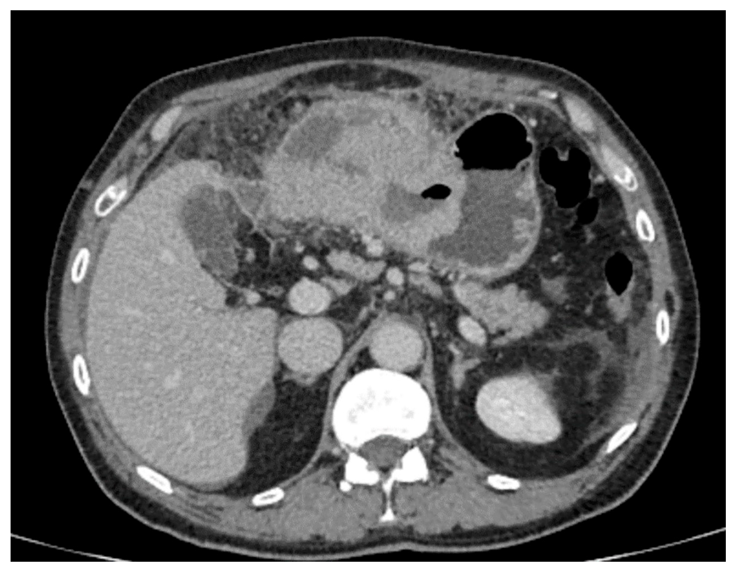
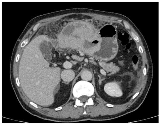
- Maximum diameter: the largest diameter of the tumor in mm (Figure 1);
- Tumor shape: regular or irregular (Figure 1);
- Growth mode: exophytic/mixed and endophytic (Figure 1);
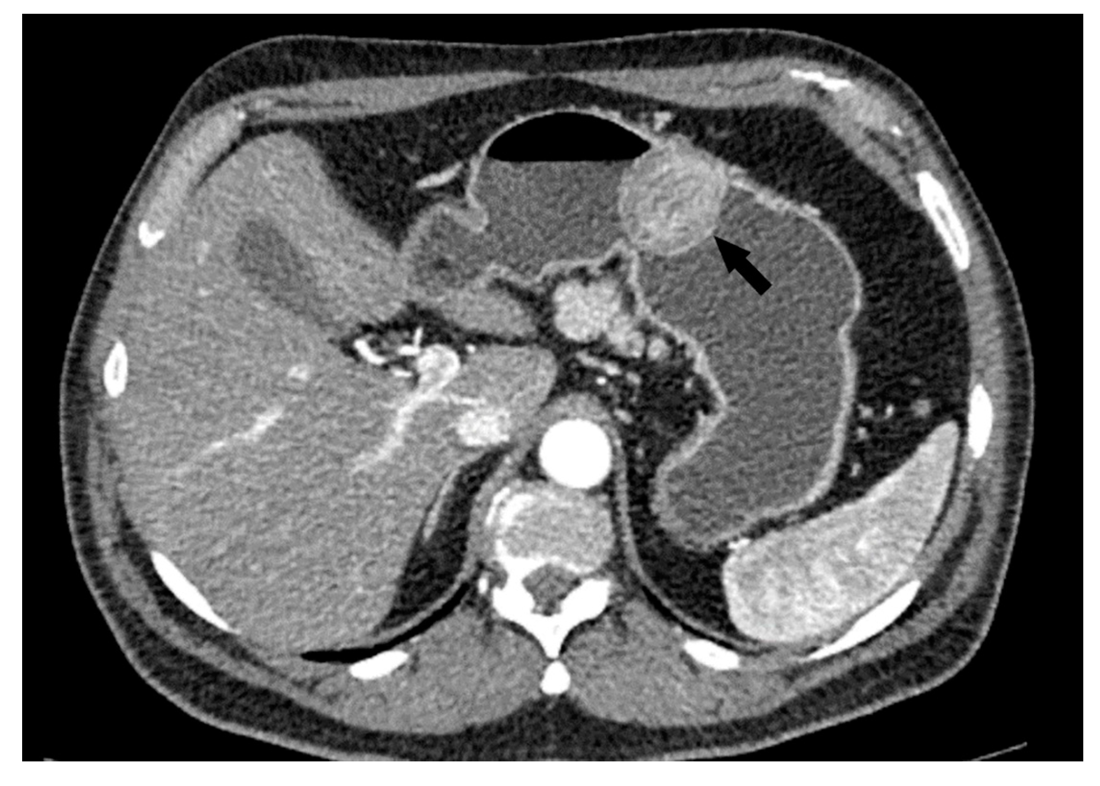
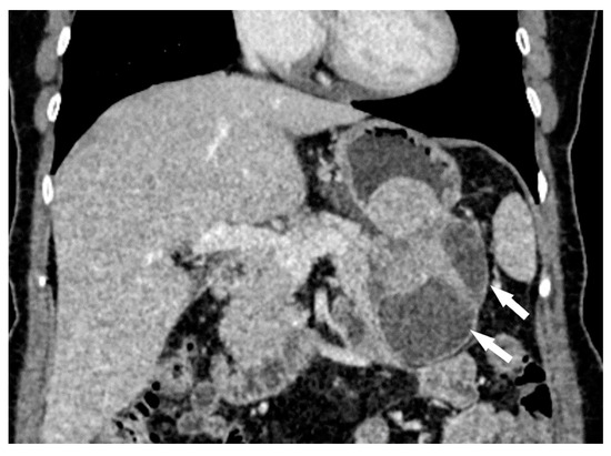
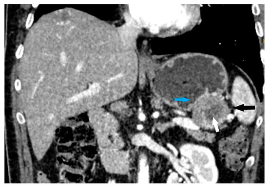
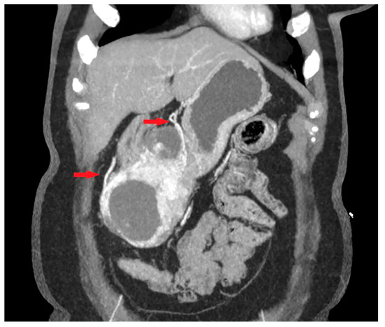
- The presence of visible enlarged vascular structures draining/feeding the tumor (EFDV “enlarged feeding or draining vessel”) (Figure 6);
2.4. CT Texture Analysis
2.5. Pathological Analysis and Risk Stratification of Gastric GISTs
2.6. Statistical Analysis
3. Results
3.1. Tumor Diameter in HR and LR Group
3.2. Classic CT Features in HR and LR Group
3.3. Histogram Parameters in HR and LR Group
3.4. Histogram Parameters in HR and LR Group
3.5. Univariate and Multivariate Predictive Models
4. Discussion
5. Conclusions
Author Contributions
Funding
Institutional Review Board Statement
Informed Consent Statement
Data Availability Statement
Conflicts of Interest
References
- Wang, Q.; Huang, Z.P.; Zhu, Y.; Fu, F.; Tian, L. Contribution of Interstitial Cells of Cajal to Gastrointestinal Stromal Tumor Risk. Med. Sci. Monit. 2021, 27, e929575. [Google Scholar] [CrossRef] [PubMed]
- Blay, J.-Y.; Kang, Y.-K.; Nishida, T.; von Mehren, M. Gastrointestinal stromal tumours. Nat. Rev. Dis. Primers 2021, 7, 22. [Google Scholar] [CrossRef] [PubMed]
- Casali, P.G.; Blay, J.Y.; Abecassis, N.; Bajpai, J.; Bauer, S.; Biagini, R.; Bielack, S.; Bonvalot, S.; Boukovinas, I.; Bovee, J.; et al. Gastrointestinal stromal tumours: ESMO-EURACAN-GENTURIS Clinical Practice Guidelines for diagnosis, treatment and follow-up. Ann. Oncol. 2022, 33, 20–33. [Google Scholar] [CrossRef]
- Nishida, T.; Goto, O.; Raut, C.P.; Yahagi, N. Diagnostic and treatment strategy for small gastrointestinal stromal tumors. Cancer 2016, 122, 3110–3118. [Google Scholar] [CrossRef] [PubMed]
- Nishida, T.; Hirota, S.; Yanagisawa, A.; Sugino, Y.; Minami, M.; Yamamura, Y.; Otani, Y.; Shimada, Y.; Takahashi, F.; Kubota, T.; et al. Clinical practice guidelines for gastrointestinal stromal tumor (GIST) in Japan: English version. Int. J. Clin. Oncol. 2008, 13, 416–430. [Google Scholar] [CrossRef] [PubMed]
- Sawaki, A.; Mizuno, N.; Takahashi, K.; Nakamura, T.; Tajika, M.; Kawai, H.; Isaka, T.; Imaoka, H.; Okamoto, Y.; Aoki, M.; et al. Long-Term Follow up of Patients with Small Gastrointestinal Stromal Tumors in the Stomach Using Endoscopic Ultrasonography-Guided Fine-Needle Aspiration Biopsy. Dig. Endosc. 2005, 18, 40–44. [Google Scholar] [CrossRef]
- von Mehren, M.; Randall, R.L.; Benjamin, R.S.; Boles, S.; Bui, M.M.; Ganjoo, K.N.; George, S.; Gonzalez, R.J.; Heslin, M.J.; Kane, J.M.; et al. Soft Tissue Sarcoma, Version 2.2018, NCCN Clinical Practice Guidelines in Oncology. J. Natl. Compr. Cancer Netw. 2018, 16, 536–563. [Google Scholar] [CrossRef] [PubMed]
- Rodrigues, J.; Campanati, R.G.; Nolasco, F.; Bernardes, A.M.; Sanches, S.R.A.; Savassi-Rocha, P.R. Pre-Operative Gastric Gist Downsizing: The Importance of Neoadjuvant Therapy. Arq. Bras. Cir. Dig. 2019, 32, e1427. [Google Scholar] [CrossRef]
- Ishikawa, T.; Kanda, T.; Kameyama, H.; Wakai, T. Neoadjuvant therapy for gastrointestinal stromal tumor. Transl. Gastroenterol. Hepatol 2018, 3, 3. [Google Scholar] [CrossRef]
- Miettinen, M.; Lasota, J. Gastrointestinal stromal tumors: Pathology and prognosis at different sites. Semin. Diagn. Pathol. 2006, 23, 70–83. [Google Scholar] [CrossRef]
- Fletcher, C.D.; Berman, J.J.; Corless, C.; Gorstein, F.; Lasota, J.; Longley, B.J.; Miettinen, M.; O’Leary, T.J.; Remotti, H.; Rubin, B.P.; et al. Diagnosis of gastrointestinal stromal tumors: A consensus approach. Hum. Pathol. 2002, 33, 459–465. [Google Scholar] [CrossRef] [PubMed]
- Demetri, G.D.; Benjamin, R.S.; Blanke, C.D.; Blay, J.Y.; Casali, P.; Choi, H.; Corless, C.L.; Debiec-Rychter, M.; DeMatteo, R.P.; Ettinger, D.S.; et al. NCCN Task Force report: Management of patients with gastrointestinal stromal tumor (GIST)--update of the NCCN clinical practice guidelines. J. Natl. Compr. Cancer Netw. 2007, 5 (Suppl. S2), S1–S29. [Google Scholar] [CrossRef]
- Tateishi, U.; Hasegawa, T.; Satake, M.; Moriyama, N. Gastrointestinal stromal tumor. Correlation of computed tomography findings with tumor grade and mortality. J. Comput. Assist. Tomogr. 2003, 27, 792–798. [Google Scholar] [CrossRef] [PubMed]
- Kim, H.C.; Lee, J.M.; Kim, K.W.; Park, S.H.; Kim, S.H.; Lee, J.Y.; Han, J.K.; Choi, B.I. Gastrointestinal stromal tumors of the stomach: CT findings and prediction of malignancy. AJR Am. J. Roentgenol. 2004, 183, 893–898. [Google Scholar] [CrossRef] [PubMed]
- Grazzini, G.; Guerri, S.; Cozzi, D.; Danti, G.; Gasperoni, S.; Pradella, S.; Miele, V. Gastrointestinal stromal tumors: Relationship between preoperative CT features and pathologic risk stratification. Tumori J. 2021, 107, 556–563. [Google Scholar] [CrossRef] [PubMed]
- Choi, H.; Charnsangavej, C.; Faria, S.C.; Macapinlac, H.; Burgess, M.A.; Patel, S.R.; Chen, L.L.; Podoloff, D.A.; Benjamin, R.S. Correlation of computed tomography and positron emission tomography in patients with metastatic gastrointestinal stromal tumor treated at a single institution with imatinib mesylate: Proposal of new computed tomography response criteria. J. Clin. Oncol. Off. J. Am. Soc. Clin. Oncol. 2007, 25, 1753–1759. [Google Scholar] [CrossRef] [PubMed]
- Choi, I.Y.; Yeom, S.K.; Cha, J.; Cha, S.H.; Lee, S.H.; Chung, H.H.; Lee, C.M.; Choi, J. Feasibility of using computed tomography texture analysis parameters as imaging biomarkers for predicting risk grade of gastrointestinal stromal tumors: Comparison with visual inspection. Abdom. Radiol. (NY) 2019, 44, 2346–2356. [Google Scholar] [CrossRef]
- Lubner, M.G.; Smith, A.D.; Sandrasegaran, K.; Sahani, D.V.; Pickhardt, P.J. CT Texture Analysis: Definitions, Applications, Biologic Correlates, and Challenges. Radiographics 2017, 37, 1483–1503. [Google Scholar] [CrossRef]
- Zhou, C.; Duan, X.; Zhang, X.; Hu, H.; Wang, D.; Shen, J. Predictive features of CT for risk stratifications in patients with primary gastrointestinal stromal tumour. Eur. Radiol. 2016, 26, 3086–3093. [Google Scholar] [CrossRef]
- Lubner, M.G.; Stabo, N.; Lubner, S.J.; del Rio, A.M.; Song, C.; Halberg, R.B.; Pickhardt, P.J. CT textural analysis of hepatic metastatic colorectal cancer: Pre-treatment tumor heterogeneity correlates with pathology and clinical outcomes. Abdom. Imaging 2015, 40, 2331–2337. [Google Scholar] [CrossRef]
- Amin, M.B.; Edge, S.B.; Greene, F.L.; Byrd, D.R.; Brookland, R.K.; Washington, M.K.; Gershenwald, J.E.; Compton, C.C.; Hess, K.R.; Sullivan, D.C. AJCC Cancer Staging Manual; Springer: Berlin/Heidelberg, Germany, 2017; Volume 1024. [Google Scholar]
- Rutkowski, P.; Wozniak, A.; Debiec-Rychter, M.; Kakol, M.; Dziewirski, W.; Zdzienicki, M.; Ptaszynski, K.; Jurkowska, M.; Limon, J.; Siedlecki, J.A. Clinical utility of the new American Joint Committee on Cancer staging system for gastrointestinal stromal tumors: Current overall survival after primary tumor resection. Cancer 2011, 117, 4916–4924. [Google Scholar] [CrossRef] [PubMed]
- Jo, V.Y.; Fletcher, C.D. WHO classification of soft tissue tumours: An update based on the 2013 (4th) edition. Pathology 2014, 46, 95–104. [Google Scholar] [CrossRef] [PubMed]
- Burkill, G.J.; Badran, M.; Al-Muderis, O.; Meirion Thomas, J.; Judson, I.R.; Fisher, C.; Moskovic, E.C. Malignant gastrointestinal stromal tumor: Distribution, imaging features, and pattern of metastatic spread. Radiology 2003, 226, 527–532. [Google Scholar] [CrossRef] [PubMed]
- Davnall, F.; Yip, C.S.; Ljungqvist, G.; Selmi, M.; Ng, F.; Sanghera, B.; Ganeshan, B.; Miles, K.A.; Cook, G.J.; Goh, V. Assessment of tumor heterogeneity: An emerging imaging tool for clinical practice? Insights Imaging 2012, 3, 573–589. [Google Scholar] [CrossRef] [PubMed]
- Bashir, U.; Siddique, M.M.; McLean, E.; Goh, V.; Cook, G.J. Imaging Heterogeneity in Lung Cancer: Techniques, Applications, and Challenges. AJR Am. J. Roentgenol. 2016, 207, 534–543. [Google Scholar] [CrossRef]
- Maldonado, F.J.; Sheedy, S.P.; Iyer, V.R.; Hansel, S.L.; Bruining, D.H.; McCollough, C.H.; Harmsen, W.S.; Barlow, J.M.; Fletcher, J.G. Reproducible imaging features of biologically aggressive gastrointestinal stromal tumors of the small bowel. Abdom. Radiol. 2018, 43, 1567–1574. [Google Scholar] [CrossRef]
- Iannarelli, A.; Sacconi, B.; Tomei, F.; Anile, M.; Longo, F.; Bezzi, M.; Napoli, A.; Saba, L.; Anzidei, M.; D’Ovidio, G.; et al. Analysis of CT features and quantitative texture analysis in patients with thymic tumors: Correlation with grading and staging. Radiol. Med. 2018, 123, 345–350. [Google Scholar] [CrossRef]
- Liu, S.; Pan, X.; Liu, R.; Zheng, H.; Chen, L.; Guan, W.; Wang, H.; Sun, Y.; Tang, L.; Guan, Y.; et al. Texture analysis of CT images in predicting malignancy risk of gastrointestinal stromal tumours. Clin. Radiol. 2018, 73, 266–274. [Google Scholar] [CrossRef]
- Liu, S.; Shi, H.; Ji, C.; Guan, W.; Chen, L.; Sun, Y.; Tang, L.; Guan, Y.; Li, W.; Ge, Y.; et al. CT textural analysis of gastric cancer: Correlations with immunohistochemical biomarkers. Sci. Rep. 2018, 8, 11844. [Google Scholar] [CrossRef]













| CT Characteristics of Gastric GISTs | LR GISTs (n = 43) | HR GISTs (n = 36) | p Values | |
|---|---|---|---|---|
| Localization | Body | 13 | 21 | 0.014 |
| Antrum | 23 | 8 | ||
| Pylorus | 7 | 7 | ||
| Margins | 1—well defined | 42 | 28 | 0.006 |
| 2—ill defined | 1 | 8 | ||
| Growth pattern | 1—exophytic/mixed | 32 | 35 | 0.005 |
| 2—endophytic | 11 | 1 | ||
| Tumor enhancement | 0—low | 29 | 33 | 0.009 |
| 1—high | 14 | 3 | ||
| Shape | 1—regular (round) | 38 | 11 | <0.001 |
| 2—irregular | 5 | 25 | ||
| Structure | 1—solid/necrotic | 34 | 10 | <0.001 |
| 2—cystic | 9 | 26 | ||
| Mucosa | 1—continuous | 36 | 13 | <0.001 |
| 2—discontinuous (rupture) | 7 | 23 | ||
| EFDV * | 0—absent | 37 | 10 | <0.001 |
| 1—present | 6 | 26 | ||
| Histogram Parameters | LR GISTs (n = 43) | HR GISTs (n = 36) | p |
|---|---|---|---|
| Min norm | 32,866.776 (32,816.739–33,866.283) | 32,851.065 (32,815.016–33,875.819) | 0.032 * |
| Max norm | 612.419 (230.676–1572.068) | 524.927 (177.284–835.740) | 0.052 |
| Mean | −0.058 (−3.570–0.213) | −0.001 (−0.428–0.304) | 0.093 |
| Variance | −0.113 (−0.560–8.145) | −0.096 (−0.557–2.248) | 0.806 |
| Skewness | 32,812.667 (32,709.333–33,815.667) | 32,800.166 (32,764.000–33,813.667) | 0.182 |
| Kurtosis | 32,837 (32,788.000–33,841.333) | 32,822.166 (32,785.667–33,838.667) | 0.058 |
| Histogram Parameters | LR GISTs (MI ≤ 5) (n = 52) | HR GISTs (MI > 5) (n = 27) | p |
|---|---|---|---|
| Min norm | 32,867.360 (32,816.740–33,875.819) | 32,845.770 (32,815.060–33,844.490) | 0.007 ** |
| Max norm | 610.350 (230.700–1572.100) | 516.245 (177.280–835.730) | 0.051 |
| Mean | −0.051 (−3.570–0.304) | 0.007 (−0.428–0.290) | 0.089 |
| Variance | −0.106 (−0.560–8.145) | −0.113 (−0.557–2.248) | 0.836 |
| Skewness | 32,815.160 (32,709.300–33,815.600) | 32,797.000 (32,764.000–33,813.000) | 0.035 * |
| Kurtosis | 32,838.000 (32,788.000–33,841.000) | 32,818.670 (32,785.660–33,827.330) | 0.009 ** |
| Variables in the Equation | |||||||
|---|---|---|---|---|---|---|---|
| B | S.E. | Wald | df | Sig. | Exp (B) | ||
| Step 1 | Diameter (mm) | 0.013 | 0.013 | 0.936 | 1 | 0.333 | 1.013 |
| Margins | −0.120 | 1.502 | 0.006 | 1 | 0.936 | 0.887 | |
| Growth pattern | −2.425 | 1.570 | 2.386 | 1 | 0.122 | 0.088 | |
| Shape | 1.566 | 0.961 | 2.653 | 1 | 0.103 | 4.786 | |
| Structure | 0.554 | 0.987 | 0.315 | 1 | 0.575 | 1.740 | |
| Mucosa | 2.219 | 0.942 | 5.551 | 1 | 0.018 | 9.199 | |
| EFDV | 2.067 | 0.961 | 4.628 | 1 | 0.031 | 7.903 | |
| Max norm | −0.001 | 0.002 | 0.398 | 1 | 0.528 | 0.999 | |
| Constant | −4.751 | 2.994 | 2.518 | 1 | 0.113 | 0.009 | |
| Model | Unstandardized Coefficients | Standardized Coefficients | t | Sig. | ||
|---|---|---|---|---|---|---|
| B | Std. Error | Beta | ||||
| 1 | (Constant) | −0.222 | 0.127 | −1.742 | 0.086 | |
| Mucosa 1—continuous 2—ruptured | 0.346 | 0.092 | 0.337 | 3.779 | 0.000 | |
| EFD 0—absent 1—present | 0.493 | 0.091 | 0.486 | 5.445 | 0.000 | |
Disclaimer/Publisher’s Note: The statements, opinions and data contained in all publications are solely those of the individual author(s) and contributor(s) and not of MDPI and/or the editor(s). MDPI and/or the editor(s) disclaim responsibility for any injury to people or property resulting from any ideas, methods, instructions or products referred to in the content. |
© 2023 by the authors. Licensee MDPI, Basel, Switzerland. This article is an open access article distributed under the terms and conditions of the Creative Commons Attribution (CC BY) license (https://creativecommons.org/licenses/by/4.0/).
Share and Cite
Jovanovic, M.M.; Stefanovic, A.D.; Sarac, D.; Kovac, J.; Jankovic, A.; Saponjski, D.J.; Tadic, B.; Kostadinovic, M.; Veselinovic, M.; Sljukic, V.; et al. Possibility of Using Conventional Computed Tomography Features and Histogram Texture Analysis Parameters as Imaging Biomarkers for Preoperative Prediction of High-Risk Gastrointestinal Stromal Tumors of the Stomach. Cancers 2023, 15, 5840. https://doi.org/10.3390/cancers15245840
Jovanovic MM, Stefanovic AD, Sarac D, Kovac J, Jankovic A, Saponjski DJ, Tadic B, Kostadinovic M, Veselinovic M, Sljukic V, et al. Possibility of Using Conventional Computed Tomography Features and Histogram Texture Analysis Parameters as Imaging Biomarkers for Preoperative Prediction of High-Risk Gastrointestinal Stromal Tumors of the Stomach. Cancers. 2023; 15(24):5840. https://doi.org/10.3390/cancers15245840
Chicago/Turabian StyleJovanovic, Milica Mitrovic, Aleksandra Djuric Stefanovic, Dimitrije Sarac, Jelena Kovac, Aleksandra Jankovic, Dusan J. Saponjski, Boris Tadic, Milena Kostadinovic, Milan Veselinovic, Vladimir Sljukic, and et al. 2023. "Possibility of Using Conventional Computed Tomography Features and Histogram Texture Analysis Parameters as Imaging Biomarkers for Preoperative Prediction of High-Risk Gastrointestinal Stromal Tumors of the Stomach" Cancers 15, no. 24: 5840. https://doi.org/10.3390/cancers15245840
APA StyleJovanovic, M. M., Stefanovic, A. D., Sarac, D., Kovac, J., Jankovic, A., Saponjski, D. J., Tadic, B., Kostadinovic, M., Veselinovic, M., Sljukic, V., Skrobic, O., Micev, M., Masulovic, D., Pesko, P., & Ebrahimi, K. (2023). Possibility of Using Conventional Computed Tomography Features and Histogram Texture Analysis Parameters as Imaging Biomarkers for Preoperative Prediction of High-Risk Gastrointestinal Stromal Tumors of the Stomach. Cancers, 15(24), 5840. https://doi.org/10.3390/cancers15245840

