Differences between Two Groups of Burmese Vipers (Viperidae: Azemiops) in the Proteomic Profiles, Immunoreactivity and Biochemical Functions of Their Venoms
Abstract
:1. Introduction
2. Results and Discussion
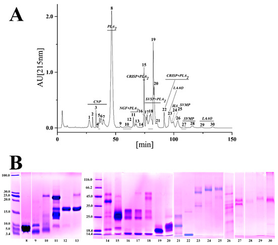
2.1. Proteomic Profiles of Venoms from Two A. feae Groups
2.2. Immunorecognition by Commercial Antivenoms
2.3. Toxicological and Enzymatic Activities of Both Venoms
3. Conclusions
4. Materials and Methods
4.1. Animals, Venoms, Antivenom, and Ethics
4.2. Separation of Venom Proteins by RP-HPLC and SDS-PAGE
4.3. Tryptic Digestion and MS Identification of Venom Proteins
4.4. Estimation of Protein Relative Abundance and Protein Similarity Coefficient
4.5. Enzyme-Linked Immunosorbent Assay (ELISA)
4.6. Western Blotting
4.7. Toxicological and Enzymatic Activities of Venoms
4.7.1. Lethality
4.7.2. Myotoxicity
4.7.3. Hemorrhagic Activity
4.7.4. Proteolytic Activity
4.7.5. Esterolytic Activity
4.7.6. l-Amino Acid Oxidase Activity
4.7.7. Hyaluronidase Activity
4.7.8. Phospholipase A2 Activity
4.8. Statistical Analyses
Supplementary Materials
Author Contributions
Funding
Institutional Review Board Statement
Informed Consent Statement
Data Availability Statement
Acknowledgments
Conflicts of Interest
References
- Calvete, J.J.; Escolano, J.; Sanz, L. Snake venomics of Bitis Species reveals large intragenus venom toxin composition variation: application to taxonomy of congeneric taxa. J. Proteom. Res. 2007, 6, 2732–2745. [Google Scholar] [CrossRef] [PubMed]
- Gutiérrez, J.M.; Calvete, J.J.; Habib, A.G.; Harrison, R.A.; Williams, D.J.; Warrell, D.A. Snakebite envenoming. Nat. Rev. Dis. Primers 2017, 3, 17063. [Google Scholar]
- Fry, B.G. From genome to “venome”: Molecular origin and evolution of the snake venom proteome inferred from phylogenetic analysis of toxin sequences and related body proteins. Genom. Res. 2005, 15, 403–420. [Google Scholar] [CrossRef]
- Fry, B.G.; Scheib, H.; van der Weerd, L.; Young, B.; McNaughtan, J.; Ramjan, S.F.R.; Vidal, N.; Poelmann, R.E.; Norman, J.A. Evolution of an arsenal: Structural and functional diversification of the venom system in the advanced snakes (Caenophidia). Mol. Cell. Proteom. 2008, 7, 215–246. [Google Scholar] [CrossRef] [PubMed]
- Campos, P.F.; Andrade-Silva, D.; Zelanis, A.; Paes Leme, A.F.; Rocha, M.M.; Menezes, M.C.; Serrano, S.M.; Junqueira-de-Azevedo Ide, L. Trends in the evolution of snake toxins underscored by an integrative omics approach to profile the venom of the colubrid Phalotris mertensi. Genom. Biol. Evol. 2016, 8, 2266–2287. [Google Scholar] [CrossRef]
- Lomonte, B.; Fernandez, J.; Sanz, L.; Angulo, Y.; Sasa, M.; Gutierrez, J.M.; Calvete, J.J. Venomous snakes of Costa Rica: Biological and medical implications of their venom proteomic profiles analyzed through the strategy of snake venomics. J. Proteom. 2014, 105, 323–339. [Google Scholar] [CrossRef]
- Lomonte, B.; Rey-Suárez, P.; Fernández, J.; Sasa, M.; Pla, D.; Vargas, N.; Bénard-Valle, M.; Sanz, L.; Corrêa-Netto, C.; Núñez, V.; et al. Venoms of Micrurus coral snakes: Evolutionary trends in compositional patterns emerging from proteomic analyses. Toxicon 2016, 122, 7–25. [Google Scholar] [CrossRef]
- Souza, G.H.; Catharino, R.R.; Ifa, D.R.; Eberlin, M.N.; Hyslop, S. Peptide fingerprinting of snake venoms by direct infusion nano-electrospray ionization mass spectrometry: Potential use in venom identification and taxonomy. J. Mass Spectrom. 2008, 43, 594–599. [Google Scholar] [CrossRef]
- Zhao, E.-M.; Wu, G.-F.; Wu, X.-F.; Chen, Y.-C.; Jiang, M.-S.; Zhang, J.-K.; Xu, K. A comparison of snake venom eletrophoretogram of Agkistrodon species in China and their value in snake taxonomy. Acta Zool. Sin. 1981, 27, 213–217, 302. [Google Scholar]
- Angulo, Y.; Escolano, J.; Lomonte, B.; Gutiérrez, J.M.; Sanz, L.; Calvete, J.J. Snake venomics of central American pitvipers: Clues for rationalizing the distinct envenomation profiles of Atropoides nummifer and Atropoides picadoi. J. Proteom. Res. 2008, 7, 708–719. [Google Scholar] [CrossRef]
- Jadin, R.C.; Townsend, J.H.; Castoe, T.A.; Campbell, J.A. Cryptic diversity in disjunct populations of Middle American montane pitvipers: A systematic reassessment of Cerrophidion godmani. Zool. Scr. 2012, 41, 455–470. [Google Scholar] [CrossRef]
- Lomonte, B.; Rey-Suárez, P.; Tsai, W.-C.; Angulo, Y.; Sasa, M.; Gutiérrez, J.M.; Calvete, J.J. Snake venomics of the pit vipers Porthidium nasutum, Porthidium ophryomegas, and Cerrophidion godmani from Costa Rica: Toxicological and taxonomical insights. J. Proteom. 2012, 75, 1675–1689. [Google Scholar] [CrossRef] [PubMed]
- Mackessy, S.P. Venom Composition in Rattlesnakes: Trends and Biological Significance. In The Biology of Rattlesnakes; Hayes, W.K., Cardwell, M.D., Beaman, K.R., Bush, S.P., Eds.; Loma Linda University Press: Loma Linda, CA, USA, 2008; pp. 495–510. [Google Scholar]
- Calvete, J.J.; Sanz, L.; Cid, P.; de la Torre, P.; Flores-Díaz, M.; Dos Santos, M.C.; Borges, A.; Bremo, A.; Angulo, Y.; Lomonte, B.; et al. Snake venomics of the Central American rattlesnake Crotalus simus and the South American Crotalus durissus complex points to neurotoxicity as an adaptive paedomorphic trend along Crotalus dispersal in South America. J. Proteom. Res. 2010, 9, 528–544. [Google Scholar]
- Orlov, N.L.; Ryabov, S.A.; Nguyen, T.T. On the taxonomy and the distribution of snakes of the genus Azemiops Boulenger, 1888: Description of a new species. Russ. J. Herpetol. 2013, 20, 110–128. [Google Scholar]
- Liem, K.F.; Marx, H.; Rabb, G.B. The viperid snake Azemiops: Its comparative cephalic anatomy and phylogenetic position in relation to Viperinae and Crotalinae. Fieldiana Zool. 1971, 59, 65–126. [Google Scholar]
- Snetkov, P.B.; Orlov, N.L. Phylogenetic analysis of old world viperid snakes (serpentes, viperidae) based on skeletal morphology. Russ. J. Herpetol. 2017, 24, 22–34. [Google Scholar] [CrossRef]
- Ji, L.-Q. China Checklist of Animals. In Catalogue of Life China: 2022 Annual Checklist; The Biodiversity Committee of Chinese Academy of Sciences: Beijing, China, 2022. [Google Scholar]
- Li, J.-N.; Liang, D.; Wang, Y.-Y.; Guo, P.; Huang, S.; Zhang, P. A large-scale systematic framework of Chinese snakes based on a unified multilocus marker system. Mol. Phylogenet. Evol. 2020, 148, 106807. [Google Scholar] [CrossRef] [PubMed]
- Tsai, I.-H.; Wang, Y.-M.; Lin, S.-W.; Huang, K.-F. Structural and bioinformatic analyses of Azemiops venom serine proteases reveal close phylogeographic relationships to pitvipers from eastern China and the New World. Toxicon 2021, 198, 93–101. [Google Scholar] [CrossRef]
- Babenko, V.V.; Ziganshin, R.H.; Weise, C.; Dyachenko, I.; Shaykhutdinova, E.; Murashev, A.N.; Zhmak, M.; Starkov, V.; Hoang, A.N.; Tsetlin, V.; et al. Novel bradykinin-potentiating peptides and three-finger toxins from viper venom: Combined NGS venom gland transcriptomics and quantitative venom proteomics of the Azemiops feae viper. Biomedicines 2020, 8, 249. [Google Scholar] [CrossRef]
- Myers, E.A.; Strickland, J.L.; Rautsaw, R.M.; Mason, A.J.; Schramer, T.D.; Nystrom, G.S.; Hogan, M.P.; Yooseph, S.; Rokyta, D.R.; Parkinson, C.L. De novo genome assembly highlights the role of lineage-specific duplications in the evolution of venom in Fea’s viper (Azemiops feae). Genom. Biol. Evol. 2022, 14, evac082. [Google Scholar] [CrossRef]
- Tsai, I.-H.; Wang, Y.-M.; Huang, K.-F. Structures of Azemiops feae venom phospholipases and cys-rich-secretory protein and implications for taxonomy and toxinology. Toxicon 2016, 114, 31–39. [Google Scholar] [CrossRef] [PubMed]
- Gao, J.-F.; Wang, J.; He, Y.; Qu, Y.-F.; Lin, L.-H.; Ma, X.-M.; Ji, X. Proteomic and biochemical analyses of short-tailed pit viper (Gloydius brevicaudus) venom: Age-related variation and composition–activity correlation. J. Proteom. 2014, 105, 307–322. [Google Scholar]
- Shan, L.-L.; Gao, J.-F.; Zhang, Y.-X.; Shen, S.-S.; He, Y.; Wang, J.; Ma, X.-M.; Ji, X. Proteomic characterization and comparison of venoms from two elapid snakes (Bungarus multicinctus and Naja atra) from China. J. Proteom. 2016, 138, 83–94. [Google Scholar]
- Calvete, J.J.; Lomonte, B.; Saviola, A.J.; Bonilla, F.; Sasa, M.; Williams, D.J.; Undheim, E.A.B.; Sunagar, K.; Jackson, T.N.W. Mutual enlightenment: A toolbox of concepts and methods for integrating evolutionary and clinical toxinology via snake venomics and the contextual stance. Toxicon X 2021, 9–10, 100070. [Google Scholar] [CrossRef] [PubMed]
- Zhao, H.-Y.; Wen, L.; Miao, Y.-F.; Du, Y.; Sun, Y.; Yin, Y.; Lin, C.-X.; Lin, L.-H.; Ji, X.; Gao, J.-F. Venom-gland transcriptomic, venomic, and antivenomic profiles of the spine-bellied sea snake (Hydrophis curtus) from the South China Sea. BMC Genom. 2021, 22, 520. [Google Scholar]
- Tasoulis, T.; Pukala, T.L.; Isbister, G.K. Investigating toxin diversity and abundance in snake venom proteomes. Front. Pharmacol. 2021, 12, 768015. [Google Scholar] [CrossRef] [PubMed]
- Tasoulis, T.; Isbister, G.K. A review and database of snake venom proteomes. Toxins 2017, 9, 290. [Google Scholar] [CrossRef]
- Calvete, J.J.; Borges, A.; Segura, Á.; Flores-Díaz, M.; Alape-Girón, A.; Gutiérrez, J.M.; Diez, N.; De Sousa, L.; Kiriakos, D.; Sánchez, E.; et al. Snake venomics and antivenomics of Bothrops colombiensis, a medically important pitviper of the Bothrops atrox-asper complex endemic to Venezuela: Contributing to its taxonomy and snakebite management. J. Proteom. 2009, 72, 227–240. [Google Scholar] [CrossRef]
- Antunes, T.C.; Yamashita, K.M.; Barbaro, K.C.; Saiki, M.; Santoro, M.L. Comparative analysis of newborn and adult Bothrops jararaca snake venoms. Toxicon 2010, 56, 1443–1458. [Google Scholar]
- Oliveira, I.S.; Cardoso, I.A.; Bordon, K.C.F.; Carone, S.E.I.; Boldrini-Franca, J.; Pucca, M.B.; Zoccal, K.F.; Faccioli, L.H.; Sampaio, S.V.; Rosa, J.C.; et al. Global proteomic and functional analysis of Crotalus durissus collilineatus individual venom variation and its impact on envenoming. J. Proteom. 2019, 191, 153–165. [Google Scholar] [CrossRef]
- Menezes, M.C.; Furtado, M.F.; Travaglia-Cardoso, S.R.; Camargo, A.C.M.; Serrano, S.M.T. Sex-based individual variation of snake venom proteome among eighteen Bothrops jararaca siblings. Toxicon 2006, 47, 304–312. [Google Scholar] [CrossRef] [PubMed]
- Durban, J.; Sanz, L.; Trevisan-Silva, D.; Neri-Castro, E.; Alagon, A.; Calvete, J.J. Integrated venomics and venom gland transcriptome analysis of juvenile and adult Mexican rattlesnakes Crotalus simus, C. tzabcan, and C. culminatus revealed miRNA-modulated ontogenetic shifts. J. Proteom. Res. 2017, 16, 3370–3390. [Google Scholar]
- Wang, N.; Li, Q.; Li, B.; Li, Z.; Li, H.; Tang, S.; Sawai, Y.; Kawanura, Y.; Toriba, M.; Kobayashi, T. An epidemiological study on the snakebites in Guangxi Province, China in 1990. J. Snake 1993, 5, 10–17. [Google Scholar]
- Zhao, E.-M.; Cai, C.-M. Fea’s viper. Zool. J. 1978, 13, 42–43. [Google Scholar]
- Wang, G.-H.; Chen, H. A case report of envenomation by Azemiops feae. J. Snake 2006, 18, 286–287. [Google Scholar]
- Fu, F.-H.; Zeng, Y.-D.; Chen, Z.-C. A case report of snakebite by Fea’s viper. J. Snake 2013, 25, 65–66. [Google Scholar]
- Valenta, J.; Stach, Z.; Stourac, P.; Kadanka, Z.; Michalek, P. Neurological symptoms following the Fea’s viper (Azemiops feae) bite. Clin. Toxicol. 2015, 53, 1150–1151. [Google Scholar] [CrossRef]
- Chen, K.-D. First case report of snakebite by Fea’s viper in Panan, Zhejiang. J. Snake 2001, 13, 33–34. [Google Scholar]
- Yu, X.-G.; Zhou, F.-T.; Zhang, T.-X.; Tang, X.-H. Managment of snakebite by Fea’s viper: A case report. J. Snake 2019, 31, 173–174. [Google Scholar]
- Vest, D.K. Preliminary studies on the venom of the Chinese snake Azemiops feae, Boulenger (Fea’s viper). Toxicon 1986, 24, 510–513. [Google Scholar] [CrossRef]
- Markland, F.S., Jr.; Swenson, S. Snake venom metalloproteinases. Toxicon 2013, 62, 3–18. [Google Scholar] [CrossRef] [PubMed]
- Serrano, S.M.T. The long road of research on snake venom serine proteinases. Toxicon 2013, 62, 19–26. [Google Scholar] [CrossRef] [PubMed]
- Debono, J.; Bos, M.H.A.; Coimbra, F.; Ge, L.; Frank, N.; Kwok, H.F.; Fry, B.G. Basal but divergent: Clinical implications of differential coagulotoxicity in a clade of Asian vipers. Toxicol. In Vitro 2019, 58, 195–209. [Google Scholar] [CrossRef] [PubMed]
- Bradford, M.M. A rapid and sensitive method for the quantitation of microgram quantities of protein utilizing the principle of protein-dye binding. Anal. Biochem. 1976, 72, 248–254. [Google Scholar] [CrossRef]
- Calvete, J.J.; Juárez, P.; Sanz, L. Snake venomics. Strategy and applications. J. Mass Spectrom. 2007, 42, 1405–1414. [Google Scholar] [CrossRef]
- Laemmlin, U.K. Cleavage of structural proteins during the assembly of the head of bacteriophage T4. Nature 1970, 227, 680–685. [Google Scholar] [CrossRef]
- Gutiérrez, J.M.; Gené, J.A.; Rojas, G.; Cerdas, L. Neutralization of proteolytic and hemorrhagic activities of Costa Rican snake venoms by a polyvalent antivenom. Toxicon 1985, 23, 887–893. [Google Scholar] [CrossRef]
- He, Y.; Gao, J.-F.; Lin, L.-H.; Ma, X.-M.; Ji, X. Age-related variation in snake venom: Evidence from two snakes (Naja atra and Deinagkistrodon acutus) in southeastern China. Asian Herpetol. Res. 2014, 5, 119–127. [Google Scholar]
- Tu, A.T.; James, G.P.; Chua, A. Some biochemical evidence in support of the classification of venomous snakes. Toxicon 1965, 3, 5–8. [Google Scholar] [CrossRef]
- Toyama, M.H.; Toyama, D.O.; Passero, L.F.D.; Laurenti, M.D.; Corbett, C.E.; Tomokane, T.Y.; Fonseca, F.V.; Antunes, E.; Joazeiro, P.P.; Beriam, L.O.S.; et al. Isolation of a new L-amino acid oxidase from Crotalus durissus cascavella venom. Toxicon 2006, 47, 47–57. [Google Scholar] [CrossRef]









| Activity | Sichuan Azemiops feae Venom (sAf) | Zhejiang A. feae Venom (zAf) | Statistical Results |
|---|---|---|---|
| Lethality (LD50) a | |||
| ICR mice (μg/g) | 0.56 (0.47–0.68) | 0.40 (0.34–0.47) | sAf < zAf |
| Hemorrhage (MHD) b | |||
| ICR mice (μg/g) | None | None | - |
| Proteolytic activityb | |||
| Casein (nM/min/mg) | 16.0 ± 0.3 | 20.7 ± 0.1 | p < 0.0001, sAf < zAf |
| Esterolytic activity b | |||
| BAPNA (nM/min/mg) | 17.5 ± 0.8 | 42.8 ± 1.1 | p < 0.0001, sAf < zAf |
| l-amino acid oxidase activity b | |||
| l-Leu (nM/min/mg) | 370.1 ± 5.0 | 295.4 ± 6.0 | p < 0.0001, sAf > zAf |
| Hyaluronidase activity | |||
| Hyaluronic acid (NFU/min/mg) | 9.3 ± 0.3 | 9.3 ± 0.4 | p = 0.96, sAf = zAf |
Publisher’s Note: MDPI stays neutral with regard to jurisdictional claims in published maps and institutional affiliations. |
© 2022 by the authors. Licensee MDPI, Basel, Switzerland. This article is an open access article distributed under the terms and conditions of the Creative Commons Attribution (CC BY) license (https://creativecommons.org/licenses/by/4.0/).
Share and Cite
Zheng, S.-R.; Sun, Y.; Zhao, H.-Y.; Wen, L.; Ji, X.; Gao, J.-F. Differences between Two Groups of Burmese Vipers (Viperidae: Azemiops) in the Proteomic Profiles, Immunoreactivity and Biochemical Functions of Their Venoms. Toxins 2022, 14, 572. https://doi.org/10.3390/toxins14080572
Zheng S-R, Sun Y, Zhao H-Y, Wen L, Ji X, Gao J-F. Differences between Two Groups of Burmese Vipers (Viperidae: Azemiops) in the Proteomic Profiles, Immunoreactivity and Biochemical Functions of Their Venoms. Toxins. 2022; 14(8):572. https://doi.org/10.3390/toxins14080572
Chicago/Turabian StyleZheng, Si-Rui, Yan Sun, Hong-Yan Zhao, Lin Wen, Xiang Ji, and Jian-Fang Gao. 2022. "Differences between Two Groups of Burmese Vipers (Viperidae: Azemiops) in the Proteomic Profiles, Immunoreactivity and Biochemical Functions of Their Venoms" Toxins 14, no. 8: 572. https://doi.org/10.3390/toxins14080572
APA StyleZheng, S.-R., Sun, Y., Zhao, H.-Y., Wen, L., Ji, X., & Gao, J.-F. (2022). Differences between Two Groups of Burmese Vipers (Viperidae: Azemiops) in the Proteomic Profiles, Immunoreactivity and Biochemical Functions of Their Venoms. Toxins, 14(8), 572. https://doi.org/10.3390/toxins14080572

