Fermented Houttuynia cordata Juice Exerts Cardioprotective Effects by Alleviating Cardiac Inflammation and Apoptosis in Rats with Lipopolysaccharide-Induced Sepsis
Abstract
1. Introduction
2. Materials and Methods
2.1. Preparation of Fermented Houttuynia cordata Thunb. Juice
2.2. Animal Preparation
2.3. Cardiac Performance Determination
2.4. Plasma Lactate Dehydrogenase (LDH) Determination
2.5. Plasma Creatine Kinase–Myoglobin Binding (CK-MB) Determination
2.6. Plasma Malondialdehyde (MDA) Determination
2.7. Hematoxylin and Eosin (H&E) Staining
2.8. Western Blot Analysis
2.9. Statistical Analysis
3. Results
3.1. FHJ Prevented LV Dysfunction in Rats with LPS-Induced Sepsis
3.2. FHJ Reduced Cardiac Injury in Rats with LPS-Induced Sepsis
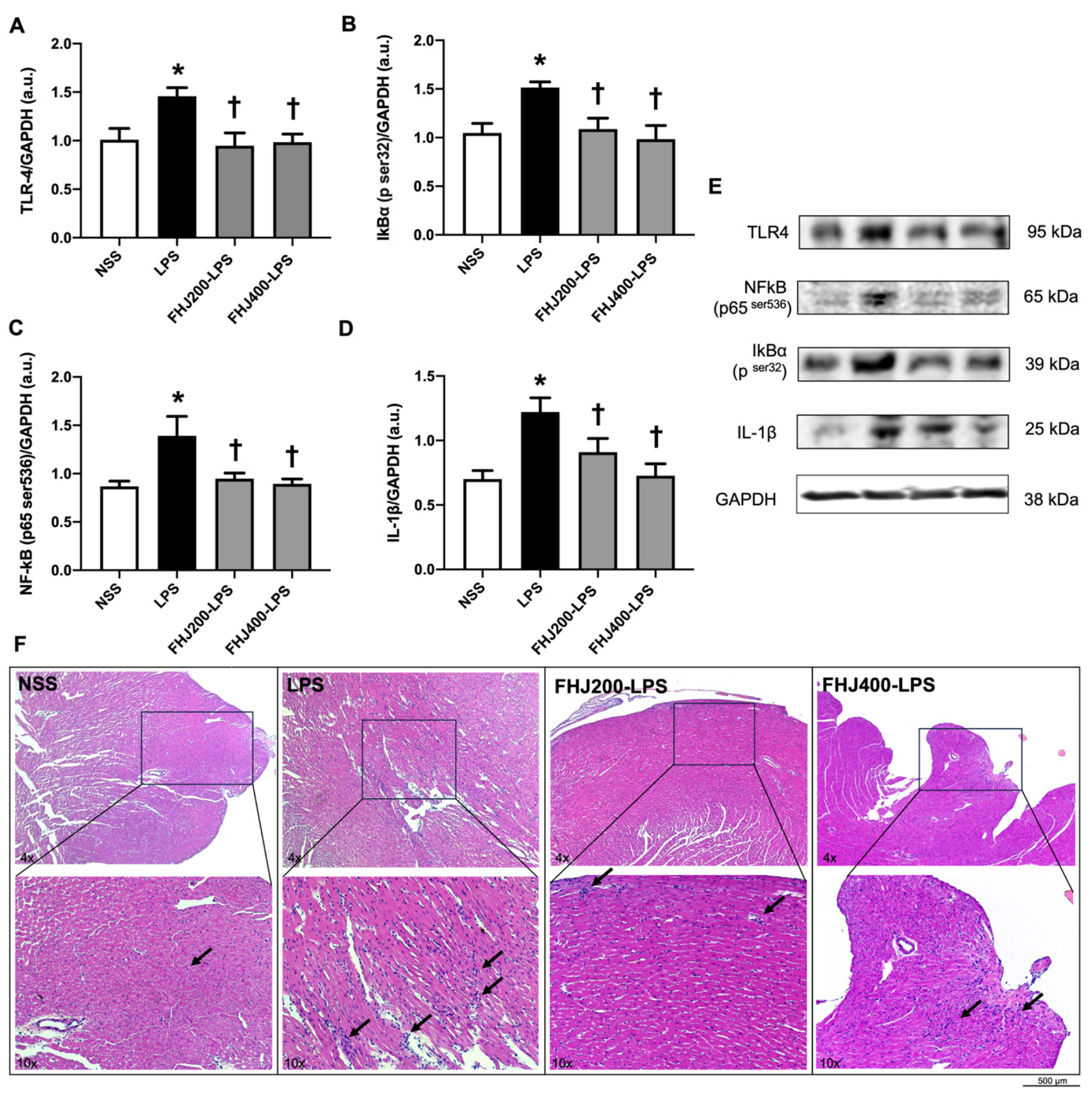
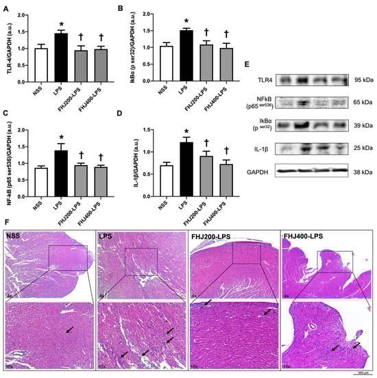
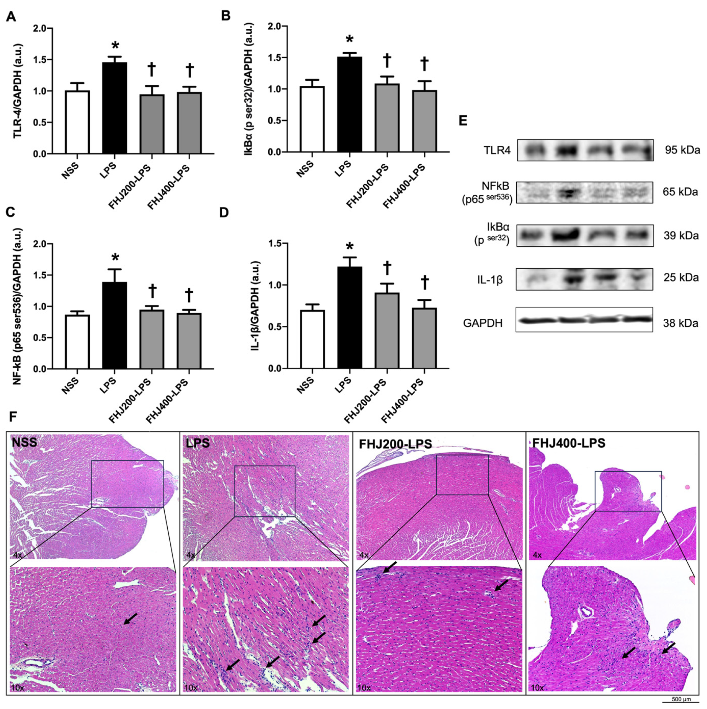
3.3. FHJ Reduced Cardiac Inflammation in Rats with LPS-Induced Sepsis
3.4. FHJ Reduced Cardiac Apoptosis in Rats with LPS-Induced Sepsis
3.5. Summary of the Results
4. Discussion
5. Conclusions
Author Contributions
Funding
Institutional Review Board Statement
Informed Consent Statement
Data Availability Statement
Conflicts of Interest
Abbreviations
| NSS | Normal saline solution |
| LPS | Lipopolysaccharide |
| FHJ | Fermented Houttuynia cordata juice |
| p.o. | Per oral |
| i.p. | Intraperitoneal injection |
| LVEF | Left ventricular ejection fraction |
| LVFS | Left ventricular fractional shortening |
| LDH | Lactate dehydrogenase |
| CK-MB | Creatine kinase–myoglobin binding |
| MDA | Malondialdehyde |
| TLR-4 | Toll-like receptor 4 |
| NF-κB | Nuclear factor kappa-light-chain-enhancer of activated B cells |
| IκB-α | Inhibitor of nuclear factor of kappa-light-chain-enhancer in B-cell alpha |
| IL-1β | Interleukin-1 beta |
| Bcl-2Bax | B-cell lymphoma 2Bcl-2-associated X |
| GAPDH | Glyceraldehyde 3-phosphate dehydrogenase |
| H&E | Hematoxylin and eosin |
References
- Rudd, K.E.; Johnson, S.C.; Agesa, K.M.; Shackelford, K.A.; Tsoi, D.; Kievlan, D.R.; Colombara, D.V.; Ikuta, K.S.; Kissoon, N.; Finfer, S.; et al. Global, regional, and national sepsis incidence and mortality, 1990–2017: Analysis for the Global Burden of Disease Study. Lancet 2020, 395, 200–211. [Google Scholar] [CrossRef]
- Reinhart, K.; Daniels, R.; Kissoon, N.; Machado, F.R.; Schachter, R.D.; Finfer, S. Recognizing Sepsis as a Global Health Priority—A WHO Resolution. N. Engl. J. Med. 2017, 377, 414–417. [Google Scholar] [CrossRef] [PubMed]
- Mahapatra, S.; Heffner, A.C. Septic Shock. In StatPearls; StatPearls Publishing: Treasure Island, FL, USA, 2023. [Google Scholar]
- Mankowski, R.T.; Yende, S.; Angus, D.C. Long-term impact of sepsis on cardiovascular health. Intensive Care Med. 2019, 45, 78–81. [Google Scholar] [CrossRef] [PubMed]
- Van Tassell, B.W.; Toldo, S.; Mezzaroma, E.; Abbate, A. Targeting interleukin-1 in heart disease. Circulation 2013, 128, 1910–1923. [Google Scholar] [CrossRef] [PubMed]
- Drosatos, K.; Lymperopoulos, A.; Kennel, P.J.; Pollak, N.; Schulze, P.C.; Goldberg, I.J. Pathophysiology of sepsis-related cardiac dysfunction: Driven by inflammation, energy mismanagement, or both? Curr. Heart Fail. Rep. 2015, 12, 130–140. [Google Scholar] [CrossRef] [PubMed]
- Charpentier, J.; Luyt, C.E.; Fulla, Y.; Vinsonneau, C.; Cariou, A.; Grabar, S.; Dhainaut, J.F.; Mira, J.P.; Chiche, J.D. Brain natriuretic peptide: A marker of myocardial dysfunction and prognosis during severe sepsis. Crit. Care Med. 2004, 32, 660–665. [Google Scholar] [CrossRef] [PubMed]
- Blanco, J.; Muriel-Bombín, A.; Sagredo, V.; Taboada, F.; Gandía, F.; Tamayo, L.; Collado, J.; García-Labattut, A.; Carriedo, D.; Valledor, M.; et al. Incidence, organ dysfunction and mortality in severe sepsis: A Spanish multicentre study. Crit. Care 2008, 12, R158. [Google Scholar] [CrossRef] [PubMed]
- Zaky, A.; Deem, S.; Bendjelid, K.; Treggiari, M.M. Characterization of Cardiac Dysfunction in Sepsis: An Ongoing Challenge. Shock 2014, 41, 12–24. [Google Scholar] [CrossRef]
- Ren, J.; Wu, S. A burning issue: Do sepsis and systemic inflammatory response syndrome (SIRS) directly contribute to cardiac dysfunction? Front. Biosci. 2006, 11, 15–22. [Google Scholar] [CrossRef]
- Chen, H.; Shi, Z.; Xing, Y.; Li, X.; Fu, F. Fangchinoline attenuates cardiac dysfunction in rats with endotoxemia via the inhibition of ERK1/2 and NF-κB p65 phosphorylation. Ann. Transl. Med. 2020, 8, 1167. [Google Scholar] [CrossRef] [PubMed]
- Xiao, Z.; Kong, B.; Fang, J.; Qin, T.; Dai, C.; Shuai, W.; Huang, H. Ferrostatin-1 alleviates lipopolysaccharide-induced cardiac dysfunction. Bioengineered 2021, 12, 9367–9376. [Google Scholar] [CrossRef] [PubMed]
- Yang, D.; Dai, X.; Xing, Y.; Tang, X.; Yang, G.; Harrison, A.G.; Cahoon, J.; Li, H.; Lv, X.; Yu, X.; et al. Intrinsic cardiac adrenergic cells contribute to LPS-induced myocardial dysfunction. Commun. Biol. 2022, 5, 96. [Google Scholar] [CrossRef] [PubMed]
- Duan, M.; Yuan, Y.; Liu, C.; Cai, Z.; Xie, Q.; Hu, T.; Tang, Q.; Wu, Q. Indigo Fruits Ingredient, Aucubin, Protects against LPS-Induced Cardiac Dysfunction in Mice. J. Pharmacol. Exp. Ther. 2019, 371, 348–359. [Google Scholar] [CrossRef] [PubMed]
- Alexander, C.; Rietschel, E.T. Bacterial lipopolysaccharides and innate immunity. J. Endotoxin Res. 2001, 7, 167–202. [Google Scholar] [CrossRef] [PubMed]
- de Tejada, G.M.; Heinbockel, L.; Ferrer-Espada, R.; Heine, H.; Alexander, C.; Bárcena-Varela, S.; Goldmann, T.; Correa, W.; Wiesmüller, K.-H.; Gisch, N.; et al. Lipoproteins/peptides are sepsis-inducing toxins from bacteria that can be neutralized by synthetic anti-endotoxin peptides. Sci. Rep. 2015, 5, 14292. [Google Scholar] [CrossRef] [PubMed]
- Page, M.J.; Kell, D.B.; Pretorius, E. The Role of Lipopolysaccharide-Induced Cell Signalling in Chronic Inflammation. Chronic Stress 2022, 6, 24705470221076390. [Google Scholar] [CrossRef]
- Lu, Y.-C.; Yeh, W.-C.; Ohashi, P.S. LPS/TLR4 signal transduction pathway. Cytokine 2008, 42, 145–151. [Google Scholar] [CrossRef]
- Sumneang, N.; Tanajak, P.; Oo, T.T. Toll-like Receptor 4 Inflammatory Perspective on Doxorubicin-Induced Cardiotoxicity. Molecules 2023, 28, 4294. [Google Scholar] [CrossRef] [PubMed]
- Liu, T.; Zhang, L.; Joo, D.; Sun, S.C. NF-κB signaling in inflammation. Signal Transduct. Target. Ther. 2017, 2, 17023. [Google Scholar] [CrossRef] [PubMed]
- Sumneang, N.; Apaijai, N.; Chattipakorn, S.C.; Chattipakorn, N. Myeloid differentiation factor 2 in the heart: Bench to bedside evidence for potential clinical benefits? Pharmacol. Res. 2021, 163, 105239. [Google Scholar] [CrossRef] [PubMed]
- Ahmadabady, S.; Beheshti, F.; Shahidpour, F.; Khordad, E.; Hosseini, M. A protective effect of curcumin on cardiovascular oxidative stress indicators in systemic inflammation induced by lipopolysaccharide in rats. Biochem. Biophys. Rep. 2021, 25, 100908. [Google Scholar] [CrossRef] [PubMed]
- Asgharzadeh, F.; Bargi, R.; Hosseini, M.; Farzadnia, M.; Khazaei, M. Cardiac and renal fibrosis and oxidative stress balance in lipopolysaccharide-induced inflammation in male rats. ARYA Atheroscler. J. 2018, 14, 71–77. [Google Scholar] [CrossRef]
- Bozinovski, S.; Seow, H.J.; Crack, P.J.; Anderson, G.P.; Vlahos, R. Glutathione peroxidase-1 primes pro-inflammatory cytokine production after LPS challenge in vivo. PLoS ONE 2012, 7, e33172. [Google Scholar] [CrossRef] [PubMed]
- Bhattacharyya, J.; Biswas, S.; Datta, A.G. Mode of action of endotoxin: Role of free radicals and antioxidants. Curr. Med. Chem. 2004, 11, 359–368. [Google Scholar] [CrossRef]
- Xu, T.; Liu, R.; Zhu, H.; Zhou, Y.; Pei, T.; Yang, Z. The Inhibition of LPS-Induced Oxidative Stress and Inflammatory Responses Is Associated with the Protective Effect of (-)-Epigallocatechin-3-Gallate on Bovine Hepatocytes and Murine Liver. Antioxidants 2022, 11, 914. [Google Scholar] [CrossRef] [PubMed]
- Suliman, H.B.; Welty-Wolf, K.E.; Carraway, M.; Tatro, L.; Piantadosi, C.A. Lipopolysaccharide induces oxidative cardiac mitochondrial damage and biogenesis. Cardiovasc. Res. 2004, 64, 279–288. [Google Scholar] [CrossRef] [PubMed]
- Zhang, G.; Dong, D.; Wan, X.; Zhang, Y. Cardiomyocyte death in sepsis: Mechanisms and regulation (Review). Mol. Med. Rep. 2022, 26, 257. [Google Scholar] [CrossRef] [PubMed]
- Sheng, S.Y.; Li, J.M.; Hu, X.Y.; Wang, Y. Regulated cell death pathways in cardiomyopathy. Acta Pharmacol. Sin. 2023, 44, 1521–1535. [Google Scholar] [CrossRef] [PubMed]
- Elmore, S. Apoptosis: A review of programmed cell death. Toxicol. Pathol. 2007, 35, 495–516. [Google Scholar] [CrossRef] [PubMed]
- Jan, R.; Chaudhry, G.E. Understanding Apoptosis and Apoptotic Pathways Targeted Cancer Therapeutics. Adv. Pharm. Bull. 2019, 9, 205–218. [Google Scholar] [CrossRef] [PubMed]
- Sun, Z.; Shen, L.; Sun, X.; Tong, G.; Sun, D.; Han, T.; Yang, G.; Zhang, J.; Cao, F.; Yao, L.; et al. Variation of NDRG2 and c-Myc expression in rat heart during the acute stage of ischemia/reperfusion injury. Histochem. Cell Biol. 2011, 135, 27–35. [Google Scholar] [CrossRef] [PubMed]
- Oberholzer, C.; Oberholzer, A.; Clare-Salzler, M.; Moldawer, L.L. Apoptosis in sepsis: A new target for therapeutic exploration. Faseb J. 2001, 15, 879–892. [Google Scholar] [CrossRef]
- Sakuludomkan, W.; Yeewa, R.; Subhawa, S.; Khanaree, C.; Bonness, A.I.; Chewonarin, T. Effects of Fermented Houttuynia cordata Thunb. on Diabetic Rats Induced by a High-Fat Diet with Streptozotocin and on Insulin Resistance in 3T3-L1 Adipocytes. J. Nutr. Metab. 2021, 2021, 6936025. [Google Scholar] [CrossRef]
- Woranam, K.; Senawong, G.; Utaiwat, S.; Yunchalard, S.; Sattayasai, J.; Senawong, T. Anti-inflammatory activity of the dietary supplement Houttuynia cordata fermentation product in RAW264.7 cells and Wistar rats. PLoS ONE 2020, 15, e0230645. [Google Scholar] [CrossRef] [PubMed]
- Kwon, R.H.; Ha, B.J. Increased Flavonoid Compounds from Fermented Houttuynia cordata using Isolated Six of Bacillus from Traditionally Fermented Houttuynia cordata. Toxicol. Res. 2012, 28, 117–122. [Google Scholar] [CrossRef]
- Utaiwat, S.; Senawong, G.; Khongsukwiwat, K.; Woranam, K.; Sattayasai, J.; Senawong, T. Immunomodulatory Potential of the Industrialized Houttuynia cordata Fermentation Product In Vitro and in Wistar Rats. Foods 2021, 10, 2582. [Google Scholar] [CrossRef]
- Kwon, N.; Vinayagam, R.; Do, G.S.; Lee, K.E.; Kang, S.G. Protective Effects of Fermented Houttuynia cordata Against UVA and H2O2-Induced Oxidative Stress in Human Skin Keratinocytes. Appl. Biochem. Biotechnol. 2023, 195, 3027–3046. [Google Scholar] [CrossRef] [PubMed]
- Rafiq, S.; Hao, H.; Ijaz, M.; Raza, A. Pharmacological Effects of Houttuynia cordata Thunb (H. cordata): A Comprehensive Review. Pharmaceuticals 2022, 15, 1079. [Google Scholar] [CrossRef] [PubMed]
- Shuang-yin, P. Extraction of Volatile Oil from Houttuynia cordata and Its Anti-biotic and Anti-virus Activities. Pract. Prev. Med. 2008, 15, 312–316. [Google Scholar]
- Shimura, M.; Zhou, Y.; Asada, Y.; Yoshikawa, T.; Hatake, K.; Takaku, F.; Ishizaka, Y. Inhibition of Vpr-Induced Cell Cycle Abnormality by Quercetin: A Novel Strategy for Searching Compounds Targeting Vpr. Biochem. Biophys. Res. Commun. 1999, 261, 308–316. [Google Scholar] [CrossRef]
- Shim, S.Y.; Seo, Y.K.; Park, J.R. Down-regulation of FcεRI expression by Houttuynia cordata Thunb extract in human basophilic KU812F cells. J. Med. Food 2009, 12, 383–388. [Google Scholar] [CrossRef]
- Miyata, M.; Koyama, T.; Yazawa, K. Water extract of Houttuynia cordata Thunb. leaves exerts anti-obesity effects by inhibiting fatty acid and glycerol absorption. J. Nutr. Sci. Vitaminol. 2010, 56, 150–156. [Google Scholar] [CrossRef] [PubMed]
- Subhawa, S.; Chewonarin, T.; Banjerdpongchai, R. The Effects of Houttuynia cordata Thunb and Piper ribesioides Wall Extracts on Breast Carcinoma Cell Proliferation, Migration, Invasion and Apoptosis. Molecules 2020, 25, 1196. [Google Scholar] [CrossRef] [PubMed]
- Kumar, M.; Prasad, S.K.; Krishnamurthy, S.; Hemalatha, S. Antihyperglycemic Activity of Houttuynia cordata Thunb. in Streptozotocin-Induced Diabetic Rats. Adv. Pharmacol. Sci. 2014, 2014, 809438. [Google Scholar] [CrossRef][Green Version]
- Zhai, J.; Guo, Y. Paeoniflorin attenuates cardiac dysfunction in endotoxemic mice via the inhibition of nuclear factor-κB. Biomed. Pharmacother. 2016, 80, 200–206. [Google Scholar] [CrossRef]
- Zeng, Y.; Zhao, Y.; Dai, S.; Liu, Y.; Zhang, R.; Yan, H.; Zhao, M.; Wang, Y. Impact of lactate dehydrogenase on prognosis of patients undergoing cardiac surgery. BMC Cardiovasc. Disord. 2022, 22, 404. [Google Scholar] [CrossRef] [PubMed]
- Song, J.; Fang, X.; Zhou, K.; Bao, H.; Li, L. Sepsis-induced cardiac dysfunction and pathogenetic mechanisms (Review). Mol. Med. Rep. 2023, 28, 227. [Google Scholar] [CrossRef] [PubMed]
- Tan, S.; Long, Z.; Hou, X.; Lin, Y.; Xu, J.; You, X.; Wang, T.; Zhang, Y. H2 Protects Against Lipopolysaccharide-Induced Cardiac Dysfunction via Blocking TLR4-Mediated Cytokines Expression. Front. Pharmacol. 2019, 10, 865. [Google Scholar] [CrossRef] [PubMed]
- Zhao, H.; Lin, X.; Chen, Q.; Wang, X.; Wu, Y.; Zhao, X. Quercetin inhibits the NOX2/ROS-mediated NF-κB/TXNIP signaling pathway to ameliorate pyroptosis of cardiomyocytes to relieve sepsis-induced cardiomyopathy. Toxicol. Appl. Pharmacol. 2023, 477, 116672. [Google Scholar] [CrossRef] [PubMed]
- Ji, L.; He, Q.; Liu, Y.; Deng, Y.; Xie, M.; Luo, K.; Cai, X.; Zuo, Y.; Wu, W.; Li, Q.; et al. Ketone Body β-Hydroxybutyrate Prevents Myocardial Oxidative Stress in Septic Cardiomyopathy. Oxidative Med. Cell. Longev. 2022, 2022, 2513837. [Google Scholar] [CrossRef]
- Wang, W.; Xia, T.; Yu, X. Wogonin suppresses inflammatory response and maintains intestinal barrier function via TLR4-MyD88-TAK1-mediated NF-κB pathway in vitro. Inflamm. Res. 2015, 64, 423–431. [Google Scholar] [CrossRef]
- Cheong, R.; Hoffmann, A.; Levchenko, A. Understanding NF-κB signaling via mathematical modeling. Mol. Syst. Biol. 2008, 4, 192. [Google Scholar] [CrossRef] [PubMed]
- Traenckner, E.B.; Pahl, H.L.; Henkel, T.; Schmidt, K.N.; Wilk, S.; Baeuerle, P.A. Phosphorylation of human I kappa B-alpha on serines 32 and 36 controls I kappa B-alpha proteolysis and NF-kappa B activation in response to diverse stimuli. Embo J. 1995, 14, 2876–2883. [Google Scholar] [CrossRef] [PubMed]
- Jiang, S.; Shi, D.; Bai, L.; Niu, T.; Kang, R.; Liu, Y. Inhibition of interleukin-6 trans-signaling improves survival and prevents cognitive impairment in a mouse model of sepsis. Int. Immunopharmacol. 2023, 119, 110169. [Google Scholar] [CrossRef] [PubMed]
- van der Poll, T.; Shankar-Hari, M.; Wiersinga, W.J. The immunology of sepsis. Immunity 2021, 54, 2450–2464. [Google Scholar] [CrossRef] [PubMed]
- Bao, M.; Liang, M.; Sun, X.; Mohyuddin, S.G.; Chen, S.; Wen, J.; Yong, Y.; Ma, X.; Yu, Z.; Ju, X.; et al. Baicalin Alleviates LPS-Induced Oxidative Stress via NF-κB and Nrf2–HO1 Signaling Pathways in IPEC-J2 Cells. Front. Vet. Sci. 2022, 8, 808233. [Google Scholar] [CrossRef]
- Irahara, T.; Sato, N.; Inoue, K.; Otake, K.; Ohtsuru, S.; Koike, K.; Fushiki, T.; Yokota, H. Low-intensity exercise in the acute phase of lipopolysaccharide-induced sepsis improves lipid metabolism and survival in mice by stimulating PGC-1α expression. J. Trauma Acute Care Surg. 2016, 80, 933–940. [Google Scholar] [CrossRef] [PubMed]
- Miron, V.V.; Bottari, N.B.; Assmann, C.E.; Stefanello, N.; da Costa, P.; Pelinson, L.P.; Reichert, K.P.; da Silva, A.D.; Lopes, T.F.; da Cruz, I.B.M.; et al. Physical exercise prevents alterations in purinergic system and oxidative status in lipopolysaccharide-induced sepsis in rats. J. Cell. Biochem. 2019, 120, 3232–3242. [Google Scholar] [CrossRef] [PubMed]
- Wang, X.; Wang, Z.; Tang, D. Aerobic exercise improves LPS-induced sepsis via regulating the Warburg effect in mice. Sci. Rep. 2021, 11, 17772. [Google Scholar] [CrossRef]
- Hwang, H.J.; Kim, J.W.; Chung, H.S.; Seo, J.A.; Kim, S.G.; Kim, N.H.; Choi, K.M.; Baik, S.H.; Yoo, H.J. Knockdown of Sestrin2 Increases Lipopolysaccharide-Induced Oxidative Stress, Apoptosis, and Fibrotic Reactions in H9c2 Cells and Heart Tissues of Mice via an AMPK-Dependent Mechanism. Mediat. Inflamm. 2018, 2018, 6209140. [Google Scholar] [CrossRef]
- Woranam, K.; Mootsikapun, P.; Senawong, G.; Prompipak, J.; Promdee, L.; Pintaraks, K.; Ketterman, A.J.; Senawong, T. Safety and immunomodulatory activity of Houttuynia cordata fermentation product in healthy volunteers and its effect on antiretroviral-drug level in rats. Food Agric. Immunol. 2022, 33, 80–96. [Google Scholar] [CrossRef]
- Meng, J.; Leung, K.S.-Y.; Dong, X.-p.; Zhou, Y.-s.; Jiang, Z.-h.; Zhao, Z.-z. Simultaneous quantification of eight bioactive components of Houttuynia cordata and related Saururaceae medicinal plants by on-line high performance liquid chromatography–diode array detector–electrospray mass spectrometry. Fitoterapia 2009, 80, 468–474. [Google Scholar] [CrossRef]
- Wu, L.; Si, J.-P.; Yuan, X.-Q.; Shi, X.-R. Quantitive Variation of Flavonoids in Houttuynia cordata from Different Geographic Origins in China. Chin. J. Nat. Med. 2009, 7, 40–46. [Google Scholar] [CrossRef]
- Song, Z.; Fang, J.; Wang, D.; Tian, Y.; Xu, Y.; Wang, Z.; Geng, J.; Wang, C.; Li, M. Inhibition of LPS-Induced Skin Inflammatory Response and Barrier Damage via MAPK/NF-κB Signaling Pathway by Houttuynia cordata Thunb Fermentation Broth. Foods 2024, 13, 1470. [Google Scholar] [CrossRef] [PubMed]
- Wong, S.Y.; Grant, I.R.; Friedman, M.; Elliott, C.T.; Situ, C. Antibacterial activities of naturally occurring compounds against Mycobacterium avium subsp. paratuberculosis. Appl. Environ. Microbiol. 2008, 74, 5986–5990. [Google Scholar] [CrossRef]
- Lillehoj, H.; Liu, Y.; Calsamiglia, S.; Fernandez-Miyakawa, M.E.; Chi, F.; Cravens, R.L.; Oh, S.; Gay, C.G. Phytochemicals as antibiotic alternatives to promote growth and enhance host health. Vet. Res. 2018, 49, 76. [Google Scholar] [CrossRef]
- Marteau, P.; Gerhardt, M.F.; Myara, A.; Bouvier, E.; Trivin, F.; Rambaud, J.C. Metabolism of Bile Salts by Alimentary Bacteria During Transit in the Human Small Intestine. Microb. Ecol. Health Dis. 1995, 8, 151–157. [Google Scholar] [CrossRef][Green Version]
- Oboh, G.; Alabi, K.B.; Akindahunsi, A.A. Fermentation Changes the Nutritive Value, Polyphenol Distribution, and Antioxidant Properties of Parkia biglobosa Seeds (African Locust Beans). Food Biotechnol. 2008, 22, 363–376. [Google Scholar] [CrossRef]
- Kiriyama, Y.; Tokumaru, H.; Sadamoto, H.; Kobayashi, S.; Nochi, H. Effects of Phenolic Acids Produced from Food-Derived Flavonoids and Amino Acids by the Gut Microbiota on Health and Disease. Molecules 2024, 29, 5102. [Google Scholar] [CrossRef]
- Bhattacharjee, N.; Dua, T.K.; Khanra, R.; Joardar, S.; Nandy, A.; Saha, A.; De Feo, V.; Dewanjee, S. Protocatechuic Acid, a Phenolic from Sansevieria roxburghiana Leaves, Suppresses Diabetic Cardiomyopathy via Stimulating Glucose Metabolism, Ameliorating Oxidative Stress, and Inhibiting Inflammation. Front. Pharmacol. 2017, 8, 251. [Google Scholar] [CrossRef] [PubMed]
- Li, N.; Zhou, H.; Wu, H.; Wu, Q.; Duan, M.; Deng, W.; Tang, Q. STING-IRF3 contributes to lipopolysaccharide-induced cardiac dysfunction, inflammation, apoptosis and pyroptosis by activating NLRP3. Redox Biol. 2019, 24, 101215. [Google Scholar] [CrossRef]
- Sahu, R.; Dua, T.K.; Das, S.; De Feo, V.; Dewanjee, S. Wheat phenolics suppress doxorubicin-induced cardiotoxicity via inhibition of oxidative stress, MAP kinase activation, NF-κB pathway, PI3K/Akt/mTOR impairment, and cardiac apoptosis. Food Chem. Toxicol. 2019, 125, 503–519. [Google Scholar] [CrossRef] [PubMed]
- Liu, Y.; Luo, J.; Peng, L.; Zhang, Q.; Rong, X.; Luo, Y.; Li, J. Flavonoids: Potential therapeutic agents for cardiovascular disease. Heliyon 2024, 10, e32563. [Google Scholar] [CrossRef] [PubMed]
- Chagas, M.; Behrens, M.D.; Moragas-Tellis, C.J.; Penedo, G.X.M.; Silva, A.R.; Gonçalves-de-Albuquerque, C.F. Flavonols and Flavones as Potential anti-Inflammatory, Antioxidant, and Antibacterial Compounds. Oxidative Med. Cell. Longev. 2022, 2022, 9966750. [Google Scholar] [CrossRef] [PubMed]
- Liu, B.; Huang, J.; Zhang, B. Nobiletin protects against murine l-arginine-induced acute pancreatitis in association with downregulating p38MAPK and AKT. Biomed. Pharmacother. 2016, 81, 104–110. [Google Scholar] [CrossRef]





| Name of Antibody | Manufacturer | Host | Dilution |
|---|---|---|---|
| Phosphorylation-NF-κB p65 (ser536) | Cell signaling | Rabbit | 1:1000 |
| TLR-4 | Abcam | Rabbit | 1:1000 |
| Bcl-2 | Merck | Rabbit | 1:1000 |
| Bax | Merck | Rabbit | 1:1000 |
| Cleaved-caspase 3 | Cell signaling | Rabbit | 1:1000 |
| Phosphorylation-IκB-α (ser32) | Abcam | Rabbit | 1:1000 |
| IL-1β | Merck | Rabbit | 1:1000 |
| GAPDH | Sigma-Aldrich | Mouse | 1:5000 |
| Parameters | Major Findings | ||||||
|---|---|---|---|---|---|---|---|
| NSS | LPS (vs. NSS) | * p-Value | FHJ200-LPS (vs. LPS) | † p-Value | FHJ400-LPS (vs. LPS) | † p-Value | |
| %LVEF | ↓ | <0.0001 | ↑ | <0.0001 | ↑ | <0.0001 | |
| %LVFS | ↓ | <0.0001 | ↑ | <0.0001 | ↑ | 0.0001 | |
| Plasma LDH | ↑ | 0.0029 | ↓ | 0.0129 | ↓ | 0.0008 | |
| Plasma CK-MB | ↑ | 0.0226 | ↓ | 0.0212 | ↓ | 0.0386 | |
| Plasma MDA | ↑ | 0.0003 | ↓ | 0.0088 | ↓ | 0.0002 | |
| Cardiac TLR-4 | ↑ | 0.0106 | ↓ | 0.0067 | ↓ | 0.0105 | |
| Cardiac p-IκB-α | ↑ | 0.0056 | ↓ | 0.0101 | ↓ | 0.0021 | |
| Cardiac p-NF-κB | ↑ | 0.0013 | ↓ | 0.0057 | ↓ | 0.0026 | |
| Cardiac IL-1β | ↑ | 0.0013 | ↓ | 0.0438 | ↓ | 0.0014 | |
| Cardiac cleaved-caspase 3 | ↑ | 0.0029 | ↓ | 0.0129 | ↓ | 0.0008 | |
| Cardiac Bax/Bcl-2 | ↑ | 0.0036 | ↓ | 0.0194 | ↓ | 0.0009 | |
Disclaimer/Publisher’s Note: The statements, opinions and data contained in all publications are solely those of the individual author(s) and contributor(s) and not of MDPI and/or the editor(s). MDPI and/or the editor(s) disclaim responsibility for any injury to people or property resulting from any ideas, methods, instructions or products referred to in the content. |
© 2025 by the authors. Licensee MDPI, Basel, Switzerland. This article is an open access article distributed under the terms and conditions of the Creative Commons Attribution (CC BY) license (https://creativecommons.org/licenses/by/4.0/).
Share and Cite
Sumneang, N.; Kobroob, A.; Phungphong, S.; Boonhoh, W.; Punsawad, C.; Kangwan, N. Fermented Houttuynia cordata Juice Exerts Cardioprotective Effects by Alleviating Cardiac Inflammation and Apoptosis in Rats with Lipopolysaccharide-Induced Sepsis. Nutrients 2025, 17, 501. https://doi.org/10.3390/nu17030501
Sumneang N, Kobroob A, Phungphong S, Boonhoh W, Punsawad C, Kangwan N. Fermented Houttuynia cordata Juice Exerts Cardioprotective Effects by Alleviating Cardiac Inflammation and Apoptosis in Rats with Lipopolysaccharide-Induced Sepsis. Nutrients. 2025; 17(3):501. https://doi.org/10.3390/nu17030501
Chicago/Turabian StyleSumneang, Natticha, Anongporn Kobroob, Sukanya Phungphong, Worakan Boonhoh, Chuchard Punsawad, and Napapan Kangwan. 2025. "Fermented Houttuynia cordata Juice Exerts Cardioprotective Effects by Alleviating Cardiac Inflammation and Apoptosis in Rats with Lipopolysaccharide-Induced Sepsis" Nutrients 17, no. 3: 501. https://doi.org/10.3390/nu17030501
APA StyleSumneang, N., Kobroob, A., Phungphong, S., Boonhoh, W., Punsawad, C., & Kangwan, N. (2025). Fermented Houttuynia cordata Juice Exerts Cardioprotective Effects by Alleviating Cardiac Inflammation and Apoptosis in Rats with Lipopolysaccharide-Induced Sepsis. Nutrients, 17(3), 501. https://doi.org/10.3390/nu17030501

