Protective Effects of Black Rice Anthocyanins on D-Galactose-Induced Renal Injury in Mice: The Role of Nrf2 and NF-κB Signaling and Gut Microbiota Modulation
Abstract
1. Introduction
2. Materials and Methods
2.1. Materials
2.2. Animal Experiments
2.3. Determination of Renal Function
2.4. Determination of Antioxidant Indexes
2.5. Measurement of Inflammatory Factors
2.6. Determination of Renal Histopathology
2.7. Determination of Gut Microorganisms
2.8. Western Blot Experiment
2.9. Statistical Analysis
3. Results
3.1. Effect of BRAs on Renal Function in Aging Mice Induced by D-gal
3.2. Effect of BRAs on Antioxidant Indices in Aging Mice Induced by D-gal
3.3. Effects of BRAs on Serum Inflammatory Factors in Aging Mice Induced by D-gal
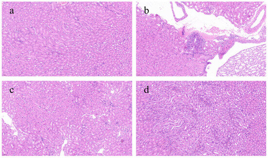
3.4. Effects of BRAs on Renal Histology in Aging Mice Induced by D-gal
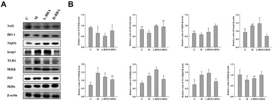
3.5. Effect of BRAs on Nrf2 and NF-κB Signaling in the Kidneys of Aging Mice Induced by D-gal
3.6. Effects of BRAs on Gut Microflora of Aging Mice Induced by D-gal
4. Discussion
5. Conclusions
Author Contributions
Funding
Institutional Review Board Statement
Informed Consent Statement
Data Availability Statement
Conflicts of Interest
References
- Wang, K.; Liu, H.; Hu, Q.; Wang, L.; Liu, J.; Zheng, Z.; Zhang, W.; Ren, J.; Zhu, F.; Liu, G.-H. Epigenetic Regulation of Aging: Implications for Interventions of Aging and Diseases. Signal Transduct. Target. Ther. 2022, 7, 374. [Google Scholar] [CrossRef] [PubMed]
- Chi, M.; Tian, Z.; Ma, K.; Li, Y.; Wang, L.; Nasser, M.I.; Liu, C. The Diseased Kidney: Aging and Senescent Immunology. Immun. Ageing 2022, 19, 58. [Google Scholar] [CrossRef] [PubMed]
- Sun, L.; Sun, Y.; Shan, J.; Jiang, G. Effects of Mineralocorticoid Receptor Antagonists on the Progression of Diabetic Nephropathy. J. Diabetes Investig. 2017, 8, 609–618. [Google Scholar] [CrossRef]
- Thompson, P.D.; Panza, G.; Zaleski, A.; Taylor, B. Statin-Associated Side Effects. J. Am. Coll. Cardiol. 2016, 67, 2395–2410. [Google Scholar] [CrossRef]
- Khan, S.; Loi, V.; Rosner, M.H. Drug-Induced Kidney Injury in the Elderly. Drugs Aging 2017, 34, 729–741. [Google Scholar] [CrossRef]
- Guerreiro, Í.; Ferreira-Pêgo, C.; Carregosa, D.; Santos, C.N.; Menezes, R.; Fernandes, A.S.; Costa, J.G. Polyphenols and Their Metabolites in Renal Diseases: An Overview. Foods 2022, 11, 1060. [Google Scholar] [CrossRef]
- Fan, Y.; Chen, H.; Peng, H.; Huang, F.; Zhong, J.; Zhou, J. Molecular Mechanisms of Curcumin Renoprotection in Experimental Acute Renal Injury. Front. Pharmacol. 2017, 8, 912. [Google Scholar] [CrossRef]
- Liu, T.; Jin, Q.; Yang, L.; Mao, H.; Ma, F.; Wang, Y.; Li, P.; Zhan, Y. Regulation of Autophagy by Natural Polyphenols in the Treatment of Diabetic Kidney Disease: Therapeutic Potential and Mechanism. Front. Endocrinol. 2023, 14, 1142276. [Google Scholar] [CrossRef]
- Milutinović, M.; Ćujić Nikolić, N.; Cvetković, T.; Šavikin, K.; Djordjević, I.; Janković Veličković, L.; Randjelović, M.; Miladinović, B.; Branković, S.; Kitić, D. Chokeberry Products and By-Products as the Potential Pharmaceuticals for Kidney Protection—An Experimental Study in Rats. Plants 2024, 13, 3136. [Google Scholar] [CrossRef]
- Longobardi, C.; Damiano, S.; Fabroni, S.; Montagnaro, S.; Russo, V.; Vaccaro, E.; Giordano, A.; Florio, S.; Ciarcia, R. Red Orange and Lemon Extract Ameliorates the Renal Oxidative Stress and Inflammation Induced by Ochratoxin A through the Modulation of Nrf2. Toxins 2024, 16, 151. [Google Scholar] [CrossRef]
- Adom, K.K.; Liu, R.H. Antioxidant Activity of Grains. J. Agric. Food Chem. 2002, 50, 6182–6187. [Google Scholar] [CrossRef] [PubMed]
- Min, S.-W.; Ryu, S.-N.; Kim, D.-H. Anti-Inflammatory Effects of Black Rice, Cyanidin-3-O-β-d-Glycoside, and Its Metabolites, Cyanidin and Protocatechuic Acid. Int. Immunopharmacol. 2010, 10, 959–966. [Google Scholar] [CrossRef] [PubMed]
- Lu, X.; Zhou, Y.; Wu, T.; Hao, L. Ameliorative Effect of Black Rice Anthocyanin on Senescent Mice Induced by D-Galactose. Food Funct 2014, 5, 2892–2897. [Google Scholar] [CrossRef]
- Li, X.; Zhang, Z.; Zhang, X.; Cheng, J.; Liu, D.; Yan, Y.; Wang, H. Transcriptomic Analysis of the Life-Extending Effect Exerted by Black Rice Anthocyanin Extract in D. Melanogaster through Regulation of Aging Pathways. Exp. Gerontol. 2019, 119, 33–39. [Google Scholar] [CrossRef] [PubMed]
- Poomanee, W.; Wattananapakasem, I.; Panjan, W.; Kiattisin, K. Optimizing Anthocyanins Extraction and the Effect of Cold Plasma Treatment on the Anti-aging Potential of Purple Glutinous Rice (Oryza sativa L.) Extract. Cereal Chem. 2021, 98, 571–582. [Google Scholar] [CrossRef]
- Qi, S.S.; He, J.; Dong, L.C.; Yuan, L.P.; Wu, J.L.; Zu, Y.X.; Zheng, H.X. Cyanidin-3-Glucoside from Black Rice Prevents Renal Dysfunction and Renal Fibrosis in Streptozotocin-Diabetic Rats. J. Funct. Foods 2020, 72, 104062. [Google Scholar] [CrossRef]
- Feng, L.; Ou, W.; Yang, Y.; Qi, Y.; Qi, Z.; Zhang, J. Black Rice Anthocyanins Alleviate Hyperuricemia in Mice: Possible Inhibitory Effects on Xanthine Oxidase Activity by Cyanidin 3-O-Glucoside. J. Cereal Sci. 2022, 104, 103406. [Google Scholar] [CrossRef]
- Li, C.; Mo, Z.; Xie, J.; Xu, L.; Tan, L.; Luo, D.; Chen, H.; Yang, H.; Li, Y.; Su, Z.; et al. Chongcao-Shencha Attenuates Liver and Kidney Injury through Attenuating Oxidative Stress and Inflammatory Response in D-Galactose-Treated Mice. Evid. Based Complement. Alternat. Med. 2016, 2016, 3878740. [Google Scholar] [CrossRef]
- Azman, K.F.; Zakaria, R. D-Galactose-Induced Accelerated Aging Model: An Overview. Biogerontology 2019, 20, 763–782. [Google Scholar] [CrossRef]
- Zhen, Y.-Z.; Lin, Y.-J.; Li, K.-J.; Zhang, G.-L.; Zhao, Y.-F.; Wang, M.-M.; Wei, J.-B.; Wei, J.; Hu, G. Effects of Rhein Lysinate on D-Galactose-Induced Aging Mice. Exp. Ther. Med. 2016, 11, 303–308. [Google Scholar] [CrossRef]
- Chertow, G.M.; Correa-Rotter, R.; Eckardt, K.-U.; Kanda, E.; Karasik, A.; Li, G.; Christiansen, C.F.; Stafylas, P.; Holt, S.G.; Hagen, E.C.; et al. Projecting the Clinical Burden of Chronic Kidney Disease at the Patient Level (Inside CKD): A Microsimulation Modelling Study. eClinicalMedicine 2024, 72, 102614. [Google Scholar] [CrossRef] [PubMed]
- Peng, R.; Liu, K.; Li, W.; Yuan, Y.; Niu, R.; Zhou, L.; Xiao, Y.; Gao, H.; Yang, H.; Zhang, C.; et al. Blood Urea Nitrogen, Blood Urea Nitrogen to Creatinine Ratio and Incident Stroke: The Dongfeng-Tongji Cohort. Atherosclerosis 2021, 333, 1–8. [Google Scholar] [CrossRef] [PubMed]
- Wang, X.; Bonventre, J.; Parrish, A. The Aging Kidney: Increased Susceptibility to Nephrotoxicity. Int. J. Mol. Sci. 2014, 15, 15358–15376. [Google Scholar] [CrossRef] [PubMed]
- Sturmlechner, I.; Durik, M.; Sieben, C.J.; Baker, D.J.; Van Deursen, J.M. Cellular Senescence in Renal Ageing and Disease. Nat. Rev. Nephrol. 2017, 13, 77–89. [Google Scholar] [CrossRef]
- Fan, S.; Zhang, Z.; Zheng, Y.; Lu, J.; Wu, D.; Shan, Q.; Hu, B.; Wang, Y. Troxerutin Protects the Mouse Kidney from D-Galactose-Caused Injury through Anti-Inflammation and Anti-Oxidation. Int. Immunopharmacol. 2009, 9, 91–96. [Google Scholar] [CrossRef]
- Li, W.; Wang, J.-Q.; Zhou, Y.-D.; Hou, J.-G.; Liu, Y.; Wang, Y.-P.; Gong, X.-J.; Lin, X.-H.; Jiang, S.; Wang, Z. Rare Ginsenoside 20(R)-Rg3 Inhibits D-Galactose-Induced Liver and Kidney Injury by Regulating Oxidative Stress-Induced Apoptosis. Am. J. Chin. Med. 2020, 48, 1141–1157. [Google Scholar] [CrossRef]
- Qiu, P.; Chen, J.; Wu, J.; Wang, Q.; Hu, Y.; Li, X.; Shi, H.; Wang, X. The Effect of Anthocyanin from Dioscorea Alata L. after Purification, Identification on Antioxidant Capacity in Mice. Food Sci. Nutr. 2023, 11, 6106–6115. [Google Scholar] [CrossRef]
- Chen, S.; Hu, N.; Wang, H.; Wu, Y.; Li, G. Bioactivity-Guided Isolation of the Major Anthocyanin from Lycium ruthenicum Murr. Fruit and Its Antioxidant Activity and Neuroprotective Effects In Vitro and In Vivo. Food Funct. 2022, 13, 3247–3257. [Google Scholar] [CrossRef]
- Vatner, S.F.; Zhang, J.; Oydanich, M.; Berkman, T.; Naftalovich, R.; Vatner, D.E. Healthful Aging Mediated by Inhibition of Oxidative Stress. Ageing Res. Rev. 2020, 64, 101194. [Google Scholar] [CrossRef]
- Ma, Y.; Wang, X.; Li, X.; Chen, X.; Teng, Z.; Wang, X.; Yang, J.; Liu, G. COP-22 Alleviates D-Galactose-Induced Brain Aging by Attenuating Oxidative Stress, Inflammation, and Apoptosis in Mice. Mol. Neurobiol. 2024, 61, 6708–6720. [Google Scholar] [CrossRef]
- Lim, J.H.; Kim, E.N.; Kim, M.Y.; Chung, S.; Shin, S.J.; Kim, H.W.; Yang, C.W.; Kim, Y.-S.; Chang, Y.S.; Park, C.W.; et al. Age-Associated Molecular Changes in the Kidney in Aged Mice. Oxid. Med. Cell. Longev. 2012, 2012, 171383. [Google Scholar] [CrossRef] [PubMed]
- Nikbakht, E.; Singh, I.; Vider, J.; Williams, L.T.; Vugic, L.; Gaiz, A.; Kundur, A.R.; Colson, N. Potential of Anthocyanin as an Anti-Inflammatory Agent: A Human Clinical Trial on Type 2 Diabetic, Diabetic at-Risk and Healthy Adults. Inflamm. Res. 2021, 70, 275–284. [Google Scholar] [CrossRef] [PubMed]
- Zhang, H.; Xu, Z.; Zhao, H.; Wang, X.; Pang, J.; Li, Q.; Yang, Y.; Ling, W. Anthocyanin Supplementation Improves Anti-Oxidative and Anti-Inflammatory Capacity in a Dose–Response Manner in Subjects with Dyslipidemia. Redox Biol. 2020, 32, 101474. [Google Scholar] [CrossRef]
- Schmidlin, C.J.; Dodson, M.B.; Madhavan, L.; Zhang, D.D. Redox Regulation by NRF2 in Aging and Disease. Free Radic. Biol. Med. 2019, 134, 702–707. [Google Scholar] [CrossRef]
- Kubben, N.; Zhang, W.; Wang, L.; Voss, T.C.; Yang, J.; Qu, J.; Liu, G.-H.; Misteli, T. Repression of the Antioxidant NRF2 Pathway in Premature Aging. Cell 2016, 165, 1361–1374. [Google Scholar] [CrossRef]
- Kaspar, J.W.; Niture, S.K.; Jaiswal, A.K. Nrf2:INrf2 (Keap1) Signaling in Oxidative Stress. Free Radic. Biol. Med. 2009, 47, 1304–1309. [Google Scholar] [CrossRef]
- Lee, J.; Li, J.; Johnson, D.A.; Stein, T.D.; Kraft, A.D.; Calkins, M.J.; Jakel, R.J.; Johnson, J.A. Nrf2, a Multi-organ Protector? FASEB J. 2005, 19, 1061–1066. [Google Scholar] [CrossRef]
- Wang, X.; Hai, C.X.; Liang, X.; Yu, S.X.; Zhang, W.; Li, Y.L. The Protective Effects of Acanthopanax Senticosus Harms Aqueous Extracts against Oxidative Stress: Role of Nrf2 and Antioxidant Enzymes. J. Ethnopharmacol. 2010, 127, 424–432. [Google Scholar] [CrossRef]
- Lee, S.G.; Kim, B.; Yang, Y.; Pham, T.X.; Park, Y.-K.; Manatou, J.; Koo, S.I.; Chun, O.K.; Lee, J.-Y. Berry Anthocyanins Suppress the Expression and Secretion of Proinflammatory Mediators in Macrophages by Inhibiting Nuclear Translocation of NF-κB Independent of NRF2-Mediated Mechanism. J. Nutr. Biochem. 2014, 25, 404–411. [Google Scholar] [CrossRef]
- Salminen, A.; Huuskonen, J.; Ojala, J.; Kauppinen, A.; Kaarniranta, K.; Suuronen, T. Activation of Innate Immunity System during Aging: NF-kB Signaling Is the Molecular Culprit of Inflamm-Aging. Ageing Res. Rev. 2008, 7, 83–105. [Google Scholar] [CrossRef]
- Dambach, D.; Durham, S.; Laskin, J.; Laskin, D. Distinct Roles of NF-κB P50 in the Regulation of Acetaminophen-Induced Inflammatory Mediator Production and Hepatotoxicity. Toxicol. Appl. Pharmacol. 2006, 211, 157–165. [Google Scholar] [CrossRef] [PubMed]
- Wang, G.; Wang, X.; Zheng, X.; Sun, S.; Zhao, J.; Long, Y.; Mao, Y. Acidic Oligosaccharide Sugar Chain Combined with Hyperbaric Oxygen Delays D-Galactose-Induced Brain Senescence in Mice via Attenuating Oxidative Stress and Neuroinflammation. Neurosci. Res. 2022, 185, 40–48. [Google Scholar] [CrossRef] [PubMed]
- Ghorbanpour, A.; Salari, S.; Baluchnejadmojarad, T.; Roghani, M. Capsaicin Protects against Septic Acute Liver Injury by Attenuation of Apoptosis and Mitochondrial Dysfunction. Heliyon 2023, 9, e14205. [Google Scholar] [CrossRef]
- Ferrari, D.; Speciale, A.; Cristani, M.; Fratantonio, D.; Molonia, M.S.; Ranaldi, G.; Saija, A.; Cimino, F. Cyanidin-3-O-Glucoside Inhibits NF-kB Signalling in Intestinal Epithelial Cells Exposed to TNF-α and Exerts Protective Effects via Nrf2 Pathway Activation. Toxicol. Lett. 2016, 264, 51–58. [Google Scholar] [CrossRef]
- Zhang, J.; Chen, S.-L.; Li, L.-B. Correlation between Intestinal Flora and Serum Inflammatory Factors in Crohn’s Disease. Eur. Rev. Med. Pharmacol. Sci. 2017, 21, 4913–4917. [Google Scholar]
- Zhang, R.; Zhou, Z.; Ma, Y.; Du, K.; Sun, M.; Zhang, H.; Tu, H.; Jiang, X.; Lu, J.; Tu, L.; et al. Anti-Gastric Cancer Activity of the Cell-Free Culture Supernatant of Serofluid Dish and Lactiplantibacillus Plantarum YT013. Front. Bioeng. Biotechnol. 2022, 10, 898240. [Google Scholar] [CrossRef]






| Sample/Estimators | Ace | Chao | Shannon | Simpson |
|---|---|---|---|---|
| C | 523.45 ± 26.54 ab | 521.73 ± 27.20 ab | 4.35 ± 0.13 ab | 0.02 ± 0.00 a |
| M | 470.81 ± 51.58 b | 472.46 ± 47.42 b | 4.00 ± 0.22 b | 0.05 ± 0.02 a |
| H-BRA | 582.53 ± 39.56 a | 570.45 ± 36.00 a | 4.41 ± 0.10 a | 0.03 ± 0.01 a |
Disclaimer/Publisher’s Note: The statements, opinions and data contained in all publications are solely those of the individual author(s) and contributor(s) and not of MDPI and/or the editor(s). MDPI and/or the editor(s) disclaim responsibility for any injury to people or property resulting from any ideas, methods, instructions or products referred to in the content. |
© 2025 by the authors. Licensee MDPI, Basel, Switzerland. This article is an open access article distributed under the terms and conditions of the Creative Commons Attribution (CC BY) license (https://creativecommons.org/licenses/by/4.0/).
Share and Cite
Sun, D.; Wang, W.; Fan, Q.; Wang, X.; Xu, X.; Jiang, W.; Zhao, L.; Li, H.; Fu, Z.; Zhao, L.; et al. Protective Effects of Black Rice Anthocyanins on D-Galactose-Induced Renal Injury in Mice: The Role of Nrf2 and NF-κB Signaling and Gut Microbiota Modulation. Nutrients 2025, 17, 502. https://doi.org/10.3390/nu17030502
Sun D, Wang W, Fan Q, Wang X, Xu X, Jiang W, Zhao L, Li H, Fu Z, Zhao L, et al. Protective Effects of Black Rice Anthocyanins on D-Galactose-Induced Renal Injury in Mice: The Role of Nrf2 and NF-κB Signaling and Gut Microbiota Modulation. Nutrients. 2025; 17(3):502. https://doi.org/10.3390/nu17030502
Chicago/Turabian StyleSun, Dan, Wei Wang, Qian Fan, Xinyi Wang, Xinyan Xu, Weiye Jiang, Liang Zhao, Hong Li, Zhifang Fu, Lei Zhao, and et al. 2025. "Protective Effects of Black Rice Anthocyanins on D-Galactose-Induced Renal Injury in Mice: The Role of Nrf2 and NF-κB Signaling and Gut Microbiota Modulation" Nutrients 17, no. 3: 502. https://doi.org/10.3390/nu17030502
APA StyleSun, D., Wang, W., Fan, Q., Wang, X., Xu, X., Jiang, W., Zhao, L., Li, H., Fu, Z., Zhao, L., & Jiao, H. (2025). Protective Effects of Black Rice Anthocyanins on D-Galactose-Induced Renal Injury in Mice: The Role of Nrf2 and NF-κB Signaling and Gut Microbiota Modulation. Nutrients, 17(3), 502. https://doi.org/10.3390/nu17030502

