Study on the Regulatory Mechanism of Niacin Combined with B. animalis F1-7 in Alleviating Alcoholic Fatty Liver Disease by Up-Regulating GPR109A
Abstract
1. Introduction
2. Materials and Methods
2.1. Strain and Culture
2.2. Animal Model and Sample Collection
2.3. Determination of Body Weight and Liver Index
2.4. Detection of Serum Biochemical Indicators
2.5. Measurement of TG and TC in Liver
2.6. Serum Inflammatory Factor Detection
2.7. Histological Analysis
2.8. Immunofluorescence and Immunohistochemical Staining
2.9. Determination of Key Protein Expression by Western Blotting
2.10. Sequencing Analysis of 16srRNA
2.11. Measurement of Intestinal Short-Chain Fatty Acids
2.12. Statistical Analysis
3. Results
3.1. Effects of Niacin and B. animalis F1-7 on Body Weight and Liver Index
3.2. Effects of Niacin and B. animalis F1-7 on Liver Injury
3.3. Effects of Niacin and B. animalis F1-7 on Lipid Disorders
3.4. Effects of Niacin and B. animalis F1-7 Intervention on Serum Inflammatory Factor
3.5. Effects of Niacin and B. animalis F1-7 on Liver Lipids
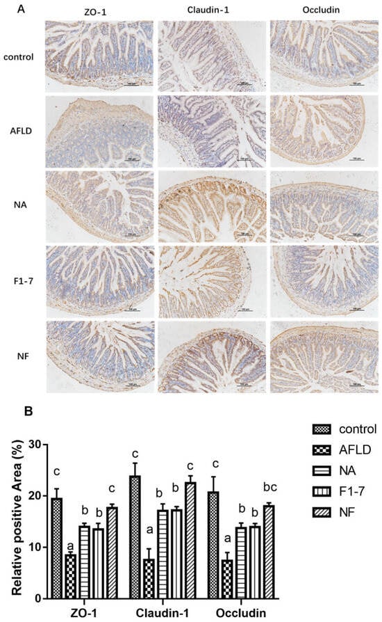
3.6. Effects of Niacin and B. animalis F1-7 on Intestinal Barrier Key Protein Expression
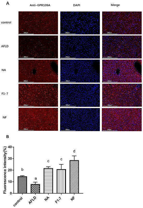
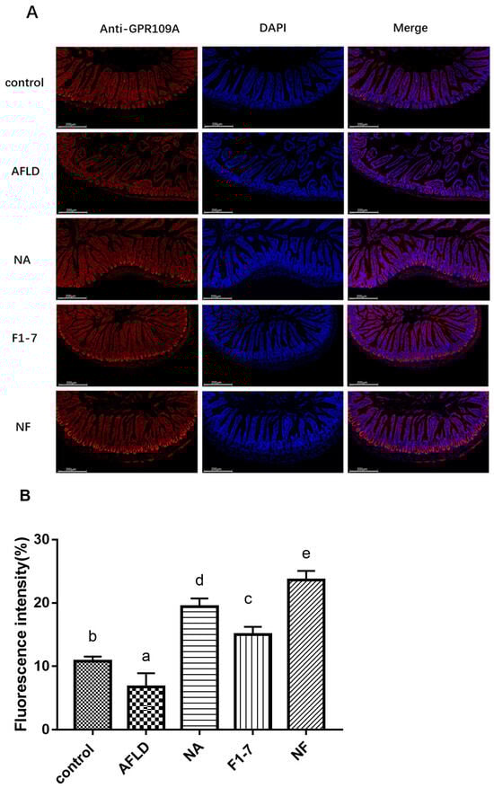
3.7. Effects of Niacin and B. animalis F1-7 on the Expression of GPR109A
3.8. Effects of Niacin and B. animalis F1-7 on the Expression of Proteins Related to Lipid Metabolism in the Liver
3.9. Effects of Niacin and B. animalis F1-7 on Gut Microbiota
3.10. Effects of Niacin and B. animalis F1-7 on Intestinal Short-Chain Fatty Acids
4. Discussion
5. Conclusions
Supplementary Materials
Author Contributions
Funding
Institutional Review Board Statement
Informed Consent Statement
Data Availability Statement
Acknowledgments
Conflicts of Interest
Abbreviations
References
- Collaborators, G.A. Alcohol use and burden for 195 countries and territories, 1990–2016: A systematic analysis for the Global Burden of Disease Study 2016. Lancet 2018, 392, 1015–1035. [Google Scholar] [CrossRef]
- Yang, Y.; Schnabl, B. Gut Bacteria in Alcohol-Associated Liver Disease. Clin. Liver Dis. 2024, 28, 663–679. [Google Scholar] [CrossRef] [PubMed]
- Albillos, A.; de Gottardi, A.; Rescigno, M. The gut-liver axis in liver disease: Pathophysiological basis for therapy. J. Hepatol. 2020, 72, 558–577. [Google Scholar] [CrossRef] [PubMed]
- Nabity, S.A.; Mponda, K.; Gutreuter, S.; Surie, D.; Zimba, S.B.; Chisuwo, L.; Moffitt, A.; Williams, A.M.; Sharma, A.J.; Marshall, R.E.; et al. Isoniazid-associated pellagra during mass scale-up of tuberculosis preventive therapy: A case-control study. Lancet. Glob. Health 2022, 10, e705–e714. [Google Scholar] [CrossRef]
- Chellappa, K.; McReynolds, M.R.; Lu, W.; Zeng, X.; Makarov, M.; Hayat, F.; Mukherjee, S.; Bhat, Y.R.; Lingala, S.R.; Shima, R.T.; et al. NAD precursors cycle between host tissues and the gut microbiome. Cell Metab 2022, 34, 1947–1959.e1945. [Google Scholar] [CrossRef]
- Minto, C.; Vecchio, M.G.; Lamprecht, M.; Gregori, D. Definition of a tolerable upper intake level of niacin: A systematic review and meta-analysis of the dose-dependent effects of nicotinamide and nicotinic acid supplementation. Nutr. Rev. 2017, 75, 471–490. [Google Scholar] [CrossRef]
- Ye, L.; Cao, Z.; Lai, X.; Wang, W.; Guo, Z.; Yan, L.; Wang, Y.; Shi, Y.; Zhou, N. Niacin fine-tunes energy homeostasis through canonical GPR109A signaling. FASEB J. Off. Publ. Fed. Am. Soc. Exp. Biol. 2019, 33, 4765–4779. [Google Scholar] [CrossRef]
- Canfora, E.E.; Jocken, J.W.; Blaak, E.E. Short-chain fatty acids in control of body weight and insulin sensitivity. Nat. Rev. Endocrinol. 2015, 11, 577–591. [Google Scholar] [CrossRef]
- Li, H.Y.; Zhou, D.D.; Gan, R.Y.; Huang, S.Y.; Zhao, C.N.; Shang, A.; Xu, X.Y.; Li, H.B. Effects and Mechanisms of Probiotics, Prebiotics, Synbiotics, and Postbiotics on Metabolic Diseases Targeting Gut Microbiota: A Narrative Review. Nutrients 2021, 13, 3211. [Google Scholar] [CrossRef]
- Yu, J.S.; Youn, G.S.; Choi, J.; Kim, C.H.; Kim, B.Y.; Yang, S.J.; Lee, J.H.; Park, T.S.; Kim, B.K.; Kim, Y.B.; et al. Lactobacillus lactis and Pediococcus pentosaceus-driven reprogramming of gut microbiome and metabolome ameliorates the progression of non-alcoholic fatty liver disease. Clin. Transl. Med. 2021, 11, e634. [Google Scholar] [CrossRef]
- Roy, S.; Dhaneshwar, S. Role of prebiotics, probiotics, and synbiotics in management of inflammatory bowel disease: Current perspectives. World J. Gastroenterol. 2023, 29, 2078–2100. [Google Scholar] [CrossRef] [PubMed]
- Liang, X.; Zheng, X.; Wang, P.; Zhang, H.; Ma, Y.; Liang, H.; Zhang, Z. Bifidobacterium animalis subsp. lactis F1-7 Alleviates Lipid Accumulation in Atherosclerotic Mice via Modulating Bile Acid Metabolites to Downregulate Intestinal FXR. J. Agric. Food Chem. 2024, 72, 2585–2597. [Google Scholar] [CrossRef] [PubMed]
- Liang, X.; Zhang, Z.; Tian, X.Y.; Cui, Q.Y.; Lu, H.Y.; Zhao, M.Z.; Liu, T.J.; Yi, H.X.; Gong, P.M.; Zhang, L.W. Metabolite acetyl-L-carnitine participates in Bifidobacterium animalis F1-7 to ameliorate atherosclerotic inflammation by downregulating theTLR4/NF-KB pathway. Food Sci. Hum. Wellness 2024, 13, 813–822. [Google Scholar] [CrossRef]
- Sang, L.; Yang, S.; Zhu, Y.; Zhu, Z.; Yang, B.; Li, Z.; Mao, X.; Chen, S.; Li, C.; Du, J.; et al. The combined use of B vitamins and probiotics promotes B vitamin absorption and increases Akkermansia abundance. Food Funct. 2024, 15, 7017–7031. [Google Scholar] [CrossRef] [PubMed]
- Ding, J.; Xu, M.; Du, W.; Fang, Z.Q.; Xu, H.; Liu, J.J.; Song, P.; Xu, C.; Li, Z.W.; Yue, Z.S.; et al. Myeloid-specific blockade of Notch signaling ameliorates nonalcoholic fatty liver disease in mice. Int. J. Biol. Sci. 2023, 19, 1941–1954. [Google Scholar] [CrossRef]
- Wang, P.; Guo, P.; Wang, Y.; Teng, X.; Zhang, H.; Sun, L.; Xue, M.; Liang, H. Propolis Ameliorates Alcohol-Induced Depressive Symptoms in C57BL/6J Mice by Regulating Intestinal Mucosal Barrier Function and Inflammatory Reaction. Nutrients 2022, 14, 1213. [Google Scholar] [CrossRef]
- Wang, H.; Fan, C.; Zhao, Z.; Zhai, Z.; Hao, Y. Anti-inflammatory effect of Bifidobacterium animalis subsp. lactis A6 on DSS-induced colitis in mice. J. Appl. Microbiol. 2022, 133, 2063–2073. [Google Scholar] [CrossRef]
- Li, H.; Xi, Y.; Xin, X.; Feng, Q.; Hu, Y. Geniposide plus chlorogenic acid reverses non-alcoholic steatohepatitis via regulation of gut microbiota and bile acid signaling in a mouse model in vivo. Front. Pharmacol. 2023, 14, 1148737. [Google Scholar] [CrossRef] [PubMed]
- Lu, Y.; Yu, Z.; Zhang, Z.; Liang, X.; Gong, P.; Yi, H.; Yang, L.; Liu, T.; Shi, H.; Zhang, L. Bifidobacterium animalis F1-7 in combination with konjac glucomannan improves constipation in mice via humoral transport. Food Funct. 2021, 12, 791–801. [Google Scholar] [CrossRef]
- Fuster, D.; Samet, J.H. Alcohol Use in Patients with Chronic Liver Disease. N. Engl. J. Med. 2018, 379, 1251–1261. [Google Scholar] [CrossRef]
- Adolph, T.E.; Grander, C.; Moschen, A.R.; Tilg, H. Liver-Microbiome Axis in Health and Disease. Trends Immunol. 2018, 39, 712–723. [Google Scholar] [CrossRef] [PubMed]
- Jeon, S.; Carr, R. Alcohol effects on hepatic lipid metabolism. J. Lipid. Res. 2020, 61, 470–479. [Google Scholar] [CrossRef] [PubMed]
- Thomes, P.G.; Rasineni, K.; Saraswathi, V.; Kharbanda, K.K.; Clemens, D.L.; Sweeney, S.A.; Kubik, J.L.; Donohue, T.M., Jr.; Casey, C.A. Natural Recovery by the Liver and Other Organs after Chronic Alcohol Use. Alcohol. Res. Curr. Rev. 2021, 41, 05. [Google Scholar] [CrossRef] [PubMed]
- Kourkoumpetis, T.; Sood, G. Pathogenesis of Alcoholic Liver Disease: An Update. Clin. Liver Dis. 2019, 23, 71–80. [Google Scholar] [CrossRef]
- Kisseleva, T.; Brenner, D.A. The Crosstalk between Hepatocytes, Hepatic Macrophages, and Hepatic Stellate Cells Facilitates Alcoholic Liver Disease. Cell Metab 2019, 30, 850–852. [Google Scholar] [CrossRef]
- Jadeja, R.N.; Jones, M.A.; Fromal, O.; Powell, F.L.; Khurana, S.; Singh, N.; Martin, P.M. Loss of GPR109A/HCAR2 induces aging-associated hepatic steatosis. Aging 2019, 11, 386–400. [Google Scholar] [CrossRef]
- Ye, L.; Cao, Z.; Lai, X.; Shi, Y.; Zhou, N. Niacin Ameliorates Hepatic Steatosis by Inhibiting De Novo Lipogenesis Via a GPR109A-Mediated PKC-ERK1/2-AMPK Signaling Pathway in C57BL/6 Mice Fed a High-Fat Diet. J. Nutr. 2020, 150, 672–684. [Google Scholar] [CrossRef]
- Lee, A.K.; Kim, D.H.; Bang, E.; Choi, Y.J.; Chung, H.Y. β-Hydroxybutyrate Suppresses Lipid Accumulation in Aged Liver through GPR109A-mediated Signaling. Aging Dis. 2020, 11, 777–790. [Google Scholar] [CrossRef]
- Titcomb, T.J.; Tanumihardjo, S.A. Global Concerns with B Vitamin Statuses: Biofortification, Fortification, Hidden Hunger, Interactions, and Toxicity. Compr. Rev. Food Sci. Food Saf. 2019, 18, 1968–1984. [Google Scholar] [CrossRef]
- Yoon, Y.S.; Chung, K.S.; Lee, S.Y.; Heo, S.W.; Kim, Y.R.; Lee, J.K.; Kim, H.; Park, S.; Shin, Y.K.; Lee, K.T. Anti-obesity effects of a standardized ethanol extract of Eisenia bicyclis by regulating the AMPK signaling pathway in 3T3-L1 cells and HFD-induced mice. Food Funct. 2024, 15, 6424–6437. [Google Scholar] [CrossRef]
- Fang, C.; Pan, J.; Qu, N.; Lei, Y.; Han, J.; Zhang, J.; Han, D. The AMPK pathway in fatty liver disease. Front. Physiol. 2022, 13, 970292. [Google Scholar] [CrossRef]
- He, W.; Gao, Z.; Liu, S.; Tan, L.; Wu, Y.; Liu, J.; Zheng, Z.; Fan, W.; Luo, Y.; Chen, Z.; et al. G protein-coupled estrogen receptor activation by bisphenol-A disrupts lipid metabolism and induces ferroptosis in the liver. Environ. Pollut. 2023, 334, 122211. [Google Scholar] [CrossRef] [PubMed]
- Zhang, Z.; Li, J.; Zhang, M.; Li, B.; Pan, X.; Dong, X.; Pan, L.L.; Sun, J. GPR109a Regulates Phenotypic and Functional Alterations in Macrophages and the Progression of Type 1 Diabetes. Mol. Nutr. Food Res. 2022, 66, e2200300. [Google Scholar] [CrossRef] [PubMed]
- Wu, J.; Wang, K.; Wang, X.; Pang, Y.; Jiang, C. The role of the gut microbiome and its metabolites in metabolic diseases. Protein Cell 2021, 12, 360–373. [Google Scholar] [CrossRef] [PubMed]
- Fujio-Vejar, S.; Vasquez, Y.; Morales, P.; Magne, F.; Vera-Wolf, P.; Ugalde, J.A.; Navarrete, P.; Gotteland, M. The Gut Microbiota of Healthy Chilean Subjects Reveals a High Abundance of the Phylum Verrucomicrobia. Front. Microbiol. 2017, 8, 1221. [Google Scholar] [CrossRef] [PubMed]
- He, Y.; Zhu, Y.; Shui, X.; Huang, Z.; Li, K.; Lei, W. Gut microbiome and metabolomic profiles reveal the antiatherosclerotic effect of indole-3-carbinol in high-choline-fed ApoE(-/-) mice. Phytomedicine 2024, 129, 155621. [Google Scholar] [CrossRef] [PubMed]
- Schneeberger, M.; Everard, A.; Gómez-Valadés, A.G.; Matamoros, S.; Ramírez, S.; Delzenne, N.M.; Gomis, R.; Claret, M.; Cani, P.D. Akkermansia muciniphila inversely correlates with the onset of inflammation, altered adipose tissue metabolism and metabolic disorders during obesity in mice. Sci. Rep. 2015, 5, 16643. [Google Scholar] [CrossRef] [PubMed]
- Cani, P.D.; Depommier, C.; Derrien, M.; Everard, A.; de Vos, W.M. Akkermansia muciniphila: Paradigm for next-generation beneficial microorganisms. Nat. Rev. Gastroenterol. Hepatol. 2022, 19, 625–637. [Google Scholar] [CrossRef]
- Mu, H.; Zhou, Q.; Yang, R.; Zeng, J.; Li, X.; Zhang, R.; Tang, W.; Li, H.; Wang, S.; Shen, T.; et al. Naringin Attenuates High Fat Diet Induced Non-alcoholic Fatty Liver Disease and Gut Bacterial Dysbiosis in Mice. Front. Microbiol. 2020, 11, 585066. [Google Scholar] [CrossRef]
- Ratajczak, W.; Rył, A.; Mizerski, A.; Walczakiewicz, K.; Sipak, O.; Laszczyńska, M. Immunomodulatory potential of gut microbiome-derived short-chain fatty acids (SCFAs). Acta Biochim. Pol. 2019, 66, 1–12. [Google Scholar] [CrossRef]
- Xie, N.N.; Wu, C.Y.; Ge, Q.; Zhou, J.; Long, F.; Mao, Q.; Li, S.L.; Shen, H. Structure-specific antitumor effects and potential gut microbiota-involved mechanisms of ginseng polysaccharides on B16F10 melanoma-bearing mice. Food Funct. 2023, 14, 796–809. [Google Scholar] [CrossRef]
- Shen, J.; Wang, S.; Xia, H.; Han, S.; Wang, Q.; Wu, Z.; Zhuge, A.; Li, S.; Chen, H.; Lv, L.; et al. Akkermansia muciniphila attenuated lipopolysaccharide-induced acute lung injury by modulating the gut microbiota and SCFAs in mice. Food Funct. 2023, 14, 10401–10417. [Google Scholar] [CrossRef] [PubMed]













| Group | Body Weight (g) | Liver Index (%) |
|---|---|---|
| Control | 27.74 ± 1.28 b | 4.43 ± 0.26 a |
| AFLD | 22.53 ± 1.30 a | 5.80 ± 0.52 c |
| NA | 23.88 ± 1.38 a | 4.94 ± 0.17 a,b |
| F1-7 | 23.04 ± 1.72 a | 5.21 ± 0.32 b |
| NF | 23.66 ± 1.98 a | 4.62 ± 0.22 a |
Disclaimer/Publisher’s Note: The statements, opinions and data contained in all publications are solely those of the individual author(s) and contributor(s) and not of MDPI and/or the editor(s). MDPI and/or the editor(s) disclaim responsibility for any injury to people or property resulting from any ideas, methods, instructions or products referred to in the content. |
© 2024 by the authors. Licensee MDPI, Basel, Switzerland. This article is an open access article distributed under the terms and conditions of the Creative Commons Attribution (CC BY) license (https://creativecommons.org/licenses/by/4.0/).
Share and Cite
Liang, X.; Shan, T.; Zheng, X.; Zhang, Z.; Fan, Y.; Zhang, H.; Zhang, L.; Liang, H. Study on the Regulatory Mechanism of Niacin Combined with B. animalis F1-7 in Alleviating Alcoholic Fatty Liver Disease by Up-Regulating GPR109A. Nutrients 2024, 16, 4170. https://doi.org/10.3390/nu16234170
Liang X, Shan T, Zheng X, Zhang Z, Fan Y, Zhang H, Zhang L, Liang H. Study on the Regulatory Mechanism of Niacin Combined with B. animalis F1-7 in Alleviating Alcoholic Fatty Liver Disease by Up-Regulating GPR109A. Nutrients. 2024; 16(23):4170. https://doi.org/10.3390/nu16234170
Chicago/Turabian StyleLiang, Xi, Tianhu Shan, Xiumei Zheng, Zhe Zhang, Yanping Fan, Huaqi Zhang, Lanwei Zhang, and Hui Liang. 2024. "Study on the Regulatory Mechanism of Niacin Combined with B. animalis F1-7 in Alleviating Alcoholic Fatty Liver Disease by Up-Regulating GPR109A" Nutrients 16, no. 23: 4170. https://doi.org/10.3390/nu16234170
APA StyleLiang, X., Shan, T., Zheng, X., Zhang, Z., Fan, Y., Zhang, H., Zhang, L., & Liang, H. (2024). Study on the Regulatory Mechanism of Niacin Combined with B. animalis F1-7 in Alleviating Alcoholic Fatty Liver Disease by Up-Regulating GPR109A. Nutrients, 16(23), 4170. https://doi.org/10.3390/nu16234170

