Phytochemical, Cytoprotective Profiling, and Anti-Inflammatory Potential of Colchicum luteum in Rheumatoid Arthritis: An Experimental and Simulation Study
Highlights
- Colchicum luteum hydroethanolic extract (CLHE) was established as safe and non-toxic at an unprecedented high dose of 5000 mg/kg, markedly extending the known safety profile of Colchicum luteum.
- A comparative analysis demonstrated that CLHE is highly effective in alleviating arthritic symptoms in CIA in mice compared to ibuprofen, positioning it as a safer and more effective alternative to traditional NSAIDs.
- A novel bioactive compound, CL15, was identified from CLHE, which selectively inhibits COX-2, highlighting its potential as a druggable candidate for targeted anti-inflammatory therapy.
Abstract
1. Introduction
2. Materials and Methods
2.1. The Phytochemical Analysis and Characterization of the Extract
2.1.1. Identification of Colchicum luteum Herb and Extract Preparation
2.1.2. Phytochemical Screening
2.1.3. Total Phenolic and Flavonoid Content
2.1.4. Chromatographic Characterization
2.2. Evaluation of the Biological Activity of CLHE
2.2.1. Inhibition of Protein Denaturation
2.2.2. Free Radical Scavenging Activity
2.3. Experimental Animals
2.4. Cell Lines
2.5. Toxicology Profile of CLHE
2.5.1. In Vitro Toxicity Studies
2.5.2. In Vivo Toxicity Studies
2.6. Analysis of Anti-Inflammatory Activity in Arthritic Mice Model
2.6.1. Collagen Induced Arthritis (CIA) Model Development
2.6.2. Arthritis Index
2.6.3. Spleen Indices
2.6.4. Serum Antibody Analysis
2.6.5. Quantitative Real-Time PCR Analysis
2.6.6. Histological Analysis
2.7. In Silico Analysis of C. luteum Bioactive Compound
2.7.1. ADMET Screening of Bioactive Compounds
2.7.2. Toxicology Profiling of Shortlisted Compounds
2.7.3. Target Preparation
2.7.4. Molecular Docking
2.7.5. Molecular Dynamic Simulation
2.7.6. Binding Free Energy Calculation
2.8. Statistical Analysis
3. Results
3.1. CLHE Phytochemical Screening, Quantification and Characterization
3.2. CLHE Biological Potential
3.3. Invitro Cytotoxicity Effect of CLHE
3.4. In Vivo Acute Toxicity Effect of CLHE
3.5. Effect of CHLE on Paw Swelling and Arthritic Index
3.6. Effect of CHLE on C-Reactive Protein
3.7. Effect of CHLE on Spleen Indices
3.8. Effect of CLHE on Inflammatory Biomarkers
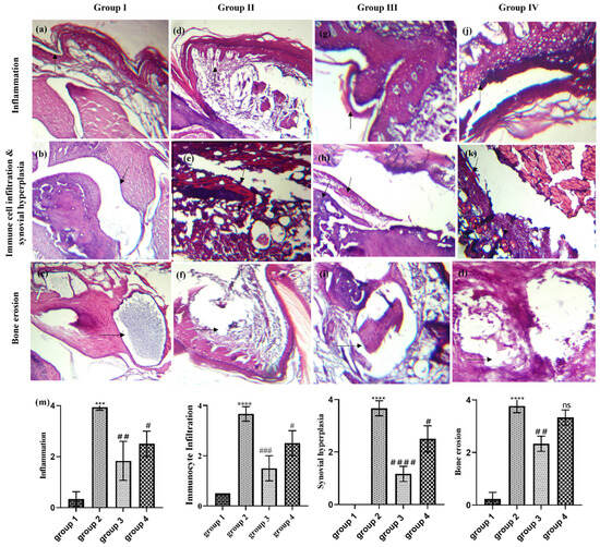
3.9. Effect of CLHE on Histopathological Changes
3.10. In Silico Analysis of C. luteum Bioactive Compounds
3.10.1. Screening of Bioactive Compounds
3.10.2. Toxicity Profiling of Bioactive Compound
3.10.3. Molecular Docking
3.10.4. Molecular Dynamics Simulation
4. Discussion
5. Conclusions
Supplementary Materials
Author Contributions
Funding
Institutional Review Board Statement
Informed Consent Statement
Data Availability Statement
Acknowledgments
Conflicts of Interest
Abbreviations
| Arg | Arginine |
| CLHE | Colchicum luteum hydroethanolic extract |
| COX-2 | Cyclooxygenase 2 |
| CRP | C-reactive protein |
| DMARDs | Disease-modifying anti-rheumatic drugs |
| DMEM | Dulbecco’s modified Eagle medium |
| DPPH | 2,2-diphenyl-1-picrylhydrazyl |
| FBS | Fetal bovine serum |
| GAPDH | Glyceraldehyde-3-phosphate dehydrogenase |
| GC-MS | Gas chromatography-mass spectrometry |
| GHS | Globally harmonized system |
| H&E | Hematoxylin and eosin |
| H-bond | Hydrogen bond |
| HCEC | Human colon epithelial cells |
| IC50 | Half maximal inhibitory concentration |
| LD50 | Lethal dose 50% |
| MDS | Molecular dynamics simulation |
| MMP-9 | Matrix metalloproteinase 9 |
| MTT | 3-(4,5-dimethylthiazolyl-2)-2,5-diphenyltetrazolium bromide |
| NSAIDs | Non-steroidal anti-inflammatory drugs |
| Pro | Proline |
| qPCR | Quantitative polymerase chain reaction |
| RA | Rheumatoid arthritis |
| RMSD | Root mean square deviation |
| RMSF | Root mean square fluctuation |
| RNA | Ribose nucleic acid |
| RoG | Radius of gyration |
| Ser | Serine |
| TNFα | Tumor necrosis factor-alpha |
| UV-vis | Ultraviolet-visible |
References
- Khan, M.N.; Ahmed, B.; Majeed, H.; Tareen, I.; Hassan, M.; Shehzad, M.; Raheem, A.; ur Rehman, Z. Thirty Years Trend of Rheumatic Heart Diseases, Pakistan Chapter: Insights from the Global Burden of Disease Study. Pakistan Heart J. 2022, 55, 231–235. [Google Scholar] [CrossRef]
- Radu, A.-F.; Bungau, S.G. Management of rheumatoid arthritis: An overview. Cells 2021, 10, 2857. [Google Scholar] [CrossRef] [PubMed]
- Lubrano, E.; Scarpa, R. Psoriatic arthritis: Treatment strategies using anti-inflammatory drugs and classical DMARDs. Reumatismo 2012, 64, 107–112. [Google Scholar] [CrossRef] [PubMed]
- Sriuttha, P.; Sirichanchuen, B.; Permsuwan, U. Hepatotoxicity of nonsteroidal anti-inflammatory drugs: A systematic review of randomized controlled trials. Int. J. Hepatol. 2018, 2018, 5253623. [Google Scholar] [CrossRef]
- Katiyar, C.; Gupta, A.; Kanjilal, S.; Katiyar, S. Drug discovery from plant sources: An integrated approach. AYU (An Int. Q. J. Res. Ayurveda) 2012, 33, 10–19. [Google Scholar] [CrossRef]
- Ju, Z.; Li, M.; Xu, J.; Howell, D.C.; Li, Z.; Chen, F.-E. Recent development on COX-2 inhibitors as promising anti-inflammatory agents: The past 10 years. Acta Pharm. Sin. B 2022, 12, 2790–2807. [Google Scholar] [CrossRef]
- van Loo, G.; Bertrand, M.J.M. Death by TNF: A road to inflammation. Nat. Rev. Immunol. 2023, 23, 289–303. [Google Scholar] [CrossRef]
- Nakao, S.; Ogtata, Y.; Shimizu, E.; Yamazaki, M.; Furuyama, S.; Sugiya, H. Tumor necrosis factor α (TNF-α)-induced prostaglanding E 2 release is mediated by the activation of cyclooxygenase-2 (COX-2) transcription via NFκB in human gingival fibroblasts. Mol. Cell. Biochem. 2002, 238, 11–18. [Google Scholar] [CrossRef]
- Fürst, R.; Zündorf, I. Plant-derived anti-inflammatory compounds: Hopes and disappointments regarding the translation of preclinical knowledge into clinical progress. Mediat. Inflamm. 2014, 2014, 146832. [Google Scholar] [CrossRef]
- Siddiqui, M.Z.; Akhtar, S. Suranjan Talkh (Colchicum luteum): A review of an anti-arthritic Unani drug. Int. J. Res. Anal. Rev. 2019, 6, 328–332. [Google Scholar]
- Akbar, S.; Akbar, S. Colchicum luteum Baker (Colchicaceae). In Handbook of 200 Medicinal Plants; Springer: Cham, Switezrland, 2020; pp. 691–694. [Google Scholar]
- Reeta, M.; Ravindra, S.; Sharma, T.; Sumit, N.; Kotecha, M. SURANJANA (COLCHICUM LUTEUM BAKER.)-A RHIZOMATIC PLANT. Sci. Res. J. 2015, 2. [Google Scholar]
- Ahmad, W.; Ahmad, M.R.; Rahman, M.N.; Alam, M.T. Therapeutic Indication of Suranjan Shirin (Colchicum luteum). Am. J. PharmTech Res. 2020, 10, 268–274. [Google Scholar] [CrossRef]
- Joshi, V.R.; Lele, R.D.; Kulkarni, R.D. Treatment of rheumatoid arthritis with rumalaya. Probe 1973, 13, 22–24. [Google Scholar]
- Ahmed, S.; John, P.; Paracha, R.Z.; Bhatti, A.; Guma, M. Docking and molecular dynamics study to identify novel phytobiologics from Dracaena trifasciata against metabolic reprogramming in rheumatoid arthritis. Life 2022, 12, 1148. [Google Scholar] [CrossRef]
- Aryal, S.; Baniya, M.K.; Danekhu, K.; Kunwar, P.; Gurung, R.; Koirala, N. Total Phenolic Content, Flavonoid Content and Antioxidant Potential of Wild Vegetables from Western Nepal. Plants 2019, 8, 96. [Google Scholar] [CrossRef]
- Enechi, O.C.; Okeke, E.S.; Nwankwo, N.E.; Nweze, J.E.; Obilor, C.P.; Okoye, C.I.; Awoh, O.E. Membrane Stabilization, Albumin Denaturation, Protease Inhibition, and Antioxidant Activity as Possible Mechanisms for the Anti-Inflammatory Effects of Flavonoid-Rich Extract of Peltophorum pterocarpum (DC.) K. Heyne (FREPP) Stem Bark. Trop. J. Nat. Prod. Res. 2020, 4, 812–816. [Google Scholar] [CrossRef]
- Erhirhie, E.O.; Ihekwereme, C.P.; Ilodigwe, E.E. Advances in acute toxicity testing: Strengths, weaknesses and regulatory acceptance. Interdiscip. Toxicol. 2018, 11, 5–12. [Google Scholar] [CrossRef]
- Jannat, A.; John, P.; Bhatti, A.; Hayat, M.Q. Tomorou attenuates progression of rheumatoid arthritis through alteration in ULK-1 independent autophagy pathway in collagen induced arthritis mice model. Cell Death Discov. 2019, 5, 142. [Google Scholar] [CrossRef]
- Hor, S.Y.; Ahmad, M.; Farsi, E.; Yam, M.F.; Hashim, M.A.; Lim, C.P.; Sadikun, A.; Asmawi, M.Z. Safety assessment of methanol extract of red dragon fruit (Hylocereus polyrhizus): Acute and subchronic toxicity studies. Regul. Toxicol. Pharmacol. 2012, 63, 106–114. [Google Scholar] [CrossRef]
- Dong, J.; Wang, N.-N.; Yao, Z.-J.; Zhang, L.; Cheng, Y.; Ouyang, D.; Lu, A.-P.; Cao, D.-S. ADMETlab: A platform for systematic ADMET evaluation based on a comprehensively collected ADMET database. J. Cheminform. 2018, 10, 29. [Google Scholar] [CrossRef]
- Banerjee, P.; Kemmler, E.; Dunkel, M.; Preissner, R. ProTox 3.0: A webserver for the prediction of toxicity of chemicals. Nucleic Acids Res. 2024, 52, W513–W520. [Google Scholar] [CrossRef] [PubMed]
- Trott, O.; Olson, A.J. AutoDock Vina: Improving the speed and accuracy of docking with a new scoring function, efficient optimization and multithreading. J. Comput. Chem. 2010, 31, 455–461. [Google Scholar] [CrossRef] [PubMed]
- Abraham, M.J.; Murtola, T.; Schulz, R.; Páll, S.; Smith, J.C.; Hess, B.; Lindah, E. GROMACS: High performance molecular simulations through multi-level parallelism from laptops to supercomputers. SoftwareX 2015, 1–2, 19–25. [Google Scholar] [CrossRef]
- Orozco, M.N.; Solomons, N.W.; Schümann, K.; Friel, J.K.; de Montenegro, A.L.M. Antioxidant-rich oral supplements attenuate the effects of oral iron on in situ oxidation susceptibility of human feces. J. Nutr. 2010, 140, 1105–1110. [Google Scholar] [CrossRef]
- Kwon, T.-H.; Chao, D.L.; Malloy, K.; Sun, D.; Alessandri, B.; Bullock, M.R. Tempol, a novel stable nitroxide, reduces brain damage and free radical production, after acute subdural hematoma in the rat. J. Neurotrauma 2003, 20, 337–345. [Google Scholar] [CrossRef]
- Sahoo, C.R.; Paidesetty, S.K.; Padhy, R.N. The recent development of thymol derivative as a promising pharmacological scaffold. Drug Dev. Res. 2021, 82, 1079–1095. [Google Scholar] [CrossRef]
- Berry, J.M.; Bradshaw, T.D.; Fichtner, I.; Ren, R.; Schwalbe, C.H.; Wells, G.; Chew, E.-H.; Stevens, M.F.G.; Westwell, A.D. Quinols as Novel Therapeutic Agents. 2. 4-(1-Arylsulfonylindol-2-yl)-4-hydroxycyclohexa-2,5-dien-1-ones and Related Agents as Potent and Selective Antitumor Agents. J. Med. Chem. 2005, 48, 639–644. [Google Scholar] [CrossRef]
- Bosque, I.; Gonzalez-Gomez, J.C.; Loza, M.I.; Brea, J. Natural Tetraponerines: A General Synthesis and Antiproliferative Activity. J. Org. Chem. 2014, 79, 3982–3991. [Google Scholar] [CrossRef]
- Frolov, N.A.; Vereshchagin, A.N. Piperidine Derivatives: Recent Advances in Synthesis and Pharmacological Applications. Int. J. Mol. Sci. 2023, 24, 2937. [Google Scholar] [CrossRef]
- Konturek, P.C.; Nikiforuk, A.; Brzozowski, T.; Pawlik, M.; Raithel, M.; Hahn, E.G.; Konturek, S.J. Effect of N-alpha-methyl histamine on ulcer healing in rats. Inflamm. Res. 2004, 53, S27–S28. [Google Scholar] [CrossRef]
- Ongtanasup, T.; Prommee, N.; Jampa, O.; Limcharoen, T.; Wanmasae, S.; Nissapatorn, V.; Paul, A.K.; Pereira, M. de L.; Wilairatana, P.; Nasongkla, N.; et al. The Cholesterol-Modulating Effect of the New Herbal Medicinal Recipe from Yellow Vine (Coscinium fenestratum (Goetgh.)), Ginger (Zingiber officinale Roscoe.), and Safflower (Carthamus tinctorius L.) on Suppressing PCSK9 Expression to Upregulate LDLR Expression in HepG2 Cells. Plants 2022, 11, 1835. [Google Scholar] [CrossRef]
- Kapri, A.; Pant, S.; Gupta, N.; Nain, S. Recent Advances in the Biological Significance of Xanthine and its Derivatives: A Review. Pharm. Chem. J. 2022, 56, 461–474. [Google Scholar] [CrossRef]
- Hosseinzadeh, L.; Aliabadi, A.; Rahnama, M.; Sadeghi, H.M.M.; Khajouei, M.R. Synthesis and cytotoxic evaluation of some new 3-(2-(2-phenylthiazol-4-yl) ethyl)-quinazolin-4(3H) one derivatives with potential anticancer effects. Res. Pharm. Sci. 2017, 12, 290–298. [Google Scholar] [CrossRef] [PubMed]
- Lewgowd, W.; Stanczak, A. Cinnoline Derivatives with Biological Activity. Arch. Pharm. 2007, 340, 65–80. [Google Scholar] [CrossRef] [PubMed]
- Volobueva, A.S.; Yarovaya, O.I.; Kireeva, M.V.; Borisevich, S.S.; Kovaleva, K.S.; Mainagashev, I.Y.; Gatilov, Y.V.; Ilyina, M.G.; Zarubaev, V.V.; Salakhutdinov, N.F. Discovery of New Ginsenol-Like Compounds with High Antiviral Activity. Molecules 2021, 26, 6794. [Google Scholar] [CrossRef]
- Nash, P.; Clegg, D.O. Psoriatic arthritis therapy: NSAIDs and traditional DMARDs. Ann. Rheum. Dis. 2005, 64 (Suppl. S2), ii74–ii77. [Google Scholar] [CrossRef]
- Sapra, S.; Bhalla, Y.; Nandani; Sharma, S.; Singh, G.; Nepali, K.; Budhiraja, A.; Dhar, K.L. Colchicine and its various physicochemical and biological aspects. Med. Chem. Res. 2013, 22, 531–547. [Google Scholar] [CrossRef]
- Zhang, L.; Ravipati, A.S.; Koyyalamudi, S.R.; Jeong, S.C.; Reddy, N.; Smith, P.T.; Bartlett, J.; Shanmugam, K.; Münch, G.; Wu, M.J. Antioxidant and anti-inflammatory activities of selected medicinal plants containing phenolic and flavonoid compounds. J. Agric. Food Chem. 2011, 59, 12361–12367. [Google Scholar] [CrossRef]
- Gulcin, İ.; Alwasel, S.H. DPPH Radical Scavenging Assay. Processes 2023, 11, 2248. [Google Scholar] [CrossRef]
- Steensma, A.; Noteborn, H.P.J.M.; Kuiper, H.A. Comparison of Caco-2, IEC-18 and HCEC cell lines as a model for intestinal absorption of genistein, daidzein and their glycosides. Environ. Toxicol. Pharmacol. 2004, 16, 131–139. [Google Scholar] [CrossRef]
- Creton, S.; Dewhurst, I.C.; Earl, L.K.; Gehen, S.C.; Guest, R.L.; Hotchkiss, J.A.; Indans, I.; Woolhiser, M.R.; Billington, R. Acute toxicity testing of chemicals—Opportunities to avoid redundant testing and use alternative approaches. Crit. Rev. Toxicol. 2010, 40, 50–83. [Google Scholar] [CrossRef] [PubMed]
- Njinga, N.S.; Kola-Mustapha, A.T.; Quadri, A.L.; Atolani, O.; Ayanniyi, R.O.; Buhari, M.O.; Amusa, T.O.; Ajani, E.O.; Folaranmi, O.O.; Bakare-Odunola, M.T. Toxicity assessment of sub-acute and sub-chronic oral administration and diuretic potential of aqueous extract of Hibiscus sabdariffa calyces. Heliyon 2020, 6, e04853. [Google Scholar] [CrossRef] [PubMed]
- Nair, V.; Singh, S.; Gupta, Y.K. Evaluation of the disease modifying activity of Colchicum luteum Baker in experimental arthritis. J. Ethnopharmacol. 2011, 133, 303–307. [Google Scholar] [CrossRef] [PubMed]
- Nair, V.; Kumar, R.; Singh, S.; Gupta, Y.K. Investigation into the Anti-inflammatory and Antigranuloma Activity of Colchicum luteum Baker in Experimental Models. Inflammation 2012, 35, 881–888. [Google Scholar] [CrossRef]
- Luan, J.; Hu, Z.; Cheng, J.; Zhang, R.; Yang, P.; Guo, H.; Nan, G.; Guo, N.; Gou, X. Applicability and implementation of the collagen-induced arthritis mouse model, including protocols (Review). Exp. Ther. Med. 2021, 22, 939. [Google Scholar] [CrossRef]
- Teixeira, J.H.; Silva, A.M.; Almeida, M.I.; Bessa-Gonçalves, M.; Cunha, C.; Barbosa, M.A.; Santos, S.G. The Systemic Immune Response to Collagen-Induced Arthritis and the Impact of Bone Injury in Inflammatory Conditions. Int. J. Mol. Sci. 2019, 20, 5436. [Google Scholar] [CrossRef]
- Jimenez, R.V.; Szalai, A.J. Therapeutic Lowering of C-Reactive Protein. Front. Immunol. 2020, 11, 619564. [Google Scholar] [CrossRef]
- Lianxu, C.; Hongti, J.; Changlong, Y. NF-κBp65-specific siRNA inhibits expression of genes of COX-2, NOS-2 and MMP-9 in rat IL-1β-induced and TNF-α-induced chondrocytes. Osteoarthr. Cartil. 2006, 14, 367–376. [Google Scholar] [CrossRef]
- Mease, P. TNFα therapy in psoriatic arthritis and psoriasis. Ann. Rheum. Dis. 2004, 63, 755–758. [Google Scholar] [CrossRef]
- Abramson, S.B. The role of COX-2 produced by cartilage in arthritis. Osteoarthr. Cartil. 1999, 7, 380–381. [Google Scholar] [CrossRef]
- Ahmed, E.A.; Ahmed, O.M.; Fahim, H.I.; Ali, T.M.; Elesawy, B.H.; Ashour, M.B. Potency of Bone Marrow-Derived Mesenchymal Stem Cells and Indomethacin in Complete Freund’s Adjuvant-Induced Arthritic Rats: Roles of TNF-α, IL-10, iNOS, MMP-9, and TGF-β1. Stem Cells Int. 2021, 2021, 6665601. [Google Scholar] [CrossRef] [PubMed]
- Sarkar, S.; Modak, D.; Roy, S.K.; Biswas, A.; Islam, M.; Baishya, R.; Bose, S.; Georrge, J.J.; Bhattacharjee, S. In silico, in vitro, and in vivo acute and sub-acute toxicity profiling of whole plant methanol extract of Equisetum diffusum D. Don from the sub-Himalayan West Bengal, India, having ethnobotanical uses. BMC Complement. Med. Ther. 2024, 24, 324. [Google Scholar] [CrossRef] [PubMed]
- Rajkumar, P.; Sundari, S.; Selvaraj, S.; Natarajan, A.; Suganya, R.; Jayaprakash, R.; Kasthuri, K.; Kumaresan, S. GC-MS, Phytochemical Analysis and In Silico Approaches of a Medicinal Plant Acalypha indica. J. Sci. Res. 2022, 14, 671–684. [Google Scholar] [CrossRef]
- Shibata, H.; Kamada, H.; Kobayashi-Nishibata, K.; Yoshioka, Y.; Nishibata, T.; Abe, Y.; Nomura, T.; Nabeshi, H.; Minowa, K.; Mukai, Y.; et al. Role of amino acid residue 90 in bioactivity and receptor binding capacity of tumor necrosis factor mutants. Biochim. Biophys. Acta Proteins Proteom. 2007, 1774, 1029–1035. [Google Scholar] [CrossRef]
- Oniga, S.D.; Pacureanu, L.; Stoica, C.I.; Palage, M.D.; Crăciun, A.; Rusu, L.R.; Crisan, E.-L.; Araniciu, C. COX inhibition profile and molecular docking studies of some 2-(trimethoxyphenyl)-thiazoles. Molecules 2017, 22, 1507. [Google Scholar] [CrossRef]
- Spassov, D.S.; Atanasova, M.; Doytchinova, I. A role of salt bridges in mediating drug potency: A lesson from the N-myristoyltransferase inhibitors. Front. Mol. Biosci. 2023, 9, 1066029. [Google Scholar] [CrossRef]











| S. No. | Secondary Metabolites | C. luteum Hydroalcoholic Extract |
|---|---|---|
| 1 | Alkaloids | + |
| 2 | Phenols | ++ |
| 3 | Flavonoids | + |
| 4 | Anthocyanins | + |
| 5 | Leucoanthocyanins | + |
| 6 | Tannins | - |
| 7 | Phlobatannins | - |
| 8 | Coumarins | + |
| 9 | Terpenoids | - |
| 10 | Steroids | - |
| 11 | Saponins | + |
| 12 | Emodins | + |
| 13 | Amino acids | - |
| 14 | Sterols | + |
| 15 | Glycosides | + |
| Signs of Acute Toxicity | Dose I: 800 mg/kg | Dose II: 2000 mg/kg | Dose III: 5000 mg/kg |
|---|---|---|---|
| Sedation | - | - | - |
| Respiratory distress | - | - | - |
| Salivation | - | - | - |
| Hyperesthesia | - | - | - |
| Diarrhea | - | - | - |
| Blanching | - | - | - |
| Increased motor activity | - | + | - |
| Writhing/twisting | - | - | - |
| Straub reaction | - | - | - |
| Tremors | - | - | - |
| Arching and rolling | - | - | - |
| Tonic convulsions | - | - | - |
| Tonic extension | - | - | - |
| Lacrimation | - | - | - |
| Cyanosis | - | - | - |
| Number of deaths | 0 | 0 | 0 |
| Test Name | Control | CLHE |
|---|---|---|
| T. Bilirubin | 0.6 | 0.5 |
| Urea | 36 | 45 |
| Creatinine | 0.33 | 0.20 |
| PK Category | Parameters | CL15 | Accepted Value |
|---|---|---|---|
| Absorption | HIA | 0.1 | 0 ≥ 30% 1 ≤ 30% |
| Distribution | Volume distribution | 0.247 | 0.04–20 L/kg |
| BBB penetration | 0.28 | The value corresponds to the probability | |
| Metabolism | CYP1A2 | 0.496 | >0.0 |
| CYP2C19 | 0.214 | >0.0 | |
| CYP2D6 | 0.005 | >0.0 | |
| CYP3A4 | 0.100 | >0.0 | |
| Excretion | Clearance | 1.34 | 5–15 mL/min/kg |
| Half-life | 1.58 | 0–3 h | |
| Drug-likeness | Molecular weight | 309.08 | 100–600 |
| Polar surface area | 103.32 | 0–140 | |
| H-bond donors | 2 | 0–7 | |
| H-bond acceptors | 8 | 0–12 | |
| No. of rotatable bonds | 4 | 0–11 |
| Parameters | COX-2 | TNFα |
|---|---|---|
| CL15 Avg. Binding Energy (Std. Dev ± Std. Err. of Mean | CL15 avg. Binding Energy (Std. Dev ± Std. Err. of Mean | |
| Van der Waals (EVDW) | 31.91 (2.99 ± 0.29) | 27.11 (8.68 ± 0.27) |
| Electrostatic (EEL) | 11.07 (8.19 ± 0.81) | 15.94 (8.63 ± 0.27) |
| Polar (EPB) | 33.89 (7.62 ± 0.75) | 31.57 (9.36 ± 0.29) |
| Non-polar (ENPOLAR) | −3.62 (0.13 ± 0.01) | −2.94 (0.44 ± 0.01) |
| EDISPER | 0.00 | 0.00 |
| Delta G (gas) | −42.98 (9.63 ± 0.95) | −43.06 (13.95 ± 0.44) |
| Delta G (sol) | 30.26 (7.56 ± 0.75) | 28.63 (9.02 ± 0.28) |
| Delta Total | −12.72 (5.98 ± 0.59) | −14.42 (8.12 ± 0.25) |
Disclaimer/Publisher’s Note: The statements, opinions and data contained in all publications are solely those of the individual author(s) and contributor(s) and not of MDPI and/or the editor(s). MDPI and/or the editor(s) disclaim responsibility for any injury to people or property resulting from any ideas, methods, instructions or products referred to in the content. |
© 2024 by the authors. Licensee MDPI, Basel, Switzerland. This article is an open access article distributed under the terms and conditions of the Creative Commons Attribution (CC BY) license (https://creativecommons.org/licenses/by/4.0/).
Share and Cite
Abbasi, H.; Sharif, M.; John, P.; Bhatti, A.; Hayat, M.Q.; Mansoor, Q. Phytochemical, Cytoprotective Profiling, and Anti-Inflammatory Potential of Colchicum luteum in Rheumatoid Arthritis: An Experimental and Simulation Study. Nutrients 2024, 16, 4020. https://doi.org/10.3390/nu16234020
Abbasi H, Sharif M, John P, Bhatti A, Hayat MQ, Mansoor Q. Phytochemical, Cytoprotective Profiling, and Anti-Inflammatory Potential of Colchicum luteum in Rheumatoid Arthritis: An Experimental and Simulation Study. Nutrients. 2024; 16(23):4020. https://doi.org/10.3390/nu16234020
Chicago/Turabian StyleAbbasi, Huda, Maria Sharif, Peter John, Attya Bhatti, Muhammad Qasim Hayat, and Qaisar Mansoor. 2024. "Phytochemical, Cytoprotective Profiling, and Anti-Inflammatory Potential of Colchicum luteum in Rheumatoid Arthritis: An Experimental and Simulation Study" Nutrients 16, no. 23: 4020. https://doi.org/10.3390/nu16234020
APA StyleAbbasi, H., Sharif, M., John, P., Bhatti, A., Hayat, M. Q., & Mansoor, Q. (2024). Phytochemical, Cytoprotective Profiling, and Anti-Inflammatory Potential of Colchicum luteum in Rheumatoid Arthritis: An Experimental and Simulation Study. Nutrients, 16(23), 4020. https://doi.org/10.3390/nu16234020

