Lactobacillus helveticus HY7801 Improves Premenstrual Syndrome Symptoms by Regulating Sex Hormones and Inflammatory Cytokines in a Mouse Model of Metoclopramide-Induced Hyperprolactinemia
Abstract
1. Introduction
2. Materials and Methods
2.1. Sample Preperation
2.2. Cell Culture
2.3. Viability Assays of GH3 Cells
2.4. Measurement of Prolactin Secretion by GH3 Cells
2.5. Measurement of Pro-Inflammatory Cytokine Sercetion by Raw 264.7 Cells
2.6. Animal Experiments
2.7. Measurement of Hormones and Pro-Inflammatory Cytokines in Serum
2.8. Histological Analysis of Uterine Tissue
2.9. Extraction of Total RNA and Gene Expression Analysis
2.10. Statistical Analysis
3. Results
3.1. Viability of GH3 Cells
3.2. Effects of HY7801 on Secretion of Prolactin by E2-Treated GH3 Cells
3.3. Effects of HY7801 on Secretion of Pro-Inflammatory Cytokines by LPS-Induced Raw 264.7 Cells
3.4. Effects of HY7801 on Physiological Indicators in MCP-Induced Mice
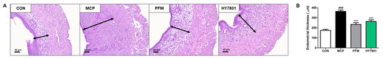
3.5. Effects of HY7801 on Histological Analysis of Uterine Tissue
3.6. Effects of HY7801 on Serum Levels of Sex Hormones
3.7. Effect of HY7801 on Serum Levels of Cytokines and Prostaglandin
3.8. Effects of HY7801 on Gene Expression in Uterine Tissues
4. Discussion
5. Conclusions
Author Contributions
Funding
Institutional Review Board Statement
Informed Consent Statement
Data Availability Statement
Conflicts of Interest
References
- Liguori, F.; Saraiello, E.; Calella, P. Premenstrual syndrome and premenstrual dysphoric disorder’s impact on quality of life, and the role of physical activity. Medicina 2023, 59, 2044. [Google Scholar] [CrossRef] [PubMed]
- Hofmeister, S.; Bodden, S. Premenstrual syndrome and premenstrual dysphoric disorder. Am. Fam. Physician 2016, 94, 236–240. [Google Scholar] [PubMed]
- Siminiuc, R.; Ţurcanu, D. Impact of nutritional diet therapy on premenstrual syndrome. Front. Nutr. 2023, 10, 1079417. [Google Scholar] [CrossRef] [PubMed]
- Chumpalova, P.; Iakimova, R.; Stoimenova-Popova, M.; Aptalidis, D.; Pandova, M.; Stoyanova, M.; Fountoulakis, K.N. Prevalence and clinical picture of premenstrual syndrome in females from Bulgaria. Ann. Gen. Psychiatry 2020, 19, 3. [Google Scholar] [CrossRef]
- Matsumoto, T.; Asakura, H.; Hayashi, T. Biopsychosocial aspects of premenstrual syndrome and premenstrual dysphoric disorder. Gynecol. Endocrinol. 2013, 29, 67–73. [Google Scholar] [CrossRef]
- Derman, O.; Kanbur, N.Ö.; Tokur, T.E.; Kutluk, T. Premenstrual syndrome and associated symptoms in adolescent girls. Eur. J. Obstet. Gynecol. Reprod. Biol. 2004, 116, 201–206. [Google Scholar] [CrossRef]
- Chung, S.-H.; Kim, T.-H.; Lee, H.-H.; Lee, A.; Jeon, D.-S.; Park, J.; Kim, Y. Premenstrual syndrome and premenstrual dysphoric disorder in perimenopausal women. J. Menopausal Med. 2014, 20, 69. [Google Scholar] [CrossRef]
- Faramarzi, M.; Kheirkhah, F.; Azadfrouz, S. Psychological predictors of premenstrual syndrome. Int. Neuropsychiatr. Dis. J. 2014, 2, 368–381. [Google Scholar] [CrossRef]
- Rocha Filho, E.A.; Lima, J.C.; Pinho Neto, J.S.; Montarroyos, U. Essential fatty acids for premenstrual syndrome and their effect on prolactin and total cholesterol levels: A randomized, double blind, placebo-controlled study. Reprod. Health 2011, 8, 2. [Google Scholar] [CrossRef]
- Horrobin, D. The role of essential fatty acids and prostaglandins in the premenstrual syndrome. J. Reprod. Med. 1983, 28, 465–468. [Google Scholar]
- Hashim, M.S.; Obaideen, A.A.; Jahrami, H.A.; Radwan, H.; Hamad, H.J.; Owais, A.A.; Alardah, L.G.; Qiblawi, S.; Al-Yateem, N.; Faris, M.e.A.-I.E. Premenstrual syndrome is associated with dietary and lifestyle behaviors among university students: A cross-sectional study from Sharjah, UAE. Nutrients 2019, 11, 1939. [Google Scholar] [CrossRef] [PubMed]
- Gold, E.B.; Bair, Y.; Block, G.; Greendale, G.A.; Harlow, S.D.; Johnson, S.; Kravitz, H.M.; Rasor, M.O.N.; Siddiqui, A.; Sternfeld, B. Diet and lifestyle factors associated with premenstrual symptoms in a racially diverse community sample: Study of Women’s Health Across the Nation (SWAN). J. Women’s Health 2007, 16, 641–656. [Google Scholar] [CrossRef] [PubMed]
- Treloar, S.A.; Heath, A.; Martin, N. Genetic and environmental influences on premenstrual symptoms in an Australian twin sample. Psychol. Med. 2002, 32, 25–38. [Google Scholar] [CrossRef] [PubMed]
- Schmidt, P.J.; Martinez, P.E.; Nieman, L.K.; Koziol, D.E.; Thompson, K.D.; Schenkel, L.; Wakim, P.G.; Rubinow, D.R. Premenstrual dysphoric disorder symptoms following ovarian suppression: Triggered by change in ovarian steroid levels but not continuous stable levels. Am. J. Psychiatry 2017, 174, 980–989. [Google Scholar] [CrossRef]
- Yen, J.-Y.; Wang, P.-W.; Su, C.-H.; Liu, T.-L.; Long, C.-Y.; Ko, C.-H. Estrogen levels, emotion regulation, and emotional symptoms of women with premenstrual dysphoric disorder: The moderating effect of estrogen receptor 1α polymorphism. Prog. Neuro-Psychopharmacol. Biol. Psychiatry 2018, 82, 216–223. [Google Scholar] [CrossRef]
- Carroll, B.J.; Steiner, M. The psychobiology of premenstrual dysphoria: The role of prolactin. Psychoneuroendocrinology 1978, 3, 171–180. [Google Scholar] [CrossRef]
- Borba, V.V.; Zandman-Goddard, G.; Shoenfeld, Y. Prolactin and autoimmunity. Front. Immunol. 2018, 9, 73. [Google Scholar] [CrossRef]
- Lee, Y.S.; Jeon, H.; Her, Y.-M.; Jeong, Y.J.; Kim, E.J.; Choe, T.H.; Suh, H.J.; Shin, S.-Y.; Park, D.W.; Lee, Y.-G. Lomens-P0 (mixed extracts of Hordeum vulgare and Chrysanthemum zawadskii) regulate the expression of factors affecting premenstrual syndrome symptoms. Nutr. Res. Pract. 2021, 15, 715–731. [Google Scholar] [CrossRef]
- Rossi, A.G.; Soares, J.M., Jr.; Motta, E.L.; Simões, M.J.; Oliveira-Filho, R.M.; Haidar, M.A.; Rodrigues de Lima, G.; Baracat, E.C. Metoclopramide-induced hyperprolactinemia affects mouse endometrial morphology. Gynecol. Obstet. Investig. 2003, 54, 185–190. [Google Scholar] [CrossRef]
- Prigent-Tessier, A.; Pageaux, J.; Fayard, J.; Lagarde, M.; Laugier, C.; Cohen, H. Prolactin up-regulates prostaglandin E2 production through increased expression of pancreatic-type phospholipase A2 (type I) and prostaglandin GH synthase 2 in uterine cells. Mol. Cell. Endocrinol. 1996, 122, 101–108. [Google Scholar] [CrossRef]
- Budoff, P.W. The use of prostaglandin inhibitors for the premenstrual syndrome. J. Reprod. Med. 1983, 28, 469–478. [Google Scholar] [PubMed]
- Sánchez, B.; Delgado, S.; Blanco-Míguez, A.; Lourenço, A.; Gueimonde, M.; Margolles, A. Probiotics, gut microbiota, and their influence on host health and disease. Mol. Nutr. Food Res. 2017, 61, 1600240. [Google Scholar] [CrossRef] [PubMed]
- Wang, J.; Ji, H.; Wang, S.; Liu, H.; Zhang, W.; Zhang, D.; Wang, Y. Probiotic Lactobacillus plantarum promotes intestinal barrier function by strengthening the epithelium and modulating gut microbiota. Front. Microbiol. 2018, 9, 1953. [Google Scholar] [CrossRef] [PubMed]
- Mörkl, S.; Butler, M.I.; Holl, A.; Cryan, J.F.; Dinan, T.G. Probiotics and the microbiota-gut-brain axis: Focus on psychiatry. Curr. Nutr. Rep. 2020, 9, 171–182. [Google Scholar] [CrossRef]
- Chao, L.; Liu, C.; Sutthawongwadee, S.; Li, Y.; Lv, W.; Chen, W.; Yu, L.; Zhou, J.; Guo, A.; Li, Z. Effects of probiotics on depressive or anxiety variables in healthy participants under stress conditions or with a depressive or anxiety diagnosis: A meta-analysis of randomized controlled trials. Front. Neurol. 2020, 11, 421. [Google Scholar] [CrossRef]
- Joo, H.-M.; Kim, K.-A.; Myoung, K.-S.; Ahn, Y.-T.; Lee, J.-H.; Huh, C.-S.; Han, M.J.; Kim, D.-H. Lactobacillus helveticus HY7801 ameliorates vulvovaginal candidiasis in mice by inhibiting fungal growth and NF-κB activation. Int. Immunopharmacol. 2012, 14, 39–46. [Google Scholar] [CrossRef]
- Kim, J.Y.; Moon, E.C.; Kim, J.-Y.; Kim, H.J.; Heo, K.; Shim, J.-J.; Lee, J.-L. Lactobacillus helveticus HY7801 ameliorates bacterial vaginosis by inhibiting biofilm formation and epithelial cell adhesion of Gardnerella vaginalis. Food Sci. Biotechnol. 2023, 32, 507–515. [Google Scholar] [CrossRef]
- Montagne, M.N.; Dussaillant, M.; Chew, L.J.; Berod, A.; Lamberts, S.J.; Cartert, D.A.; Rostene, W. Estradiol induces vasoactive intestinal peptide and prolactin gene expression in the rat anterior pituitary independently of plasma prolactin levels. J. Neuroendocrinol. 1995, 7, 225–231. [Google Scholar] [CrossRef]
- Carmichael, A. Can Vitex agnus castus be used for the treatment of mastalgia? What is the current evidence? Evid.-Based Complement. Altern. Med. 2008, 5, 247–250. [Google Scholar] [CrossRef]
- Kumari, S.; Sachdeva, A. Patterns and predictors of premenstrual symptoms among females working in a psychiatry hospital. Scientifica 2016, 2016, 6943852. [Google Scholar] [CrossRef]
- Kwan, I.; Onwude, J.L. Premenstrual syndrome. BMJ Clin. Evid. 2015, 2015, 08:806. [Google Scholar]
- Ekholm, U.-B.; Bäckström, T. Influence of premenstrual syndrome on family, social life, and work performance. Int. J. Health Serv. 1994, 24, 629–647. [Google Scholar] [CrossRef] [PubMed]
- Verkaik, S.; Kamperman, A.M.; van Westrhenen, R.; Schulte, P.F. The treatment of premenstrual syndrome with preparations of Vitex agnus castus: A systematic review and meta-analysis. Am. J. Obstet. Gynecol. 2017, 217, 150–166. [Google Scholar] [CrossRef] [PubMed]
- Wadoo, O.; Shah, A.J.; Hall, R.; Mamoojee, Y. Hyperprolactinaemia: A guide for psychiatrists. BJPsych Adv. 2017, 23, 158–166. [Google Scholar] [CrossRef]
- Critchley, H.O.; Maybin, J.A.; Armstrong, G.M.; Williams, A.R. Physiology of the endometrium and regulation of menstruation. Physiol. Rev. 2020, 100, 1149–1179. [Google Scholar] [CrossRef]
- Mann, W.A. Treatment for prolactinomas and hyperprolactinaemia: A lifetime approach. Eur. J. Clin. Investig. 2011, 41, 334–342. [Google Scholar] [CrossRef]
- Brand, J.M.; Frohn, C.; Cziupka, K.; Brockmann, C.; Kirchner, H.; Luhm, J. Prolactin triggers pro-inflammatory immune responses in peripheral immune cells. Eur. Cytokine Netw. 2004, 15, 99–104. [Google Scholar]
- Jackson, L.M.; Parker, R.M.; Mattison, D.R.; National Academies of Sciences, Engineering, and Medicine. Reproductive Steroid Hormones: Synthesis, Structure, and Biochemistry. In The Clinical Utility of Compounded Bioidentical Hormone Therapy: A Review of Safety, Effectiveness, and Use; National Academies Press: Washington, DC, USA, 2020. [Google Scholar]
- Fujimoto, N.; Igarashi, K.; Kanno, J.; Honda, H.; Inoue, T. Identification of estrogen-responsive genes in the GH3 cell line by cDNA microarray analysis. J. Steroid Biochem. Mol. Biol. 2004, 91, 121–129. [Google Scholar] [CrossRef]
- Lieberman, M.E.; Maurer, R.A.; Gorski, J. Estrogen control of prolactin synthesis in vitro. Proc. Natl. Acad. Sci. USA 1978, 75, 5946–5949. [Google Scholar] [CrossRef]
- Abbara, A.; Clarke, S.A.; Nesbitt, A.; Ali, S.; Comninos, A.N.; Hatfield, E.; Martin, N.M.; Sam, A.H.; Meeran, K.; Dhillo, W.S. Interpretation of serum gonadotropin levels in hyperprolactinaemia. Neuroendocrinology 2018, 107, 105–113. [Google Scholar] [CrossRef]
- McCallum, R.W.; Sowers, J.R.; Hershman, J.M.; Sturdevant, R.A. Metoclopramide stimulates prolactin secretion in man. J. Clin. Endocrinol. Metab. 1976, 42, 1148–1152. [Google Scholar] [CrossRef] [PubMed]
- Momoeda, M.; Sasaki, H.; Tagashira, E.; Ogishima, M.; Takano, Y.; Ochiai, K. Efficacy and safety of Vitex agnus-castus extract for treatment of premenstrual syndrome in Japanese patients: A prospective, open-label study. Adv. Ther. 2014, 31, 362–373. [Google Scholar] [CrossRef] [PubMed]
- Holm, P.; Shalmi, M.; Korsgaard, N.; Guldhammer, B.; Skouby, S.O.; Stender, S. A partial estrogen receptor agonist with strong antiatherogenic properties without noticeable effect on reproductive tissue in cholesterol-fed female and male rabbits. Arterioscler. Thromb. Vasc. Biol. 1997, 17, 2264–2272. [Google Scholar] [CrossRef] [PubMed]
- Orkhon, B.; Kobayashi, K.; Javzan, B.; Sasaki, K. Astragalus root induces ovarian β-oxidation and suppresses estrogen-dependent uterine proliferation. Mol. Med. Rep. 2018, 18, 5198–5206. [Google Scholar] [CrossRef]
- Kaiser, U.B. Hyperprolactinemia and infertility: New insights. J. Clin. Investig. 2012, 122, 3467–3468. [Google Scholar] [CrossRef]
- Gautvik, K.M.; Kriz, M. Effects of prostaglandins on prolactin and growth hormone synthesis and secretion in cultured rat pituitary cells. Endocrinology 1976, 98, 352–358. [Google Scholar] [CrossRef]
- Puolakka, J.; Mäkäräinen, L.; Viinikka, L.; Ylikorkala, O. Biochemical and clinical effects of treating the premenstrual syndrome with prostaglandin synthesis precursors. J. Reprod. Med. 1985, 30, 149–153. [Google Scholar]
- Koshikawa, N.; Tatsunuma, T.; Furuya, K.; Seki, K. Prostaglandins and premenstrual syndrome. Prostaglandins Leukot. Essent. Fat. Acids 1992, 45, 33–36. [Google Scholar] [CrossRef]
- Ye, Y.; Lin, P.; Zhu, J.; Jeschke, U.; von Schönfeldt, V. Multiple roles of prostaglandin E2 receptors in female reproduction. Endocrines 2020, 1, 22–34. [Google Scholar] [CrossRef]
- Beard, E.L., Jr. The american society of health system pharmacists. JONA’S Healthc. Law Ethics Regul. 2001, 3, 78–79. [Google Scholar] [CrossRef]
- Simon, L.S. Role and regulation of cyclooxygenase-2 during inflammation. Am. J. Med. 1999, 106, 37S–42S. [Google Scholar] [CrossRef] [PubMed]
- Suschek, C.V.; Schnorr, O.; Kolb-Bachofen, V. The role of iNOS in chronic inflammatory processes in vivo: Is it damage-promoting, protective, or active at all? Curr. Mol. Med. 2004, 4, 763–775. [Google Scholar] [CrossRef] [PubMed]
- Zamora, R.; Vodovotz, Y.; Billiar, T.R. Inducible nitric oxide synthase and inflammatory diseases. Mol. Med. 2000, 6, 347–373. [Google Scholar] [CrossRef] [PubMed]
- Soufli, I.; Toumi, R.; Rafa, H.; Touil-Boukoffa, C. Overview of cytokines and nitric oxide involvement in immuno-pathogenesis of inflammatory bowel diseases. World J. Gastrointest. Pharmacol. Ther. 2016, 7, 353. [Google Scholar] [CrossRef]







Disclaimer/Publisher’s Note: The statements, opinions and data contained in all publications are solely those of the individual author(s) and contributor(s) and not of MDPI and/or the editor(s). MDPI and/or the editor(s) disclaim responsibility for any injury to people or property resulting from any ideas, methods, instructions or products referred to in the content. |
© 2024 by the authors. Licensee MDPI, Basel, Switzerland. This article is an open access article distributed under the terms and conditions of the Creative Commons Attribution (CC BY) license (https://creativecommons.org/licenses/by/4.0/).
Share and Cite
Kim, H.-J.; Jeong, J.-W.; Kim, J.-Y.; Shim, J.-J.; Lee, J.-H. Lactobacillus helveticus HY7801 Improves Premenstrual Syndrome Symptoms by Regulating Sex Hormones and Inflammatory Cytokines in a Mouse Model of Metoclopramide-Induced Hyperprolactinemia. Nutrients 2024, 16, 3889. https://doi.org/10.3390/nu16223889
Kim H-J, Jeong J-W, Kim J-Y, Shim J-J, Lee J-H. Lactobacillus helveticus HY7801 Improves Premenstrual Syndrome Symptoms by Regulating Sex Hormones and Inflammatory Cytokines in a Mouse Model of Metoclopramide-Induced Hyperprolactinemia. Nutrients. 2024; 16(22):3889. https://doi.org/10.3390/nu16223889
Chicago/Turabian StyleKim, Hyeon-Ji, Ji-Woong Jeong, Joo-Yun Kim, Jae-Jung Shim, and Jae-Hwan Lee. 2024. "Lactobacillus helveticus HY7801 Improves Premenstrual Syndrome Symptoms by Regulating Sex Hormones and Inflammatory Cytokines in a Mouse Model of Metoclopramide-Induced Hyperprolactinemia" Nutrients 16, no. 22: 3889. https://doi.org/10.3390/nu16223889
APA StyleKim, H.-J., Jeong, J.-W., Kim, J.-Y., Shim, J.-J., & Lee, J.-H. (2024). Lactobacillus helveticus HY7801 Improves Premenstrual Syndrome Symptoms by Regulating Sex Hormones and Inflammatory Cytokines in a Mouse Model of Metoclopramide-Induced Hyperprolactinemia. Nutrients, 16(22), 3889. https://doi.org/10.3390/nu16223889

