Accelerating Effect of Cucurbita pepo L. Fruit Extract on Excisional Wound Healing in Depressed Rats Is Mediated through Its Anti-Inflammatory and Antioxidant Effects
Abstract
:1. Introduction
2. Materials and Methods
2.1. Extraction of Cucurbita pepo L. (CP)
2.2. Preparation of Cucurbita pepo L. for Topical Application
2.3. Induction of Skin Excisional Wound
2.4. Experimental Groups and Dosage
2.5. Assessment of CUMS-Induced Behavioral Changes
2.6. Assessment of the CUMS-Induced Biochemical Changes in the Serum
2.7. Assessment of CUMS-Induced Biochemical Changes in the Skin
2.8. Quantitative Real-Time PCR (qRT-PCR)
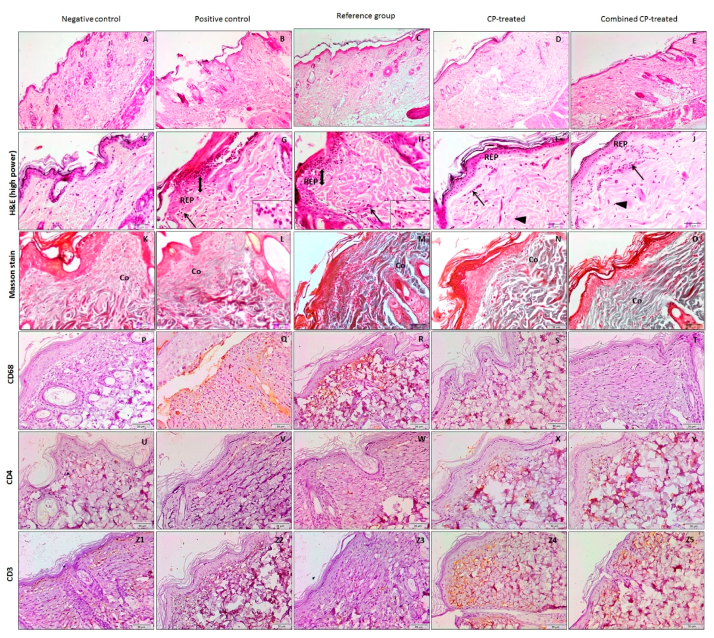
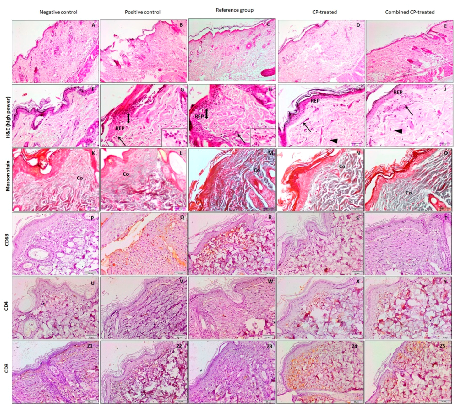
2.9. Histopathological Examination of the Wound Area
2.10. Statistical Analysis
3. Results
3.1. The Effect of Combined CP Administration on the CUMS-Induced Behavioral Changes
3.2. The Effect of Combined CP Administration on the Wound Size and Enhances Wound Closure
3.3. The Effect of Combined CP Administration on the CUMS-Induced Effect on Corticosterone
3.4. The Effect of Combined CP Administration on the Pro-Inflammatory Cytokines
3.5. The Effect of Combined CP Administration on the CUMS-Induced Oxidative Stress
3.6. The Effect of Combined CP Administration on CUMS-Induced Negative Impact on the Wound Healing Process and Immunity
4. Discussion
Author Contributions
Funding
Institutional Review Board Statement
Informed Consent Statement
Data Availability Statement
Conflicts of Interest
References
- Beurel, E.; Toups, M.; Nemeroff, C.B. The Bidirectional Relationship of Depression and Inflammation: Double Trouble. Neuron 2020, 107, 234–256. [Google Scholar] [CrossRef]
- Basu, S.; Goswami, A.G.; David, L.E.; Mudge, E. Psychological Stress on Wound Healing: A Silent Player in a Complex Background. Int. J. Low. Extremity Wounds 2022, 15347346221077571. [Google Scholar] [CrossRef]
- Decker, A.M.; Kapila, Y.L.; Wang, H.L. The psychobiological links between chronic stress-related diseases, periodontal/peri-implant diseases, and wound healing. Periodontol. 2000 2021, 87, 94–106. [Google Scholar] [CrossRef]
- Werner, S.; Grose, R. Regulation of Wound Healing by Growth Factors and Cytokines. Physiol. Rev. 2003, 83, 835–870. [Google Scholar] [CrossRef] [PubMed]
- Hodes, G.E.; Pfau, M.L.; Leboeuf, M.; Golden, S.A.; Christoffel, D.J.; Bregman, D.; Rebusi, N.; Heshmati, M.; Aleyasin, H.; Warren, B.L.; et al. Individual differences in the peripheral immune system promote resilience versus susceptibility to social stress. Proc. Natl. Acad. Sci. USA 2014, 111, 16136–16141. [Google Scholar] [CrossRef] [PubMed]
- Köhler, C.A.; Freitas, T.H.; Maes, M.; De Andrade, N.Q.; Liu, C.S.; Fernandes, B.S.; Stubbs, B.; Solmi, M.; Veronese, N.; Herrmann, N.; et al. Peripheral cytokine and chemokine alterations in depression: A meta-analysis of 82 studies. Acta Psychiatr. Scand. 2017, 135, 373–387. [Google Scholar] [CrossRef] [PubMed]
- Pereira, R.F.; Bartolo, P.J. Traditional Therapies for Skin Wound Healing. Adv. Wound Care 2016, 5, 208–229. [Google Scholar] [CrossRef] [PubMed]
- Shafigh, M.B.; Baazm, M.; Choobineh, H. Comparing effects of Silver sulfadiazine, Sucralfate and Brassica oleracea extract on burn wound healing. Life Sci. 2013, 10, 852–861. [Google Scholar]
- Chomicki, G.; Schaefer, H.; Renner, S.S. Origin and domestication of Cucurbitaceae crops: Insights from phylogenies, genomics and archaeology. New Phytol. 2019, 226, 1240–1255. [Google Scholar] [CrossRef] [PubMed]
- Mohammed, H.; Najem, R.; Altekrity, S. Antimicrobial and antifungal activity of pumpkin (Cucurbita pepo) leaves extracted by four organic solvents and water. Iraqi J. Veter-Sci. 2018, 32, 33–39. [Google Scholar] [CrossRef]
- Shetty, S.; Udupa, S.; Udupa, L. Evaluation of antioxidant and wound healing effects of alcoholic and aqueous extract of Ocimum sanctum Linn in rats. Evid.-Based Complement. Altern. Med. 2008, 5, 95–101. [Google Scholar] [CrossRef]
- Farahani, R.M.Z.; Sadr, K.; Rad, J.S.; Mesgari, M. Fluoxetine Enhances Cutaneous Wound Healing in Chronically Stressed Wistar Rats. Adv. Ski. Wound Care 2007, 20, 157–165. [Google Scholar] [CrossRef]
- Yadav, M.; Jain, S.; Tomar, R.; Prasad, G.B.K.S.; Yadav, H. Medicinal and biological potential of pumpkin: An updated review. Nutr. Res. Rev. 2010, 23, 184–190. [Google Scholar] [CrossRef]
- Bardaa, S.; Ben Halima, N.; Aloui, F.; Ben Mansour, R.; Jabeur, H.; Bouaziz, M.; Sahnoun, Z. Oil from pumpkin (Cucurbita pepo L.) seeds: Evaluation of its functional properties on wound healing in rats. Lipids Health Dis. 2016, 15, 73. [Google Scholar] [CrossRef]
- Salehi, B.; Capanoglu, E.; Adrar, N.; Catalkaya, G.; Shaheen, S.; Jaffer, M.; Giri, L.; Suyal, R.; Jugran, A.K.; Calina, D.; et al. Cucurbits Plants: A Key Emphasis to Its Pharmacological Potential. Molecules 2019, 24, 1854. [Google Scholar] [CrossRef] [PubMed]
- Shaygan, S.; Fakhri, S.; Bahrami, G.; Rashidi, K.; Farzaei, M.H. Wound-Healing Potential of Cucurbita moschata Duchesne Fruit Peel Extract in a Rat Model of Excision Wound Repair. Adv. Pharmacol. Pharm. Sci. 2021, 2021, 6697174. [Google Scholar] [CrossRef]
- Bahramsoltani, R.; Farzaei, M.H.; Abdolghaffari, A.H.; Rahimi, R.; Samadi, N.; Heidari, M.; Esfandyari, M.; Baeeri, M.; Hassanzadeh, G.; Abdollahi, M.; et al. Evaluation of phytochemicals, antioxidant and burn wound healing activities of Cucurbita moschata Duchesne fruit peel. Iran J Basic Med Sci 2017, 20, 798–805. [Google Scholar] [CrossRef]
- Bardaa, S.; Moalla, D.; Ben Khedir, S.; Rebai, T.; Sahnoun, Z. The evaluation of the healing proprieties of pumpkin and linseed oils on deep second-degree burns in rats. Pharm. Biol. 2015, 54, 581–587. [Google Scholar] [CrossRef]
- Kim, N.R.; Kim, H.Y.; Kim, M.H.; Kim, H.M.; Jeong, H.J. Improvement of depressive behavior by Sweetme Sweet Pumpkin™ and its active compound, β-carotene. Life Sci. 2016, 147, 39–45. [Google Scholar] [CrossRef]
- Wang, S.-Y.; Huang, W.-C.; Liu, C.-C.; Wang, M.-F.; Ho, C.-S.; Hou, C.-C.; Chuang, H.-L. Pumpkin (Cucurbita moschata) Fruit Extract Improves Physical Fatigue and Exercise Performance in Mice. Molecules 2012, 17, 11864–11876. [Google Scholar] [CrossRef]
- Balgoon, M.J.; Al-Zahrani, M.H.; Al Jaouni, S.; Ayuob, N. Combined Oral and Topical Application of Pumpkin (Cucurbita pepo L.) Alleviates Contact Dermatitis Associated with Depression Through Downregulation Pro-Inflammatory Cytokines. Front. Pharmacol. 2021, 12, 663417. [Google Scholar] [CrossRef] [PubMed]
- George, B.P.; Parimelazhagan, T.; Chandran, R. Anti-inflammatory and wound healing properties of Rubus fairholmianus Gard. root—An in vivo study. Ind. Crop. Prod. 2014, 54, 216–225. [Google Scholar] [CrossRef]
- Nolen-Hoeksema, S. Gender differences in coping with depression across the lifespan. Depression 1995, 3, 81–90. [Google Scholar] [CrossRef]
- Ayuob, N.N.; Balgoon, M.J.; Ali, S.; Alnoury, I.S.; Almohaimeed, H.M.; Abdelfattah, A.A. Ocimum basilicum (Basil) Modulates Apoptosis and Neurogenesis in Olfactory Pulp of Mice Exposed to Chronic Unpredictable Mild Stress. Front. Psychiatry 2020, 11, 569711. [Google Scholar] [CrossRef] [PubMed]
- Yankelevitch-Yahav, R.; Franko, M.; Huly, A.; Doron, R. The Forced Swim Test as a Model of Depressive-like Behavior. J. Vis. Exp. 2015, 97, e52587. [Google Scholar] [CrossRef]
- Gamal, M.; Moawad, J.; Rashed, L.; Morcos, M.A.; Sharawy, N. Possible involvement of tetrahydrobiopterin in the disturbance of redox homeostasis in sepsis–Induced brain dysfunction. Brain Res. 2018, 1685, 19–28. [Google Scholar] [CrossRef]
- Packer, L.; McCord, J.M.; Fridovich, I. Superoxide Dismutase; Elsevier: Amsterdam, The Netherlands, 2002; Volume 349. [Google Scholar]
- Bunker, S.K.; Dandapat, J.; Sahoo, S.K.; Roy, A.; Chainy, G.B. Neonatal Persistent Exposure to 6-Propyl-2-thiouracil, a Thyroid-Disrupting Chemical, Differentially Modulates Expression of Hepatic Catalase and C/EBP-β in Adult Rats. J. Biochem. Mol. Toxicol. 2016, 30, 80–90. [Google Scholar] [CrossRef]
- Ayuob, N.; Balgoon, M.J.; El-Mansy, A.A.; Mubarak, W.A.; Firgany, A.E.-D.L. Thymoquinone Upregulates Catalase Gene Expression and Preserves the Structure of the Renal Cortex of Propylthiouracil-Induced Hypothyroid Rats. Oxidative Med. Cell. Longev. 2020, 2020, 3295831. [Google Scholar] [CrossRef] [PubMed]
- Bandeira, L.G.; Bortolot, B.S.; Cecatto, M.J.; Monte-Alto-Costa, A.; Romana-Souza, B. Exogenous Tryptophan Promotes Cutaneous Wound Healing of Chronically Stressed Mice through Inhibition of TNF-α and IDO Activation. PLoS ONE 2015, 10, e0128439. [Google Scholar] [CrossRef]
- Wang, H.-L.; Decker, A.M. Effects of Occlusion on Periodontal Wound Healing. Compend. Contin. Educ. Dent. 2018, 39, 608–612. [Google Scholar] [PubMed]
- Mizuki, D.; Matsumoto, K.; Tanaka, K.; Le, X.T.; Fujiwara, H.; Ishikawa, T.; Higuchi, Y. Antidepressant-like effect of Butea superba in mice exposed to chronic mild stress and its possible mechanism of action. J. Ethnopharmacol. 2014, 156, 16–25. [Google Scholar] [CrossRef]
- Zhao, Y.-J.; Li, Q.; Cheng, B.-X.; Zhang, M.; Chen, Y.-J. Psychological Stress Delays Periodontitis Healing in Rats: The Involvement of Basic Fibroblast Growth Factor. Mediat. Inflamm. 2012, 2012, 732902. [Google Scholar] [CrossRef] [PubMed]
- Willner, P. The chronic mild stress (CMS) model of depression: History, evaluation and usage. Neurobiol. Stress 2017, 6, 78–93. [Google Scholar] [CrossRef] [PubMed]
- Grose, R.; Werner, S.; Kessler, D.; Tuckermann, J.; Huggel, K.; Durka, S.; Reichardt, H.M.; Werner, S. A role for endogenous glucocorticoids in wound repair. EMBO Rep. 2002, 3, 575–582. [Google Scholar] [CrossRef] [PubMed]
- Rosa, A.D.S.; Bandeira, L.G.; Monte-Alto-Costa, A.; Romana-Souza, B. Supplementation with olive oil, but not fish oil, improves cutaneous wound healing in stressed mice. Wound Repair Regen 2014, 22, 537–547. [Google Scholar] [CrossRef] [PubMed]
- Gajendrareddy, P.; Sen, C.K.; Horan, M.P.; Marucha, P.T. Hyperbaric oxygen therapy ameliorates stress-impaired dermal wound healing. Brain, Behav. Immun. 2005, 19, 217–222. [Google Scholar] [CrossRef] [PubMed]
- Romana-Souza, B.; dos Santos, J.S.; Bandeira, L.G.; Monte-Alto-Costa, A. Selective inhibition of COX-2 improves cutaneous wound healing of pressure ulcers in mice through reduction of iNOS expression. Life Sci. 2016, 153, 82–92. [Google Scholar] [CrossRef]
- Detillion, C.E.; Craft, T.K.; Glasper, E.R.; Prendergast, B.J.; DeVries, A. Social facilitation of wound healing. Psychoneuroendocrinology 2004, 29, 1004–1011. [Google Scholar] [CrossRef] [PubMed]
- Ozturk, M.B.; Egemen, O.; Basat, S.O.; Bozdağ, E.; Sakız, D.; Akan, M. Histologic and Biomechanical Evaluation of the Effects of Social Stress and the Antidepressant Fluoxetine on Tendon Healing in Rats. J. Hand Microsurg. 2016, 7, 294–299. [Google Scholar] [CrossRef]
- Mercado, A.M.; Quan, N.; Padgett, D.A.; Sheridan, J.F.; Marucha, P.T. Restraint stress alters the expression of interleukin-1 and keratinocyte growth factor at the wound site: An in situ hybridization study. J. Neuroimmunol. 2002, 129, 74–83. [Google Scholar] [CrossRef]
- Sevilla, L.M.; Pérez, P. Roles of the Glucocorticoid and Mineralocorticoid Receptors in Skin Pathophysiology. Int. J. Mol. Sci. 2018, 19, 1906. [Google Scholar] [CrossRef]
- Blume, J.; Douglas, S.D.; Evans, D.L. Immune suppression and immune activation in depression. Brain Behav. Immun. 2011, 25, 221–229. [Google Scholar] [CrossRef] [PubMed]
- Pruessner, M.; Hellhammer, D.H.; Pruessner, J.; Lupien, S.J. Self-Reported Depressive Symptoms and Stress Levels in Healthy Young Men: Associations with the Cortisol Response to Awakening. Psychosom. Med. 2003, 65, 92–99. [Google Scholar] [CrossRef]
- Kiecolt-Glaser, J.K.; Glaser, R. Depression and immune function: Central pathways to morbidity and mortality. J. Psychosom. Res. 2002, 53, 873–876. [Google Scholar] [CrossRef]
- Lee, J.; Choi, J.; Kim, S. Effective suppression of pro-inflammatory molecules by DHCA via IKK-NF-κB pathway, in vitro and in vivo. Br. J. Pharmacol. 2015, 172, 3353–3369. [Google Scholar] [CrossRef] [PubMed]
- Almohaimeed, H.M.; Hamed, S.; Seleem, H.S.; Batawi, A.H.; Mohammedsaleh, Z.M.; Balgoon, M.J.; Ali, S.S.; Al Jaouni, S.; Ayuob, N. An Ethanolic Extract of Cucurbita pepo L. Seeds Modifies Neuroendocrine Disruption in Chronic Stressed Rats and Adrenal Expression of Inflammatory Markers and HSP70. Front. Pharmacol. 2021, 12, 749766. [Google Scholar] [CrossRef]
- Nabavi, S.F.; Braidy, N.; Habtemariam, S.; Orhan, I.E.; Daglia, M.; Manayi, A.; Gortzi, O.; Nabavi, S.M. Neuroprotective effects of chrysin: From chemistry to medicine. Neurochem. Int. 2015, 90, 224–231. [Google Scholar] [CrossRef] [PubMed]
- Kant, V.; Gopal, A.; Pathak, N.N.; Kumar, P.; Tandan, S.K.; Kumar, D. Antioxidant and anti-inflammatory potential of curcumin accelerated the cutaneous wound healing in streptozotocin-induced diabetic rats. Int. Immunopharmacol. 2014, 20, 322–330. [Google Scholar] [CrossRef]
- Pereira, L.M.; Hatanaka, E.; Martins, E.F.; Oliveira, F.; Liberti, E.A.; Farsky, S.H.; Curi, R.; Pithon-Curi, T.C. Effect of oleic and linoleic acids on the inflammatory phase of wound healing in rats. Cell Biochem. Funct. 2007, 26, 197–204. [Google Scholar] [CrossRef]
- Quirino, G.D.S.; Leite, G.D.O.; Rebelo, L.M.; Tomé, A.D.R.; da Costa, J.G.M.; Cardoso, A.H.; Campos, A.R. Healing potential of Pequi (Caryocar coriaceum Wittm.) fruit pulp oil. Phytochem. Lett. 2009, 2, 179–183. [Google Scholar] [CrossRef]
- Süntar, I.P.; Akkol, E.K.; Yılmazer, D.; Baykal, T.; Kırmızıbekmez, H.; Alper, M.; Yeşilada, E. Investigations on the in vivo wound healing potential of Hypericum perforatum L. J. Ethnopharmacol. 2010, 127, 468–477. [Google Scholar] [CrossRef] [PubMed]
- Akkol, E.K.; Süntar, I.; Keles, H.; Yesilada, E. The potential role of female flowers inflorescence of Typha domingensis Pers. in wound management. J. Ethnopharmacol. 2011, 133, 1027–1032. [Google Scholar] [CrossRef] [PubMed]
- Broussard, K.C.; Powers, J.G. Wound Dressings: Selecting the Most Appropriate Type. Am. J. Clin. Dermatol. 2013, 14, 449–459. [Google Scholar] [CrossRef] [PubMed]





| Group | Negative Control Group | Positive Control Group | Reference Group | CP-Treated Group | Combined CP-Treated Group |
|---|---|---|---|---|---|
| Total immobility time (seconds) | 302.11 ± 7.22 | 353.00 ± 30.41 a | 340.10 ± 20.31 | 331.50 ± 16.77 | 307 ± 22.84 |
| Wound area (mm2) on day 4 | 00.00 ± 00.00 | 12.278 ± 1.38 | 10.75 ± 1.55 b | 9.90 ± 0.74 c | 9.50 ± 0.97 |
| Wound area (mm2) on day 14 | 00.00 ± 00.00 | 6.43 ± 1.54 | 3.50 ± 0.85 b | 2.50 ± 0.71 c | 0.43 ± 0.03 |
| Wound closure % | 00.00 ± 00.00 | 47.41 ± 12.71 | 67.54 ± 5.99 | 74.25 ± 9.00 c | 87.00 ± 4.12 |
| Corticosterone level in serum (ng/mL) | 5.67 ± 1.25 | 11.28 ± 1.80 a | 10.81 ± 1.57 | 9.87 ± 2.01 | 6.37 ± 1.07 |
| IL-6 in skin (pg/mg protein) | 19.19 ± 4.06 | 82.44 ± 10.28 a | 65.13 ± 18.90 b | 49.49 ± 15.77 c | 30.82 ± 7.57 |
| TNF-α in skin (pg/mg protein) | 31.60 ± 6.39 | 98.65 ± 21.61 a | 72.89 ± 18.08 b | 55.22 ± 13.91 c | 35.57 ± 9.01 |
| IL-6 serum (pg/mL) | 25.97 ± 3.86 | 115.82 ± 14.60 a | 101.55 ± 15.07 | 101.17 ± 12.35 | 35.39 ± 6.45 |
| TNF-α in serum (pg/mL) | 29.58 ± 7.84 | 110.00 ± 13.39 a | 97.52 ± 9.63 | 97.90 ± 8.41 | 40.74 ± 7.91 |
| COX-2 in skin (ng/mg protein) | 0.88 ± 0.19 | 3.97 ± 1.27 | 3.12 ± 1.21 | 2.49 ± 1.04 c | 1.15 ± 0.48 |
| iNOS in skin (u/mg protein) | 0.71 ± 0.28 | 3.33 ± 1.36 a | 2.43 ± 0.90 | 2.17 ± 0.64 c | 1.05 ± 0.49 |
| Number of CD68 positive cells (cell/mm2) | 212.10 ± 31.89 | 762.80 ± 44.94 a | 717.00 ± 48.72 | 394.20 ± 23.09 c | 320.70 ± 59.28 |
| Number of CD3 positive cells (cell/mm2) | 394.70 ± 113.15 | 243.70 ± 58.50 a | 366.50 ± 86.48 | 394.60 ± 52.69 c | 539.00 ± 154.09 |
| Number of CD4 positive cells (cell/mm2) | 404.20 ± 44.67 | 217.20 ± 54.60 a | 310.40 ± 96.65 | 494.30 ± 172.16 c | 673.90 ± 153.78 |
| Area percent of Masson-stained collagen fibers | 10.61 ± 1.49 | 15.60 ± 2.95 a | 12.80 ± 2.86 | 19.60 ± 2.50 c | 21.90 ± 3.96 |
Publisher’s Note: MDPI stays neutral with regard to jurisdictional claims in published maps and institutional affiliations. |
© 2022 by the authors. Licensee MDPI, Basel, Switzerland. This article is an open access article distributed under the terms and conditions of the Creative Commons Attribution (CC BY) license (https://creativecommons.org/licenses/by/4.0/).
Share and Cite
Almohaimeed, H.M.; Al-Zahrani, M.H.; Almuhayawi, M.S.; Algaidi, S.A.; Batawi, A.H.; Baz, H.A.; Mohammedsaleh, Z.M.; Baz, N.A.; Saleh, F.M.; Ayuob, N. Accelerating Effect of Cucurbita pepo L. Fruit Extract on Excisional Wound Healing in Depressed Rats Is Mediated through Its Anti-Inflammatory and Antioxidant Effects. Nutrients 2022, 14, 3336. https://doi.org/10.3390/nu14163336
Almohaimeed HM, Al-Zahrani MH, Almuhayawi MS, Algaidi SA, Batawi AH, Baz HA, Mohammedsaleh ZM, Baz NA, Saleh FM, Ayuob N. Accelerating Effect of Cucurbita pepo L. Fruit Extract on Excisional Wound Healing in Depressed Rats Is Mediated through Its Anti-Inflammatory and Antioxidant Effects. Nutrients. 2022; 14(16):3336. https://doi.org/10.3390/nu14163336
Chicago/Turabian StyleAlmohaimeed, Hailah M., Maryam Hassan Al-Zahrani, Mohammed Saad Almuhayawi, Sami Awda Algaidi, Ashwaq H. Batawi, Hasan Ahmed Baz, Zuhair M. Mohammedsaleh, Nhal Ahmed Baz, Fayez M. Saleh, and Nasra Ayuob. 2022. "Accelerating Effect of Cucurbita pepo L. Fruit Extract on Excisional Wound Healing in Depressed Rats Is Mediated through Its Anti-Inflammatory and Antioxidant Effects" Nutrients 14, no. 16: 3336. https://doi.org/10.3390/nu14163336
APA StyleAlmohaimeed, H. M., Al-Zahrani, M. H., Almuhayawi, M. S., Algaidi, S. A., Batawi, A. H., Baz, H. A., Mohammedsaleh, Z. M., Baz, N. A., Saleh, F. M., & Ayuob, N. (2022). Accelerating Effect of Cucurbita pepo L. Fruit Extract on Excisional Wound Healing in Depressed Rats Is Mediated through Its Anti-Inflammatory and Antioxidant Effects. Nutrients, 14(16), 3336. https://doi.org/10.3390/nu14163336

