A Mixture of Humulus japonicus Increases Longitudinal Bone Growth Rate in Sprague Dawley Rats
Abstract
1. Introduction
2. Materials and Methods
2.1. Preparation of the Extract
2.2. Animal Treatment
2.3. Micro-Computerized Tomographic (Micro-CT) Image Scan and Analysis
2.4. Hematoxylin and Eosin (H&E) and Bromodeoxyuridine/5-Bromo-2′-Deoxyuridine (BrdU) Staining and Immunohistochemistry
2.5. Measurement of IGF-1 and IGFBP-3 in Serum
2.6. mRNA Extraction and Reverse Transcription Polymerase Chain Reaction (RT-PCR)
2.7. Western Blotting
2.8. Statistical Analysis
3. Results
3.1. Dietary Administration of MH Stimulated Longitudinal Bone Growth in SD Rats
3.2. Dietary Administration of MH Improved Mineralization Parameters
3.3. Dietary Administration of MH Stimulated Proliferation of Chondrocytes
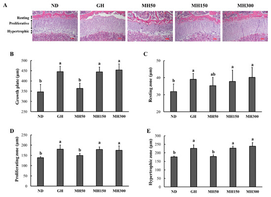
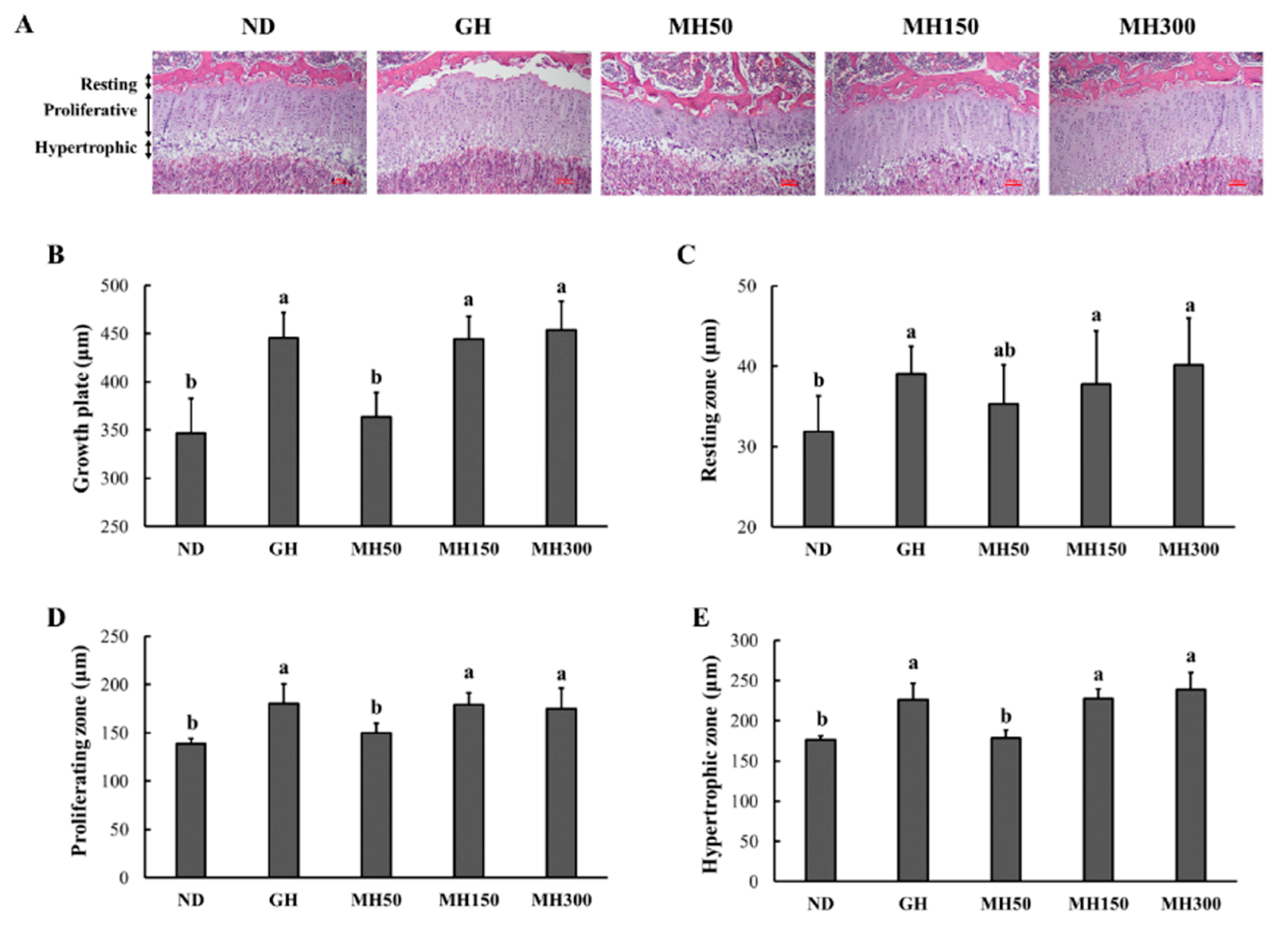
3.4. Dietary Administration of MH Promoted Growth Plate and Longitudinal Bone Growth
3.5. Dietary Administration of MH Stimulated IGF-1 and IGFBP-3 Expression and Activation of the JAK2/STAT5 Pathway
4. Discussion
5. Conclusions
Author Contributions
Funding
Conflicts of Interest
References
- Isaksson, O.G.; Lindahl, A.; Nilsson, A.; Isgaard, J. Mechanism of the stimulatory effect of growth hormone on longitudinal bone growth. Endocr. Rev. 1987, 8, 426–438. [Google Scholar] [CrossRef] [PubMed]
- Wit, J.M.; Camacho-Hübner, C. Endocrine regulation of longitudinal bone growth. Endocr. Dev. 2011, 21, 30–41. [Google Scholar] [PubMed]
- Brooks, A.J.; Waters, M.J. The growth hormone receptor: Mechanism of activation and clinical implications. Nat. Rev. Endocrinol. 2010, 6, 515–525. [Google Scholar] [CrossRef] [PubMed]
- Menagh, P.J.; Turner, R.T.; Jump, D.B.; Wong, C.P.; Lowry, M.B.; Yakar, S.; Rosen, C.J.; Iwaniec, U.T. Growth hormone regulates the balance between bone formation and bone marrow adiposity. J. Bone Miner. Res. 2010, 25, 757–768. [Google Scholar] [CrossRef]
- Brooks, A.J.; Dai, W.; O’Mara, M.L.; Abankwa, D.; Chhabra, Y.; Pelekanos, R.A.; Gardon, O.; Tunny, K.A.; Blucher, K.M.; Morton, C.J.; et al. Mechanism of activation of protein kinase JAK2 by the growth hormone receptor. Science 2014, 344, 1249783. [Google Scholar] [CrossRef]
- Patil, A.S.; Sable, R.B.; Kothari, R.M. Role of insulin-like growth factors (IGFs), their receptors and genetic regulation in the chondrogenesis and growth of the mandibular condylar cartilage. J. Cell Physiol. 2012, 227, 1796–1804. [Google Scholar] [CrossRef]
- Wang, E.; Wang, J.; Chin, E.; Zhou, J.; Bondy, C.A. Cellular patterns of insulin-like growth factor system gene expression in murine chondrogenesis and osteogenesis. Endocrinology 1995, 136, 2741–2751. [Google Scholar] [CrossRef]
- Abad, V.; Meyers, J.L.; Weise, M.; Gafni, R.I.; Barnes, K.M.; Nilsson, O.; Bacher, J.D.; Baron, J. The role of the resting zone in growth plate chondrogenesis. Endocrinology 2002, 143, 1851–1857. [Google Scholar] [CrossRef]
- Kronenberg, H.M. Developmental regulation of the growth plate. Nature 2003, 423, 332–336. [Google Scholar] [CrossRef]
- Barake, M.; Klibanski, A.; Tritos, N.A. Effects of recombinant human growth hormone therapy on bone mineral density in adults with growth hormone deficiency: A meta-analysis. J. Clin. Endocrinol. Metab. 2014, 99, 852–860. [Google Scholar] [CrossRef]
- Zamboni, G.; Antoniazzi, F.; Radetti, G.; Musumeci, C.; Tatò, L. Effects of two different regimens of recombinant human growth hormone therapy on the bone mineral density of patients with growth hormone deficiency. J. Pediatr. 1991, 119, 483–485. [Google Scholar] [CrossRef]
- Lee, D.; Kim, Y.S.; Song, J.; Kim, H.S.; Lee, H.J.; Guo, H.; Kim, H. Effects of Phlomis umbrosa Root on Longitudinal Bone Growth Rate in Adolescent Female Rats. Molecules 2016, 21, 461. [Google Scholar] [CrossRef] [PubMed]
- Chung, Y.H.; Lee, D.Y.; Lee, H.S.; Hong, S.A.; Park, E.S.; Nam, Y.; Kim, H.C.; Lee, S.J.; Sohn, U.D.; Kim, H.; et al. Effects of Aqueous Extract of Phyllostachyos Caulis in Taeniam on Longitudinal Bone Growth in Adolescent Rats. Planta. Med. 2016, 82, 330–336. [Google Scholar] [CrossRef] [PubMed]
- Lee, S.H.; Kim, J.Y.; Kim, H.; Park, S.K.; Kim, C.Y.; Chung, S.Y.; Chang, G.T. Amomum villosum induces longitudinal bone growth in adolescent female rats. J. Tradit. Chin. Med. 2012, 32, 453–458. [Google Scholar] [CrossRef]
- Cho, S.M.; Lee, S.H.; Lee, D.; Lee, J.H.; Chang, G.T.; Kim, H.; Lee, J.Y. The Korean herbal formulation Yukmijihwangtang stimulates longitudinal bone growth in animal models. BMC Complement Altern. Med. 2017, 17, 239. [Google Scholar] [CrossRef]
- Lim, H.; Noh, J.R.; Kim, Y.H.; Hwang, J.H.; Kim, K.S.; Choi, D.H.; Go, M.J.; Han, S.S.; Oh, W.K.; Lee, C.H. Anti-atherogenic effect of Humulus japonicus in apolipoprotein E-deficient mice. Int. J. Mol. Med. 2016, 38, 1101–1110. [Google Scholar] [CrossRef]
- Bae, J.; Min, Y.S.; Nam, Y.; Lee, H.S.; Sohn, U.D. Humulus japonicus Extracts Protect Against Lipopolysaccharide/d-Galactosamine-Induced Acute Liver Injury in Rats. J. Med. Food 2018, 21, 1009–1015. [Google Scholar] [CrossRef]
- Sung, B.; Chung, J.W.; Bae, H.R.; Choi, J.S.; Kim, C.M.; Kim, N.D. Humulus japonicus extract exhibits antioxidative and anti-aging effects via modulation of the AMPK-SIRT1 pathway. Exp. Ther. Med. 2015, 9, 1819–1826. [Google Scholar] [CrossRef]
- Emons, J.; Chagin, A.S.; Sävendahl, L.; Karperien, M.; Wit, J.M. Mechanisms of growth plate maturation and epiphyseal fusion. Horm. Res. Paediatr. 2011, 75, 383–391. [Google Scholar] [CrossRef]
- Ohlsson, C.; Sjögren, K.; Jansson, J.O.; Isaksson, O.G. The relative importance of endocrine versus autocrine/paracrine insulin-like growth factor-I in the regulation of body growth. Pediatr. Nephrol. 2000, 14, 541–543. [Google Scholar] [CrossRef]
- Leach, R.M.; Twal, W.O. Autocrine, paracrine, and hormonal signals involved in growth plate chondrocyte differentiation. Poult. Sci. 1994, 73, 883–888. [Google Scholar] [CrossRef] [PubMed]
- Andreassen, T.T.; Jørgensen, P.H.; Flyvbjerg, A.; Orskov, H.; Oxlund, H. Growth hormone stimulates bone formation and strength of cortical bone in aged rats. J. Bone Miner. Res. 1995, 10, 1057–1067. [Google Scholar] [CrossRef] [PubMed]
- Gooch, K.J.; Blunk, T.; Courter, D.L.; Sieminski, A.L.; Vunjak-Novakovic, G.; Freed, L.E. Bone morphogenetic proteins-2, -12, and -13 modulate in vitro development of engineered cartilage. Tissue Eng. 2002, 8, 591–601. [Google Scholar] [CrossRef] [PubMed]





| Nose–Anus Length Gain (cm) | Nose–Tail Length Gain (cm) | Weight Gain (g) | |
|---|---|---|---|
| ND | 4.73 ± 1.31 ab | 11.70 ± 1.00 b | 111.02 ± 3.27 c |
| GH | 5.02 ± 0.56 ab | 13.22 ± 0.75 a | 107.93 ± 7.86 ab |
| MH50 | 4.05 ± 0.54 b | 11.48 ± 0.61 b | 110.32 ± 10.69 c |
| MH150 | 4.72 ± 0.54 ab | 13.17 ± 0.49 a | 100.95 ± 7.28 bc |
| MH300 | 5.13 ± 0.71 a | 13.12 ± 1.06 a | 109.42 ± 8.69 a |
| ND | GH | MH50 | MH150 | MH300 | |
|---|---|---|---|---|---|
| Trabecular | |||||
| BMD (mg/cc)-Apparent | 172.81 ± 11.46 d | 224.51 ± 19.43 a | 189.35 ± 13.91 cd | 198.87 ± 4.00 bc | 211.97 ± 14.57 ab |
| BMD (mg/cc)-Material | 720.47 ± 9.54 d | 748.88 ± 13.31 a | 721.74 ± 9.56 cd | 740.25 ± 8.03 ab | 783.31 ± 10.63 abc |
| Bone Volume/Total Volume | 0.137 ± 0.014 c | 0.197 ± 0.021 a | 0.141 ± 0.015 bc | 0.186 ± 0.010 abc | 0.193 ± 0.009 ab |
| Trabecular Number (mm) | 2.521 ± 0.18 d | 3.583 ± 0.34 a | 2.822 ± 0.252 cd | 3.005 ± 0.123 bc | 3.337 ± 0.148 ab |
| Trabecular Thickness (mm) | 0.038 ± 0.003 c | 0.069 ± 0.016 a | 0.046 ± 0.003 c | 0.051 ± 0.002 bc | 0.056 ± 0.005 ab |
| Trabecular Separation (mm) | 0.315 ± 0.067 b | 0.321 ± 0.11 ab | 0.31 ± 0.033 ab | 0.367 ± 0.023 a | 0.334 ± 0.046 a |
| Cortical | |||||
| BMD (mg/cc)-Apparent | 396.79 ± 26.18 b | 445.34 ± 32.21 a | 329.02 ± 45.69 ab | 405.80 ± 14.99 a | 418.25 ± 41.73 a |
| BMD (mg/cc)-Material | 944.91 ± 5.17 c | 1055.78 ± 18.90 a | 946.41 ± 24.71 c | 944.77 ± 0.50 b | 1016.19 ± 15.48 ab |
| Cortical bone area (mm2) | 2.625 ± 0.134 b | 3.223 ± 0.413 a | 2.793 ± 0.149 ab | 2.940 ± 0.312 ab | 3.182 ± 0.265 a |
| Total cross-sectional area (mm2) | 6.746 ± 0.138 c | 7.607 ± 0.104 a | 6.818 ± 0.204 c | 7.019 ± 0.055 bc | 7.368 ± 0.334 ab |
| Cortical bone area/Total cross-sectional area | 0.389 ± 0.021 NS | 0.423 ± 0.049 NS | 0.410 ± 0.026 NS | 0.419 ± 0.041 NS | 0.433 ± 0.040 NS |
| Cortical thickness (mm) | 0.237 ± 0.022 c | 0.304 ± 0.024 a | 0.250 ± 0.032 bc | 0.276 ± 0.021 abc | 0.290 ± 0.020 ab |
© 2020 by the authors. Licensee MDPI, Basel, Switzerland. This article is an open access article distributed under the terms and conditions of the Creative Commons Attribution (CC BY) license (http://creativecommons.org/licenses/by/4.0/).
Share and Cite
Kim, O.-K.; Yun, J.m.; Lee, M.; Park, S.-J.; Kim, D.; Oh, D.H.; Kim, H.-S.; Kim, G.-Y. A Mixture of Humulus japonicus Increases Longitudinal Bone Growth Rate in Sprague Dawley Rats. Nutrients 2020, 12, 2625. https://doi.org/10.3390/nu12092625
Kim O-K, Yun Jm, Lee M, Park S-J, Kim D, Oh DH, Kim H-S, Kim G-Y. A Mixture of Humulus japonicus Increases Longitudinal Bone Growth Rate in Sprague Dawley Rats. Nutrients. 2020; 12(9):2625. https://doi.org/10.3390/nu12092625
Chicago/Turabian StyleKim, Ok-Kyung, Jeong moon Yun, Minhee Lee, Soo-Jeung Park, Dakyung Kim, Dong Hwan Oh, Hong-Sik Kim, and Ga-Yeon Kim. 2020. "A Mixture of Humulus japonicus Increases Longitudinal Bone Growth Rate in Sprague Dawley Rats" Nutrients 12, no. 9: 2625. https://doi.org/10.3390/nu12092625
APA StyleKim, O.-K., Yun, J. m., Lee, M., Park, S.-J., Kim, D., Oh, D. H., Kim, H.-S., & Kim, G.-Y. (2020). A Mixture of Humulus japonicus Increases Longitudinal Bone Growth Rate in Sprague Dawley Rats. Nutrients, 12(9), 2625. https://doi.org/10.3390/nu12092625

