Effect of Heat Shock Treatment on the Virulence of Grass Carp Reovirus in Rare Minnow Gobiocypris rarus
Abstract
1. Introduction
2. Materials and Methods
2.1. Virus and Fish
2.2. Heat Shock Treatment and Sample Collection
2.3. Semi-Lethal Dose (LD50)
2.4. Virus Challenge and Survival Rate
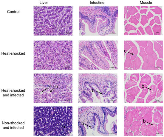
2.5. Histopathological Analysis
2.6. RNA Isolation and RT-qPCR
2.7. Western Blot
2.8. Statistical Analysis
3. Results
3.1. Optimization of Heat Shock Treatment (HST) Process Condition for Rare Minnows with Hsp70 as an Indicator Gene
3.2. Heat Shock Treatment Enhances the Virulence of GCRV in Rare Minnows
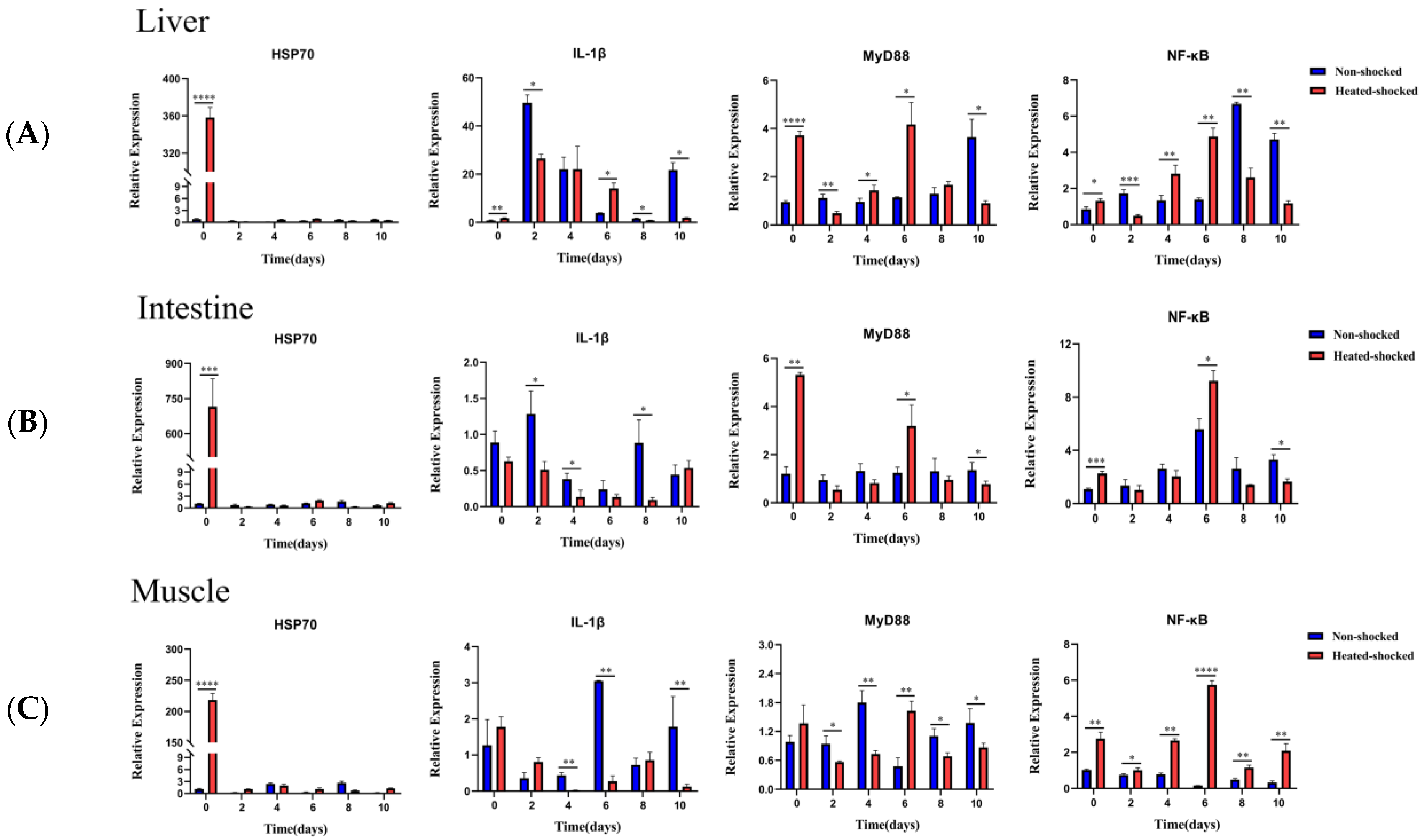
3.3. Pro-Viral Effect of HST in Rare Minnows Correlated with Enhanced Proinflammatory Gene Expression
4. Discussion
5. Conclusions
Author Contributions
Funding
Institutional Review Board Statement
Informed Consent Statement
Data Availability Statement
Conflicts of Interest
References
- Fang, Q.; Attoui, H.; Cantaloube, J.F.; Biagini, P.; Zhu, Z.; de Micco, P.; de Lamballerie, X. Sequence of genome segments 1, 2, and 3 of the grass carp reovirus (Genus Aquareovirus, family Reoviridae). Biochem. Biophys. Res. Commun. 2000, 274, 762–766. [Google Scholar] [CrossRef]
- Wu, M.; Li, H.; Chen, X.; Jiang, Y.; Jiang, W. Studies on the clinical symptoms, virus distribution, and mRNA expression of several antiviral immunity-related genes in grass carp after infection with genotype II grass carp reovirus. Arch. Virol. 2020, 165, 1599–1609. [Google Scholar] [CrossRef]
- Wang, T.; Li, J.; Lu, L. Quantitative in vivo and in vitro characterization of co-infection by two genetically distant grass carp reoviruses. J. Gen. Virol. 2013, 94, 1301–1309. [Google Scholar] [CrossRef]
- Ma, J.; Xu, C.; Jiang, N.; Meng, Y.; Zhou, Y.; Xue, M.; Liu, W.; Li, Y.; Fan, Y. Transcriptomics in Rare Minnow (Gobiocypris rarus) towards Attenuated and Virulent Grass Carp Reovirus Genotype II Infection. Animals 2023, 13, 1870. [Google Scholar] [CrossRef]
- Zeng, W.; Bergmannc, S.M.; Dong, H.; Yang, Y.; Wu, M.; Liu, H.; Chen, Y.; Li, H. Identification, Virulence, and Molecular Characterization of a Recombinant Isolate of Grass Carp Reovirus Genotype I. Viruses 2021, 13, 807. [Google Scholar] [CrossRef]
- Yang, L.; Su, J. Studies on pathological symptoms and virus distribution in natural and artificial injection infection Ctenopharyngodon idella with grass carp reovirus type II. J. Fish. China 2022, 46, 250–260. [Google Scholar] [CrossRef]
- Chen, J.; Li, Y.; Wang, Y.; Wu, S.; Chang, O.; Yin, J.; Zeng, W.; Bergmann, S.M.; Wang, Q. Establishment of a rare minnow (Gobiocypris rarus) model for evaluation of experimental vaccines against a disease induced by grass carp reovirus genotype II. Fish. Shellfish. Immunol. 2021, 117, 53–61. [Google Scholar] [CrossRef]
- Scharsack, J.P.; Franke, F. Temperature effects on teleost immunity in the light of climate change. J. Fish. Biol. 2022, 101, 780–796. [Google Scholar] [CrossRef]
- Hagymasi, A.T.; Dempsey, J.P.; Srivastava, P.K. Heat-Shock Proteins. Curr. Protoc. 2022, 2, e592. [Google Scholar] [CrossRef]
- Verma, A.; Sumi, S.; Seervi, M. Heat shock proteins-driven stress granule dynamics: Yet another avenue for cell survival. Apoptosis 2021, 26, 371–384. [Google Scholar] [CrossRef]
- Baler, R.; Zou, J.; Voellmy, R. Evidence for a role of Hsp70 in the regulation of the heat shock response in mammalian cells. Cell Stress. Chaperones 1996, 1, 33–39. [Google Scholar] [CrossRef]
- Zhang, X.; Yu, W. Heat shock proteins and viral infection. Front. Immunol. 2022, 13, 947789. [Google Scholar] [CrossRef]
- Mayer, M.P. Recruitment of Hsp70 chaperones: A crucial part of viral survival strategies. Rev. Physiol. Biochem. Pharmacol. 2005, 153, 1–46. [Google Scholar] [CrossRef]
- Radons, J. The human HSP70 family of chaperones: Where do we stand? Cell Stress Chaperones 2016, 21, 379–404. [Google Scholar] [CrossRef]
- Hou, G.; Zhang, Q.; Li, C.; Ding, G.; Hu, L.; Chen, X.; Lv, Z.; Fan, Y.; Zou, J.; Xiao, T.; et al. An Aquareovirus Exploits Membrane-Anchored HSP70 To Promote Viral Entry. Microbiol. Spectr. 2023, 11, e0405522. [Google Scholar] [CrossRef]
- Jiang, L.; Liu, A.Q.; Zhang, C.; Zhang, Y.A.; Tu, J. Hsp90 Regulates GCRV-II Proliferation by Interacting with VP35 as Its Receptor and Chaperone. J. Virol. 2022, 96, e0117522. [Google Scholar] [CrossRef]
- Xu, N.; Fu, J.; Wang, H.; Lu, L. Quercetin counteracts the pro-viral effect of heat shock response in grass carp cells with its therapeutic potential against aquareovirus. Aquac. Res. 2021, 52, 3164–3173. [Google Scholar] [CrossRef]
- Fu, J.; Xu, N.; Sun, H.; Xuan, J.; Lu, L. Quercetin protects rare minnow Gobiocypris rarus from infection of genotype II grass carp reovirus. Aquac. Res. 2021, 52, 4867–4873. [Google Scholar] [CrossRef]
- Zuiderweg, E.R.; Hightower, L.E.; Gestwicki, J.E. The remarkable multivalency of the Hsp70 chaperones. Cell Stress. Chaperones 2017, 22, 173–189. [Google Scholar] [CrossRef]
- Peake, J.M.; Roberts, L.A.; Figueiredo, V.C.; Egner, I.; Krog, S.; Aas, S.N.; Suzuki, K.; Markworth, J.F.; Coombes, J.S.; Cameron-Smith, D.; et al. The effects of cold water immersion and active recovery on inflammation and cell stress responses in human skeletal muscle after resistance exercise. J. Physiol. 2017, 595, 695–711. [Google Scholar] [CrossRef]
- Neutelings, T.; Lambert, C.A.; Nusgens, B.V.; Colige, A.C. Effects of mild cold shock (25 °C) followed by warming up at 37 °C on the cellular stress response. PLoS ONE 2013, 8, e69687. [Google Scholar] [CrossRef]
- Rangel, A.A.C.; Rockemann, D.D.; Hetrick, F.M.; Samal, S.K. Identification of grass carp haemorrhage virus as a new genogroup of aquareovirus. J. Gen. Virol. 1999, 80 Pt 9, 2399–2402. [Google Scholar] [CrossRef]
- Shan, L.P.; Chen, X.H.; Ling, F.; Zhu, B.; Wang, G.X. Targeting Heat Shock Protein 70 as an antiviral strategy against grass carp reovirus infection. Virus Res. 2018, 247, 1–9. [Google Scholar] [CrossRef]
- Hong, B.; Sahu, U.; Mullarkey, M.P.; Hong, E.; Pei, G.; Yan, Y.; Otani, Y.; Banasavadi-Siddegowda, Y.; Fan, H.; Zhao, Z.; et al. PKR induces TGF-β and limits oncolytic immune therapy. J. Immunother. Cancer 2023, 11, e006164. [Google Scholar] [CrossRef]
- Jiang, R.; Zhang, J.; Liao, Z.; Zhu, W.; Su, H.; Zhang, Y.; Su, J. Temperature-regulated type II grass carp reovirus establishes latent infection in Ctenopharyngodon idella brain. Virol. Sin. 2023, 38, 440–447. [Google Scholar] [CrossRef]
- Zhang, T.; Niu, Z.; He, J.; Pu, P.; Meng, F.; Xi, L.; Tang, X.; Ding, L.; Ma, M.; Chen, Q. Potential Effects of High Temperature and Heat Wave on Nanorana pleskei Based on Transcriptomic Analysis. Curr. Issues Mol. Biol. 2023, 45, 2937–2949. [Google Scholar] [CrossRef]
- Guo, H.; Whitehouse, L.; Danzmann, R.; Dixon, B. Effects of juvenile thermal preconditioning on the heat-shock, immune, and stress responses of rainbow trout upon a secondary thermal challenge. Comp. Biochem. Physiol. A Mol. Integr. Physiol. 2023, 280, 111413. [Google Scholar] [CrossRef]
- Ben, A.H.; Seeler, S.; Bregnhøj, A.; Ghatnekar, G.; Kristensen, L.S.; Iversen, L.; Johansen, C. Heat shock protein 90 inhibitor RGRN-305 potently attenuates skin inflammation. Front. Immunol. 2023, 14, 1128897. [Google Scholar] [CrossRef]
- Ghulam, M.S.; Khan, I.; Zada, A.; Qamar, A.; Arbab, A.A.I.; Ma, X.B.; Yu, Z.C.; Liu, X.X.; Yong, Y.H.; Ju, X.H.; et al. Influence of Heat Stress on Intestinal Epithelial Barrier Function, Tight Junction Protein, and Immune and Reproductive Physiology. Biomed. Res. Int. 2022, 2022, 8547379. [Google Scholar] [CrossRef]
- Haller, O.; Staeheli, P.; Schwemmle, M.; Kochs, G. Mx GTPases: Dynamin-like antiviral machines of innate immunity. Trends Microbiol. 2015, 23, 154–163. [Google Scholar] [CrossRef]
- Liu, S.; Wang, Y.; Chen, J.; Wang, Q.; Chang, O.; Zeng, W.; Bergmann, S.M.; Li, Y.; Yin, J.; Wen, H. Establishment of a cell line from egg of rare minnow Gobiocypris rarus for propagation of grass carp reovirus genotype II. Microb. Pathog. 2019, 136, 103715. [Google Scholar] [CrossRef]









| Primer Name | Sequence (5′–3′) |
|---|---|
| GCRV-JX02 | F:5′-GCGTCACACCTTCGACCATA-3′ R: 5′-TTACGGGCCGGAAATAGTGG-3′ |
| β-actin | F:5′-CTATGTTGGTGACGAGGCTCA-3′ R: 5′-CCCAGTTGGTGACAATACCG-3′ |
| HSP70 | F: 5′-GTGTCCATCCTGACCATTGAAG-3′ R: 5′-GTGCCCTCTTGTTCTGACTGAT-3′ |
| IL-1β | F: 5′-TGATGAGATGGACTGCCCTG-3′ R: 5′-TGTCCGTCTCTCAGCGTCAC-3′ |
| MyD88 | F: 5′-GGTGGTAATTTCCGATGA-3′ R: 5′-GTAGACAACAGGGATAAGG-3′ |
| NF-kB | F: 5′-AACTCAGTCAGGCTCCATTGC-3′ R: 5′-GACAGTGCTCTCCGTCTTTCC-3′ |
| Group | Copies of Virus (100 μL) | lg Copies | Total Number of Fish | Cumulative Deaths | Mortality |
|---|---|---|---|---|---|
| 1 | 1,869,085 | 6.272 | 10 | 9 | 90% |
| 2 | 422,259 | 5.626 | 10 | 6 | 60% |
| 3 | 345,391 | 5.538 | 10 | 6 | 60% |
| 4 | 152,582 | 5.184 | 10 | 5 | 50% |
| 5 | 88,753 | 4.948 | 10 | 3 | 30% |
Disclaimer/Publisher’s Note: The statements, opinions and data contained in all publications are solely those of the individual author(s) and contributor(s) and not of MDPI and/or the editor(s). MDPI and/or the editor(s) disclaim responsibility for any injury to people or property resulting from any ideas, methods, instructions or products referred to in the content. |
© 2024 by the authors. Licensee MDPI, Basel, Switzerland. This article is an open access article distributed under the terms and conditions of the Creative Commons Attribution (CC BY) license (https://creativecommons.org/licenses/by/4.0/).
Share and Cite
Ni, Q.; Fan, Y.; Xiao, S.; Lu, L. Effect of Heat Shock Treatment on the Virulence of Grass Carp Reovirus in Rare Minnow Gobiocypris rarus. Viruses 2024, 16, 921. https://doi.org/10.3390/v16060921
Ni Q, Fan Y, Xiao S, Lu L. Effect of Heat Shock Treatment on the Virulence of Grass Carp Reovirus in Rare Minnow Gobiocypris rarus. Viruses. 2024; 16(6):921. https://doi.org/10.3390/v16060921
Chicago/Turabian StyleNi, Qinwei, Yanchang Fan, Simin Xiao, and Liqun Lu. 2024. "Effect of Heat Shock Treatment on the Virulence of Grass Carp Reovirus in Rare Minnow Gobiocypris rarus" Viruses 16, no. 6: 921. https://doi.org/10.3390/v16060921
APA StyleNi, Q., Fan, Y., Xiao, S., & Lu, L. (2024). Effect of Heat Shock Treatment on the Virulence of Grass Carp Reovirus in Rare Minnow Gobiocypris rarus. Viruses, 16(6), 921. https://doi.org/10.3390/v16060921
