Type II Grass Carp Reovirus Rapidly Invades Grass Carp (Ctenopharyngodon idella) via Nostril–Olfactory System–Brain Axis, Gill, and Skin on Head
Abstract
1. Introduction
2. Materials and methods
2.1. Fish and Sampling
2.2. Virus and Immersion Infection
2.3. Semi-qRT-PCR and qRT-PCR
2.4. WB Analysis
2.5. Immunofluorescence Microscopy
2.6. Transmission Electron Microscopy
2.7. Statistical Analysis
3. Results
3.1. Immersion Infection of GCRV-II Can Lead to Rapid Invasion in the External Body Surface Tissues of Grass Carp
3.2. Nostril as the Major Invasion Portal of GCRV-II Can Be Invaded in 5 min
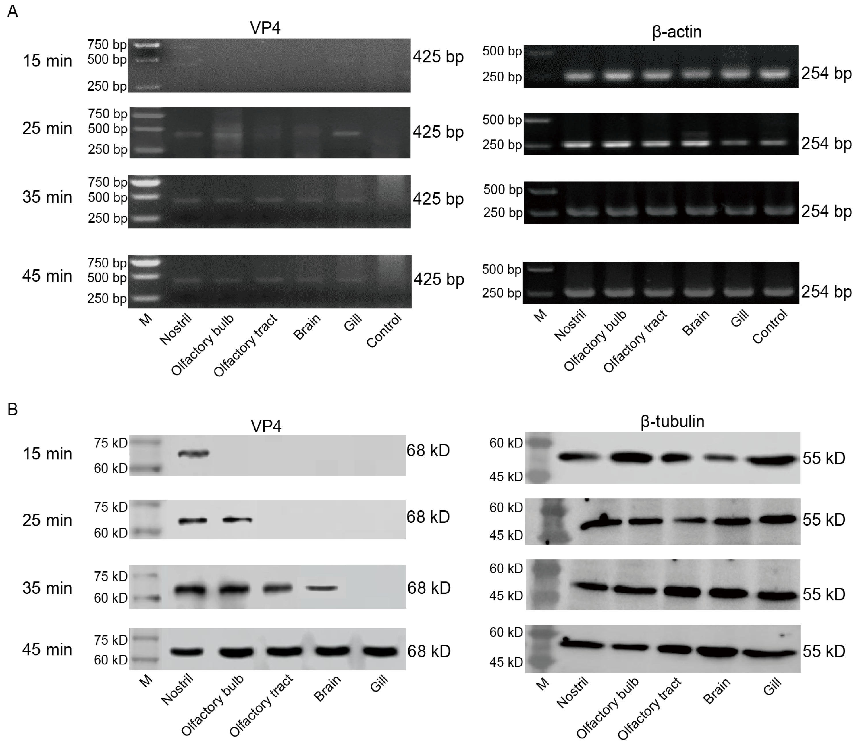
3.3. GCRV-II Is Located in Nostril, Olfactory System, and Brain within 45 min
3.4. GCRV-II Invades Brain along the Nostril–Olfactory System Path within 45 min
3.5. The Infection of GCRV-II in the Nostril–Olfactory System–Brain Was Aggravated after 6 h
4. Discussion
5. Conclusions
Author Contributions
Funding
Institutional Review Board Statement
Informed Consent Statement
Data Availability Statement
Acknowledgments
Conflicts of Interest
References
- Cheng, L.; Fang, Q.; Shah, S.; Atanasov, I.C.; Zhou, Z.H. Subnanometer-resolution structures of the grass carp reovirus core and virion. J. Mol. Biol. 2008, 382, 213–222. [Google Scholar] [CrossRef]
- Fang, Q.; Sanket, S.; Liang, Y.Y.; Zhou, Z.H. 3D reconstruction and capsid protein characterization of grass carp reovirus. Sci. China C Life Sci. 2005, 48, 593–600. [Google Scholar] [CrossRef] [PubMed]
- Wang, Q.; Zeng, W.; Liu, C.; Zhang, C.; Wang, Y.; Shi, C.; Wu, S. Complete genome sequence of a reovirus isolated from grass carp, indicating different genotypes of GCRV in China. J. Virol. 2012, 86, 12466. [Google Scholar] [CrossRef] [PubMed]
- Su, H.; Liao, Z.; Yang, C.; Zhang, Y.; Su, J. Grass carp reovirus VP56 allies VP4, recruits, blocks, and degrades RIG-I to more effectively attenuate IFN responses and facilitate viral evasion. Microbiol. Spectrum 2021, 9, e0100021. [Google Scholar] [CrossRef]
- Rao, Y.; Su, J. Insights into the antiviral immunity against grass carp (Ctenopharyngodon idella) reovirus (GCRV) in grass carp. J. Immunol. Res. 2015, 2015, 670437. [Google Scholar] [CrossRef]
- Nurkic, J.; Ahmad, M.A.; Arifhodzic, N.; Jusufovic, E. The role of target organ diagnostic approach in seasonal allergic rhinitis: Nasal smear eosinophils. Mater. sociomed. 2016, 28, 125–128. [Google Scholar] [CrossRef] [PubMed]
- Jiang, R.; Zhang, J.; Liao, Z.; Zhu, W.; Su, H.; Zhang, Y.; Su, J. Temperature-regulated type II grass carp reovirus establishes latent infection in Ctenopharyngodon idella brain. Virol. Sin. 2023, 38, 440–447. [Google Scholar] [CrossRef] [PubMed]
- Antinone, S.E.; Smith, G.A. Two modes of herpesvirus trafficking in neurons: Membrane acquisition directs motion. J. Virol. 2006, 80, 11235–11240. [Google Scholar] [CrossRef]
- Chaves, A.J.; Vergara-Alert, J.; Busquets, N.; Valle, R.; Rivas, R.; Ramis, A.; Darji, A.; Majo, N. Neuroinvasion of the highly pathogenic influenza virus H7N1 is caused by disruption of the blood brain barrier in an avian model. PLoS ONE 2014, 9, e115138. [Google Scholar] [CrossRef]
- Drevets, D.A.; Leenen, P.J.M. Leukocyte-facilitated entry of intracellular pathogens into the central nervous system. Microbes Infect. 2000, 2, 1609–1618. [Google Scholar] [CrossRef] [PubMed]
- Faber, H.K.; Gebhardt, L.P. Localizations of the virus of poliomyelitis in the central nervous system during the preparalytic period, after intranasal instillation. J. Exp. Med. 1933, 57, 933–954. [Google Scholar] [CrossRef]
- Flexner, S. Respiratory versus gastro-intestinal infection in poliomyelitis. J. Exp. Med. 1936, 63, 209–226. [Google Scholar] [CrossRef] [PubMed]
- Esiri, M.M. Herpes-simplex encephalitis—An immunohistological study of the distribution of viral-antigen within the brain. J. Neurol. Sci. 1982, 54, 209–226. [Google Scholar] [CrossRef]
- Penfold, M.E.T.; Armati, P.; Cunningham, A.L. Axonal-transport of herpes-simplex virions to epidermal-cells-evidence for a specialized mode of virus transport and assembly. Proc. Natl. Acad. Sci. USA 1994, 91, 6529–6533. [Google Scholar] [CrossRef]
- Urbanska, E.M.; Chambers, B.J.; Ljunggren, H.G.; Norrby, E.; Kristensson, K. Spread of measles virus through axonal pathways into limbic structures in the brain of TAP1 -/- mice. J. Med. Virol. 1997, 52, 362–369. [Google Scholar] [CrossRef]
- Danes, L.; Rychterova, V.; Kufner, J.; Hruskova, J. Role of olfactory route on infection of respiratory tract with venezuelan equine encephalomyelitis virus in normal and operated macaca-rhesus monkeys. Acta. Virol. 1973, 17, 50–56. [Google Scholar] [PubMed]
- Bennett, R.S.; Cress, C.M.; Ward, J.M.; Firestone, C.-Y.; Murphy, B.R.; Whitehead, S.S. La Crosse virus infectivity, pathogenesis, and immunogenicity in mice and monkeys. Virol. J. 2008, 5, 25. [Google Scholar] [CrossRef]
- Park, C.H.; Ishinaka, M.; Takada, A.; Kida, H.; Kimura, T.; Ochiai, K.; Umemura, T. The invasion routes of neurovirulent A Hong Kong 483/97 (H5N1) influenza virus into the central nervous system after respiratory infection in mice. Arch. Virol. 2002, 147, 1425–1436. [Google Scholar] [CrossRef] [PubMed]
- Olivares, J.; Schmachtenberg, O. An update on anatomy and function of the teleost olfactory system. PeerJ 2019, 7, e7807. [Google Scholar] [CrossRef]
- Calvo-Ochoa, E.; Byrd-Jacobs, C.A. The olfactory system of zebrafish as a model for the study of neurotoxicity and injury: Implications for neuroplasticity and disease. Int. J. Mol. Sci. 2019, 20, 1639. [Google Scholar] [CrossRef]
- Hansen, A.; Zielinski, B.S. Diversity in the olfactory epithelium of bony fishes: Development, lamellar arrangement, sensory neuron cell types and transduction components. J. Neurocytol. 2005, 34, 183–208. [Google Scholar] [CrossRef]
- Liang, B.; Su, J. Inducible nitric oxide synthase (iNOS) mediates vascular endothelial cell apoptosis in grass carp reovirus (GCRV)-induced hemorrhage. Int. J. Mol. Sci. 2019, 20, 6335. [Google Scholar] [CrossRef]
- Su, J.; Zhang, R.; Dong, J.; Yang, C. Evaluation of internal control genes for qRT-PCR normalization in tissues and cell culture for antiviral studies of grass carp (Ctenopharyngodon idella). Fish Shellfish Immunol. 2011, 30, 830–835. [Google Scholar] [CrossRef]
- Yang, L.; Su, J.G. Type II grass carp reovirus infects leukocytes but not erythrocytes and thrombocytes in grass carp (Ctenopharyngodon idella). Viruses 2021, 13, 870. [Google Scholar] [CrossRef]
- Durrant, D.M.; Ghosh, S.; Klein, R.S. The olfactory bulb: An Immunosensory effector organ during neurotropic viral infections. ACS Chem. Neurosci. 2016, 7, 464–469. [Google Scholar] [CrossRef]
- Das, P.K.; Salinas, I. Fish nasal immunity: From mucosal vaccines to neuroimmunology. Fish Shellfish Immunol. 2020, 104, 165–171. [Google Scholar] [CrossRef] [PubMed]
- Shotts, E.B.; Blazer, V.S.; Waltman, W.D. Pathogenesis of experimental Edwardsiella ictaluri infections in channel catfish (Ictalurus punctatus). Can. J. Fish. Aquat.Sci. 1986, 43, 36–42. [Google Scholar] [CrossRef]
- Evans, J.J.; Shoemaker, C.A.; Klesius, P.H. Distribution of Streptococcus iniae in hybrid striped bass (Morone chrysops × Morone saxatilis) following nare inoculation. Aquaculture 2001, 194, 233–243. [Google Scholar] [CrossRef]
- McNulty, S.T.; Klesius, P.H.; Shoemaker, C.A.; Evans, J.J. Streptococcus iniae infection and tissue distribution in hybrid striped bass (Morone chrysops × Morone saxatilis) following inoculation of the gills. Aquaculture 2003, 220, 165–173. [Google Scholar] [CrossRef]
- Evans, J.J.; Shoemaker, C.A.; Klesius, P.H. Experimental Streptococcus iniae infection of hybrid striped bass (Morone chrysops × Morone saxatilus) and tilapia (Oreochromis niloticus) by nares inoculation. Aquaculture 2000, 189, 197–210. [Google Scholar] [CrossRef]
- Harmache, A.; LeBerre, M.; Droineau, S.; Giovannini, M.; Bremont, M. Bioluminescence imaging of live infected salmonids reveals that the fin bases are the major portal of entry for Novirhabdovirus. J. Virol. 2006, 80, 3655–3659. [Google Scholar] [CrossRef] [PubMed]
- Ahmadivand, S.; Soltani, M.; Mardani, K.; Shokrpoor, S.; Hassanzadeh, R.; Ahmadpoor, M.; Rahmati-Holasoo, H.; Meshkini, S. Infectious hematopoietic necrosis virus (IHNV) outbreak in farmed rainbow trout in Iran: Viral isolation, pathological findings, molecular confirmation, and genetic analysis. Virus Res. 2017, 229, 17–23. [Google Scholar] [CrossRef] [PubMed]
- Marty, G.D.; Freiberg, E.F.; Meyers, T.R.; Wilcock, J.; Farver, T.B.; Hinton, D.E. Viral hemorrhagic septicemia virus, Ichthyophonus hoferi, and other causes of morbidity in Pacific herring Clupea pallasi spawning in Prince William Sound, Alaska, USA. Dis. Aquat. Org. 1998, 32, 15–40. [Google Scholar] [CrossRef]
- Tanaka, S.; Takagi, M.; Miyazaki, T. Histopathological studies on viral nervous necrosis of sevenband grouper, Epinephelus septemfasciatus Thunberg, at the grow-out stage. J. Fish Dis. 2004, 27, 385–399. [Google Scholar] [CrossRef]
- Watson, L.R.; Groff, J.M.; Hedrick, R.P. Replication and pathogenesis of white sturgeon iridovirus (WSIV) in experimentally infected white sturgeon Acipenser transmontanus juveniles and sturgeon cell lines. Dis. Aquat. Org. 1998, 32, 173–184. [Google Scholar] [CrossRef]
- Munday, B.L.; Odonoghue, P.J.; Watts, M.; Rough, K.; Hawkesford, T. Fatal encephalitis due to the scuticociliate Uronema nigricans in sea-caged, southern bluefin tuna Thunnus maccoyii. Dis. Aquat. Org. 1997, 30, 17–25. [Google Scholar] [CrossRef]






| Gene Name | Sequence (5′ to 3′) | Accession Number | Application | 
|---|---|---|---|
| VP4 | F: GATGGCGATAAAGGG | OM854797.1 | Semi-qRT-PCR | 
| R: CGCTGGGTTGATAGGACA | |||
| β-actin | F: TAACCCTCGTAGATGGGCACAGT | M25013 | |
| R: ATCTGGCATCACACCTTCTACAAC | |||
| VP4 | F: CGAAAACCTACCAGTGGATAATG | OM854797.1 | qRT-PCR | 
| R: CCAGCTAATACGCCAACGAC | |||
| 18S rRNA | F: ATTTCCGACACGGAGAGG | EU047719 | |
| R: CATGGGTTTAGGATACGCTC | 
| Disclaimer/Publisher’s Note: The statements, opinions and data contained in all publications are solely those of the individual author(s) and contributor(s) and not of MDPI and/or the editor(s). MDPI and/or the editor(s) disclaim responsibility for any injury to people or property resulting from any ideas, methods, instructions or products referred to in the content. | 
© 2023 by the authors. Licensee MDPI, Basel, Switzerland. This article is an open access article distributed under the terms and conditions of the Creative Commons Attribution (CC BY) license (https://creativecommons.org/licenses/by/4.0/).
Share and Cite
Zhu, W.; Qiao, M.; Hu, M.; Huo, X.; Zhang, Y.; Su, J. Type II Grass Carp Reovirus Rapidly Invades Grass Carp (Ctenopharyngodon idella) via Nostril–Olfactory System–Brain Axis, Gill, and Skin on Head. Viruses 2023, 15, 1614. https://doi.org/10.3390/v15071614
Zhu W, Qiao M, Hu M, Huo X, Zhang Y, Su J. Type II Grass Carp Reovirus Rapidly Invades Grass Carp (Ctenopharyngodon idella) via Nostril–Olfactory System–Brain Axis, Gill, and Skin on Head. Viruses. 2023; 15(7):1614. https://doi.org/10.3390/v15071614
Chicago/Turabian StyleZhu, Wentao, Meihua Qiao, Meidi Hu, Xingchen Huo, Yongan Zhang, and Jianguo Su. 2023. "Type II Grass Carp Reovirus Rapidly Invades Grass Carp (Ctenopharyngodon idella) via Nostril–Olfactory System–Brain Axis, Gill, and Skin on Head" Viruses 15, no. 7: 1614. https://doi.org/10.3390/v15071614
APA StyleZhu, W., Qiao, M., Hu, M., Huo, X., Zhang, Y., & Su, J. (2023). Type II Grass Carp Reovirus Rapidly Invades Grass Carp (Ctenopharyngodon idella) via Nostril–Olfactory System–Brain Axis, Gill, and Skin on Head. Viruses, 15(7), 1614. https://doi.org/10.3390/v15071614
 
        


 
       