Extraction and Analyses of Flavonoids and Phenolic Acids from Canadian Goldenrod and Giant Goldenrod
Abstract
1. Introduction
2. Materials and Methods
2.1. Chemicals
2.2. Preparation of Standard Solutions
2.3. Plant Material
2.4. Preparation of Sample Test Solutions (STSs)
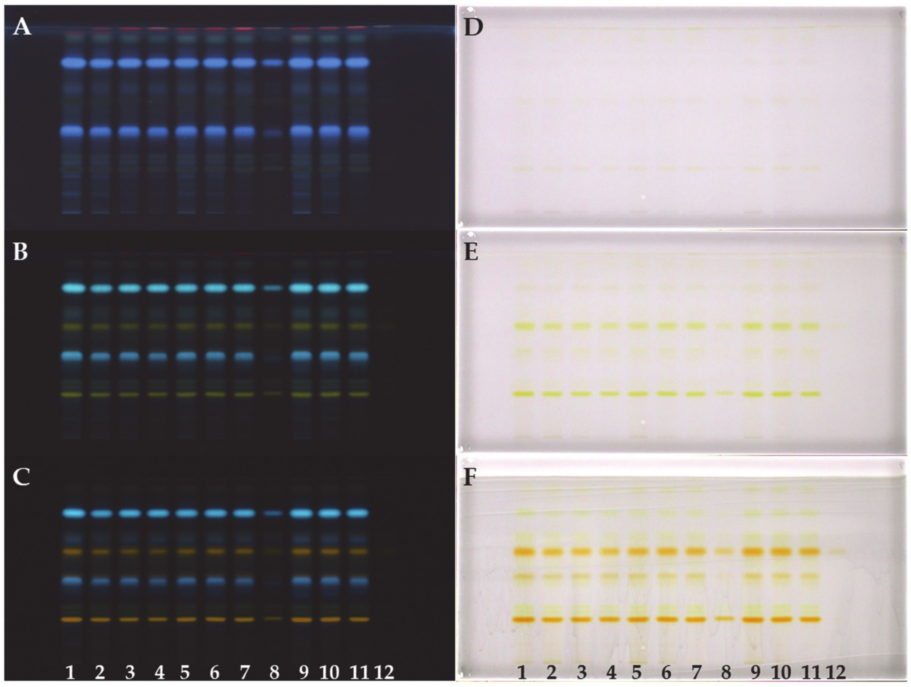
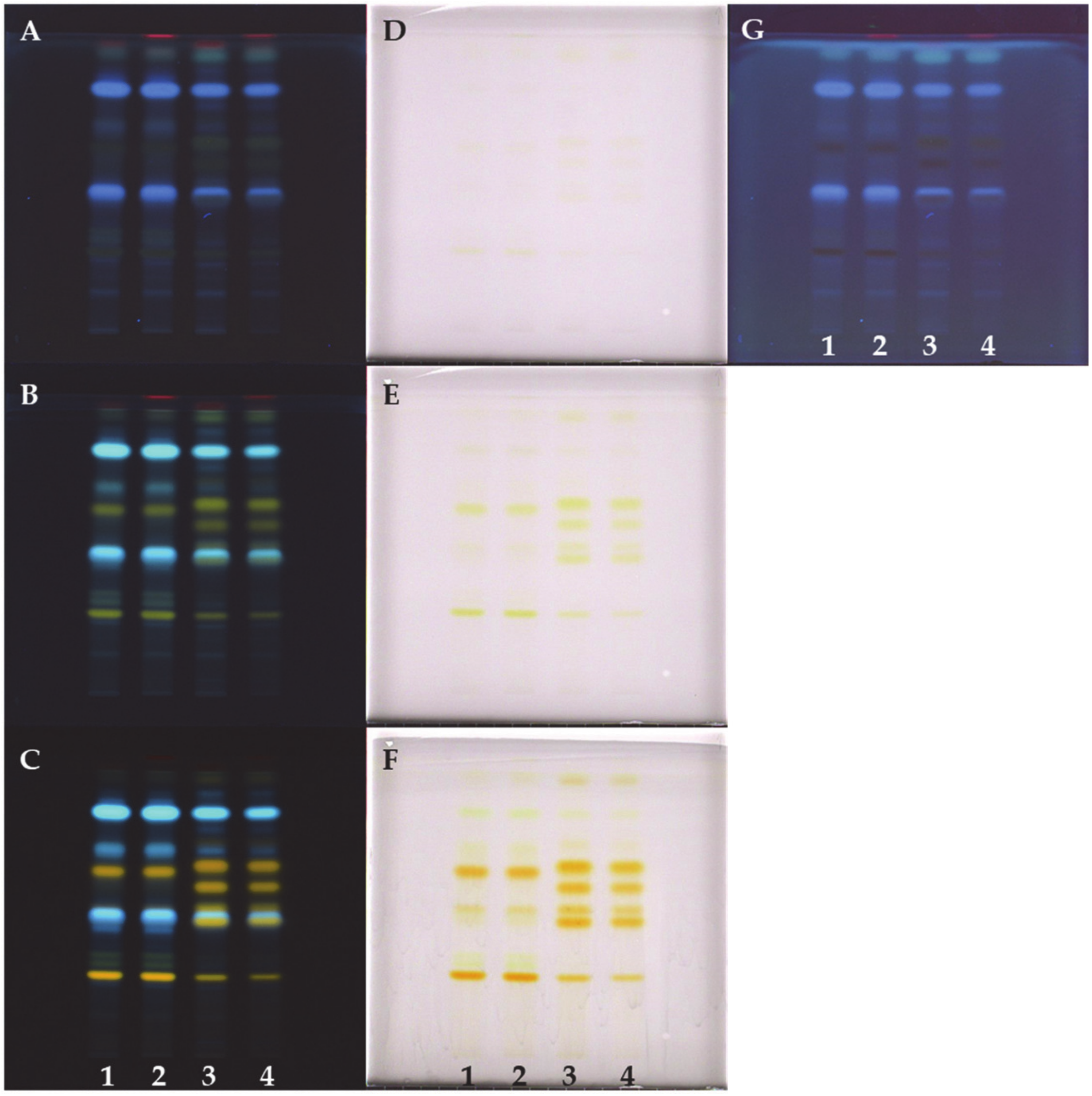
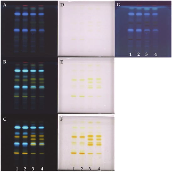
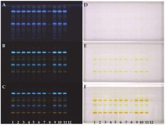
2.5. HPTLC with Densitometry and Image Analysis
2.6. HPTLC-MS/MS Analyses
2.7. HPLC and LC-MS Analyses
3. Results and Discussion
3.1. Evaluation of Extraction Solvents
3.2. HPTLC and HPTLC-Image Analyses
3.3. HPLC Analyses
3.4. HPTLC-MS/MS and LC-MS/MS Analyses
4. Conclusions
Author Contributions
Funding
Institutional Review Board Statement
Informed Consent Statement
Data Availability Statement
Acknowledgments
Conflicts of Interest
References
- EPPO Global Database—Solidago gigantea (SOOGI). Available online: https://gd.eppo.int/taxon/SOOGI (accessed on 7 December 2020).
- Weber, E.; Jakobs, G. Biological flora of central Europe: Solidago gigantea Aiton. Flora 2005, 200, 109–118. [Google Scholar] [CrossRef]
- Kabuce, N.; Priede, A. NOBANIS—Invasive Alien Species Fact Sheet—Solidago canadensis. Available online: www.nobanis.org (accessed on 7 December 2020).
- Šutovská, M.; Capek, P.; Kocmálová, M.; Fraxová, S.; Pawlaczyk, I.; Gancarz, R. Characterization and biological activity of Solidago canadensis complex. Int. J. Biol. Macromol. 2013, 52, 192–197. [Google Scholar] [CrossRef] [PubMed]
- Baličević, R.; Ravlić, M.; Živković, T. Allelopathic Effect of Invasive Species Giant Goldenrod (Solidago gigantea Ait.) on Crops and Weeds. Herbol. Int. J. Weed Res. Control 2015, 1. [Google Scholar] [CrossRef]
- EPPO Global Database—Solidago canadensis (SOOCA): Distribution. Available online: https://gd.eppo.int/taxon/SOOCA/distribution (accessed on 7 December 2020).
- König, J.; Van Kleunen, M.; Dawson, W. No consistent legacy effects of invasion by giant goldenrod (Solidago gigantea) via soil biota on native plant growth. J. Plant Ecol. 2016, 9, 320–327. [Google Scholar] [CrossRef]
- Top 20 Environmental Weeds for Classical Biological Control in Europe. Available online: https://gd.eppo.int/reporting/article-2536 (accessed on 7 December 2020).
- Kołodziej, B.; Kowalski, R.; Kedzia, B. Antibacterial and antimutagenic activity of extracts aboveground parts of three solidago species: Solidago virgaurea L., Solidago canadensis L. and Solidago gigantea Ait. J. Med. Plant Res. 2011, 5, 6770–6779. [Google Scholar] [CrossRef]
- Leitner, P.; Fitz-Binder, C.; Mahmud-Ali, A.; Bechtold, T. Production of a concentrated natural dye from Canadian Goldenrod (Solidago canadensis) extracts. Dyes Pigment. 2012, 93, 1416–1421. [Google Scholar] [CrossRef]
- Bechtold, T.; Mahmud-Ali, A.; Mussak, R. Natural dyes for textile dyeing: A comparison of methods to assess the quality of Canadian golden rod plant material. Dyes Pigment. 2007, 75, 287–293. [Google Scholar] [CrossRef]
- Mishra, D.; Joshi, S.; Bisht, G.; Pilkhwal, S. Chemical composition and antimicrobial activity of Solidago canadensis linn. Root essential oil. J. Basic Clin. Pharm. 2010, 1, 187–190. [Google Scholar]
- Elshafie, H.S.; Grul’ová, D.; Baranová, B.; Caputo, L.; De Martino, L.; Sedlák, V.; Camele, I.; De Feo, V. Antimicrobial activity and chemical composition of essential oil extracted from Solidago canadensis L. Growing wild in Slovakia. Molecules 2019, 24, 1206. [Google Scholar] [CrossRef]
- Apati, P.; Szentmihályi, K.; Balázs, A.; Baumann, D.; Hamburger, M.; Kristó, T.S.; Szoke, É.; Kéry, Á. HPLC analysis of the flavonoids in pharmaceutical preparations from Canadian goldenrod (Solidago canadensis). Chromatographia 2002, 56. [Google Scholar] [CrossRef]
- Horváth, G.; Molnár, P.; Farkas, Á.; Szabó, L.; Turcsi, E.; Deli, J. Separation and identification of carotenoids in flowers of Chelidonium majus L. and inflorescences of Solidago canadensis L. Chromatographia 2010, 71, S65–S68. [Google Scholar] [CrossRef]
- Radušiene, J.; Marska, M.; Ivanauskas, L.; Jakstas, V.; Karpaviciene, B. Assessment of phenolic compound accumulation in two widespread goldenrods. Ind. Crops Prod. 2015, 63, 158–166. [Google Scholar] [CrossRef]
- Radušiene, J.; Marksa, M.; Karpavičiene, B. Assessment of Solidago × niederederi Origin Based on the Accumulation of Phenolic Compounds in Plant Raw Materials. Weed Sci. 2018, 66, 324–330. [Google Scholar] [CrossRef]
- Kalemba, D.; Marschall, H.; Bradesi, P. Constituents of the essential oil of Solidago gigantea Ait. (giant goldenrod). Flavour Fragr. J. 2001, 16, 19–26. [Google Scholar] [CrossRef]
- Choi, S.Z.; Sang, U.C.; Kang, R.L. Pytochemical constituents of the aerial parts from Solidago virga-aurea var. gigantea. Arch. Pharm. Res. 2004, 27, 164–168. [Google Scholar] [CrossRef]
- Móricz, Á.M.; Krüzselyi, D.; Ott, P.G.; Garádi, Z.; Béni, S.; Morlock, G.E.; Bakonyi, J. Bioactive clerodane diterpenes of giant goldenrod (Solidago gigantea Ait.) root extract. J. Chromatogr. A 2020, 461727. [Google Scholar] [CrossRef]
- Haghi, G.; Hatami, A. Simultaneous quantification of flavonoids and phenolic acids in plant materials by a newly developed isocratic high-performance liquid chromatography approach. J. Agric. Food Chem. 2010, 58, 10812–10816. [Google Scholar] [CrossRef]
- Bajkacz, S.; Baranowska, I.; Buszewski, B.; Kowalski, B.; Ligor, M. Determination of Flavonoids and Phenolic Acids in Plant Materials Using SLE-SPE-UHPLC-MS/MS Method. Food Anal. Methods 2018, 11, 3563–3575. [Google Scholar] [CrossRef]
- Avertseva, I.N.; Suleymanova, F.S.; Nesterova, O.V.; Reshetnyak, V.Y.; Matveenko, V.N.; Zhukov, P.A. Study of Polyphenolic Compounds in Extracts from Flowers and Leaves of Canadian Goldenrod and Dwarf Goldenrod (Solidago canadensis L. and Solidago nana Nitt.). Moscow Univ. Chem. Bull. 2020, 75, 47–51. [Google Scholar] [CrossRef]
- Mannino, G.; Di Stefano, V.; Lauria, A.; Pitonzo, R.; Gentile, C. Vaccinium macrocarpon (Cranberry)-Based Dietary Supplements: Variation in Mass Uniformity, Proanthocyanidin Dosage and Anthocyanin Profile Demonstrates Quality Control Standard Needed. Nutrients 2020, 12, 992. [Google Scholar] [CrossRef]
- Ristivojević, P.; Trifković, J.; Vovk, I.; Milojković Opsenica, D. Comparative study of different approaches for multivariate image analysis in HPTLC fingerprinting of natural products such as plant resin. Talanta 2017, 162, 72–79. [Google Scholar] [CrossRef] [PubMed]
- Simonovska, B.; Vovk, I.; Andrenšek, S.; Valentová, K.; Ulrichová, J. Investigation of phenolic acids in yacon (Smallanthus sonchifolius) leaves and tubers. J. Chromatogr. A 2003, 1016, 89–98. [Google Scholar] [CrossRef]
- Reich, E.; Schibli, A. High-Performance Thin-Layer Chromatography for the Analysis of Medicinal Plants; Thieme: New York, NY, USA, 2007. [Google Scholar]
- Jug, U.; Glavnik, V.; Kranjc, E.; Vovk, I. HPTLC–densitometric and HPTLC–MS methods for analysis of flavonoids. J. Liq. Chromatogr. Relat. Technol. 2018, 41, 329–341. [Google Scholar] [CrossRef]
- Jug, U.; Glavnik, V.; Kranjc, E.; Vovk, I. High-performance thin-layer chromatography and high-performance thin-layer chromatography–mass spectrometry methods for the analysis of phenolic acids. J. Planar Chromatogr. Mod. TLC 2018, 31, 13–22. [Google Scholar] [CrossRef]
- Vasić, V.; Gašić, U.; Stanković, D.; Lušić, D.; Vukić-Lušić, D.; Milojković-Opsenica, D.; Tešić, Ž.; Trifković, J. Towards better quality criteria of European honeydew honey: Phenolic profile and antioxidant capacity. Food Chem. 2019, 274, 629–641. [Google Scholar] [CrossRef]
- Truchado, P.; Vit, P.; Heard, T.A.; Tomás-Barberán, F.A.; Ferreres, F. Determination of interglycosidic linkages in O-glycosyl flavones by high-performance liquid chromatography/photodiode-array detection coupled to electrospray ionization ion trap mass spectrometry. Its application to Tetragonula carbonaria honey from Australia. Rapid Commun. Mass Spectrom. 2015, 29, 948–954. [Google Scholar] [CrossRef]
- Kostić, A.; Milinčić, D.D.; Gašić, U.M.; Nedić, N.; Stanojević, S.P.; Tešić, Ž.L.; Pešić, M.B. Polyphenolic profile and antioxidant properties of bee-collected pollen from sunflower (Helianthus annuus L.) plant. LWT 2019, 112, 108244. [Google Scholar] [CrossRef]
- Willems, J.L.; Khamis, M.M.; Mohammed Saeid, W.; Purves, R.W.; Katselis, G.; Low, N.H.; El-Aneed, A. Analysis of a series of chlorogenic acid isomers using differential ion mobility and tandem mass spectrometry. Anal. Chim. Acta 2016, 933, 164–174. [Google Scholar] [CrossRef]
- Mudrić, S.; Gašić, U.M.; Dramićanin, A.M.; Ćirić, I.; Milojković-Opsenica, D.M.; Popović-Đorđević, J.B.; Momirović, N.M.; Tešić, Ž.L. The polyphenolics and carbohydrates as indicators of botanical and geographical origin of Serbian autochthonous clones of red spice paprika. Food Chem. 2017, 217, 705–715. [Google Scholar] [CrossRef]









| Canadian Goldenrod | Giant Goldenrod | |
|---|---|---|
| Compounds | Content (mg/g DM) 1 | |
| Chlorogenic acid | 9.05 ± 0.05 | 6.51 ± 0.08 |
| Rutin | 27.62 ± 0.45 | 1.67 ± 0.03 |
| Hyperoside | 0.80 ± 0.01 | 7.63 ± 0.04 |
| Isoquercitrin | 6.78 ± 0.05 | 6.93 ± 0.09 |
| Quercitrin | <LOD | 6.61 ± 0.07 |
| Compound | [M−H]− (m/z) | MSn Fragmentation | RF | Goldenrods | Ref. | |
|---|---|---|---|---|---|---|
| Canadian | Giant | |||||
| Chlorogenic acid | 353 | MS2 [353]: 191 (100), 179 (10) MS3 [353→191]: 173 (95), 127 (100), 85 (90) | 0.61 | + | + | [33] |
| Quercetin pentoside | 433 | MS2 [433]: 301 (70), 300 (100) MS3 [433→300]: 271 (100), 255 (50) | 0.63 | − | + | [30] |
| Quercitrin | 447 | MS2 [447]: 301 (100), 300 (30) MS3 [447→301]: 273 (20), 257 (20), 179 (100), 151 (80) | 0.66 | − | + | [30,34] |
| Quercitrin isomer | 447 | MS2 [447]: 301 (100), 300 (30) MS3 [447→301]: 273 (30), 271 (30), 257 (15), 255 (30) 179 (100), 151 (80) | 0.60 | + | − | [34] |
| Hyperoside | 463 | MS2 [463]: 301 (100), 300 (30) MS3 [463→301]: 273 (20), 257 (25), 179 (100), 151 (85) | 0.56 | + | + | [34] |
| Kaempferol-(acethyl)-hexoside | 489 | MS2 [489]: 284 (100), 285 (80) MS3 [489→284]: 255 (100), 227 (20) | 0.73 | + | + | [30] |
| Quercetin-(acetyl)-hexoside | 505 | MS2 [505]: 301 (100), 300 (30) MS3 [505→301]: 273 (20), 257 (20), 179 (100), 151 (80) | 0.65 | + | − | [32] |
| Dicaffeoylquinic acid | 515 | MS2 [515]: 353 (100) MS3 [515→353]: 191 (50), 179 (60), 173 (100) | 0.80 | + | + | [33] |
| Kaempferol-(rhamnosyl)-hexoside | 593 | MS2 [593]: 285 (100), 284 (10) MS3 [593→285]:267 (45), 257 (100), 229 (50), 241 (30) | 0.36 | + | − | [30] |
| Rutin | 609 | MS2 [609]: 301 (100), 300 (45) MS3 [609→301]: 273 (25), 257 (20), 179 (100), 151 (80) | 0.29 | + | + | [30,32] |
| Compound | Peak Number | tR (min) | [M−H]− (m/z) | MSn Fragmentation | Goldenrods | Ref. | |
|---|---|---|---|---|---|---|---|
| Canadian | Giant | ||||||
| Chlorogenic acid | 1 | 3.2 | 353 | MS2 [353]: 191 (100), 179 (10), 173 (10) MS3 [353→191]: 173 (60), 171 (30), 127 (100), 111 (30), 85 (80) | + | + | [33] |
| Quercetin-(pentosyl)-hexoside | 2 | 8.9 | 595 | MS2 [595]: 301 (100), 300 (60) | − | + | [31] |
| Quercetin-(rhamnosyl)-hexoside | 3 | 9.2 | 609 | MS2 [609]: 301 (100), 300 (90) MS3 [609→301]: 283 (10), 273 (40), 271 (95), 257 (30), 255 (50), 179 (95), 151 (100) | + | + | [31,34] |
| Rutin | 4 | 9.5 | 609 | MS2 [609]: 301 (100), 300 (60) MS3 [609→301]: 271 (80), 257 (30), 255 (60), 179 (100), 151 (80) | + | + | [34] |
| Hyperoside | 5 | 10.3 | 463 | MS2 [463]: 301 (100), 300 (50) MS3 [463→301]: 283 (20), 273 (20), 271 (100), 255 (60), 229 (20), 179 (80), 151 (90) | + | + | [34] |
| Isoquercitrin | 6 | 10.8 | 463 | MS2 [463]: 301 (100), 300 (50) MS3 [463→301]: 273 (20), 271 (90), 257 (20), 255 (50), 179 (100), 151 (85) | + | + | [31] |
| Kaempferol-(rhamnosyl)-hexoside | 7 | 11.2 | 593 | MS2 [593]: 285 (100), 284 (80) MS3 [593→285]: 267 (30), 257 (30), 255 (100), 227 (20) | + | − | [30] |
| Kaempferol-(rhamnosyl)-hexoside | 8 | 12.3 | 593 | MS2 [593]: 285 (100), 284 (20) MS3 [593→285]: 267 (50), 257 (100), 255 (50), 229 (70) | + | − | [30] |
| Quercetin pentoside | 9 | 12.5 | 433 | MS2 [433]: 301 (50), 300 (100) MS3 [433→300]: 271 (100), 255 (60) | − | + | [30] |
| (Iso)rhamnetin-(rhamnosyl)-hexoside | 10 | 12.7 | 623 | MS2 [623]: 315 (100), 300 (25), 271 (15) MS3 [623→315]: 300 (100), 287 (10), 272 (10), 151 (2) | + | − | [32] |
| Dicaffeoylquinic acid | 11 | 13.2 | 515 | MS2 [515]: 353 MS3 [515→353]: 191 (100), 179 (50), 173 (20), 135 (15) | + | + | [33] |
| Quercitrin | 12 | 13.7 | 447 | MS2 [447]: 301 (100), 300 (10) MS3 [447→301]: 283 (30), 271 (100), 225 (70), 179 (80), 151 (70) | − | + | [34] |
| Quercetin -(acetyl)-hexoside | 13 | 14.1 | 505 | MS2 [505]: 301 (100), 300 (70) MS3 [505→301]: 283 (10), 271 (100), 255 (50), 179 (40), 151 (45) | + | − | [32] |
| Kaempferol-(acetyl)-hexoside | 14 | 17.2 | 489 | MS2 [489]: 285 (70), 284 (100) MS3 [489→284] 255 (100), 227 (25) | + | − | [30] |
| Isorhamnetin-(acetyl)-hexoside | 15 | 17.6 | 519 | MS2 [519]: 315 (35), 314 (100) MS3 [519→314]: 300 (15), 299 (20), 286 (20), 285 (100), 271 (70) | + | − | [32] |
Publisher’s Note: MDPI stays neutral with regard to jurisdictional claims in published maps and institutional affiliations. |
© 2020 by the authors. Licensee MDPI, Basel, Switzerland. This article is an open access article distributed under the terms and conditions of the Creative Commons Attribution (CC BY) license (http://creativecommons.org/licenses/by/4.0/).
Share and Cite
Zekič, J.; Vovk, I.; Glavnik, V. Extraction and Analyses of Flavonoids and Phenolic Acids from Canadian Goldenrod and Giant Goldenrod. Forests 2021, 12, 40. https://doi.org/10.3390/f12010040
Zekič J, Vovk I, Glavnik V. Extraction and Analyses of Flavonoids and Phenolic Acids from Canadian Goldenrod and Giant Goldenrod. Forests. 2021; 12(1):40. https://doi.org/10.3390/f12010040
Chicago/Turabian StyleZekič, Jure, Irena Vovk, and Vesna Glavnik. 2021. "Extraction and Analyses of Flavonoids and Phenolic Acids from Canadian Goldenrod and Giant Goldenrod" Forests 12, no. 1: 40. https://doi.org/10.3390/f12010040
APA StyleZekič, J., Vovk, I., & Glavnik, V. (2021). Extraction and Analyses of Flavonoids and Phenolic Acids from Canadian Goldenrod and Giant Goldenrod. Forests, 12(1), 40. https://doi.org/10.3390/f12010040

