Geotemporal Fluorophore Biodistribution Mapping of Colorectal Cancer: Micro and Macroscopic Insights
Abstract
1. Introduction
2. Methods
2.1. Macroscopic ICG Profiling
2.2. Fluorescence Microscopy: Tissue Preparation and Analysis
3. Results
3.1. Macroscopic ICG Tumour Perfusion Profiling
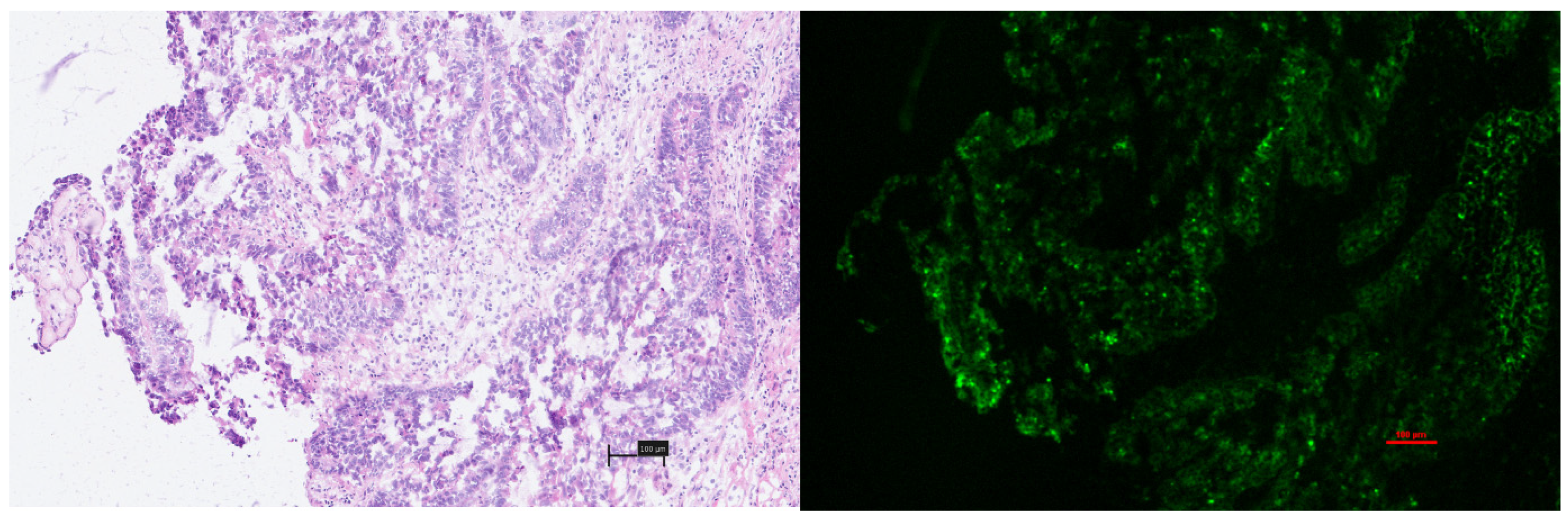
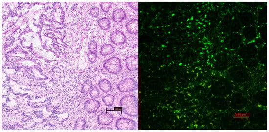
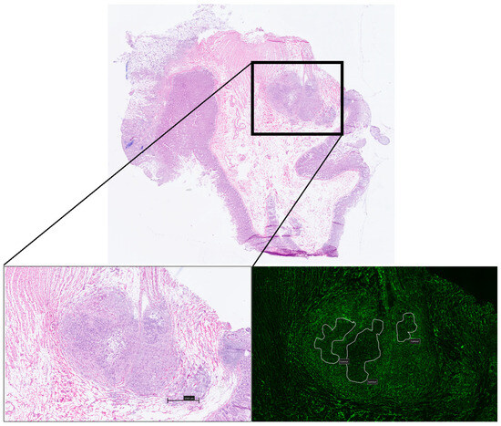
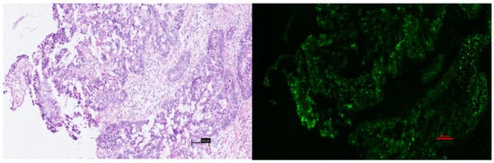
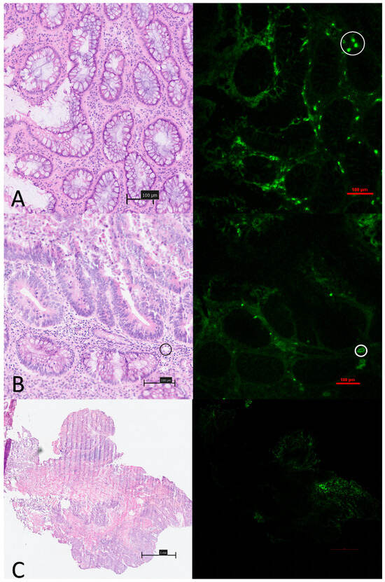
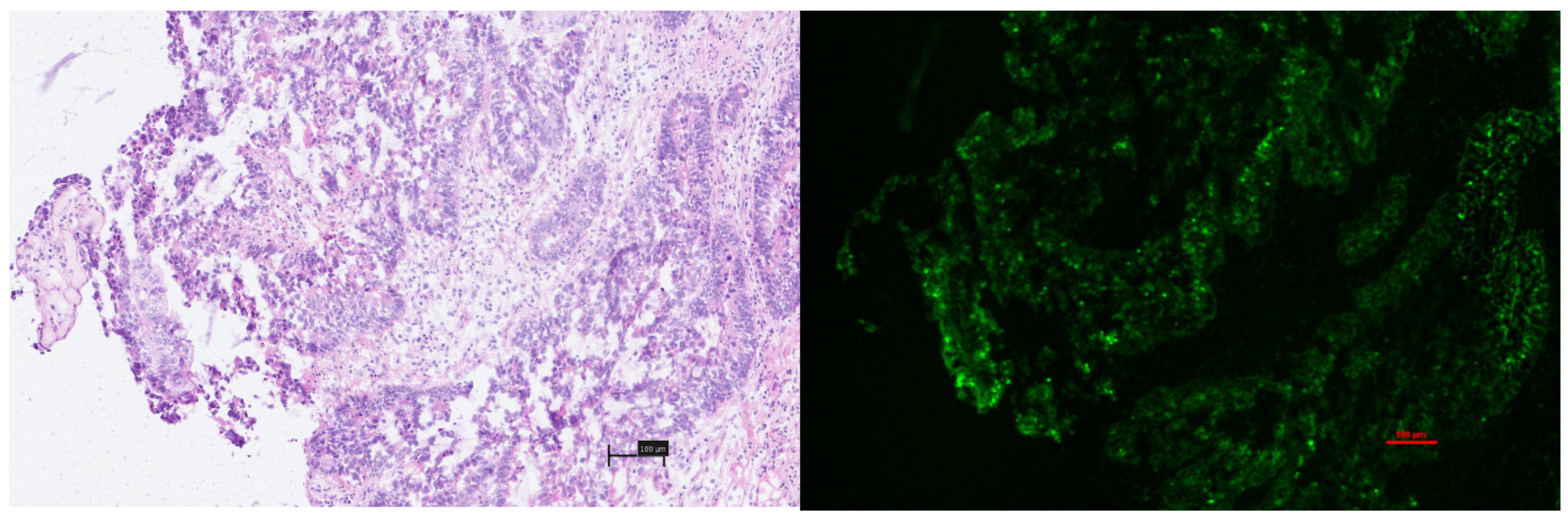
3.2. Fluorescence Microscopy: Tissue Analysis
4. Discussion
Supplementary Materials
Author Contributions
Funding
Institutional Review Board Statement
Informed Consent Statement
Data Availability Statement
Conflicts of Interest
References
- Van Den Hoven, P.; Osterkamp, J.; Nerup, N.; Svendsen, M.B.S.; Vahrmeijer, A.; Van Der Vorst, J.R.; Achiam, M.P. Quantitative perfusion assessment using indocyanine green during surgery—Current applications and recommendations for future use. Langenbecks Arch. Surg. 2023, 408, 67. [Google Scholar] [CrossRef] [PubMed]
- Moynihan, A.; Hardy, N.; Dalli, J.; Aigner, F.; Arezzo, A.; Hompes, R.; Knol, J.; Tuynman, J.; Cucek, J.; Rojc, J.; et al. CLASSICA: Validating artificial intelligence in classifying cancer in real time during surgery. Color. Dis. 2023, 25, 2392–2402. [Google Scholar] [CrossRef] [PubMed]
- Lwin, T.M.; Turner, M.A.; Amirfakhri, S.; Nishino, H.; Hoffman, R.M.; Bouvet, M. Fluorescence Molecular Targeting of Colon Cancer to Visualize the Invisible. Cells 2022, 11, 249. [Google Scholar] [CrossRef] [PubMed]
- da Silva Neto, E.; Figueiredo, P.H.M.; Moro, M.G.; de Oliveira, A.P.L.; Assumpção, C.B.; Perina, A.L.F.; da Costa, F.P.P.; Faria, E.P.; de Oliveira, A.C.V.; Prates, R.A. Use of laser-assisted indocyanine green angiography in breast reconstruction: Systematic review and meta-analysis. J. Surg. Oncol. 2020, 121, 759–765. [Google Scholar] [CrossRef] [PubMed]
- Zötterman, J.; Tesselaar, E.; Elawa, S.; Farnebo, S. Correlation between Indocyanine Green Fluorescence Angiography and Laser Speckle Contrast Imaging in a Flap Model. Plast. Reconstr. Surg. Glob. Open 2023, 11 (Suppl. S5), e5187. [Google Scholar] [CrossRef] [PubMed]
- Slooter, M.D.; Eshuis, W.J.; Cuesta, M.A.; Gisbertz, S.S.; Henegouwen, M.I. Fluorescent imaging using indocyanine green during esophagectomy to prevent surgical morbidity: A systematic review and meta-analysis. J. Thorac. Dis. 2019, 11, S755–S765. [Google Scholar] [CrossRef]
- Kang, H.; Kang, M.-W.; Kashiwagi, S.; Choi, H.S. NIR fluorescence imaging and treatment for cancer immunotherapy. J. Immunother. Cancer 2022, 10, e004936. [Google Scholar] [CrossRef]
- Feng, Z.; Li, Y.; Chen, S.; Li, J.; Wu, T.; Ying, Y.; Zheng, J.; Zhang, Y.; Zhang, J.; Fan, X.; et al. Engineered NIR-II fluorophores with ultralong-distance molecular packing for high-contrast deep lesion identification. Nat. Commun. 2023, 14, 5017. [Google Scholar] [CrossRef]
- Chen, Y.; Xue, L.; Zhu, Q.; Feng, Y.; Wu, M. Recent Advances in Second Near-Infrared Region (NIR-II) Fluorophores and Biomedical Applications. Front. Chem. 2021, 9, 750404. [Google Scholar] [CrossRef]
- Cahill, R.A.; O’Shea, D.F.; Khan, M.F.; Khokhar, H.A.; Epperlein, J.P.; Mac Aonghusa, P.G.; Nair, R.; Zhuk, S.M. Artificial intelligence indocyanine green (ICG) perfusion for colorectal cancer intra-operative tissue classification. Br. J. Surg. 2020, 108, 5–9. [Google Scholar] [CrossRef]
- Hardy, N.P.; MacAonghusa, P.; Dalli, J.; Gallagher, G.; Epperlein, J.P.; Shields, C.; Mulsow, J.; Rogers, A.C.; Brannigan, A.E.; Conneely, J.B.; et al. Clinical application of machine learning and computer vision to indocyanine green quantification for dynamic intraoperative tissue characterisation: How to do it. Surg. Endosc. 2023, 37, 6361–6370. [Google Scholar] [CrossRef]
- Onda, N.; Kimura, M.; Yoshida, T.; Shibutani, M. Preferential tumor cellular uptake and retention of indocyanine green for in vivo tumor imaging. Int. J. Cancer 2016, 139, 673–682. [Google Scholar] [CrossRef]
- Nagahara, R.; Onda, N.; Yamashita, S.; Kojima, M.; Inohana, M.; Shibutani, M. Fluoresecence tumor imaging by i.v. administered indocyanine green in a mouse model of colitis-associated colon cancer. Cancer Sci. 2018, 109, 1638–1647. [Google Scholar] [CrossRef]
- Hardy, N.P.; Epperlein, J.P.; Dalli, J.; Robertson, W.; Liddy, R.; Aird, J.J.; Mulligan, N.; Neary, P.M.; McEntee, G.P.; Conneely, J.B.; et al. Real-time administration of indocyanine green in combination with computer vision and artificial intelligence for the identification and delineation of colorectal liver metastases. Surg. Open Sci. 2023, 12, 48–54. [Google Scholar] [CrossRef]
- Hanahan, D.; Weinberg, R.A. Hallmarks of cancer: The next generation. Cell 2011, 144, 646–674. [Google Scholar] [CrossRef] [PubMed]
- Coussens, L.M.; Werb, Z. Inflammation and cancer. Nature 2002, 420, 860–867. [Google Scholar] [CrossRef] [PubMed]
- Anderson, N.M.; Simon, M.C. The tumor microenvironment. Curr. Biol. 2020, 30, R921–R925. [Google Scholar] [CrossRef] [PubMed]
- Chan, C.D.; Brookes, M.J.; Tanwani, R.; Hope, C.; Pringle, T.A.; Knight, J.C.; Rankin, K.S. Investigating the mechanisms of indocyanine green (ICG) cellular uptake in sarcoma. BioRxiv 2021, 4. [Google Scholar] [CrossRef]
- Wakabayashi, T.; Cacciaguerra, A.B.; Abe, Y.; Bona, E.D.; Nicolini, D.; Mocchegiani, F.; Kabeshima, Y.; Vivarelli, M.; Wakabayashi, G.; Kitagawa, Y. Indocyanine Green Fluorescence Navigation in Liver Surgery: A Systematic Review on Dose and Timing of Administration. Ann. Surg. 2022, 275, 1025–1034. [Google Scholar] [CrossRef] [PubMed]
- Pop, C.; Barbieux, R.; Moreau, M.; Noterman, D.; De Neubourg, F.; Chintinne, M.; Liberale, G.; Larsimont, D.; Nogaret, J.; Bourgeois, P.; et al. Tumor localization and surgical margins identification in breast cancer using ICG-fluorescence imaging. Eur. J. Surg. Oncol. 2019, 45, e101. [Google Scholar] [CrossRef]
- Liberale, G.; Vankerckhove, S.B.; Caldon, M.G.; Ahmed, B.; Moreau, M.; El Nakadi, I.; Larsimont, D.; Donckier, V.; Bourgeois, P.; Group R&D for the Clinical Application of Fluorescence Imaging of the Jules Bordet’s Institute. Fluorescence Imaging After Indocyanine Green Injection for Detection of Peritoneal Metastases in Patients Undergoing Cytoreductive Surgery for Peritoneal Carcinomatosis From Colorectal Cancer: A Pilot Study. Ann. Surg. 2016, 264, 1110–1115. [Google Scholar] [CrossRef]
- Breuking, E.A.; van Varsseveld, O.C.; Harms, M.; Tytgat, S.H.; Hulscher, J.B.F.; Ruiterkamp, J. Safety and Feasibility of Indocyanine Green Fluorescence Angiography in Pediatric Gastrointestinal Surgery: A Systematic Review. J. Pediatr. Surg. 2023, 58, 1534–1542. [Google Scholar] [CrossRef]
- Holt, D.; Okusanya, O.; Judy, R.; Venegas, O.; Jiang, J.; DeJesus, E.; Eruslanov, E.; Quatromoni, J.; Bhojnagarwala, P.; Deshpande, C.; et al. Intraoperative near-infrared imaging can distinguish cancer from normal tissue but not inflammation. PLoS ONE 2014, 9, e103342. [Google Scholar] [CrossRef]
- Porcellini, S.; Asperti, C.; Valentinis, B.; Tiziano, E.; Mangia, P.; Bordignon, C.; Rizzardi, G.-P.; Traversari, C. The tumor vessel targeting agent NGR-TNF controls the different stages of the tumorigenic process in transgenic mice by distinct mechanisms. Oncoimmunology 2015, 4, e1041700. [Google Scholar] [CrossRef][Green Version]
- Numasawa, K.; Hanaoka, K.; Saito, N.; Yamaguchi, Y.; Ikeno, T.; Echizen, H.; Yasunaga, M.; Komatsu, T.; Ueno, T.; Miura, M.; et al. A Fluorescent Probe for Rapid, High-Contrast Visualization of Folate-Receptor-Expressing Tumors In Vivo. Angew. Chem. Int. Ed. Engl. 2020, 59, 6015–6020. [Google Scholar] [CrossRef] [PubMed]
- Johnson, G.; Hershorn, O.; Singh, H.; Park, J.; Helewa, R.M. Sampling error in the diagnosis of colorectal cancer is associated with delay to surgery: A retrospective cohort study. Surg. Endosc. 2022, 36, 4893–4902. [Google Scholar] [CrossRef] [PubMed]
- Croager, E. Stopping the leaks. Nat. Rev. Cancer 2003, 3, 635. [Google Scholar] [CrossRef]
- Dalli, J.; Loughman, E.; Hardy, N.; Sarkar, A.; Khan, M.F.; Khokhar, H.A.; Huxel, P.; O’shea, D.F.; Cahill, R.A. Digital dynamic discrimination of primary colorectal cancer using systemic indocyanine green with near-infrared endoscopy. Sci. Rep. 2021, 11, 11349. [Google Scholar] [CrossRef] [PubMed]
- Zlobec, I.; Bihl, M.P.; Foerster, A.; Rufle, A.; Terracciano, L.; Lugli, A. Stratification and Prognostic Relevance of Jass’s Molecular Clas-sification of Colorectal Cancer. Front. Oncol. 2012, 2, 7. [Google Scholar] [CrossRef] [PubMed]
- Jass, J.R. Lymphocytic infiltration and survival in rectal cancer. J. Clin. Pathol. 1986, 39, 585–589. [Google Scholar] [CrossRef] [PubMed]
- Cornelissen, A.J.M.; van Mulken, T.J.M.; Graupner, C.; Qiu, S.S.; Keuter, X.H.A.; van der Hulst, R.R.W.J.; Schols, R.M. Near-infrared fluorescence image-guidance in plastic surgery: A systematic review. Eur. J. Plast. Surg. 2018, 41, 269–278. [Google Scholar] [CrossRef] [PubMed]







| Early Macroscopic Profiling | Mean Values ± Std Dev | Mann–Whitney U Testing (p < 0.05) | |
|---|---|---|---|
| Variable | Benign Tumours (n = 13) | Cancerous Lesions (n = 13) | |
| Mean pixel intensity (g.u.) | 102.55 ± 4.91 | 121.53 ± 11.25 | <0.001 * |
| Standard deviation (g.u.) | 7.85 ± 3.44 | 18.87 ± 6.91 | <0.001 * |
| Mode (g.u.) | 101.85 ± 3.85 | 135.08 ± 33.53 | <0.001 * |
| Min (g.u.) | 61.23 ± 14.74 | 54.46 ± 12.48 | 0.053 |
| Max (g.u.) | 153.31 ± 20.39 | 171.62 ± 7.48 | 0.017 * |
| Median (g.u.) | 101.77 ± 3.59 | 117.38 ± 13.43 | <0.001 * |
| Skew | −0.22 ± 1.90 | 0.59 ± 0.72 | 0.281 |
| Kurtosis | 10.61 ± 14.95 | 1.92 ± 3.49 | 0.010 * |
| Late Macroscopic Profiling | Mean Values ± Std Dev | Mann–Whitney U Testing (p < 0.05) | |
| Variable | Healthy Tissue Regions (n = 13) | Cancerous Tissue (n = 13) | |
| Mean pixel intensity (g.u.) | 29.70 ± 20.04 | 40.59 ± 22.18 | 0.153 |
| Standard deviation (g.u.) | 10.15 ± 4.31 | 10.82 ± 3.21 | 0.448 |
| Mode (g.u.) | 27.92 ± 23.31 | 40.15 ± 25.43 | 0.186 |
| Min (g.u.) | 0 ± 0 | 1.15 ± 3.09 | 0.336 |
| Max (g.u.) | 168.31 ± 78.67 | 164.85 ± 48.79 | 0.724 |
| Median (g.u.) | 29.07 ± 20.99 | 40.62 ± 22.59 | 0.139 |
| Skew | 1.62 ± 2.06 | 0.61 ± 1.58 | 0.101 |
| Kurtosis | 22.52 ± 41.29 | 9.63 ± 20.04 | 0.264 |
Disclaimer/Publisher’s Note: The statements, opinions and data contained in all publications are solely those of the individual author(s) and contributor(s) and not of MDPI and/or the editor(s). MDPI and/or the editor(s) disclaim responsibility for any injury to people or property resulting from any ideas, methods, instructions or products referred to in the content. |
© 2024 by the authors. Licensee MDPI, Basel, Switzerland. This article is an open access article distributed under the terms and conditions of the Creative Commons Attribution (CC BY) license (https://creativecommons.org/licenses/by/4.0/).
Share and Cite
Hardy, N.P.; Mulligan, N.; Dalli, J.; Epperlein, J.P.; Neary, P.M.; Robertson, W.; Liddy, R.; Thorpe, S.D.; Aird, J.J.; Cahill, R.A. Geotemporal Fluorophore Biodistribution Mapping of Colorectal Cancer: Micro and Macroscopic Insights. Curr. Oncol. 2024, 31, 849-861. https://doi.org/10.3390/curroncol31020063
Hardy NP, Mulligan N, Dalli J, Epperlein JP, Neary PM, Robertson W, Liddy R, Thorpe SD, Aird JJ, Cahill RA. Geotemporal Fluorophore Biodistribution Mapping of Colorectal Cancer: Micro and Macroscopic Insights. Current Oncology. 2024; 31(2):849-861. https://doi.org/10.3390/curroncol31020063
Chicago/Turabian StyleHardy, Niall P., Niall Mulligan, Jeffrey Dalli, Jonathan P. Epperlein, Peter M. Neary, William Robertson, Richard Liddy, Stephen D. Thorpe, John J. Aird, and Ronan A. Cahill. 2024. "Geotemporal Fluorophore Biodistribution Mapping of Colorectal Cancer: Micro and Macroscopic Insights" Current Oncology 31, no. 2: 849-861. https://doi.org/10.3390/curroncol31020063
APA StyleHardy, N. P., Mulligan, N., Dalli, J., Epperlein, J. P., Neary, P. M., Robertson, W., Liddy, R., Thorpe, S. D., Aird, J. J., & Cahill, R. A. (2024). Geotemporal Fluorophore Biodistribution Mapping of Colorectal Cancer: Micro and Macroscopic Insights. Current Oncology, 31(2), 849-861. https://doi.org/10.3390/curroncol31020063

