The Management and Outcomes of Patients with Extra-Pulmonary Neuroendocrine Neoplasms and Brain Metastases
Abstract
:1. Introduction
2. Materials and Methods
2.1. Study Design
2.2. Objectives
2.3. Statistical Analysis
3. Results
3.1. Patient Characteristics
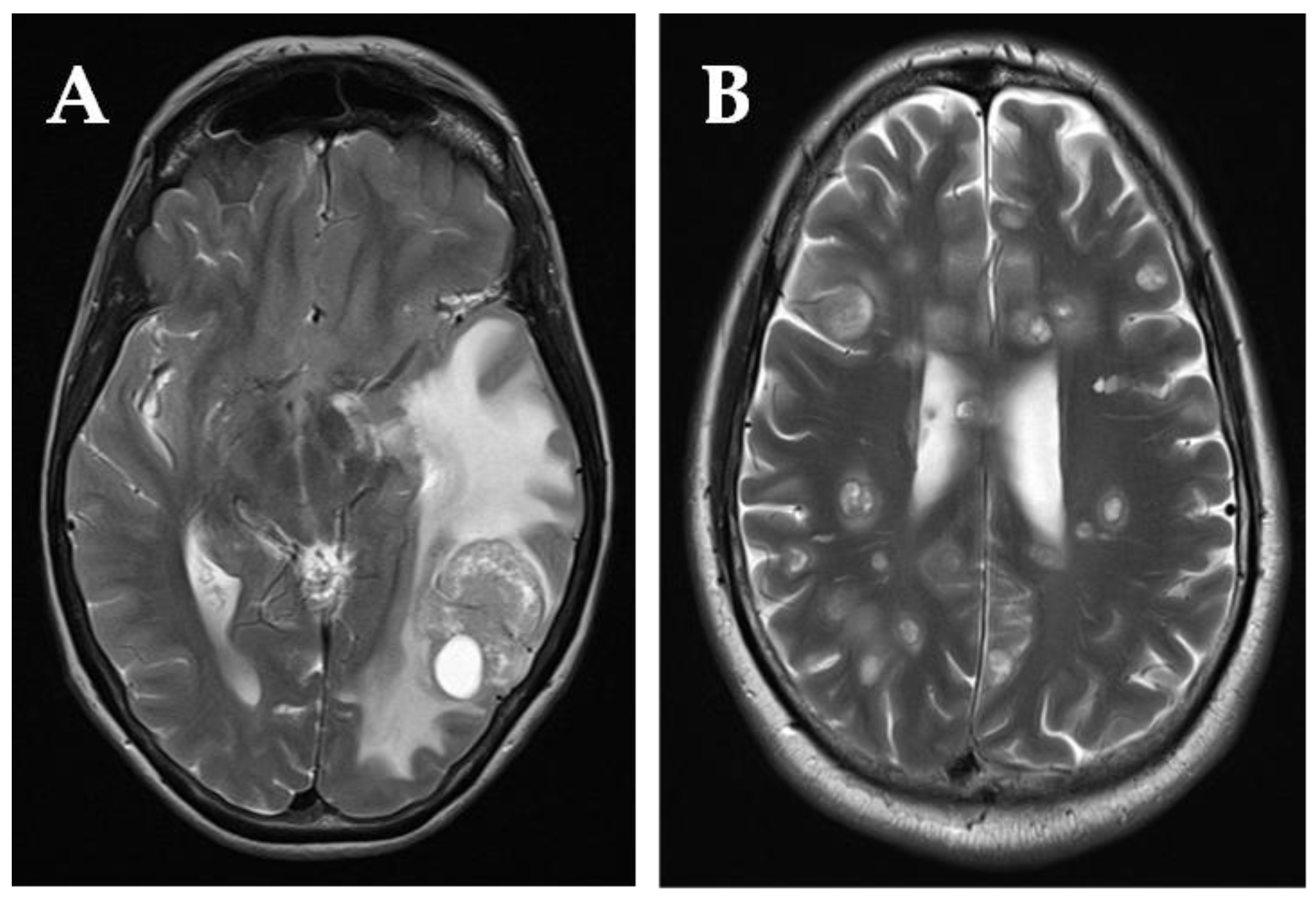
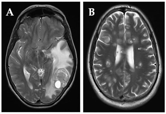
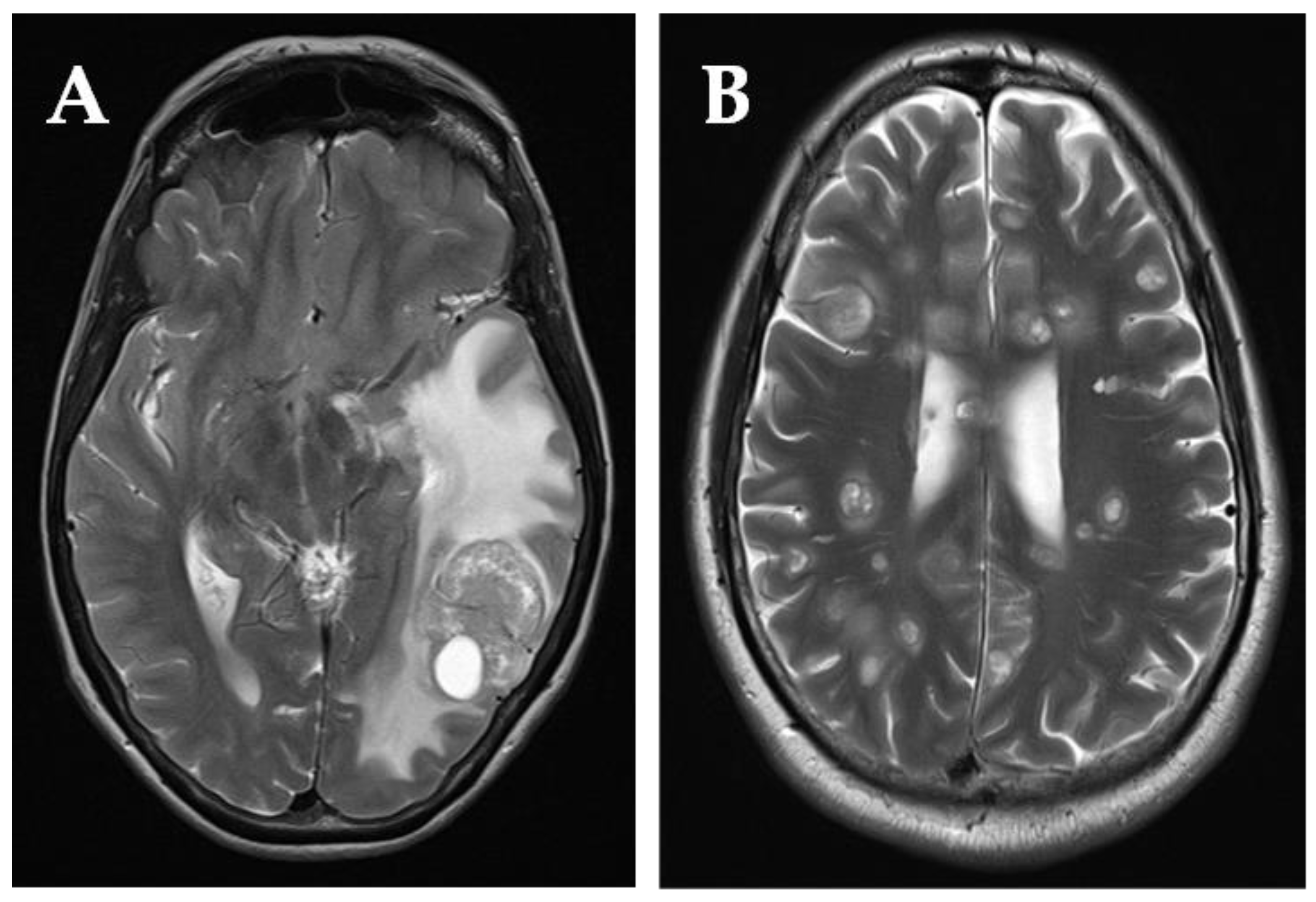
3.2. Presentation and Investigation of Patients with BMs
3.3. Management of Patients with BMs
3.3.1. Patients Who Underwent Surgical Resection of BMs
3.3.2. Patients Who Received Radiotherapy for BMs
3.4. Survival Outcomes
4. Discussion
- Magnetic resonance imaging of the brain should be considered in patients with new neurological symptoms, particularly in patients with grade 3 NEC.
- Surgical resection for a solitary metastasis could be offered if the patient has well-differentiated disease, a good performance status, stable extra-cranial disease and/or further lines of treatment available. Stereotactic radiosurgery, with or without WBRT, may be a treatment option for low-volume metastatic disease, where surgical resection is not feasible.
- The role of WBRT alone is unclear and only a subset of patients may derive benefit
5. Conclusions
Author Contributions
Funding
Institutional Review Board Statement
Informed Consent Statement
Data Availability Statement
Acknowledgments
Conflicts of Interest
References
- Pavel, M.; Öberg, K.; Falconi, M.; Krenning, E.P.; Sundin, A.; Perren, A.; Berruti, A. Gastroenteropancreatic neuroendocrine neoplasms: ESMO Clinical Practice Guidelines for diagnosis, treatment and follow-up. Ann. Oncol. 2020, 31, 844–860. [Google Scholar] [CrossRef] [PubMed]
- Rindi, G.; Klimstra, D.S.; Abedi-Ardekani, B.; Asa, S.L.; Bosman, F.T.; Brambilla, E.; Busam, K.J.; de Krijger, R.R.; Dietel, M.; El-Naggar, A.K.; et al. A common classification framework for neuroendocrine neoplasms: An International Agency for Research on Cancer (IARC) and World Health Organization (WHO) expert consensus proposal. Mod. Pathol. 2018, 31, 1770–1786. [Google Scholar] [CrossRef] [PubMed]
- Shia, J.; Tang, L.H.; Weiser, M.R.; Brenner, B.; Adsay, N.V.; Stelow, E.B.; Saltz, L.B.; Qin, J.; Landmann, R.; Leonard, G.D.; et al. Is nonsmall cell type high-grade neuroendocrine carcinoma of the tubular gastrointestinal tract a distinct disease entity? Am. J. Surg. Pathol. 2008, 32, 719–731. [Google Scholar] [CrossRef] [PubMed]
- Strosberg, J.R.; Coppola, D.; Klimstra, D.S.; Phan, A.T.; Kulke, M.H.; Wiseman, G.A.; Kvols, L.K. The NANETS consensus guidelines for the diagnosis and management of poorly differentiated (High-Grade) extrapulmonary neuroendocrine carcinomas. Pancreas 2010, 39, 799–800. [Google Scholar] [CrossRef] [PubMed] [Green Version]
- Feola, T.; Centello, R.; Sesti, F.; Puliani, G.; Verrico, M.; Di Vito, V.; Di Gioia, C.; Bagni, O.; Lenzi, A.; Isidori, A.M.; et al. Neuroendocrine Carcinomas with Atypical Proliferation Index and Clinical Behavior: A Systematic Review. Cancers 2021, 13, 1247. [Google Scholar] [CrossRef]
- Sorbye, H.; Welin, S.; Langer, S.W.; Vestermark, L.W.; Holt, N.; Osterlund, P.; Dueland, S.; Hofsli, E.; Guren, M.G.; Ohrling, K.; et al. Predictive and prognostic factors for treatment and survival in 305 patients with advanced gastrointestinal neuroendocrine carcinoma (WHO G3): The NORDIC NEC study. Ann. Oncol. Off. J. Eur. Soc. Med. Oncol. 2013, 24, 152–160. [Google Scholar] [CrossRef]
- Lamarca, A.; Frizziero, M.; Barriuso, J.; McNamara, M.G.; Hubner, R.A.; Valle, J.W. Urgent need for consensus: International survey of clinical practice exploring use of platinum-etoposide chemotherapy for advanced extra-pulmonary high grade neuroendocrine carcinoma (EP-G3-NEC). Clin. Transl. Oncol. 2019, 21, 950–953. [Google Scholar] [CrossRef] [Green Version]
- Huguet, I.; Grossman, A.B.; O’Toole, D. Changes in the Epidemiology of Neuroendocrine Tumours. Neuroendocrinology 2016, 104, 105–111. [Google Scholar] [CrossRef]
- Lim, K.H.J.; Raja, H.; D’Arienzo, P.; Barriuso, J.; McNamara, M.G.; Hubner, R.A.; Mansoor, W.; Valle, J.W.; Lamarca, A. Identification of Areas for Improvement in the Management of Bone Metastases in Patients with Neuroendocrine Neoplasms. Neuroendocrinology 2020, 110, 688–696. [Google Scholar] [CrossRef]
- Zheng, Z.; Chen, C.; Jiang, L.; Zhou, X.; Dai, X.; Song, Y.; Li, Y. Incidence and risk factors of gastrointestinal neuroendocrine neoplasm metastasis in liver, lung, bone, and brain: A population-based study. Cancer Med. 2019, 8, 7288–7298. [Google Scholar] [CrossRef] [PubMed]
- Hermans, B.C.M.; De Vos-Geelen, J.; Derks, J.L.; Latten, L.; Liem, I.H.; Van Der Zwan, J.M.; Speel, E.J.M.; Dercksen, M.W.; Dingemans, A.M.C. Unique Metastatic Patterns in Neuroendocrine Neoplasms of Different Primary Origin. Neuroendocrinology 2021, 111, 1111–1120. [Google Scholar] [CrossRef] [PubMed]
- Christensen, T.D.; Spindler, K.G.; Palshof, J.A.; Nielsen, D.L. Systematic review: Brain metastases from colorectal cancer--Incidence and patient characteristics. BMC Cancer 2016, 16, 260. [Google Scholar] [CrossRef] [PubMed] [Green Version]
- Krug, S.; Teupe, F.; Michl, P.; Gress, T.M.; Rinke, A. Brain metastases in patients with neuroendocrine neoplasms: Risk factors and outcome. BMC Cancer 2019, 19, 362. [Google Scholar] [CrossRef]
- Trikalinos, N.A.; Tan, B.R.; Amin, M.; Liu, J.; Govindan, R.; Morgensztern, D. Effect of metastatic site on survival in patients with neuroendocrine neoplasms (NENs). An analysis of SEER data from 2010 to 2014. BMC Endocr. Disord. 2020, 20, 44. [Google Scholar] [CrossRef] [PubMed]
- Postmus, P.E.; Haaxma-Reiche, H.; Gregor, A.; Groen, H.J.M.; Lewinski, T.; Scolard, T.; Kirkpatrick, A.; Curran, D.; Sahmoud, T.; Giaccone, G. Brain-only metastases of small cell lung cancer; efficacy of whole brain radiotherapy. An EORTC phase II study. Radiother. Oncol. 1998, 46, 29–32. [Google Scholar] [CrossRef]
- Postmus, P.E.; Haaxma-Reiche, H.; Smit, E.E.; Groen, H.J.M.; Karnicka, H.; Lewinski, T.; Van Meerbeeck, J.; Clerico, M.; Gregor, A.; Curran, D.; et al. Treatment of brain metastases of small-cell lung cancer: Comparing teniposide and teniposide with whole-brain radiotherapy—A phase III study of the European Organization for the Research and Treatment of Cancer Lung Cancer Cooperative Group. J. Clin. Oncol. 2000, 18, 3400–3408. [Google Scholar] [CrossRef]
- Mulvenna, P.; Nankivell, M.; Barton, R.; Faivre-Finn, C.; Wilson, P.; McColl, E.; Moore, B.; Brisbane, I.; Ardron, D.; Holt, T.; et al. Dexamethasone and supportive care with or without whole brain radiotherapy in treating patients with non-small cell lung cancer with brain metastases unsuitable for resection or stereotactic radiotherapy (QUARTZ): Results from a phase 3, non-inferiority, randomised trial. Lancet 2016, 388, 2004–2014. [Google Scholar] [CrossRef] [Green Version]
- Ferini, G.; Viola, A.; Valenti, V.; Tripoli, A.; Molino, L.; Marchese, V.A.; Illari, S.I.; Rita Borzì, G.; Prestifilippo, A.; Umana, G.E.; et al. Whole Brain Irradiation or Stereotactic RadioSurgery for five or more brain metastases (WHOBI-STER): A prospective comparative study of neurocognitive outcomes, level of autonomy in daily activities and quality of life. Clin. Transl. Radiat. Oncol. 2021, 32, 52–58. [Google Scholar] [CrossRef]
- Andrews, D.W.; Scott, C.B.; Sperduto, P.W.; Flanders, A.E.; Gaspar, L.E.; Schell, M.C.; Werner-Wasik, M.; Demas, W.; Ryu, J.; Bahary, J.P.; et al. Whole brain radiation therapy with or without stereotactic radiosurgery boost for patients with one to three brain metastases: Phase III results of the RTOG 9508 randomised trial. Lancet 2004, 363, 1665–1672. [Google Scholar] [CrossRef]
- The Royal College of Radiologists. RCR Guidance: Radiotherapy Dose Fractionation, 3rd ed.; The Royal College of Radiologists: London, UK, 2019. [Google Scholar]
- Gaspar, L.E.; Scott, C.; Murray, K.; Curran, W. Validation of the RTOG recursive partitioning analysis (RPA) classification for brain metastases. Int. J. Radiat. Oncol. Biol. Phys. 2000, 47, 1001–1006. [Google Scholar] [CrossRef]
- Vogelbaum, M.A.; Brown, P.D.; Messersmith, H.; Brastianos, P.K.; Burri, S.; Cahill, D.; Dunn, I.F.; Gaspar, L.E.; Gatson, N.T.N.; Gondi, V.; et al. Treatment for Brain Metastases: ASCO-SNO-ASTRO Guideline. J. Clin. Oncol. 2021, 40, JCO2102314. [Google Scholar] [CrossRef]
- Robin, T.P.; Rusthoven, C.G. Radiosurgery for small-cell lung cancer brain metastases: A review. J. Thorac. Dis. 2020, 12, 6234–6239. [Google Scholar] [CrossRef] [PubMed]
- Wegner, R.E.; Hasan, S.; Williamson, R.W.; Finley, G.; Fuhrer, R.; Colonias, A.; Karlovits, S.M. Management of brain metastases from large cell neuroendocrine carcinoma of the lung: Improved outcomes with radiosurgery. Acta Oncol. 2019, 58, 499–504. [Google Scholar] [CrossRef] [Green Version]
- Kawabe, T.; Yamamoto, M.; Sato, Y.; Yomo, S.; Kondoh, T.; Nagano, O.; Serizawa, T.; Tsugawa, T.; Okamoto, H.; Akabane, A.; et al. Gamma Knife radiosurgery for brain metastases from pulmonary large cell neuroendocrine carcinoma: A Japanese multi-institutional cooperative study (JLGK1401). J. Neurosurg. 2016, 125, 11–17. [Google Scholar] [CrossRef] [PubMed] [Green Version]
- Rusthoven, C.G.; Yamamoto, M.; Bernhardt, D.; Smith, D.E.; Gao, D.; Serizawa, T.; Yomo, S.; Aiyama, H.; Higuchi, Y.; Shuto, T.; et al. Evaluation of First-line Radiosurgery vs Whole-Brain Radiotherapy for Small Cell Lung Cancer Brain Metastases: The FIRE-SCLC Cohort Study. JAMA Oncol. 2020, 6, 1028–1037. [Google Scholar] [CrossRef]
- Aupérin, A.; Arriagada, R.; Pignon, J.-P.; Le Péchoux, C.; Gregor, A.; Stephens, R.J.; Kristjansen, P.E.G.; Johnson, B.E.; Ueoka, H.; Wagner, H.; et al. Prophylactic Cranial Irradiation for Patients with Small-Cell Lung Cancer in Complete Remission. N. Engl. J. Med. 1999, 341, 476–484. [Google Scholar] [CrossRef]
- Slotman, B.; Faivre-Finn, C.; Kramer, G.; Rankin, E.; Snee, M.; Hatton, M.; Postmus, P.; Collette, L.; Musat, E.; Senan, S. Prophylactic Cranial Irradiation in Extensive Small-Cell Lung Cancer. N. Engl. J. Med. 2007, 357, 664–672. [Google Scholar] [CrossRef] [Green Version]
- Meert, A.P.; Paesmans, M.; Berghmans, T.; Martin, B.; Mascaux, C.; Vallot, F.; Verdebout, J.M.; Lafitte, J.J.; Sculier, J.P. Prophylactic cranial irradiation in small cell lung cancer: A systematic review of the literature with meta-analysis. BMC Cancer 2001, 1, 95. [Google Scholar] [CrossRef] [Green Version]
- Coca-Pelaz, A.; Devaney, K.O.; Rodrigo, J.P.; Halmos, G.B.; Strojan, P.; Mendenhall, W.M.; Eisbruch, A.; Smee, R.; Kusafuka, K.; Rinaldo, A.; et al. Should patients with laryngeal small cell neuroendocrine carcinoma receive prophylactic cranial irradiation? Eur. Arch. Otorhinolaryngol. 2016, 273, 2925–2930. [Google Scholar] [CrossRef]
- Naidoo, J.; Teo, M.Y.; Deady, S.; Comber, H.; Calvert, P. Should Patients with Extrapulmonary Small-Cell Carcinoma Receive Prophylactic Cranial Irradiation? J. Thorac. Oncol. 2013, 8, 1215–1221. [Google Scholar] [CrossRef] [Green Version]





| Characteristics | Proportion n (%) |
|---|---|
| Gender | |
| Male | 397 (44.3) |
| Female | 316 (56.7) |
| Age, years, median (IQR) | 63 (52–71) |
| Baseline ECOG PS | |
| 0 | 246 (34.5) |
| 1 | 336 (47.1) |
| 2 | 91 (12.8) |
| 3 | 36 (5.1) |
| 4 | 4 (0.6) |
| Disease status at diagnosis | |
| Localised | 234 (32.8) |
| Advanced | 479 (67.2) |
| Primary site | |
| Small bowel | 292 (41.0) |
| Pancreas | 153 (21.5) |
| Large bowel | 72 (10.1) |
| Unknown primary | 71 (10.0) |
| Gastric | 46 (6.4) |
| Appendix | 31 (4.4) |
| Ovary | 7 (1.0) |
| Oesophagus | 6 (0.8) |
| Other | 28 (3.9) |
| Not recorded | 7 (1.0) |
| Histological grade | |
| 1 | 353 (49.5) |
| 2 | 178 (25.0) |
| 3 | 160 (22.4) |
| Not recorded | 22 (3.1) |
| Differentiation | |
| Well | 515 (72.0) |
| Moderate | 29 (4.2) |
| Poor | 148 (20.8) |
| Not recorded | 21 (3.0) |
| Ki67% | |
| ≤2 | 297 (41.7) |
| 3-<20 | 174 (24.4) |
| ≥20-<55 | 58 (8.0) |
| ≥55 | 99 (13.9) |
| Not recorded | 85 (12.0) |
| Characteristics | Proportion n (%) |
|---|---|
| Gender | |
| Male | 10 (58.8) |
| Female | 7 (41.2) |
| Age, years, median (IQR) | 61 (49–69) |
| Baseline ECOG PS | |
| 0 | 7 (41.2) |
| 1 | 10 (58.8) |
| Disease status at diagnosis | |
| Localised | 3 (17.7) |
| Advanced | 14 (82.3) |
| Primary site | |
| Unknown primary | 7 (41.2) |
| Pancreas | 3 (17.6) |
| Oesophagus | 3 (17.6) |
| Small bowel | 2 (11.8) |
| Other | 2 (11.8) |
| Histological grade | |
| 1 | 1 (5.9) |
| 2 | 4 (23.5) |
| 3 | 12 (70.6) |
| Differentiation | |
| Well | 8 (47.1) |
| Poor | 8 (47.1) |
| Not recorded | 1 (5.8) |
| Ki67% | |
| ≤2 | 1 (5.9) |
| 3–<20 | 4 (23.5) |
| ≥20–<55 | 4 (23.5) |
| ≥55 | 7 (41.2) |
| Not recorded | 1 (5.9) |
| Sites of other metastases | |
| Liver | 10 (71.4) |
| Bone | 7 (50.0) |
| Distant nodal | 6 (42.9) |
| Lung | 6 (42.9) |
| Lines of systemic therapy (n) | |
| 1 | 8 (47.1) |
| 2 | 3 (17.6) |
| 3 | 3 (17.6) |
| 4 | 3 (17.6) |
| Patients with BMs | Patients without BMs | Relative Risk | 95% CI | p Value | ||
|---|---|---|---|---|---|---|
| Grade 1 | 1 | 353 | G2 vs. G1 | 7.78 | 0.87–69.10 | 0.065 |
| G3 vs. G1 | 24.68 | 3.24–188.40 | 0.002 | |||
| Grade 2 | 4 | 178 | G3 vs. G2 | 3.17 | 1.04–9.65 | 0.041 |
| Grade 3 | 12 | 160 | G3 vs. G1 + G2 | 7.48 | 2.67–20.93 | 0.0001 |
| Proportion n (%) | |
|---|---|
| Development of BMs | |
| Synchronous | 2 (11.8) |
| Metachronous | 15 (98.2) |
| Presenting symptoms of BMs | |
| Weakness/gait disturbance | 4 (23.5) |
| Confusion | 4 (23.5) |
| Aphasia | 3 (17.6) |
| Headaches | 3 (17.6) |
| Visual disturbances | 3 (17.6) |
| Seizures | 2 (11.8) |
| Number of BMs | |
| 1 | 5 (29.4) |
| 2–10 | 6 (35.3) |
| >10 | 6 (35.3) |
| Intracranial site of BMs | |
| Cerebral | 15 (88.2) |
| Cerebellar | 6 (35.3) |
| Leptomeningeal | 2 (11.8) |
| Orbital | 1 (5.9) |
| Imaging modality for diagnosis | |
| CT head only | 3 (17.6) |
| MRI brain only | 9 (53.0) |
| CT head and MRI brain | 5 (29.4) |
| Definitive treatment of BMs | |
| Best supportive care +/− steroids | 9 (53.0) |
| Whole brain radiotherapy | 4 (23.5) |
| Surgical resection | 3 (17.6) |
| Other | 1 (5.9) |
| Follow up imaging | |
| None performed | 13 (76.5) |
| MRI brain | 4 (23.5) |
| Variable | HR | 95% CI | p Value | |
|---|---|---|---|---|
| Lower | Upper | |||
| Univariate | ||||
| Age | 1 | 0.97 | 1.03 | 0.89 |
| Sex | 1.55 | 0.56 | 4.30 | 0.40 |
| Tumour grade (Grade 1 = reference) | ||||
| Grade 2 | 0.30 | 0.02 | 4.87 | 0.40 |
| Grade 3 | 6.6 | 0.52 | 84.12 | 0.14 |
| Grade 3 vs Grade 1 + Grade 2 | 14.5 | 1.8 | 116.0 | 0.01 |
| Number of BMs (solitary = reference) | ||||
| 2–10 BMs | 2.33 | 0.65 | 8.37 | 0.19 |
| >10 BMs | 5.95 | 1.29 | 27.55 | 0.02 |
| Treatment of BMs (BSC = reference) | ||||
| Surgery | 0.28 | 0.06 | 1.34 | 0.11 |
| WBRT | 1.38 | 0.41 | 4.69 | 0.60 |
| Conformal radiotherapy (to orbit) | 0.45 | 0.05 | 3.80 | 0.47 |
| Multivariate | ||||
| Grade 1 + 2 (referance) | ||||
| Grade 3 | 11.04 | 1.29 | 94.20 | 0.03 |
| Number of BMs (solitary = reference) | ||||
| 2–10 BMs | 1.78 | 0.47 | 6.66 | 0.39 |
| >10 BMs | 2.32 | 0.49 | 10.94 | 0.29 |
Publisher’s Note: MDPI stays neutral with regard to jurisdictional claims in published maps and institutional affiliations. |
© 2022 by the authors. Licensee MDPI, Basel, Switzerland. This article is an open access article distributed under the terms and conditions of the Creative Commons Attribution (CC BY) license (https://creativecommons.org/licenses/by/4.0/).
Share and Cite
Kapacee, Z.-A.; Allison, J.; Dawod, M.; Wang, X.; Frizziero, M.; Chakrabarty, B.; Manoharan, P.; McBain, C.; Mansoor, W.; Lamarca, A.; et al. The Management and Outcomes of Patients with Extra-Pulmonary Neuroendocrine Neoplasms and Brain Metastases. Curr. Oncol. 2022, 29, 5110-5125. https://doi.org/10.3390/curroncol29070405
Kapacee Z-A, Allison J, Dawod M, Wang X, Frizziero M, Chakrabarty B, Manoharan P, McBain C, Mansoor W, Lamarca A, et al. The Management and Outcomes of Patients with Extra-Pulmonary Neuroendocrine Neoplasms and Brain Metastases. Current Oncology. 2022; 29(7):5110-5125. https://doi.org/10.3390/curroncol29070405
Chicago/Turabian StyleKapacee, Zainul-Abedin, Jennifer Allison, Mohammed Dawod, Xin Wang, Melissa Frizziero, Bipasha Chakrabarty, Prakash Manoharan, Catherine McBain, Was Mansoor, Angela Lamarca, and et al. 2022. "The Management and Outcomes of Patients with Extra-Pulmonary Neuroendocrine Neoplasms and Brain Metastases" Current Oncology 29, no. 7: 5110-5125. https://doi.org/10.3390/curroncol29070405
APA StyleKapacee, Z.-A., Allison, J., Dawod, M., Wang, X., Frizziero, M., Chakrabarty, B., Manoharan, P., McBain, C., Mansoor, W., Lamarca, A., Hubner, R., Valle, J. W., & McNamara, M. G. (2022). The Management and Outcomes of Patients with Extra-Pulmonary Neuroendocrine Neoplasms and Brain Metastases. Current Oncology, 29(7), 5110-5125. https://doi.org/10.3390/curroncol29070405

