A Novel Approach for the Treatment of Recurrent Oroantral Fistula Occurring at an Infected Sinus Augmentation Site
Abstract
1. Introduction
2. Case Presentation
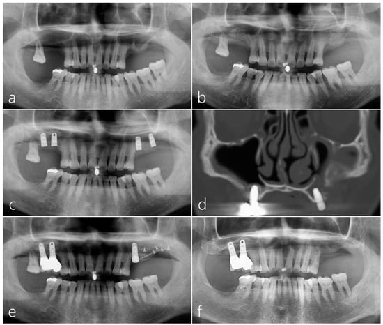
2.1. Case 1
2.2. Case 2
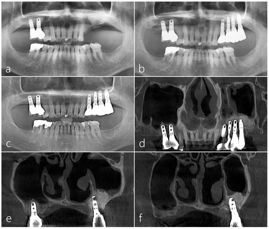
2.3. Case 3
3. Discussion
4. Conclusions
Author Contributions
Funding
Institutional Review Board Statement
Informed Consent Statement
Data Availability Statement
Conflicts of Interest
Abbreviation
References
- Valentini, P.; Artzi, Z. Sinus augmentation procedure via the lateral window technique-Reducing invasiveness and preventing complications: A narrative review. Periodontol. 2000 2023, 91, 167–181. [Google Scholar] [CrossRef]
- Lundgren, S.; Cricchio, G.; Hallman, M.; Jungner, M.; Rasmusson, L.; Sennerby, L. Sinus floor elevation procedures to enable implant placement and integration: Techniques, biological aspects and clinical outcomes. Periodontol. 2000 2017, 73, 103–120. [Google Scholar] [CrossRef]
- Testori, T.; Tavelli, L.; Scaini, R.; Saibene, A.M.; Felisati, G.; Barootchi, S.; Decker, A.M.; Deflorian, M.A.; Rosano, G.; Wallace, S.S.; et al. How to avoid intraoperative and postoperative complications in maxillary sinus elevation. Periodontol. 2000 2023, 92, 299–328. [Google Scholar] [CrossRef]
- Hsu, Y.T.; Rosen, P.S.; Choksi, K.; Shih, M.C.; Ninneman, S.; Lee, C.T. Complications of sinus floor elevation procedure and management strategies: A systematic review. Clin. Implant. Dent. Relat. Res. 2022, 24, 740–765. [Google Scholar] [CrossRef] [PubMed]
- Park, W.B.; Han, J.Y.; Oh, S.L. Maxillary Sinusitis Associated With Peri-implantitis at Sinus Floor Augmented Sites: Case Series. Implant. Dent. 2019, 28, 484–489. [Google Scholar] [CrossRef]
- Park, W.B.; Xu, Z.; Lim, H.C.; Kang, P. Successful Management of Late Sinus Graft Infection via Functional Endoscopic Sinus Surgery and Press-Fit Block Bone Graft: A Case Report. J. Oral Implantol. 2023, 49, 263–270. [Google Scholar] [CrossRef] [PubMed]
- Baek, J.H.; Kim, B.O.; Lee, W.P. Implant placement after closure of oroantral communication by sinus bone graft using a collagen barrier membrane in the shape of a pouch: A case report and review of the literature. Medicina 2021, 57, 626. [Google Scholar] [CrossRef] [PubMed]
- Parvini, P.; Obreja, K.; Sader, R.; Becker, J.; Schwarz, F.; Salti, L. Surgical options in oroantral fistula management: A narrative review. Int. J. Implant. Dent. 2018, 4, 40. [Google Scholar] [CrossRef]
- Borgonovo, A.E.; Berardinelli, F.V.; Favale, M.; Maiorana, C. Surgical options in oroantral fistula treatment. Open Dent. J. 2012, 6, 94–98. [Google Scholar] [CrossRef]
- Awang, M.N. Closure of oroantral fistula. Int. J. Oral Maxillofac. Surg. 1988, 17, 110–115. [Google Scholar]
- Falci, S.G.M.; dos Santos, C.R.R. Modification of the Vestibular Mucoperiosteal Flap Technique for Closure of Oroantral Fistula. J. Craniofac. Surg. 2015, 26, e659. [Google Scholar] [CrossRef]
- Anavi, Y.; Gal, G.; Silfen, R.; Calderon, S. Palatal rotation-advancement flap for delayed repair of oroantral fistula: A retrospective evaluation of 63 cases. Oral Surg. Oral Med. Oral Pathol. Oral Radio. Endod. 2003, 96, 527–534. [Google Scholar] [CrossRef]
- Visscher, S.H.; Minnen, B.; Bos, R. Closure of oroantral communications: A review of the literature. J. Oral Maxillofac. Surg. 2010, 68, 1384–1391. [Google Scholar] [CrossRef] [PubMed]
- Waldrop, T.C.; Semba, S.E. Closure of oroantral communication using guided tissue regeneration and an absorbable gelatin membrane. J. Periodontol. 1993, 64, 1061–1066. [Google Scholar] [CrossRef]
- Sandhya, G.; Bal Reddy, P.; Jeevan Kumar, K.A.; Sridhar Reddy, B.; Prasad, N.; Kiran, G. Surgical Management of Oro-Antral Communications Using Resorbable GTR Membrane and FDMB Sandwich Technique: A Clinical Study. J. Maxillofac. Oral Surg. 2013, 12, 254–259. [Google Scholar] [CrossRef]
- Marotti, J.; Heger, S.; Tinschert, J.; Tortamano, P.; Chuembou, F.; Radermacher, K.; Wolfart, S. Recent advances of ultrasound imaging in dentistry--a review of the literature. Oral Surg. Oral Med. Oral Pathol. Oral Radiol. 2013, 115, 819–832. [Google Scholar] [CrossRef] [PubMed]
- Zhang, Y.; Zhao, R.; Cao, Y.; Zhang, M.; Zang, C.; Yin, S.; Wang, Y. Ultrasonography Superior Over Visual Assessment in Evaluation of Wound Healing After Dermabrasion. J. Surg. Res. 2019, 234, 202–209. [Google Scholar] [CrossRef] [PubMed]
- Haas, R.; Watzak, G.; Baron, M.; Tepper, G.; Mailath, G.; Watzek, G. A preliminary study of monocortical bone grafts for oroantral fistula closure. Oral Surg. Oral Med. Oral Pathol. Oral Radiol. Endod. 2003, 96, 263–266. [Google Scholar] [CrossRef] [PubMed]
- Kapustecki, M.; Niedzielska, I.; Borgiel-Marek, H.; Różanowski, B. Alternative method to treat oroantral communication and fistula with autogenous bone graft and platelet rich fibrin. Med. Oral Patol. Oral Cir. Bucal. 2016, 21, e608–e613. [Google Scholar] [CrossRef][Green Version]
- Parvini, P.; Obreja, K.; Begic, A.; Schwarz, F.; Becker, J.; Sader, R.; Salti, L. Decision-making in closure of oroantral communication and fistula. Int. J. Implant Dent. 2019, 5, 13. [Google Scholar] [CrossRef] [PubMed]
- Park, W.B.; Han, J.Y.; Kang, P. The Bone Bridge Technique Utilizing Bone from the Lateral Wall of the Maxillary Sinus for Ridge Augmentation: Case Reports of a 1–7 Year Follow-Up. Medicina 2023, 59, 1626. [Google Scholar] [CrossRef]
- Tawil, G.; Barbeck, M.; Unger, R.; Tawil, P.; Witte, F. Sinus Floor Elevation Using the Lateral Approach and Window Repositioning and a Xenogeneic Bone Substitute as a Grafting Material: A Histologic, Histomorphometric, and Radiographic Analysis. Int. J. Oral Maxillofac. Implants 2018, 33, 1089–1096. [Google Scholar] [CrossRef]
- Liu, J.; Kerns, D.G. Mechanisms of guided bone regeneration: A review. Open Dent. J. 2014, 8, 56–65. [Google Scholar] [CrossRef]
- Cho, Y.S.; Park, H.K.; Park, C.J. Bony window repositioning without using a barrier membrane in the lateral approach for maxillary sinus bone grafts: Clinical and radiologic results at 6 months. Int. J. Oral Maxillofac. Implant. 2012, 27, 211–217. [Google Scholar]
- Schiavon, L.; Perini, A.; Brunello, G.; Ferrante, G.; Fabbro, M.D.; Botticelli, D.; Khoury, F.; Sivolella, S. The bone lid technique in lateral sinus lift: A systematic review and meta-analysis. Int. J. Implant Dent. 2022, 8, 33. [Google Scholar] [CrossRef]
- Sim, J.E.; Kim, S.; Hong, J.Y.; Shin, S.I.; Chung, J.H.; Lim, H.C. Effect of the size of the bony access window and the collagen barrier over the window in sinus floor elevation: A preclinical investigation in a rabbit sinus model. J. Periodontal Implant Sci. 2022, 52, 325–337. [Google Scholar] [CrossRef]
- Franceschetti, G.; Farina, R.; Stacchi, C.; Di Lenarda, R.; Di Raimondo, R.; Trombelli, L. Radiographic outcomes of transcrestal sinus floor elevation performed with a minimally invasive technique in smoker and non-smoker patients. Clin. Oral Implants Res. 2014, 25, 493–499. [Google Scholar] [CrossRef] [PubMed]
- Stacchi, C.; Vercellotti, T.; Toschetti, A.; Speroni, S.; Salgarello, S.; DiLenarda, R. Intraoperative complications during sinus floor elevation using two different ultrasonic approaches: A two-center, randomized, controlled clinical trial. Clin. Implant Dent. Relat. Res. 2015, 17 (Suppl. S1), e117–e125. [Google Scholar] [CrossRef] [PubMed]
- Sella, A.; Ben-Zvi, Y.; Gillman, L.; Avishai, G.; Chaushu, G.; Rosenfeld, E. Evaluation of Surgical Treatment of Oroantral Fistulae in Smokers Versus Non-Smokers. Medicina 2020, 56, 310. [Google Scholar] [CrossRef] [PubMed]









Disclaimer/Publisher’s Note: The statements, opinions and data contained in all publications are solely those of the individual author(s) and contributor(s) and not of MDPI and/or the editor(s). MDPI and/or the editor(s) disclaim responsibility for any injury to people or property resulting from any ideas, methods, instructions or products referred to in the content. |
© 2024 by the authors. Licensee MDPI, Basel, Switzerland. This article is an open access article distributed under the terms and conditions of the Creative Commons Attribution (CC BY) license (https://creativecommons.org/licenses/by/4.0/).
Share and Cite
Park, W.-B.; Bae, M.-S.; Park, W.; Lim, H.-C.; Han, J.-Y. A Novel Approach for the Treatment of Recurrent Oroantral Fistula Occurring at an Infected Sinus Augmentation Site. Medicina 2024, 60, 343. https://doi.org/10.3390/medicina60020343
Park W-B, Bae M-S, Park W, Lim H-C, Han J-Y. A Novel Approach for the Treatment of Recurrent Oroantral Fistula Occurring at an Infected Sinus Augmentation Site. Medicina. 2024; 60(2):343. https://doi.org/10.3390/medicina60020343
Chicago/Turabian StylePark, Won-Bae, Min-Soo Bae, Wonhee Park, Hyun-Chang Lim, and Ji-Young Han. 2024. "A Novel Approach for the Treatment of Recurrent Oroantral Fistula Occurring at an Infected Sinus Augmentation Site" Medicina 60, no. 2: 343. https://doi.org/10.3390/medicina60020343
APA StylePark, W.-B., Bae, M.-S., Park, W., Lim, H.-C., & Han, J.-Y. (2024). A Novel Approach for the Treatment of Recurrent Oroantral Fistula Occurring at an Infected Sinus Augmentation Site. Medicina, 60(2), 343. https://doi.org/10.3390/medicina60020343

