Oilseed Cakes: A Promising Source of Antioxidant, and Anti-Inflammatory Agents—Insights from Lactuca sativa
Abstract
1. Introduction
2. Results and Discussion
2.1. Anti-Oxidant and Antimicrobial Screening of Total Methanolic Extracts from Different Oilseed Cakes
2.2. Antioxidant and Antimicrobial Activities of Different Fractions of Lettuce Seed Cake Extract
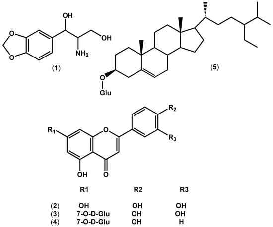
2.3. Bio-Guided Isolation of Active Constituents from L. sativa Seedcake Active Fractions
2.4. Biological Evaluation of the Isolated Compounds
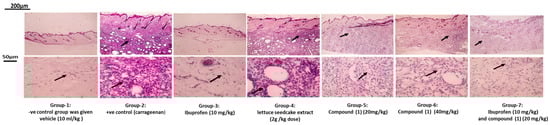
2.5. Anti-Inflammatory Activity of Lettuce Seed Cake Extract and Isolated Compound (1) in Carrageenan-Induced Paw Oedema In Vivo
2.5.1. Impact on Enzymatic Anti-Inflammatory Activity
2.5.2. Impact on Enzymatic Antioxidant Status
2.6. In Vitro COX-1 and COX-2 Inhibition Assay and Molecular Docking for Compound (1)
3. Conclusions
4. Materials and Methods
4.1. General Experimental
4.2. Chemicals
4.3. Plant Material
4.4. Extraction of Seed Oil Cakes Derived from Different Plant Species
4.5. HPLC Analysis of Lettuce Seed Cake Defatted Extract
4.6. Bio-Guided Isolation of Active Constituents from Lactuca sativa Seed Cake Active Fractions
4.7. Biological Screening
4.7.1. Antioxidant Screening (ABTS Assay)
4.7.2. Antimicrobial Screening
4.7.3. Cytotoxic Activity (MTT Assay)
4.7.4. Anti-Inflammatory Test: Carrageenan-Induced Paw Oedema
Histopathological Assessment of Skin Tissue
Determination of the Levels of Inflammatory Mediators and Oxidative Stress Parameters in Rat Paw Tissue Homogenate
4.7.5. Anti-Inflammatory Activity (COX-1 and COX-2) Inhibition Assay
4.8. Molecular Docking of Compound (1) against COX-1 and COX-2
4.8.1. Protein Preparation
4.8.2. Ligand Preparation
4.9. In Silico ADMET Prediction for Compound (1)
4.10. Statistical Analysis
Supplementary Materials
Author Contributions
Funding
Institutional Review Board Statement
Informed Consent Statement
Data Availability Statement
Conflicts of Interest
References
- Rakita, S.; Kokić, B.; Manoni, M.; Mazzoleni, S.; Lin, P.; Luciano, A. Cold-pressed oilseed cakes as alternative and sustainable feed ingredients: A review. Foods 2023, 12, 432. [Google Scholar] [CrossRef] [PubMed]
- Vermaak, I.; Kamatou, G.P.P.; Komane-Mofokeng, B.; Viljoen, A.; Beckett, K. African seed oils of commercial importance—Cosmetic applications. S. Afr. J. Bot. 2011, 77, 920–933. [Google Scholar] [CrossRef]
- Zhang, M.; Wang, O.; Cai, S.; Zhao, L.; Zhao, L. Composition, functional properties, health benefits and applications of oilseed proteins: A systematic review. Int. Food Res. 2023, 171, 113061. [Google Scholar] [CrossRef] [PubMed]
- Sielicka, M.; Małecka, M.J. Preservation. Enhancement of oxidative stability of flaxseed oil through flaxseed, evening primrose and black cumin cake extracts. J. Food Process. Preserv. 2017, 41, e13070. [Google Scholar] [CrossRef]
- Tavarini, S.; De Leo, M.; Matteo, R.; Lazzeri, L.; Braca, A.; Angelini, L.G.J.P. Flaxseed and camelina meals as potential sources of health-beneficial compounds. Plants 2021, 10, 156. [Google Scholar] [CrossRef]
- Krimer Malešević, V.; Vaštag, Ž.; Popović, L.; Popović, S.; Peričin-Starčevič, I. Characterisation of black cumin, pomegranate and flaxseed meals as sources of phenolic acids. Int. J. Food Sci. 2014, 49, 210–216. [Google Scholar] [CrossRef]
- Alam, M.S.; Kaur, G.; Jabbar, Z.; Javed, K.; Athar, M. Eruca sativa seeds possess antioxidant activity and exert a protective effect on mercuric chloride induced renal toxicity. Food Chem. Toxicol. 2007, 45, 910–920. [Google Scholar] [CrossRef]
- Mariod, A.A.; Ibrahim, R.M.; Ismail, M.; Ismail, N. Antioxidant activity and phenolic content of phenolic rich fractions obtained from black cumin (Nigella sativa) seedcake. Food Chem. 2009, 116, 306–312. [Google Scholar] [CrossRef]
- Sayyah, M.; Hadidi, N.; Kamalinejad, M.J. Analgesic and anti-inflammatory activity of Lactuca sativa seed extract in rats. J. Ethnopharmacol. 2004, 92, 325–329. [Google Scholar] [CrossRef]
- Gugliandolo, A.; Giacoppo, S.; Ficicchia, M.; Aliquò, A.; Bramanti, P.; Mazzon, E. Eruca sativa seed extract: A novel natural product able to counteract neuroinflammation. Mol. Med. Rep. 2018, 17, 6235–6244. [Google Scholar] [CrossRef]
- Kulsum, K.; Syahrul, S.; Hasbalah, K.; Balqis, U. Phytocompounds of Nigella sativa seeds extract and their neuroprotective potential via EGR1 receptor inhibition: A molecular docking study. Narra J. 2023, 3, e173. [Google Scholar] [CrossRef] [PubMed]
- Alawlaqi, M.M.; Al-Rajhi, A.M.; Abdelghany, T.M.; Ganash, M.; Moawad, H. Evaluation of Biomedical Applications for Linseed Extract: Antimicrobial, Antioxidant, Anti-Diabetic, and Anti-Inflammatory Activities In Vitro. J. Funct. Biomater. 2023, 14, 300. [Google Scholar] [CrossRef] [PubMed]
- Prasad, K.J. Suppression of phosphoenolpyruvate carboxykinase gene expression by secoisolariciresinol diglucoside (SDG), a new antidiabetic agent. Int. Angiol. 2002, 11, 107–109. [Google Scholar] [CrossRef]
- Khadem, S.; Marles, R.J. Monocyclic phenolic acids; hydroxy-and polyhydroxybenzoic acids: Occurrence and recent bioactivity studies. Molecules 2010, 15, 7985–8005. [Google Scholar] [CrossRef] [PubMed]
- Bárta, J.; Bártová, V.; Jarošová, M.; Švajner, J.; Smetana, P.; Kadlec, J. Oilseed cake flour composition, functional properties and antioxidant potential as effects of sieving and species differences. Foods 2021, 10, 2766. [Google Scholar] [CrossRef] [PubMed]
- Kim, M.J.; Moon, Y.; Tou, J.C.; Mou, B.; Waterland, N.L. Nutritional value, bioactive compounds and health benefits of lettuce (Lactuca sativa L.). J. Food Compos. Anal. 2016, 49, 19–34. [Google Scholar] [CrossRef]
- Ancuța, P.; Sonia, A. Oil press-cakes and meals valorization through circular economy approaches: A review. Appl. Sci. 2020, 10, 7432. [Google Scholar] [CrossRef]
- Haq, A.; Siddiqi, M.; Batool, S.Z.; Islam, A.; Khan, A.; Khan, D.; Khan, S.; Khan, H.; Shah, A.A.; Hasan, F.; et al. Comprehensive investigation on the synergistic antibacterial activities of Jatropha curcas pressed cake and seed oil in combination with antibiotics. Amb Express 2019, 9, 67. [Google Scholar] [CrossRef]
- Wahab, G.A.; Aboelmaaty, W.S.; Lahloub, M.F.; Sallam, A. In vitro and in silico studies of SARS-CoV-2 main protease Mpro inhibitors isolated from Helichrysum bracteatum. RSC Adv. 2022, 29, 18412–18424. [Google Scholar] [CrossRef]
- Lin, L.C.; Pai, Y.F.; Tsai, T.H. Isolation of luteolin and luteolin-7-O-glucoside from Dendranthema morifolium Ramat Tzvel and their pharmacokinetics in rats. J. Agric. Food Chem. 2015, 63, 7700–7706. [Google Scholar] [CrossRef]
- Salama, M.M.; Ezzat, S.M.; Sleem, A.A. A new hepatoprotective flavone glycoside from the flowers of Onopordum alexandrinum growing in Egypt. Z. Naturforsch. C 2011, 66, 251–259. [Google Scholar] [CrossRef] [PubMed]
- Peng, H.Y.; Zhang, X.H.; Xu, J.Z. Apigenin-7-O-β-D-glycoside isolation from the highly copper-tolerant plant Elsholtzia splendens. J. Zhejiang Univ. Sci. B 2016, 17, 447. [Google Scholar] [CrossRef] [PubMed]
- Abu-Reidah, I.; Contreras, M.; Arráez-Román, D.; Segura-Carretero, A.; Fernández-Gutiérrez, A. Reversed-phase ultra-high-performance liquid chromatography coupled to electrospray ionization-quadrupole-time-of-flight mass spectrometry as a powerful tool for metabolic profiling of vegetables: Lactuca sativa as an example of its application. J. Chromatogr. A 2013, 1313, 212–227. [Google Scholar] [CrossRef]
- Kim, A.R.; Ko, H.J.; Chowdhury, M.A.; Chang, Y.-S.; Woo, E.-R. Chemical constituents on the aerial parts of Artemisia selengensis and their IL-6 inhibitory activity. Arch. Pharmacal. Res. 2015, 38, 1059–1065. [Google Scholar] [CrossRef] [PubMed]
- Abouzeid, S.; Beutling, U.; Elekhnawy, E.; Selmar, D. Antibacterial and antibiofilm effects of allelopathic compounds identified in Medicago sativa L. seedling exudate against Escherichia coli. Molecules 2023, 28, 2645. [Google Scholar] [CrossRef]
- Ahmadi, S.M.; Farhoosh, R.; Sharif, A.; Rezaie, M. Structure-antioxidant activity relationships of luteolin and catechin. J. Food Sci. 2020, 85, 298–305. [Google Scholar] [CrossRef]
- Wang, W.; Yue, R.-F.; Jin, Z.; He, L.-M.; Shen, R.; Du, D. Efficiency comparison of apigenin-7-O-glucoside and trolox in antioxidative stress and anti-inflammatory properties. J. Pharm. Pharmacol. 2020, 72, 1645–1656. [Google Scholar] [CrossRef]
- Basha, N.J.; Basavarajaiah, S. Anticancer potential of bioactive molecule luteolin and its analogs: An update. Polycycl. Aromat. Compd. 2023, 43, 3958–3976. [Google Scholar] [CrossRef]
- Ismail, H.; Mirza, B. Evaluation of analgesic, anti-inflammatory, anti-depressant and anti-coagulant properties of Lactuca sativa (CV. Grand Rapids) plant tissues and cell suspension in rats. BMC Complement. Altern. Med. 2015, 15, 199. [Google Scholar] [CrossRef]
- Zouari Bouassida, K.; Makni, S.; Tounsi, A.; Jlaiel, L.; Trigui, M.; Tounsi, S. Effects of Juniperus phoenicea Hydroalcoholic Extract on Inflammatory Mediators and Oxidative Stress Markers in Carrageenan-Induced Paw Oedema in Mice. Biomed. Res. Int. 2018, 2018, 3785487. [Google Scholar] [CrossRef]
- Karim, N.; Khan, I.; Khan, W.; Khan, I.; Khan, A.; Halim, S.A.; Khan, H.; Hussain, J.; Al-Harrasi, A. Anti-nociceptive and anti-inflammatory activities of asparacosin a involve selective cyclooxygenase 2 and inflammatory cytokines inhibition: An in-vitro, in-vivo, and in-silico approach. Front. Immunol. 2019, 10, 581. [Google Scholar] [CrossRef] [PubMed]
- Harris, G.K.; Qian, Y.; Leonard, S.S.; Sbarra, D.C.; Shi, X. Luteolin and chrysin differentially inhibit cyclooxygenase-2 expression and scavenge reactive oxygen species but similarly inhibit prostaglandin-E2 formation in RAW 264.7 cells. J. Nutr. 2006, 136, 1517–1521. [Google Scholar] [CrossRef] [PubMed]
- Hämäläinen, M.; Nieminen, R.; Asmawi, M.Z.; Vuorela, P.; Vapaatalo, H.; Moilanen, E. Effects of flavonoids on prostaglandin E2 production and on COX-2 and mPGES-1 expressions in activated macrophages. Planta Med. 2011, 77, 1504–1511. [Google Scholar] [CrossRef] [PubMed]
- Sudalai, S.; Prabakaran, S.; Varalakksmi, V.; Kireeti, I.S.; Upasana, B.; Yuvasri, A.; Arumugam, A. A review on oilcake biomass waste into biofuels: Current conversion techniques, sustainable applications, and challenges: Waste to energy approach (WtE). Energy Convers. Manag. 2024, 314, 118724. [Google Scholar] [CrossRef]
- Zaky, R.; Yousef, T.; Ibrahim, K. Co (II), Cd (II), Hg (II) and U (VI) O2 complexes of o-hydroxyacetophenone [N-(3-hydroxy-2-naphthoyl)] hydrazone: Physicochemical study, thermal studies, and antimicrobial activity. Spectrochim. Acta Part A Mol. Biomol. Spectrosc. 2012, 97, 683–694. [Google Scholar] [CrossRef]
- Stylianakis, I.; Kolocouris, A.; Kolocouris, N.; Fytas, G.; Foscolos, G.B.; Padalko, E. Spiro [pyrrolidine-2, 2′-adamantanes]: Synthesis, anti-influenza virus activity and conformational properties. Bioorganic Med. Chem. Lett. 2003, 13, 1699–1703. [Google Scholar] [CrossRef]
- Dutta, A.; Bandyopadhyay, S.; Mandal, C.; Chatterjee, M. Development of a modified MTT assay for screening antimonial resistant field isolates of Indian visceral leishmaniasis. Parasitol. Int. 2005, 54, 119–122. [Google Scholar] [CrossRef]
- Elattar, E.M.; Shaban, M.; Saad, H.E.; Badria, F.A.; Galala, A.A. Evaluation of antimicrobial, antiquorum sensing, and cytotoxic activities of new vanillin 1, 2, 3-triazole derivatives. Nat. Prod. Res. 2023, 37, 2662–2671. [Google Scholar] [CrossRef]
- Smith, C.J.; Zhang, Y.; Koboldt, C.M.; Muhammad, J.; Zweifel, B.S.; Shaffer, A. Pharmacological analysis of cyclooxygenase-1 in inflammation. Proc. Natl. Acad. Sci. USA 1998, 95, 13313–13318. [Google Scholar] [CrossRef]
- Liu, Y.; Yang, X.; Gan, J.; Chen, S.; Xiao, Z.-X.; Cao, Y. CB-Dock2: Improved protein–ligand blind docking by integrating cavity detection, docking and homologous template fitting. Nucleic Acids Res. 2022, 50, 159–164. [Google Scholar] [CrossRef]
- Morris, G.M.; Huey, R.; Lindstrom, W.; Sanner, M.F.; Belew, R.K.; Goodsell, D.S. AutoDock4 and AutoDockTools4: Automated docking with selective receptor flexibility. J. Comput. Chem. 2009, 30, 2785–2791. [Google Scholar] [CrossRef] [PubMed]
- Hanwell, M.D.; Curtis, D.E.; Lonie, D.C.; Vandermeersch, T.; Zurek, E.; Hutchison, G.R. Avogadro: An advanced semantic chemical editor, visualization, and analysis platform. J. Cheminform. 2012, 4, 17. [Google Scholar] [CrossRef] [PubMed]
- Trott, O.; Olson, A.J. AutoDock Vina: Improving the speed and accuracy of docking with a new scoring function, efficient optimization, and multithreading. J. Comput. Chem. 2010, 31, 455–461. [Google Scholar] [CrossRef] [PubMed]
- Xiong, G.; Wu, Z.; Yi, J.; Fu, L.; Yang, Z.; Hsieh, C. ADMETlab 2.0: An integrated online platform for accurate and comprehensive predictions of ADMET properties. J. Comput. Chem. 2021, 49, 5–14. [Google Scholar]








| Compound No. | E. coli | P. aeruginosa | S. aureus | C. Albicans | ||||
|---|---|---|---|---|---|---|---|---|
| Diameter of Inhibition Zone (mm) | %Activity Index | Diameter of Inhibition Zone (mm) | %Activity Index | Diameter of Inhibition Zone (mm) | %Activity Index | Diameter of Inhibition Zone (mm) | %Activity Index | |
| 1 | NA * | ---- | 3.8 ± 0.2 | 16.5 | 6.9 ± 0.1 | 28.9 | NA * | ---- |
| 2 | 9.8 ± 0.2 | 37.8 | 12.9 ± 0.1 | 56.6 | 17 ± 0.1 | 71.7 | 10.7 ± 0.15 | 40.5 |
| 3 | 8.8 ± 0.15 | 33.8 | 11.77 ± 0.25 | 51.5 | 14.83 ± 0.15 | 61.9 | 9.87 ± 0.15 | 36.7 |
| 4 | 6.8 ± 0.15 | 26.1 | 9.8 ± 0.15 | 42.8 | 11.87 ± 0.15 | 50 | 5.95 ± 0.07 | 22.1 |
| 5 | 5.1 ± 0.1 | 19.6 | 7.9 ± 0.1 | 34.5 | 10.83 ± 0.2 | 49.6 | 4.9 ± 0.1 | 18.2 |
| Ciprofloxacin | 26 ± 0.3 | 100 | 22.87 ± 0.15 | 100 | 23.9 ± 0.1 | 100 | NA * | ---- |
| Clotrimazole | NA * | ---- | NA * | ---- | ---- | ---- | 26.9 ± 0.1 | 100 |
| Compound No. | In Vitro Cytotoxicity IC50 (µg/mL) | Selectivity Index | |||
|---|---|---|---|---|---|
| HepG-2 | MCF-7 | WI-38 | HepG2 | MCF-7 | |
| 1 | 82.75 ± 4.1 | 86.85 ± 3.9 | 61.71 ± 3.4 | 0.75 | 0.71 |
| 2 | 19.50 ± 1.3 | 11.63 ± 0.9 | 59.33 ± 3.2 | 3 | 5.1 |
| 3 | 24.83 ± 1.9 | 17.79 ± 1.3 | 49.64 ± 2.7 | 2 | 2.8 |
| 4 | 43.35 ± 2.5 | 39.79 ± 2.2 | 84.30 ± 4.3 | 1.9 | 2.1 |
| 5 | 63.59 ± 3.4 | 52.76 ± 2.9 | 34.77 ± 2.1 | 0.54 | 0.66 |
| Doxorubicin | 4.50 ± 0.2 | 4.17 ± 0.2 | 6.72 ± 0.5 | 1.5 | 1.6 |
| Treatment | Dose (mg/kg) | Increase in Paw Oedema (mL) and % Inhibition (%I) | ||||
|---|---|---|---|---|---|---|
| 1 h | 2 h | 3 h | 4 h | 5 h | ||
| Control | - | 1.47± 0.08 | 3.33 ± 0.05 | 3.95 ± 0.04 | 3.99 ± 0.40 | 4.13 ± 0.46 |
| Ibuprofen | 10 | 0.69 ± 0.16 (15.62) | 1.57 ± 0.21 ** (25.62) | 1.82 ± 0.38 *** (28.5) | 1.49 ± 0.47 *** (62.66) | 1.20 ± 0.37 ** (70.9) |
| Lettuce seed cake extract | 2000 | 1.29 ± 0.11 (5.87) | 2.20 ± 0.44 ** (18) | 2.59 ± 0.19 *** (19.57) | 2.49 ± 0.13 *** (37.5) | 2.42 ± 0.10 ** (41.40) |
| Compound (1) | 20 | 1.05 ± 0.20 (10.25) | 1.81 ± 0.44 ** (23.51) | 2.26 ± 0.28 *** (23.77) | 2.18 ± 0.74 *** (45.36) | 1.75 ± 0.46 ** (57.63) |
| Compound (1) | 40 | 0.77 ± 0.28 (16.32) | 1.59 ± 0.22 ** (27.07) | 2.11 ± 0.29 *** (26.1) | 1.78 ± 0.45 *** (55.39) | 1.49 ± 0.49 ** (63.92) |
| Ibuprofen + Compound (1) | 10 + 20 | 0.58 ± 0.17 (20) | 1.30 ± 0.29 ** (31.28) | 1.42 ± 0.57 *** (35.35) | 1.12 ± 0.40 *** (71.93) | 0.83 ± 0.34 ** (79.90) |
| Treatment | GPx (U/gm Tissue) | CAT (U/gm Tissue) | SOD (U/gm Tissue) |
|---|---|---|---|
| Normal | 118.55 ± 10.25 *** | 2.83 ± 0.11 *** | 189.05 ± 13.79 *** |
| Control | 52.85 ± 7.99 | 0.87 ± 0.13 | 76.55 ± 10.68 |
| Ibuprofen | 93.35 ± 8.84 ** | 2.20 ± 0.20 *** | 142.1 ± 14.71 ** |
| Lettuce seed cake extract | 77.05 ± 3.89 * | 1.45 ± 0.08 * | 116.65 ± 1.77 * |
| Compound (1) (20 mg/kg) | 77.65 ± 3.18 * | 1.50 ± 0.19 * | 118.35 ± 1.06 * |
| Compound (1) (40 mg/kg) | 86.75 ± 6.01 * | 2.04 ± 0.26 ** | 135.05 ± 11.67 * |
| Combination (Ibuprofen + compound (1) (20 mg/kg)) | 99.85 ± 6.72 ** | 2.36 ± 0.26 *** | 160.85 ± 15.06 ** |
| Compound | COX-1 | COX-2 |
|---|---|---|
| Ibuprofen | −5.4 | −4.8 |
| Compound 1 | −6.6 | −5.4 |
Disclaimer/Publisher’s Note: The statements, opinions and data contained in all publications are solely those of the individual author(s) and contributor(s) and not of MDPI and/or the editor(s). MDPI and/or the editor(s) disclaim responsibility for any injury to people or property resulting from any ideas, methods, instructions or products referred to in the content. |
© 2024 by the authors. Licensee MDPI, Basel, Switzerland. This article is an open access article distributed under the terms and conditions of the Creative Commons Attribution (CC BY) license (https://creativecommons.org/licenses/by/4.0/).
Share and Cite
Majed, M.; Galala, A.A.; Amer, M.M.; Selmar, D.; Abouzeid, S. Oilseed Cakes: A Promising Source of Antioxidant, and Anti-Inflammatory Agents—Insights from Lactuca sativa. Int. J. Mol. Sci. 2024, 25, 11077. https://doi.org/10.3390/ijms252011077
Majed M, Galala AA, Amer MM, Selmar D, Abouzeid S. Oilseed Cakes: A Promising Source of Antioxidant, and Anti-Inflammatory Agents—Insights from Lactuca sativa. International Journal of Molecular Sciences. 2024; 25(20):11077. https://doi.org/10.3390/ijms252011077
Chicago/Turabian StyleMajed, Mayye, Amal A. Galala, Mohamed M. Amer, Dirk Selmar, and Sara Abouzeid. 2024. "Oilseed Cakes: A Promising Source of Antioxidant, and Anti-Inflammatory Agents—Insights from Lactuca sativa" International Journal of Molecular Sciences 25, no. 20: 11077. https://doi.org/10.3390/ijms252011077
APA StyleMajed, M., Galala, A. A., Amer, M. M., Selmar, D., & Abouzeid, S. (2024). Oilseed Cakes: A Promising Source of Antioxidant, and Anti-Inflammatory Agents—Insights from Lactuca sativa. International Journal of Molecular Sciences, 25(20), 11077. https://doi.org/10.3390/ijms252011077

