In Vitro Cytotoxicity and Antimicrobial Activity against Acne-Causing Bacteria and Phytochemical Analysis of Galangal (Alpinia galanga) and Bitter Ginger (Zingiber zerumbet) Extracts
Abstract
1. Introduction
2. Results
2.1. Yields and Antioxidant Activity of Crude Extracts of Bitter Ginger and Galangal
2.2. Antimicrobial Activity of Bitter Ginger and Galangal Extracts
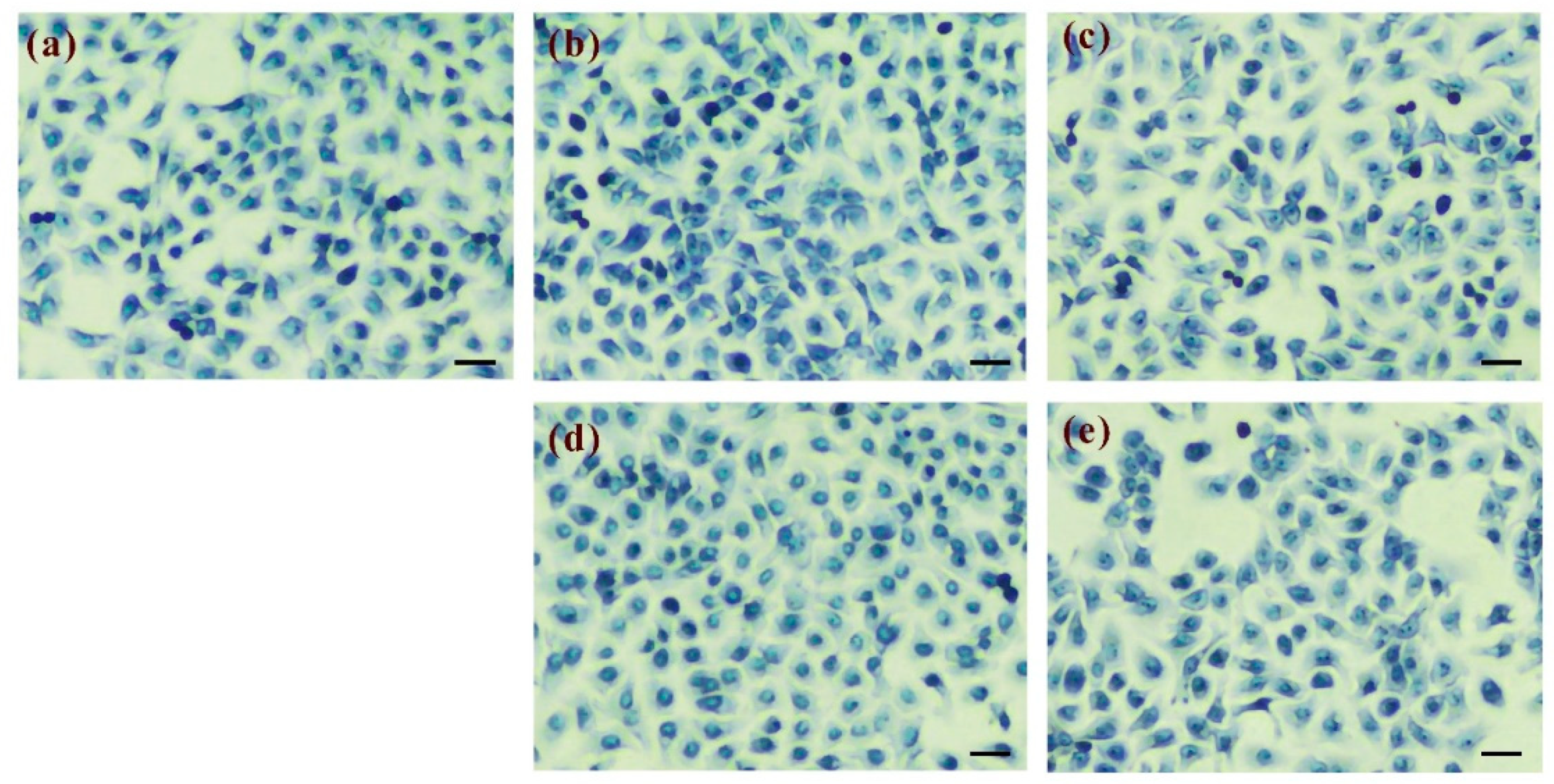
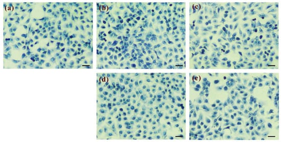
2.3. Effects of Bitter Ginger and Galangal Extracts Observed via SEM
2.4. Skin-Related Cytotoxicity of Bitter Ginger and Galangal Extracts
2.5. Phytochemicals in Bitter Ginger and Galangal Extracts Observed via GC-MS and LC-MS/MS
3. Discussion
4. Materials and Methods
4.1. Acne-Causing Bacteria and Plant Materials
4.2. Plant Preparation and Extraction
4.3. Antioxidant Activity Assay
4.4. Antimicrobial Activity Assay
4.5. Cytotoxic Activity Assay
4.6. Methylene Blue Staining
4.7. Scanning Electron Microscopic Analysis
4.8. GC-MS Analysis
4.9. LC-MS/MS Analysis
4.10. Statistical Analysis
5. Conclusions
Author Contributions
Funding
Institutional Review Board Statement
Informed Consent Statement
Data Availability Statement
Acknowledgments
Conflicts of Interest
References
- Aly, R. Microbial Infections of Skin and Nails. In Medical Microbiology, 4th ed.; Baron, S., Ed.; University of Texas Medical Branch at Galveston: Galveston, TX, USA, 1996. Available online: https://www.ncbi.nlm.nih.gov/books/NBK8301/ (accessed on 14 January 2024).
- Tan, A.U.; Schlosser, B.J.; Paller, A.S. A review of diagnosis and treatment of acne in adult female patients. Int. J. Women’s Dermatol. 2017, 4, 56–71. [Google Scholar] [CrossRef] [PubMed]
- Gieler, U.; Gieler, T.; Kupfer, J.P. Acne and quality of life—Impact and management. J. Eur. Acad. Dermatol. Venereol. 2015, 29 (Suppl. S4), 12–14. [Google Scholar] [CrossRef] [PubMed]
- Vasam, M.; Korutla, S.; Bohara, R.A. Acne vulgaris: A review of the pathophysiology, treatment, and recent nanotechnology based advances. Biochem. Biophys. Rep. 2023, 36, 101578. [Google Scholar] [CrossRef]
- Williams, H.C.; Dellavalle, R.; Garner, S. Acne vulgaris . Lancet 2012, 9813, 361–372. [Google Scholar] [CrossRef]
- Dréno, B.; Pécastaings, S.; Corvec, S.; Veraldi, S.; Khammari, A.; Roques, C. Cutibacterium acnes (Propionibacterium acnes) and Acne vulgaris: A brief look at the latest updates. J. Eur. Acad. Dermatol. Venereol. 2018, 32 (Suppl. S2), 5–14. [Google Scholar] [CrossRef]
- Shalita, A.R.; Lee, W.L. Inflammatory acne. Dermatol. Clin. 1983, 3, 361–364. [Google Scholar] [CrossRef]
- Muhammed, N.; Dabbagh, R. Isolation and identification of microorganisms in acne patients. Zanco J. Med. Sci. 2016, 2, 1330–1336. [Google Scholar] [CrossRef]
- Sarici, G.; Cinar, S.; Armutcu, F.; Altinyazar, C.; Koca, R.; Tekin, N.S. Oxidative stress in Acne vulgaris. J. Eur. Acad. Dermatol. Venereol. 2010, 4, 763–767. [Google Scholar] [CrossRef]
- Nast, A.; Dréno, B.; Bettoli, V.; Bukvic Mokos, Z.; Degitz, K.; Dressler, C.; Finlay, A.Y.; Haedersdal, M.; Lambert, J.; Layton, A.; et al. European evidence-based (S3) guideline for the treatment of acne—Update 2016—Short version. J. Eur. Acad. Dermatol. Venereol. 2016, 30, 1261–1268. [Google Scholar] [CrossRef] [PubMed]
- Fox, L.; Csongradi, C.; Aucamp, M.; du Plessis, J.; Gerber, M. Treatment Modalities for Acne. Molecules 2016, 21, 1063. [Google Scholar] [CrossRef]
- Ashkenazi, H.; Malik, Z.; Harth, Y.; Nitzan, Y. Eradication of Propionibacterium acnes by its endogenic porphyrins after illumination with high intensity blue light. FEMS Immunol. Med. Microbiol. 2003, 35, 17–24. [Google Scholar] [CrossRef] [PubMed]
- Walsh, T.R.; Efthimiou, J.; Dréno, B. Systematic review of antibiotic resistance in acne: An increasing topical and oral threat. Lancet Infect. Dis. 2016, 16, e23–e33. [Google Scholar] [CrossRef] [PubMed]
- Vaou, N.; Stavropoulou, E.; Voidarou, C.; Tsigalou, C.; Bezirtzoglou, E. Towards Advances in Medicinal Plant Antimicrobial Activity: A Review Study on Challenges and Future Perspectives. Microorganisms 2021, 9, 2041. [Google Scholar] [CrossRef] [PubMed]
- Proença, A.C.; Luís, Â.; Duarte, A.P. The Role of Herbal Medicine in the Treatment of Acne vulgaris: A Systematic Review of Clinical Trials. Evid. Based Complement. Altern. Med. 2022, 2022, 2011945. [Google Scholar] [CrossRef]
- Yuandani; Jantan, I.; Haque, M.A.; Rohani, A.S.; Nugraha, S.E.; Salim, E.; Septama, A.W.; Juwita, N.A.; Khairunnisa, N.A.; Nasution, H.R.; et al. Immunomodulatory effects and mechanisms of the extracts and secondary compounds of Zingiber and Alpinia species: A review. Front. Pharmacol. 2023, 14, 1222195. [Google Scholar] [CrossRef] [PubMed]
- Yang, X.; Eilerman, R.G. Pungent principal of Alpinia galangal (L.) Swartz and its applications. J. Agric. Food Chem. 1999, 4, 1657–1662. [Google Scholar] [CrossRef]
- Chouni, A.; Paul, S. A review on phytochemical and pharmacological potential of Alpinia galanga. Pharmacogn. J. 2018, 1, 9–15. [Google Scholar] [CrossRef]
- Jain, A.; Pawar, R.; Lodhi, S.; Singhai, A.K. Immunomodulatory and anti-oxidant potential of Alpinia galanga Linn. Rhizomes. Pharmacogn. Commun. 2012, 2, 30–37. [Google Scholar] [CrossRef]
- Koga, A.Y.; Beltrame, F.L.; Pereira, A.V. Several aspects of Zingiber zerumbet: A review. Rev. Bras. Farmacogn. 2016, 3, 385–391. [Google Scholar] [CrossRef]
- Devi, N.; Singh, P.; Das, A. Ethnomedicinal utilization of Zingiberaceae in the valley districts of Manipur. IOSR J. Environ. Sci. Toxicol. Food Technol. 2014, 8, 21–23. [Google Scholar] [CrossRef]
- Yob, N.J.; Jofrry, S.M.; Affandi, M.M.; The, L.K.; Salleh, M.Z.; Zakaria, Z.A. Zingiber zerumbet (L.) Smith: A Review of Its Ethnomedicinal, Chemical, and Pharmacological Uses. Evid. Based Complement. Altern. Med. 2011, 2011, 543216. [Google Scholar] [CrossRef] [PubMed]
- Haque, M.A.; Jantan, I. Recent Updates on the Phytochemistry, Pharmacological, and Toxicological Activities of Zingiber zerumbet (L.) Roscoe ex Sm. Curr. Pharm. Biotechnol. 2017, 18, 696–720. [Google Scholar] [CrossRef] [PubMed]
- Altıok, E.; Bayçın, D.; Bayraktar, O.; Ülkü, S. Isolation of polyphenols from the extracts of olive leaves (Olea europaea L.) by adsorption on silk fibroin, Sep. Purif. Technol. 2008, 2, 342–348. [Google Scholar] [CrossRef]
- Boonkusol, D.; Sawasdee, S.; Detraksa, J.; Duangsrikaew, K.; Watcharabundit, P. Evaluation of Anti-Escherichia coli K88 from Diarrhea Piglets and Phytochemicals of Galangal Rhizome Extracts. Trends Sci. 2023, 21, 7112. [Google Scholar] [CrossRef]
- Ramzan, M.; Zeshan, B. Assessment of the Phytochemical Analysis and Antimicrobial Potentials of Zingiber zerumbet. Molecules 2023, 28, 409. [Google Scholar] [CrossRef]
- Assiry, A.A.; Ahmed, N.; Almuaddi, A.; Saif, A.; Alshahrani, M.A.; Mohamed, R.N.; Karobari, M.I. The antioxidant activity, preliminary phytochemical screening of Zingiber zerumbet and antimicrobial efficacy against selective endodontic bacteria. Food Sci. Nutr. 2023, 11, 4853–4860. [Google Scholar] [CrossRef]
- Aji, N.; Kumala, S.; Mumpuni, E.; Rahmat, D. Antibacterial activity and active fraction of Zingiber officinale Roscoe, Zingiber montanum (J. Koenig) Link ex A., and Zingiber zerumbet (L.) Roscoe ex Sm. against Propionibacterium acnes. Pharmacogn. J. 2022, 14, 103–111. [Google Scholar] [CrossRef]
- Niyomkam, P.; Kaewbumrung, S.; Kaewnpparat, S.; Panichayupakaranant, P. Antibacterial activity of Thai herbal extracts on acne involved microorganism. Pharm. Biol. 2010, 48, 375–380. [Google Scholar] [CrossRef]
- Oonmetta-aree, J.; Suzuki, T.; Gasaluck, P.; Eumkeb, G. Antimicrobial properties and action of galangal (Alpinia galanga Linn. ) on Staphylococcus Aureus. LWT—Food Sci. Technol. 2006, 10, 1214–1220. [Google Scholar] [CrossRef]
- Puhs, K.; Thammitiyagodage, M.; Weerakkody, N. Antibiofilm activity of galangal (Alpinia galanga) against Staphylococcus aureus. Food Process. Nutr. Sci. 2020, 1, 123–131. [Google Scholar] [CrossRef]
- Moreira da Silva, T.; Pinheiro, C.D.; Puccinelli Orlandi, P.; Pinheiro, C.C.; Soares Pontes, G. Zerumbone from Zingiber zerumbet (L.) smith: A potential prophylactic and therapeutic agent against the cariogenic bacterium Streptococcus mutans. BMC Complement. Altern. Med. 2018, 18, 301. [Google Scholar] [CrossRef] [PubMed]
- Chavan, J.J.; Kshirsagar, R.; Pai, S.R.; Pawar, N.V. Micropropagation, metabolite profiling, antioxidant activities and chromatographic determination of bioactive molecules across in vitro conditions and subsequent field cultivation stages of ‘Shampoo Ginger’ (Zingiber zerumbet L. Roscoe ex Sm). Biocatal. Agric. Biotechnol. 2018, 16, 79–89. [Google Scholar] [CrossRef]
- Joung, D.K.; Mun, S.H.; Lee, K.S.; Kang, O.H.; Choi, J.G.; Kim, S.B.; Gong, R.; Chong, M.S.; Kim, Y.C.; Lee, D.S.; et al. The Antibacterial Assay of Tectorigenin with Detergents or ATPase Inhibitors against Methicillin-Resistant Staphylococcus aureus. Evid. Based Complement. Altern. Med. 2014, 2014, 716509. [Google Scholar] [CrossRef] [PubMed]
- Han, T.; Cheng, G.; Liu, Y.; Yang, H.; Hu, Y.T.; Huang, W. In vitro evaluation of tectoridin, tectorigenin and tectorigenin sodium sulfonate on antioxidant properties. Food Chem. Toxicol. 2012, 50, 409–414. [Google Scholar] [CrossRef]
- Zarai, Z.; Boujelbene, E.; Salem, N.B.; Gargouri, Y.; Sayari, A. Antioxidant and antimicrobial activities of various solvent extracts, piperine and piperic acid from Piper nigrum. LWT—Food Sci. Technol. 2013, 50, 634–641. [Google Scholar] [CrossRef]
- Ibáñez, M.D.; Sánchez-Ballester, N.M.; Blázquez, M.A. Healthy Zerumbone: From Natural Sources to Strategies to Improve Its Bioavailability and Oral Administration. Plants 2022, 12, 5. [Google Scholar] [CrossRef]
- Miski, M.; Ulubelen, A.; Johansson, C.; Mabry, T.J. Antibacterial activity studies of flavonoids from Salvia palaestina. J. Nat. Prod. 1983, 46, 874–875. [Google Scholar] [CrossRef] [PubMed]
- Luo, J.; Yang, M. Demethoxycurcumin: A potential antimicrobial agent. J. Therm. Anal. Calorim. 2014, 115, 2331–2338. [Google Scholar] [CrossRef]
- Jayaprakasha, G.K.; Jaganmohan Rao, L.; Sakariah, K.K. Antioxidant activities of curcumin, demethoxycurcumin and bisdemethoxycurcumin. Food Chem. 2006, 98, 720–724. [Google Scholar] [CrossRef]
- Jun, N.J.; Jang, K.C.; Kim, S.C.; Moon, D.Y.; Seong, K.C.; Kang, K.H.; Tandang, L.; Kim, P.H.; Cho, S.M.K.; Park, K.H. Radical scavenging activity and content of cynarin (1,3-dicaffeoylquinic acid) in artichoke (Cynara scolymus L.). J. Appl. Biol. Chem. 2017, 50, 244–248. [Google Scholar]
- Kumarasamy, Y.; Nahar, L.; Cox, P.J.; Jaspars, M.; Sarker, S.D. Bioactivity of secoiridoid glycosides from Centaurium erythraea. Phytomedicine 2003, 10, 344–347. [Google Scholar] [CrossRef] [PubMed]
- Abreu, A.C.; Coqueiro, A.; Sultan, A.R.; Lemmens, N.; Kim, H.K.; Verpoorte, R.; van Wamel, W.J.B.; Simões, M.; Choi, Y.H. Looking to nature for a new concept in antimicrobial treatments: Isoflavonoids from Cytisus striatus as antibiotic adjuvants against MRSA. Sci. Rep. 2017, 7, 3777. [Google Scholar] [CrossRef]
- Xiao, G.; Li, G.; Chen, L.; Zhang, Z.; Yin, J.J.; Wu, T.; Cheng, Z.; Wei, X.; Wang, Z. Isolation of antioxidants from Psoralea corylifolia fruits using high-speed counter-current chromatography guided by thin layer chromatography-antioxidant autographic assay. J. Chromatogr. A 2010, 1217, 5470–5476. [Google Scholar] [CrossRef] [PubMed]
- Mahae, N.; Chaiseri, S. Antioxidant activities and antioxidative components in extracts of Alpinia galanga (L.) Sw. Kasetsart J. Nat. Sci. 2009, 43, 358–369. [Google Scholar]
- Wu, Y.; Qiang, Y.; Cao, K.; Zhang, W.; Zhang, G. Inhibitory effect of the antimicrobial peptide BLP-7 against Propionibacterium acnes and its anti-inflammatory effect on Acne vulgaris. Toxicon 2020, 184, 109–115. [Google Scholar] [CrossRef]
- Pata, S.; Yaraksa, N.; Daduang, S.; Temsiripong, Y.; Svasti, J.; Araki, T.; Thammasirirak, S. Characterization of the novel antibacterial peptide Leucrocin from crocodile (Crocodylus siamensis) white blood cell extracts. Dev. Comp. Immunol. 2011, 35, 545–553. [Google Scholar] [CrossRef]
- Elshikh, M.; Ahmed, S.; Funston, S.; Dunlop, P.; McGaw, M.; Marchant, R.; Banat, I.M. Resazurin-based 96-well plate microdilution method for the determination of minimum inhibitory concentration of biosurfactants. Biotechnol. Lett. 2016, 38, 1015–1019. [Google Scholar] [CrossRef] [PubMed]
- Mosmann, T. Rapid colorimetric assay for cellular growth and survival: Application to proliferation and cytotoxicity assays. J. Immunol. Methods 1983, 65, 55–63. [Google Scholar] [CrossRef]
- Chockalingam, S.; Ghosh, S.S. Amelioration of cancer stem cells in macrophage colony stimulating factor-expressing u87mg-human glioblastoma upon 5-fluorouracil therapy. PLoS ONE 2013, 8, e83877. [Google Scholar] [CrossRef]
- Lau, S.K.P.; Woo, P.C.Y.; Woo, G.K.S.; Fung, A.M.Y.; Wong, M.K.M.; Chan, K.M.; Tam, D.M.W.; Yuen, K.Y. Eggerthella hongkongensis sp. nov. and Eggerthella sinensis sp. nov., two novel Eggerthella species, account for half of the cases of Eggerthella bacteremia. Diagn. Microbiol. Infect. Dis. 2004, 4, 255–263. [Google Scholar] [CrossRef]
- Theansungnoen, T.; Nitthikan, N.; Wilai, M.; Chaiwut, P.; Kiattisin, K.; Intharuksa, A. Phytochemical analysis and antioxidant, antimicrobial and antiaging activities of ethanolic seed extracts of four Mucuna species. Cosmetics 2022, 9, 14. [Google Scholar] [CrossRef]
- Phosri, S.; Kiattisin, K.; Intharuksa, A.; Janon, R.; Na Nongkhai, T.; Theansungnoen, T. Anti-aging, anti-acne, and cytotoxic activities of Houttuynia cordata extracts and phytochemicals analysis by LC-MS/MS. Cosmetics 2022, 9, 136. [Google Scholar] [CrossRef]










| Extracts | Yields ± SD (%) | IC50 ± SD (mg/mL) |
|---|---|---|
| Ethanolic extraction | ||
| Bitter ginger rhizome (BRhE) | 5.71 ± 0.63 b | 1.19 ± 0.06 b |
| Bitter ginger stem (BStE) | 5.03 ± 0.76 c | 1.42 ± 0.04 a |
| Bitter ginger leaf (BLeE) | 2.14 ± 0.34 de | 0.40 ± 0.02 e |
| Galangal rhizome (GRhE) | 5.47 ± 0.06 b | 0.08 ± 0.01 h |
| Galangal stem (GStE) | 1.72 ± 0.06 e | 0.15 ± 0.01 g |
| Galangal leaf (GLeE) | 5.37 ± 0.94 b | 0.27 ± 0.03 f |
| Methanolic extraction | ||
| Bitter ginger rhizome (BRhM) | 7.30 ± 0.09 a | 0.99 ± 0.04 c |
| Bitter ginger stem (BStM) | 1.06 ± 0.13 f | 0.46 ± 0.03 d |
| Bitter ginger leaf (BLeM) | 2.14 ± 0.37 de | 0.30 ± 0.01 f |
| Galangal rhizome (GRhM) | 6.94 ± 0.50 b | 0.06 ± 0.01 h |
| Galangal stem (GStM) | 2.72 ± 0.62 d | 0.28 ± 0.02 f |
| Galangal leaf (GLeE) | 5.67 ± 0.36 b | 0.17 ± 0.02 g |
| Ascorbic acid | - | 1.4 ± 0.2 * |
| Extracts | Cutibacterium acnes DMST 14916 | Staphylococcus aureus TISTR 746 | Staphylococcus epidermis TISTR 518 | |||
|---|---|---|---|---|---|---|
| MIC (mg/mL) | MBC (mg/mL) | MIC (mg/mL) | MBC (mg/mL) | MIC (mg/mL) | MBC (mg/mL) | |
| Ethanol extraction | ||||||
| Bitter ginger rhizome (BRhE) | 3.96 | 3.96 | 7.92 | 7.92 | 15.84 | >31.68 |
| Bitter ginger stem (BStE) | 31.68 | >31.68 | Nd | Nd | Nd | Nd |
| Bitter ginger leaf (BLeE) | 31.68 | 31.68 | Nd | Nd | Nd | Nd |
| Galangal rhizome (GRhE) | 7.92 | 15.84 | >31.68 | >31.68 | 15.84 | >31.68 |
| Galangal stem (GStE) | >31.68 | >31.68 | Nd | Nd | Nd | Nd |
| Galangal leaf (GLeE) | 7.92 | 31.68 | Nd | Nd | Nd | Nd |
| Methanol extraction | ||||||
| Bitter ginger rhizome (BRhM) | 3.96 | 7.92 | 15.84 | >31.68 | 15.84 | >31.68 |
| Bitter ginger stem (BStM) | >31.68 | >31.68 | Nd | Nd | Nd | Nd |
| Bitter ginger leaf (BLeM) | 3.96 | >3.96 | Nd | Nd | Nd | Nd |
| Galangal rhizome (GRhM) | 3.96 | 7.92 | 31.68 | >31.68 | 7.92 | >31.68 |
| Galangal stem (GStM) | 15.84 | 15.84 | Nd | Nd | Nd | Nd |
| Galangal leaf (GLeE) | 15.84 | 15.84 | Nd | Nd | Nd | Nd |
| Tetracycline | 1 * | 4 * | 2 * | 4 * | 64 * | 256 * |
| RT (min) | m/z | MS/MS Fragments | Formula | Tentative Identification | Mass | Ion Species |
|---|---|---|---|---|---|---|
| 1.201 | 179.0566 | 59.0144, 71.0144 | C6 H12 O6 | Allose | 180.0640 | (M-H)- |
| 1.264 | 341.1094 | 89.0249, 179.0552, 341.1089 | C12 H22 O11 | D-(+)-Turanose | 342.1166 | (M-H)- |
| 16.393 | 431.0987 | 285.0402, 431.0984 | C21 H20 O10 | Apigenin 7-galactoside | 432.1059 | (M-H)- |
| 17.104 | 473.109 | 284.0323, 413.087, 473.107 | C23 H22 O11 | 8-C-beta-D-Glucofuranosylapigenin 2″-O-acetate | 474.1163 | (M-H)- |
| 17.835 | 515.1211 | 284.0326, 455.0974, 515.1196 | C25 H24 O12 | 1,3-Dicaffeoylquinic acid | 516.1281 | (M-H)- |
| 17.839 | 583.1079 | 284.0316, 515.1195, 583.1062 | C28 H24 O14 | Myricetin 3-(2″-p-hydroxybenzoylrhamnoside) | 584.1149 | (M-H)- |
| 17.911 | 299.0563 | 112.9856, 284.0333, 300.0592 | C16 H12 O6 | Tectorigenin | 300.0636 | (M-H)- |
| 18.512 | 193.0871 | 124.0155, 193.0870 | C11 H14 O3 | 3-Hydroxyphenyl-valeric acid | 194.0943 | (M-H)- |
| 18.589 | 557.1303 | 284.0324, 557.1307 | C27 H26 O13 | Piceatannol 4′-galloylglucoside | 558.1375 | (M-H)- |
| 18.847 | 217.0508 | 68.9983, 158.0374, 173.0603 | C12 H10 O4 | Piperic acid | 218.0581 | (M-H)- |
| 18.856 | 299.0559 | 63.0237, 151.0025, 255.0304 | C16 H12 O6 | 6a-Hydroxymaackiain | 300.0632 | (M-H)- |
| 18.919 | 293.1761 | 71.0141, 177.0915, 236.1057 | C17 H26 O4 | Myrsinone | 294.1834 | (M-H)- |
| 18.929 | 337.1085 | 119.0503, 217.0506 | C20 H18 O5 | Canescacarpin | 338.116 | (M-H)- |
| 19.104 | 313.072 | 112.9856, 283.0243 | C17 H14 O6 | Cirsimaritin | 314.0792 | (M-H)- |
| 19.512 | 194.0823 | 180.0603, 194.0822 | C10 H13 N O3 | n-acetyldopamine | 195.0896 | (M-H)- |
| 19.949 | 265.1482 | 96.9603, 265.1479 | C12 H26 O4 S | Lauryl hydrogen sulfate | 266.1555 | (M-H)- |
| 20.322 | 112.9856 | 68.9961 | C2 H F3 O2 | trifluoroacetic acid | 113.9929 | (M-H)- |
| 20.908 | 311.1691 | 183.0123, 311.1691 | C17 H28 O3 S | N-Undecylbenzene sulfonic acid | 312.1764 | (M-H)- |
| 21.790 | 293.1797 | 96.9605, 293.1794 | C14 H30 O4 S | Sodium tetradecyl sulfate | 294.1869 | (M-H)- |
| 21.827 | 325.1844 | 119.0504, 183.0124 | C18 H30 O3 S | 2-Dodecylbenzene sulfonic acid | 326.1917 | (M-H)- |
| RT (min) | m/z | MS/MS Fragments | Formula | Tentative Identification | Mass | Ion Species |
|---|---|---|---|---|---|---|
| 1.254 | 341.1092 | 89.0243, 179.0555, 341.1091 | C12 H22 O11 | Sucrose | 342.1165 | (M-H)- |
| 8.134 | 325.093 | 145.0294, 265.0748 | C15 H18 O8 | cis-β-D-Glucosyl-2-hydroxycinnamate | 326.1003 | (M-H)- |
| 16.394 | 431.0992 | 255.0254, 285.0401, 431.0965 | C21 H20 O10 | Apigenin 7-galactoside | 432.1063 | (M-H)- |
| 17.103 | 473.1095 | 284.0325, 413.0876, 473.1086 | C23 H22 O11 | 8-C-beta-D-Glucofuranosylapigenin 2″-O- acetate | 474.1166 | (M-H)- |
| 17.782 | 515.1215 | 284.0328, 455.0978, 515.1204 | C25 H24 O12 | 1,3-Dicaffeoylquinic acid | 516.1285 | (M-H)- |
| 17.828 | 583.1081 | 515.1198, 583.1049 | C28 H24 O14 | Myricetin 3-(2″-p-hydroxybenzoylrhamnoside) | 584.1151 | (M-H)- |
| 17.834 | 299.0563 | 112.9853, 284.0324 | C16 H12 O6 | Tectorigenin | 300.0636 | (M-H)- |
| 18.542 | 193.0869 | 53.0034, 177.0556 | C11 H14 O3 | 3-Hydroxyphenyl-valeric acid | 194.0942 | (M-H)- |
| 18.635 | 557.1306 | 284.0327, 497.1038, 557.1301 | C27 H26 O13 | Piceatannol 4′-galloylglucoside | 558.1377 | (M-H)- |
| 18.828 | 337.1084 | 119.0505, 217.0507, 337.1076 | C20 H18 O5 | Demethoxycurcumin | 338.116 | (M-H)- |
| 18.912 | 361.1635 | 71.0143, 236.1053 | C16 H22 N6 O4 | Thyrotropin releasing hormone | 362.1708 | (M-H)- |
| 18.932 | 293.1762 | 71.0144, 236.1054, 293.1754 | C17 H26 O4 | Myrsinone | 294.1835 | (M-H)- |
| 19.037 | 313.0720 | 255.0296, 283.0249, 313.0704 | C17 H14 O6 | Cirsimaritin | 314.0793 | (M-H)- |
| 19.516 | 194.0825 | 61.9868, 135.0073, 194.0825 | C10 H13 N O3 | n-Acetyldopamine | 195.0898 | (M-H)- |
| 20.11 | 405.1709 | 119.0503, 285.1133, 405.1706 | C25 H26 O5 | 2,4,2′-Trihydroxy-6″,6″-dimethyl-3′-prenylpyrano[2″,3″:4′,5′]chalcone | 406.1781 | (M-H)- |
| 20.442 | 221.1547 | 205.1226, 221.1543 | C14 H22 O2 | 7E,9E,11-Dodecatrienyl acetate | 222.162 | (M-H)- |
| 20.655 | 311.169 | 183.0122, 311.1685 | C20 H24 O3 | Triptophenolide | 312.1759 | (M-H)- |
| 20.911 | 311.1689 | 183.0122, 311.1687 | C17 H28 O3 S | N-Undecylbenzenesulfonic acid | 312.1761 | (M-H)- |
| 21.14 | 112.9856 | 68.9962 | C2 H F3 O2 | Trifluoroacetic acid | 113.9929 | (M-H)- |
| 21.889 | 325.1845 | 119.0508, 183.0128 | C18 H30 O3 S | 2-Dodecylbenzenesulfonic acid | 326.1918 | (M-H)- |
| RT (min) | m/z | MS/MS Fragments | Formula | Tentative Identification | Mass | Ion Species |
|---|---|---|---|---|---|---|
| 1.261 | 341.1093 | 59.0141, 89.0245, 179.0559 | C12 H22 O11 | Sucrose | 342.1166 | (M-H)- |
| 5.826 | 357.1194 | 149.0605, 357.1176 | C16 H22 O9 | Sweroside | 358.1266 | (M-H)- |
| 16.007 | 311.1138 | 149.0606, 311.1186 | C15 H20 O7 | Nivalenol | 312.121 | (M-H)- |
| 16.100 | 385.1505 | 101.0243, 177.0918, 385.1467 | C18 H26 O9 | Methylsyringin | 386.1578 | (M-H)- |
| 17.468 | 387.1453 | 149.0607, 263.1074, 341.1392 | C21 H24 O7 | Dihydrosamidin | 388.1525 | (M-H)- |
| 17.863 | 373.1661 | 251.1079, 327.1600 | C21 H26 O6 | 2-(4-Allyl-2,6-dimethoxyphenoxy)-1-(4-hydroxy-3-methoxyphenyl)-1-propanol | 374.1733 | (M-H)- |
| 17.868 | 251.1081 | 93.0342, 251.1070 | C17 H16 O2 | p-(3,4-Dihydro-6-methoxy-2-naphthyl)phenol | 252.1152 | (M-H)- |
| 17.874 | 327.1605 | 251.1076, 327.1587 | C20 H24 O4 | Sagequinone methide A | 328.1677 | (M-H)- |
| 18.068 | 279.1029 | 173.0607, 119.0499, 279.1021 | C18 H16 O3 | Phenprocoumon | 280.1101 | (M-H)- |
| 18.178 | 293.1183 | 83.0498, 119.0503, 187.0762, 293.1170 | C19 H18 O3 | (2-Butylbenzofuran-3-yl) (4-hydroxyphenyl)ketone | 294.1255 | (M-H)- |
| 18.428 | 505.2594 | 251.1072, 343.1382, 459.2162 | C31 H38 O6 | Amoritin | 506.2666 | (M-H)- |
| 18.505 | 193.0868 | 178.0625, 193.0867 | C11 H14 O3 | 3-Hydroxyphenyl-valeric acid | 194.0941 | (M-H)- |
| 18.804 | 415.1765 | 177.0919, 263.1070, 369.1708 | C23 H28 O7 | 10-Hydroxymelleolide | 416.184 | (M-H)- |
| 18.916 | 361.1633 | 71.0138, 293.1768, 361.1623 | C16 H22 N6 O4 | Thyrotropin releasing hormone | 362.1707 | (M-H)- |
| 18.936 | 293.176 | 71.014, 236.1059, 293.1762 | C17 H26 O4 | Myrsinone | 294.1833 | (M-H)- |
| 19.173 | 547.2699 | 59.0141, 147.0448, 263.1077, 395.1645, 455.1865, 547.2698 | C33 H40 O7 | (+)-Myristinin A | 548.2771 | (M-H)- |
| 19.384 | 401.1977 | 177.0917, 263.1079, 355.1918 | C23 H30 O6 | Cortisone acetate | 402.2049 | (M-H)- |
| 19.389 | 355.192 | 177.0921, 263.1076, 309.1497 | C22 H28 O4 | gamma-Crocetin | 356.1993 | (M-H)- |
| 19.473 | 194.0824 | 108.0214, 178.0503 | C10 H13 N O3 | n-Acetyldopamine | 195.0897 | (M-H)- |
| 20.29 | 239.0674 | 123.0328, 239.0671 | C10 H12 N2 O5 | Dinoterb | 240.0747 | (M-H)- |
| RT (min) | m/z | MS/MS Fragments | Formula | Tentative Identification | Mass | Ion Species |
|---|---|---|---|---|---|---|
| 1.279 | 341.1090 | 89.0242, 101.024, 341.1086 | C12 H22 O11 | Sucrose | 342.1164 | (M-H)- |
| 15.950 | 311.1140 | 149.0608, 311.1120 | C15 H20 O7 | Nivalenol | 312.1211 | (M-H)- |
| 16.306 | 341.1240 | 71.0140, 133.0661, 341.1231 | C16 H22 O8 | Myzodendrone | 342.1317 | (M-H)- |
| 17.509 | 313.1450 | 112.9855, 175.0399, 251.1082 | C19 H22 O4 | Gibberellin A120 | 314.1522 | (M-H)- |
| 17.516 | 359.1500 | 251.1075, 313.1433 | C20 H24 O6 | Molephantinin | 360.1575 | (M-H)- |
| 18.064 | 279.1030 | 173.0608, 279.1026 | C18 H16 O3 | Phenprocoumon | 280.1103 | (M-H)- |
| 18.173 | 293.1190 | 119.0505, 187.0763, 293.1183 | C19 H18 O3 | (2-Butylbenzofuran-3-yl) (4-hydroxyphenyl)ketone | 294.1259 | (M-H)- |
| 18.475 | 355.1550 | 59.0139, 131.0498, 251.1058, 355.1525 | C21 H24 O5 | Tephrowatsin C | 356.1626 | (M-H)- |
| 18.483 | 401.1610 | 131.0518, 263.1071, 355.1555 | C22 H26 O7 | Gmelinol | 402.1684 | (M-H)- |
| 18.546 | 327.1600 | 263.1079, 295.1341 | C20 H24 O4 | Sagequinone methide A | 328.1677 | (M-H)- |
| 18.569 | 373.1660 | 163.0779, 263.1069, 327.1605 | C21 H26 O6 | 2-(4-Allyl-2,6-dimethoxyphenoxy)-1-(4-hydroxy-3-methoxyphenyl)-1-propanol | 374.1733 | (M-H)- |
| 18.841 | 321.1137 | 173.0596, 279.1028 | C20 H18 O4 | Neobavaisoflavone | 322.1210 | (M-H)- |
| 18.913 | 361.1630 | 71.0146, 236.1053, 361.1630 | C16 H22 N6 O4 | Thyrotropin releasing hormone | 362.1707 | (M-H)- |
| 18.934 | 293.1762 | 71.0141, 236.1056, 293.1751 | C17 H26 O4 | Myrsinone | 294.1835 | (M-H)- |
| 19.977 | 265.1480 | 96.9603, 265.1485 | C12 H26 O4 S | Lauryl hydrogen sulfate | 266.1557 | (M-H)- |
| 20.305 | 239.0670 | 151.0757, 207.0409, 239.0666 | C10 H12 N2 O5 | Dinoterb | 240.0747 | (M-H)- |
| 20.744 | 311.1690 | 119.0503, 183.0123, 311.1682 | C20 H24 O3 | Triptophenolide | 312.1759 | (M-H)- |
| 20.917 | 311.1690 | 119.0497, 183.0124, 311.1684 | C17 H28 O3 S | N-Undecylbenzenesulfonic acid | 312.1761 | (M-H)- |
| 21.776 | 293.1800 | 96.9607, 293.1796 | C14 H30 O4 S | Sodium tetradecyl sulfate | 294.1871 | (M-H)- |
| 21.887 | 325.1850 | 79.9579, 183.0126, 325.1828 | C18 H30 O3 S | 2-Dodecylbenzenesulfonic acid | 326.1920 | (M-H)- |
Disclaimer/Publisher’s Note: The statements, opinions and data contained in all publications are solely those of the individual author(s) and contributor(s) and not of MDPI and/or the editor(s). MDPI and/or the editor(s) disclaim responsibility for any injury to people or property resulting from any ideas, methods, instructions or products referred to in the content. |
© 2024 by the authors. Licensee MDPI, Basel, Switzerland. This article is an open access article distributed under the terms and conditions of the Creative Commons Attribution (CC BY) license (https://creativecommons.org/licenses/by/4.0/).
Share and Cite
Na Nongkhai, T.; Maddocks, S.E.; Phosri, S.; Sangthong, S.; Pintathong, P.; Chaiwut, P.; Chandarajoti, K.; Nahar, L.; Sarker, S.D.; Theansungnoen, T. In Vitro Cytotoxicity and Antimicrobial Activity against Acne-Causing Bacteria and Phytochemical Analysis of Galangal (Alpinia galanga) and Bitter Ginger (Zingiber zerumbet) Extracts. Int. J. Mol. Sci. 2024, 25, 10869. https://doi.org/10.3390/ijms252010869
Na Nongkhai T, Maddocks SE, Phosri S, Sangthong S, Pintathong P, Chaiwut P, Chandarajoti K, Nahar L, Sarker SD, Theansungnoen T. In Vitro Cytotoxicity and Antimicrobial Activity against Acne-Causing Bacteria and Phytochemical Analysis of Galangal (Alpinia galanga) and Bitter Ginger (Zingiber zerumbet) Extracts. International Journal of Molecular Sciences. 2024; 25(20):10869. https://doi.org/10.3390/ijms252010869
Chicago/Turabian StyleNa Nongkhai, Tanat, Sarah E. Maddocks, Santi Phosri, Sarita Sangthong, Punyawatt Pintathong, Phanuphong Chaiwut, Kasemsiri Chandarajoti, Lutfun Nahar, Satyajit D. Sarker, and Tinnakorn Theansungnoen. 2024. "In Vitro Cytotoxicity and Antimicrobial Activity against Acne-Causing Bacteria and Phytochemical Analysis of Galangal (Alpinia galanga) and Bitter Ginger (Zingiber zerumbet) Extracts" International Journal of Molecular Sciences 25, no. 20: 10869. https://doi.org/10.3390/ijms252010869
APA StyleNa Nongkhai, T., Maddocks, S. E., Phosri, S., Sangthong, S., Pintathong, P., Chaiwut, P., Chandarajoti, K., Nahar, L., Sarker, S. D., & Theansungnoen, T. (2024). In Vitro Cytotoxicity and Antimicrobial Activity against Acne-Causing Bacteria and Phytochemical Analysis of Galangal (Alpinia galanga) and Bitter Ginger (Zingiber zerumbet) Extracts. International Journal of Molecular Sciences, 25(20), 10869. https://doi.org/10.3390/ijms252010869

