Microscopic Analysis of Nuclear Speckles in a Viviparous Reptile
Abstract
1. Introduction
2. Results
2.1. Samples
2.2. Immunofluorescence and Immunoelectron Localization of Splicing Factors in Several Reptile Cell Types
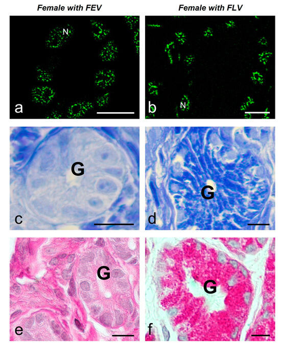
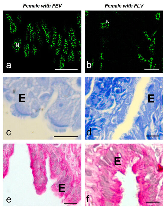
2.3. Distribution of Speckles in Different Reproductive Stages of the Lizard
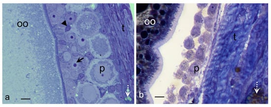
2.3.1. Oviduct
2.3.2. Liver
3. Discussion
3.1. Speckled Pattern of Splicing Factors Are Present in Reptile Cell Nuclei
3.2. Morphology of Speckled Pattern in Reptile Oviductal Cells Changes upon the Reproductive Stage
3.3. Morphology of Speckled Pattern in Reptile Hepatocytes Does Not Change upon the Reproductive Stage
3.4. Final Considerations
4. Materials and Methods
4.1. Characterization of Tissues
4.2. Fluorescent Immunolocalization
4.3. Ultrastructural Cytochemical Analysis
4.4. Ultrastructural Immunolocalization
4.5. Image Analysis
Author Contributions
Funding
Institutional Review Board Statement
Informed Consent Statement
Data Availability Statement
Acknowledgments
Conflicts of Interest
References
- Spector, D.L. Nuclear domains. J. Cell Sci. 2001, 114, 2891–2893. [Google Scholar] [CrossRef] [PubMed]
- Belmont, A.S. Nuclear compartments: An incomplete primer to nuclear compartments, bodies, and genome organization relative to nuclear architecture. Cold Spring Harb. Perspect. Biol. 2022, 14, a041268. [Google Scholar] [CrossRef] [PubMed]
- Spector, D.L.; Lamond, A.I. Nuclear speckles. Cold Spring Harb. Perspect. Biol. 2011, 3, a000646. [Google Scholar] [CrossRef] [PubMed]
- George-Téllez, R.; Segura-Valdez, M.L.; González-Santos, L.; Jiménez-García, L.F. Cellular organization of pre-mRNA splicing factors in several tissues. Changes in the uterus by hormone action. Biol. Cell 2002, 94, 99–108. [Google Scholar] [CrossRef] [PubMed]
- Acosta-Cárdenas, J.; Jiménez-García, L.F.; Segura-Valdez, M.L. Speckles in tissues. MOJ Anat. Physiol. 2022, 9, 1–3. [Google Scholar] [CrossRef]
- Faber, G.P.; Nadav-Eliyahu, S.; Shav-Tal, Y. Nuclear speckles–a driving force in gene expression. J. Cell Sci. 2022, 135, jcs259594. [Google Scholar] [CrossRef]
- Alverca, E.; Franca, S.; de la Espina, S.M.D. Topology of splicing and snRNP biogenesis in dinoflagellate nuclei. Biol. Cell 2006, 98, 709–720. [Google Scholar] [CrossRef] [PubMed]
- Batalova, F.M.; Bogolyubov, D.S.; Parfenov, V.N. Interchromatin granule clusters of the scorpionfly oocytes contain poly (A)+ RNA, heterogeneous ribonucleoproteins A/B and mRNA export factor NXF1. Cell Biol. Int. 2010, 34, 1163–1170. [Google Scholar] [CrossRef] [PubMed]
- Bogolyubov, D.S.; Batalova, F.M.; Ogorzałek, A. Localization of interchromatin granule cluster and Cajal body components in oocyte nuclear bodies of the hemipterans. Tissue Cell 2007, 39, 353–364. [Google Scholar] [CrossRef]
- Bogolyubov, D.; Stepanova, I.; Parfenov, V. Universal nuclear domains of somatic and germ cells: Some lessons from oocyte interchromatin granule cluster and Cajal body structure and molecular composition. BioEssays 2009, 31, 400–409. [Google Scholar] [CrossRef]
- Bogolyubov, D.S.; Kiselyov, A.M.; Shabelnikov, S.V.; Parfenov, V.N. Polyadenylated RNA and mRNA export factors in extrachromosomal nuclear domains of vitellogenic oocytes in the yellow mealworm Tenebrio molitor. Cell Tissue Biol. 2012, 6, 412–422. [Google Scholar] [CrossRef]
- Bogolyubov, D.S.; Batalova, F.M.; Kiselyov, A.M.; Stepanova, I.S. Nuclear structures in Tribolium castaneum oocytes. Cell Biol. Int. 2013, 37, 1061–1079. [Google Scholar] [CrossRef] [PubMed]
- Reddy, A.S.; Day, I.S.; Göhring, J.; Barta, A. Localization and dynamics of nuclear speckles in plants. Plant Physiol. 2012, 158, 67–77. [Google Scholar] [CrossRef] [PubMed]
- Spector, D.L.; Smith, H.C. Redistribution of U-snRNPs during Mitosis. Exp. Cell Res. 1986, 163, 87–94. [Google Scholar] [CrossRef] [PubMed]
- Spector, D.L.; Fu, X.D.; Maniatis, T. Associations between distinct pre-mRNA splicing components and the cell nucleus. EMBO J. 1991, 10, 3467–3481. [Google Scholar] [CrossRef] [PubMed]
- Jiménez-García, L.F.; Spector, D.L. In Vivo Evidence That Transcription and Splicing Are Coordinated by a Recruiting Mechanism. Cell 1993, 73, 47–59. [Google Scholar] [CrossRef] [PubMed]
- Jiménez-García, L.F.; Lara-Martínez, R.; Gil-Chavarría, I.; Zamora-Cura, A.L.; Salcedo-Alvarez, M.; Agredano-Moreno, L.T.; Moncayo-Sahagún, J.d.J.; Segura-Valdez, M.d.L. Biología celular del splicing. Mensaje Bioquímico, 2007; XXXI, 141–156. [Google Scholar]
- Fakan, S.; Leser, G.; Martin, T.E. Ultrastructural distribution of nuclear ribonucleoproteins as visualized by immunocytochemistry on thin sections. J. Cell Biol. 1984, 98, 358–363. [Google Scholar] [CrossRef] [PubMed]
- Nyman, U.; Hallman, H.; Hadlaczky, G.; Pettersson, I.; Sharp, G.; Ringertz, N.R. Intranuclear localization of snRNP antigens. J. Cell Biol. 1986, 102, 137–144. [Google Scholar] [CrossRef]
- Spector, D.L. Higher order nuclear organization: Three-dimensional distribution of small nuclear ribonucleoprotein particles. Proc. Natl. Acad. Sci. USA 1990, 87, 147–1511990. [Google Scholar] [CrossRef]
- Saitoh, N.; Spahr, C.S.; Patterson, S.D.; Bubulya, P.; Neuwald, A.F.; Spector, D.L. Proteomic analysis of interchromatin granule clusters. Mol. Biol. Cell 2004, 15, 3876–3890. [Google Scholar] [CrossRef]
- Hall, L.L.; Smith, K.P.; Byron, M.; Lawrence, J.B. Molecular Anatomy of a Speckle. Anat. Rec. A 2006, 288, 664–675. [Google Scholar] [CrossRef] [PubMed]
- Fakan, S. Perichromatin fibrils are in situ forms of nascent transcripts. Trends Cell Biol. 1994, 4, 86–90. [Google Scholar] [CrossRef] [PubMed]
- Chen, Y.; Belmont, A.S. Genome organization around nuclear speckles. Curr. Opin. Genet. Dev. 2019, 55, 91–99. [Google Scholar] [CrossRef] [PubMed]
- Monneron, A.; Bernhard, W. Fine Structural Organization of the Interphase Nucleus in Some Mammalian Cells. J. Ultrastruct. Res. 1969, 27, 266–288. [Google Scholar] [CrossRef]
- Biggiogera, M.; Cisterna, B.; Spedito, A.; Vecchio, L.; Malatesta, M. Perichromatin fibrils as early markers of transcriptional alteration. Differentiation 2007, 76, 57–65. [Google Scholar] [CrossRef]
- Fakan, S.; Nobis, P. Utrastructural localization of transcription sites and of RNA distribution during the cell cycle of synchronized CHO cells. Exp. Cell Res. 1978, 113, 327–337. [Google Scholar] [CrossRef] [PubMed]
- Visa, N.; Puvion-Dutilleul, F.; Harper, F.; Bachellerie, J.P.; Puvion, E. Intranuclear Distribution of Poly(A) RNA Determined by Electron Microscope in Situ Hybridization. Exp. Cell Res. 1993, 208, 19–34. [Google Scholar] [CrossRef]
- Cmarko, D.; Verschure, P.J.; Martin, T.E.; Dahmus, M.E.; Krause, S.; Fu, X.D.; Fakan, S. Ultrastructural Analysis of Transcription and Splicing in the Cell Nucleus after Bromo-UTP Microinjection. Mol. Biol. Cell 1999, 10, 211–223. [Google Scholar] [CrossRef] [PubMed]
- Spector, D.L.; O’keefe, R.T.; Jiménez-García, L.F. Dynamics of transcription and pre-mRNA splicing within the mammalian cell nucleus. Cold Spring Harb. Symp. Quant. Biol. 1993, 58, 799–805. [Google Scholar] [CrossRef]
- Carmo-Fonseca, M.; Pepperkok, R.; Carvalho, M.T.; Lamond, A.I. Transcription-dependent Colocalization of the U1, U2, U4/U6, and U5 snRNPs in Coiled Bodies. J. Cell Biol. 1992, 117, 1–14. [Google Scholar] [CrossRef]
- Wu, J.Y.; Maniatis, T. Specific Interactions between Proteins Implicated in Splice Site Selection and Regulated Alternative Splicing. Cell 1993, 75, 1061–1070. [Google Scholar] [CrossRef] [PubMed]
- Spector, D.L. Nuclear Organization and Gene Expression. Exp. Cell Res. 1996, 229, 189–197. [Google Scholar] [CrossRef] [PubMed]
- Misteli, T.; Spector, D.L. Serine/Threonine Phosphatase 1 Modulates the Subnuclear Distribution of Pre-mRNA Splicing Factors. Mol. Biol. Cell 1996, 7, 1559–1572. [Google Scholar] [CrossRef] [PubMed]
- Mintz, P.J.; Patterson, S.D.; Neuwald, A.F.; Spahr, C.S.; Spector, D.L. Purification and biochemical characterization of interchromatin granule clusters. EMBO J. 1999, 18, 4308–4320. [Google Scholar] [CrossRef] [PubMed]
- Misteli, T.; Cáceres, J.F.; Spector, D.L. The dynamics of a pre-mRNA splicing factor in living cells. Nature 1997, 387, 523–527. [Google Scholar] [CrossRef] [PubMed]
- Banani, S.F.; Lee, H.O.; Hyman, A.A.; Rosen, M.K. Biomolecular condensates: Organizers of cellular biochemistry. Nat. Rev. Mol. Cell Biol. 2017, 18, 285–298. [Google Scholar] [CrossRef] [PubMed]
- Lyon, A.S.; Peeples, W.B.; Rosen, M.K. A framework for understanding the functions of biomolecular condensates across scales. Nat. Rev. Mol. Cell Biol. 2021, 22, 215–235. [Google Scholar] [CrossRef]
- Nesterov, S.V.; Ilyinsky, N.S.; Uversky, V.N. Liquid-liquid phase separation as a common organizing principle of intracellular space and biomembranes providing dynamic adaptive responses. Biochim. Biophys. Acta Mol. Cell Res. 2021, 1868, 119102. [Google Scholar] [CrossRef] [PubMed]
- Hirose, T.; Ninomiya, K.; Nakagawa, S.; Yamazaki, T. A guide to membraneless organelles and their various roles in gene regulation. Nat. Rev. Mol. Cell Biol. 2023, 24, 288–304. [Google Scholar] [CrossRef]
- Greig, J.A.; Nguyen, T.A.; Lee, M.; Holehouse, A.S.; Posey, A.E.; Pappu, R.V.; Jedd, G. Arginine-enriched mixed-charge domains provide cohesion for nuclear speckle condensation. Mol. Cell 2020, 77, 1237–1250. [Google Scholar] [CrossRef]
- Rivera, C.; Verbel-Vergara, D.; Arancibia, D.; Lappala, A.; González, M.; Guzmán, F.; Merello, G.; Lee, J.T.; Andrés, M.E. Revealing RCOR2 as a regulatory component of nuclear speckles. Epigenet. Chromatin 2021, 14, 51. [Google Scholar] [CrossRef] [PubMed]
- Dion, W.; Ballance, H.; Lee, J.; Pan, Y.; Irfan, S.; Edwards, C.; Sun, M.; Zhang, J.; Zhang, X.; Liu, S.; et al. Four-dimensional nuclear speckle phase separation dynamics regulate proteostasis. Sci. Adv. 2022, 8, eabl4150. [Google Scholar] [CrossRef] [PubMed]
- Kim, J.; Venkata, N.C.; Hernandez-Gonzalez, G.A.; Khanna, N.; Belmont, A.S. Gene expression amplification by nuclear speckle association. J. Cell Biol. 2020, 219, e201904046. [Google Scholar] [CrossRef] [PubMed]
- Alexander, K.A.; Coté, A.; Nguyen, S.C.; Zhang, L.; Gholamalamdari, O.; Agudelo-Garcia, P.; Lin-Shiao, E.; Tanim, K.M.A.; Lim, J.; Biddle, N.; et al. p53 mediates target gene association with nuclear speckles for amplified RNA expression. Mol. Cell 2021, 81, 1666–1681. [Google Scholar] [CrossRef] [PubMed]
- Wang, Y.; Fan, J.; Wang, J.; Zhu, Y.; Xu, L.; Tong, D.; Cheng, H. ZFC3H1 prevents RNA trafficking into nuclear speckles through condensation. Nucleic Acids Res. 2021, 49, 10630–10643. [Google Scholar] [CrossRef] [PubMed]
- Zhang, L.; Zhang, Y.; Chen, Y.; Gholamalamdari, O.; Wang, Y.; Ma, J.; Belmont, A.S. TSA-seq reveals a largely conserved genome organization relative to nuclear speckles with small position changes tightly correlated with gene expression changes. Genome Res. 2021, 31, 251–264. [Google Scholar] [CrossRef] [PubMed]
- Degot, S.; Le Hir, H.; Alpy, F.; Kedinger, V.; Stoll, I.; Wendling, C.; Seraphin, B.; Rio, M.C.; Tomasetto, C. Association of the breast cancer protein MLN51 with the exon junction complex via its speckle localizer and RNA binding module. J. Biol. Chem. 2004, 279, 33702–33715. [Google Scholar] [CrossRef] [PubMed]
- Schneider, J.; Dauber, B.; Melén, K.; Julkunen, I.; Wolff, T. Analysis of influenza B Virus NS1 protein trafficking reveals a novel interaction with nuclear speckle domains. J. Virol. 2009, 83, 701–711. [Google Scholar] [CrossRef]
- Francis, A.C.; Marin, M.; Singh, P.K.; Achuthan, V.; Prellberg, M.J.; Palermino-Rowland, K.; Lan, S.; Tedbury, P.R.; Sarafianos, S.G.; Engelman, A.N.; et al. HIV-1 replication complexes accumulate in nuclear speckles and integrate into speckle-associated genomic domains. Nat. Commun. 2020, 11, 3505. [Google Scholar] [CrossRef]
- Lester, E.; Ooi, F.K.; Bakkar, N.; Ayers, J.; Woerman, A.L.; Wheeler, J.; Bowser, R.; Carlson, G.A.; Prusiner, S.B.; Parker, R. Tau aggregates are RNA-protein assemblies that mislocalize multiple nuclear speckle components. Neuron 2021, 109, 1675–1691. [Google Scholar] [CrossRef]
- Wang, X.; Liu, C.; Zhang, S.; Yan, H.; Zhang, L.; Jiang, A.; Liu, F.; Feng, Y.; Li, D.; Guo, Y.; et al. N6-methyladenosine modification of MALAT1 promotes metastasis via reshaping nuclear speckles. Dev. Cell 2021, 56, 702–715. [Google Scholar] [CrossRef]
- Regan-Fendt, K.E.; Izumi, K. Nuclear speckleopathies: Developmental disorders caused by variants in genes encoding nuclear speckle proteins. Hum. Genet. 2024, 143, 529–544. [Google Scholar] [CrossRef]
- Uribe, M.C.A.; Mendez-Omana, M.E.; González-Quintero, J.E.; Guillette Jr, L.J. Seasonal Variation in Ovarian Histology of the Viviparous Lizard Sceloporus torquatus torquatus. J. Morphol. 1995, 226, 103–119. [Google Scholar] [CrossRef]
- Bernhard, W. A new staining procedure for electron microscopical cytology. J. Ultrastruct. Res. 1969, 27, 250–265. [Google Scholar] [CrossRef] [PubMed]
- Torres-García, E.; Pinto-Cámara, R.; Linares, A.; Martínez, D.; Abonza, V.; Brito-Alarcón, E.; Calcines-Cruz, C.; Valdés-Galindo, G.; Torres, D.; Jablonski, M.; et al. Extending resolution within a single imaging frame. Nat. Commun. 2022, 13, 7452. [Google Scholar] [CrossRef]
- Cruz-Cano, N.B.; Sánchez-Rivera, U.A.; Álvarez-Rodríguez, C.; Dávila-Govantes, R.; Cárdenas-León, M.; Martínez-Torres, M. Sex steroids are correlated with environmental factors and body condition during the reproductive cycle in females of the lizard Sceloporus torquatus. Gen. Comp. Endocrinol. 2021, 314, 113921. [Google Scholar] [CrossRef] [PubMed]
- Manley, J.L.; Krainer, A.R. A rational nomenclature for serine/arginine-rich protein splicing factors (SR proteins). Genes Dev. 2010, 24, 1073–1074. [Google Scholar] [CrossRef] [PubMed]
- Huang, S.; Spector, D.L. Nascent pre-mRNA transcripts are associated with nuclear regions enriched in splicing factors. Genes Dev. 1991, 5, 2288–2302. [Google Scholar] [CrossRef]
- Segura-Valdez, M.d.L.; Negrete-García, C.; Rodríguez-Gómez, Y.; Sanz-Ochotorena, A.; Lara-Martínez, R.; Moncayo-Sahagún, J.d.J.; Gómez-Arizmendi, C.M.; Jiménez-García, L.F. Organización intranuclear de proteínas SR en vertebrados. TIP Rev. Espec. Cienc. Quím.-Biol. 2007, 10, 65–69. [Google Scholar]
- Sacco-Bubulya, P.; Spector, D.L. Disassembly of interchromatin granule clusters alters the coordination of transcription and pre-mRNA splicing. J. Cell Biol. 2002, 156, 425–436. [Google Scholar] [CrossRef]
- Nickerson, J.A. The ribonucleoprotein network of the nucleus: A historical perspective. Curr. Opin. Genet. Dev. 2022, 75, 101940. [Google Scholar] [CrossRef] [PubMed]
- Segura-Valdez, M.L.; Mendoza-Sánchez, A.C.; García-Mauleón, P.M.R.; Agredano-Moreno, L.T.; Jiménez-García, L.F. Electron microscopy of nuclear nanoribonucleoproteins (nanoRNPs). MOJ Anat. Physiol. 2020, 7, 15–17. [Google Scholar]
- Raina, K.; Rao, B.J. Mammalian nuclear speckles exhibit stable association with chromatin: A biochemical study. Nucleus 2022, 13, 58–73. [Google Scholar] [CrossRef] [PubMed]
- Vázquez-Nin, G.H.; Echeverría, O.M. The polytene nucleus in morphological, cytochemical, and functional studies of messenger RNA transcription, processing, and transportation. Eur. J. Histochem. EJH 1996, 40, 7–16. [Google Scholar] [PubMed]
- Siegel, D.S.; Miralles, A.; Chabarria, R.E.; Aldridge, R.D. Female reproductive anatomy: Cloaca, oviduct, and sperm storage. In Reproductive Biology and Phylogeny of Snakes; Aldridge, R.D., Sever, D.M., Eds.; CRC Press: Ipswich, QLD, Australia, 2011; Volume 9, pp. 347–409. [Google Scholar]
- Mead, R.A.; Eroschenko, V.P.; Highfill, D.R. Effects of Progesterone and Estrogen on the Histology of the Oviduct of the Garter Snake, Thamnophis elegans. Gen. Comp. Endocrinol. 1981, 45, 345–354. [Google Scholar] [CrossRef] [PubMed]
- Paolucci, M.; Di Fiore, M.M.; Ciarcia, G. Oviduct 17β-Estradiol Receptor in the Female Lizard, Podarcis s. sicula, during the Sexual Cycle: Relation to Plasma 17β-Estradiol Concentration and Its Binding Proteins. Zool. Sci. 1992, 9, 1025–1035. [Google Scholar]
- Blackburn, D.G. Structure, Function, and Evolution of the Oviducts of Squamate Reptiles, with Special Reference to Viviparity and Placentation. J. Exp. Zool. 1998, 282, 560–617. [Google Scholar] [CrossRef]
- Rojas, C.A.; Barros, V.A.; Almeida-Santos, S.M. A histological and ultrastructural investigation of the female reproductive system of the water snake (Erythrolamprus miliaris): Oviductal cycle and sperm storage. Acta Zool. 2019, 100, 69–80. [Google Scholar] [CrossRef]
- Girling, J.E. The Reptilian Oviduct: A Review of Structure and Function and Directions for Future Research. J. Exp. Zool. 2002, 293, 141–170. [Google Scholar] [CrossRef]
- Melcák, I.; Cermanová, S.; Jirsová, K.; Koberna, K.; Malınsky, J.; Raška, I. Nuclear pre-mRNA compartmentalization: Trafficking of released transcripts to splicing factor reservoirs. Mol. Biol. Cell 2000, 11, 497–510. [Google Scholar] [CrossRef]
- Wang, K.; Wang, L.; Wang, J.; Chen, S.; Shi, M.; Cheng, H. Intronless mRNAs transit through nuclear speckles to gain export competence. J. Cell Biol. 2018, 217, 3912–3929. [Google Scholar] [CrossRef]
- Jones, S. Hormonal Regulation of Ovarian Function in Reptiles. In Hormones and Reproduction of Vertebrates; Norris, D.O., Lopez, K.J., Eds.; Elsevier Inc.: Amsterdam, The Netherlands, 2011; Volume 3, pp. 89–115. [Google Scholar]
- Moura, L.R.; Santos, A.L.Q.; Belleti, M.E.; Vieira, L.G.; Orpinelli, S.R.T.; De Simone, S.B.S. Morphological aspects of the liver of the freshwater turtle Phrynops geoffroanus Schweigger, 1812 (Testudines, Chelidae). Braz. J. Morphol. Sci. 2009, 26, 129–134. [Google Scholar]
- Firmiano, E.M.S.; Cardoso, N.N.; Vieira, D.A.; Sales, A.; Santos, M.A.J.; Mendes, A.L.S.; Nascimento, A.A. Histological study of the liver of the lizard Tropidurus torquatus Wied 1820, (Squamata: Tropiduridae). J. Morphol. Sci. 2011, 28, 165–170. [Google Scholar]
- Goldberg, S.R. Seasonal Weight and Cytological Changes in the Fat Bodies and Liver of the Iguanid Lizard Sceloporus jarrovi Cope. Copeia 1972, 1972, 227–232. [Google Scholar] [CrossRef]
- Yaron, Z.; Widzer, L. The control of vitellogenesis by ovarian hormones in the lizard Xantusia vigilis. Comp. Biochem. Physiol. 1978, 60, 279–284. [Google Scholar] [CrossRef]
- Gottlieb, T.A.; Wallace, R.A. Intracellular glycosylation of vitellogenin in the liver of estrogen-stimulated Xenopus laevis. J. Biol. Chem. 1982, 257, 95–103. [Google Scholar] [CrossRef] [PubMed]
- Rosanova, P.; Romano, M.; Marciano, R.; Anteo, C.; Limatola, E. Vitellogenin precursors in the liver of the oviparous lizard, Podarcis sicula. Mol. Reprod. Dev. 2002, 63, 349–354. [Google Scholar] [CrossRef]
- Polzonetti-Magni, A.M.; Mosconi, G.; Soverchia, L.; Kikuyama, S.; Carnevali, O. Multihormonal control of vitellogenesis in lower vertebrates. Int. Rev. Cytol. 2004, 239, 1–46. [Google Scholar] [PubMed]
- Feria-Ortiz, M.; Ugarte-Salgado, I.H.; García-Vázquez, U.O. Fat Body, Liver, and Carcass Mass Cycles in the Viviparous Lizard Sceloporus torquatus torquatus (Squamata: Phrynosomatidae). Southw. Nat. 2018, 63, 1–7. [Google Scholar] [CrossRef]
- Ganser, L.R.; Hopkins, W.A.; O’Neil, L.; Hasse, S.; Roe, J.H.; Sever, D.M. Liver Histopathology of the Southern Watersnake, Nerodia fasciata fasciata, Following Chronic Exposure to Trace Element-Contaminated Prey from a Coal Ash Disposal Site. J. Herpetol. 2003, 37, 219–226. [Google Scholar] [CrossRef]
- Price, E.R. The physiology of lipid storage and use in reptiles. Biol. Rev. 2016, 92, 1406–1426. [Google Scholar] [CrossRef] [PubMed]
- Skipper, J.K.; Hamilton, T.H. Regulation by estrogen of the vitellogenin gene. Proc. Natl. Acad. Sci. USA 1977, 74, 2384–2388. [Google Scholar] [CrossRef] [PubMed]
- Lewis, J.A.; Clemens, M.J.; Tata, J.R. Morphological and biochemical changes in the hepatic endoplasmic reticulum and Golgi apparatus of male Xenopus laevis after induction of egg-yolk protein synthesis by oestradiol-17β. Mol. Cell. Endocrinol. 1976, 4, 311–329. [Google Scholar] [CrossRef] [PubMed]
- Kiernan, J.A. Histological and Histochemical Methods: Theory and Practice, 5th ed.; Scion Publishing Ltd.: Banbury, UK, 2015; 588p. [Google Scholar]










| Early Vitellogenesis | Late Vitellogenesis | |
|---|---|---|
| Number of speckles | 12.3 ± 3.9 | 10.4 ± 5.3 |
| Speckle size (µm2) | 0.24 ± 0.08 | 0.29 ± 0.18 |
Disclaimer/Publisher’s Note: The statements, opinions and data contained in all publications are solely those of the individual author(s) and contributor(s) and not of MDPI and/or the editor(s). MDPI and/or the editor(s) disclaim responsibility for any injury to people or property resulting from any ideas, methods, instructions or products referred to in the content. |
© 2024 by the authors. Licensee MDPI, Basel, Switzerland. This article is an open access article distributed under the terms and conditions of the Creative Commons Attribution (CC BY) license (https://creativecommons.org/licenses/by/4.0/).
Share and Cite
Acosta-Cárdenas, J.; Jiménez-García, L.F.; Cruz-Gómez, S.d.J.; Mendoza-von der Borch, A.P.; Segura-Valdez, M.d.L. Microscopic Analysis of Nuclear Speckles in a Viviparous Reptile. Int. J. Mol. Sci. 2024, 25, 5281. https://doi.org/10.3390/ijms25105281
Acosta-Cárdenas J, Jiménez-García LF, Cruz-Gómez SdJ, Mendoza-von der Borch AP, Segura-Valdez MdL. Microscopic Analysis of Nuclear Speckles in a Viviparous Reptile. International Journal of Molecular Sciences. 2024; 25(10):5281. https://doi.org/10.3390/ijms25105281
Chicago/Turabian StyleAcosta-Cárdenas, Jeniffer, Luis Felipe Jiménez-García, Sarai de Jesús Cruz-Gómez, Ana Paulina Mendoza-von der Borch, and María de Lourdes Segura-Valdez. 2024. "Microscopic Analysis of Nuclear Speckles in a Viviparous Reptile" International Journal of Molecular Sciences 25, no. 10: 5281. https://doi.org/10.3390/ijms25105281
APA StyleAcosta-Cárdenas, J., Jiménez-García, L. F., Cruz-Gómez, S. d. J., Mendoza-von der Borch, A. P., & Segura-Valdez, M. d. L. (2024). Microscopic Analysis of Nuclear Speckles in a Viviparous Reptile. International Journal of Molecular Sciences, 25(10), 5281. https://doi.org/10.3390/ijms25105281

