Methylcobalamin in Combination with Early Intervention of Low-Intensity Pulsed Ultrasound Potentiates Nerve Regeneration and Functional Recovery in a Rat Brachial Plexus Injury Model
Abstract
1. Introduction
2. Results
2.1. Effects of LIPUS and Methylcobalamin on Motor Function and Sensory Behavioral Assessments in BPI Rats
2.1.1. Sensory Behavioral Assessments
2.1.2. Motor Function Assessments
2.2. Effects of LIPUS and Methylcobalamin on Protein Levels of S100 and BDNF and Morphological Changes in Brachial Plexus of BPI Rats
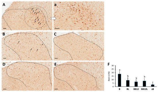
2.3. Effects of LIPUS and Methylcobalamin on Protein Levels of SP and iba1 in Superficial Dorsal Horns of BPI Rats
3. Discussion
4. Materials and Methods
4.1. General Design
4.2. Animal Care and Preparation
4.3. Surgical Procedures for Brachial Plexus Stretching Injury
4.4. Intervention
4.4.1. Low-Intensity Pulsed Ultrasound
4.4.2. Methylcobalamin Administration
4.5. Functional Assessments
4.5.1. Sensory Behavioral Assessments
- (1)
- Cold sensitivity
- (2)
- Thermal sensitivity
- (3)
- Mechanical sensitivity
4.5.2. Motor Function Assessments
4.6. Morphology and Immunoassays
4.6.1. Tissue Preparation and Morphological Examination
4.6.2. Immunohistochemical Staining and Quantitative Analyses
4.7. Statistical Analysis
5. Conclusions
Author Contributions
Funding
Institutional Review Board Statement
Informed Consent Statement
Data Availability Statement
Acknowledgments
Conflicts of Interest
References
- Benjamin, K. Part 1. Injuries to the brachial plexus: Mechanisms of injury and identification of risk factors. Adv. Neonatal Care 2005, 5, 181–189. [Google Scholar] [CrossRef]
- Arzillo, S.; Gishen, K.; Askari, M. Brachial plexus injury: Treatment options and outcomes. J. Craniofac. Surg. 2014, 25, 1200–1206. [Google Scholar] [CrossRef]
- Watanabe, M.; Yamaga, M.; Kato, T.; Ide, J.; Kitamura, T.; Takagi, K. The implication of repeated versus continuous strain on nerve function in a rat forelimb model. J. Hand Surg. Am. 2001, 26, 663–669. [Google Scholar] [CrossRef]
- Delioglu, K.; Seyhan Biyik, K.; Uzumcugil, A.; Kerem Gunel, M. “How Well” and “How Often” questions for birth brachial plexus injury: A validity and reliability of the pediatric upper extremity motor activity log-revised. Disabil. Rehabil. 2022, 45, 2192–2198. [Google Scholar] [CrossRef]
- Watanabe, T.; Kaji, R.; Oka, N.; Bara, W.; Kimura, J. Ultra-high dose methylcobalamin promotes nerve regeneration in experimental acrylamide neuropathy. J. Neurol. Sci. 1994, 122, 140–143. [Google Scholar] [CrossRef]
- Okada, K.; Tanaka, H.; Temporin, K.; Okamoto, M.; Kuroda, Y.; Moritomo, H.; Murase, T.; Yoshikawa, H. Methylcobalamin increases Erk1/2 and Akt activities through the methylation cycle and promotes nerve regeneration in a rat sciatic nerve injury model. Exp. Neurol. 2010, 222, 191–203. [Google Scholar] [CrossRef]
- Nishimoto, S.; Tanaka, H.; Okamoto, M.; Okada, K.; Murase, T.; Yoshikawa, H. Methylcobalamin promotes the differentiation of Schwann cells and remyelination in lysophosphatidylcholine-induced demyelination of the rat sciatic nerve. Front. Cell Neurosci. 2015, 9, 298. [Google Scholar] [CrossRef]
- Yamatsu, K.; Yamanishi, Y.; Kaneko, T.; Ohkawa, I. [Pharmacological studies on degeneration and regeneration of the peripheral nerves. (2) Effects of methylcobalamin on mitosis of Schwann cells and incorporation of labeled amino acid into protein fractions of crushed sciatic nerve in rats]. Nihon Yakurigaku Zasshi 1976, 72, 269–278. [Google Scholar] [CrossRef]
- Chen, W.Z.; Qiao, H.; Zhou, W.; Wu, J.; Wang, Z.B. Upgraded nerve growth factor expression induced by low-intensity continuous-wave ultrasound accelerates regeneration of neurotometicly injured sciatic nerve in rats. Ultrasound Med. Biol. 2010, 36, 1109–1117. [Google Scholar] [CrossRef]
- Crisci, A.R.; Ferreira, A.L. Low-intensity pulsed ultrasound accelerates the regeneration of the sciatic nerve after neurotomy in rats. Ultrasound Med. Biol. 2002, 28, 1335–1341. [Google Scholar] [CrossRef]
- Tsuang, Y.H.; Liao, L.W.; Chao, Y.H.; Sun, J.S.; Cheng, C.K.; Chen, M.H.; Weng, P.W. Effects of low intensity pulsed ultrasound on rat Schwann cells metabolism. Artif. Organs 2011, 35, 373–383. [Google Scholar] [CrossRef] [PubMed]
- Chang, C.J.; Hsu, S.H.; Lin, F.T.; Chang, H.; Chang, C.S. Low-intensity-ultrasound-accelerated nerve regeneration using cell-seeded poly(D,L-lactic acid-co-glycolic acid) conduits: An in vivo and in vitro study. J. Biomed. Mater. Res. B Appl. Biomater. 2005, 75, 99–107. [Google Scholar] [CrossRef] [PubMed]
- Zhang, H.; Lin, X.; Wan, H.; Li, J.H.; Li, J.M. Effect of low-intensity pulsed ultrasound on the expression of neurotrophin-3 and brain-derived neurotrophic factor in cultured Schwann cells. Microsurgery 2009, 29, 479–485. [Google Scholar] [CrossRef]
- Zhao, L.; Feng, Y.; Hu, H.; Shi, A.; Zhang, L.; Wan, M. Low-Intensity Pulsed Ultrasound Enhances Nerve Growth Factor-Induced Neurite Outgrowth through Mechanotransduction-Mediated ERK1/2-CREB-Trx-1 Signaling. Ultrasound Med. Biol. 2016, 42, 2914–2925. [Google Scholar] [CrossRef] [PubMed]
- Zhang, M.; Han, W.; Hu, S.; Xu, H. Methylcobalamin: A potential vitamin of pain killer. Neural Plast. 2013, 2013, 424651. [Google Scholar] [CrossRef] [PubMed]
- Julian, T.; Syeed, R.; Glascow, N.; Angelopoulou, E.; Zis, P. B12 as a Treatment for Peripheral Neuropathic Pain: A Systematic Review. Nutrients 2020, 12, 2221. [Google Scholar] [CrossRef] [PubMed]
- Mekaj, A.Y.; Morina, A.A.; Bytyqi, C.I.; Mekaj, Y.H.; Duci, S.B. Application of topical pharmacological agents at the site of peripheral nerve injury and methods used for evaluating the success of the regenerative process. J. Orthop. Surg. Res. 2014, 9, 94. [Google Scholar] [CrossRef] [PubMed][Green Version]
- Acheta, J.; Stephens, S.B.Z.; Belin, S.; Poitelon, Y. Therapeutic Low-Intensity Ultrasound for Peripheral Nerve Regeneration—A Schwann Cell Perspective. Front. Cell Neurosci. 2021, 15, 812588. [Google Scholar] [CrossRef] [PubMed]
- Modrak, M.; Talukder, M.A.H.; Gurgenashvili, K.; Noble, M.; Elfar, J.C. Peripheral nerve injury and myelination: Potential therapeutic strategies. J. Neurosci. Res. 2020, 98, 780–795. [Google Scholar] [CrossRef]
- Wujek, J.R.; Lasek, R.J. Correlation of axonal regeneration and slow component B in two branches of a single axon. J. Neurosci.: Off. J. Soc. Neurosci. 1983, 3, 243–251. [Google Scholar] [CrossRef]
- Gordon, T. The physiology of neural injury and regeneration: The role of neurotrophic factors. J. Commun. Disord. 2010, 43, 265–273. [Google Scholar] [CrossRef] [PubMed]
- Grinsell, D.; Keating, C.P. Peripheral nerve reconstruction after injury: A review of clinical and experimental therapies. Biomed. Res. Int. 2014, 2014, 698256. [Google Scholar] [CrossRef] [PubMed]
- Lee, S.K.; Wolfe, S.W. Peripheral nerve injury and repair. J. Am. Acad. Orthop. Surg. 2000, 8, 243–252. [Google Scholar] [CrossRef] [PubMed]
- Chu, X.L.; Song, X.Z.; Li, Q.; Li, Y.R.; He, F.; Gu, X.S.; Ming, D. Basic mechanisms of peripheral nerve injury and treatment via electrical stimulation. Neural Regen. Res. 2022, 17, 2185–2193. [Google Scholar] [CrossRef]
- Leung, A.; Shukla, S.; Lee, J.; Metzger-Smith, V.; He, Y.; Chen, J.; Golshan, S. Effect of low frequency transcutaneous magnetic stimulation on sensory and motor transmission. Bioelectromagnetics 2015, 36, 410–419. [Google Scholar] [CrossRef]
- Hung, C.H.; Huang, P.C.; Tzeng, J.I.; Wang, J.J.; Chen, Y.W. Therapeutic Ultrasound and Treadmill Training Suppress Peripheral Nerve Injury-Induced Pain in Rats. Phys. Ther. 2016, 96, 1545–1553. [Google Scholar] [CrossRef]
- Hsieh, Y.L.; Chou, L.W.; Chang, P.L.; Yang, C.C.; Kao, M.J.; Hong, C.Z. Low-level laser therapy alleviates neuropathic pain and promotes function recovery in rats with chronic constriction injury: Possible involvements in hypoxia-inducible factor 1alpha (HIF-1alpha). J. Comp. Neurol. 2012, 520, 2903–2916. [Google Scholar] [CrossRef]
- Sato, M.; Motoyoshi, M.; Shinoda, M.; Iwata, K.; Shimizu, N. Low-intensity pulsed ultrasound accelerates nerve regeneration following inferior alveolar nerve transection in rats. Eur. J. Oral Sci. 2016, 124, 246–250. [Google Scholar] [CrossRef]
- Tsuchimochi, A.; Endo, C.; Motoyoshi, M.; Tamura, M.; Hitomi, S.; Hayashi, Y.; Shinoda, M. Effect of low-intensity pulsed ultrasound on orofacial sensory disturbance following inferior alveolar nerve injury: Role of neurotrophin-3 signaling. Eur. J. Oral Sci. 2021, 129, e12810. [Google Scholar] [CrossRef]
- Baltrusch, S. The Role of Neurotropic B Vitamins in Nerve Regeneration. Biomed. Res. Int. 2021, 2021, 9968228. [Google Scholar] [CrossRef]
- Liao, W.C.; Chen, J.R.; Wang, Y.J.; Tseng, G.F. Methylcobalamin, but not methylprednisolone or pleiotrophin, accelerates the recovery of rat biceps after ulnar to musculocutaneous nerve transfer. Neuroscience 2010, 171, 934–949. [Google Scholar] [CrossRef] [PubMed]
- Tamaddonfard, E.; Farshid, A.A.; Samadi, F.; Eghdami, K. Effect of vitamin B12 on functional recovery and histopathologic changes of tibial nerve-crushed rats. Drug Res. (Stuttg.) 2014, 64, 470–475. [Google Scholar] [CrossRef] [PubMed]
- Yuan, Y.; Shen, H.; Yao, J.; Hu, N.; Ding, F.; Gu, X. The protective effects of Achyranthes bidentata polypeptides in an experimental model of mouse sciatic nerve crush injury. Brain Res. Bull. 2010, 81, 25–32. [Google Scholar] [CrossRef]
- Gan, L.; Qian, M.; Shi, K.; Chen, G.; Gu, Y.; Du, W.; Zhu, G. Restorative effect and mechanism of mecobalamin on sciatic nerve crush injury in mice. Neural Regen. Res. 2014, 9, 1979–1984. [Google Scholar] [CrossRef] [PubMed]
- Chen, C.H.; Huang, H.Y.; Huang, A.P.; Jaw, F.S.; Chen, M.C.; Lin, C.W.; Wang, S.P. Ultrasound-Guided Perineural Vitamin B12 Injection for Brachial Plexus Injury: A Preliminary Study. Cell Transpl. 2023, 32, 9636897231167213. [Google Scholar] [CrossRef] [PubMed]
- Nothias, F.; Tessler, A.; Murray, M. Restoration of substance P and calcitonin gene-related peptide in dorsal root ganglia and dorsal horn after neonatal sciatic nerve lesion. J. Comp. Neurol. 1993, 334, 370–384. [Google Scholar] [CrossRef] [PubMed]
- Barbut, D.; Polak, J.M.; Wall, P.D. Substance P in spinal cord dorsal horn decreases following peripheral nerve injury. Brain Res. 1981, 205, 289–298. [Google Scholar] [CrossRef]
- Mata, M.; Alessi, D.; Fink, D.J. S100 is preferentially distributed in myelin-forming Schwann cells. J. Neurocytol. 1990, 19, 432–442. [Google Scholar] [CrossRef]
- Meyer, M.; Matsuoka, I.; Wetmore, C.; Olson, L.; Thoenen, H. Enhanced synthesis of brain-derived neurotrophic factor in the lesioned peripheral nerve: Different mechanisms are responsible for the regulation of BDNF and NGF mRNA. J. Cell Biol. 1992, 119, 45–54. [Google Scholar] [CrossRef]
- Bai, J.; Geng, B.; Wang, X.; Wang, S.; Yi, Q.; Tang, Y.; Xia, Y. Exercise Facilitates the M1-to-M2 Polarization of Microglia by Enhancing Autophagy via the BDNF/AKT/mTOR Pathway in Neuropathic Pain. Pain Physician 2022, 25, E1137–E1151. [Google Scholar]
- Smith, P.A. BDNF: No gain without pain? Neuroscience 2014, 283, 107–123. [Google Scholar] [CrossRef] [PubMed]
- Ohsawa, K.; Imai, Y.; Sasaki, Y.; Kohsaka, S. Microglia/macrophage-specific protein Iba1 binds to fimbrin and enhances its actin-bundling activity. J. Neurochem. 2004, 88, 844–856. [Google Scholar] [CrossRef] [PubMed]
- Hsieh, Y.L.; Yang, N.P.; Chen, S.F.; Lu, Y.L.; Yang, C.C. Early Intervention of Cold-Water Swimming on Functional Recovery and Spinal Pain Modulation Following Brachial Plexus Avulsion in Rats. Int. J. Mol. Sci. 2022, 23, 1178. [Google Scholar] [CrossRef]
- Hayati, A.A.; Zalina, I.; Myo, T.; Badariah, A.A.; Azhar, A.; Idris, L. Modulation of formalin-induced fos-like immunoreactivity in the spinal cord by swim stress-induced analgesia, morphine and ketamine. Ger. Med. Sci. 2008, 6, Doc05. [Google Scholar] [PubMed]
- Bruijnzeel, A.W.; Stam, R.; Compaan, J.C.; Croiset, G.; Akkermans, L.M.; Olivier, B.; Wiegant, V.M. Long-term sensitization of Fos-responsivity in the rat central nervous system after a single stressful experience. Brain Res. 1999, 819, 15–22. [Google Scholar] [CrossRef] [PubMed]
- de Lange, R.P.; Geerse, G.J.; Dahlhaus, M.; van Laar, T.J.; Wiegant, V.M.; Stam, R. Altered brain stem responsivity to duodenal pain after a single stressful experience. Neurosci. Lett. 2005, 381, 144–148. [Google Scholar] [CrossRef]
- Hou, A.L.; Xu, W.D. A model of neuropathic pain in brachial plexus avulsion injury and associated spinal glial cell activation. J. Pain. Res. 2018, 11, 3171–3179. [Google Scholar] [CrossRef]
- Liu, Y.; Wang, L.; Meng, C.; Zhou, Y.; Lao, J.; Zhao, X. A new model for the study of neuropathic pain after brachial plexus injury. Injury 2017, 48, 253–261. [Google Scholar] [CrossRef]
- Zimmermann, M. Ethical considerations in relation to pain in animal experimentation. Acta Physiol. Scand. 1986, 128, 221–233. [Google Scholar]
- Wall, E.J.; Massie, J.B.; Kwan, M.K.; Rydevik, B.L.; Myers, R.R.; Garfin, S.R. Experimental stretch neuropathy. Changes in nerve conduction under tension. J. Bone Jt. Surg. Br. 1992, 74, 126–129. [Google Scholar] [CrossRef]
- Interlandi, C.; Leonardi, F.; Spadola, F.; Costa, G.L. Evaluation of the paw withdrawal latency for the comparison between tramadol and butorphanol administered locally, in the plantar surface of rat, preliminary study. PLoS ONE 2021, 16, e0254497. [Google Scholar] [CrossRef] [PubMed]
- Costa, G.L.; Di Pietro, S.; Interlandi, C.; Leonardi, F.; Macrì, D.; Ferrantelli, V.; Macrì, F. Effect on physiological parameters and anaesthetic dose requirement of isoflurane when tramadol given as a continuous rate infusion vs a single intravenous bolus injection during ovariohysterectomy in dogs. PLoS ONE 2023, 18, e0281602. [Google Scholar] [CrossRef] [PubMed]
- Hargreaves, K.; Dubner, R.; Brown, F.; Flores, C.; Joris, J. A new and sensitive method for measuring thermal nociception in cutaneous hyperalgesia. Pain 1988, 32, 77–88. [Google Scholar] [CrossRef] [PubMed]
- Hsieh, Y.L.; Fan, Y.C.; Yang, C.C. Low-level laser therapy alleviates mechanical and cold allodynia induced by oxaliplatin administration in rats. Support. Care Cancer 2016, 24, 233–242. [Google Scholar] [CrossRef]
- Bertelli, J.A.; Mira, J.C. Behavioral evaluating methods in the objective clinical assessment of motor function after experimental brachial plexus reconstruction in the rat. J. Neurosci. Methods 1993, 46, 203–208. [Google Scholar] [CrossRef]





| Group | # Difference among Groups | |||||||
|---|---|---|---|---|---|---|---|---|
| B (n = 8) | BL (n = 8) | BB12 (n = 8) | BB12L (n = 8) | sB (n = 8) | χ2 (4) | p Value | ||
| Sensory withdrawal threshold * | ||||||||
| 1. Cold stimuli (sec) | D0 | 0.79 a (0.54–0.93) | 0.83 a (0.44–0.99) | 0.66 a (0.56–0.69) | 0.64 a (0.51–0.69) | 0.65 a, NS (0.53–0.91) | 6.51 | 0.164 |
| D3 | 20.00 a (20.00–20.00) | 20.00 a (20.00–20.00) | 20.00 a (20.00–20.00) | 20.00 a (20.00–20.00) | 0.59 b, NS (0.52–0.92) | 38.37 | <0.001 | |
| D7 | 18.55 a (9.20–20.00) | 16.19 a (9.02–20.00) | 13.00 a (8.85–19.1) | 7.87 b (6.28–8.81) | 0.56 c, NS (0.45–0.65) | 30.68 | <0.001 | |
| D14 | 10.34 a (0.44–18.85) | 7.50 a (1.85–12.09) | 5.50 a (1.29–14.74) | 4.40 b (3.36–5.88) | 0.62 c, NS (0.50–0.65) | 18.17 | 0.001 | |
| D21 | 5.48 a (4.42–6.55) | 0.60 b (0.46–5.75) | 0.56 b, NS (0.46–1.02) | 0.49 b, NS (0.45–0.76) | 0.68 b, NS (0.64–0.87) | 20.71 | <0.001 | |
| D28 | 4.38 a (3.12–5.92) | 1.26 b (0.66–1.78) | 1.06 b (0.6–1.68) | 0.66 c, NS (0.5–0.77) | 0.64 c, NS (0.60–0.68) | 32.45 | <0.001 | |
| † Differences among time points; χ2 (5) | 33.33 | 36.12 | 37.64 | 38.00 | 11.64 | |||
| p value | <0.001 | <0.001 | <0.001 | <0.001 | 0.054 | |||
| 2. Thermal stimuli (sec) | D0 | 10.01 a (8.09–11.67) | 10.05 a (8.06–14.17) | 9.56 a (8.39–10.85) | 9.75 a (8.13–11.42) | 10.25 a, NS (8.02–10.99) | 7.07 | 0.132 |
| D3 | 20.00 a (16.96–20.00) | 20.00 a (13.59–20.00) | 19.81 a (18.00–20.00) | 19.88 a (18.12–20.00) | 10.55 b, NS (8.44–14.05) | 20.47 | <0.001 | |
| D7 | 15.45 a (12.43–17.32) | 13.98 b (11.51–20.00) | 16.50 a (9.81–20.00) | 11.79 b (6.99–17.17) | 9.12 c, NS (6.93–10.90) | 19.56 | 0.001 | |
| D14 | 17.07 a (10.86–19.77) | 11.10 b, NS (6.56–17.31) | 10.61 a, NS (8.62–18.70) | 9.98 b, NS (6.47–12.89) | 9.09 c, NS (8.32–13.22) | 20.58 | <0.001 | |
| D21 | 6.82 a (5.10–9.26) | 9.32 b (6.64–10.35) | 9.94 b, NS (8.35–11.76) | 9.84 b, NS (8.23–11.51) | 9.20 b, NS (7.91–11.93) | 14.75 | 0.005 | |
| D28 | 6.79 a (4.08–9.02) | 8.29 b (7.09–9.75) | 10.38 b, NS (9.38–11.24) | 10.32 b, NS (9.06–11.00) | 9.20 b, NS (7.43–10.36) | 22.78 | <0.001 | |
| † Differences among time points; χ2 (5) | 36.57 | 27.72 | 28.44 | 31.14 | 8.21 | |||
| p value | <0.001 | <0.001 | <0.001 | <0.001 | 0.145 | |||
| 3. Mechanical stimuli (sec) | D0 | 10.44 a (9.14–11.84) | 10.09 a (9.18–11.78) | 10.76 a (8.00–11.22) | 9.92 a (8.92–11.44) | 9.67 a, NS (8.10–11.30) | 2.20 | 0.699 |
| D3 | 20.00 a (20.00–20.00) | 20.00 a (20.00–20.00) | 20.00 a (20.00–20.00) | 20.00 a (20.00–20.00) | 9.59 b, NS (7.36–10.54) | 38.37 | <0.001 | |
| D7 | 17.32 a (13.70–20.00) | 15.95 b (7.34–18.00) | 16.72 a (13.00–20.00) | 13.74 b (8.90–15.08) | 9.29 c, NS (8.90–10.26) | 21.68 | <0.001 | |
| D14 | 16.81 a (7.60–18.58) | 7.85 b, NS (4.34–18.30) | 10.00 a, NS (6.60–16.80) | 8.31 b, NS (6.64–14.96) | 9.21 b, NS (7.90–10.58) | 11.01 | 0.026 | |
| D21 | 6.63 a (1.54–9.04) | 8.37 b (5.96–9.24) | 9.26 b, NS (4.26–9.82) | 8.99 b, NS (7.82–11.06) | 8.98 b, NS (7.36–10.12) | 10.95 | 0.027 | |
| D28 | 6.32 a (3.18–7.62) | 8.79 b (5.86–9.62) | 9.92 b, NS (8.50–10.92) | 9.68 b, NS (8.20–11.64) | 9.50 b, NS (8.16–10.64) | 19.99 | <0.001 | |
| † Differences among time points; χ2 (5) | 36.34 | 26.93 | 33.96 | 26.64 | 2.28 | |||
| p value | <0.001 | <0.001 | <0.001 | <0.001 | 0.810 | |||
| Motor function examination | ||||||||
| 1. Grooming (score) | D0 | 5.00 a (5.00–5.00) | 5.00 a (5.00–5.00) | 5.00 a (5.00–5.00) | 5.00 a (5.00–5.00) | 5.00 a, NS (5.00–5.00) | NA | NA |
| D3 | 1.00 a (1.00–1.00) | 1.00 a (1.00–1.00) | 1.00 a (1.00–1.00) | 1.00 a (1.00–1.00) | 5.00 b, NS (5.00–5.00) | 39.00 | <0.001 | |
| D7 | 1.00 a (1.00–1.00) | 1.00 a (1.00–2.00) | 2.00 b (2.00–2.00) | 2.00 b (1.00–3.00) | 5.00 c, NS (5.00–5.00) | 32.93 | <0.001 | |
| D14 | 3.00 a (2.00–3.00) | 3.00 a (2.00–5.00) | 3.00 b (3.00–4.00) | 4.00 b (3.00–5.00) | 5.00 c, NS (5.00–5.00) | 25.23 | <0.001 | |
| D21 | 3.50 a (3.00–5.00) | 5.00 b, NS (4.00–5.00) | 5.00 b, NS (5.00–5.00) | 5.00 b, NS (5.00–5.00) | 5.00 b, NS (5.00–5.00) | 21.73 | <0.001 | |
| D28 | 3.50 a (3.00–5.00) | 5.00 b, NS (5.00–5.00) | 5.00 b, NS (5.00–5.00) | 5.00 b, NS (5.00–5.00) | 5.00 b, NS 5.00–5.00) | 22.22 | <0.001 | |
| † Differences among time points; χ2 (5) | 37.77 | 38.24 | 40.00 | 38.21 | NA | |||
| p value | <0.001 | <0.001 | <0.001 | <0.001 | NA | |||
| 2. Finger spreading (index) | D0 | 0.96 a (0.88–1.00) | 0.96 a (0.89–1.00) | 0.98 a (0.87–1.08) | 0.95 a (0.90–1.07) | 1.00 a, NS (0.89–1.02) | 7.22 | 0.125 |
| D3 | 0.00 a (0.00–0.00) | 0.00 a (0.00–0.00) | 0.00 a (0.00–0.00) | 0.00 a (0.00–0.00) | 1.00 b, NS (0.92–1.08) | 38.38 | <0.001 | |
| D7 | 0.00 a (0.00–0.00) | 0.00 a (0.00–0.00) | 0.00 a (0.00–0.00) | 0.00 a (0.00–0.00) | 0.98 b, NS (0.95–1.13) | 38.39 | <0.001 | |
| D14 | 0.00 a (0.00–0.00) | 0.00 a (0.00–0.000) | 0.00 b (0.00–0.87) | 0.00 b (0.00–0.71) | 1.00 c, NS (0.93–1.02) | 29.30 | <0.001 | |
| D21 | 0.74 a (0.52–0.79) | 0.78 a (0.00–0.92) | 0.78 b (0.73–0.98) | 0.83 b (0.76–0.90) | 0.98 c, NS (0.92–1.02) | 23.78 | <0.001 | |
| D28 | 0.76 a (0.71–0.87) | 0.77 a (0.66–1.03) | 0.86 b (0.78–0.96) | 0.91 b, NS (0.87–0.98) | 0.98 c, NS (0.93–1.05) | 25.23 | <0.001 | |
| † Differences among time points χ2 (5) | 38.79 | 36.69 | 37.57 | 38.35 | 3.90 | |||
| p value | <0.001 | <0.001 | <0.001 | <0.001 | 0.564 | |||
Disclaimer/Publisher’s Note: The statements, opinions and data contained in all publications are solely those of the individual author(s) and contributor(s) and not of MDPI and/or the editor(s). MDPI and/or the editor(s) disclaim responsibility for any injury to people or property resulting from any ideas, methods, instructions or products referred to in the content. |
© 2023 by the authors. Licensee MDPI, Basel, Switzerland. This article is an open access article distributed under the terms and conditions of the Creative Commons Attribution (CC BY) license (https://creativecommons.org/licenses/by/4.0/).
Share and Cite
Hsieh, Y.-L.; Lu, Y.-L.; Yang, N.-P.; Yang, C.-C. Methylcobalamin in Combination with Early Intervention of Low-Intensity Pulsed Ultrasound Potentiates Nerve Regeneration and Functional Recovery in a Rat Brachial Plexus Injury Model. Int. J. Mol. Sci. 2023, 24, 13856. https://doi.org/10.3390/ijms241813856
Hsieh Y-L, Lu Y-L, Yang N-P, Yang C-C. Methylcobalamin in Combination with Early Intervention of Low-Intensity Pulsed Ultrasound Potentiates Nerve Regeneration and Functional Recovery in a Rat Brachial Plexus Injury Model. International Journal of Molecular Sciences. 2023; 24(18):13856. https://doi.org/10.3390/ijms241813856
Chicago/Turabian StyleHsieh, Yueh-Ling, Yu-Lin Lu, Nian-Pu Yang, and Chen-Chia Yang. 2023. "Methylcobalamin in Combination with Early Intervention of Low-Intensity Pulsed Ultrasound Potentiates Nerve Regeneration and Functional Recovery in a Rat Brachial Plexus Injury Model" International Journal of Molecular Sciences 24, no. 18: 13856. https://doi.org/10.3390/ijms241813856
APA StyleHsieh, Y.-L., Lu, Y.-L., Yang, N.-P., & Yang, C.-C. (2023). Methylcobalamin in Combination with Early Intervention of Low-Intensity Pulsed Ultrasound Potentiates Nerve Regeneration and Functional Recovery in a Rat Brachial Plexus Injury Model. International Journal of Molecular Sciences, 24(18), 13856. https://doi.org/10.3390/ijms241813856

