C-Src Is Activated by the EGF Receptor in a Pathway that Mediates JNK and ERK Activation by Gonadotropin-Releasing Hormone in COS7 Cells
Abstract
1. Introduction
2. Results
2.1. JNK1 Activation by GnRH-a in COS7 Cells
2.2. Involvement of the EGF Receptor, βγ Dimer, c-Src, and β-Arrestin in JNK1 Phosphorylation by GnRH-a
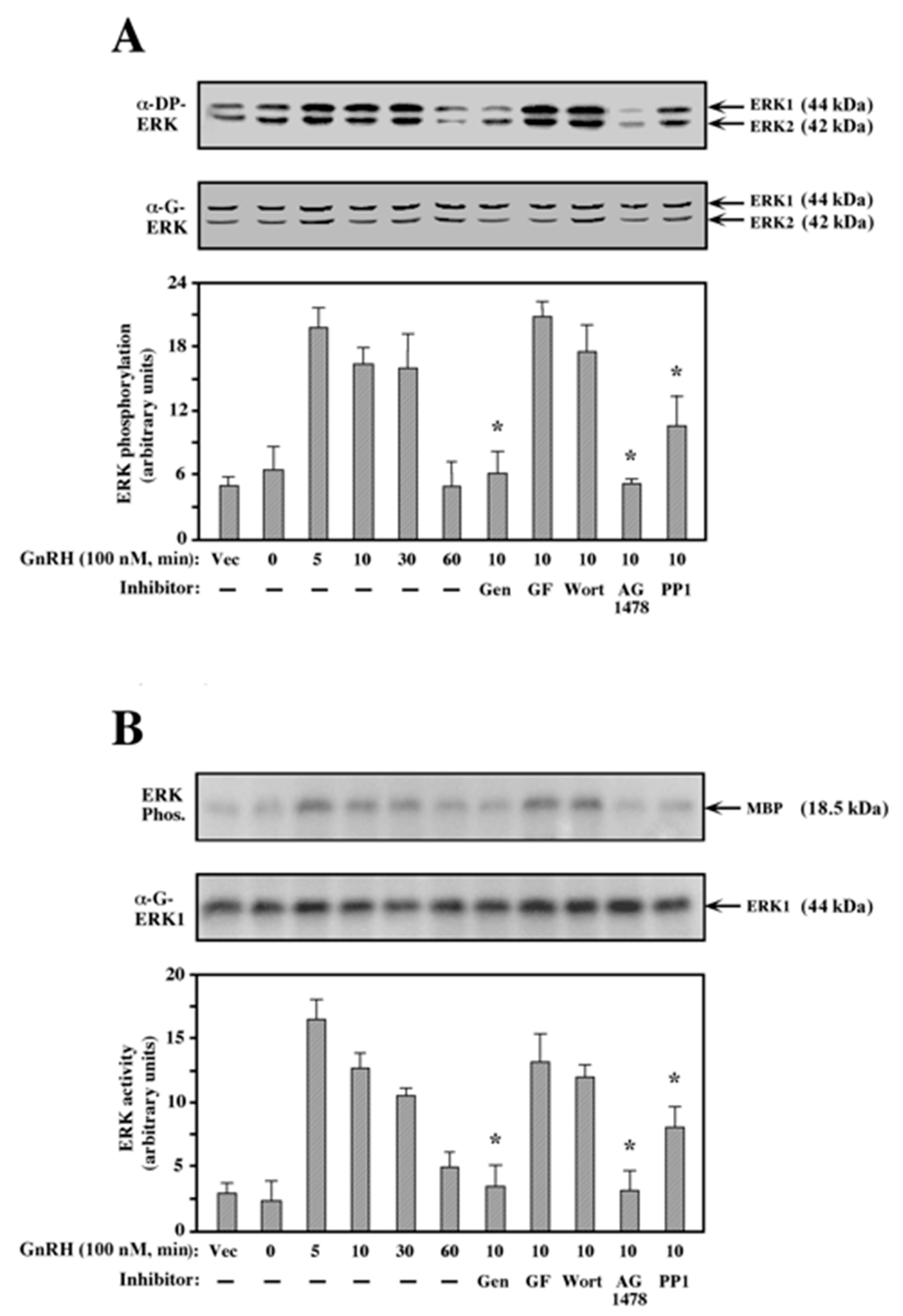
2.3. ERK Activation by GnRH-a in COS7 Cells
2.4. Ras Activation by GnRH-a is Mediated by the EGF Receptor and c-Src
2.5. Role of EGF Receptor in the Mediation of GnRH Signals
2.6. Activation of c-Src by GnRH-a is Mediated Mainly by the EGF Receptor
2.7. Activation of PI3K/PKB by GnRH-a Occurs Downstream of c-Src
2.8. Involvement of Gαi in the GnRH-a-Mediated Signaling
3. Discussion
4. Materials and Methods
4.1. Stimulants, Inhibitors, Antibodies and Miscellaneous Reagents
4.2. Plasmids
4.3. Transfection, Stimulation, and Harvesting of COS7 Cell
4.4. Western Blot Analysis
4.5. Determination of ERK Activity
4.6. Solid-Phase Assay for JNK Activity
4.7. Determination of Ras Activity
4.8. Determination of PKB Activity
4.9. C-Src Activity
4.10. Statistical Analysis
Author Contributions
Funding
Conflicts of Interest
Abbreviations
| CAMKII | Calcium–calmodulin-dependent protein kinase II |
| DP | diphospho |
| Epac | cAMP-responsive Ras–guanine nucleotide exchange factor |
| ERK | extracellular signal-responsive kinase |
| FCS | fetal calf serum |
| GnRH | gonadotropin-releasing hormone |
| GnRHR | gonadotropin-releasing hormone receptor |
| GPCR | G-protein-coupled receptors |
| Hb | heparin binding |
| JNK | c-Jun N-terminal kinase |
| MAPK | mitogen-activated protein kinase |
| MBP | myelin basic protein |
| PBS | phosphate-buffered saline |
| PKB | protein kinase B |
| PKC | protein kinase C |
| PLC | phospholipase C |
| PTK | protein tyrosine kinase |
| RTK | receptor tyrosine kinase |
References
- Jain:, R.; Watson, U.; Vasudevan, L.; Saini, D.K. ERK Activation Pathways Downstream of GPCRs. Int. Rev. Cell Mol. Biol. 2018, 338, 79–109. [Google Scholar] [CrossRef]
- Preininger, A.M.; Meiler, J.; Hamm, H.E. Conformational flexibility and structural dynamics in GPCR-mediated G protein activation: A perspective. J. Mol. Biol. 2013, 425, 2288–2298. [Google Scholar] [CrossRef]
- Shimada, I.; Ueda, T.; Kofuku, Y.; Eddy, M.T.; Wuthrich, K. GPCR drug discovery: Integrating solution NMR data with crystal and cryo-EM structures. Nat. Rev. Drug Discov. 2019, 18, 59–82. [Google Scholar] [CrossRef] [PubMed]
- Kovacs, J.J.; Hara, M.R.; Davenport, C.L.; Kim, J.; Lefkowitz, R.J. Arrestin development: Emerging roles for beta-arrestins in developmental signaling pathways. Dev. Cell 2009, 17, 443–458. [Google Scholar] [CrossRef] [PubMed]
- Keshet, Y.; Seger, R. The MAP kinase signaling cascades: A system of hundreds of components regulates a diverse array of physiological functions. Methods Mol. Biol. 2010, 661, 3–38. [Google Scholar] [CrossRef] [PubMed]
- Flores, K.; Yadav, S.S.; Katz, A.A.; Seger, R. The Nuclear Translocation of Mitogen-Activated Protein Kinases: Molecular Mechanisms and Use as Novel Therapeutic Target. Neuroendocrinology 2019, 108, 121–131. [Google Scholar] [CrossRef] [PubMed]
- Lee, S.; Rauch, J.; Kolch, W. Targeting MAPK Signaling in Cancer: Mechanisms of Drug Resistance and Sensitivity. Int. J. Mol. Sci. 2020, 21, 1102. [Google Scholar] [CrossRef]
- Naor, Z.; Benard, O.; Seger, R. Activation of MAPK Cascades by G-protein-coupled Receptors: The Case of Gonadotropin-releasing Hormone Receptor. Trends Endocrinol. Metab. 2000, 11, 91–99. [Google Scholar] [CrossRef]
- De Rooij, J.; Zwartkruis, F.J.; Verheijen, M.H.; Cool, R.H.; Nijman, S.M.; Wittinghofer, A.; Bos, J.L. Epac is a Rap1 guanine-nucleotide-exchange factor directly activated by cyclic AMP. Nature 1998, 396, 474–477. [Google Scholar] [CrossRef]
- Campbell, J.S.; Seger, R.; Graves, J.D.; Graves, L.M.; Jensen, A.M.; Krebs, E.G. The MAP kinase cascade. Recent Prog. Horm. Res. 1995, 50, 131–159. [Google Scholar]
- Nishizuka, Y. Intracellular signaling by hydrolysis of phospholipids and activation of protein kinase C. Science 1992, 258, 607–614. [Google Scholar] [CrossRef] [PubMed]
- Kolch, W.; Heidecker, G.; Kochs, G.; Hummel, R.; Vahidi, H.; Mischak, H.; Finkenzeller, G.; Marme, D.; Rapp, U.R. Protein kinase C alpha activates RAF-1 by direct phosphorylation. Nature 1993, 364, 249–252. [Google Scholar] [CrossRef] [PubMed]
- Farnsworth, C.L.; Freshney, N.W.; Rosen, L.B.; Ghosh, A.; Greenberg, M.E.; Feig, L.A. Calcium activation of Ras mediated by neuronal exchange factor Ras-GRF. Nature 1995, 376, 524–527. [Google Scholar] [CrossRef] [PubMed]
- Sagasti, A.; Hisamoto, N.; Hyodo, J.; Tanaka-Hino, M.; Matsumoto, K.; Bargmann, C.I. The camkii unc-43 activates the mapkkk nsy-1 to execute a lateral signaling decision required for asymmetric olfactory neuron fates. Cell 2001, 105, 221–232. [Google Scholar] [CrossRef]
- Jiang, Y.; Ma, W.; Wan, Y.; Kozasa, T.; Hattori, S.; Huang, X.Y. The G protein G alpha12 stimulates Bruton’s tyrosine kinase and a rasGAP through a conserved PH/BM domain. Nature 1998, 395, 808–813. [Google Scholar] [CrossRef] [PubMed]
- Lopez, I.; Mak, E.C.; Ding, J.; Hamm, H.E.; Lomasney, J.W. A novel bifunctional phospholipase C that is regulated by G{alpha}12 and stimulates the Ras/MAP kinase pathway. J. Biol. Chem. 2000, 276, 2758–2765. [Google Scholar] [CrossRef] [PubMed]
- Daub, H.; Wallasch, C.; Lankenau, A.; Herrlich, A.; Ullrich, A. Signal characteristics of G protein-transactivated EGF receptor. EMBO J. 1997, 16, 7032–7044. [Google Scholar] [CrossRef] [PubMed]
- Mochizuki, N.; Ohba, Y.; Kiyokawa, E.; Kurata, T.; Murakami, T.; Ozaki, T.; Kitabatake, A.; Nagashima, A.; Matsuda, M. Activation of the ERK/MAPK pathway by an isoform of rap1GAP associated with Galphai. Nature 1999, 400, 891–894. [Google Scholar] [CrossRef]
- Crespo, P.; Xu, N.; Simonds, W.F.; Gutkind, J.S. Ras-dependent activation of MAP kinase pathway mediated by G-protein beta gamma subunits. Nature 1994, 369, 418–420. [Google Scholar] [CrossRef]
- Luttrell, L.M.; van Biesen, T.; Hawes, B.E.; Koch, W.J.; Touhara, K.; Lefkowitz, R.J. G beta gamma subunits mediate mitogen-activated protein kinase activation by the tyrosine kinase insulin-like growth factor 1 receptor. J. Biol. Chem. 1995, 270, 16495–16498. [Google Scholar] [CrossRef]
- Bell, B.; Xing, H.; Yan, K.; Gautam, N.; Muslin, A.J. KSR-1 binds to G-protein betagamma subunits and inhibits beta gamma- induced mitogen-activated protein kinase activation. J. Biol. Chem. 1999, 274, 7982–7986. [Google Scholar] [CrossRef] [PubMed]
- Daaka, Y.; Luttrell, L.M.; Ahn, S.; Della Rocca, G.J.; Ferguson, S.S.; Caron, M.G.; Lefkowitz, R.J. Essential role for G protein-coupled receptor endocytosis in the activation of mitogen-activated protein kinase. J. Biol. Chem. 1998, 273, 685–688. [Google Scholar] [CrossRef] [PubMed]
- Ahn, S.; Maudsley, S.; Luttrell, L.M.; Lefkowitz, R.J.; Daaka, Y. Src-mediated tyrosine phosphorylation of dynamin is required for beta2-adrenergic receptor internalization and mitogen-activated protein kinase signaling. J. Biol. Chem. 1999, 274, 1185–1188. [Google Scholar] [CrossRef] [PubMed]
- Luttrell, L.M.; Roudabush, F.L.; Choy, E.W.; Miller, W.E.; Field, M.E.; Pierce, K.L.; Lefkowitz, R.J. Activation and targeting of extracellular signal-regulated kinases by beta -arrestin scaffolds. Proc. Natl. Acad. Sci. USA 2001, 98, 2449–2454. [Google Scholar] [CrossRef]
- Luttrell, L.M.; Hawes, B.E.; van-Biesen, T.; Luttrell, D.K.; Lansing, T.J.; Lefkowitz, R.J. Role of c-Src tyrosine kinase in G protein-coupled Receptor and Gßg subunit-mediated activation of mitogen-activated protein kinase. J. Biol. Chem. 1996, 271, 19443–19450. [Google Scholar] [CrossRef]
- Naor, Z.; Huhtaniemi, I. Interactions of the GnRH receptor with heterotrimeric G proteins. Front. Neuroendocrinol. 2013, 34, 88–94. [Google Scholar] [CrossRef]
- Bjelobaba, I.; Stojilkovic, S.S.; Naor, Z. Editorial: Gonadotropin-Releasing Hormone Receptor Signaling and Functions. Front. Endocrinol. 2018, 9, 143. [Google Scholar] [CrossRef]
- Naor, Z.; Shacham, S.; Harris, D.; Seger, R.; Reiss, N. Signal transduction of the gonadotropin releasing hormone (GnRH) receptor: Cross-talk of calcium, protein kinase C (PKC), and arachidonic acid. Cell. Mol. Neurobiol. 1995, 15, 527–544. [Google Scholar] [CrossRef]
- Reiss, N.; Levi, L.N.; Shacham, S.; Harris, D.; Seger, R.; Naor, Z. Mechanism of mitogen-activated protein kinase activation by gonadotropin-releasing hormone in the pituitary of alphaT3-1 cell line: Differential roles of calcium and protein kinase C. Endocrinology 1997, 138, 1673–1682. [Google Scholar] [CrossRef][Green Version]
- Benard, O.; Naor, Z.; Seger, R. Role of dynamin, Src and Ras in the PKC-mediated activation of ERK by gonadotropin-releasing hormone. J. Biol Chem. 2000, 276, 4554–4563. [Google Scholar] [CrossRef]
- Harris, D.; Chuderland, D.; Bonfil, D.; Kraus, S.; Seger, R.; Naor, Z. Extracellular signal-regulated kinase and c-Src, but not Jun N-terminal kinase, are involved in basal and gonadotropin-releasing hormone-stimulated activity of the glycoprotein hormone alpha-subunit promoter. Endocrinology 2003, 144, 612–622. [Google Scholar] [CrossRef] [PubMed]
- Levi, N.L.; Hanoch, T.; Benard, O.; Rozenblat, M.; Harris, D.; Reiss, N.; Naor, Z.; Seger, R. Stimulation of Jun N-terminal kinase (JNK) by gonadotropin-releasing hormone in pituitary alpha T3-1 cell line is mediated by protein kinase C, c-Src, and CDC42. Mol. Endocrinol. 1998, 12, 815–824. [Google Scholar] [PubMed]
- Grosse, R.; Roelle, S.; Herrlich, A.; Hohn, J.; Gudermann, T. Epidermal growth factor receptor tyrosine kinase mediates Ras activation by gonadotropin-releasing hormone. J. Biol. Chem. 2000, 275, 12251–12260. [Google Scholar] [CrossRef] [PubMed]
- Mulvaney, J.M.; Zhang, T.; Fewtrell, C.; Roberson, M.S. Calcium influx through L-type channels is required for selective activation of extracellular signal-regulated kinase by gonadotropin-releasing hormone. J. Biol. Chem. 1999, 274, 29796–29804. [Google Scholar] [CrossRef]
- Mulvaney, J.M.; Roberson, M.S. Divergent signaling pathways requiring discrete calcium signals mediate concurrent activation of two mitogen-activated protein kinases by gonadotropin-releasing hormone. J. Biol. Chem. 2000, 275, 14182–14189. [Google Scholar] [CrossRef]
- Vasilyev, V.V.; Lawson, M.A.; Dipaolo, D.; Webster, N.J.; Mellon, P.L. Different signaling pathways control acute induction versus long-term repression of LHbeta transcription by GnRH. Endocrinology 2002, 143, 3414–3426. [Google Scholar] [CrossRef]
- Harris, D.; Bonfil, D.; Chuderland, D.; Kraus, S.; Seger, R.; Naor, Z. Activation of MAPK cascades by GnRH: ERK and Jun N-terminal kinase are involved in basal and GnRH-stimulated activity of the glycoprotein hormone LHbeta-subunit promoter. Endocrinology 2002, 143, 1018–1025. [Google Scholar] [CrossRef]
- Han, X.B.; Conn, P.M. The role of protein kinases A and C pathways in the regulation of mitogen-activated protein kinase activation in response to gonadotropin- releasing hormone receptor activation. Endocrinology 1999, 140, 2241–2251. [Google Scholar] [CrossRef][Green Version]
- Kimura, A.; Ohmichi, M.; Kurachi, H.; Ikegami, H.; Hayakawa, J.; Tasaka, K.; Kanda, Y.; Nishio, Y.; Jikihara, H.; Matsuura, N.; et al. Role of mitogen-activated protein kinase/extracellular signal-regulated kinase cascade in gonadotropin-releasing hormone-induced growth inhibition of a human ovarian cancer cell line. Cancer Res. 1999, 59, 5133–5142. [Google Scholar]
- Shah, B.H.; Soh, J.W.; Catt, K.J. Dependence of gonadotropin-releasing hormone-induced neuronal MAPK signaling on epidermal growth factor receptor transactivation. J. Biol. Chem. 2003, 278, 2866–2875. [Google Scholar] [CrossRef]
- Shah, B.H.; Farshori, M.P.; Jambusaria, A.; Catt, K.J. Roles of Src and EGF receptor transactivation in transient and sustained ERK1/2 MAP kinase responses to GnRH receptor activation. J. Biol. Chem. 2003, 17, 17. [Google Scholar]
- Pierce, K.L.; Tohgo, A.; Ahn, S.; Field, M.E.; Luttrell, L.M.; Lefkowitz, R.J. Epidermal growth factor (EGF) receptor-dependent ERK activation by G protein-coupled receptors: A co-culture system for identifying intermediates upstream and downstream of heparin-binding EGF shedding. J. Biol. Chem. 2001, 276, 23155–23160. [Google Scholar] [CrossRef] [PubMed]
- Pierce, K.L.; Luttrell, L.M.; Lefkowitz, R.J. New mechanisms in heptahelical receptor signaling to mitogen activated protein kinase cascades. Oncogene 2001, 20, 1532–1539. [Google Scholar] [CrossRef] [PubMed]
- Avidor-Reiss, T.; Nevo, I.; Levy, R.; Pfeuffer, T.; Vogel, Z. Chronic opioid treatment induces adenylyl cyclase V superactivation. Involvement of Gbetagamma. J. Biol. Chem. 1996, 271, 21309–21315. [Google Scholar] [CrossRef]
- Seger, R.; Krebs, E.G. The MAPK signaling cascade. FASEB J. 1995, 9, 726–735. [Google Scholar] [CrossRef]
- De Rooij, J.; Bos, J.L. Minimal Ras-binding domain of Raf1 can be used as an activation-specific probe for Ras. Oncogene 1997, 14, 623–625. [Google Scholar] [CrossRef]
- Daub, H.; Weiss, F.U.; Wallasch, C.; Ullrich, A. Role of transactivation of the EGF receptor in signalling by G-protein- coupled receptors. Nature 1996, 379, 557–560. [Google Scholar] [CrossRef]
- Maudsley, S.; Pierce, K.L.; Zamah, A.M.; Miller, W.E.; Ahn, S.; Daaka, Y.; Lefkowitz, R.J.; Luttrell, L.M. The beta(2)-adrenergic receptor mediates extracellular signal-regulated kinase activation via assembly of a multi-receptor complex with the epidermal growth factor receptor. J. Biol. Chem. 2000, 275, 9572–9580. [Google Scholar] [CrossRef]
- Prenzel, N.; Zwick, E.; Daub, H.; Leserer, M.; Abraham, R.; Wallasch, C.; Ullrich, A. EGF receptor transactivation by G-protein-coupled receptors requires metalloproteinase cleavage of proHB-EGF. Nature 1999, 402, 884–888. [Google Scholar] [CrossRef]
- Stephens, L.R.; Eguinoa, A.; Erdjument-Bromage, H.; Lui, M.; Cooke, F.; Coadwell, J.; Smrcka, A.S.; Thelen, M.; Cadwallader, K.; Tempst, P.; et al. The G beta gamma sensitivity of a PI3K is dependent upon a tightly associated adaptor, p101. Cell 1997, 89, 105–114. [Google Scholar] [CrossRef]
- Ho, M.K.; Wong, Y.H. G(z) signaling: Emerging divergence from G(i) signaling. Oncogene 2001, 20, 1615–1625. [Google Scholar] [CrossRef] [PubMed]
- Troskie, B.; Illing, N.; Rumbak, E.; Sun, Y.M.; Hapgood, J.; Sealfon, S.; Conklin, D.; Millar, R. Identification of three putative GnRH receptor subtypes in vertebrates. Gen. Comp. Endocrinol. 1998, 112, 296–302. [Google Scholar] [CrossRef] [PubMed]
- Neill, J.D.; Duck, L.W.; Sellers, J.C.; Musgrove, L.C. A gonadotropin-releasing hormone (gnrh) receptor specific for gnrh ii in primates. Biochem. Biophys. Res. Commun. 2001, 282, 1012–1018. [Google Scholar] [CrossRef] [PubMed]
- Yokoi, T.; Ohmichi, M.; Tasaka, K.; Kimura, A.; Kanda, Y.; Hayakawa, J.; Tahara, M.; Hisamoto, K.; Kurachi, H.; Murata, Y. Activation of the luteinizing hormone beta promoter by gonadotropin-releasing hormone requires c-Jun NH2-terminal protein kinase. J. Biol. Chem. 2000, 275, 21639–21647. [Google Scholar] [CrossRef]
- Thomas, S.M.; Brugge, J.S. Cellular functions regulated by Src family kinases. Annu. Rev. Cell Dev. Biol. 1997, 13, 513–609. [Google Scholar] [CrossRef]
- Gutkind, J.S. The pathways connecting G protein-coupled receptors to the nucleus through divergent mitogen-activated protein kinase cascades. J. Biol. Chem. 1998, 273, 1839–1842. [Google Scholar] [CrossRef]
- Lefkowitz, R.J. G protein-coupled receptors. III. New roles for receptor kinases and beta-arrestins in receptor signaling and desensitization. J. Biol. Chem. 1998, 273, 18677–18680. [Google Scholar] [CrossRef]
- Luttrell, L.M.; Daaka, Y.; Lefkowitz, R.J. Regulation of tyrosine kinase cascades by G-protein-coupled receptors. Curr. Opin. Cell Biol. 1999, 11, 177–183. [Google Scholar] [CrossRef]
- Lu, W.Y.; Xiong, Z.G.; Lei, S.; Orser, B.A.; Dudek, E.; Browning, M.D.; MacDonald, J.F. G-protein-coupled receptors act via protein kinase C and Src to regulate NMDA receptors. Nat. Neurosci. 1999, 2, 331–338. [Google Scholar] [CrossRef]
- Luttrell, L.M.; Della Rocca, G.J.; van Biesen, T.; Luttrell, D.K.; Lefkowitz, R.J. Gbetagamma subunits mediate Src-dependent phosphorylation of the epidermal growth factor receptor. A scaffold for G protein-coupled receptor-mediated Ras activation. J. Biol. Chem. 1997, 272, 4637–4644. [Google Scholar] [CrossRef]
- Ma, Y.C.; Huang, J.; Ali, S.; Lowry, W.; Huang, X.Y. Src tyrosine kinase is a novel direct effector of G proteins. Cell 2000, 102, 635–646. [Google Scholar] [CrossRef]
- Cao, W.; Luttrell, L.M.; Medvedev, A.V.; Pierce, K.L.; Daniel, K.W.; Dixon, T.M.; Lefkowitz, R.J.; Collins, S. Direct binding of activated c-Src to the beta 3-adrenergic receptor is required for MAP kinase activation. J. Biol. Chem. 2000, 275, 38131–38134. [Google Scholar] [CrossRef] [PubMed]
- Luttrell, L.M.; Ferguson, S.S.; Daaka, Y.; Miller, W.E.; Maudsley, S.; Della Rocca, G.J.; Lin, F.; Kawakatsu, H.; Owada, K.; Luttrell, D.K.; et al. Beta-arrestin-dependent formation of beta2 adrenergic receptor-Src protein kinase complexes. Science 1999, 283, 655–661. [Google Scholar] [CrossRef] [PubMed]
- Miller, W.E.; Maudsley, S.; Ahn, S.; Khan, K.D.; Luttrell, L.M.; Lefkowitz, R.J. beta-arrestin1 interacts with the catalytic domain of the tyrosine kinase c-SRC. Role of beta-arrestin1-dependent targeting of c-SRC in receptor endocytosis. J. Biol. Chem. 2000, 275, 11312–11319. [Google Scholar] [CrossRef] [PubMed]
- Lopez-Ilasaca, M.; Crespo, P.; Pellici, P.G.; Gutkind, J.S.; Wetzker, R. Linkage of G protein-coupled receptors to the MAPK signaling pathway through PI 3-kinase gamma. Science 1997, 275, 394–397. [Google Scholar] [CrossRef] [PubMed]
- Vanhaesebroeck, B.; Leevers, S.J.; Panayotou, G.; Waterfield, M.D. Phosphoinositide 3-kinases: A conserved family of signal transducers. Trends Biochem. Sci. 1997, 22, 267–272. [Google Scholar] [CrossRef]
- Murga, C.; Laguinge, L.; Wetzker, R.; Cuadrado, A.; Gutkind, J.S. Activation of Akt/protein kinase B by G protein-coupled receptors. A role for alpha and beta gamma subunits of heterotrimeric G proteins acting through phosphatidylinositol-3-OH kinasegamma. J. Biol. Chem. 1998, 273, 19080–19085. [Google Scholar] [CrossRef] [PubMed]
- Lopez-Ilasaca, M.; Gutkind, J.S.; Wetzker, R. Phosphoinositide 3-kinase gamma is a mediator of Gbetagamma-dependent Jun kinase activation. J. Biol. Chem. 1998, 273, 2505–2508. [Google Scholar] [CrossRef]
- Leopoldt, D.; Hanck, T.; Exner, T.; Maier, U.; Wetzker, R.; Nurnberg, B. Gbetagamma stimulates phosphoinositide 3-kinase-gamma by direct interaction with two domains of the catalytic p110 subunit. J. Biol. Chem. 1998, 273, 7024–7029. [Google Scholar] [CrossRef]
- Daulhac, L.; Kowalski-Chauvel, A.; Pradayrol, L.; Vaysse, N.; Seva, C. Gastrin stimulates the formation of a p60Src/p125FAK complex upstream of the phosphatidylinositol 3-kinase signaling pathway. FEBS Lett. 1999, 445, 251–255. [Google Scholar] [CrossRef]
- Daulhac, L.; Kowalski-Chauvel, A.; Pradayrol, L.; Vaysse, N.; Seva, C. Src-family tyrosine kinases in activation of ERK-1 and p85/p110-phosphatidylinositol 3-kinase by G/CCKB receptors. J. Biol. Chem. 1999, 274, 20657–20663. [Google Scholar] [CrossRef] [PubMed]
- Downward, J. Mechanisms and consequences of activation of protein kinase B/Akt. Curr. Opin. Cell Biol. 1998, 10, 262–267. [Google Scholar] [CrossRef]
- McDonald, P.H.; Chow, C.W.; Miller, W.E.; Laporte, S.A.; Field, M.E.; Lin, F.T.; Davis, R.J.; Lefkowitz, R.J. Beta-arrestin 2: A receptor-regulated MAPK scaffold for the activation of JNK3. Science 2000, 290, 1574–1577. [Google Scholar] [CrossRef] [PubMed]
- Jaaro, H.; Rubinfeld, H.; Hanoch, T.; Seger, R. Nuclear translocation of mitogen-activated protein kinase kinase (MEK1) in response to mitogenic stimulation. Proc. Natl. Acad. Sci. USA 1997, 94, 3742–3747. [Google Scholar] [CrossRef]
- Lopata, M.A.; Cleveland, D.W.; Sollner-Webb, B. High level transient expression of a chloramphenicol acetyl transferase gene by DEAE-dextran mediated DNA transfection coupled with a dimethyl sulfoxide or glycerol shock treatment. Nucleic Acids Res. 1984, 12, 5707–5717. [Google Scholar] [CrossRef]
- Hibi, M.; Lin, A.; Smeal, T.; Minden, A.; Karin, M. Identification of an oncoprotein- and UV-responsive protein kinase that binds and potentiates the c-Jun activation domain. Genes Dev. 1993, 7, 2135–2148. [Google Scholar] [CrossRef]










Publisher’s Note: MDPI stays neutral with regard to jurisdictional claims in published maps and institutional affiliations. |
© 2020 by the authors. Licensee MDPI, Basel, Switzerland. This article is an open access article distributed under the terms and conditions of the Creative Commons Attribution (CC BY) license (http://creativecommons.org/licenses/by/4.0/).
Share and Cite
Kraus, S.; Benard, O.; Naor, Z.; Seger, R. C-Src Is Activated by the EGF Receptor in a Pathway that Mediates JNK and ERK Activation by Gonadotropin-Releasing Hormone in COS7 Cells. Int. J. Mol. Sci. 2020, 21, 8575. https://doi.org/10.3390/ijms21228575
Kraus S, Benard O, Naor Z, Seger R. C-Src Is Activated by the EGF Receptor in a Pathway that Mediates JNK and ERK Activation by Gonadotropin-Releasing Hormone in COS7 Cells. International Journal of Molecular Sciences. 2020; 21(22):8575. https://doi.org/10.3390/ijms21228575
Chicago/Turabian StyleKraus, Sarah, Outhiriaradjou Benard, Zvi Naor, and Rony Seger. 2020. "C-Src Is Activated by the EGF Receptor in a Pathway that Mediates JNK and ERK Activation by Gonadotropin-Releasing Hormone in COS7 Cells" International Journal of Molecular Sciences 21, no. 22: 8575. https://doi.org/10.3390/ijms21228575
APA StyleKraus, S., Benard, O., Naor, Z., & Seger, R. (2020). C-Src Is Activated by the EGF Receptor in a Pathway that Mediates JNK and ERK Activation by Gonadotropin-Releasing Hormone in COS7 Cells. International Journal of Molecular Sciences, 21(22), 8575. https://doi.org/10.3390/ijms21228575
