Combretum quadrangulare Extract Attenuates Atopic Dermatitis-Like Skin Lesions through Modulation of MAPK Signaling in BALB/c Mice
Abstract
1. Introduction
2. Results
2.1. Effect of CQ on DNCB-Induced Ikin Lesions
2.2. Effects of CQ on Histopathological Change and Skin Barrier Dysfunction
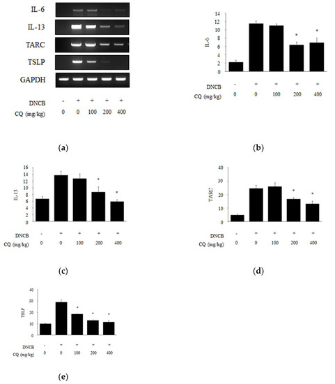
2.3. Effects of CQ on Release of Proinflammatory Cytokines and Chemokines
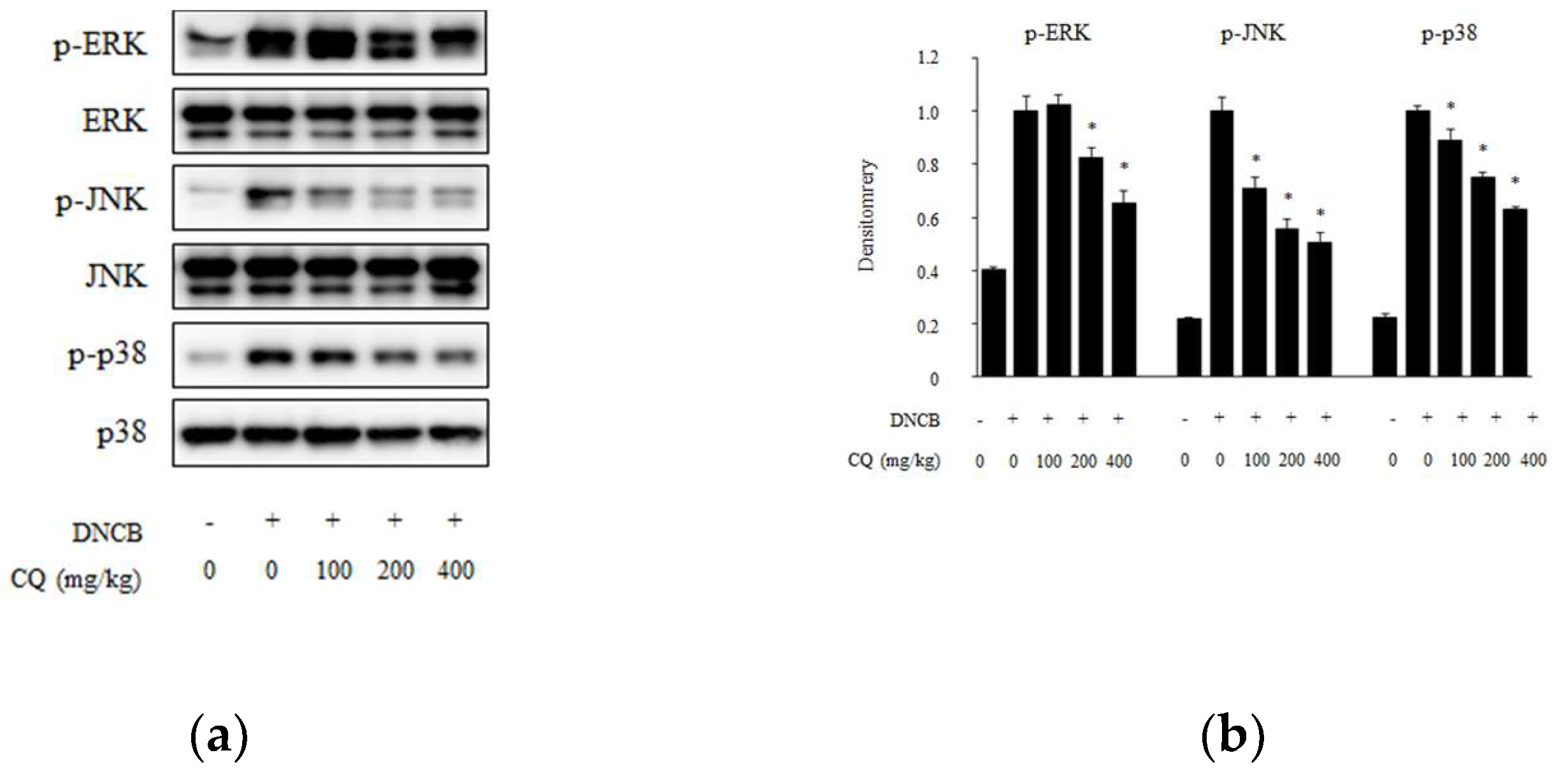
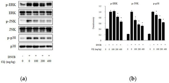
2.4. Effect of CQ on the Phosphorylation of MAPK Pathways on DNCB-Induced Skin Lesions
3. Discussion
4. Materials and Methods
4.1. Preparation of Plant Material
4.2. HPLC Analysis
4.3. Animals
4.4. Experimental Design
4.5. Evaluation of Skin Lesions and Dermatitis Score
4.6. Analysis of IgE, Eosinophils, Thymus and Activation-Regulated Chemokine (TARC), and Ceramidase
4.7. Western Blotting
4.8. RT-PCR
4.9. Histological Analyses
4.10. Statistical Analysis
Author Contributions
Funding
Conflicts of Interest
Appendix A

References
- Hutching, A.; Scott, A.H.; Lewis, G.; Cunningham, A.B. Zulu Medicinal Plants: An Inventory; University of Natal Press: Scottsville, KY, USA; Pietermaritzburg, South Africa, 1996; pp. 27–41. [Google Scholar]
- Roy, R.; Singh, R.K.; Jash, S.K.; Shyamal, K.; Sarkar, A.; Goral, D. Combretum quadrangulare (Combretaceae): Phytochemical Constituents and Biological activity. Indo Am. j. Pharm. Res. 2014, 4, 3416–3427. [Google Scholar]
- Pettit, G.R.; Singh, S.B.; Boyd, M.R.; Hamel, E.; Pettit, R.K.; Schmidt, J.M.; Hogan, F. Antineoplastic Agents. 291. Isolation and Synthesis of Combretastatins A-4, A-5, and A-6. J. Med. Chem. 1995, 38, 1666–1672. [Google Scholar] [CrossRef] [PubMed]
- WHO Regional Office for the Western Pacific Malina; Institute of Material Medica Hanoi. Medicinal Plants in Vietnam; Science and Technology Publishing House: Hanoi, Vietnam, 1990; p. 119. [Google Scholar]
- Banskota, A.H.; Tezuka, Y.; Adnyana, I.K.; Xiong, Q.; Hase, K.; Tran, K.Q.; Tanaka, K.; Saiki, I.; Kadota, S. Hepatoprotective effect of Combretum quadrangulare and Its constituents. Biol. Pharm. Bull. 2000, 23, 456–460. [Google Scholar] [CrossRef] [PubMed]
- Adnyana, I.K.; Tezuka, Y.; Banskota, A.H.; Tran, K.Q.; Kadot, S. Hepatoprotective constituents of the seeds of Combretum quadrangulare. Biol. Pharm. Bull. 2000, 23, 1328–1332. [Google Scholar] [CrossRef] [PubMed]
- Brandt, E.B.; Sivaprasad, U. Th2 cytokines and atopic dermatitis. J. Clin. Cell Immunol. 2011, 2, 110. [Google Scholar] [CrossRef]
- Leung, D.Y.; Bieber, T. Atopic dermatitis. Lancet 2003, 361, 151–160. [Google Scholar] [CrossRef]
- Spergel, J.M.; Paller, A.S. Atopic dermatitis and the atopic march. J Allergy Clin Immunol. 2003, 112, 118–127. [Google Scholar] [CrossRef]
- Rousset, F.; Robert, J.; Andary, M.; Bonnin, J.P.; Souillet, G.; Chrétien, I.; Brière, F.; Pène, J.; de Vries, J.E. Shifts in interleukin-4 and interferon-gamma production by T cells of patients with elevated serum IgE levels and the modulatory effects of these lymphokines on spontaneous IgE synthesis. J. Allergy Clin. Immunol. 1991, 87, 58–69. [Google Scholar] [CrossRef]
- Simon, D.; Braathen, L.R.; Simon, H.U. Eosinophils and atopic dermatitis. Allergy. 2004, 59, 561–570. [Google Scholar] [CrossRef]
- Wüthrich, B.; Schmid-Grendelmeier, P. The atopic eczema/dermatitis syndrome. Epidemiology, natural course, and immunology of the IgE-associated (′′extrinsic′′) and the nonallergic (′′intrinsic′′) AEDS. J. Investig. Allergol. Clin. Immunol. 2003, 13, 1–5. [Google Scholar]
- Knor, T.; Meholjic-Fetahovic, A.; Mehmedagic, A. Stratum corneum hydration and skin surface pH in patients with atopic dermatitis. Acta Dermatovenerol Croat. 2011, 19, 242–247. [Google Scholar]
- Addor, F.A.; Takaoka, R.; Rivitti, E.A.; Aoki, V. Atopic dermatitis: Correlation between non-damaged skin barrier function and disease activity. Int. J. Dermatol. 2012, 51, 672–676. [Google Scholar] [CrossRef]
- Kim, H.Y.; Jang, E.Y.; Sim, J.H.; Lee, S.L. Effects of family history on the occurrence of atopic dermatitis in infants, Pediatr. Allergy. Respir. Dis. 2009, 19, 106–114. [Google Scholar]
- Novak, N.; Valenta, R.; Bohle, B.; Laffer, S.; Haberstok, J.; Kraft, S.; Bieber, T. FcepsilonRI engagement of Langerhans cell-like dendritic cells and inflammatory dendritic epidermal cell-like dendritic cells induces chemotactic signals and different T-cell phenotypes in vitro. J. Allergy Clin. Immunol. 2004, 113, 949–957. [Google Scholar] [CrossRef]
- Ong, P.Y.; Leung, D.M.Y. Immune dysregulation in atopic dermatitis. Curr. Allergy Asthma. Rep. 2006, 6, 384–389. [Google Scholar] [CrossRef]
- Theoharides, T.C.; Alysandratos, K.D.; Angelidou, A.; Delivanis, D.A.; Sismanopoulos, N.; Zhang, B.; Asadi, S.; Vasiadi, M.; Weng, Z.; Miniati, A.; et al. Mast cells and inflammation. Biochim. Biophys. Acta. 2012, 1822, 21–33. [Google Scholar] [CrossRef]
- Pivarcsi, A.; Homey, B. Chemokine network in atopic dermatitis: Traffic signals of Disease. Curr. Allergy Asthma Rep. 2005, 5, 284–290. [Google Scholar] [CrossRef]
- Ziegler, S.F.; Liu, Y.J. Thymic stromal lymphopoietin in normal and pathogenic T cell development and function. Nat. Immunol. 2006, 7, 709–714. [Google Scholar] [CrossRef]
- Sano, Y.; Masuda, K.; Tamagawa-Mineoka, R.; Matsunaka, H.; Murakami, Y.; Yamashita, R.; Morita, E.; Katoh, N. Thymic stromal lymphopoietin expression is increased in the horny layer of patients with atopic dermatitis. Clin. Exp. Immunol. 2013, 171, 330–337. [Google Scholar] [CrossRef]
- Johansen, C.; Kragballe, K.; Westergaard, M.; Henningsen, J.; Kristiansen, K.; Iversen, L. The mitogen-activated protein kinases p38 and ERK1/2 are increased in lesional psoriatic skin. Br. J. Dermatol. 2005, 152, 37–42. [Google Scholar] [CrossRef]
- Yang, J.H. Topical application of fucoidan improves atopic dermatitis symptoms in NC/Nga mice. Phytother Res. 2012, 26, 1898–1903. [Google Scholar] [CrossRef]
- McGrath, J.A.; Uitto, J. The filaggrin story: Novel insights into skin-barrier function and disease. Trends Mol Med. 2008, 14, 20–27. [Google Scholar] [CrossRef]
- Cui, L.; Jia, Y.; Cheng, Z.W.; Gao, Y.; Zhang, G.L.; Li, J.Y.; He, C.F. Advancements in the maintenance of skin barrier/skin lipid composition and the involvement of metabolic enzymes. J Cosmet Dermatol. 2016, 15, 549–558. [Google Scholar] [CrossRef]
- Lee, T.; Friedman, A. Skin barrier health: Regulation and repair of the stratum corneum and the role of over-the-counter skin care. J Drugs Dermatol. 2016, 15, 1047–1051. [Google Scholar]
- Vestergaard, C.; Kirstejn, N.; Gesser, B.; Mortensen, J.T.; Matsushima, K.; Larsen, C.G. IL-10 augments the IFN-γ and TNF-α induced TARC production in HaCaT cells: A possible mechanism in the inflammatory reaction of atopic dermatitis. J. Dermatol. Sci. 2001, 26, 46–54. [Google Scholar] [CrossRef]
- Adnyana, I.K.; Tezuka, Y.; Banskota, A.H.; Xiong, Q.; Tran, K.Q.; Kadota, S. Quadranosides I-V, new triterpene glucosides from the seeds of Combretum quadrangulare. J. Nat. Prod. 2000, 63, 496–500. [Google Scholar] [CrossRef]
- Schultz Larsen, F. The epidemiology of atopic dermatitis. Monogr. Allergy. 1993, 31, 9–28. [Google Scholar]
- Patrick, D. Does atopic dermatitis result from cytokine dysregulation? J. Invest. Dermatol. 1994, 102, 741. [Google Scholar]
- Boguniewicz, M.; Leung, D.Y. Atopic dermatitis: A disease of altered skin barrier and immune dysregulation. Immunol. Rev. 2014, 242, 233–246. [Google Scholar] [CrossRef]
- Kurahashi, R.; Hatano, Y.; Katagiri, K. IL-4 suppresses the recovery of cutaneous permeability barrier functions in vivo. J. Invest. Dermatol. 2008, 128, 1329–1331. [Google Scholar] [CrossRef]
- Dokmeci, E.; Herrick, C.A. The immune system and atopic dermatitis. Semin. Cutan. Med. Surg. 2008, 27, 138–143. [Google Scholar] [CrossRef] [PubMed]
- Jin, H.; He, R.; Oyoshi, M.; Geha, R.S. Animal models of atopic dermatitis. J. Invest. Dermatol. 2009, 129, 31–40. [Google Scholar] [CrossRef]
- Leung, D.Y.M.; Sorter, N.A. Cellular and immunologic mechanisms in atopic dermatitis. J. Am. Acad. Dermatol. 2011, 44, S1–S12. [Google Scholar] [CrossRef] [PubMed]
- O’Regan, G.M.; Irvine, A.D. The role of filaggrin in the atopic diathesis. Clin. Exp. Allergy 2010, 40, 965–972. [Google Scholar] [CrossRef] [PubMed]
- Leung, D.M.Y. Our evolving understanding of the functional role of filaggrin in atopic dermatitis. J. Allergy Clin. Immunol. 2009, 124, 494–495. [Google Scholar] [CrossRef]
- Murata, Y.; Ogata, J.; Higaki, Y.; Kawashima, M.; Yada, Y.; Higuchi, K.; Tsuchiya, T.; Kawainami, S.; Imokawa, G. Abnormal expression of sphingomyelin acylase in atopic dermatitis: An etiologic factor for ceramide deficiency? J. Invest. Dermatol. 1996, 106, 1242–1249. [Google Scholar] [CrossRef]
- Cork, M.J.; Danby, S.G.; Vasilopoulos, Y.; Hadgraft, J.; Lane, M.E.; Moustafa, M.; Guy, R.H.; Macgowan, A.L.; Tazi-Ahnini, R.; Ward, S.J. Epidermal barrier dysfunction in atopic dermatitis. J. Invest. Dermatol. 2009, 129, 1892–1908. [Google Scholar] [CrossRef]
- Wood, L.C.; Elias, P.M.; Calhoun, C.; Tsai, J.C.; Grunfeld, C.; Feingold, K.R. Barrier disruption stimulates interleukin-1 alpha expression and release from a preformed pool in murine epidermis. J. Invest. Dermatol. 1996, 106, 397–403. [Google Scholar] [CrossRef]
- Park, J.H.; Ahn, E.K.; Ko, H.J.; Lee, J.Y.; Hwang, S.M.; Ko, S.; Oh, J.S. Korean red ginseng water extract alleviates atopic dermatitis-like inflammatory responses by negative regulation of mitogen-activated protein kinase signaling pathway in vivo. Biomed Pharmacother. 2019, 117, 109066. [Google Scholar] [CrossRef]
- Lee, Y.; Choi, H.K.; N’deh, K.P.U.; Choi, Y.J.; Fan, M.; Kim, E.K.; Chung, K.H.; An, A.J.H. Inhibitory Effect of Centella asiatica Extract on DNCB-Induced Atopic Dermatitis in HaCaT Cells and BALB/c Mice. Nutrients 2020, 12, E411. [Google Scholar] [CrossRef]
- Jeong, N.H.; Yang, E.J.; Jin, M.; Lee, J.Y.; Choi, Y.A.; Park, P.H.; Lee, S.R.; Kim, S.U.; Shin, T.Y.; Kwon, T.K.; et al. Esculetin from Fraxinus rhynchophylla attenuates atopic skin inflammation by inhibiting the expression of inflammatory cytokines. Int Immunopharmacol. 2018, 59, 209–216. [Google Scholar] [CrossRef] [PubMed]
- Pastore, S.; Mascia, F.; Girolomoni, G. The contribution of keratinocytes to the pathogenesis of atopic dermatitis. Eur. J. Dermatol. 2006, 16, 125–131. [Google Scholar] [PubMed]
- Liu, Y.J. TSLP in epithelial cell and dendritic cell cross talk. Adv. Immunol. 2009, 101, 1–25. [Google Scholar] [PubMed]
- Ipaktchi, K.; Mattar, A.; Niederbichler, A.D.; Hoesel, L.M.; Hemmila, M.R.; Su, G.L.; Remick, D.G.; Wang, S.C.; Arbabi, S. Topical p38MAPK inhibition reduces dermal inflammation and epithelial apoptosis in burn wounds. Shock 2006, 26, 201–209. [Google Scholar] [CrossRef] [PubMed]
- Kim, S.H.; Shin, T.Y. Anti-inflammatory effect of leaves of Eriobotrya japonica correlating with attenuation of p38 MAPK, ERK, and NF-κB activation in mast cells. Toxicol. In Vitro 2009, 23, 1215–1219. [Google Scholar] [CrossRef] [PubMed]
Sample Availability: Samples of the compounds are not available from the authors. |









| Group | 1 Week | 2 Week | 3 Week | 4 Week | 5 Week | 6 Week |
|---|---|---|---|---|---|---|
| Normal | 5.69 ± 0.18 | 5.58 ± 0.28 | 5.46 ± 0.16 | 5.52 ± 0.13 | 5.48 ± 0.12 | 5.53 ± 0.17 |
| DNCB | 6.38 ± 0.21 # | 6.48 ± 0.25 # | 6.45 ± 0.29 # | 6.39 ± 0.27 # | 6.50 ± 0.20 # | 6.47 ± 0.14 # |
| 100 mg/kg | 6.24 ± 0.08 | 6.31 ± 0.24 | 6.23 ± 0.25 * | 6.19 ± 0.22 | 6.24 ± 0.17 * | 6.23 ± 0.18 * |
| 200 mg/kg | 6.21 ± 0.19 * | 6.26 ± 0.27 | 6.17 ± 0.26 * | 6.21 ± 0.27 | 6.21 ± 0.14 | 6.20 ± 0.11 * |
| 400 mg/kg | 6.27 ± 0.13 | 6.23 ± 0.07 * | 6.16 ± 0.28 * | 6.16 ± 0.22 * | 6.17 ± 0.15 * | 6.18 ± 0.16 * |
| Group | 1 Week | 2 Week | 3 Week | 4 Week | 5 Week | 6 Week |
|---|---|---|---|---|---|---|
| Normal | 4.93 ± 0.80 | 4.18 ± 0.60 | 4.05 ± 0.43 | 3.76 ± 0.24 | 4.23 ± 0.58 | 4.68 ± 0.80 |
| DNCB | 33.40 ± 4.80 # | 31.53 ± 5.87 # | 37.56 ± 6.84 # | 39.19 ± 4.74 # | 38.14 ± 6.59 # | 38.49 ± 9.53 # |
| 100 mg/kg | 28.26 ± 2.44 * | 32.63 ± 5.13 | 35.54 ± 7.67 | 33.26 ± 4.77* | 34.73 ± 4.38 | 36.20 ± 7.94 |
| 200 mg/kg | 27.68 ± 2.57 | 31.33 ± 6.19 | 29.43 ± 4.51 * | 30.39 ± 4.41 * | 31.33 ± 6.05 * | 30.04 ± 8.51 * |
| 400 mg/kg | 26.93 ± 3.03 * | 30.65 ± 2.97 | 29.31 ± 4.75 * | 28.03 ± 4.22 * | 28.03 ± 4.49 * | 26.78 ± 3.43 * |
| Group | 1 Week | 2 Week | 3 Week | 4 Week | 5 Week | 6 Week |
|---|---|---|---|---|---|---|
| Normal | 95.50 ± 10.34 | 104.30 ± 10.69 | 99.00 ± 10.71 | 98.00 ± 5.56 | 97.00 ± 4.83 | 104.90 ± 11.84 |
| DNCB | 50.80 ± 11.35 # | 45.60 ± 6.57 # | 48.10 ± 9.83 # | 46.60 ± 9.70 # | 46.80 ± 5.88 # | 44.10 ± 9.42 # |
| 100 mg/kg | 50.60 ± 11.40 | 51.40 ± 13.58 | 51.90 ± 13.97 | 54.70 ± 10.37 | 52.80 ± 10.66 | 52.70 ± 5.79 |
| 200 mg/kg | 53.30 ± 15.41 | 52.20 ± 14.28 | 53.50 ± 11.14 | 57.50 ± 9.72 * | 55.20 ± 12.11 * | 56.80 ± 7.24 * |
| 400 mg/kg | 55.20 ± 16.87 | 53.40 ± 15.34 | 55.50 ± 6.57 * | 56.80 ± 10.84 | 54.30 ± 9.51 * | 56.90 ± 7.92 * |
| Primer | Forward Sequence | Reverse Sequence |
|---|---|---|
| IL-6 | 5′-AAC CTT CCA AAG ATG GCT GAA -3′ | 5′-CAG GAA CTG GAT CAG GAC TTT-3′ |
| IL-13 | 5′-CAG CTC CCT GGT TCT CTC AC-3’ | 5′-CCA CAC TCC ATA CCA TGC TG-3′ |
| TSLP | 5′-CGA CAG CAT GGT TCT TCT CA-3′ | 5′-CGA TTT GCT CGA ACT TAG CC -3′ |
| TARC | 5′-ATG GCC CCA CTG AAG ATG CT-3′ | 5′-TGA ACA CCA ACG GTG GAG GT-3′ |
| GAPDH | 5′-GAG GTA AAC TCA GGA GAG TG-3′ | 5′-GTA GAC TCC ACG ACA TAC TC-3′ |
© 2020 by the authors. Licensee MDPI, Basel, Switzerland. This article is an open access article distributed under the terms and conditions of the Creative Commons Attribution (CC BY) license (http://creativecommons.org/licenses/by/4.0/).
Share and Cite
Park, J.-H.; Hwang, M.H.; Cho, Y.-R.; Hong, S.S.; Kang, J.-S.; Kim, W.H.; Yang, S.H.; Seo, D.-W.; Oh, J.S.; Ahn, E.-K. Combretum quadrangulare Extract Attenuates Atopic Dermatitis-Like Skin Lesions through Modulation of MAPK Signaling in BALB/c Mice. Molecules 2020, 25, 2003. https://doi.org/10.3390/molecules25082003
Park J-H, Hwang MH, Cho Y-R, Hong SS, Kang J-S, Kim WH, Yang SH, Seo D-W, Oh JS, Ahn E-K. Combretum quadrangulare Extract Attenuates Atopic Dermatitis-Like Skin Lesions through Modulation of MAPK Signaling in BALB/c Mice. Molecules. 2020; 25(8):2003. https://doi.org/10.3390/molecules25082003
Chicago/Turabian StylePark, Ju-Hyoung, Min Hee Hwang, Young-Rak Cho, Seong Su Hong, Jae-Shin Kang, Won Hee Kim, Seung Hwan Yang, Dong-Wan Seo, Joa Sub Oh, and Eun-Kyung Ahn. 2020. "Combretum quadrangulare Extract Attenuates Atopic Dermatitis-Like Skin Lesions through Modulation of MAPK Signaling in BALB/c Mice" Molecules 25, no. 8: 2003. https://doi.org/10.3390/molecules25082003
APA StylePark, J.-H., Hwang, M. H., Cho, Y.-R., Hong, S. S., Kang, J.-S., Kim, W. H., Yang, S. H., Seo, D.-W., Oh, J. S., & Ahn, E.-K. (2020). Combretum quadrangulare Extract Attenuates Atopic Dermatitis-Like Skin Lesions through Modulation of MAPK Signaling in BALB/c Mice. Molecules, 25(8), 2003. https://doi.org/10.3390/molecules25082003

